A Rare Case of High Physical Endurance in Transfusion-Dependent Thalassemia Patients with Poor Cardiac Functions
Abstract
1. Introduction
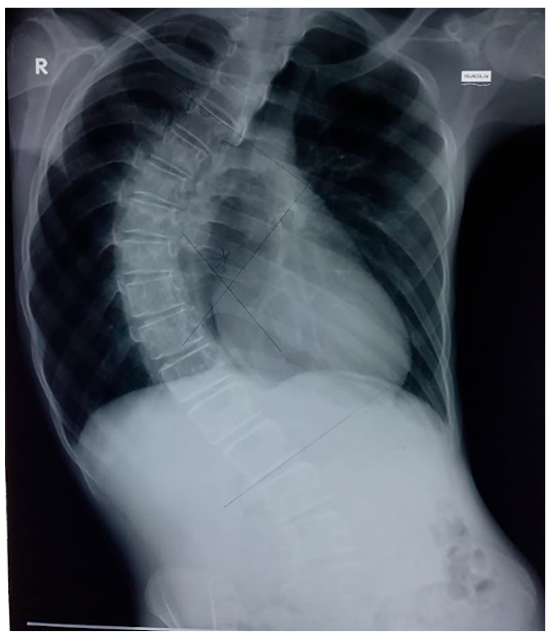
2. Case Presentation
3. Discussion
3.1. Cardiac Function in TDT Patients
3.2. Pharmacological Management for TDT Patients with Poor Cardiac Function
3.3. Non-Pharmacological Management for TDT Patients with Poor Cardiac Function
4. Conclusions
Author Contributions
Funding
Institutional Review Board Statement
Informed Consent Statement
Data Availability Statement
Acknowledgments
Conflicts of Interest
References
- Cappellini, M.D.; Farmakis, D.; Porter, J.; Taher, A. 2021 Thalassemia International Federation Guidelines for the Management of Transfusion-dependent Thalassemia. Hemasphere 2022, 6, e372. [Google Scholar]
 - Sadiq, I.Z.; Abubakar, F.S.; Usman, H.S.; Abdullahi, A.D.; Ibrahim, B.; Kastayal, B.S.; Ibrahim, M.; Hassan, H.A. Thalassemia: Pathophysiology, Diagnosis, and Advances in Treatment. Thalass. Rep. 2024, 14, 81–102. [Google Scholar] [CrossRef]
 - Coates, T.D. Physiology and pathophysiology of iron in hemoglobin-associated diseases. Free. Radic. Biol. Med. 2014, 72, 23–40. [Google Scholar] [CrossRef] [PubMed]
 - Taher, A.T.; Saliba, A.N. Iron overload in thalassemia: Different organs at different rates. Hematol. Am. Soc. Hematol. Educ. Program 2017, 2017, 265–271. [Google Scholar] [CrossRef]
 - Ansharullah, B.A.; Sutanto, H.; Romadhon, P.Z. Thalassemia and Iron Overload Cardiomyopathy: Pathophysiological Insights, Clinical Implications, and Management Strategies. Curr. Probl. Cardiol. 2024, 50, 102911. [Google Scholar] [CrossRef]
 - Chaosuwannakit, N.; Makarawate, P.; Wanitpongpun, C. The importance of cardiac T2* magnetic resonance imaging for monitoring cardiac siderosis in thalassemia major patients. Tomography 2021, 7, 130–138. [Google Scholar] [CrossRef] [PubMed]
 - Westwood, M.A.; Anderson, L.J.; Maceira, A.M.; Shah, F.T.; Prescott, E.; Porter, J.B.; Wonke, B.; Walker, J.M.; Pennell, D.J. Normalized left ventricular volumes and function in thalassemia major patients with normal myocardial iron. J. Magn. Reason. Imaging 2007, 25, 1147–1151. [Google Scholar] [CrossRef]
 - Kirk, P.; Roughton, M.; Porter, J.B.; Walker, J.M.; Tanner, M.A.; Pennell, D.J.; Patel, J.; Wu, D.; Taylor, J.; Westwood, M.A.; et al. Cardiac T2* magnetic resonance for prediction of cardiac complications in thalassemia major. Circulation 2009, 120, 1961–1968. [Google Scholar] [CrossRef]
 - Pepe, A.; Meloni, A.; Rossi, G.; Midiri, M.; Missere, M.; Valeri, G.; Cuccia, L.; Sorrentino, F.; Giuseppe D’Ascola, D.; Spasiano, A.; et al. Prediction of cardiac complications for thalassemia major in the widespread cardiac magnetic resonance era: A prospective multicentre study by a multi-parametric approach. Eur. Heart J. Cardiovasc. Imaging 2018, 19, 299–309. [Google Scholar] [CrossRef]
 - Piatti, G.; Giuditta, M.; Consonni, D.; Cassinerio, E.; Cappellini, M.D. Cardiopulmonary testing in adult patients with β-thalassemia major in comparison to healthy subjects. Ann. Hematol. 2022, 101, 2445–2452. [Google Scholar] [CrossRef]
 - Wagner, J.; Knaier, R.; Infanger, D.; Königstein, K.; Klenk, C.; Carrard, J.; Hanssen, H.; Hinrichs, T.; Seals, D.; Schmidt-Trucksäss, A. Novel CPET Reference Values in Healthy Adults: Associations with Physical Activity. Med. Sci. Sports Exerc. 2021, 53, 26–37. [Google Scholar] [CrossRef] [PubMed]
 - Hasanpour, D.A.; Hasani, T.; Fekri, K.; Deris, F.; Etemadifar, S. Effects of Aquatic Exercise on Dimensions of Quality of Life and Blood Indicators in Patients with Beta-Thalassemia Major. Int. J. Prev. Med. 2020, 11, 128. [Google Scholar]
 - Kremastinos, D.T.; Farmakis, D.; Aessopos, A.; Hahalis, G.; Hamodraka, E.; Tsiapras, D.; Keren, A. β-thalassemia cardiomyopathy: History, present considerations, and future perspectives. Circ. Heart Fail. 2010, 3, 451–458. [Google Scholar] [CrossRef]
 - Berdoukas, V.; Chouliaras, G.; Moraitis, P.; Zannikos, K.; Berdoussi, E.; Ladis, V. The efficacy of iron chelator regimes in reducing cardiac and hepatic iron in patients with thalassaemia major: A clinical observational study. J. Cardiovasc. Magn. Reson. 2009, 11, 20. [Google Scholar] [CrossRef]
 - Aydinok, Y. Combination chelation therapy. Ann. N. Y. Acad Sci. 2023, 1529, 33–41. [Google Scholar] [CrossRef]
 - Evans, P.; Kayyali, R.; Hider, R.C.; Eccleston, J.; Porter, J.B. Mechanisms for the shuttling of plasma non-transferrin-bound iron (NTBI) onto deferoxamine by deferiprone. Transl. Res. 2010, 156, 55–67. [Google Scholar] [CrossRef]
 - Chuang, T.Y.; Li, J.P.; Weng, T.F.; Wu, K.H.; Chao, Y.H. Combined chelation with high-dose deferiprone and deferoxamine to improve survival and restore cardiac function effectively in patients with transfusion-dependent thalassemia presenting severe cardiac complications. Ann. Hematol. 2020, 99, 2289–2294. [Google Scholar] [CrossRef]
 - Wood, J.C. Cardiac complications in thalassemia throughout the lifespan: Victories and challenges. Ann. N. Y. Acad. Sci. 2023, 1530, 64–73. [Google Scholar] [CrossRef] [PubMed]
 - Timmer, T.C.; de Groot, R.; Rijnhart, J.J.M.; Lakerveld, J.; Brug, J.; Perenboom, C.W.M.; Baart, A.M.; Prinsze, F.J.; Zalpuri, S.; van der Schoot, C.E.; et al. Dietary intake of heme iron is associated with ferritin and hemoglobin levels in Dutch blood donors: Results from Donor InSight. Haematologica 2020, 105, 2400–2406. [Google Scholar] [CrossRef]
 - Bajoria, R.; Rekhi, E.; Almusawy, M.; Chatterjee, R. Hepatic hemosiderosis contributes to abnormal vitamin D-PTH axis in thalassemia major. J. Pediatr. Hematol. Oncol. 2019, 41, e83–e89. [Google Scholar] [CrossRef]
 - Napoli, N.; Carmina, E.; Bucchieri, S.; Sferrazza, C.; Rini, G.B.; Di Fede, G. Low serum levels of 25-hydroxy vitamin D in adults affected by thalassemia major or intermedia. Bone 2006, 38, 888–892. [Google Scholar] [CrossRef] [PubMed]
 - Fung, E.B.; Goldberg, E.K.; Bambot, S.; Manzo, R.; Lal, A. Relationships among Physical Activity, Pain, and Bone Health in Youth and Adults with Thalassemia: An Observational Study. Thalass. Rep. 2022, 12, 90–100. [Google Scholar] [CrossRef] [PubMed]
 - Sari, T.T.; Rahmartani, L.D.; Wirahmadi, A.; Selene, N.B.; Iskandar, S.D.; Wahidiyat, P.A. Psychological Burden among Pediatric Thalassemia Major Patients in Indonesia: A Review. Thalass. Rep. 2024, 14, 33–43. [Google Scholar] [CrossRef]
 - Dimitroglou, Y.; Anagnostopoulos, F.; Aggeli, C.; Delicou, S.; Xydaki, A.; Patsourakos, D.; Tousoulis, D. Severity of heart failure and health-related quality of life in beta-thalassemia patients: A cross-sectional study. Ann. Haematol. 2020, 99, 2037–2046. [Google Scholar] [CrossRef]
 


Disclaimer/Publisher’s Note: The statements, opinions and data contained in all publications are solely those of the individual author(s) and contributor(s) and not of MDPI and/or the editor(s). MDPI and/or the editor(s) disclaim responsibility for any injury to people or property resulting from any ideas, methods, instructions or products referred to in the content.  | 
© 2025 by the authors. Licensee MDPI, Basel, Switzerland. This article is an open access article distributed under the terms and conditions of the Creative Commons Attribution (CC BY) license (https://creativecommons.org/licenses/by/4.0/).
Share and Cite
Selene, N.B.; Fitrananda, A.; Situmorang, N.Y.; Ufairah, K.R.; Iskandar, S.D.; Wahidiyat, P.A. A Rare Case of High Physical Endurance in Transfusion-Dependent Thalassemia Patients with Poor Cardiac Functions. Thalass. Rep. 2025, 15, 6. https://doi.org/10.3390/thalassrep15020006
Selene NB, Fitrananda A, Situmorang NY, Ufairah KR, Iskandar SD, Wahidiyat PA. A Rare Case of High Physical Endurance in Transfusion-Dependent Thalassemia Patients with Poor Cardiac Functions. Thalassemia Reports. 2025; 15(2):6. https://doi.org/10.3390/thalassrep15020006
Chicago/Turabian StyleSelene, Nathasha Brigitta, Ayudra Fitrananda, Natasha Yemima Situmorang, Kamilia Rifani Ufairah, Stephen Diah Iskandar, and Pustika Amalia Wahidiyat. 2025. "A Rare Case of High Physical Endurance in Transfusion-Dependent Thalassemia Patients with Poor Cardiac Functions" Thalassemia Reports 15, no. 2: 6. https://doi.org/10.3390/thalassrep15020006
APA StyleSelene, N. B., Fitrananda, A., Situmorang, N. Y., Ufairah, K. R., Iskandar, S. D., & Wahidiyat, P. A. (2025). A Rare Case of High Physical Endurance in Transfusion-Dependent Thalassemia Patients with Poor Cardiac Functions. Thalassemia Reports, 15(2), 6. https://doi.org/10.3390/thalassrep15020006
        
