Antidiabetic Effects of Quercetin and Silk Sericin in Attenuating Dysregulation of Hepatic Gluconeogenesis in Diabetic Rats Through Potential Modulation of PI3K/Akt/FOXO1 Signaling: In Vivo and In Silico Studies
Abstract
1. Introduction
2. Materials and Methods
2.1. Chemicals
2.2. Quercetin Extraction
2.3. Animal Care
2.4. Experimental Design and Diabetic Induction
2.5. Blood Samples Collection and Tissue Preparation
2.6. Biochemical Examinations
2.6.1. Estimation of Serum Glucose, Insulin, and AGEs
2.6.2. Evaluation of Lipid Profile
2.6.3. Evaluation of Liver Function Enzymes, Albumin, Globulin, Total Protein, Bilirubin, AFP in Serum, and Hepatic Glycogen
2.6.4. Assessment of Hepatic Carbohydrate Metabolizing Enzymes
2.6.5. Estimation of Oxidative Stress Markers and Antioxidant Activities
2.6.6. Determination of Inflammatory Biomarkers
2.6.7. Quantitative Real-Time PCR (qRT-PCR) for PI3K, Akt, and FOXO1 Genes
2.7. Histopathological Examination
2.8. Immunohistochemical Investigation
2.9. In Silico Screening and Docking Studies
2.9.1. Molecular Docking of Quercetin
2.9.2. Protein-Protein Docking of Silk Sericin
2.10. Statistical Analysis
3. Results
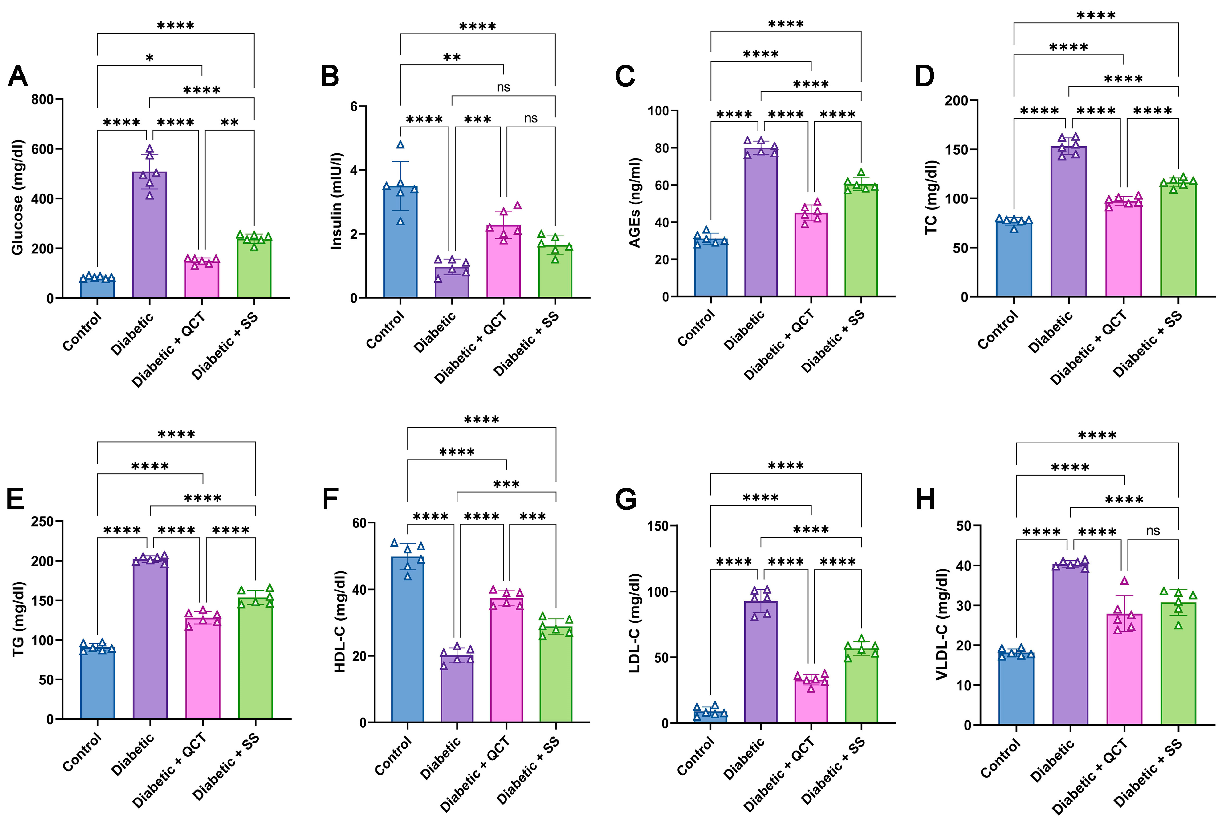
3.1. Evaluation of Glucose, Insulin and AGEs in Serum
3.2. Assessment of Serum Lipid Profile
3.3. Assessment of Liver Function Enzymes, Albumin, Globulin, Total Protein, Bilirubin, AFP in Serum, and Hepatic Glycogen
3.4. Evaluation of Hepatic Carbohydrate Metabolizing Enzymes
3.5. Assessment of Oxidative Stress Parameters in Liver Tissue
3.6. Evaluation of Inflammatory Mediators
3.7. Assessment of Akt, PI3K and FOXO1 Gene Expressions in Hepatic Tissues
3.8. Principle Component Analysis (PCA)
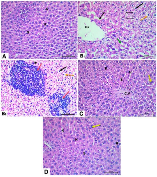
3.9. Histopathological Investigation of Hepatic Tissues
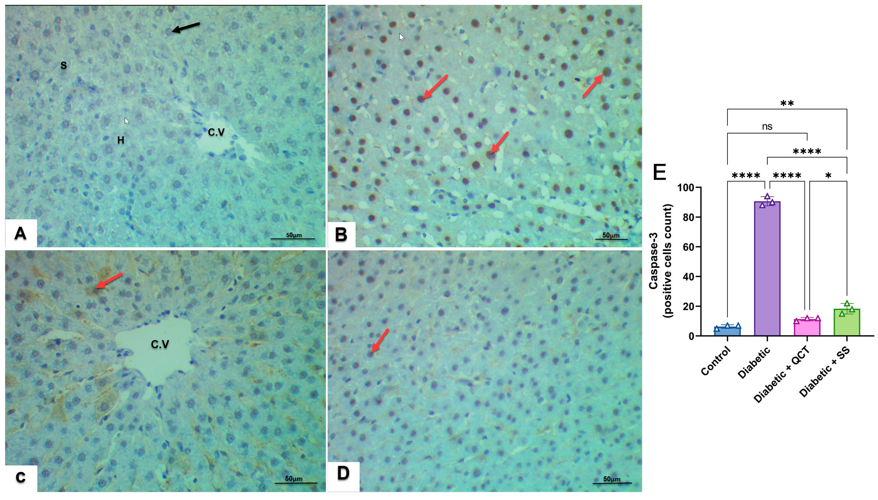
3.10. Examination of Caspase-3 Immunohistochemistry in Liver Tissues
3.11. Molecular Docking Interactions of Quercetin with PI3K, GPx, and TNF-α
3.12. Protein-Protein Interactions of Silk Sericin with PI3K, GPx, and TNF-α
4. Discussion
5. Limitations and Future Prospects
6. Conclusions
Author Contributions
Funding
Institutional Review Board Statement
Informed Consent Statement
Data Availability Statement
Acknowledgments
Conflicts of Interest
Abbreviations
References
- Rahmani, A.H.; Alsahli, M.A.; Khan, A.A.; Almatroodi, S.A. Quercetin, a Plant Flavonol Attenuates Diabetic Complications, Renal Tissue Damage, Renal Oxidative Stress and Inflammation in Streptozotocin-Induced Diabetic Rats. Metabolites 2023, 13, 130. [Google Scholar] [CrossRef] [PubMed]
- Firouzeh, G.; Susan, A.; Zeinab, K. Quercetin prevents rats from type 1 diabetic liver damage by inhibiting TGF-β/apelin gene expression. Curr. Res. Pharmacol. Drug Discov. 2024, 7, 100201. [Google Scholar] [CrossRef] [PubMed]
- Aslam, B.; Hussain, A.; Sindhu, Z.-U.-D.; Nigar, S.; Jan, I.U.; Alrefaei, A.F.; Albeshr, M.F.; Tufarelli, V.; Khan, R.U. Polyphenols-rich polyherbal mixture attenuates hepatorenal impairment, dyslipidaemia, oxidative stress and inflammation in alloxan-induced diabetic rats. J. Appl. Anim. Res. 2023, 51, 515–523. [Google Scholar] [CrossRef]
- Shabalala, S.C.; Johnson, R.; Basson, A.K.; Ziqubu, K.; Hlengwa, N.; Mthembu, S.X.H.; Mabhida, S.E.; Mazibuko-Mbeje, S.E.; Hanser, S.; Cirilli, I.; et al. Detrimental Effects of Lipid Peroxidation in Type 2 Diabetes: Exploring the Neutralizing Influence of Antioxidants. Antioxidants 2022, 11, 2071. [Google Scholar] [CrossRef] [PubMed]
- Liu, Y.; Qiu, Y.; Chen, Q.; Han, X.; Cai, M.; Hao, L. Puerarin suppresses the hepatic gluconeogenesis via activation of PI3K/Akt signaling pathway in diabetic rats and HepG2 cells. Biomed. Pharmacother. 2021, 137, 111325. [Google Scholar] [CrossRef] [PubMed]
- Ji, G.; Sun, R.; Hu, H.; Xu, F.; Yu, X.; Priya Veeraraghavan, V.; Krishna Mohan, S.; Chi, X. Vannilic acid ameliorates hyperglycemia-induced oxidative stress and inflammation in streptozotocin-induced diabetic rats. J. King Saud Univ.-Sci. 2020, 32, 2905–2911. [Google Scholar] [CrossRef]
- Ghasemi-Dehnoo, M.; Amini-Khoei, H.; Lorigooini, Z.; Rafieian-Kopaei, M. Oxidative stress and antioxidants in diabetes mellitus. Asian Pac. J. Trop. Med. 2020, 13, 431–438. [Google Scholar]
- Oyedemi, S.O.; Nwaogu, G.; Chukwuma, C.I.; Adeyemi, O.T.; Matsabisa, M.G.; Swain, S.S.; Aiyegoro, O.A. Quercetin modulates hyperglycemia by improving the pancreatic antioxidant status and enzymes activities linked with glucose metabolism in type 2 diabetes model of rats: In silico studies of molecular interaction of quercetin with hexokinase and catalase. J. Food Biochem. 2020, 44, e13127. [Google Scholar] [CrossRef] [PubMed]
- Entezari, M.; Hashemi, D.; Taheriazam, A.; Zabolian, A.; Mohammadi, S.; Fakhri, F.; Hashemi, M.; Hushmandi, K.; Ashrafizadeh, M.; Zarrabi, A.; et al. AMPK signaling in diabetes mellitus, insulin resistance and diabetic complications: A pre-clinical and clinical investigation. Biomed. Pharmacother. 2022, 146, 112563. [Google Scholar] [CrossRef] [PubMed]
- Guo, N.; Wang, X.; Xu, M.; Bai, J.; Yu, H.; Le, Z. PI3K/AKT signaling pathway: Molecular mechanisms and therapeutic potential in depression. Pharmacol. Res. 2024, 206, 107300. [Google Scholar] [CrossRef]
- El-Samad, L.M.; Maklad, A.M.; Elkady, A.I.; Hassan, M.A. Unveiling the mechanism of sericin and hydroxychloroquine in suppressing lung oxidative impairment and early carcinogenesis in diethylnitrosamine-induced mice by modulating PI3K/Akt/Nrf2/NF-κB signaling pathway. Biomed. Pharmacother. 2025, 182, 117730. [Google Scholar] [CrossRef] [PubMed]
- Ansari, P.; Choudhury, S.T.; Seidel, V.; Rahman, A.B.; Aziz, M.A.; Richi, A.E.; Rahman, A.; Jafrin, U.H.; Hannan, J.M.A.; Abdel-Wahab, Y.H.A. Therapeutic Potential of Quercetin in the Management of Type-2 Diabetes Mellitus. Life 2022, 12, 1146. [Google Scholar] [CrossRef] [PubMed]
- Amr, A.; Karim, A.E.A.; Augustyniak, M.; Wakil, A.E.; El-Samad, L.M.; Hassan, M.A. Efficacy of propolis and royal jelly in attenuating cadmium-induced spermatogenesis and steroidogenesis dysregulation, causing infertility in rats. Environ. Sci. Pollut. Res. 2024, 31, 53052–53073. [Google Scholar] [CrossRef] [PubMed]
- Karimi, A.; Naeini, F.; Asghari Azar, V.; Hasanzadeh, M.; Ostadrahimi, A.; Niazkar, H.R.; Mobasseri, M.; Tutunchi, H. A comprehensive systematic review of the therapeutic effects and mechanisms of action of quercetin in sepsis. Phytomedicine 2021, 86, 153567. [Google Scholar] [CrossRef] [PubMed]
- Rajesh, R.U.; Dhanaraj, S. A critical review on quercetin bioflavonoid and its derivatives: Scope, synthesis, and biological applications with future prospects. Arab. J. Chem. 2023, 16, 104881. [Google Scholar] [CrossRef]
- Mirza, M.A.; Mahmood, S.; Hilles, A.R.; Ali, A.; Khan, M.Z.; Zaidi, S.A.A.; Iqbal, Z.; Ge, Y. Quercetin as a Therapeutic Product: Evaluation of Its Pharmacological Action and Clinical Applications—A Review. Pharmaceuticals 2023, 16, 1631. [Google Scholar] [CrossRef] [PubMed]
- Cichoński, J.; Chrzanowski, G. Microalgae as a Source of Valuable Phenolic Compounds and Carotenoids. Molecules 2022, 27, 8852. [Google Scholar] [CrossRef] [PubMed]
- Nabil-Adam, A.; Ashour, M.L.; Tamer, T.M.; Shreadah, M.A.; Hassan, M.A. Interaction of Jania rubens Polyphenolic Extract as an Antidiabetic Agent with α-Amylase, Lipase, and Trypsin: In Vitro Evaluations and In Silico Studies. Catalysts 2023, 13, 443. [Google Scholar] [CrossRef]
- Alshammari, G.M.; Al-Qahtani, W.H.; AlFaris, N.A.; Alzahrani, N.S.; Alkhateeb, M.A.; Yahya, M.A. Quercetin prevents cadmium chloride-induced hepatic steatosis and fibrosis by downregulating the transcription of miR-21. BioFactors 2021, 47, 489–505. [Google Scholar] [CrossRef] [PubMed]
- Dhanya, R.; Kartha, C.C. Quercetin improves oxidative stress-induced pancreatic beta cell alterations via mTOR-signaling. Mol. Cell. Biochem. 2021, 476, 3879–3887. [Google Scholar] [CrossRef]
- Farag, M.R.; Moselhy, A.A.A.; El-Mleeh, A.; Aljuaydi, S.H.; Ismail, T.A.; Di Cerbo, A.; Crescenzo, G.; Abou-Zeid, S.M. Quercetin Alleviates the Immunotoxic Impact Mediated by Oxidative Stress and Inflammation Induced by Doxorubicin Exposure in Rats. Antioxidants 2021, 10, 1906. [Google Scholar] [CrossRef]
- Yi, H.; Peng, H.; Wu, X.; Xu, X.; Kuang, T.; Zhang, J.; Du, L.; Fan, G. The Therapeutic Effects and Mechanisms of Quercetin on Metabolic Diseases: Pharmacological Data and Clinical Evidence. Oxidative Med. Cell. Longev. 2021, 2021, 6678662. [Google Scholar] [CrossRef]
- Zhang, E.; Ji, X.; Ouyang, F.; Lei, Y.; Deng, S.; Rong, H.; Deng, X.; Shen, H. A minireview of the medicinal and edible insects from the traditional Chinese medicine (TCM). Front. Pharmacol. 2023, 14, 1125600. [Google Scholar] [CrossRef] [PubMed]
- Ouango, M.; Cissé, H.; Romba, R.; Drabo, S.F.; Semdé, R.; Savadogo, A.; Gnankiné, O. Entomotherapy as an alternative treatment for diseases due to Gram-negative bacteria in Burkina Faso. Sci. Rep. 2024, 14, 7. [Google Scholar] [CrossRef] [PubMed]
- Arafat, E.A.; El-Sayed, D.S.; Hussein, H.K.; Flaven-Pouchon, J.; Moussian, B.; El-Samad, L.M.; El Wakil, A.; Hassan, M.A. Entomotherapeutic Role of Periplaneta americana Extract in Alleviating Aluminum Oxide Nanoparticles-Induced Testicular Oxidative Impairment in Migratory Locusts (Locusta migratoria) as an Ecotoxicological Model. Antioxidants 2023, 12, 653. [Google Scholar] [CrossRef]
- Hu, D.; Li, T.; Liang, W.A.; Wang, Y.; Feng, M.; Sun, J. Silk sericin as building blocks of bioactive materials for advanced therapeutics. J. Control. Release 2023, 353, 303–316. [Google Scholar] [CrossRef]
- Silva, A.S.; Costa, E.C.; Reis, S.; Spencer, C.; Calhelha, R.C.; Miguel, S.P.; Ribeiro, M.P.; Barros, L.; Vaz, J.A.; Coutinho, P. Silk Sericin: A Promising Sustainable Biomaterial for Biomedical and Pharmaceutical Applications. Polymers 2022, 14, 4931. [Google Scholar] [CrossRef] [PubMed]
- Wang, J.; Liu, H.; Shi, X.; Qin, S.; Liu, J.; Lv, Q.; Liu, J.; Li, Q.S.; Wang, Z.; Wang, L. Development and Application of an Advanced Biomedical Material-Silk Sericin. Adv. Mater. 2024, 36, 2311593. [Google Scholar] [CrossRef] [PubMed]
- Zhang, Y.; Sheng, R.; Chen, J.; Wang, H.; Zhu, Y.; Cao, Z.; Zhao, X.; Wang, Z.; Liu, C.; Chen, Z.; et al. Silk Fibroin and Sericin Differentially Potentiate the Paracrine and Regenerative Functions of Stem Cells Through Multiomics Analysis. Adv. Mater. 2023, 35, 2210517. [Google Scholar] [CrossRef] [PubMed]
- Hassan, M.A.; Basha, A.A.; Eraky, M.; Abbas, E.; El-Samad, L.M. Advancements in silk fibroin and silk sericin-based biomaterial applications for cancer therapy and wound dressing formulation: A comprehensive review. Int. J. Pharm. 2024, 662, 124494. [Google Scholar] [CrossRef] [PubMed]
- Cherdchom, S.; Sereemaspun, A.; Aramwit, P. Urea-extracted sericin is potentially better than kojic acid in the inhibition of melanogenesis through increased reactive oxygen species generation. J. Tradit. Complement. Med. 2021, 11, 570–580. [Google Scholar] [CrossRef]
- Helmy, M.W.; Youssef, M.H.; Yamari, I.; Amr, A.; Moussa, F.I.; El Wakil, A.; Chtita, S.; El-Samad, L.M.; Hassan, M.A. Repurposing of sericin combined with dactolisib or vitamin D to combat non-small lung cancer cells through computational and biological investigations. Sci. Rep. 2024, 14, 27034. [Google Scholar] [CrossRef] [PubMed]
- Zhao, J.-G.; Wang, H.-Y.; Wei, Z.-G.; Zhang, Y.-Q. Therapeutic effects of ethanolic extract from the green cocoon shell of silkworm Bombyx mori on type 2 diabetic mice and its hypoglycaemic mechanism. Toxicol. Res. 2019, 8, 407–420. [Google Scholar] [CrossRef] [PubMed]
- Newairy, A.-S.A.-S.; Hamaad, F.A.; Wahby, M.M.; Ghoneum, M.; Abdou, H.M. Neurotherapeutic effects of quercetin-loaded nanoparticles and Biochanin-A extracted from Trifolium alexandrinum on PI3K/Akt/GSK-3β signaling in the cerebral cortex of male diabetic rats. PLoS ONE 2024, 19, e0301355. [Google Scholar] [CrossRef] [PubMed]
- Abdou, H.M.; Ahmad, D.M.; Hamaad, F.A. Quercetin Extracted from Trifolium Alexandrinum Enhances wound healing in 1 Streptozotocin-induced Diabetic rats through Antioxidant and Anti-inflammatory effects. J. Pharm. Pharmacol. Res. 2020, 4, 116–138. [Google Scholar] [CrossRef]
- Hassan, R.M.; Elsayed, M.; Kholief, T.E.; Hassanen, N.H.M.; Gafer, J.A.; Attia, Y.A. Mitigating effect of single or combined administration of nanoparticles of zinc oxide, chromium oxide, and selenium on genotoxicity and metabolic insult in fructose/streptozotocin diabetic rat model. Environ. Sci. Pollut. Res. 2021, 28, 48517–48534. [Google Scholar] [CrossRef] [PubMed]
- Silva-Reis, R.; Faustino-Rocha, A.I.; Silva, J.; Valada, A.; Azevedo, T.; Anjos, L.; Gonçalves, L.; Pinto, M.d.L.; Ferreira, R.; Silva, A.M.S.; et al. Studying and Analyzing Humane Endpoints in the Fructose-Fed and Streptozotocin-Injected Rat Model of Diabetes. Animals 2023, 13, 1397. [Google Scholar] [CrossRef] [PubMed]
- Rehman, H.U.; Ullah, K.; Rasool, A.; Manzoor, R.; Yuan, Y.; Tareen, A.M.; Kaleem, I.; Riaz, N.; Hameed, S.; Bashir, S. Comparative impact of streptozotocin on altering normal glucose homeostasis in diabetic rats compared to normoglycemic rats. Sci. Rep. 2023, 13, 7921. [Google Scholar] [CrossRef] [PubMed]
- Oliveira, G.O.; Braga, C.P.; Fernandes, A.A.H. Improvement of biochemical parameters in type 1 diabetic rats after the roots aqueous extract of yacon [Smallanthus sonchifolius (Poepp.& Endl.)] treatment. Food Chem. Toxicol. 2013, 59, 256–260. [Google Scholar]
- Cunningham, P.; Patton, E.; VanderVeen, B.N.; Unger, C.; Aladhami, A.; Enos, R.T.; Madero, S.; Chatzistamou, I.; Fan, D.; Murphy, E.A.; et al. Sub-chronic oral toxicity screening of quercetin in mice. BMC Complement. Med. Ther. 2022, 22, 279. [Google Scholar] [CrossRef] [PubMed]
- VanderVeen, B.N.; Cardaci, T.D.; Cunningham, P.; McDonald, S.J.; Bullard, B.M.; Fan, D.; Murphy, E.A.; Velázquez, K.T. Quercetin Improved Muscle Mass and Mitochondrial Content in a Murine Model of Cancer and Chemotherapy-Induced Cachexia. Nutrients 2023, 15, 102. [Google Scholar] [CrossRef]
- Qin, H.; Zhang, J.; Yang, H.; Yao, S.; He, L.; Liang, H.; Wang, Y.; Chen, H.; Zhao, P.; Qin, G. Safety Assessment of Water-Extract Sericin from Silkworm (Bombyx mori) Cocoons Using Different Model Approaches. BioMed Res. Int. 2020, 2020, 9689386. [Google Scholar] [CrossRef]
- Seyedaghamiri, F.; Farajdokht, F.; Vatandoust, S.M.; Mahmoudi, J.; Khabbaz, A.; Sadigh-Eteghad, S. Sericin modulates learning and memory behaviors by tuning of antioxidant, inflammatory, and apoptotic markers in the hippocampus of aged mice. Mol. Biol. Rep. 2021, 48, 1371–1382. [Google Scholar] [CrossRef] [PubMed]
- Wilson, P.W.F.; Zech, L.A.; Gregg, R.E.; Schaefer, E.J.; Hoeg, J.M.; Sprecher, D.L.; Brewer, H.B. Estimation of VLDL cholesterol in hyperlipidemia. Clin. Chim. Acta 1985, 151, 285–291. [Google Scholar] [CrossRef]
- Livak, K.J.; Schmittgen, T.D. Analysis of Relative Gene Expression Data Using Real-Time Quantitative PCR and the 2−ΔΔCT Method. Methods 2001, 25, 402–408. [Google Scholar] [CrossRef]
- Karna, K.K.; Soni, K.K.; You, J.H.; Choi, N.Y.; Kim, H.K.; Kim, C.Y.; Lee, S.W.; Shin, Y.S.; Park, J.K. MOTILIPERM Ameliorates Immobilization Stress-Induced Testicular Dysfunction via Inhibition of Oxidative Stress and Modulation of the Nrf2/HO-1 Pathway in SD Rats. Int. J. Mol. Sci. 2020, 21, 4750. [Google Scholar] [CrossRef] [PubMed]
- Trott, O.; Olson, A.J. AutoDock Vina: Improving the speed and accuracy of docking with a new scoring function, efficient optimization, and multithreading. J. Comput. Chem. 2010, 31, 455–461. [Google Scholar] [CrossRef]
- Guex, N.; Diemand, A.; Peitsch, M.C. Protein modelling for all. Trends Biochem. Sci. 1999, 24, 364–367. [Google Scholar] [CrossRef] [PubMed]
- Hanwell, M.D.; Curtis, D.E.; Lonie, D.C.; Vandermeersch, T.; Zurek, E.; Hutchison, G.R. Avogadro: An advanced semantic chemical editor, visualization, and analysis platform. J. Cheminformatics 2012, 4, 17. [Google Scholar] [CrossRef]
- van Zundert, G.C.P.; Rodrigues, J.P.G.L.M.; Trellet, M.; Schmitz, C.; Kastritis, P.L.; Karaca, E.; Melquiond, A.S.J.; van Dijk, M.; de Vries, S.J.; Bonvin, A.M.J.J. The HADDOCK2.2 Web Server: User-Friendly Integrative Modeling of Biomolecular Complexes. J. Mol. Biol. 2016, 428, 720–725. [Google Scholar] [CrossRef] [PubMed]
- Honorato, R.V.; Trellet, M.E.; Jiménez-García, B.; Schaarschmidt, J.J.; Giulini, M.; Reys, V.; Koukos, P.I.; Rodrigues, J.P.G.L.M.; Karaca, E.; van Zundert, G.C.P.; et al. The HADDOCK2.4 web server for integrative modeling of biomolecular complexes. Nat. Protoc. 2024, 19, 3219–3241. [Google Scholar] [CrossRef] [PubMed]
- Honorato, R.V.; Koukos, P.I.; Jiménez-García, B.; Tsaregorodtsev, A.; Verlato, M.; Giachetti, A.; Rosato, A.; Bonvin, A.M.J.J. Structural Biology in the Clouds: The WeNMR-EOSC Ecosystem. Front. Mol. Biosci. 2021, 8, 729513. [Google Scholar] [CrossRef] [PubMed]
- Qin, S.; Zhou, H.-X. meta-PPISP: A meta web server for protein-protein interaction site prediction. Bioinformatics 2007, 23, 3386–3387. [Google Scholar] [CrossRef]
- Hassan, M.A.; Abd El-Aziz, S.; Nabil-Adam, A.; Tamer, T.M. Formulation of novel bioactive gelatin inspired by cinnamaldehyde for combating multi-drug resistant bacteria: Characterization, molecular docking, pharmacokinetic analyses, and in vitro assessments. Int. J. Pharm. 2024, 652, 123827. [Google Scholar] [CrossRef]
- Kurup, S.B.; S, M. Protective potential of Averrhoa bilimbi fruits in ameliorating the hepatic key enzymes in streptozotocin-induced diabetic rats. Biomed. Pharmacother. 2017, 85, 725–732. [Google Scholar] [CrossRef]
- Babukumar, S.; Vinothkumar, V.; Sankaranarayanan, C.; Srinivasan, S. Geraniol, a natural monoterpene, ameliorates hyperglycemia by attenuating the key enzymes of carbohydrate metabolism in streptozotocin-induced diabetic rats. Pharm. Biol. 2017, 55, 1442–1449. [Google Scholar] [CrossRef]
- Goyal, S.N.; Reddy, N.M.; Patil, K.R.; Nakhate, K.T.; Ojha, S.; Patil, C.R.; Agrawal, Y.O. Challenges and issues with streptozotocin-induced diabetes—A clinically relevant animal model to understand the diabetes pathogenesis and evaluate therapeutics. Chem.-Biol. Interact. 2016, 244, 49–63. [Google Scholar] [CrossRef] [PubMed]
- Surapong, R.; Teeraporn, K.; Chirapha, B.; Bunleu, S. Antihyperglycemic Effect of Silkworm Powder, Fibroin and Sericin from Three Thai Silkworm (Bombyx mori Linn.) in Streptozotocin-Induced Diabetic Rats. Pharmacogn. J. 2017, 9, 559–564. [Google Scholar]
- Lee, K.; Jin, H.; Chei, S.; Oh, H.-J.; Lee, J.-Y.; Lee, B.-Y. Effect of Dietary Silk Peptide on Obesity, Hyperglycemia, and Skeletal Muscle Regeneration in High-Fat Diet-Fed Mice. Cells 2020, 9, 377. [Google Scholar] [CrossRef] [PubMed]
- Chen, S.; Jiang, H.; Wu, X.; Fang, J. Therapeutic Effects of Quercetin on Inflammation, Obesity, and Type 2 Diabetes. Mediat. Inflamm. 2016, 2016, 9340637. [Google Scholar] [CrossRef] [PubMed]
- Asker, M.E.; Hassan, W.A.; El-Kashlan, A.M. Experimentally induced hyperthyroidism influences oxidant and antioxidant status and impairs male gonadal functions in adult rats. Andrologia 2015, 47, 644–654. [Google Scholar] [CrossRef] [PubMed]
- Shokoohi, M.; Khaki, A.; Shoorei, H.; Khaki, A.A.; Moghimian, M.; Abtahi-Eivary, S.-H. Hesperidin attenuated apoptotic-related genes in testicle of a male rat model of varicocoele. Andrology 2020, 8, 249–258. [Google Scholar] [CrossRef] [PubMed]
- Wang, H.-D.; Zhong, Z.-H.; Weng, Y.-J.; Wei, Z.-Z.; Zhang, Y.-Q. Degraded Sericin Significantly Regulates Blood Glucose Levels and Improves Impaired Liver Function in T2D Rats by Reducing Oxidative Stress. Biomolecules 2021, 11, 1255. [Google Scholar] [CrossRef]
- Zheng, Y.-Z.; Zhou, Y.; Liang, Q.; Chen, D.-F.; Guo, R.; Xiong, C.-L.; Xu, X.-J.; Zhang, Z.-N.; Huang, Z.-J. Solvent effects on the intramolecular hydrogen-bond and anti-oxidative properties of apigenin: A DFT approach. Dye. Pigment. 2017, 141, 179–187. [Google Scholar] [CrossRef]
- Manesa, K.C.; Kebede, T.G.; Dube, S.; Nindi, M.M. Profiling of Silk Sericin from Cocoons of Three Southern African Wild Silk Moths with a Focus on Their Antimicrobial and Antioxidant Properties. Materials 2020, 13, 5706. [Google Scholar] [CrossRef]
- Habiba, E.S.; Harby, S.A.; El-Sayed, N.S.; Omar, E.M.; Bakr, B.A.; Augustyniak, M.; El-Samad, L.M.; Hassan, M.A. Sericin and melatonin mitigate diethylnitrosamine-instigated testicular impairment in mice: Implications of oxidative stress, spermatogenesis, steroidogenesis, and modulation of Nrf2/WT1/SF-1 signaling pathways. Life Sci. 2023, 334, 122220. [Google Scholar] [CrossRef] [PubMed]
- Srinivasan, P.; Vijayakumar, S.; Kothandaraman, S.; Palani, M. Anti-diabetic activity of quercetin extracted from Phyllanthus emblica L. fruit: In silico and in vivo approaches. J. Pharm. Anal. 2018, 8, 109–118. [Google Scholar] [CrossRef] [PubMed]
- Biganeh, H.; Kabiri, M.; Zeynalpourfattahi, Y.; Costa Brancalhão, R.M.; Karimi, M.; Shams Ardekani, M.R.; Rahimi, R. Bombyx mori cocoon as a promising pharmacological agent: A review of ethnopharmacology, chemistry, and biological activities. Heliyon 2022, 8, e10496. [Google Scholar] [CrossRef]
- Tan, Y.; Tam, C.C.; Rolston, M.; Alves, P.; Chen, L.; Meng, S.; Hong, H.; Chang, S.K.C.; Yokoyama, W. Quercetin Ameliorates Insulin Resistance and Restores Gut Microbiome in Mice on High-Fat Diets. Antioxidants 2021, 10, 1251. [Google Scholar] [CrossRef]
- Choi, N.R.; Kang, H.T.; Lee, S.M.; Suh, Y.-L.; Kwon, H.; Noh, J.; Ahn, S.B.; Jun, D.W. Sericin Peptide Attenuates Non-Alcoholic Steatohepatitis Via Mitochondrial Function Modulation. Acta Sci. Nutr. Health 2020, 4, 42–52. [Google Scholar] [CrossRef]
- Al-Zharani, M.; Mubarak, M.; Rudayni, H.A.; Al-Doaiss, A.A.; Abd-Elwahab, M.M.; Al-Eissa, M.S. Quercetin as a Dietary Supplementary Flavonoid Alleviates the Oxidative Stress Induced by Lead Toxicity in Male Wistar Rats. Nutrients 2023, 15, 1888. [Google Scholar] [CrossRef] [PubMed]
- Wang, X.; Shen, C.; Yang, J.; Yang, X.; Qin, S.; Zeng, H.; Wu, X.; Tang, S.; Zeng, W. Alpha-Fetoprotein as a Predictive Marker for Patients with Hepatitis B-Related Acute-on-Chronic Liver Failure. Can. J. Gastroenterol. Hepatol. 2018, 2018, 1232785. [Google Scholar] [CrossRef]
- Uslu, S.; Alaca, N.; Kilic, K.D.; Uysal, A.; Kurtel, H. The effects of aerobic exercise frequencies on liver fibrosis, α-fetoprotein and cytokeratin 19 in experimental type 2 diabetes-induced rats: An immunohistochemistry study. Biotech. Histochem. 2018, 93, 615–622. [Google Scholar] [CrossRef]
- Omodanisi, E.I.; Aboua, Y.G.; Oguntibeju, O.O. Assessment of the Anti-Hyperglycaemic, Anti-Inflammatory and Antioxidant Activities of the Methanol Extract of Moringa Oleifera in Diabetes-Induced Nephrotoxic Male Wistar Rats. Molecules 2017, 22, 439. [Google Scholar] [CrossRef]
- Kuai, M.; Li, Y.; Sun, X.; Ma, Z.; Lin, C.; Jing, Y.; Lu, Y.; Chen, Q.; Wu, X.; Kong, X.; et al. A novel formula Sang-Tong-Jian improves glycometabolism and ameliorates insulin resistance by activating PI3K/AKT pathway in type 2 diabetic KKAy mice. Biomed. Pharmacother. 2016, 84, 1585–1594. [Google Scholar] [CrossRef] [PubMed]
- Boudiaf, F.; Chouba, I.; Amri, N.; Tahraoui, A. Anti-diabetic role of quercetin and cinnamon on neurobehavioral alterations and biochemical parameters of induced diabetics rats. J. Anim. Behav. Biometeorol. 2020, 8, 190–195. [Google Scholar] [CrossRef]
- Wei, Z.-Z.; Weng, Y.-J.; Zhang, Y.-Q. Investigation of the Repairing Effect and Mechanism of Oral Degraded Sericin on Liver Injury in Type II Diabetic Rats. Biomolecules 2022, 12, 444. [Google Scholar] [CrossRef] [PubMed]
- Vinayagam, R.; Jayachandran, M.; Chung, S.S.M.; Xu, B. Guava leaf inhibits hepatic gluconeogenesis and increases glycogen synthesis via AMPK/ACC signaling pathways in streptozotocin-induced diabetic rats. Biomed. Pharmacother. 2018, 103, 1012–1017. [Google Scholar] [CrossRef]
- Mahmoud, A.A.; Nor El-Din, A.K.A. Glucose-6-Phosphate Dehydrogenase Activity and Protein Oxidative Modification in Patients with Type 2 Diabetes Mellitus. J. Biomark. 2013, 2013, 430813. [Google Scholar] [CrossRef]
- Ren, Y.; Li, L.; Wan, L.; Huang, Y.; Cao, S. Glucokinase as an emerging anti-diabetes target and recent progress in the development of its agonists. J. Enzym. Inhib. Med. Chem. 2022, 37, 606–615. [Google Scholar] [CrossRef]
- Yang, D.K.; Kang, H.-S. Anti-Diabetic Effect of Cotreatment with Quercetin and Resveratrol in Streptozotocin-Induced Diabetic Rats. Biomol. Ther. 2018, 26, 130–138. [Google Scholar] [CrossRef] [PubMed]
- Dong, X.; Zhao, S.-X.; Yin, X.-L.; Wang, H.-Y.; Wei, Z.-G.; Zhang, Y.-Q. Silk sericin has significantly hypoglycaemic effect in type 2 diabetic mice via anti-oxidation and anti-inflammation. Int. J. Biol. Macromol. 2020, 150, 1061–1071. [Google Scholar] [CrossRef] [PubMed]
- Hassan, M.A.; Elmageed, G.M.A.; El-Qazaz, I.G.; El-Sayed, D.S.; El-Samad, L.M.; Abdou, H.M. The Synergistic Influence of Polyflavonoids from Citrus aurantifolia on Diabetes Treatment and Their Modulation of the PI3K/AKT/FOXO1 Signaling Pathways: Molecular Docking Analyses and In Vivo Investigations. Pharmaceutics 2023, 15, 2306. [Google Scholar] [CrossRef]
- Matran, I.M.; Matran, C.; Tarcea, M. Sustainable Prebiotic Dessert with Sericin Produced by Bombyx mori Worms. Sustainability 2023, 15, 110. [Google Scholar] [CrossRef]
- Aghababaei, F.; Hadidi, M. Recent Advances in Potential Health Benefits of Quercetin. Pharmaceuticals 2023, 16, 1020. [Google Scholar] [CrossRef] [PubMed]
- Jeong, H.-L.; Kang, E.-B.; Yun, S.-G.; Park, D.-B.; Lim, J.-O.; Suh, J.-S. Effect of a silk sericin and methylsulfonylmethane (MSM) Blends on inflammatory response and wound healing. Appl. Sci. 2022, 13, 288. [Google Scholar] [CrossRef]
- Song, Y.; Zhang, C.; Zhang, J.; Sun, N.; Huang, K.; Li, H.; Wang, Z.; Huang, K.; Wang, L. An injectable silk sericin hydrogel promotes cardiac functional recovery after ischemic myocardial infarction. Acta Biomater. 2016, 41, 210–223. [Google Scholar] [CrossRef] [PubMed]
- Rahimpour, S.; Jabbari, H.; Yousofi, H.; Fathi, A.; Mahmoodi, S.; Jafarian, M.J.; Shomali, N.; Shotorbani, S.S. Regulatory effect of sericin protein in inflammatory pathways; A comprehensive review. Pathol.-Res. Pract. 2023, 243, 154369. [Google Scholar] [CrossRef] [PubMed]
- Garcia Whitlock, A.E.; Sostre-Colón, J.; Gavin, M.; Martin, N.D.; Baur, J.A.; Sims, C.A.; Titchenell, P.M. Loss of FOXO transcription factors in the liver mitigates stress-induced hyperglycemia. Mol. Metab. 2021, 51, 101246. [Google Scholar] [CrossRef] [PubMed]
- Wang, K.; Wang, H.; Liu, Y.; Shui, W.; Wang, J.; Cao, P.; Wang, H.; You, R.; Zhang, Y. Dendrobium officinale polysaccharide attenuates type 2 diabetes mellitus via the regulation of PI3K/Akt-mediated glycogen synthesis and glucose metabolism. J. Funct. Foods 2018, 40, 261–271. [Google Scholar] [CrossRef]
- Benchoula, K.; Arya, A.; Parhar, I.S.; Hwa, W.E. FoxO1 signaling as a therapeutic target for type 2 diabetes and obesity. Eur. J. Pharmacol. 2021, 891, 173758. [Google Scholar] [CrossRef] [PubMed]
- Feng, Y.; Dang, X.; Zheng, P.; Liu, Y.; Liu, D.; Che, Z.; Yao, J.; Lin, Z.; Liao, Z.; Nie, X.; et al. Quercetin in Osteoporosis Treatment: A Comprehensive Review of Its Mechanisms and Therapeutic Potential. Curr. Osteoporos. Rep. 2024, 22, 353–365. [Google Scholar] [CrossRef] [PubMed]
- Zhang, X.Q.; Xu, C.F.; Yu, C.H.; Chen, W.X.; Li, Y.M. Role of endoplasmic reticulum stress in the pathogenesis of nonalcoholic fatty liver disease. World J. Gastroenterol. 2014, 20, 1768–1776. [Google Scholar] [CrossRef] [PubMed]
- Hou, B.; Zhao, Y.; Qiang, G.; Yang, X.; Xu, C.; Chen, X.; Liu, C.; Wang, X.; Zhang, L.; Du, G. Puerarin Mitigates Diabetic Hepatic Steatosis and Fibrosis by Inhibiting TGF-β Signaling Pathway Activation in Type 2 Diabetic Rats. Oxidative Med. Cell. Longev. 2018, 2018, 4545321. [Google Scholar] [CrossRef] [PubMed]
- Hajiyeva, R.; Durmuş, S.; Tunçdemir, M.; Gelişgen, R.; Sözer, V.; Mirzataş, E.B.; Şimsek, G.; Uzun, H. The Role of Quercetin in Alleviating the Testicular Oxidative Stress and Apoptosis in Streptozotocin-Induced Diabetes. Cerrah-Med J. 2021, 45, 159–166. [Google Scholar] [CrossRef]
- Zha, W.; Bai, Y.; Xu, L.; Liu, Y.; Yang, Z.; Gao, H.; Li, J. Curcumin Attenuates Testicular Injury in Rats with Streptozotocin-Induced Diabetes. BioMed Res. Int. 2018, 2018, 7468019. [Google Scholar] [CrossRef] [PubMed]
- Ojo, O.O.; Olorunsogo, O.O. Quercetin and vitamin E attenuate diabetes-induced testicular anomaly in Wistar rats via the mitochondrial-mediated apoptotic pathway. Andrologia 2021, 53, e14185. [Google Scholar] [CrossRef] [PubMed]













| Structure | Chain ID | Active Site Residues |
|---|---|---|
| Sericin (3ULT) | B | 34, 35, 49, 50, 52, 61, 62, 63, 64, 66, 75, 76, 77, 78, 80, 90, 92, 94, 106, 107, 108 |
| PI3K (1E90) | A | 473, 474, 475, 477, 525, 526, 527, 528;898, 946, 948, 950, 951, 963, 964, 968, 980, 1081, 1087, 1085, 1086, 1088, 1089, 1090, 1091, 1092, 1093, 1094 |
| GPx (2F8A) | A | −1, 0, 12, 13, 125, 156, 129, 130, 131, 170, 172, 179, 174, 175 |
| TNF-α (6OP0) | A | 75, 77, 95, 96, 97, 98, 99, 102, 115, 137 |
| Lesions | Experimental Groups | |||
|---|---|---|---|---|
| Control | Diabetic | Diabetic + Quercetin | Diabetic + Silk Sericin | |
| Fatty degeneration | 5.7 ± 2.1 a | 40 ± 3.1 b | 6.3 ± 2.3 a | 8.7 ± 2.1 a |
| Pyknotic nuclei | 2.3 ± 2.1 a | 29 ± 1.7 b | 4.3 ± 0.6 a | 4.3 ± 1.5 a |
| Dilatation of sinusoidal vasculature | 1.6 ± 0.6 a | 13 ± 3.1 b | 2.0 ± 1.0 a | 2.3 ± 1.5 a |
| Kupffer cells | 15 ± 0.6 a | 25 ± 1.2 b | 18 ± 2.0 a | 17 ± 2.3 a |
| Infiltration of inflammatory cells | 5.7 ± 1.5 a | 185 ± 13 b | 5.7 ± 2.5 a | 7.3 ± 3.5 a |
| Ballooning degeneration | 2.7 ± 1.5 a | 42 ± 5.7 b | 5.0 ± 2.6 a | 4.0 ± 1 a |
| Giant nuclei | 1.7 ± 0.6 a | 4.7 ± 0.6 b | 1.7 ± 0.6 a | 2.0 ± 1 a |
| Protein | Binding Energy (kcal/mol) | Docking Center (Å) | Coordinates (X, Y, Z) |
|---|---|---|---|
| PI3K (1E90) | −8.1 | (X = 22.06, Y = 61.51, Z = 21.79) | X = 22.06, Y = 61.51, Z = 21.79 |
| GPx (2F8A) | −6.4 | (X = 15.49, Y = 19.50, Z = 28.35) | X = 15.49, Y = 19.50, Z = 28.35 |
| TNF-α (6OP0) | −10.3 | (X = −12.09, Y = −0.86, Z = 17.83) | X = −12.09, Y = −0.86, Z = 17.83 |
| Protein | HADDOCK Score (kcal/mol) | RMSD from Lowest-Energy Structure (Å) | Van der Waals Energy (kcal/mol) | Electrostatic Energy (kcal/mol) | Desolvation Energy (kcal/mol) | Z-Score |
|---|---|---|---|---|---|---|
| PI3K (1E90) | −69.3 | 0.5 ± 0.3 | −62.3 ± 7.4 | −330.0 ± 31.0 | 1.3 ± 4.8 | −1.3 |
| GPx (2F8A) | −75.3 | 0.6 ± 0.3 | −47.9 ± 3.6 | −217.6 ± 23.5 | 7.7 ± 2.4 | −2.0 |
| TNF-α (6OP0) | −60.4 | 0.6 ± 0.6 | −46.7 ± 3.7 | −132.0 ± 30.5 | 3.6 ± 3.0 | −1.4 |
Disclaimer/Publisher’s Note: The statements, opinions and data contained in all publications are solely those of the individual author(s) and contributor(s) and not of MDPI and/or the editor(s). MDPI and/or the editor(s) disclaim responsibility for any injury to people or property resulting from any ideas, methods, instructions or products referred to in the content. |
© 2025 by the authors. Licensee MDPI, Basel, Switzerland. This article is an open access article distributed under the terms and conditions of the Creative Commons Attribution (CC BY) license (https://creativecommons.org/licenses/by/4.0/).
Share and Cite
Abdou, H.M.; Elmageed, G.M.A.; Hussein, H.K.; Yamari, I.; Chtita, S.; El-Samad, L.M.; Hassan, M.A. Antidiabetic Effects of Quercetin and Silk Sericin in Attenuating Dysregulation of Hepatic Gluconeogenesis in Diabetic Rats Through Potential Modulation of PI3K/Akt/FOXO1 Signaling: In Vivo and In Silico Studies. J. Xenobiot. 2025, 15, 16. https://doi.org/10.3390/jox15010016
Abdou HM, Elmageed GMA, Hussein HK, Yamari I, Chtita S, El-Samad LM, Hassan MA. Antidiabetic Effects of Quercetin and Silk Sericin in Attenuating Dysregulation of Hepatic Gluconeogenesis in Diabetic Rats Through Potential Modulation of PI3K/Akt/FOXO1 Signaling: In Vivo and In Silico Studies. Journal of Xenobiotics. 2025; 15(1):16. https://doi.org/10.3390/jox15010016
Chicago/Turabian StyleAbdou, Heba M., Ghada M. Abd Elmageed, Hussein K. Hussein, Imane Yamari, Samir Chtita, Lamia M. El-Samad, and Mohamed A. Hassan. 2025. "Antidiabetic Effects of Quercetin and Silk Sericin in Attenuating Dysregulation of Hepatic Gluconeogenesis in Diabetic Rats Through Potential Modulation of PI3K/Akt/FOXO1 Signaling: In Vivo and In Silico Studies" Journal of Xenobiotics 15, no. 1: 16. https://doi.org/10.3390/jox15010016
APA StyleAbdou, H. M., Elmageed, G. M. A., Hussein, H. K., Yamari, I., Chtita, S., El-Samad, L. M., & Hassan, M. A. (2025). Antidiabetic Effects of Quercetin and Silk Sericin in Attenuating Dysregulation of Hepatic Gluconeogenesis in Diabetic Rats Through Potential Modulation of PI3K/Akt/FOXO1 Signaling: In Vivo and In Silico Studies. Journal of Xenobiotics, 15(1), 16. https://doi.org/10.3390/jox15010016

