Ischemic Stroke as the First Manifestation of Takayasu Arteritis: A Case Report
Abstract
1. Introduction
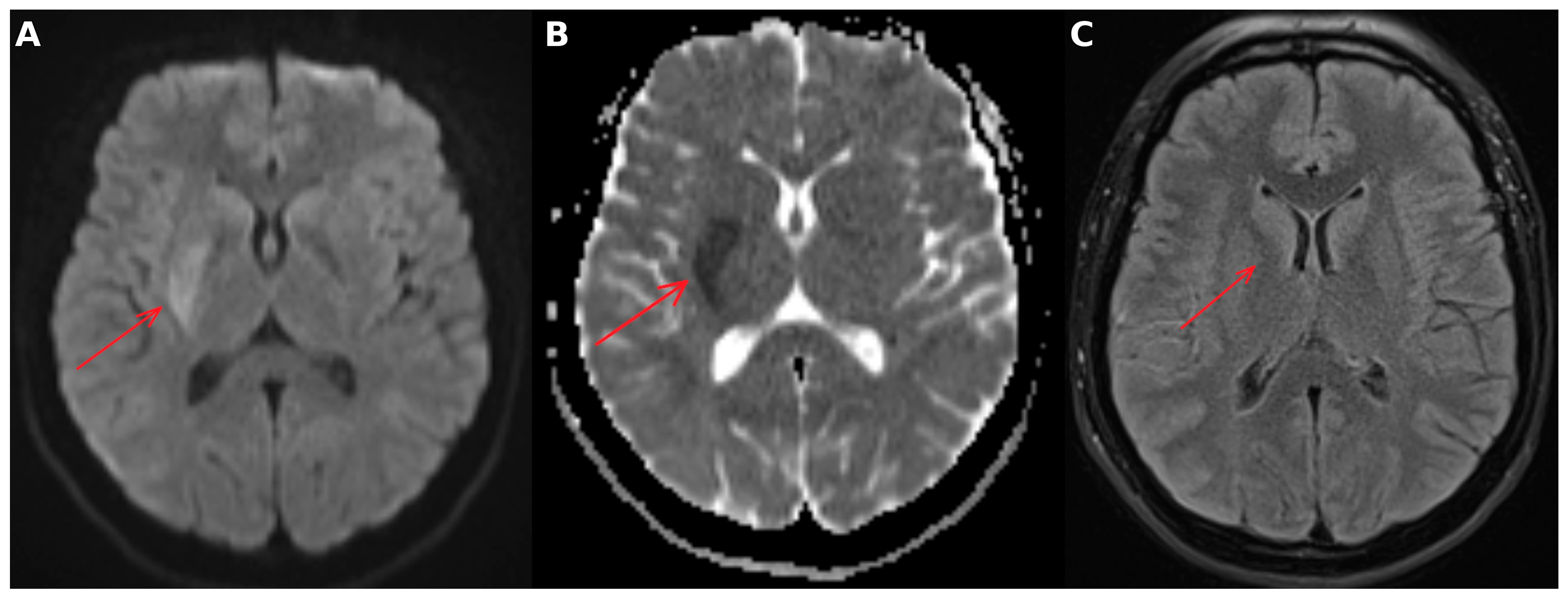
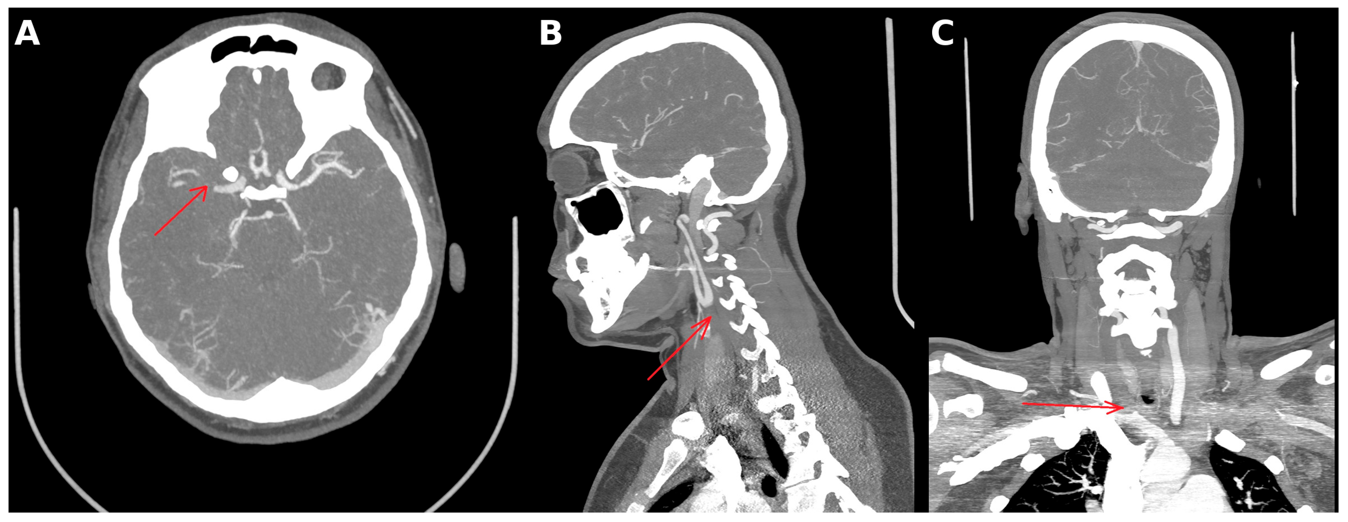
2. Case Presentation
3. Diagnostic Assessment
3.1. Therapeutic Intervention
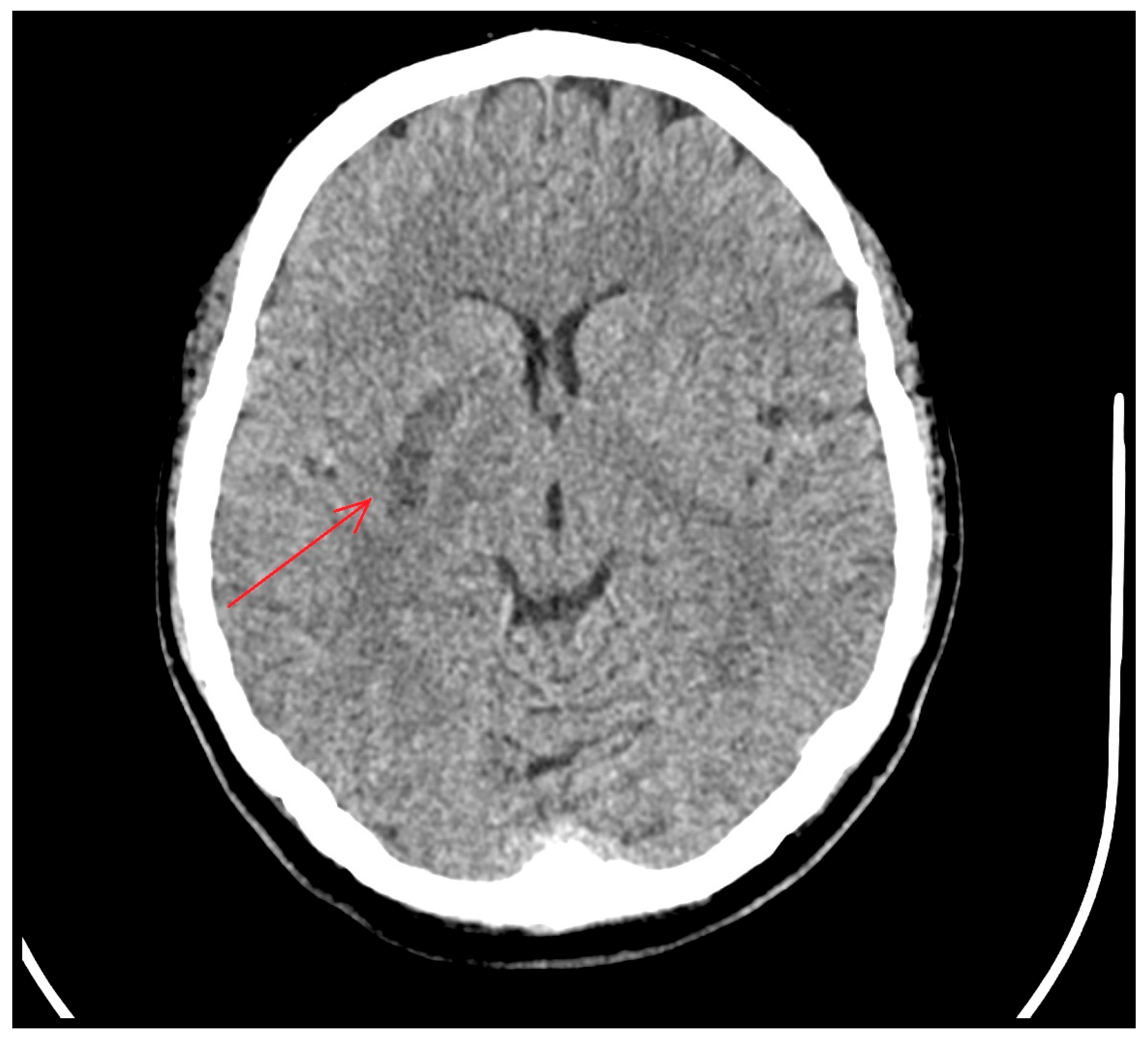
3.2. Follow-Up and Outcomes
4. Follow-Up
5. Discussion
6. Conclusions
Author Contributions
Funding
Institutional Review Board Statement
Informed Consent Statement
Data Availability Statement
Acknowledgments
Conflicts of Interest
References
- Feigin, V.L.; Brainin, M.; Norrving, B.; Martins, S.O.; Pandian, J.; Lindsay, P.; Grupper, M.F.; Rautalin, I. World Stroke Organization: Global Stroke Fact Sheet 2025. Int. J. Stroke 2025, 20, 132–144. [Google Scholar] [CrossRef] [PubMed] [PubMed Central]
- Smajlović, D. Strokes in young adults: Epidemiology and prevention. Vasc. Health Risk Manag. 2015, 11, 157–164. [Google Scholar] [CrossRef] [PubMed]
- Memon, T.; Shekha, T.A.M., Jr.; Acharya, P.; Nishu, R.I.; Akhter, N., Jr. A Case Report of Takayasu’s Arteritis with Cerebral Infarction As Initial Presentation. Cureus 2022, 14, e30472. [Google Scholar] [CrossRef] [PubMed] [PubMed Central]
- Wiszniewska, M.; Członkowska, A. Rola zapalenia naczyń w etiologii udaru mózgu. Udar. Mózgu. 2008, 10, 8–14. (In Polish) [Google Scholar]
- Szmyrka-Kaczmarek, M.; Budrewicz, S. Zapalenia naczyń w etiopatogenezie udaru mózgu. Pol. Prz. Neurol. 2011, 7, 97–103. (In Polish) [Google Scholar]
- Tatsuno, K.; Ueda, T.; Usuki, N.; Otsubo, H.; Araga, T.; Yoshie, T.; Takaishi, S.; Yoshida, Y.; Ono, H. A Case of Acute Ischemic Stroke Treated with Endovascular Treatment for Tandem Occlusion of the Common Carotid Artery and Internal Carotid Artery Terminal Portion Related to Takayasu Arteritis. J. Neuroendovasc. Ther. 2021, 15, 387–395. [Google Scholar] [CrossRef] [PubMed] [PubMed Central]
- Chirico, C.; Giorgianni, A.; Clivio, V.; Malnati, S.; Gatta, T.; Vizzari, F.A.; Pellegrino, C.; Fusco, M.; Piacentino, F.; Venturini, M.; et al. Long-term successfully endovascular treatment of a complicated Takayasu’s arteritis with thrombectomy and stenting: A case report. J. Med. Case Rep. 2025, 19, 202. [Google Scholar] [CrossRef] [PubMed] [PubMed Central]
- Sgouropoulou, V.; Vargiami, E.; Kyriazi, M.; Kafterani, S.; Stabouli, S.; Tsigaras, G.; Anastasiou, A.; Trachana, M.; Zafeiriou, D. Recurrent Stroke as a Presenting Feature of Takayasu Arteritis in an Adolescent: A Case Report and Literature Review. Prague Med. Rep. 2024, 125, 62–68. [Google Scholar] [CrossRef] [PubMed]
- Onen, F.; Akkoc, N. Epidemiology of Takayasu arteritis. Presse Med. 2017, 46, e197–e203. [Google Scholar] [CrossRef] [PubMed]
- Owino, C.; Sirera, B.; Tarus, F.; Ganda, B.; Oduor, C.; Siika, A. Ischemic stroke at first presentation of Takayasu arteritis in a young African male from Kenya, East Africa: Case report and brief literature review. Clin. Case Rep. 2023, 11, e7412. [Google Scholar] [CrossRef] [PubMed] [PubMed Central]
- Arnaud, L.; Haroche, J.; Mathian, A.; Gorochov, G.; Amoura, Z. Pathogenesis of Takayasu’s arteritis: A 2011 update. Autoimmun. Rev. 2011, 11, 61–67. [Google Scholar] [CrossRef] [PubMed]
- Oli, P.; Poudel, P.; Kc, S.; Thapa, N.; Kc, A. Takayasu arteritis presenting as a stroke in young: A case report. Ann. Med. Surg. 2024, 86, 1085–1088. [Google Scholar] [CrossRef] [PubMed] [PubMed Central]
- Davari, P.; Sutton, P.; Jones, K.S. Stroke as the initial presentation of Takayasu’s arteritis: A case report. Radiol. Case Rep. 2020, 15, 556–559. [Google Scholar] [CrossRef] [PubMed] [PubMed Central]
- Kerr, G.S.; Hallahan, C.W.; Giordano, J.; Leavitt, R.Y.; Fauci, A.S.; Rottem, M.; Hoffman, G.S. Takayasu arteritis. Ann. Intern. Med. 1994, 120, 919–929. [Google Scholar] [CrossRef] [PubMed]
- Field, K.; Gharzai, L.; Bardeloza, K.; Houghton, B. Takayasu arteritis presenting as embolic stroke. BMJ Case Rep. 2017, 2017, bcr2017220001. [Google Scholar] [CrossRef] [PubMed] [PubMed Central]
- Aydin, F.; Acar, B.; Uncu, N.; Başaran, Ö.; Adalet Yildiz, E.; Güven, A.; Çakar, N. Takayasu Arteritis: A Case Presenting with Neurological Symptoms and Proteinuria. Arch. Rheumatol. 2020, 35, 287–291. [Google Scholar] [CrossRef] [PubMed] [PubMed Central]
- Arend, W.P.; Michel, B.A.; Bloch, D.A.; Hunder, G.G.; Calabrese, L.H.; Edworthy, S.M.; Fauci, A.S.; Leavitt, R.Y.; Lie, J.T.; Lightfoot, R.W., Jr.; et al. The American College of Rheumatology 1990 criteria for the classification of Takayasu arteritis. Arthritis Rheum. 1990, 33, 1129–1134. [Google Scholar] [CrossRef] [PubMed]
- Grayson, P.C.; Ponte, C.; Suppiah, R.; Robson, J.C.; Gribbons, K.B.; Judge, A.; Craven, A.; Khalid, S.; Hutchings, A.; Danda, D.; et al. DCVAS Study Group. 2022 American College of Rheumatology/EULAR classification criteria for Takayasu arteritis. Ann. Rheum. Dis. 2022, 81, 1654–1660. [Google Scholar] [CrossRef] [PubMed]
- Hellmich, B.; Agueda, A.; Monti, S.; Buttgereit, F.; de Boysson, H.; Brouwer, E.; Cassie, R.; Cid, M.C.; Dasgupta, B.; Dejaco, C.; et al. 2018 Update of the EULAR recommendations for the management of large vessel vasculitis. Ann. Rheum. Dis. 2020, 79, 19–30. [Google Scholar] [CrossRef] [PubMed]
- Khealani, B.A.; Baig, S.M. Takayasu’s arteritis presenting as ischemic stroke—Case report. J. Pak. Med. Assoc. 2002, 52, 263–265. [Google Scholar] [PubMed]
- Mason, J.C. Takayasu arteritis—Advances in diagnosis and management. Nat. Rev. Rheumatol. 2010, 6, 406–415. [Google Scholar] [CrossRef] [PubMed]
- Russo, R.A.G.; Katsicas, M.M. Takayasu Arteritis. Front. Pediatr. 2018, 6, 265. [Google Scholar] [CrossRef] [PubMed] [PubMed Central]
- Mangiardi, M.; Bravi, M.C.; Pezzella, F.R.; Ricci, L.; Anticoli, S. Unsuccessful Endovascular Treatment in a Patient with Stroke Onset of Takayasu Arteritis and Positive Clinical Outcome. Cureus 2020, 12, e11980. [Google Scholar] [CrossRef] [PubMed] [PubMed Central]
- Hedna, V.S.; Patel, A.; Bidari, S.; Elder, M.; Hoh, B.L.; Yachnis, A.; Waters, M.F. Takayasu’s arteritis: Is it a reversible disease? Case Report and Literature Review. Surg. Neurol. Int. 2012, 3, 132. [Google Scholar] [CrossRef] [PubMed] [PubMed Central]
- Komatina, N.; Lepić, T.; Labović, B.; Stevović, T.; Petronijević, M.; Radovinović-Tasić, S.; Obradović, D. Relapse of Takayasu arteritis as a cause of suicidal poisoning and subsequent major ischemic stroke successfully treated with thrombolytic therapy. Vojnosanit. Pregl. 2016, 73, 788–792. [Google Scholar] [CrossRef] [PubMed]
- Ebata, T.; Uemura, J.; Yamazaki, H.; Imai, K.; Yagita, Y. A Case of Takayasu Arteritis with Acute Bilateral Occlusion of the Internal Carotid Arteries. Brain Nerve 2017, 69, 665–669. (In Japanese) [Google Scholar] [CrossRef] [PubMed]





Disclaimer/Publisher’s Note: The statements, opinions and data contained in all publications are solely those of the individual author(s) and contributor(s) and not of MDPI and/or the editor(s). MDPI and/or the editor(s) disclaim responsibility for any injury to people or property resulting from any ideas, methods, instructions or products referred to in the content. |
© 2026 by the authors. Licensee MDPI, Basel, Switzerland. This article is an open access article distributed under the terms and conditions of the Creative Commons Attribution (CC BY) license.
Share and Cite
Jakubowicz-Lachowska, D.; Sarnowska, M.; Chorąży, M.; Kułakowska, A. Ischemic Stroke as the First Manifestation of Takayasu Arteritis: A Case Report. Neurol. Int. 2026, 18, 57. https://doi.org/10.3390/neurolint18030057
Jakubowicz-Lachowska D, Sarnowska M, Chorąży M, Kułakowska A. Ischemic Stroke as the First Manifestation of Takayasu Arteritis: A Case Report. Neurology International. 2026; 18(3):57. https://doi.org/10.3390/neurolint18030057
Chicago/Turabian StyleJakubowicz-Lachowska, Dominika, Magdalena Sarnowska, Monika Chorąży, and Alina Kułakowska. 2026. "Ischemic Stroke as the First Manifestation of Takayasu Arteritis: A Case Report" Neurology International 18, no. 3: 57. https://doi.org/10.3390/neurolint18030057
APA StyleJakubowicz-Lachowska, D., Sarnowska, M., Chorąży, M., & Kułakowska, A. (2026). Ischemic Stroke as the First Manifestation of Takayasu Arteritis: A Case Report. Neurology International, 18(3), 57. https://doi.org/10.3390/neurolint18030057

