Contrast-Associated Acute Kidney Injury Requiring Continuous Renal Replacement Therapy in A Neonate with Aortic Stenosis—A Case Report
Abstract
1. Introduction
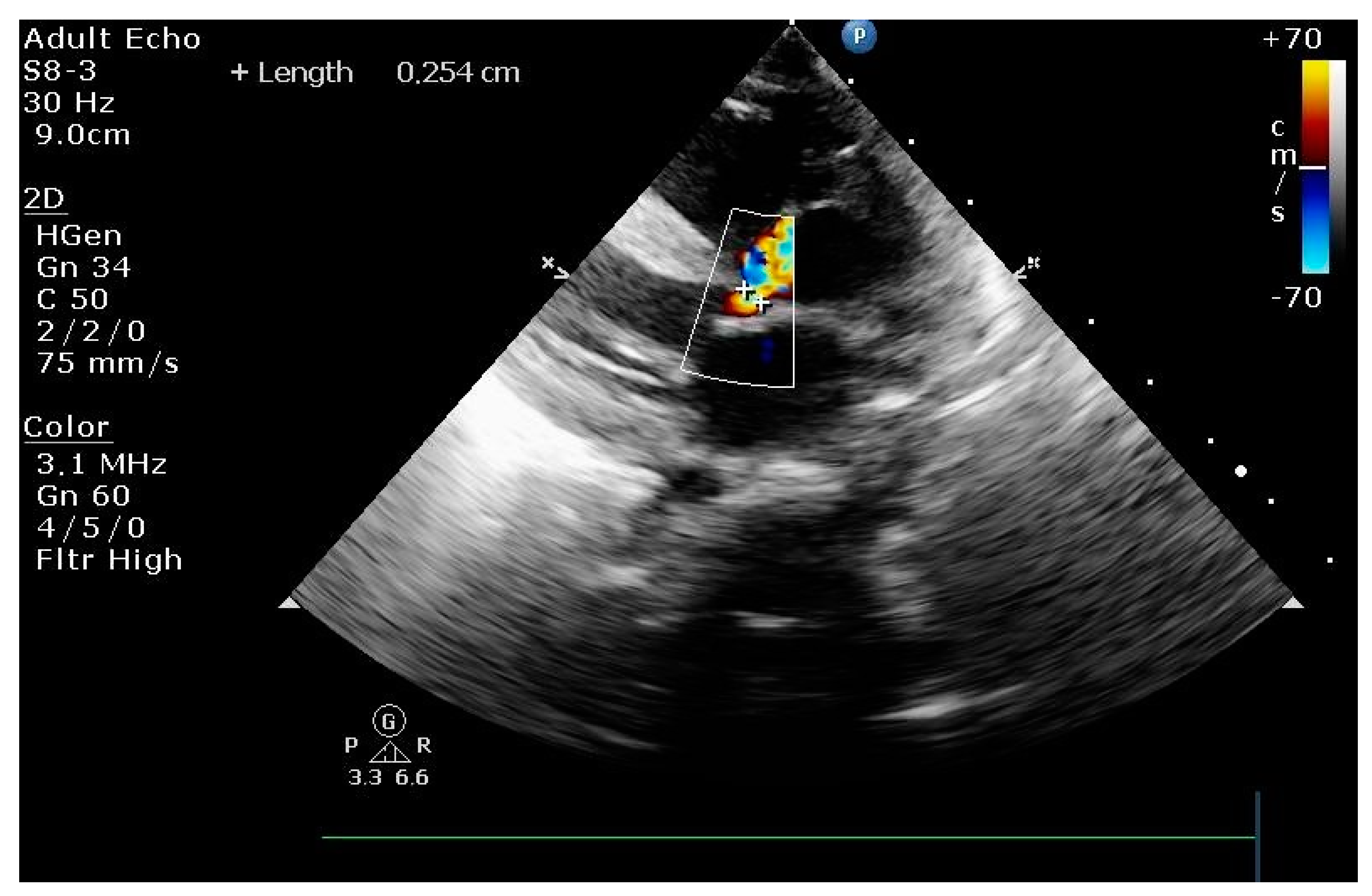
2. Case Report
3. Discussions
4. Conclusions
Author Contributions
Funding
Institutional Review Board Statement
Informed Consent Statement
Data Availability Statement
Conflicts of Interest
References
- Jetton, J.G.; Boohaker, L.J.; Sethi, S.K.; Wazir, S.; Rohatgi, S.; E Soranno, D.; Chishti, A.S.; Woroniecki, R.; Mammen, C.; Swanson, J.R.; et al. Incidence and outcomes of neonatal acute kidney injury (AWAKEN): A multicentre, multinational, observational cohort study. Lancet Child Adolesc. Health. 2017, 1, 184–194. [Google Scholar] [CrossRef]
- Aubry, P.; Brillet, G.; Catella, L.; Schmidt, A.; Bénard, S. Outcomes, risk factors and health burden of contrast-induced acute kidney injury: An observational study of one million hospitalizations with image-guided cardiovascular procedures. BMC Nephrol. 2016, 17, 167. [Google Scholar] [CrossRef]
- Cantais, A.; Hammouda, Z.; Mory, O.; Patural, H.; Stephan, J.-L.; Gulyaeva, L.; Darmon, M. Incidence of contrast-induced acute kidney injury in a pediatric setting: A cohort study. Pediatr Nephrol. 2016, 31, 1355–1362. [Google Scholar] [CrossRef]
- McDonald, J.S.; McDonald, R.J.; Tran, C.L.; Kolbe, A.B.; Williamson, E.E.; Kallmes, D.F. Postcontrast acute kidney injury in pediatric patients: A cohort study. Am. J. Kidney Dis. 2018, 72, 811–818. [Google Scholar] [CrossRef]
- Shi, S.; Fan, J.; Shu, Q. Early prediction of acute kidney injury in neonates with cardiac surgery. World J. Pediatr. Surg. 2020, 3, e000107. [Google Scholar] [CrossRef]
- Alten, J.A.; Cooper, D.S.; Blinder, J.J.; Selewski, D.T.; Tabbutt, S.; Sasaki, J.; Gaies, M.G.; Bertrandt, R.A.; Smith, A.H.; Reichle, G.; et al. Epidemiology of acute kidney injury after neonatal cardiac injury: A report from the multicenter neonatal and pediatric heart and renal outcomes network. Crit. Care Med. 2021, 49, e941–e951. [Google Scholar] [CrossRef]
- Park, S.-K.; Hur, M.; Kim, E.; Kim, W.H.; Park, J.B.; Kim, Y.; Yang, J.-H.; Jun, T.-G.; Kim, C.S. Risk factors for acute kidney injury after congenital cardiac surgery in infants and children: A retrospective observational study. PLoS ONE 2016, 11, e0166328. [Google Scholar] [CrossRef]
- Salerno, S.N.; Liao, Y.; Jackson, W.; Greenberg, R.G.; McKinzie, C.J.; McCallister, A.; Benjamin, D.K.; Laughon, M.M.; Sanderson, K.; Clark, R.H.; et al. Association between nephrotoxic drug combinations and acute kidney injury in the neonatal intensive care unit. J. Pediatr. 2021, 228, 213–219. [Google Scholar] [CrossRef]
- Cardoso, B.; Laranjo, S.; Gomes, I.; Freitas, I.; Trigo, C.; Fragata, I.; Fragata, J.; Pinto, F.F. Acute kidney injury after pediatric cardiac surgery: Risk factors and outcomes. Proposal for a predictive model. Rev. Port. Cardiol. 2016, 35, 99–104. [Google Scholar] [CrossRef]
- Alam, S.; Akunuri, S.; Jain, A.; Mazahir, R.; Hegde, R. Vasoactive-ventilation-renal score in predicting outcome postcardiac surgery in children. Int. J. Crit. Illn. Inj. Sci. 2018, 8, 143–148. [Google Scholar]
- Miletic, K.G.; Spiering, T.J.; Delius, R.E.; Walters, H.L., III; Mastropietro, C.W. Use of a novel vasoactive-ventilation-renal score to predict outcomes after pediatric cardiac surgery. Interact. Cardiovasc. Thorac. Surg. 2015, 20, 289–295. [Google Scholar] [CrossRef]
- Cashen, K.; Costello, J.M.; Grimaldi, L.M.; Narayana Gowda, K.M.; Moser, E.A.S.; Piggott, K.D.; Wilhelm, M.; Mastropietro, C.W. Multicenter Validation of the Vasoactive-Ventilation-Renal Score as a Predictor of Prolonged Mechanical Ventilation After Neonatal Cardiac Surgery. Pediatr. Crit. Care Med. 2018, 19, 1015–1023. [Google Scholar] [CrossRef]
- Zubarioglu, A.U.; Yıldırım, Ö.; Zeybek, C.; Balaban, İ.; Yazıcıoglu, V.; Aliyev, B. Validation of the Vasoactive-Ventilation-Renal Score for Neonatal Heart Surgery. Cureus 2021, 13, e15110. [Google Scholar] [CrossRef]
- Azzalini, L.; Spagnoli, V.; Ly, H.Q. Contrast-induced nephropathy: From pathophysiology to preventive strategies. Can. J. Cardiol. 2016, 32, 247–255. [Google Scholar] [CrossRef]
- Selewski, D.T.; Cornell, T.T.; Heung, M.; Troost, J.P.; Ehrmann, B.J.; Lombel, R.M.; Blatt, N.B.; Luckritz, K.; Hieber, S.; Gajarski, R.; et al. Validation of the KDIGO acute kidney injury criteria in a pediatric critical care population. Intensive Care Med. 2014, 40, 1481–1488. [Google Scholar] [CrossRef]
- Mehran, R.; Nikolsky, E. Contrast-induced nephropathy: Definition, epidemiology, and patients at risk. Kidney Int. 2006, 69, S11–S15. [Google Scholar] [CrossRef]
- McCullough, P.A.; Choi, J.P.; Feghali, G.A.; Schussler, J.M.; Stoler, R.M.; Vallabahn, R.C.; Mehta, A. Contrast-induced acute kidney injury. J. Am. Coll. Cardiol. 2016, 68, 1465–1473. [Google Scholar] [CrossRef]
- Heyman, S.N.; Rosen, S.; Khamaisi, M.; Idée, J.-M.; Rosenberger, C. Reactive Oxygen Species and the Pathogenesis of Radiocontrast-Induced Nephropathy. Investig. Radiol. 2010, 45, 188–195. [Google Scholar] [CrossRef]
- Dangas, G.; Iakovou, I.; Nikolsky, E.; Aymong, E.D.; Mintz, G.S.; Kipshidze, N.N.; Lansky, A.J.; Moussa, I.; Stone, G.W.; Moses, J.W.; et al. Contrast-induced nephropathy after percutaneous coronary interventions in relation to chronic kidney disease and hemodynamic variables. Am. J. Cardiol. 2005, 95, 13–19. [Google Scholar] [CrossRef]
- Mehran, R.; Aymong, E.D.; Nikolsky, E.; Lasic, Z.; Iakovou, I.; Fahy, M.; Mintz, G.S.; Lansky, A.J.; Moses, J.W.; Stone, G.W.; et al. A simple risk score for prediction of contrast-induced nephropathy after percutaneous coronary intervention: Development and initial validation. J. Am. Coll. Cardiol. 2004, 44, 1393–1399. [Google Scholar]
- Stacul, F.; on behalf of the Contrast Media Safety Committee of European Society of Urogenital Radiology (ESUR); van der Molen, A.J.; Reimer, P.; Webb, J.A.W.; Thomsen, H.S.; Morcos, S.K.; Almén, T.; Aspelin, P.; Bellin, M.-F.; et al. Contrast induced nephropathy: Updated ESUR Contrast Media Safety Committee guidelines. Eur. Radiol. 2011, 21, 2527–2541. [Google Scholar] [CrossRef]
- Trout, A.T.; Dillman, J.R.; Ellis, J.H.; Cohan, R.H.; Strouse, P.J. Patterns of intravenous contrast material use and corticosteroid premedication in children--a survey of Society of Chairs of Radiology in Children’s Hospitals (SCORCH) member institutions. Pediatr. Radiol. 2011, 41, 1272–1283. [Google Scholar] [CrossRef]
- Windpessl, M.; Kronbichler, A. Contrast-associated acute kidney injury (CA-AKI) in children: Special considerations. Child. Kidney Dis. 2019, 23, 77–85. [Google Scholar] [CrossRef]
- Bianchi, P.; Carboni, G.; Pesce, G.; Isgro, G.; Carlucci, C.; Frigiola, A.; Giamberti, A.; Ranucci, M. Cardiac catheterization and postoperative acute kidney failure in congenital heart pediatric patients. Obstet. Anesthesia Dig. 2013, 117, 455–461. [Google Scholar] [CrossRef]
- Huggins, N.; Nugent, A.; Modem, V.; Rodriguez, J.S.; Forbess, J.; Scott, W.; Dimas, V.V. Incidence of acute kidney injury following cardiac catheterization prior to cardiopulmonary bypass in children. Catheter. Cardiovasc. Interv. 2014, 84, 615–619. [Google Scholar] [CrossRef]
- McCullough, P.A. Multimodality Prevention Of Contrast-induced Acute Kidney Injury. Am. J. Kidney Dis. 2008, 51, 169–172. [Google Scholar] [CrossRef]
- Macedo, E.; Mehta, R.L. Continuous dialysis therapies: Core curriculum 2016. Am. J. Kidney Dis. 2016, 68, 645–657. [Google Scholar] [CrossRef]
- Lameire, N.; Kellum, J.A. for the KDIGO AKI Guideline Work Group. Contrast-induced acute kidney injury and renal support for acute kidney injury: A KDIGO summary (Part 2). Crit. Care 2013, 17, 205. [Google Scholar] [CrossRef]
- Rabindranath, K.; Adams, J.; Macleod, A.M.; Muirhead, N. Intermittent versus continuous renal replacement therapy for acute renal failure in adults. Cochrane Database Syst. Rev. 2007, 3, CD003773. [Google Scholar] [CrossRef]
- Ueno, K.; Shiokawa, N.; Takahashi, Y. Kidney Disease: Improving Global Outcomes in neonates with acute kidney injury after cardiac surgery. Clin. Exp. Nephrol. 2020, 24, 167–173. [Google Scholar] [CrossRef]
- Bizubac, M. Extra-Renal Purification Methods in Neonates and Infants. Ph.D. Thesis, Carol Davila University of Medicine and Pharmacy, Bucharest, Romania, 2022. Available online: https://umfcd.ro/wp-content/uploads/2022/SCOALA_DOCTORALA/TEZA_DOCTORAT/DOGARU_cas_BIZUBAC%20I_ANA_MIHAELA/rezumat%20teza%20%20EN.pdf (accessed on 3 February 2023).
- Santiago, M.J.; López-Herce, J.; Urbano, J.; Solana, M.J.; Del Castillo, J.; Ballestero, Y.; Botrán, M.; Bellón, J.M. Complications of continuous renal replacement therapy in critically ill children: A prospective observational evaluation study. Crit. Care 2009, 13, R184. [Google Scholar] [CrossRef] [PubMed]





Disclaimer/Publisher’s Note: The statements, opinions and data contained in all publications are solely those of the individual author(s) and contributor(s) and not of MDPI and/or the editor(s). MDPI and/or the editor(s) disclaim responsibility for any injury to people or property resulting from any ideas, methods, instructions or products referred to in the content. |
© 2023 by the authors. Licensee MDPI, Basel, Switzerland. This article is an open access article distributed under the terms and conditions of the Creative Commons Attribution (CC BY) license (https://creativecommons.org/licenses/by/4.0/).
Share and Cite
Cirstoveanu, C.; Georgescu, C.; Ruxandra, N.; Bizubac, M.; Cinteza, E.; Vasile, C.M.; Filip, C.; Margarint, I. Contrast-Associated Acute Kidney Injury Requiring Continuous Renal Replacement Therapy in A Neonate with Aortic Stenosis—A Case Report. Pediatr. Rep. 2023, 15, 323-332. https://doi.org/10.3390/pediatric15020028
Cirstoveanu C, Georgescu C, Ruxandra N, Bizubac M, Cinteza E, Vasile CM, Filip C, Margarint I. Contrast-Associated Acute Kidney Injury Requiring Continuous Renal Replacement Therapy in A Neonate with Aortic Stenosis—A Case Report. Pediatric Reports. 2023; 15(2):323-332. https://doi.org/10.3390/pediatric15020028
Chicago/Turabian StyleCirstoveanu, Catalin, Carmina Georgescu, Nicolae Ruxandra, Mihaela Bizubac, Eliza Cinteza, Corina Maria Vasile, Cristina Filip, and Irina Margarint. 2023. "Contrast-Associated Acute Kidney Injury Requiring Continuous Renal Replacement Therapy in A Neonate with Aortic Stenosis—A Case Report" Pediatric Reports 15, no. 2: 323-332. https://doi.org/10.3390/pediatric15020028
APA StyleCirstoveanu, C., Georgescu, C., Ruxandra, N., Bizubac, M., Cinteza, E., Vasile, C. M., Filip, C., & Margarint, I. (2023). Contrast-Associated Acute Kidney Injury Requiring Continuous Renal Replacement Therapy in A Neonate with Aortic Stenosis—A Case Report. Pediatric Reports, 15(2), 323-332. https://doi.org/10.3390/pediatric15020028

