Complicated Pneumonia in a Child: Hydropneumothorax Associated with MIS-C and GAS Superinfection
Abstract
1. Introduction
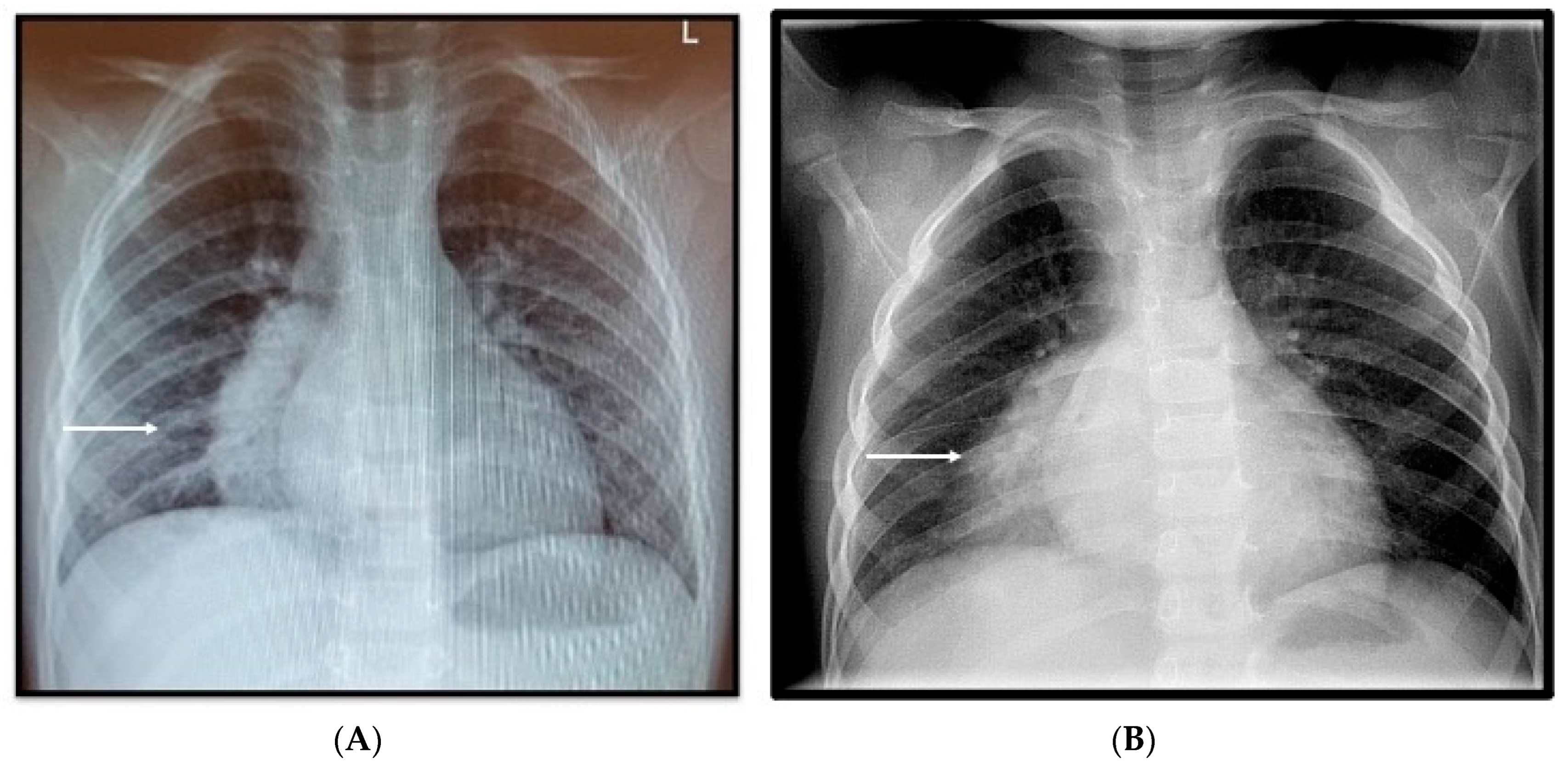
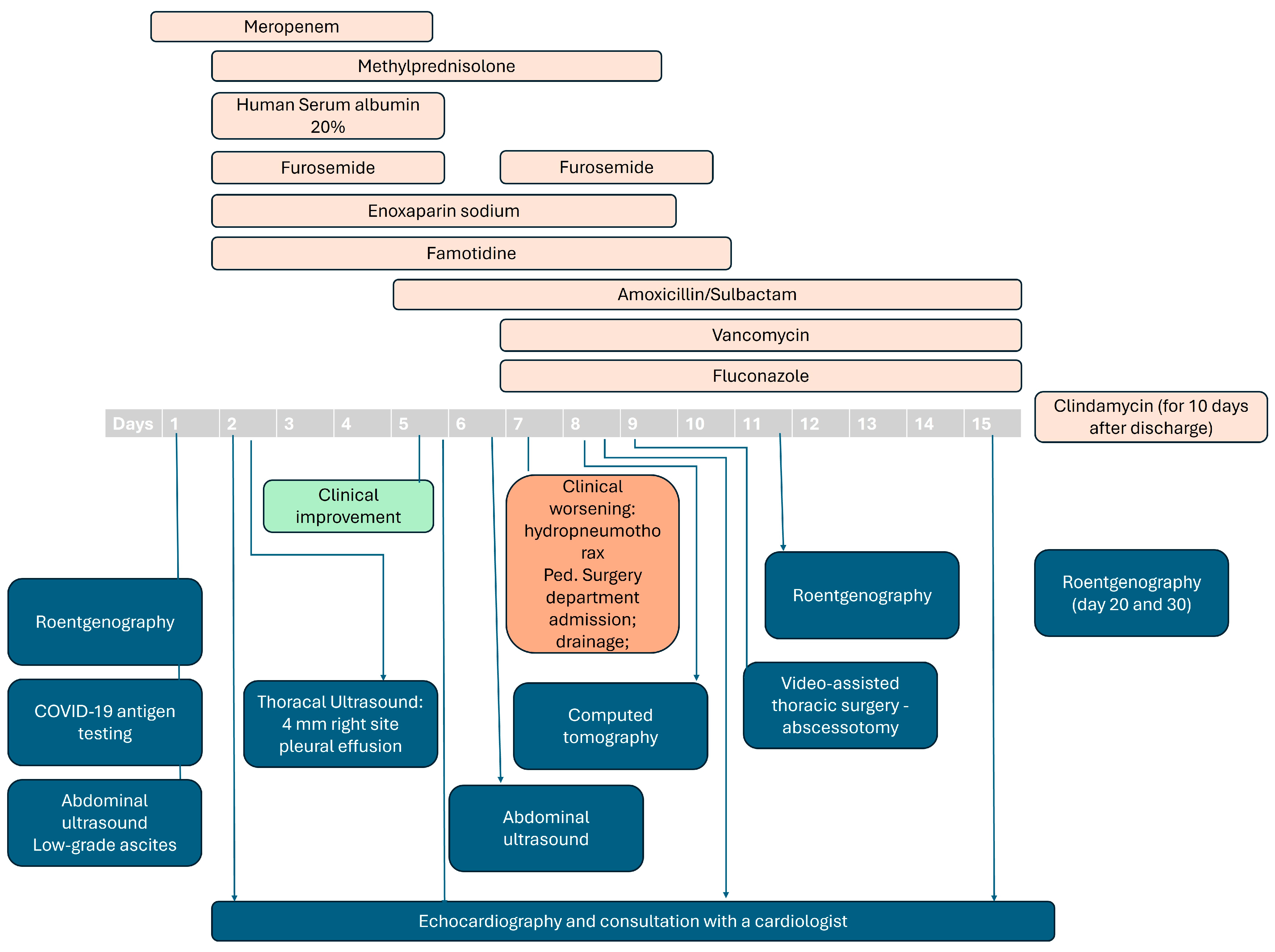
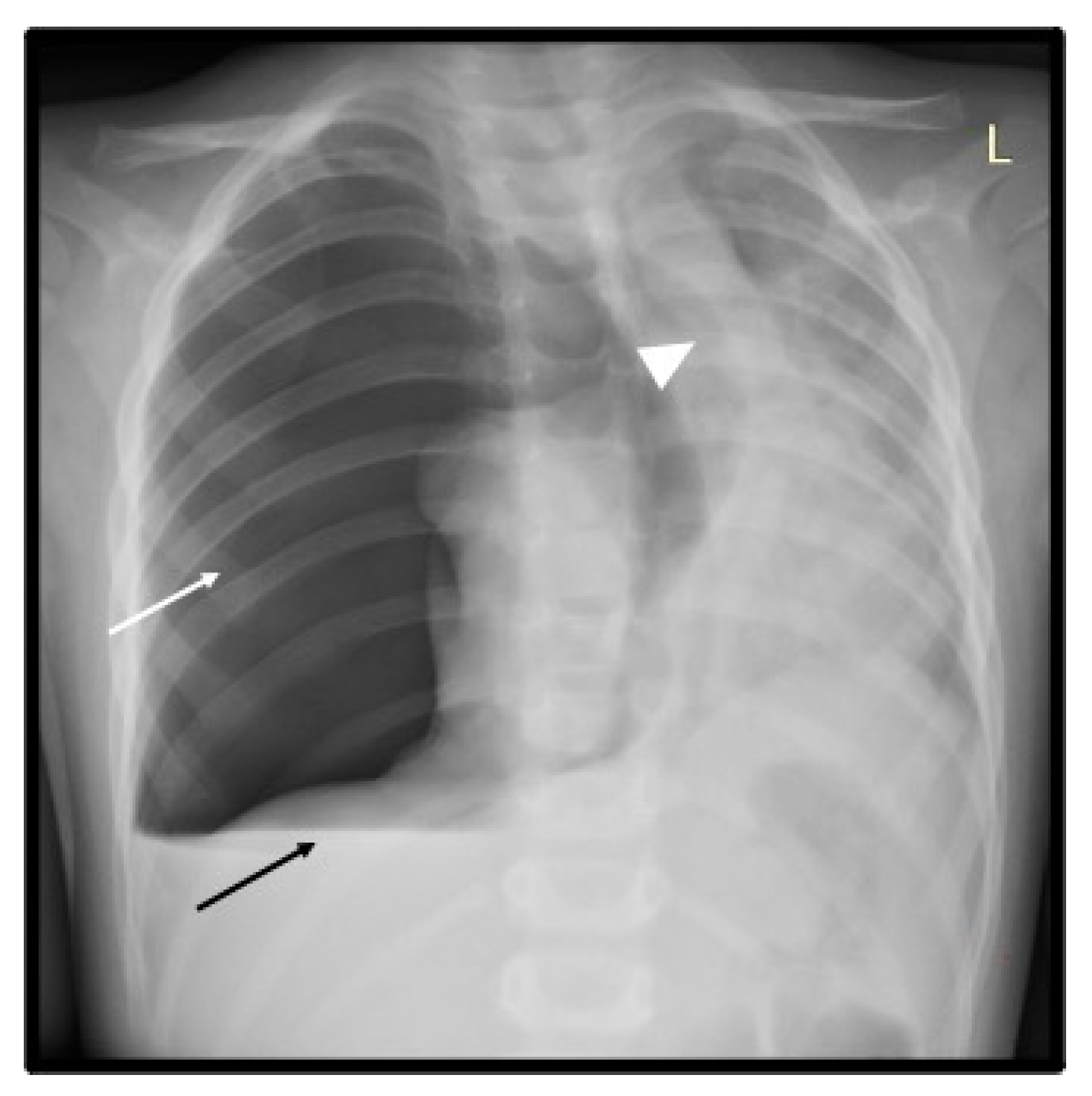
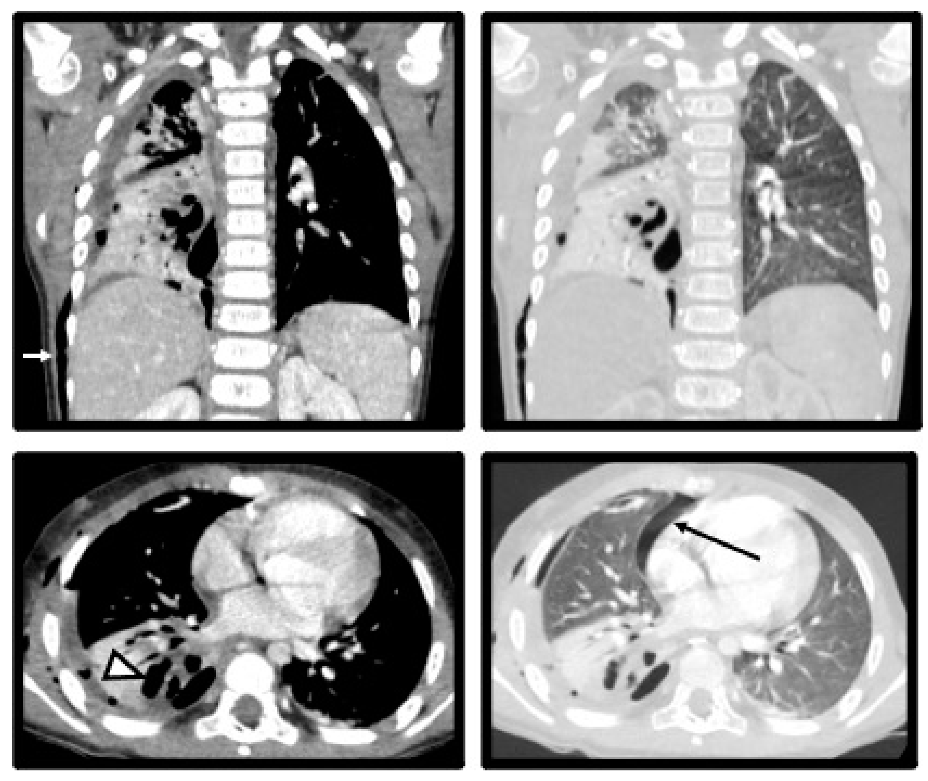
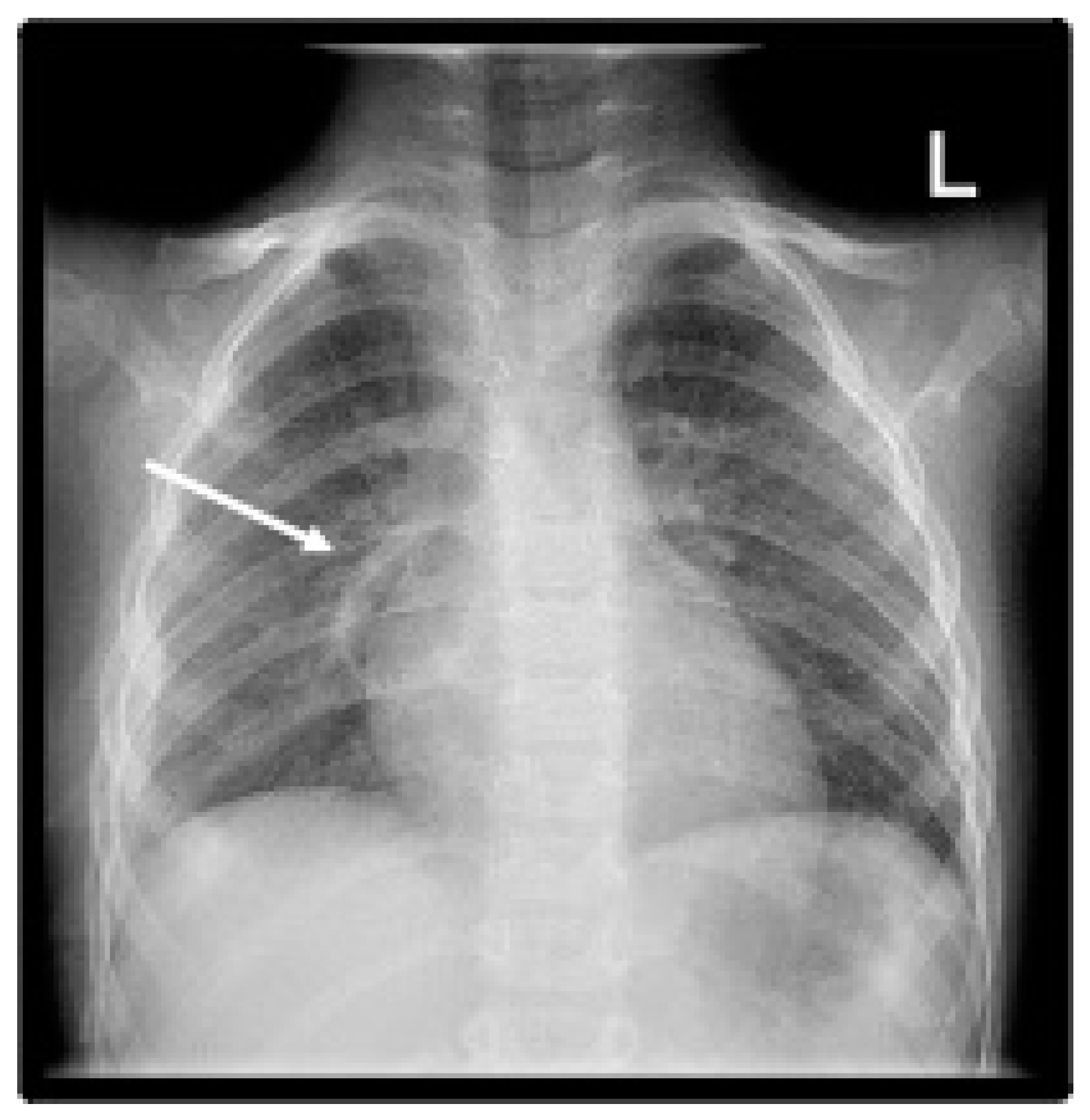
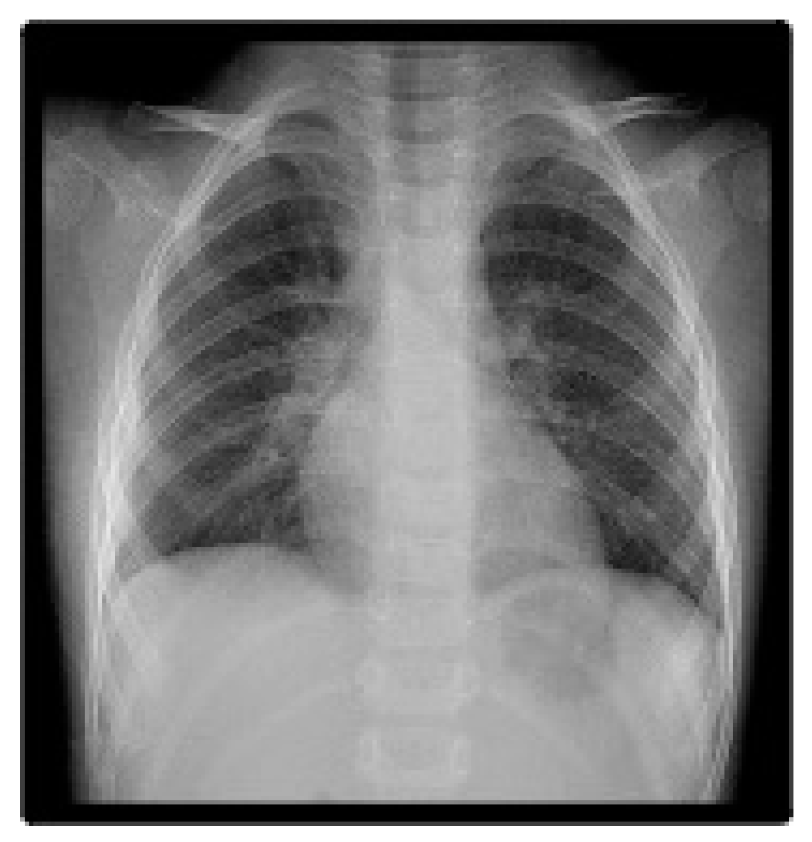
2. Case Report
3. Discussion
4. Conclusions
Author Contributions
Funding
Institutional Review Board Statement
Informed Consent Statement
Data Availability Statement
Acknowledgments
Conflicts of Interest
References
- Rodrigues, C.M.C.; Groves, H. Community-Acquired Pneumonia in Children: The Challenges of Microbiological Diagnosis. J. Clin. Microbiol. 2018, 56, e01318-17. [Google Scholar] [CrossRef] [PubMed]
- Harris, M.; Clark, J.; Coote, N.; Fletcher, P.; Harnden, A.; McKean, M.; Thomson, A. British Thoracic Society guidelines for the management of community acquired pneumonia in children: Update 2011. Thorax 2011, 66 (Suppl. 2), ii1–ii23. Available online: http://www.ncbi.nlm.nih.gov/pubmed/21903691 (accessed on 1 October 2011). [CrossRef]
- Pabary, R.; Balfour-Lynn, I.M. Complicated pneumonia in children. Breathe 2013, 9, 210–222. [Google Scholar] [CrossRef]
- Atkinson, M.; Lakhanpaul, M.; Smyth, A.; Vyas, H.; Weston, V.; Sithole, J.; Owen, V.; Halliday, K.; Sammons, H.; Crane, J.; et al. Comparison of oral amoxicillin and intravenous benzyl penicillin for community acquired pneumonia in children (PIVOT trial): A multicentre pragmatic randomised controlled equivalence trial. Thorax 2007, 62, 1102–1106. [Google Scholar] [CrossRef] [PubMed]
- Bowen, S.-J.M.; Thomson, A.H. British Thoracic Society Paediatric Pneumonia Audit: A review of 3 years of data: Table 1. Thorax 2013, 68, 682–683. [Google Scholar] [CrossRef]
- de Benedictis, F.M.; Kerem, E.; Chang, A.B.; Colin, A.A.; Zar, H.J.; Bush, A. Complicated pneumonia in children. Lancet 2020, 396, 786–798. Available online: https://linkinghub.elsevier.com/retrieve/pii/S0140673620315506 (accessed on 12 September 2020). [CrossRef]
- Oyinloye, O.I.; Adeboye, M.A.N.; Abdulkarim, A.A.; Abdur-Rahman, L.O.; Adesiyun, O.A.M. Traumatic diaphragmatic hernia masquerading as leftsided hydropneumothorax: A case report. Ann. Trop. Paediatr. 2010, 30, 57–60. [Google Scholar] [CrossRef] [PubMed]
- Kose, M.; Bilgin, M.; Kontas, O.; Ozturk, S.; Doganay, S.; Ozdemir, M.A. A case of mucoepidermoid carcinoma of the bronchus presented with hydropneumothorax in a child. Pediatr. Pulmonol. 2014, 49, E86–E89. [Google Scholar] [CrossRef]
- Ortega, C.; Gonzales, C.; Soto-Martinez, M.E.; Yock-Corrales, A. Hydropneumothorax in Children: A Rare Complication of a Bacterial Pneumonia. Case Rep. Pediatr. 2016, 2016, 8097105. Available online: http://www.hindawi.com/journals/cripe/2016/8097105/ (accessed on 9 May 2016). [CrossRef] [PubMed]
- Tal, T.E.; Morin, M.-P.; Morris, S.K.; Farrar, D.S.; Berard, R.A.; Kakkar, F.; Hepburn, C.M.; Baerg, K.; Beaufils, C.; Bennett, T.L.; et al. Epidemiology and role of SARS-CoV-2 Linkage in Paediatric Inflammatory Multisystem Syndrome (PIMS): A Canadian Paediatric Surveillance Program National Prospective Study. medRxiv 2022, 49. Available online: http://medrxiv.org/content/early/2022/05/27/2022.05.27.22275613.abstract (accessed on 1 April 2023).
- Abraham, P.; Marin, G.; Filleron, A.; Michon, A.-L.; Marchandin, H.; Godreuil, S.; Rodière, M.; Sarrabay, G.; Touitou, I.; Meslin, P.; et al. Evaluation of post-infectious inflammatory reactions in a retrospective study of 3 common invasive bacterial infections in pediatrics. Medicine 2022, 101, e30506. [Google Scholar] [CrossRef]
- Lazova, S.; Tzotcheva, I.; Alexandrova, T.; Gorelyova, N.; Rangelov, E.; Ganev, B.; Velikova, T. Acute gastrointestinal symptoms in children with multisystem inflammatory syndrome—A literature review with the presentation of two clinical cases. A Pediatr. 2021, 2, 64–69. [Google Scholar]
- Lazova, S.; Alexandrova, T.; Gorelyova-Stefanova, N.; Atanasov, K.; Tzotcheva, I.; Velikova, T. Liver Involvement in Children with COVID-19 and Multisystem Inflammatory Syndrome: A Single-Center Bulgarian Observational Study. Microorganisms 2021, 9, 1958. [Google Scholar] [CrossRef] [PubMed]
- Ilieva, E.; Kostadinova, V.; Tzotcheva, I.; Rimpova, N.; Paskaleva, Y.; Lazova, S. Abdominal and Thoracic Imaging Features in Children with MIS-C. Gastroenterol. Insights 2022, 13, 313–325. [Google Scholar] [CrossRef]
- Mileva, N.; Vasilev, G.H.; Ganev, B.; Chervenkov, L.; Batselova, H.; Tzotcheva, I.; Tomov, L.; Velikova, T.; Lazova, S. Cardiovascular Manifestations of Multisystem Inflammatory Syndrome in Children: A Single-Center Bulgarian Study. Medicina 2023, 59, 2175. [Google Scholar] [CrossRef] [PubMed]
- Montgomery, A.B.; Finck, C. Spontaneous hemopneumothorax in an adolescent with COVID-19. J. Pediatr. Surg. Case Rep. 2021, 69, 101852. Available online: https://linkinghub.elsevier.com/retrieve/pii/S2213576621000749 (accessed on 1 June 2021). [CrossRef]
- Long, A.; Grimaldo, F. Spontaneous hemopneumothorax in a patient with COVID-19. Am. J. Emerg. Med. 2021, 40, 228.e1–228.e2. Available online: https://linkinghub.elsevier.com/retrieve/pii/S0735675720306604 (accessed on 1 February 2021). [CrossRef]
- Chen, N.; Zhou, M.; Dong, X.; Qu, J.; Gong, F.; Han, Y.; Qiu, Y.; Wang, J.; Liu, Y.; Wei, Y.; et al. Epidemiological and clinical characteristics of 99 cases of 2019 novel coronavirus pneumonia in Wuhan, China: A descriptive study. Lancet 2020, 395, 507–513. Available online: https://linkinghub.elsevier.com/retrieve/pii/S0140673620302117 (accessed on 15 February 2020). [CrossRef] [PubMed]
- Yang, F.; Shi, S.; Zhu, J.; Shi, J.; Dai, K.; Chen, X. Analysis of 92 deceased patients with COVID-19. J. Med. Virol. 2020, 92, 2511–2515. [Google Scholar] [CrossRef]
- Salehi, S.; Abedi, A.; Balakrishnan, S.; Gholamrezanezhad, A. Coronavirus Disease 2019 (COVID-19): A Systematic Review of Imaging Findings in 919 Patients. Am. J. Roentgenol. 2020, 215, 87–93. [Google Scholar] [CrossRef] [PubMed]
- Ferreira, J.G.; Rapparini, C.; Gomes, B.M.; Pinto, L.A.C. Pneumothorax as a late complication of COVID-19. Rev. Inst. Med. Trop. Sao Paulo 2020, 62, e61. Available online: http://www.scielo.br/scielo.php?script=sci_arttext&pid=S0036-46652020000100516&tlng=en (accessed on 31 August 2020). [CrossRef] [PubMed]
- Saeed, A.; Ziyaee, F.; Rafiee, F.; Bahmanzadegan Jahromi, M.; Roosta, S. Bilateral Spontaneous Pneumothorax in a Child with Multisystem Inflammatory Syndrome Associated with COVID-19. Arch. Pediatr. Infect. Dis. 2022, 11, e128964. Available online: https://brieflands.com/articles/apid-128964.html (accessed on 20 September 2022). [CrossRef]
- Laaribi, I.; Mimouni, H.; Bouayed, Z.; El Aidouni, G.; Berrichi, S.; Bahouh, C.; Bkiyar, H.; Housni, B. Bilateral spontaneous pneumothorax in critically-ill COVID-19 infants: About two cases. Ann. Med. Surg. 2022, 73, 103172. [Google Scholar] [CrossRef]
- Revenco, N.; Jivalcovschi, A.; Andries, L.; Gudumac, E.; Pasicovschi, T.; Seu, M.; Dolapciu, O.G.E. Uncommon Presentation of COVID-19 in a Child: Association of Mis-C With Necrotizing Pneumonia and Spontaneous Pneumothorax. Asian J. Sci. Technol. 2021, 12, 11924–11928. [Google Scholar]
- Bellini, T.; Brisca, G.; Mariani, M.; Caorsi, R.; Bustaffa, M.; Drago, E.; Strati, M.F.; Piccotti, E.; Moscatelli, A.; Gattorno, M.; et al. Epidemiological and clinical evolution of multisystem inflammatory syndrome in children throughout the SARS-CoV-2 pandemic in a tertiary Italian children’s hospital. Acta Paediatr. 2024, 113, 523–530. [Google Scholar] [CrossRef]
- Available online: https://www.gov.uk/government/news/ukhsa-update-on-scarlet-fever-and-invasive-group-a-strep-1 (accessed on 2 December 2022).
- Available online: https://www.cdc.gov/groupastrep/igas-infections-investigation.html (accessed on 10 March 2023).
- Available online: https://www.cdc.gov/mmwr/volumes/72/wr/mm7210a4.htm (accessed on 10 March 2023).
- Available online: https://www.cdc.gov/group-a-strep/hcp/clinical-guidance/scarlet-fever.html (accessed on 1 March 2024).
- Martin, J. The Carrier State of Streptococcus pyogenes. In Streptococcus Pyogenes: Basic Biology to Clinical Manifestations, 2nd ed.; Ferretti, J.J., Stevens, D.L., Fischetti, V.A., Eds.; Unive: Oklahoma City, OK, USA, 2022. [Google Scholar]
- Available online: https://www.who.int/emergencies/disease-outbreak-news/item/2022-DON429 (accessed on 8 October 2022).
- Available online: https://ndc.services.cdc.gov/case-definitions/streptococcus-disease-invasive-group-a-1995/ (accessed on 8 October 2022).
- Pemira, S.M.; Tolan, R.W. Invasive Group A Streptococcus Infection Presenting as Purulent Pericarditis with Multiple Splenic Abscesses. Clin. Pediatr. 2012, 51, 436–441. [Google Scholar] [CrossRef] [PubMed]
- Oyedokun, K.S.; Kandasamy, S.; Adeniyi, F. Suppurative Pulmonary Sequelae of Invasive Group a Streptococcus in 5-Year Old Child. J. Case Rep. Med. Sci. 2018, 4, 24–27. [Google Scholar]
- Linga, V.; Kibuule, G.N.; O’Dell, M.; Mattamal, R. Atypical Kawasaki Disease Secondary to Streptococcal pyogenes. Pediatrics 2020, 146, 174–175. Available online: https://publications.aap.org/pediatrics/article/146/1_MeetingAbstract/174/4167/Atypical-Kawasaki-Disease-Secondary-to (accessed on 1 July 2020). [CrossRef]
- Cheng, A.; Vintch, J. Necrotizing Pneumonia and Toxic Shock Caused by Group a Streptococcus: A Case Report. Chest 2016, 150, 163A. Available online: https://journal.chestnet.org/article/S0012-3692(16)56371-5/fulltext (accessed on 1 October 2016). [CrossRef]






| Day 1 * | Day 2 | Day 5 | Day 7 ** | Day 8 | Day 9 | Day 10 | Day 15 | |
|---|---|---|---|---|---|---|---|---|
| WBC/Leukocytes, 109/L | 14.28 | N/A | 23.24 | 23.3 | 30.0 | 35.8 | 201 | 8.4 |
| Neutrophils abs, 109/L | 11.23 | N/A | 14.78 | 17.5 | 22.9 | 32.4 | 1.81 | 3.5 |
| Neutrophils, % | 78.7 | N/A | 63.3 | 74.9 | 76 | 92.1 | 73 | 41 |
| Lymphocytes, abs | 1.99 | N/A | 5.6 | 4.3 | 5.4 | 2.4 | 4 | 4.3 |
| Lymphocytes, % | 13.9 | N/A | 24.1 | 18.3 | 18.2 | 6.9 | 20 | 56 |
| PLT, 109/L | 165 | N/A | 615 | 488 | 623 | 638 | 791 | 627 |
| Hgb, g/L | 121 | N/A | 122 | 97 | N/A | N/A | 111 | 95 |
| ESR, mm/h | 23 | N/A | 20 | N/A | N/A | N/A | N/A | N/A |
| CRP, mg/L | 300 | 312.5 | 5.18 | 208.8 | 126.9 | N/A | 188.3 | 17.6 |
| Procalcitonin, ng/mL | 37.98 | N/A | 2.05 | 1.08 | N/A | N/A | N/A | N/A |
| Fibrinogen, g/L | N/A | N/A | N/A | 3.3 | N/A | N/A | 6.2 | N/A |
| D-Dimer, mg/L | 236 | 1125.0 | N/A | 644.0 | N/A | N/A | N/A | N/A |
| ASAT, U/L | N/A | N/A | N/A | 20 | N/A | N/A | 22 | N/A |
| ALAT, U/L | N/A | N/A | N/A | 6 | N/A | N/A | 8 | N/A |
| Albumin, g/L | 37 | 33 | N/A | 38 | N/A | N/A | 37 | N/A |
| Total protein, g/L | 61 | 56 | N/A | 59 | N/A | N/A | 65 | N/A |
| LDH, U/L | 558 | 277 | N/A | N/A | N/A | N/A | N/A | N/A |
| Ferritin, ng/mL | 251 | 267 | N/A | N/A | N/A | N/A | N/A | N/A |
| Total protein g/L | 61 | 56 | 73 | 59 | N/A | N/A | 65 | N/A |
| IL-6 | N/A | 547 | N/A | N/A | N/A | N/A | N/A | N/A |
| Peak 1 | Peak 2 | Nadir 1 | Nadir 2 | Reference Value | |
|---|---|---|---|---|---|
| WBC/Leucocytes 109/L | 23.24 | 35.8 | 14.28 | 8.4 | 4.1–11.0 G/L |
| PLT 109/L | 615 | 791 | 165 | 627 | 140–440 G/L |
| HBC g/L | 122 | 121 | 97 | 95 | 120–160 g/L |
| CRP mg/L | 312.5 | 208.8 | 51.8 | 17.6 | <0.50 mg/dL |
| Procalcitonin ng/mL | 37.98 | 1.08 | N/A | N/A | <0.50 ng/mL |
| Fibrinogen g/L | 3.3 | 6.2 | N/A | N/A | 1.5–4.5 g/L |
| D-Dimer mg/L | 1125.0 | 644.0 | 236 | N/A | 500 |
| ASAT | 20 | N/A | 22 | 20 | 20–60 U/L |
| ALAT | 6 | N/A | 8 | 6 | 5–45 U/L |
| Albumin | 37 | 47 | 33 | 37 | 34–42 g/dL |
| Total protein | 61 | 73 | 56 | 59 | 61–79 g/L |
| LDH U/L | 558 | N/A | 277 | N/A | 150–500 U/L |
| Ferritin | 267 | N/A | 251 | N/A | 10–60 mg/L |
| IL-6 | 547 | N/A | N/A | N/A | 0–6.4 pg/mL |
Disclaimer/Publisher’s Note: The statements, opinions and data contained in all publications are solely those of the individual author(s) and contributor(s) and not of MDPI and/or the editor(s). MDPI and/or the editor(s) disclaim responsibility for any injury to people or property resulting from any ideas, methods, instructions or products referred to in the content. |
© 2024 by the authors. Licensee MDPI, Basel, Switzerland. This article is an open access article distributed under the terms and conditions of the Creative Commons Attribution (CC BY) license (https://creativecommons.org/licenses/by/4.0/).
Share and Cite
Lazova, S.; Gorelyova-Stefanova, N.; Slabakova, Y.; Tzotcheva, I.; Ilieva, E.; Miteva, D.; Velikova, T. Complicated Pneumonia in a Child: Hydropneumothorax Associated with MIS-C and GAS Superinfection. Pediatr. Rep. 2024, 16, 833-843. https://doi.org/10.3390/pediatric16040071
Lazova S, Gorelyova-Stefanova N, Slabakova Y, Tzotcheva I, Ilieva E, Miteva D, Velikova T. Complicated Pneumonia in a Child: Hydropneumothorax Associated with MIS-C and GAS Superinfection. Pediatric Reports. 2024; 16(4):833-843. https://doi.org/10.3390/pediatric16040071
Chicago/Turabian StyleLazova, Snezhina, Nadzhie Gorelyova-Stefanova, Yoanna Slabakova, Iren Tzotcheva, Elena Ilieva, Dimitrina Miteva, and Tsvetelina Velikova. 2024. "Complicated Pneumonia in a Child: Hydropneumothorax Associated with MIS-C and GAS Superinfection" Pediatric Reports 16, no. 4: 833-843. https://doi.org/10.3390/pediatric16040071
APA StyleLazova, S., Gorelyova-Stefanova, N., Slabakova, Y., Tzotcheva, I., Ilieva, E., Miteva, D., & Velikova, T. (2024). Complicated Pneumonia in a Child: Hydropneumothorax Associated with MIS-C and GAS Superinfection. Pediatric Reports, 16(4), 833-843. https://doi.org/10.3390/pediatric16040071

