Comparative Analysis of In Vitro vs. In Vivo dsRNA Production for CHS Silencing and Downstream Flavonoid Pathway Suppression in Arabidopsis thaliana
Abstract
1. Introduction
2. Materials and Methods
2.1. Plant Materials
2.2. Isolation and Sequencing of the AtCHS Transcript
2.3. Obtaining AtCHS-dsRNA
2.3.1. In Vitro Synthesis
2.3.2. In Vivo Synthesis and Purification of dsRNA
2.4. Surface Treatment of Plants
2.5. Total RNA Isolation and Reverse Transcription
2.6. Gene Expression Analysis
2.7. Qualitative and Quantitative Determination of Flavonoids
2.8. Statistical Analysis
3. Results
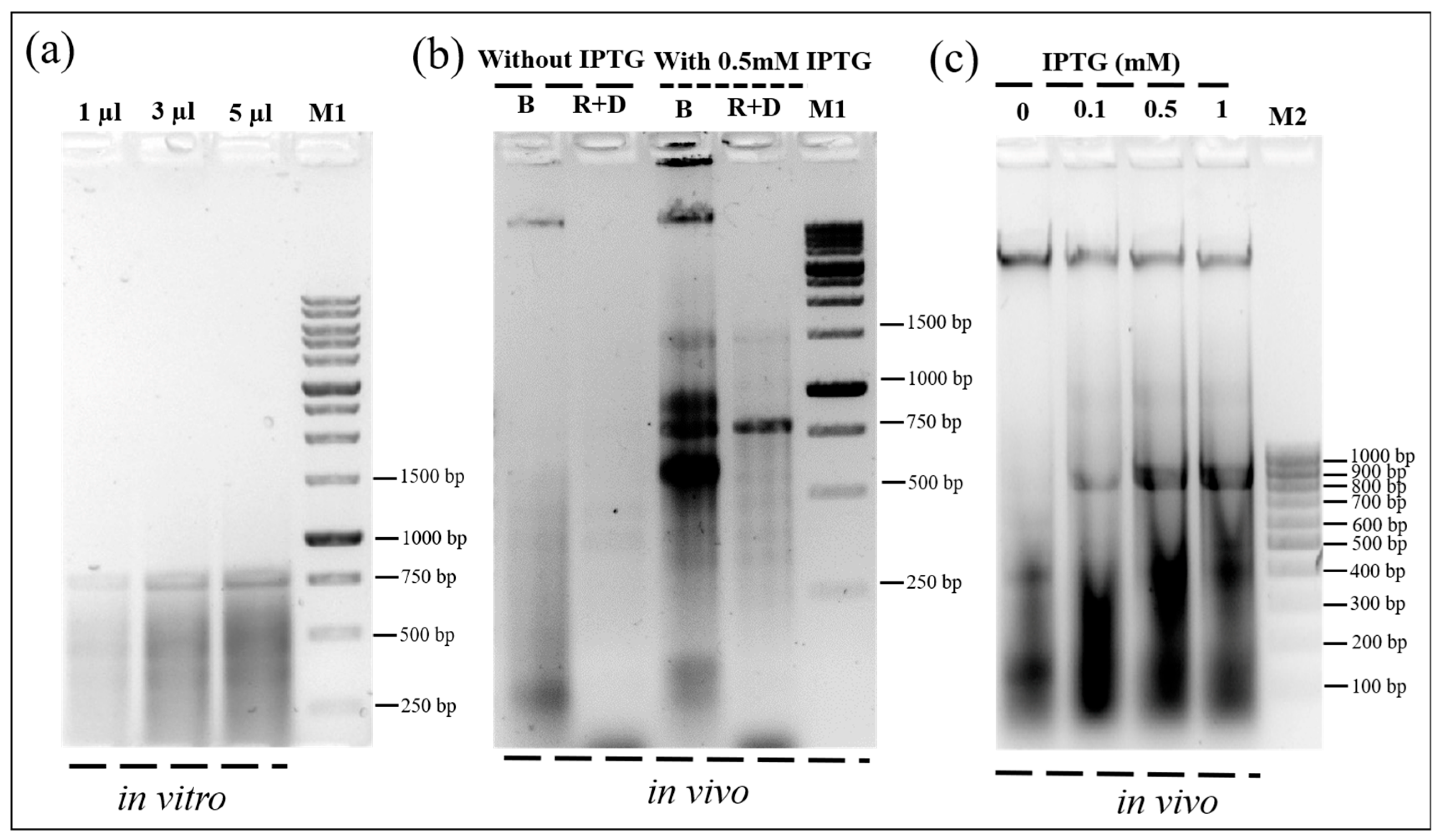
3.1. Synthesis and Optimization of AtCHS-dsRNA Production In Vitro and In Vivo
3.2. Effect of AtCHS-dsRNA on the Accumulation of Flavonoids
3.3. Effect of Exogenous AtCHS-dsRNA on the Expression of Flavonoid Biosynthetic Genes
4. Discussion
5. Conclusions
Supplementary Materials
Author Contributions
Funding
Data Availability Statement
Acknowledgments
Conflicts of Interest
References
- Napoli, C.; Lemieux, C.; Jorgensen, R. Introduction of a Chimeric Chalcone Synthase Gene into Petunia Results in Reversible Co-Suppression of Homologous Genes in Trans. Plant Cell 1990, 2, 279–289. [Google Scholar] [CrossRef]
- Nityagovsky, N.N.; Kiselev, K.V.; Suprun, A.R.; Dubrovina, A.S. Exogenous dsRNA Induces RNA Interference of a Chalcone Synthase Gene in Arabidopsis thaliana. Int. J. Mol. Sci. 2022, 23, 5325. [Google Scholar] [CrossRef] [PubMed]
- Morita, H.; Abe, I.; Noguchi, H. 1.06–Plant Type III PKS. In Comprehensive Natural Products II; Liu, H.-W., Mander, L., Eds.; Elsevier: Oxford, UK, 2010; pp. 171–225. [Google Scholar]
- Kiselev, K.V.; Suprun, A.R.; Aleynova, O.A.; Ogneva, Z.V.; Kalachev, A.V.; Dubrovina, A.S. External dsRNA Downregulates Anthocyanin Biosynthesis-Related Genes and Affects Anthocyanin Accumulation in Arabidopsis thaliana. Int. J. Mol. Sci. 2021, 22, 6749. [Google Scholar] [CrossRef] [PubMed]
- Khalid, M.; Saeed-ur-Rahman; Bilal, M.; Huang, D. Role of Flavonoids in Plant Interactions with the Environment and against Human Pathogens—A Review. J. Integr. Agric. 2019, 18, 211–230. [Google Scholar] [CrossRef]
- Dubrovina, A.S.; Suprun, A.R.; Kiselev, K.V. Regulation of Plant Genes with Exogenous RNAs. Int. J. Mol. Sci. 2025, 26, 6773. [Google Scholar] [CrossRef]
- Cisneros, A.E.; De La Torre-Montaña, A.; Carbonell, A. Systemic Silencing of an Endogenous Plant Gene by Two Classes of Mobile 21-nucleotide Artificial Small RNAs. Plant J. 2022, 110, 1166–1181. [Google Scholar] [CrossRef]
- Betti, F.; Ladera-Carmona, M.J.; Weits, D.A.; Ferri, G.; Iacopino, S.; Novi, G.; Svezia, B.; Kunkowska, A.B.; Santaniello, A.; Piaggesi, A.; et al. Exogenous miRNAs Induce Post-Transcriptional Gene Silencing in Plants. Nat. Plants 2021, 7, 1379–1388. [Google Scholar] [CrossRef]
- Borges, F.; Martienssen, R.A. The Expanding World of Small RNAs in Plants. Nat. Rev. Mol. Cell Biol. 2015, 16, 727–741. [Google Scholar] [CrossRef]
- Rodríguez Melo, J.; Mammarella, F.; Ariel, F. Exogenous RNAs: Promising Tools for the Second Green Revolution. J. Exp. Bot. 2023, 74, 2323–2337. [Google Scholar] [CrossRef]
- Morozov, S.Y.; Solovyev, A.G.; Kalinina, N.O.; Taliansky, M.E. Double-Stranded RNAs in Plant Protection Against Pathogenic Organisms and Viruses in Agriculture. Acta Naturae 2019, 11, 13–21. [Google Scholar] [CrossRef]
- Wang, M.; Jin, H. Spray-Induced Gene Silencing: A Powerful Innovative Strategy for Crop Protection. Trends Microbiol. 2017, 25, 4–6. [Google Scholar] [CrossRef] [PubMed]
- Sundaresha, S.; Bairwa, A.; Tomar, M.; Kumar, R.; Venkatasalam, E.P.; Sagar, V.; Bhardwaj, V.; Sharma, S. In Vitro Method for Synthesis of Large-Scale dsRNA Molecule as a Novel Plant Protection Strategy. In Plant Gene Silencing: Methods and Protocols; Mysore, K.S., Senthil-Kumar, M., Eds.; Methods in Molecular Biology; Humana: New York, NY, USA, 2022; pp. 211–226. [Google Scholar]
- Chen, N.; Dai, X.; Hu, Q.; Tan, H.; Qiao, L.; Lu, L. Sprayable Double-Stranded RNA Mediated RNA Interference Reduced Enzymatic Browning of Fresh-Cut Potatoes. Postharvest Biol. Technol. 2023, 206, 112563. [Google Scholar] [CrossRef]
- Mo, Q.; Beibei, L.; Sun, Y.; Wu, X.; Song, L.; Cai, R.; Tang, X. Screening and Production of dsRNA Molecules for Protecting Cucumis Sativus Against Cucumber Mosaic Virus Through Foliar Application. Plant Biotechnol. Rep. 2022, 16, 409–418. [Google Scholar] [CrossRef]
- Delgado-Martín, J.; Ruiz, L.; Janssen, D.; Velasco, L. Exogenous Application of dsRNA for the Control of Viruses in Cucurbits. Front. Plant Sci. 2022, 13, 895953. [Google Scholar] [CrossRef]
- Wuthisathid, K.; Chaijarasphong, T.; Chotwiwatthanakun, C.; Somrit, M.; Sritunyalucksana, K.; Itsathitphaisarn, O. Co-Expression of Double-Stranded RNA and Viral Capsid Protein in the Novel Engineered Escherichia coli DualX-B15(DE3) Strain. BMC Microbiol. 2021, 21, 88. [Google Scholar] [CrossRef]
- Guan, R.; Chu, D.; Han, X.; Miao, X.; Li, H. Advances in the Development of Microbial Double-Stranded RNA Production Systems for Application of RNA Interference in Agricultural Pest Control. Front. Bioeng. Biotechnol. 2021, 9, 753790. [Google Scholar] [CrossRef]
- da Rosa, J.; Viana, A.J.C.; Ferreira, F.R.A.; Koltun, A.; Mertz-Henning, L.M.; Marin, S.R.R.; Rech, E.L.; Nepomuceno, A.L. Optimizing dsRNA Engineering Strategies and Production in E. coli HT115 (DE3). J. Ind. Microbiol. Biotechnol. 2024, 51, kuae028. [Google Scholar] [CrossRef]
- Gan, D.; Zhang, J.; Jiang, H.; Jiang, T.; Zhu, S.; Cheng, B. Bacterially Expressed dsRNA Protects Maize against SCMV Infection. Plant Cell Rep. 2010, 29, 1261–1268. [Google Scholar] [CrossRef]
- Mohd Kamal, K.; Mahamad Maifiah, M.H.; Abdul Rahim, N.; Hashim, Y.Z.H.-Y.; Abdullah Sani, M.S.; Azizan, K.A. Bacterial Metabolomics: Sample Preparation Methods. Biochem. Res. Int. 2022, 2022, 9186536. [Google Scholar] [CrossRef]
- Dubrovina, A.S.; Aleynova, O.A.; Ogneva, Z.V.; Suprun, A.R.; Ananev, A.A.; Kiselev, K.V. The Effect of Abiotic Stress Conditions on Expression of Calmodulin (CaM) and Calmodulin-like (CML) Genes in Wild-Growing Grapevine Vitis amurensis. Plants 2019, 8, 602. [Google Scholar] [CrossRef]
- Suprun, A.R.; Kiselev, K.V.; Dubrovina, A.S. Exogenously Induced Silencing of Four MYB Transcription Repressor Genes and Activation of Anthocyanin Accumulation in Solanum lycopersicum. Int. J. Mol. Sci. 2023, 24, 9344. [Google Scholar] [CrossRef]
- Livak, K.J.; Schmittgen, T.D. Analysis of Relative Gene Expression Data Using Real-Time Quantitative PCR and the 2(-Delta Delta C(T)) Method. Methods 2001, 25, 402–408. [Google Scholar] [CrossRef] [PubMed]
- de Mendiburu, F. Statistical Procedures for Agricultural Research, Version 1.3-7; CRAN (The Comprehensive R Archive Network): Vienna, Austria, 2006.
- Wickham, H.; Averick, M.; Bryan, J.; Chang, W.; McGowan, L.; François, R.; Grolemund, G.; Hayes, A.; Henry, L.; Hester, J.; et al. Welcome to the Tidyverse. J. Open Source Softw. 2019, 4, 1686. [Google Scholar] [CrossRef]
- Chaves-Silva, S.; dos Santos, A.L.; Chalfun-Júnior, A.; Zhao, J.; Peres, L.E.P.; Benedito, V.A. Understanding the Genetic Regulation of Anthocyanin Biosynthesis in Plants–Tools for Breeding Purple Varieties of Fruits and Vegetables. Phytochemistry 2018, 153, 11–27. [Google Scholar] [CrossRef] [PubMed]
- Zhao, X.; Liu, Z.; Liu, Y.; Lu, M.; Xu, J.; Wu, F.; Jin, W. Development and Application of an RNA Nanostructure to Induce Transient RNAi in Difficult Transgenic Plants. Biotechnol. J. 2024, 19, 2400024. [Google Scholar] [CrossRef]
- Cedillo-Jimenez, C.A.; Guevara-Gonzalez, R.G.; Cruz-Hernandez, A. Exogenous dsRNA Sequence Based on miR1917 Downregulates Its Target Gene Related to Ethylene Signaling in Tomato Seedlings and Fruit. Sci. Hortic. 2024, 331, 113090. [Google Scholar] [CrossRef]
- Hamdan, M.F.; Tan, B.C. Genetic Modification Techniques in Plant Breeding: A Comparative Review of CRISPR/Cas and GM Technologies. Hortic. Plant J. 2025, 11, 1807–1829. [Google Scholar] [CrossRef]
- Pal, G.; Ingole, K.D.; Yavvari, P.S.; Verma, P.; Kumari, A.; Chauhan, C.; Chaudhary, D.; Srivastava, A.; Bajaj, A.; Vemanna, R.S. Exogenous Application of Nanocarrier-Mediated Double-Stranded RNA Manipulates Physiological Traits and Defence Response against Bacterial Diseases. Mol. Plant Pathol. 2024, 25, e13417. [Google Scholar] [CrossRef]
- Takiff, H.E.; Chen, S.M.; Court, D.L. Genetic Analysis of the Rnc Operon of Escherichia coli. J. Bacteriol. 1989, 171, 2581–2590. [Google Scholar] [CrossRef]
- Zotti, M.; dos Santos, E.A.; Cagliari, D.; Christiaens, O.; Taning, C.N.T.; Smagghe, G. RNA Interference Technology in Crop Protection against Arthropod Pests, Pathogens and Nematodes. Pest Manag. Sci. 2018, 74, 1239–1250. [Google Scholar] [CrossRef]
- Ma, Z.; Zhou, H.; Wei, Y.; Yan, S.; Shen, J. A Novel Plasmid–Escherichia coli Systemproduces Large Batch dsRNAs for Insect Genesilencing. Pest Manag. Sci. 2020, 76, 2505–2512. [Google Scholar] [CrossRef]
- Fadeev, R.R. The Optimized Method to Isolate Heterologous DSRNA Expressed in Escherichia coli Ht115(De3). Agric. Biol. 2024, 59, 460–472. [Google Scholar] [CrossRef]
- Elomaa, P.; Helariutta, Y.; Kotilainen, M.; Teeri, T.H. Transformation of Antisense Constructs of the Chalcone Synthase Gene Superfamily into Gerbera Hybrida: Differential Effect on the Expression of Family Members. Mol. Breed. 1996, 2, 41–50. [Google Scholar] [CrossRef]
- Dao, T.T.H.; Linthorst, H.J.M.; Verpoorte, R. Chalcone Synthase and Its Functions in Plant Resistance. Phytochem. Rev. 2011, 10, 397–412. [Google Scholar] [CrossRef]
- Wang, Z.; Yu, Q.; Shen, W.; El Mohtar, C.A.; Zhao, X.; Gmitter, F.G. Functional Study of CHS Gene Family Members in Citrus Revealed a Novel CHS Gene Affecting the Production of Flavonoids. BMC Plant Biol. 2018, 18, 189. [Google Scholar] [CrossRef]





| System | Type of RNA Measured | Quantification Method | Yield | Cost of 1 mg dsRNA * |
|---|---|---|---|---|
| MEGAscript RNAi Kit (Thermo Fisher Scientific) | dsRNA fragment of the AtCHS gene | Spectrophotometry (NanoDrop) and electrophoresis in 2% agarose gel | 22 mg dsRNA per kit | 100–130 USD |
| E. coli HT115(DE3) with plasmid pL4440/AtCHS | Total RNA before RNase and DNase treatment | 7.8 mg dsRNA per 1 L of bacterial culture | 5–7 USD | |
| Total RNA after RNase and DNase treatment | 3.8 mg dsRNA per 1 L of bacterial culture |
Disclaimer/Publisher’s Note: The statements, opinions and data contained in all publications are solely those of the individual author(s) and contributor(s) and not of MDPI and/or the editor(s). MDPI and/or the editor(s) disclaim responsibility for any injury to people or property resulting from any ideas, methods, instructions or products referred to in the content. |
© 2026 by the authors. Licensee MDPI, Basel, Switzerland. This article is an open access article distributed under the terms and conditions of the Creative Commons Attribution (CC BY) license.
Share and Cite
Suprun, A.R.; Vinogradova, S.A.; Kiselev, K.V.; Nityagovsky, N.N.; Dubrovina, A.S. Comparative Analysis of In Vitro vs. In Vivo dsRNA Production for CHS Silencing and Downstream Flavonoid Pathway Suppression in Arabidopsis thaliana. Int. J. Plant Biol. 2026, 17, 28. https://doi.org/10.3390/ijpb17040028
Suprun AR, Vinogradova SA, Kiselev KV, Nityagovsky NN, Dubrovina AS. Comparative Analysis of In Vitro vs. In Vivo dsRNA Production for CHS Silencing and Downstream Flavonoid Pathway Suppression in Arabidopsis thaliana. International Journal of Plant Biology. 2026; 17(4):28. https://doi.org/10.3390/ijpb17040028
Chicago/Turabian StyleSuprun, Andrey R., Stanislava A. Vinogradova, Konstantin V. Kiselev, Nikolay N. Nityagovsky, and Alexandra S. Dubrovina. 2026. "Comparative Analysis of In Vitro vs. In Vivo dsRNA Production for CHS Silencing and Downstream Flavonoid Pathway Suppression in Arabidopsis thaliana" International Journal of Plant Biology 17, no. 4: 28. https://doi.org/10.3390/ijpb17040028
APA StyleSuprun, A. R., Vinogradova, S. A., Kiselev, K. V., Nityagovsky, N. N., & Dubrovina, A. S. (2026). Comparative Analysis of In Vitro vs. In Vivo dsRNA Production for CHS Silencing and Downstream Flavonoid Pathway Suppression in Arabidopsis thaliana. International Journal of Plant Biology, 17(4), 28. https://doi.org/10.3390/ijpb17040028

