SARS-CoV-2 Infection Causes Relapse of Kleine-Levin Syndrome: Case Report and Review of Literature
Abstract
:1. Introduction
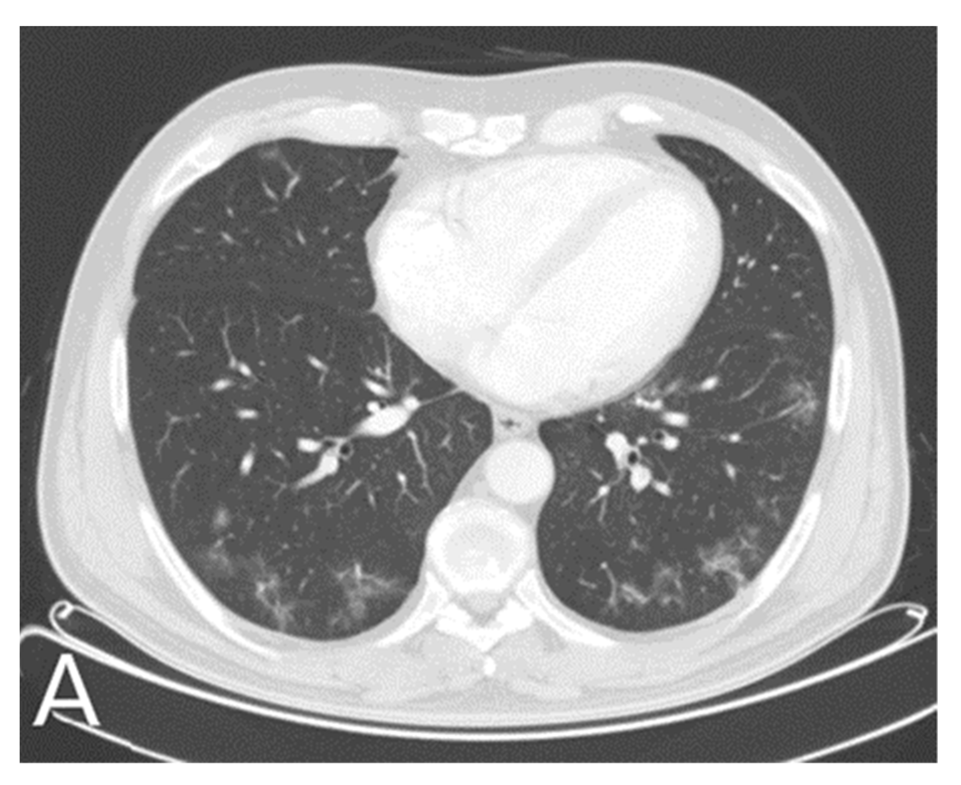
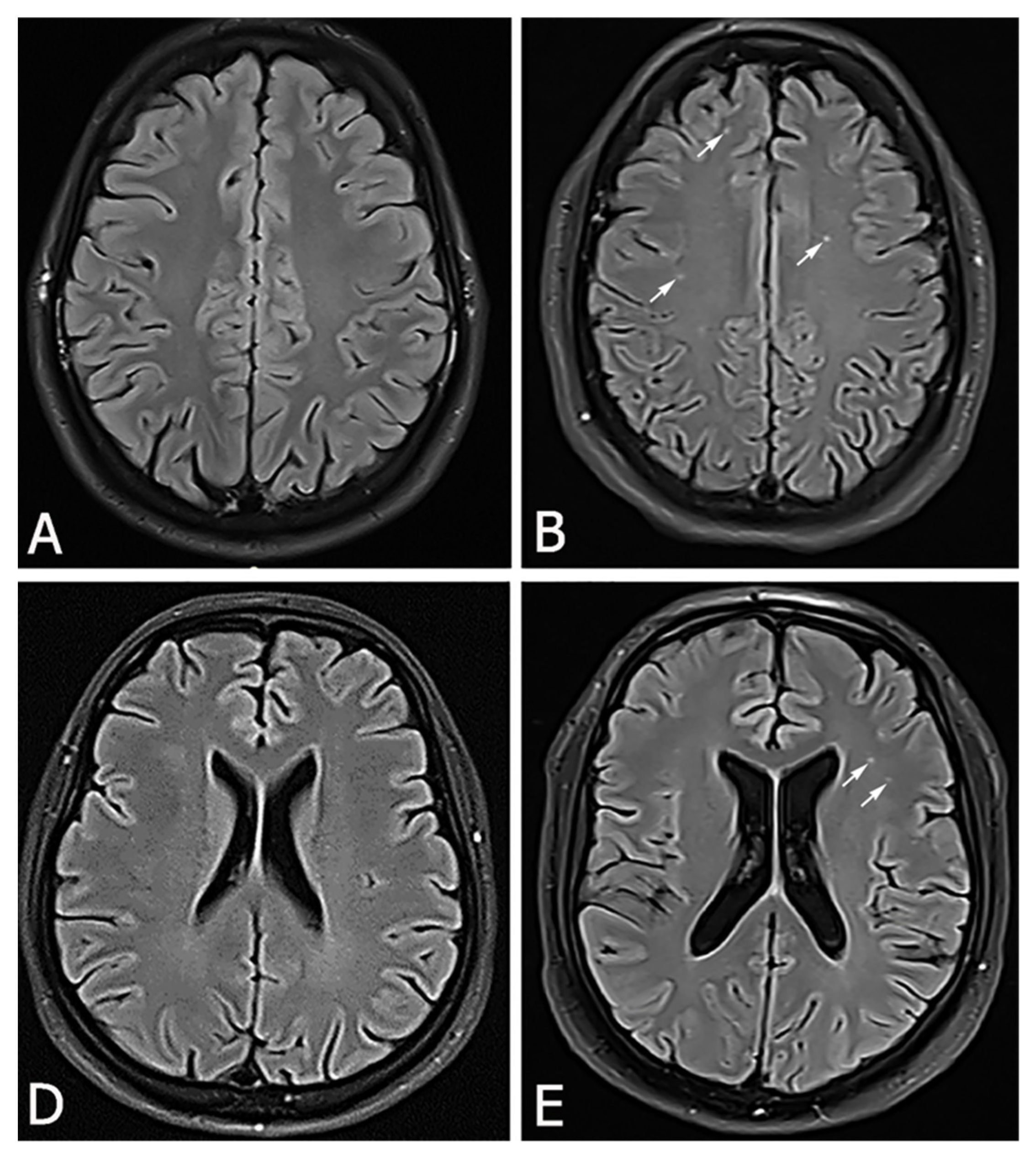
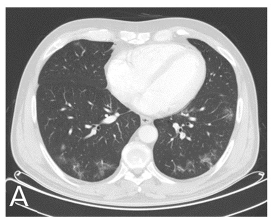
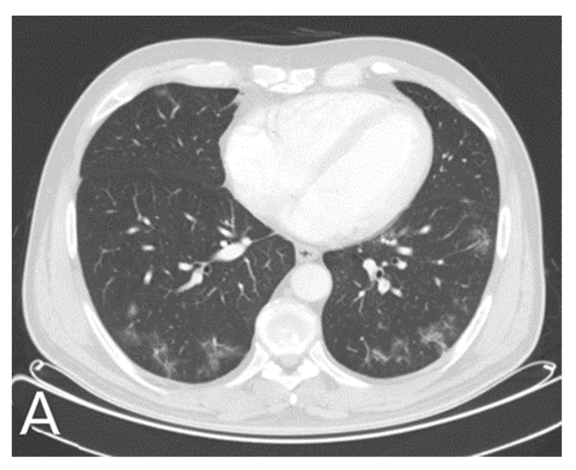
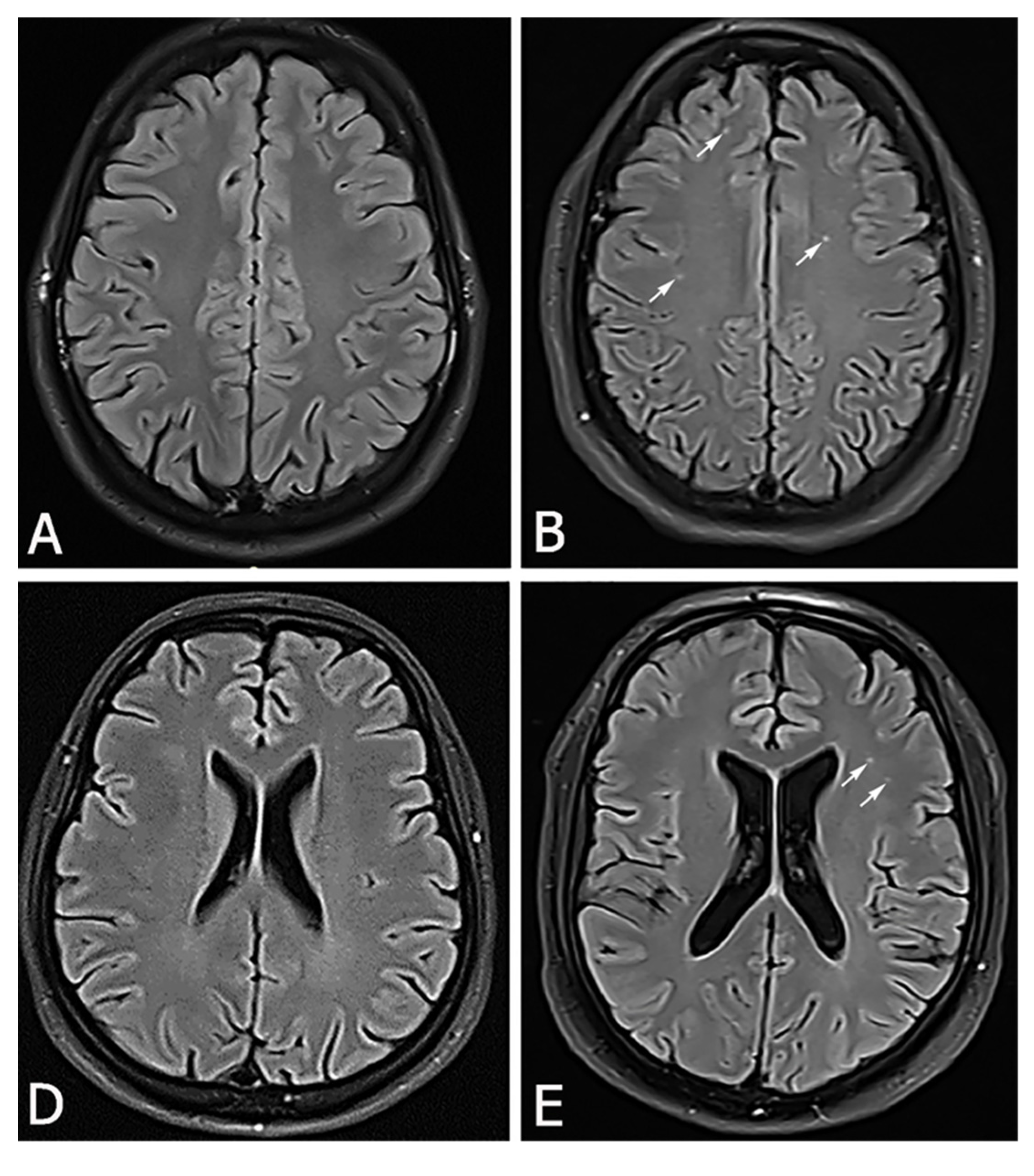
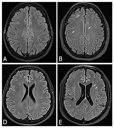
2. Case Report
3. Discussion
4. Conclusions
Author Contributions
Funding
Institutional Review Board Statement
Informed Consent Statement
Data Availability Statement
Conflicts of Interest
References
- Miglis, M.G.; Guilleminault, C. Kleine-Levin syndrome:a review. Nat. Sci. Sleep 2014, 6, 19–26. [Google Scholar] [PubMed] [Green Version]
- Critchley, M.; Hoffman, H.L. The Syndrome of Periodic Somnolence and Morbid Hunger (Kleine-Levin Syndrome). Br. Med. J. 1942, 1, 137–139. [Google Scholar] [CrossRef] [PubMed] [Green Version]
- Huang, Y.S.; Guilleminault, C.; Lin, K.L.; Hwang, F.M.; Liu, F.Y.; Kung, Y.P. Relationship between Kleine-Levin Syndrome and Upper Respiratory Infection in Taiwan. Sleep 2012, 35, 123–129. [Google Scholar] [CrossRef] [Green Version]
- Hernández-Fernández, F.; Valencia, H.S.; Barbella-Aponte, R.A.; Collado-Jiménez, R.; Ayo-Martín, Ó.; Barrena, C.; Molina-Nuevo, J.D.; García-García, J.; Lozano-Setién, E.; Alcahut-Rodriguez, C.; et al. Cerebrovascular disease in patients with COVID-19: Neuroimaging, histological and clinical description. Brain 2020, 143, 3089–3103. [Google Scholar] [CrossRef]
- Mignot, E.J. A Practical Guide to the Therapy of Narcolepsy and Hypersomnia Syndromes. Neurotherapeutics 2012, 9, 739–752. [Google Scholar] [CrossRef] [PubMed] [Green Version]
- Arnulf, I.; Lin, L.; Gadoth, N.; File, J.; Lecendreux, M.; Franco, P.; Zeitzer, J.; Lo, B.; Faraco, J.H.; Mignot, E. Kleine-Levin syndrome: A systematic study of 108 patients. Ann. Neurol. 2008, 63, 482–493. [Google Scholar] [CrossRef]
- American Academy of Sleep Medicine. International Classification of Sleep Disorders: Diagnostic and Coding Manual, 2nd ed.; American Academy of Sleep Medicine: Westchester, IL, USA, 2005. [Google Scholar]
- Lopez, R.; Barateau, L.; Chenini, S.; Dauvilliers, Y. Preliminary results on CSF biomarkers for hypothalamic dysfunction in Kleine–Levin syndrome. Sleep Med. 2015, 16, 194–196. [Google Scholar] [CrossRef]
- Huang, Y.-S.; Lin, Y.-H.; Guilleminault, C. Polysomnography in Kleine-Levin syndrome. Neurology 2008, 70, 795–801. [Google Scholar] [CrossRef]
- Huang, Y.S.; Guilleminault, C.; Kao, P.F.; Liu, F.Y. SPECT Findings in the Kleine-Levin Syndrome. Sleep 2005, 28, 955–960. [Google Scholar] [CrossRef] [PubMed] [Green Version]
- Kas, A.; Lavault, S.; Habert, M.O.; Arnulf, I. Feeling unreal: A functional imaging study in patients with Kleine-Levin syndrome. Brain 2014, 137, 2077–2087. [Google Scholar] [CrossRef]
- Haba-Rubio, J.; Prior, J.O.; Guedj, E.; Tafti, M.; Heinzer, R.; Rossetti, A.O. Kleine-Levin syndrome: Functional imaging correlates of hypersomnia and behavioral symptoms. Neurology 2012, 79, 1927–1929. [Google Scholar] [CrossRef] [Green Version]
- Billiard, M.; Podesta, C. Recurrent hypersomnia following traumatic brain injury. Sleep Med. 2013, 14, 462–465. [Google Scholar] [CrossRef] [PubMed]
- Marcic, L.; Marcic, M.; Kojundzic, S.L.; Marcic, B.; Capkun, V.; Vukojevic, K. Personalized Approach to Patient with MRI Brain Changes after SARS-CoV-2 Infection. J. Pers. Med. 2021, 11, 442. [Google Scholar] [CrossRef]
- Marcic, M.; Marcic, L.; Marcic, B.; Capkun, V.; Vukojevic, K. Cerebral Vasoreactivity Evaluated by Transcranial Color Doppler and Breath-Holding Test in Patients after SARS-CoV-2 Infection. J. Pers. Med. 2021, 11, 379. [Google Scholar] [CrossRef]
- AlShareef, S.M.; Smith, R.M.; BaHammam, A.S. Kleine-Levin syndrome: Clues to aetiology. Sleep Breath 2018, 22, 613–623. [Google Scholar] [CrossRef] [Green Version]
- Arnulf, I.; Rico, T.J.; Mignot, E. Diagnosis, disease course, and management of patients with Kleine-Levin syndrome. Lancet Neurol. 2012, 11, 918–928. [Google Scholar] [CrossRef]
- American Academy of Sleep Medicine. International Classification of Sleep Disorders: Diagnostic and Coding Manual, 3rd ed.; American Academy of Sleep Medicine: Westchester, IL, USA, 2014. [Google Scholar]
- Arnulf, I.; Zeitzer, J.M.; File, J.; Farber, N.; Mignot, E. Kleine–Levin syndrome: A systematic review of 186 cases in the literature. Brain 2005, 128, 2763–2776. [Google Scholar] [CrossRef] [PubMed] [Green Version]
- Geoffroy, P.A.; Arnulf, I.; Etain, B.; Henry, C. Kleine-Levin syndrome and bipolar disorder: A differential diagnosis of recurrent and resistant depression. Bipolar Disord. 2013, 15, 899–902. [Google Scholar] [CrossRef] [Green Version]
- De Oliveira, M.M.; Conti, C.; Prado, G.F. Pharmacological treatment for Kleine-Levin syndrome. Cochrane Database Syst. Rev. 2016, 6, 2016. [Google Scholar] [CrossRef] [PubMed]
- Aggarwal, A.; Garg, A.; Jiloha, R.C. Kleine-Levine syndrome in an adolescent female and response to modafinil. Ann. Indian Acad. Neurol. 2011, 14, 50–52. [Google Scholar] [CrossRef]
- Sum-Ping, O.; Guilleminault, C. Kleine-Levin Syndrome. Curr. Treat Options Neurol. 2016, 18, 24. [Google Scholar] [CrossRef] [PubMed]
- Poppe, M.; Friebel, D.; Reuner, U.; Todt, H.; Koch, R.; Heubner, G. The Kleine-Levin syndrome—Effects of treatment with lithium. Neuropediatrics 2003, 34, 113–119. [Google Scholar] [CrossRef] [PubMed]


| A | at least two recurrent episodes of excessive sleepiness, each persisting for 2 days to 5 weeks, |
| B | episodes recur at least 1 per 18 months |
| C | normal alertness, cognitive function, behavior, and mood between episodes |
| In addition to the recurrent hypersomnia, the patient should also have at least one of the following: | |
| 1. Hyperphagia | |
| 2. Hypersexuality | |
| 3. Abnormal behavior—irritability, aggression | |
| 4. Cognitive abnormalities—ex confusion, derealization, hallucinations | |
| 5. Hypersomnolence and related symptoms are not better explained by another sleep disorder, other medical, neurologic, or psychiatric disorder (especially bipolar disorder), or use of drugs or medications. | |
| PSV (cm/s) | EDV (cm/s) | MV (cm/s) | PI | RI | BHTM (s) | BHI | |
|---|---|---|---|---|---|---|---|
| rest | 108 | 64 | 84 | 0.56 | 0.78 | ||
| after BHT | 125 | 68 | 88 | 0.54 | 0.56 | 33 | 0.52 |
| Hypersomnia | 100% |
| Compulsive hyperphagia | 80% |
| Disinhibition and hypersexuality | 43% |
| Derealization | 96% |
| Apathy | 48% |
| Altered perception and temperature sensation | 29% |
| Clue for Diagnosis | |
|---|---|
| Complex partial seizures | EEG |
| Lyme disease | Serology, brain MRI |
| Narcolepsy | Polysomnography |
| Herpes simplex virus encephalitis | CSF PCR test |
| Intermittent porphyria | Laboratory test |
| Klüver-Bucy syndrome (bilateral temporal lobe lesions) | Brain MRI |
| Metabolic encephalopathies | Laboratory test |
| Menstruation-related hypersomnia | History of symptoms temporal pattern |
| Sleep disordered breathing | History of OSA |
| Primary psychiatric illness (depression, bipolar disorder) | Hystory of psychiatric illness |
| Medication or substance abuse | History of drugs abuse |
Publisher’s Note: MDPI stays neutral with regard to jurisdictional claims in published maps and institutional affiliations. |
© 2021 by the authors. Licensee MDPI, Basel, Switzerland. This article is an open access article distributed under the terms and conditions of the Creative Commons Attribution (CC BY) license (https://creativecommons.org/licenses/by/4.0/).
Share and Cite
Marčić, M.; Marčić, L.; Marčić, B. SARS-CoV-2 Infection Causes Relapse of Kleine-Levin Syndrome: Case Report and Review of Literature. Neurol. Int. 2021, 13, 328-334. https://doi.org/10.3390/neurolint13030033
Marčić M, Marčić L, Marčić B. SARS-CoV-2 Infection Causes Relapse of Kleine-Levin Syndrome: Case Report and Review of Literature. Neurology International. 2021; 13(3):328-334. https://doi.org/10.3390/neurolint13030033
Chicago/Turabian StyleMarčić, Marino, Ljiljana Marčić, and Barbara Marčić. 2021. "SARS-CoV-2 Infection Causes Relapse of Kleine-Levin Syndrome: Case Report and Review of Literature" Neurology International 13, no. 3: 328-334. https://doi.org/10.3390/neurolint13030033
APA StyleMarčić, M., Marčić, L., & Marčić, B. (2021). SARS-CoV-2 Infection Causes Relapse of Kleine-Levin Syndrome: Case Report and Review of Literature. Neurology International, 13(3), 328-334. https://doi.org/10.3390/neurolint13030033

