Cardiac CT in Large Vessel Occlusion Stroke for the Evaluation of Non-Thrombotic and Non-Atrial-Fibrillation-Related Embolic Causes
Abstract
1. Introduction
2. Materials and Methods
2.1. Patient Selection and Data Collection
2.2. Stroke and Cardiac CT Imaging Acquisition
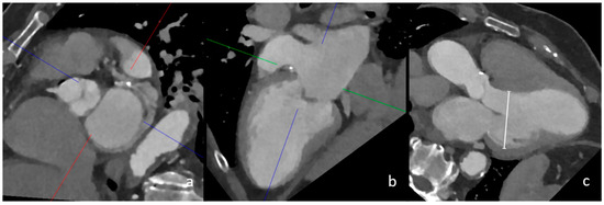
2.3. Imaging Analysis
2.4. Stroke Classification
2.5. Statistical Analysis
3. Results
3.1. Characteristics of Study Population
3.2. Stroke Aetiology Classification
3.3. Final Cohort Definition and Statistical Analysis
3.4. Additional Radiation Exposure for Acquisition of Cardiac CT
4. Discussion
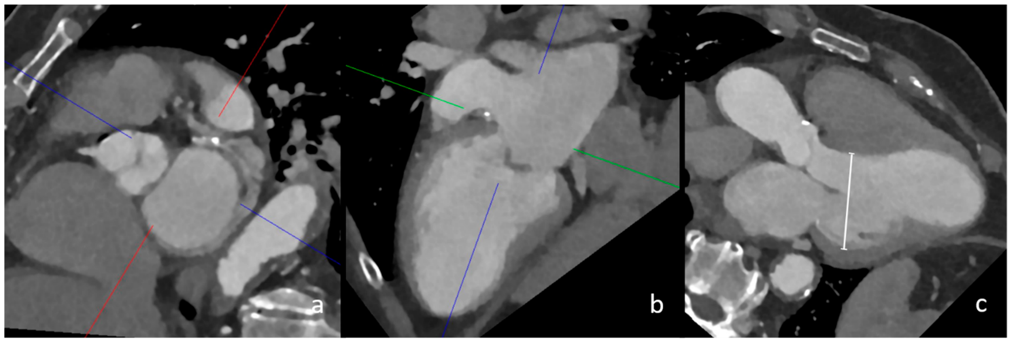
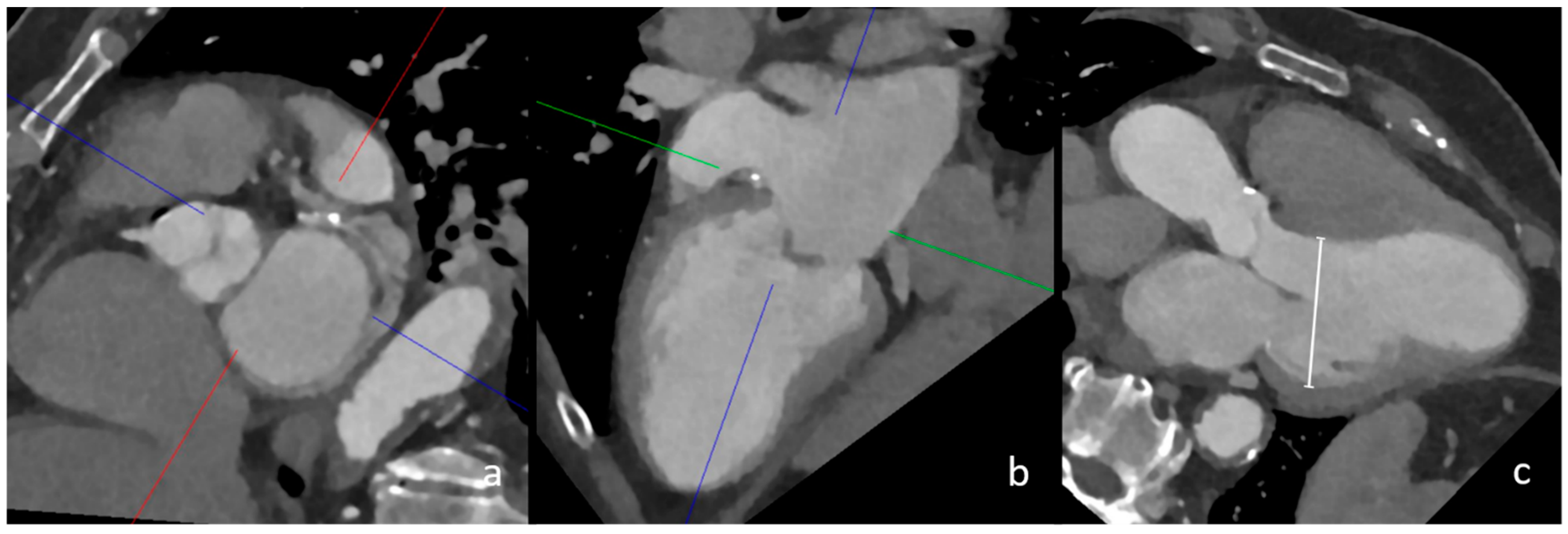
4.1. Left Ventricular Dilatation
4.2. Valvular Implants of the Mitral and Aortic Valve
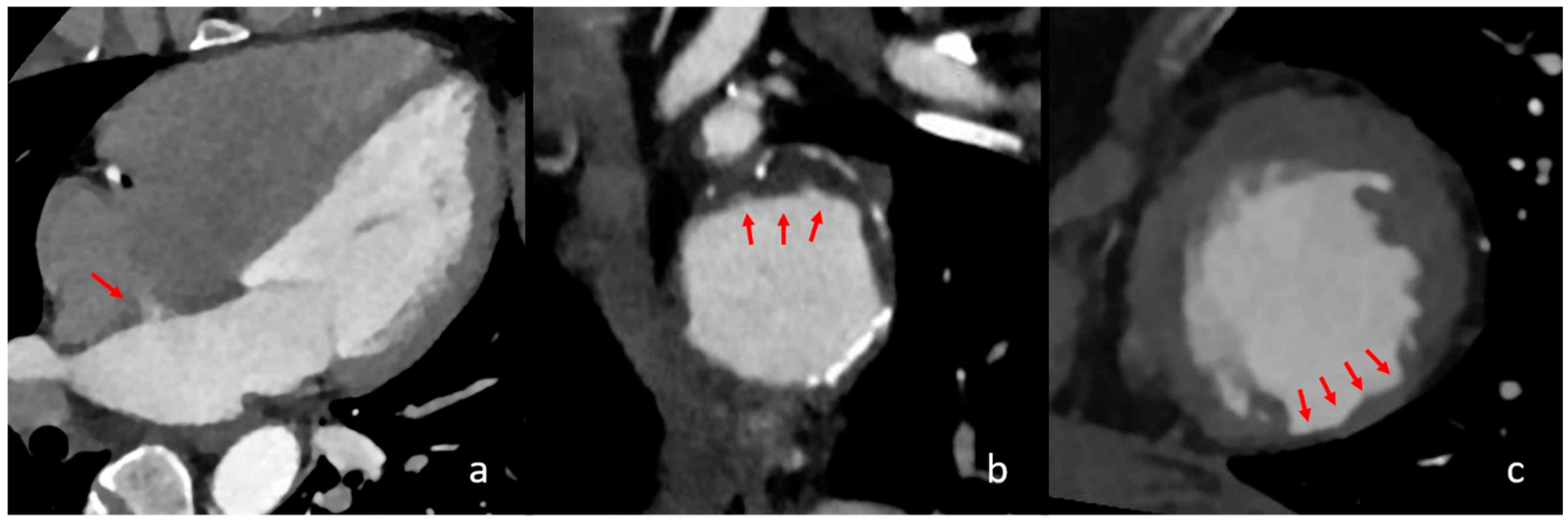
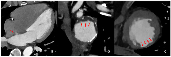
4.3. Visible Interatrial Shunt and PFO
4.4. Aortic Arch Atheroma
4.5. Previous Myocardial Infarction
4.6. Additional Radiation Exposure and Contrast Agent for Acquisition of Cardiac CT
4.7. Clinical Implications
4.8. Limitations
5. Conclusions
Supplementary Materials
Author Contributions
Funding
Institutional Review Board Statement
Informed Consent Statement
Data Availability Statement
Conflicts of Interest
References
- Adams, H.P.; Bendixen, B.H.; Kappelle, L.J.; Biller, J.; Love, B.B.; Gordon, D.L.; Marsh, E.E. Classification of subtype of acute ischemic stroke. Definitions for use in a multicenter clinical trial. TOAST. Trial of Org 10172 in Acute Stroke Treatment. Stroke 1993, 24, 35–41. [Google Scholar] [CrossRef] [PubMed]
- Hart, R.G.; Diener, H.C.; Coutts, S.B.; Easton, J.D.; Granger, C.B.; O’Donnell, M.J.; Sacco, R.L.; Connolly, S.J. Embolic strokes of undetermined source: The case for a new clinical construct. The Lancet. Neurology 2014, 13, 429–438. [Google Scholar] [CrossRef]
- Diener, H.-C.; Bernstein, R.; Hart, R. Secondary Stroke Prevention in Cryptogenic Stroke and Embolic Stroke of Undetermined Source (ESUS). Curr. Neurol. Neurosci. Rep. 2017, 17, 64. [Google Scholar] [CrossRef] [PubMed]
- Fitzgerald, S.; Dai, D.; Wang, S.; Douglas, A.; Kadirvel, R.; Layton, K.F.; Thacker, I.C.; Gounis, M.J.; Chueh, J.Y.; Puri, A.S.; et al. Platelet-Rich Emboli in Cerebral Large Vessel Occlusion Are Associated with a Large Artery Atherosclerosis Source. Stroke 2019, 50, 1907–1910. [Google Scholar] [CrossRef] [PubMed]
- Nio, S.S.; Rinkel, L.A.; Cramer, O.N.; Özata, Z.B.; Beemsterboer, C.F.; Guglielmi, V.; Bouma, B.J.; Boekholdt, S.M.; Lobé, N.H.; Beenen, L.F.; et al. Left Atrial Appendage Opacification on Cardiac Computed Tomography in Acute Ischemic Stroke: The Clinical Implications of Slow-Flow. J. Am. Heart Assoc. 2024, 13, e034106. [Google Scholar] [CrossRef]
- Kolominsky-Rabas, P.L.; Weber, M.; Gefeller, O.; Neundoerfer, B.; Heuschmann, P.U. Epidemiology of ischemic stroke subtypes according to TOAST criteria: Incidence, recurrence, and long-term survival in ischemic stroke subtypes: A population-based study. Stroke 2001, 32, 2735–2740. [Google Scholar] [CrossRef]
- Yang, J.; Wu, C.; Jin, Y.; Hu, M.; Lin, Y.; Yao, Q.; Zhu, C. Long-term outcomes among ischemic stroke TOAST subtypes: A 12-year Cohort study in China. J. Stroke Cerebrovasc. Dis. Off. J. Natl. Stroke Assoc. 2024, 33, 107783. [Google Scholar] [CrossRef]
- Piechocki, M.; Przewłocki, T.; Pieniążek, P.; Trystuła, M.; Podolec, J.; Kabłak-Ziembicka, A. A Non-Coronary, Peripheral Arterial Atherosclerotic Disease (Carotid, Renal, Lower Limb) in Elderly Patients-A Review: Part I-Epidemiology, Risk Factors, and Atherosclerosis-Related Diversities in Elderly Patients. J. Clin. Med. 2024, 13, 1471. [Google Scholar] [CrossRef]
- Stroke--1989. Recommendations on stroke prevention, diagnosis, and therapy. Report of the WHO Task Force on Stroke and other Cerebrovascular Disorders. Stroke 1989, 20, 1407–1431. [CrossRef] [PubMed]
- Austein, F.; Eden, M.; Engel, J.; Lebenatus, A.; Larsen, N.; Both, M.; Piesch, T.C.; Salehi Ravesh, M.; Meyne, J.; Jansen, O.; et al. Practicability and Diagnostic Yield of One-Stop Stroke CT with Delayed-Phase Cardiac CT in Detecting Major Cardioembolic Sources of Acute Ischemic Stroke: A Proof of Concept Study. Clin. Neuroradiol. 2021, 31, 911–920. [Google Scholar] [CrossRef] [PubMed]
- Romero, J.; Husain, S.A.; Kelesidis, I.; Sanz, J.; Medina, H.M.; Garcia, M.J. Detection of left atrial appendage thrombus by cardiac computed tomography in patients with atrial fibrillation: A meta-analysis. Circulation. Cardiovasc. Imaging 2013, 6, 185–194. [Google Scholar] [CrossRef] [PubMed]
- Yu, S.; Zhang, H.; Li, H. Cardiac Computed Tomography Versus Transesophageal Echocardiography for the Detection of Left Atrial Appendage Thrombus: A Systemic Review and Meta-Analysis. J. Am. Heart Assoc. 2021, 10, e022505. [Google Scholar] [CrossRef] [PubMed]
- Larsen, N.; Austein, F.; Klintz, T.; Campbell, G.; Sedaghat, S.; Aludin, S.; Schunk, D.; Both, M.; Jansen, O.; Langguth, P. Spectral cardiac CT in acute stroke patients. Sci. Rep. 2023, 13, 6781. [Google Scholar] [CrossRef] [PubMed]
- Lang, R.M.; Bierig, M.; Devereux, R.B.; Flachskampf, F.A.; Foster, E.; Pellikka, P.A.; Picard, M.H.; Roman, M.J.; Seward, J.; Shanewise, J.; et al. Recommendations for chamber quantification: A report from the American Society of Echocardiography’s Guidelines and Standards Committee and the Chamber Quantification Writing Group, developed in conjunction with the European Association of Echocardiography, a branch of the European Society of Cardiology. J. Am. Soc. Echocardiogr. Off. Publ. Am. Soc. Echocardiogr. 2005, 18, 1440–1463. [Google Scholar] [CrossRef]
- Amarenco, P.; Cohen, A.; Tzourio, C.; Bertrand, B.; Hommel, M.; Besson, G.; Chauvel, C.; Touboul, P.J.; Bousser, M.G. Atherosclerotic disease of the aortic arch and the risk of ischemic stroke. New Engl. J. Med. 1994, 331, 1474–1479. [Google Scholar] [CrossRef]
- Tunick, P.A.; Krinsky, G.A.; Lee, V.S.; Kronzon, I. Diagnostic imaging of thoracic aortic atherosclerosis. AJR Am. J. Roentgenol. 2000, 174, 1119–1125. [Google Scholar] [CrossRef] [PubMed]
- Rennert, R.C.; Wali, A.R.; Steinberg, J.A.; Santiago-Dieppa, D.R.; Olson, S.E.; Pannell, J.S.; Khalessi, A.A. Epidemiology, Natural History, and Clinical Presentation of Large Vessel Ischemic Stroke. Neurosurgery 2019, 85, S4–S8. [Google Scholar] [CrossRef] [PubMed]
- Malhotra, K.; Gornbein, J.; Saver, J.L. Ischemic Strokes Due to Large-Vessel Occlusions Contribute Disproportionately to Stroke-Related Dependence and Death: A Review. Front. Neurol. 2017, 8, 651. [Google Scholar] [CrossRef] [PubMed]
- Hassler, E.; Kneihsl, M.; Deutschmann, H.; Hinteregger, N.; Magyar, M.; Wießpeiner, U.; Haidegger, M.; Fandler-Höfler, S.; Eppinger, S.; Niederkorn, K.; et al. Relationship between stroke etiology and collateral status in anterior circulation large vessel occlusion. J. Neurol. 2020, 267, 3362–3370. [Google Scholar] [CrossRef]
- Inoue, M.; Noda, R.; Yamaguchi, S.; Tamai, Y.; Miyahara, M.; Yanagisawa, S.; Okamoto, K.; Hara, T.; Takeuchi, S.; Miki, K.; et al. Specific Factors to Predict Large-Vessel Occlusion in Acute Stroke Patients. J. Stroke Cerebrovasc. Dis. Off. J. Natl. Stroke Assoc. 2018, 27, 886–891. [Google Scholar] [CrossRef] [PubMed]
- Tan, Y.-F.; Zhan, L.-X.; Chen, X.-H.; Guo, J.-J.; Qin, C.; Xu, E. Risk Factors, Clinical Features and Prognosis for Subtypes of Ischemic Stroke in a Chinese Population. Curr. Med. Sci. 2018, 38, 296–303. [Google Scholar] [CrossRef] [PubMed]
- Narayanan, K.; Reinier, K.; Teodorescu, C.; Uy-Evanado, A.; Aleong, R.; Chugh, H.; Nichols, G.A.; Gunson, K.; London, B.; Jui, J.; et al. Left ventricular diameter and risk stratification for sudden cardiac death. J. Am. Heart Assoc. 2014, 3, e001193. [Google Scholar] [CrossRef] [PubMed]
- Li, T.; Li, G.; Guo, X.; Li, Z.; Sun, Y. Echocardiographic left ventricular geometry profiles for prediction of stroke, coronary heart disease and all-cause mortality in the Chinese community: A rural cohort population study. BMC Cardiovasc. Disord. 2021, 21, 238. [Google Scholar] [CrossRef]
- Hershberger, R.E.; Morales, A.; Siegfried, J.D. Clinical and genetic issues in dilated cardiomyopathy: A review for genetics professionals. Genet. Med. Off. J. Am. Coll. Med. Genet. 2010, 12, 655–667. [Google Scholar] [CrossRef] [PubMed]
- Schultheiss, H.P.; Fairweather, D.; Caforio, A.L.; Escher, F.; Hershberger, R.E.; Lipshultz, S.E.; Liu, P.P.; Matsumori, A.; Mazzanti, A.; McMurray, J.; et al. Dilated cardiomyopathy. Nature reviews. Dis. Primers 2019, 5, 32. [Google Scholar] [CrossRef] [PubMed]
- Moat, N.E.; Ludman, P.; De Belder, M.A.; Bridgewater, B.; Cunningham, A.D.; Young, C.P.; Thomas, M.; Kovac, J.; Spyt, T.; MacCarthy, P.A.; et al. Long-term outcomes after transcatheter aortic valve implantation in high-risk patients with severe aortic stenosis: The U.K. TAVI (United Kingdom Transcatheter Aortic Valve Implantation) Registry. J. Am. Coll. Cardiol. 2011, 58, 2130–2138. [Google Scholar] [CrossRef] [PubMed]
- Eggebrecht, H.; Schmermund, A.; Voigtländer, T.; Kahlert, P.; Erbel, R.; Mehta, R.H. Risk of stroke after transcatheter aortic valve implantation (TAVI): A meta-analysis of 10,037 published patients. EuroIntervention J. EuroPCR Collab. Work. Group Interv. Cardiol. Eur. Soc. Cardiol. 2012, 8, 129–138. [Google Scholar] [CrossRef]
- Cetinkaya, A.; Poggenpohl, J.; Bramlage, K.; Hein, S.; Doss, M.; Bramlage, P.; Schönburg, M.; Richter, M. Long-term outcome after mitral valve replacement using biological versus mechanical valves. J. Cardiothorac. Surg. 2019, 14, 120. [Google Scholar] [CrossRef]
- Pristipino, C.; Sievert, H.; D’ascenzo, F.; Louis Mas, J.; Meier, B.; Scacciatella, P.; Hildick-Smith, D.; Gaita, F.; Toni, D.; Kyrle, P.; et al. European position paper on the management of patients with patent foramen ovale. General approach and left circulation thromboembolism. Eur. Heart J. 2019, 40, 3182–3195. [Google Scholar] [CrossRef]
- Bang, O.Y.; Lee, M.J.; Ryoo, S.; Kim, S.J.; Kim, J.W. Patent Foramen Ovale and Stroke-Current Status. J. Stroke 2015, 17, 229–237. [Google Scholar] [CrossRef] [PubMed]
- Sposato, L.A.; Albin, C.S.W.; Elkind, M.S.V.; Kamel, H.; Saver, J.L. Patent Foramen Ovale Management for Secondary Stroke Prevention: State-of-the-Art Appraisal of Current Evidence. Stroke 2024, 55, 236–247. [Google Scholar] [CrossRef] [PubMed]
- Mas, J.L.; Saver, J.L.; Kasner, S.E.; Nelson, J.; Carroll, J.D.; Chatellier, G.; Derumeaux, G.; Furlan, A.J.; Herrmann, H.C.; Jüni, P.; et al. Association of Atrial Septal Aneurysm and Shunt Size with Stroke Recurrence and Benefit From Patent Foramen Ovale Closure. JAMA Neurol. 2022, 79, 1175–1179. [Google Scholar] [CrossRef]
- Kent, D.M.; Saver, J.L.; Ruthazer, R.; Furlan, A.J.; Reisman, M.; Carroll, J.D.; Smalling, R.W.; Jüni, P.; Mattle, H.P.; Meier, B.; et al. Risk of Paradoxical Embolism (RoPE)-Estimated Attributable Fraction Correlates with the Benefit of Patent Foramen Ovale Closure: An Analysis of 3 Trials. Stroke 2020, 51, 3119–3123. [Google Scholar] [CrossRef] [PubMed]
- Ter Schiphorst, A.; Lippi, A.; Corti, L.; Mourand, I.; Prin, P.; Agullo, A.; Cagnazzo, F.; Macia, J.C.; Arquizan, C. In young patients with stroke of undetermined etiology, large vessel occlusions are less frequent in the group with high-risk patent foramen ovale. Rev. Neurol. 2024, 180, 539–547. [Google Scholar] [CrossRef]
- Meissner, I.; Khandheria, B.K.; Sheps, S.G.; Schwartz, G.L.; Wiebers, D.O.; Whisnant, J.P.; Covalt, J.L.; Petterson, T.M.; Christianson, T.J.; Agmon, Y. Atherosclerosis of the aorta: Risk factor, risk marker, or innocent bystander? A prospective population-based transesophageal echocardiography study. J. Am. Coll. Cardiol. 2004, 44, 1018–1024. [Google Scholar] [CrossRef]
- Di Tullio, M.R.; Sacco, R.L.; Gersony, D.; Nayak, H.; Weslow, R.G.; Kargman, D.E.; Homma, S. Aortic atheromas and acute ischemic stroke: A transesophageal echocardiographic study in an ethnically mixed population. Neurology 1996, 46, 1560–1566. [Google Scholar] [CrossRef]
- Kronzon, I.; Tunick, P.A. Aortic atherosclerotic disease and stroke. Circulation 2006, 114, 63–75. [Google Scholar] [CrossRef] [PubMed]
- Amarenco, P.; Cohen, A.; Hommel, M.; Moulin, T.; Leys, D.; Bousser, M.-G. Atherosclerotic disease of the aortic arch as a risk factor for recurrent ischemic stroke. New Engl. J. Med. 1996, 334, 1216–1221. [Google Scholar] [CrossRef] [PubMed]
- Komrad, M.S.; Coffey, C.E.; Coffey, K.S.; McKinnis, R.; Massey, E.W.; Califf, R.M. Myocardial infarction and stroke. Neurology 1984, 34, 1403–1409. [Google Scholar] [CrossRef]
- Kamel, H.; Healey, J.S. Cardioembolic Stroke. Circ. Res. 2017, 120, 514–526. [Google Scholar] [CrossRef]
- Merkler, A.E.; Bartz, T.M.; Kamel, H.; Soliman, E.Z.; Howard, V.; Psaty, B.M.; Okin, P.M.; Safford, M.M.; Elkind, M.S.; Longstreth, W.T., Jr. Silent Myocardial Infarction and Subsequent Ischemic Stroke in the Cardiovascular Health Study. Neurology 2021, 97, e436–e443. [Google Scholar] [CrossRef] [PubMed]
- Blankstein, R.; Rogers, I.S.; Cury, R.C. Practical tips and tricks in cardiovascular computed tomography: Diagnosis of myocardial infarction. J. Cardiovasc. Comput. Tomogr. 2009, 3, 104–111. [Google Scholar] [CrossRef]
- Lardo, A.C.; Cordeiro, M.A.; Silva, C.; Amado, L.C.; George, R.T.; Saliaris, A.P.; Schuleri, K.H.; Fernandes, V.R.; Zviman, M.; Nazarian, S.; et al. Contrast-enhanced multidetector computed tomography viability imaging after myocardial infarction: Characterization of myocyte death, microvascular obstruction, and chronic scar. Circulation 2006, 113, 394–404. [Google Scholar] [CrossRef]
- Gosalia, A.; Haramati, L.B.; Sheth, M.P.; Spindola-Franco, H. CT detection of acute myocardial infarction. AJR. Am. J. Roentgenol. 2004, 182, 1563–1566. [Google Scholar] [CrossRef] [PubMed]
- Lee, P.; Dhillon, G.; Pourafkari, M.; DaBreo, D.; Jaff, Z.; Appireddy, R.; Jin, A.; Boissé Lomax, L.; Durafourt, B.A.; Boyd, J.G.; et al. Non-ECG-gated cardiac CT angiography in acute stroke is feasible and detects sources of embolism. Int. J. Stroke Off. J. Int. Stroke Soc. 2024, 19, 189–198. [Google Scholar] [CrossRef]
- Rinkel, L.A.; Guglielmi, V.; Beemsterboer, C.F.; Groeneveld, N.S.; Lobé, N.H.; Boekholdt, S.M.; Bouma, B.J.; Muller, F.F.; Beenen, L.F.; Marquering, H.A.; et al. Diagnostic Yield of ECG-Gated Cardiac CT in theAcute Phase of Ischemic Stroke vsTransthoracic Echocardiography. Neurology 2022, 99, e1456–e1464. [Google Scholar] [CrossRef] [PubMed]
- Molina-Fuentes, M.F.; Neumann, R.; Behringer, W.; Franz, M.; Schulze, P.C.; Witte, O.W.; Günther, A.; Klingner, C.; Lehmkuhl, L.; Steiniger, B.; et al. Feasibility of the Big 5-Jena eCS Protocol: First Experience Implementing a New Extended CT Protocol in the Initial Diagnostics of Ischemic Stroke. Clin. Neuroradiol. 2021, 31, 901–909. [Google Scholar] [CrossRef]


| All Patients (n = 315) | No AF and No Thrombus Patients (n = 121) | p-Values | |
|---|---|---|---|
| Female, n (%) | 191 (60.3%) | 64 (52.9%) | 0.48 |
| Age, years | 75.3 ± 14.0 | 69.4 ± 16.1 | <0.05 |
| Hypertension, n (%) | 197 (62.5%) | 66 (54.5%) | 0.48 |
| Diabetes, n (%) | 54 (17.1%) | 18 (14.9%) | 0.71 |
| Smoker, n (%) | 67 (21.3%) | 28 (23.1%) | 0.80 |
| Hyperlipidaemia, n (%) | 71 (22.5%) | 25 (20.7%) | 0.80 |
| CRP | 23.87 ± 40.25 | 21.65 ± 36.77 | 0.65 |
| HbA1c in % | 5.97 ± 0.85 | 5.89 ± 0.81 | 0.42 |
| TTE, n (%) | 184 (58.4%) | 82 (67.8%) | 0.40 |
| TEE, n (%) | 37 (11.7%) | 26 (21.5%) | 0.04 |
| Congestive heart failure, n (%) | 31 (9.8%) | 9 (7.4%) | 0.58 |
| AF, n (%) | 175 (55.5%) | 0 | <0.01 |
| Cardioembolic, n (%) | 221 (70.2%) | 29 (24.0%) | <0.01 |
| Large-artery atherosclerosis, n (%) | 29 (9.2%) | 28 (23.1%) | <0.01 |
| ESUS, n (%) | 57 (18.1%) | 57 (47.1%) | <0.01 |
| Other source, n (%) | 8 (2.5%) | 7 (5.7%) | 0.14 |
| LASP, n (%) | 64 (20.3%) | 17 (14.0%) | 0.22 |
| LAD, n (%) | 86 (27.3%) | 34 (28.1%) | 0.91 |
| Thrombus, n (%) | 44 (13.9%) | 0 (0.0%) | <0.05 |
| Visual stasis in LAA, n (%) | 120 (37.9%) | 16 (13.2%) | <0.05 |
| Post ischaemic myocardial scar, n (%) | 44 (13.9%) | 11 (9.1%) | 0.26 |
| Aortic arch atheroma ≥ grade 2, n (%) | 31 (9.8%) | 13 (10.7%) | 0.86 |
| Visible interatrial shunt, n (%) | 11 (3.5%) | 4 (3.3%) | 1 |
| Cardiac tumor, n (%) | 3 (0.9%) | 0 (0.0%) | 0.56 |
| Left ventricular dilatation, n (%) | 21 (6.6%) | 5 (4.1%) | 0.5 |
| Aortic or mitral valve implants, n (%) | 22 (7.0%) | 5 (4.1%) | 0.04 |
| Factor | Adjusted Odds Ratio (AOR) | 95% CI | p-Value |
|---|---|---|---|
| Left ventricular dilatation | 32.4 | 3.0–349.0 | 0.004 |
| Intra-atrial shunting | 30.1 | 2.7–341.3 | 0.006 |
| Aortic or mitral valve implant | 24.5 | 2.2–270.9 | 0.009 |
| Thrombotic aortic arch grade II/III | 6.9 | 1.5–32.8 | 0.015 |
| Old myocardial infarction | 6.3 | 1.2–34.1 | 0.032 |
Disclaimer/Publisher’s Note: The statements, opinions and data contained in all publications are solely those of the individual author(s) and contributor(s) and not of MDPI and/or the editor(s). MDPI and/or the editor(s) disclaim responsibility for any injury to people or property resulting from any ideas, methods, instructions or products referred to in the content. |
© 2025 by the authors. Licensee MDPI, Basel, Switzerland. This article is an open access article distributed under the terms and conditions of the Creative Commons Attribution (CC BY) license (https://creativecommons.org/licenses/by/4.0/).
Share and Cite
Mostafa, K.; Wünsche, C.; Krutmann, S.; Wolf, C.; Aludin, S.; Larsen, N.; Seiler, A.; Schunk, D.; Jansen, O.; Seoudy, H.; et al. Cardiac CT in Large Vessel Occlusion Stroke for the Evaluation of Non-Thrombotic and Non-Atrial-Fibrillation-Related Embolic Causes. Neurol. Int. 2025, 17, 25. https://doi.org/10.3390/neurolint17020025
Mostafa K, Wünsche C, Krutmann S, Wolf C, Aludin S, Larsen N, Seiler A, Schunk D, Jansen O, Seoudy H, et al. Cardiac CT in Large Vessel Occlusion Stroke for the Evaluation of Non-Thrombotic and Non-Atrial-Fibrillation-Related Embolic Causes. Neurology International. 2025; 17(2):25. https://doi.org/10.3390/neurolint17020025
Chicago/Turabian StyleMostafa, Karim, Cosima Wünsche, Sarah Krutmann, Carmen Wolf, Schekeb Aludin, Naomi Larsen, Alexander Seiler, Domagoj Schunk, Olav Jansen, Hatim Seoudy, and et al. 2025. "Cardiac CT in Large Vessel Occlusion Stroke for the Evaluation of Non-Thrombotic and Non-Atrial-Fibrillation-Related Embolic Causes" Neurology International 17, no. 2: 25. https://doi.org/10.3390/neurolint17020025
APA StyleMostafa, K., Wünsche, C., Krutmann, S., Wolf, C., Aludin, S., Larsen, N., Seiler, A., Schunk, D., Jansen, O., Seoudy, H., & Langguth, P. (2025). Cardiac CT in Large Vessel Occlusion Stroke for the Evaluation of Non-Thrombotic and Non-Atrial-Fibrillation-Related Embolic Causes. Neurology International, 17(2), 25. https://doi.org/10.3390/neurolint17020025

