Impact of Carotid Artery Tortuosity on Technical Aspects of Endovascular Thrombectomy in a Newly Established Thrombectomy-Capable Stroke Center
Abstract
1. Introduction
2. Materials and Methods
2.1. Patients
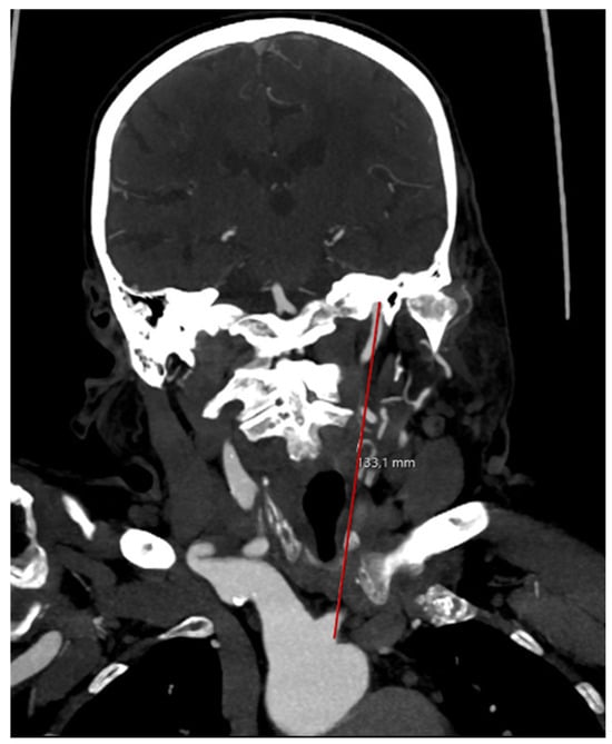
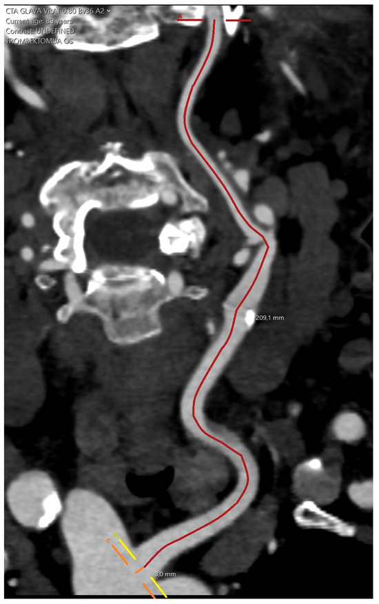
2.2. Arterial Tortuosity Measurement and Definition
2.3. Statistical Analysis
3. Results
3.1. Patient Characteristics
3.2. Technical Aspects of Endovascular Thrombectomy
4. Discussion
5. Conclusions
Author Contributions
Funding
Institutional Review Board Statement
Informed Consent Statement
Data Availability Statement
Conflicts of Interest
Abbreviations
| TI | Tortuosity index |
| NIHSS | National Institutes of Health Stroke Scale |
| mTICI | Modified Thrombolysis In Cerebral Infarction |
| RIS | Radiological Information System |
| CTA | Computed tomography angiography |
| CCA | Common carotid artery |
| IQR | Interquartile range |
| TUA | Transient ischemic attack |
| COVID-19 | Coronavirus disease 2019 |
| EVT | Endovascular thrombectomy |
| CAS | Carotid artery stenting |
References
- Murphy, S.J.; Werring, D.J. Stroke: Causes and clinical features. Medicine 2020, 48, 561–566. [Google Scholar] [CrossRef] [PubMed]
- Hasan, T.F.; Hasan, H.; Kelley, R.E. Overview of Acute Ischemic Stroke Evaluation and Management. Biomedicines 2021, 9, 1486. [Google Scholar] [CrossRef] [PubMed]
- Gomez-Paz, S.; Akamatsu, Y.; Mallick, A.; Jordan, N.J.; Salem, M.M.; Enriquez-Marulanda, A.; Thomas, A.J.; Ogilvy, C.S.; Moore, J.M. Tortuosity Index Predicts Early Successful Reperfusion and Affects Functional Status After Thrombectomy for Stroke. World Neurosurg. 2021, 152, e1–e10. [Google Scholar] [CrossRef] [PubMed]
- Bezak, B.; Kovačić, S.; Vuletić, V.; Miletić, D.; Tkalčić, L.; Knežević, S.; Bonifačić, D.; Bralić, M. Mehanička trombektomija—Nova metoda liječenja akutnog ishemijskog moždanog udara. Med. Flum. 2021, 57, 328–340. [Google Scholar] [CrossRef]
- Sidiq, M.; Scheidecker, E.; Potreck, A.; Neuberger, U.; Weyland, C.S.; Mundiyanapurath, S.; Bendszus, M.; Möhlenbruch, M.A.; Seker, F. Aortic Arch Variations and Supra-aortic Arterial Tortuosity in Stroke Patients Undergoing Thrombectomy : Retrospective Analysis of 1705 Cases. Clin. Neuroradiol. 2023, 33, 49–56. [Google Scholar] [CrossRef] [PubMed]
- Alawieh, A.; Vargas, J.; Fargen, K.M.; Langley, E.F.; Starke, R.M.; De Leacy, R.; Chatterjee, R.; Rai, A.; Dumont, T.; Kan, P.; et al. Impact of Procedure Time on Outcomes of Thrombectomy for Stroke. J. Am. Coll. Cardiol. 2019, 73, 879–890. [Google Scholar] [CrossRef] [PubMed]
- Kwah, L.K.; Diong, J. National Institutes of Health Stroke Scale (NIHSS). J. Physiother. 2014, 60, 61. [Google Scholar] [CrossRef] [PubMed]
- Bernsen, M.L.E.; Goldhoorn, R.-J.B.; Lingsma, H.F.; van Oostenbrugge, R.J.; van Zwam, W.H.; Uyttenboogaart, M.; Roos, Y.B.; Martens, J.M.; Hofmeijer, J.; MR CLEAN Registry investigators. Importance of Occlusion Site for Thrombectomy Technique in Stroke: Comparison Between Aspiration and Stent Retriever. Stroke 2021, 52, 80–90. [Google Scholar] [CrossRef] [PubMed]
- Ospel, J.; Singh, N.; Ganesh, A.; Goyal, M. Sex and Gender Differences in Stroke and Their Practical Implications in Acute Care. J. Stroke 2023, 25, 16–25. [Google Scholar] [CrossRef] [PubMed]
- Hedna, V.S.; Bodhit, A.N.; Ansari, S.; Falchook, A.D.; Stead, L.; Heilman, K.M.; Waters, M.F. Hemispheric differences in ischemic stroke: Is left-hemisphere stroke more common? J. Clin. Neurol. 2013, 9, 97–102. [Google Scholar] [CrossRef] [PubMed]
- Dolan, J.M.; Kolega, J.; Meng, H. High wall shear stress and spatial gradients in vascular pathology: A review. Ann. Biomed. Eng. 2013, 41, 1411–1427. [Google Scholar] [CrossRef] [PubMed]
- Koge, J.; Tanaka, K.; Yoshimoto, T.; Shiozawa, M.; Kushi, Y.; Ohta, T.; Satow, T.; Kataoka, H.; Ihara, M.; Koga, M.; et al. Internal Carotid Artery Tortuosity: Impact on Mechanical Thrombectomy. Stroke 2022, 53, 2458–2467. [Google Scholar] [CrossRef] [PubMed]
- Kaymaz, Z.O.; Nikoubashman, O.; Brockmann, M.A.; Wiesmann, M.; Brockmann, C. Influence of carotid tortuosity on internal carotid artery access time in the treatment of acute ischemic stroke. Interv. Neuroradiol. 2017, 23, 583–588. [Google Scholar] [CrossRef] [PubMed]
- Sun, Z.; Jiang, D.; Liu, P.; Muccio, M.; Li, C.; Cao, Y.; Wisniewski, T.M.; Lu, H.; Ge, Y. Age-Related Tortuosity of Carotid and Vertebral Arteries: Quantitative Evaluation with MR Angiography. Front. Neurol. 2022, 13, 858805. [Google Scholar] [CrossRef] [PubMed]
- Kotelis, D.; Bischoff, M.S.; Jobst, B.; von Tengg-Kobligk, H.; Hinz, U.; Geisbüsch, P.; Böckler, D. Morphological risk factors of stroke during thoracic endovascular aortic repair. Langenbecks Arch. Surg. 2012, 397, 1267–1273. [Google Scholar] [CrossRef] [PubMed]
- Kurmann, C.C.; Beyeler, M.; Grunder, L.; Lang, M.F.; Piechowiak, E.I.; Meinel, T.R.; Jung, S.; Hoffmann, A.; Seiffge, D.J.; Heldner, M.R. Association of the 24-Hour National Institutes of Health Stroke Scale After Mechanical Thrombectomy with Early and Long—Term Survival. Stroke: Vasc. Interv. Neurol. 2022, 2, e000244. [Google Scholar] [CrossRef]
- Dargazanli, C.; Fahed, R.; Blanc, R.; Gory, B.; Labreuche, J.; Duhamel, A.; Marnat, G.; Saleme, S.; Costalat, V.; Bracard, S.; et al. Modified Thrombolysis in Cerebral Infarction 2C/Thrombolysis in Cerebral Infarction 3 Reperfusion Should Be the Aim of Mechanical Thrombectomy: Insights From the ASTER Trial (Contact Aspiration Versus Stent Retriever for Successful Revascularization). Stroke 2018, 49, 1189–1196. [Google Scholar] [CrossRef] [PubMed]
- Hassan, A.E.; Dibas, M.; Sarraj, A.; Ghozy, S.; El-Qushayri, A.E.; Dmytriw, A.A.; Tekle, W.G. First pass effect vs multiple passes complete reperfusion: A retrospective study. Neuroradiol. J. 2022, 35, 306–312. [Google Scholar] [CrossRef] [PubMed]
- Kaesmacher, J.; Gralla, J.; Mosimann, P.J.; Zibold, F.; Heldner, M.R.; Piechowiak, E.; Dobrocky, T.; Arnold, M.; Fischer, U.; Mordasini, P. Reasons for Reperfusion Failures in Stent-Retriever-Based Thrombectomy: Registry Analysis and Proposal of a Classification System. AJNR Am. J. Neuroradiol. 2018, 39, 1848–1853. [Google Scholar] [CrossRef] [PubMed]
- Huang, H.; Fu, J.-J.; Yao, P.-G.; Wang, M.-Y.; Wang, X.; Guo, A.-N.; Li, W.; Chen, S.-H.; Li, D.-D. Age and duration of hypertension are associated with carotid artery tortuosity. Front. Neurol. 2024, 15, 1307984. [Google Scholar] [CrossRef] [PubMed]



| Characteristics | Number (%) of Patients |
|---|---|
| Sex | |
| Male | 31 (36.9) |
| Female | 53 (63.1) |
| Atrial fibrillation | 44 (52) |
| Arterial hypertension | 68 (81) |
| Diabetes mellitus | 17 (20) |
| History of ischemic stroke | 15 (18) |
| Hyperlipidemia | 36 (43) |
| History of myocardial infarction | 10 (12) |
| History of TIA 1 | 7 (8) |
| Current smoker | 7 (8) |
| Active COVID-19 2 infection | 7 (8) |
| History of COVID-19 2 infection | 7 (8) |
| Lesion location | |
| Right-sided M1 3 occlusion | 40 (47.6) |
| Left-sided M1 3 occlusion | 44 (52.4) |
| Median (Interquartile Range) | Minimum– Maximum | |
|---|---|---|
| Patient age | 76 (67–83) | 37–93 |
| Number of passes | 2 (1–3) | 0–7 |
| Time from arterial puncture to the first pass (minutes) | 25 (16.3–33) | 5–107 |
| Total procedure time (minutes) | 47 (27–66) | 6–165 |
| NIHSS 1 at admission | 15 (12–17) | 7–27 |
| NIHSS 1 24 h after EVT 2 | 9 (6–14) | 0–40 |
| Difference in NIHSS 1 | −5 (−10–−0.25) | −18–23 |
| Spearman’s Rank Correlation Coefficient Rho Tortuosity Index (p-Values) | |
|---|---|
| Patient age | 0.351 (0.001) |
| Number of passes | −0.097 (0.38) |
| Time from arterial puncture to the first pass (minutes) | 0.291 (0.01) |
| Total procedure time (minutes) | −0.058 (0.61) |
| NIHSS 1 on admission | 0.141 (0.20) |
| NIHSS 1 24 h after EVT 2 | −0.037 (0.74) |
| Difference in NIHSS 1 | −0.170 (0.12) |
| Median (Interquartile Range) Considering Aortic Arch Type | p * | ||||
|---|---|---|---|---|---|
| Type 1 | Type 2 | Type 3 | Arcus Bovinum | ||
| Age | 61 (58–75) | 77 (68–83) | 82 (74–83) | 75 (69–84) | 0.01 † |
| Number of passes | 2 (1–3) | 2 (1–3) | 1 (1–2) | 2 (1–3) | 0.50 |
| Time from arterial puncture to the first pass (minutes) | 25 (17–32) | 23 (15–29) | 26 (16–45) | 28 (21–33) | 0.51 |
| Total procedure time (minutes) | 42 (25–50) | 48 (24–74) | 40 (25–57) | 59 (42–80) | 0.20 |
| Difference in NIHSS 1 | −5 (−10–−2) | −7 (−10–−3) | −5 (−8–0) | −3 (−10–3) | 0.34 |
| Median (Interquartile Range) Considering Tortuosity Type | p * | ||||
|---|---|---|---|---|---|
| Straight | Tortuous | Coiling | Kinking | ||
| Age | 63 (46–73) | 75 (63–82) | 77 (68–84) | 81 (74–85) | 0.003 † |
| Number of passes | 2 (1–3) | 1 (1–2) | 2 (1–3) | 1 (1–3) | 0.91 |
| Time from arterial puncture to the first pass | 16 (12–17) | 28 (20–34) | 26 (22–31) | 25 (15–39) | 0.006 ‡ |
| Total procedure time | 45 (19–70) | 49 (27–66) | 50 (31–73) | 48 (32–70) | 0.82 |
| Difference in NIHSS 1 | −5 (−10–−0.5) | −5 (−10–−3) | −3 (−9–0) | −5 (−12–0) | 0.70 |
| mTICI † Score | Median (Interquartile Range) | p * |
|---|---|---|
| Tortuosity Index | ||
| 0 | 18.18 (8.43–29.34) | 0.72 |
| 1 | 16.47 (5.65–22.25) | |
| 2a | 13.11 (−3.79–33.65) | |
| 2b | 20.1 (8.14–31.11) | |
| 2c | 10.75 (6.45–30.73) | |
| 3 | 21.37 (12.54–31.7) |
| Median (Interquartile Range) of Tortuosity Index Considering Characteristics | Difference | 95% Confidence Interval | p * | ||
|---|---|---|---|---|---|
| No | Yes | ||||
| Atrial fibrillation | 15.29 (9.22–22.45) | 25.33 (11.48–32.89) | 2.89 | −0.11 to 12.01 | 0.06 |
| Arterial hypertension | 11.74 (4.52–19.25) | 20.40 (10.98–31.20) | 7.76 | 2.09 to 14.93 | 0.008 |
| Diabetes | 18.18 (9.24–30.01) | 22.50 (16.11–32.16) | 4.94 | −2.23 to 11.26 | 0.18 |
| History of stroke | 18.18 (9.25–29.56) | 23.78 (11.34–31.99) | 3.2 | −4.19 to 10.27 | 0.38 |
| Hyperlipidemia | 18.95 (9.64–31.57) | 18.66 (9.68–26.63) | −0.29 | −6.26 to 5.35 | 0.92 |
| History of myocardial infarction | 18.77 (9.43–30.73) | 16.61 (10.75–25.52) | −0.59 | −8.95 to 6.72 | 0.89 |
| History of TIA/CAS 1 | 18.18 (9.25–29.56) | 25.70 (15.11–36.41) | 6.59 | −4.20 to 16.9 | 0.17 |
| Smoking | 19.21 (10.04–30.83) | 10.75 (4.30–23.49) | −7.41 | −18.01 to 3.51 | 0.18 |
Disclaimer/Publisher’s Note: The statements, opinions and data contained in all publications are solely those of the individual author(s) and contributor(s) and not of MDPI and/or the editor(s). MDPI and/or the editor(s) disclaim responsibility for any injury to people or property resulting from any ideas, methods, instructions or products referred to in the content. |
© 2025 by the authors. Licensee MDPI, Basel, Switzerland. This article is an open access article distributed under the terms and conditions of the Creative Commons Attribution (CC BY) license (https://creativecommons.org/licenses/by/4.0/).
Share and Cite
Lovoković, K.; Kopačin, V.; Mišir, M.; Grigić, M.; Matijević, D.; Rotim, T.; Kretić, D.; Štimac, D.; Tomić, A.; Čolaković, L.; et al. Impact of Carotid Artery Tortuosity on Technical Aspects of Endovascular Thrombectomy in a Newly Established Thrombectomy-Capable Stroke Center. Clin. Pract. 2025, 15, 183. https://doi.org/10.3390/clinpract15100183
Lovoković K, Kopačin V, Mišir M, Grigić M, Matijević D, Rotim T, Kretić D, Štimac D, Tomić A, Čolaković L, et al. Impact of Carotid Artery Tortuosity on Technical Aspects of Endovascular Thrombectomy in a Newly Established Thrombectomy-Capable Stroke Center. Clinics and Practice. 2025; 15(10):183. https://doi.org/10.3390/clinpract15100183
Chicago/Turabian StyleLovoković, Katja, Vjekoslav Kopačin, Mihael Mišir, Mateo Grigić, Domagoj Matijević, Tatjana Rotim, Domagoj Kretić, Damir Štimac, Anja Tomić, Lucija Čolaković, and et al. 2025. "Impact of Carotid Artery Tortuosity on Technical Aspects of Endovascular Thrombectomy in a Newly Established Thrombectomy-Capable Stroke Center" Clinics and Practice 15, no. 10: 183. https://doi.org/10.3390/clinpract15100183
APA StyleLovoković, K., Kopačin, V., Mišir, M., Grigić, M., Matijević, D., Rotim, T., Kretić, D., Štimac, D., Tomić, A., Čolaković, L., & Turk, T. (2025). Impact of Carotid Artery Tortuosity on Technical Aspects of Endovascular Thrombectomy in a Newly Established Thrombectomy-Capable Stroke Center. Clinics and Practice, 15(10), 183. https://doi.org/10.3390/clinpract15100183

