Helicobacter pylori-Associated Infection: A Comprehensive Histopathological Analysis of Gastric Biopsies from Patients of Pakistan
Abstract
1. Introduction
2. Materials and Methods
2.1. Sampling
2.2. Preparation of Gastric Biopsy Samples for Staining
2.3. Hematoxylin and Eosin (H&E) Staining for H. pylori Detection and Histopathological Details
2.4. Giemsa Staining to Evaluate the Presence of H. pylori
2.5. Microscopic Examination of H&E and Giemsa-Stained Slides
2.6. Detection of H. pylori in Formalin-Fixed Paraffin-Embedded (FFPE) Tissue Using Species-Specific 16S rRNA Gene Amplification
2.7. Statistical Analysis
3. Results
3.1. Presumptive Presence of H. pylori on H&E and Giemsa Staining
3.2. Molecular Detection of H. pylori
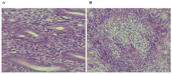
3.3. Tissue Detail of Gastric Biopsies on H&E Staining
3.4. Distribution of H. pylori with Respect to Density and Site of Infection
3.5. Distribution of H. pylori with Respect to Gender and Age Group
3.6. Distribution of H. pylori with Respect to Inflammatory Response and Neutrophilic Activity
3.7. Distribution of H. pylori with Respect to Intestinal Metaplasia and Gastric Atrophy
4. Discussion
5. Conclusions
Author Contributions
Funding
Institutional Review Board Statement
Informed Consent Statement
Data Availability Statement
Conflicts of Interest
References
- Kusters, J.G.; Van Vliet, A.H.; Kuipers, E.J. Pathogenesis of Helicobacter pylori infection. Clin. Microbiol. Rev. 2006, 19, 449–490. [Google Scholar] [CrossRef]
- Yamaoka, Y. Mechanisms of disease: Helicobacter pylori virulence factors. Nat. Rev. Gastroenterol. Hepatol. 2010, 7, 629–641. [Google Scholar] [CrossRef] [PubMed]
- Marta, I.P.; José, A.M.; Pereira, M. Role of Helicobacter pylori in gastric mucosa-associated lymphoid tissue lymphomas. World J. Gastroenterol. 2014, 20, 684–698. [Google Scholar] [CrossRef]
- Vale, F.F.; Vítor, J.M.B. Transmission pathway of Helicobacter pylori: Does food play a role in rural and urban areas? Int. J. Food Microbiol. 2010, 138, 1–12. [Google Scholar] [CrossRef] [PubMed]
- Cardos, A.I.; Maghiar, A.; Zaha, D.C.; Pop, O.; Fritea, L.; Miere, F.; Cavalu, S. Evolution of diagnostic methods for Helicobacter pylori infections: From traditional tests to high technology, advanced sensitivity and discrimination tools. Diagnostics 2022, 12, 508. [Google Scholar] [CrossRef]
- Chey, W.D.; Howden, C.W.; Moss, S.F.; Morgan, D.R.; Greer, K.B.; Grover, S.; Shah, S.C. ACG clinical guideline: Treatment of Helicobacter pylori infection. Am. J. Gastroenterol. 2024, 119, 1730–1753. [Google Scholar] [CrossRef]
- Graham, D.Y. History of Helicobacter pylori, duodenal ulcer, gastric ulcer and gastric cancer. World J. Gastroenterol. 2014, 20, 5191. [Google Scholar] [CrossRef]
- Pimentel-Nunes, P.; Libânio, D.; Marcos-Pinto, R.; Areia, M.; Leja, M.; Esposito, G.; Dinis-Ribeiro, M. Management of epithelial precancerous conditions and lesions in the stomach (maps II): European Society of gastrointestinal endoscopy (ESGE), European Helicobacter and microbiota Study Group (EHMSG), European Society of pathology (ESP), and Sociedade Portuguesa de Endoscopia Digestiva (SPED) guideline update 2019. ESGE 2019, 51, 365–388. [Google Scholar] [CrossRef]
- Han, L.; Shu, X.; Wang, J. Helicobacter pylori-mediated oxidative stress and gastric diseases: A review. Front. Microbiol. 2022, 13, 811258. [Google Scholar] [CrossRef]
- Dixon, M.F.; Genta, R.M.; Yardley, J.H.; Correa, P. Classification and grading of gastritis: The updated Sydney system. Am. J. Surg. Pathol. 1996, 20, 1161–1181. [Google Scholar] [CrossRef]
- Mohamed, S.; Laurence, F. Histopathology procedures: From tissue sampling to histopathological evaluation. Methods Mol. Biol. 2011, 691, 69–82. [Google Scholar] [CrossRef]
- Bancroft, J.D.; Layton, C. The hematoxylins and eosin. In Bancroft’s Theory and Practice of Histological Techniques; Suvarna, S.K., Layton, C., Bancroft, J.D., Eds.; Elsevier: Amsterdam, The Netherlands, 2019; pp. 126–138. [Google Scholar] [CrossRef]
- Alkhamiss, A.S. Evaluation of better staining method among hematoxylin and eosin, Giemsa and periodic acid Schiff-Alcian blue for the detection of Helicobacter pylori in gastric biopsies. Malays. J. Med. Sci. MJMS 2020, 27, 53. [Google Scholar] [CrossRef] [PubMed]
- Khan, S.S.; Tijare, M.; Kasetty, S.; Jain, M.; Alamoudi, A.; Bahammam, H.A.; Bahammam, S.A.; Bahammam, M.A.; Varadarajan, S.; Raj, A.T.; et al. Evaluation and Comparison of Genomic DNA Extraction Methods and PCR Optimization on Archival Formalin-Fixed and Paraffin-Embedded Tissues of Oral Squamous Cell Carcinoma. Diagnostics 2022, 12, 1219. [Google Scholar] [CrossRef] [PubMed]
- Gramley, W.A.; Asghar, A.; Frierson, J.F.; Powell, S.M. Detection of Helicobacter pylori DNA in fecal samples from infected individuals. J. Clin. Microbiol. 1999, 37, 2236–2240. [Google Scholar] [CrossRef] [PubMed]
- Abbasi, A.H.; Andaleeb, H.; Alam, B.B.; Ahmed, K.A.; Yousuf, N.; Sajjad, S.N. Prevalence of Helicobacter Pylori infection in patients with chronic dyspeptic symptoms at rawal general and dental hospital, Islamabad. J. Pharm. Res. Int. 2021, 33, 257–262. [Google Scholar] [CrossRef]
- Akhtar, T.; Sarwar, S.; Ishfaq, A.; Haider, I. Incidence of Helicobacter pylori infection in District Haripur Khyber Pakhtunkhwa. Pakistan. JMSH 2022, 16, 70. [Google Scholar] [CrossRef]
- Kharel, S.; Bist, A.; Shrestha, S.; Homagain, S. Helicobacter pylori healthy South asians. JGH Open 2020, 4, 1037–1046. [Google Scholar] [CrossRef]
- Waqar, M.F.; Ali, M.; Zafar, F.; Ali, Z.; Ahmed, S.M.; Naveed, S. Frequency and association of H pylori with severity of Gastritis according to age and gender: A Retrospective Study conducted at a Tertiary Care Hospital in Karachi, Pakistan. TPMJ 2024, 31, 948–954. [Google Scholar] [CrossRef]
- Mu, T.; Lu, Z.M.; Wang, W.W.; Feng, H.; Jin, Y.; Ding, Q.; Wang, L.F. Helicobacter pylori intragastric colonization and migration: Endoscopic manifestations and potential mechanisms. World J. Gastroenterol. 2023, 29, 4616. [Google Scholar] [CrossRef]
- Sugano, K.; Tack, J.; Kuipers, E.J.; Graham, D.Y.; El-Omar, E.M.; Miura, S.; Malfertheiner, P. Kyoto global consensus report on Helicobacter pylori gastritis. Gut 2015, 64, 1353–1367. [Google Scholar] [CrossRef]
- Shen, Y.; Chen, A.; Zhang, X.; Zhong, X.; Ma, A.; Wang, J.; Hu, W. Real-time evaluation of helicobacter pylori infection by convolution neural network during white-light endoscopy: A prospective, multicenter study (with video). Clin. Transl. Gastroenterol. 2023, 14, e00643. [Google Scholar] [CrossRef]
- Siddique, I.; Al-Qabandi, A.; Al-Ali, J.; Alazmi, W.; Memon, A.; Mustafa, A.S.; Junaid, T.A. Association between Helicobacter pylori genotypes and severity of chronic gastritis, peptic ulcer disease and gastric mucosal interleukin-8 levels: Evidence from a study in the Middle East. Gut Pathog. 2014, 6, 41. [Google Scholar] [CrossRef] [PubMed]
- FitzGerald, R.; Sinha, C.; Yadegar, A.; Smith, S.M. Helicobacter Pylori, 3rd ed.; Springer: New York, NY, USA, 2021; pp. 93–106. [Google Scholar] [CrossRef]
- Gonzalez, M.F.; Díaz, P.; Sandoval-Borquez, A.; Herrera, D.; Quest, A.F. Helicobacter pylori outer membrane vesicles and extracellular vesicles from Helicobacter pylori-infected cells in gastric disease development. Int. J. Mol. Sci. 2021, 22, 4823. [Google Scholar] [CrossRef] [PubMed]
- Erkut, M.; Uzun, D.Y.; Kaklıkkaya, N.; Fidan, S.; Yogun, Y.; Cosar, A.M.; Arslan, M. Sociodemographic characteristics and clinical risk factors of Helicobacter pylori infection and antibiotic resistance in the Eastern Black Sea region of Turkey. TJG 2020, 31, 221. [Google Scholar] [CrossRef] [PubMed]
- Subramanian, K.S.; Shambavi, J.J.; Boopathy, V. A study of histopathology of H. Pylori gastritis in relation To H. pylori density in gastric biopsies. Trop. J. Pathol. Microbiol. 2019, 5, 362. [Google Scholar] [CrossRef]
- Agnes, M.; Solomon, B.; Jianjun, W.; Bilembi, M.O. Risk factors and correlation of intestinal metaplasia: A case- control study in Wuwei. Arab. J. Gastroenterol. 2025, 26, 185–194. [Google Scholar] [CrossRef]
- Mera, R.; Bravo, L.E.; Camargo, M.C.; Bravo, J.C.; Delgado, A.G.; Romero-Gallo, J.; Piazuelo, M.B.; Correa, P. Dynamics of Helicobacter pylori infection as a determinant of progression of gastric precancerous lesions: 16-year follow-up of an eradication trial. Gut 2018, 67, 1239–1246. [Google Scholar] [CrossRef]
- La Placa, G.; Covino, M.; Candelli, M.; Gasbarrini, A.; Franceschi, F.; Merra, G. Relationship between human microbiome and Helicobacter pylori. Microbiol. Res. 2025, 16, 24. [Google Scholar] [CrossRef]
- Zamani, M.; Ebrahimtabar, F.; Zamani, V.; Miller, W.H.; Alizadeh-Navaei, R.; Shokri-Shirvani, J.; Derakhshan, M.H. Systematic review with meta-analysis: The worldwide prevalence of Helicobacter pylori infection. Aliment. Pharmacol. Ther. 2018, 47, 868–876. [Google Scholar] [CrossRef]
- Li, Y.; Choi, H.; Leung, K.; Jiang, F.; Graham, D.Y.; Leung, W.K. Global prevalence of Helicobacter pylori infection between 1980 and 2022: A systematic review and meta-analysis. Lancet Gastroenterol. Hepatol. 2023, 8, 553–564. [Google Scholar] [CrossRef]



| Density n (%) | Site n (%) | ||||||
|---|---|---|---|---|---|---|---|
| Antrum | Body | Antrum and Body | p-Value | ||||
| Absent | Few | Moderate | Many | Present | Present | Present | |
| 268 (45) | 194 (32) | 108 (18) | 32 (5) | 306 (50.83) | 2 (0.33) | 26 (4.32) | <0.00001 |
| Description | H. pylori n (%) | |
|---|---|---|
| Absent | Present | |
| Gender | ||
| Male | 124 (46.2) | 144 (43.1) |
| Female | 144 (53.8) | 190 (56.9) |
| Age group | ||
| 11–20 | 27 (10) | 30 (9) |
| 21–30 | 68 (25.3) | 78 (23.3) |
| 31–40 | 65 (24.3) | 87 (26) |
| 41–50 | 46 (17.2) | 60 (18) |
| 51–60 | 37 (13.8) | 38 (11.4) |
| 61–70 | 15 (5.6) | 24 (7.2) |
| 71–80 | 9 (3.4) | 12 (3.6) |
| 81–90 | 1 (0.4) | 4 (1.2) |
| 91–100 | 0 | 1 (0.3) |
| Total | 268 (44.52) | 334 (55.48) |
| H. pylori n (%) | Inflammation n (%) | |||
|---|---|---|---|---|
| Mild | Moderate | Severe | p-Value | |
| Not detected | 260 (97.0) | 7 (2.6) | 1 (0.4) | <0.00001 |
| Detected | 123 (36.8) | 200 (59.9) | 11 (3.3) | |
| H. pylori n (%) | Neutrophil Activity n (%) | p-Value | |||
|---|---|---|---|---|---|
| Absent | Present | ||||
| Mild | Moderate | Severe | |||
| Not detected | 252 (94.03) | 13 (4.85) | 3 (1.12) | 0 (0) | <0.00001 |
| Detected | 156 (46.7) | 137 (41.0) | 36 (10.8) | 5 (1.5) | |
| Histopathology vs. H. pylori | H. pylori | Absent n (%) | Present n (%) | 95% Cl | OR | p-Value |
|---|---|---|---|---|---|---|
| Intestinal metaplasia vs. H. pylori | Not Detected | 263 (98) | 5 (2) | 5.37 | 0.3 | 0.149 |
| Detected | 332 (99.4) | 2 (0.6) | 0.02 | |||
| Gastric atrophy vs. H. pylori | Not Detected | 267 (99.6) | 1 (0.4) | 94.71 | 2.26 | 0.430 |
| Detected | 331 (99.1) | 3 (0.9) | 0.05 |
Disclaimer/Publisher’s Note: The statements, opinions and data contained in all publications are solely those of the individual author(s) and contributor(s) and not of MDPI and/or the editor(s). MDPI and/or the editor(s) disclaim responsibility for any injury to people or property resulting from any ideas, methods, instructions or products referred to in the content. |
© 2025 by the authors. Licensee MDPI, Basel, Switzerland. This article is an open access article distributed under the terms and conditions of the Creative Commons Attribution (CC BY) license (https://creativecommons.org/licenses/by/4.0/).
Share and Cite
Ullah, O.; Rahman, H.; Ijaz, S. Helicobacter pylori-Associated Infection: A Comprehensive Histopathological Analysis of Gastric Biopsies from Patients of Pakistan. Microbiol. Res. 2025, 16, 232. https://doi.org/10.3390/microbiolres16110232
Ullah O, Rahman H, Ijaz S. Helicobacter pylori-Associated Infection: A Comprehensive Histopathological Analysis of Gastric Biopsies from Patients of Pakistan. Microbiology Research. 2025; 16(11):232. https://doi.org/10.3390/microbiolres16110232
Chicago/Turabian StyleUllah, Obaid, Hazir Rahman, and Salma Ijaz. 2025. "Helicobacter pylori-Associated Infection: A Comprehensive Histopathological Analysis of Gastric Biopsies from Patients of Pakistan" Microbiology Research 16, no. 11: 232. https://doi.org/10.3390/microbiolres16110232
APA StyleUllah, O., Rahman, H., & Ijaz, S. (2025). Helicobacter pylori-Associated Infection: A Comprehensive Histopathological Analysis of Gastric Biopsies from Patients of Pakistan. Microbiology Research, 16(11), 232. https://doi.org/10.3390/microbiolres16110232

