Digenic Contribution of Heterozygous ALPK3 and TRIM63 Variants to End-Stage Hypertrophic Cardiomyopathy in a Young Adult
Abstract
1. Introduction
2. Detailed Case Description
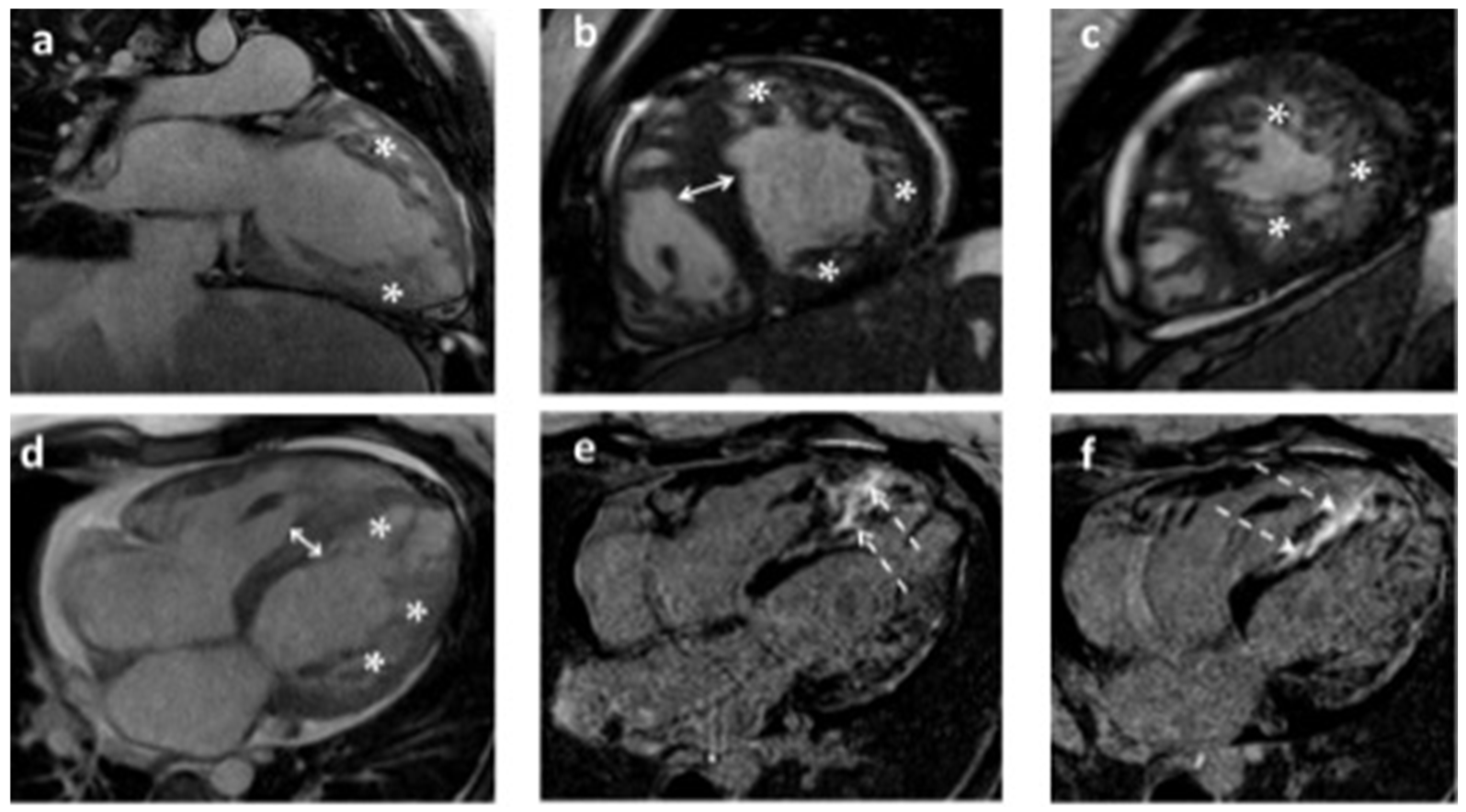
2.1. Clinical Presentation
2.2. Genetic Testing
2.3. In Silico Protein–Protein Interaction Analysis
3. Discussion
ALPK3 Protein and TRIM63/MuRF1 Protein Interaction
4. Conclusions
5. Limitations
Author Contributions
Funding
Institutional Review Board Statement
Informed Consent Statement
Data Availability Statement
Acknowledgments
Conflicts of Interest
Appendix A
Technical Aspects of Genetic Testing
| Symbol | Full Gene Name |
|---|---|
| AARS2 | Alanine–tRNA ligase, mitochondrial |
| ACAD9 | Acyl-CoA dehydrogenase family member 9, mitochondrial |
| ACADVL | Very long-chain specific acyl-CoA dehydrogenase, mitochondrial |
| ACTA1 | Actin, alpha 1, skeletal muscle |
| ACTC1 | Actin, alpha cardiac muscle 1 |
| ACTN2 | Alpha-actinin-2 |
| AGK | Acylglycerol kinase, mitochondrial |
| AGL | Glycogen debranching enzyme |
| ALPK3 | Alpha-protein kinase 3 |
| APOA1 | Apolipoprotein 1 |
| ATPAF2 | ATP synthase mitochondrial F1 complex assembly factor 2 |
| BAG3 | BAG family molecular chaperone regulator 3 |
| BRAF | Serine/threonine-protein kinase B-raf |
| CAV3 | Caveolin 3 |
| COA5 | Cytochrome c oxidase assembly factor 5 |
| COA6 | Cytochrome c oxidase assembly factor 6 homolog |
| COQ2 | 4-hydroxybenzoate polyprenyltransferase, mitochondrial |
| COX15 | Cytochrome c oxidase assembly protein COX15 homolog |
| COX6B1 | Cytochrome c oxidase subunit 6B1 |
| CSRP3 | Cysteine and glycine-rich protein 3 |
| DES | Desmin |
| DLD | Dihydrolipoyl dehydrogenase, mitochondrial |
| ELAC2 | Zinc phosphodiesterase ELAC protein 2 |
| FHL1 | Four and a half LIM domains protein 1 |
| FHL2 | Four and a half LIM domains 2 (FHL-2) |
| FHOD3 | FH1/FH2 domain-containing protein 3 |
| FLNC | Filamin-C |
| FOXRED1 | FAD-dependent oxidoreductase domain-containing protein 1 |
| FXN | Frataxin, mitochondrial |
| GAA | Lysosomal alpha-glucosidase |
| GFM1 | Elongation factor G, mitochondrial |
| GLA | Alpha galactosidase A |
| GYG1 | Glycogenin-1 |
| HFE | Hereditary hemochromatosis protein |
| HRAS | GTPase HRas |
| JPH2 | Junctophilin 2 |
| KLHL24 | Kelch-like protein 24 |
| KRAS | GTPase KRas |
| LAMP2 | Laminin subunit alpha-2 |
| LDB3 | LIM domain-binding protein 3 |
| LIAS | Lipoyl synthase, mitochondrial |
| LZTR1 | Leucine-zipper-like transcriptional regulator 1 |
| MAP2K1 | Dual specificity mitogen-activated protein kinase kinase 1 |
| MAP2K2 | Dual specificity mitogen-activated protein kinase kinase 2 |
| MLYCD | Malonyl-CoA decarboxylase, mitochondrial |
| MRPL3 | 39S ribosomal protein L3, mitochondrial |
| MRPL44 | 39S ribosomal protein L44, mitochondrial |
| MRPS22 | 28S ribosomal protein S22, mitochondrial |
| MTO1 | Protein MTO1 homolog, mitochondrial |
| MYBPC3 | Myosin-binding protein C, cardiac type |
| MYH7 | Myosin Heavy Chain 7 |
| MYL2 | Myosin regulatory light chain 2, ventricular/cardiac muscle isoform |
| MYL3 | Myosin light chain 3 |
| MYOZ2 | Myozenin 2 |
| MYPN | Myopalladin |
| NF1 | Neurofibromin |
| NRAS | GTPase NRas |
| PLN | Cardiac phospholamban |
| PMM2 | Phosphomannomutase 2 |
| PRKAG2 | 5′-AMP-activated protein kinase subunit gamma-2 |
| PTPN11 | Tyrosine-protein phosphatase non-receptor type 11 |
| RAF1 | RAF proto-oncogene serine/threonine-protein kinase |
| RIT1 | GTP-binding protein Rit1 |
| SCO2 | Synthesis Of Cytochrome C Oxidase 2 |
| SHOC2 | SHOC2 Leucine Rich Repeat Scaffold Protein |
| SLC22A5 | Solute Carrier Family 22 Member 5 |
| SLC25A3 | Solute Carrier Family 25 Member 3 |
| SLC25A4 | Solute Carrier Family 25 Member 4 |
| SOS1 | SOS Ras/Rac Guanine Nucleotide Exchange Factor 1 |
| SURF1 | SURF1 Cytochrome C Oxidase Assembly Factor |
| TMEM70 | Transmembrane Protein 70 |
| TNNC1 | Troponin C1, Slow Skeletal And Cardiac Type |
| TNNI3 | Troponin I3, Cardiac Type |
| TNNT2 | Troponin T2, Cardiac Type |
| TPM1 | Tropomyosin 1 |
| TRIM63 | Tripartite Motif Containing 63 |
| TTR | Transthyretin |
| Indicator | Meaning |
|---|---|
| Total reads | 2,200,937 |
| Medium Coverage | 1202x |
| On target | 94% |
| Uniformity of coverage | 87% |
| % of target loci covered with high quality | 99.1% |
| % uncovered target loci | 0.9% |
| total variants | 567 |
| Gender | Xy |



References
- Elliott, P.M.; Anastasakis, A.; Borger, M.A.; Borggrefe, M.; Cecchi, F.; Charron, P.; Hagege, A.A.; Lafont, A.; Limongelli, G.; Mahrholdt, H.; et al. 2014 ESC Guidelines on diagnosis and management of hypertrophic cardiomyopathy. Eur. Heart J. 2014, 35, 2733–2779. [Google Scholar] [CrossRef]
- Christian, S.; Cirino, A.; Hansen, B.; Harris, S.; Murad, A.M.; Natoli, J.L.; Malinowski, J.; Kelly, M.A. Diagnostic validity and clinical utility of genetic testing for hypertrophic cardiomyopathy: A systematic review and meta-analysis. Open Heart 2022, 9, e001815. [Google Scholar] [CrossRef]
- Chumakova, O.S.; Baulina, N.M. Advanced searching for hypertrophic cardiomyopathy heritability in real practice tomorrow. Front. Cardiovasc. Med. 2023, 10, 1236539. [Google Scholar] [CrossRef]
- Glezeva, N.; Moran, B.; Collier, P.; Moravec, C.S.; Phelan, D.; Donnellan, E.; Russell-Hallinan, A.; O’Connor, D.P.; Gallagher, W.M.; Gallagher, J.; et al. Targeted DNA Methylation Profiling of Human Cardiac Tissue Reveals Novel Epigenetic Traits and Gene Deregulation Across Different Heart Failure Patient Subtypes. Circ. Heart Fail. 2019, 12, e005765. [Google Scholar] [CrossRef]
- Baulina, N.; Pisklova, M.; Kiselev, I.; Chumakova, O.; Zateyshchikov, D.; Favorova, O. Circulating miR-499a-5p is a potential biomarker of MYH7—Associated hypertrophic cardiomyopathy. Int. J. Mol. Sci. 2022, 23, 3791. [Google Scholar] [CrossRef]
- Kiselev, I.; Kozin, M.; Baulina, N.; Pisklova, M.; Danilova, L.; Zotov, A.; Chumakova, O.; Zateyshchikov, D.; Favorova, O. Novel Genes Involved in Hypertrophic Cardiomyopathy: Data of Transcriptome and Methylome Profiling. Int. J. Mol. Sci. 2022, 23, 15280. [Google Scholar] [CrossRef]
- Liang, L.W.; Hasegawa, K.; Maurer, M.S.; Reilly, M.P.; Fifer, M.A.; Shimada, Y.J. Comprehensive transcriptomics profiling of MicroRNA reveals plasma circulating biomarkers of hypertrophic cardiomyopathy and dysregulated signaling pathways. Circ. Heart Fail. 2023, 16, e010010. [Google Scholar] [CrossRef] [PubMed]
- Harper, A.R.; Goel, A.; Grace, C.; Thomson, K.L.; Petersen, S.E.; Xu, X.; Waring, A.; Ormondroyd, E.; Kramer, C.M.; Ho, C.Y.; et al. Common genetic variants and modifiable risk factors underpin hypertrophic cardiomyopathy susceptibility and expressivity. Nat. Genet. 2021, 53, 135–142. [Google Scholar] [CrossRef] [PubMed]
- Zheng, S.L.; Jurgens, S.J.; McGurk, K.A.; Xu, X.; Grace, C.; Theotokis, P.I.; Buchan, R.J.; Francis, C.; de Marvao, A.; Curran, L.; et al. Evaluation of polygenic scores for hypertrophic cardiomyopathy in the general population and across clinical settings. Nat. Genet. 2025, 57, 563–571. [Google Scholar] [CrossRef]
- Jorda, P.; Lipov, A.; Gimeno Blanes, J.R.; Castillo, I.; Walsh, R.; Poel, E.; Moussa, S.; Haydarlou, P.; Baas, A.; Michels, M.; et al. Polygenic score analyses in a large multinational HCM clinical cohort identifies effects on disease penetrance and severity. Circulation 2025, 152, A4357141. [Google Scholar] [CrossRef]
- Bakalakos, A.; Monda, E.; Elliott, P.M. The diagnostic and therapeutic implications of phenocopies and mimics of Hypertrophic Cardiomyopathy. Can. J. Cardiol. 2024, 40, 754–765. [Google Scholar] [CrossRef] [PubMed]
- Angelini, F.; Bocchino, P.P.; Dusi, V.; Pidello, S.; De Ferrari, G.M.; Raineri, C. From thick walls to clear answers: Approaches to diagnosing hypertrophic cardiomyopathy and its mimics. Eur. Heart J. 2025, 27, i40–i46. [Google Scholar] [CrossRef]
- Hespe, S.; Waddell, A.; Asatryan, B.; Owens, E.; Thaxton, C.; Adduru, M.L.; Anderson, K.; Brown, E.E.; Hoffman-Andrews, L.; Jordan, E.; et al. Genes Associated with Hypertrophic Cardiomyopathy: A Reappraisal by the ClinGen Hereditary Cardiovascular Disease Gene Curation Expert Panel. JACC 2025, 85, 727–740. [Google Scholar] [CrossRef] [PubMed]
- Walsh, R.; Bezzina, C.R. ALPK3: A full spectrum cardiomyopathy gene? Eur. Heart J. 2021, 42, 3074–3077. [Google Scholar] [CrossRef]
- Almomani, R.; Verhagen, J.M.; Herkert, J.C.; Brosens, E.; van Spaendonck-Zwarts, K.Y.; Asimaki, A.; van der Zwaag, P.A.; Frohn-Mulder, I.M.; Bertoli-Avella, A.M.; Boven, L.G.; et al. Biallelic Truncating Mutations in ALPK3 Cause Severe Pediatric Cardiomyopathy. J. Am. Coll. Cardiol. 2016, 67, 515–525. [Google Scholar] [CrossRef] [PubMed]
- Lopes, L.R.; Garcia-Hernández, S.; Lorenzini, M.; Futema, M.; Chumakova, O.; Zateyshchikov, D.; Isidoro-Garcia, M.; Villacorta, E.; Escobar-Lopez, L.; Garcia-Pavia, P.; et al. α-protein kinase 3 (ALPK3) truncating variants are a cause of autosomal dominant hypertrophic cardiomyopathy. Eur. Heart J. 2021, 42, 3063–3073. [Google Scholar] [CrossRef]
- Chen, S.N.; Czernuszewicz, G.; Tan, Y.; Lombardi, R.; Jin, J.; Willerson, J.T.; Marian, A.J. Human molecular genetic and functional studies identify TRIM63, encoding Muscle RING Finger Protein 1, as a novel gene for human hypertrophic cardiomyopathy. Circ. Res. 2012, 111, 907–919. [Google Scholar] [CrossRef]
- Salazar-Mendiguchía, J.; Ochoa, J.P.; Palomino-Doza, J.; Domínguez, F.; Díez-López, C.; Akhtar, M.; Ramiro-León, S.; Clemente, M.M.; Pérez-Cejas, A.; Robledo, M.; et al. Mutations in TRIM63 cause an autosomal-recessive form of hypertrophic cardiomyopathy. Heart 2020, 106, 1342–1348. [Google Scholar] [CrossRef]
- Lipov, A.; Jurgens, S.J.; Mazzarotto, F.; Allouba, M.; Pirruccello, J.P.; Aguib, Y.; Gennarelli, M.; Yacoub, M.H.; Ellinor, P.T.; Bezzina, C.R.; et al. Exploring the complex spectrum of dominance and recessiveness in genetic cardiomyopathies. Nat. Cardiovasc. Res. 2023, 2, 1078–1094. [Google Scholar] [CrossRef]
- McElhinny, A.S.; Kakinuma, K.; Sorimachi, H.; Labeit, S.; Gregorio, C.C. Muscle-specific RING finger-1 interacts with titin to regulate sarcomeric M-line and thick filament structure and may have nuclear functions via its interaction with glucocorticoid modulatory element binding protein-1. J. Cell Biol. 2002, 157, 125–136. [Google Scholar] [CrossRef]
- Agarwal, R.; Wakimoto, H.; Paulo, J.A.; Zhang, Q.; Reichart, D.; Toepfer, C.; Sharma, A.; Tai, A.C.; Lun, M.; Gorham, J.; et al. Pathogenesis of Cardiomyopathy Caused by Variants in ALPK3, an Essential Pseudokinase in the Cardiomyocyte Nucleus and Sarcomere. Circulation 2022, 146, 1674–1693. [Google Scholar] [CrossRef]
- McNamara, J.W.; Parker, B.L.; Voges, H.K.; Mehdiabadi, N.R.; Bolk, F.; Ahmad, F.; Chung, J.D.; Charitakis, N.; Molendijk, J.; Zech, A.T.L.; et al. Alpha kinase 3 signaling at the M-band maintains sarcomere integrity and proteostasis in striated muscle. Nat. Cardiovasc. Res. 2023, 2, 159–173. [Google Scholar] [CrossRef]
- Feng, W.; Wang, L.; Bogomolovas, J.; Zhang, Z.; Huang, T.; Chang, C.W.; Shain, A.; Gu, Y.; Cho, Y.; Zhou, X.; et al. α Protein Kinase 3 Is Essential for Neonatal and Adult Cardiac Function. J. Am. Heart Assoc. 2025, 14, e039464. [Google Scholar] [CrossRef] [PubMed]
- Abou Alaiwi, S.; Roston, T.M.; Marstrand, P.; Claggett, B.L.; Parikh, V.N.; Helms, A.S.; Ingles, J.; Lampert, R.; Lakdawala, N.K.; Michels, M.; et al. Left Ventricular Systolic Dysfunction in Patients Diagnosed with Hypertrophic Cardiomyopathy During Childhood: Insights from the SHaRe Registry. Circulation 2023, 148, 394–404. [Google Scholar] [CrossRef]
- Wasserstrum, Y.; Larrañaga-Moreira, J.M.; Martinez-Veira, C.; Itelman, E.; Lotan, D.; Sabbag, A.; Kuperstein, R.; Peled, Y.; Freimark, D.; Barriales-Villa, R.; et al. Hypokinetic hypertrophic cardiomyopathy: Clinical phenotype, genetics, and prognosis. ESC Heart Fail. 2022, 9, 2301–2312. [Google Scholar] [CrossRef]
- Ryu, S.W.; Jeong, W.C.; Hong, G.R.; Cho, J.S.; Lee, S.Y.; Kim, H.; Jang, J.Y.; Lee, S.H.; Bae, D.H.; Cho, J.Y.; et al. High prevalence of ALPK3 premature terminating variants in Korean hypertrophic cardiomyopathy patients. Front. Cardiovasc. Med. 2024, 11, 1424551. [Google Scholar] [CrossRef] [PubMed]
- Chunthorng-Orn, J.; Noureddine, M.; Dawson, P.W.J.; Lord, S.O.; Ng, J.; Boyton, L.; Gehmlich, K.; Mohammed, F.; Lai, Y.C. HCM-Associated MuRF1 Variants Compromise Ubiquitylation and Are Predicted to Alter Protein Structure. Int. J. Mol. Sci. 2025, 26, 3921. [Google Scholar] [CrossRef] [PubMed]
- Andreeva, S.; Chumakova, O.; Karelkina, E.; Lebedeva, V.; Lubimtseva, T.; Semenov, A.; Nikitin, A.; Speshilov, G.; Kozyreva, A.; Sokolnikova, P.; et al. Case Report: Two New Cases of Autosomal-Recessive Hypertrophic Cardiomyopathy Associated with TRIM63-Compound Heterozygous Variant. Front. Genet. 2022, 13, 743472. [Google Scholar] [CrossRef]
- Su, M.; Wang, J.; Kang, L.; Wang, Y.; Zou, Y.; Feng, X.; Wang, D.; Ahmad, F.; Zhou, X.; Hui, R.; et al. Rare variants in genes encoding MuRF1 and MuRF2 are modifiers of hypertrophic cardiomyopathy. Int. J. Mol. Sci. 2014, 15, 9302–9313. [Google Scholar] [CrossRef]
- Fielitz, J.; Kim, M.S.; Shelton, J.M.; Latif, S.; Spencer, J.A.; Glass, D.J.; Richardson, J.A.; Bassel-Duby, R.; Olson, E.N. Myosin accumulation and striated muscle myopathy result from the loss of muscle RING finger 1 and 3. J. Clin. Investig. 2007, 117, 2486–2495. [Google Scholar] [CrossRef]
- Bodine, S.C.; Latres, E.; Baumhueter, S.; Lai, V.K.; Nunez, L.; Clarke, B.A.; Poueymirou, W.T.; Panaro, F.J.; Na, E.; Dharmarajan, K.; et al. Identification of ubiquitin ligases required for skeletal muscle atrophy. Science 2001, 294, 1704–1708. [Google Scholar] [CrossRef]
- Kedar, V.; McDonough, H.; Arya, R.; Li, H.H.; Rockman, H.A.; Patterson, C. Muscle-specific RING finger 1 is a bona fide ubiquitin ligase that degrades cardiac troponin I. Proc. Natl. Acad. Sci. USA 2004, 101, 18135–18140. [Google Scholar] [CrossRef]
- Maejima, Y.; Usui, S.; Zhai, P.; Takamura, M.; Kaneko, S.; Zablocki, D.; Yokota, M.; Isobe, M.; Sadoshima, J. Muscle-specific RING finger 1 negatively regulates pathological cardiac hypertrophy through downregulation of calcineurin A. Circ. Heart Fail. 2014, 7, 479–490. [Google Scholar] [CrossRef] [PubMed]
- Willis, M.S.; Schisler, J.C.; Li, L.; Rodríguez, J.E.; Hilliard, E.G.; Charles, P.C.; Patterson, C. Cardiac muscle ring finger-1 increases susceptibility to heart failure in vivo. Circ. Res. 2009, 105, 80–88. [Google Scholar] [CrossRef]
- Rodríguez, J.E.; Liao, J.Y.; He, J.; Schisler, J.C.; Newgard, C.B.; Drujan, D.; Glass, D.J.; Frederick, C.B.; Yoder, B.C.; Lalush, D.S.; et al. The ubiquitin ligase MuRF1 regulates PPARα activity in the heart by enhancing nuclear export via monoubiquitination. Mol. Cell Endocrinol. 2015, 413, 36–48. [Google Scholar] [CrossRef] [PubMed]
- Middelbeek, J.; Clark, K.; Venselaar, H.; Huynen, M.A.; van Leeuwen, F.N. The alpha-kinase family: An exceptional branch on the protein kinase tree. Cell Mol. Life Sci. 2010, 67, 875–890. [Google Scholar] [CrossRef] [PubMed]
- Feng, W.; Bogomolovas, J.; Wang, L.; Li, M.; Chen, J. ALPK3 Functions as a Pseudokinase. Circulation 2023, 148, 1911–1913. [Google Scholar] [CrossRef]
- Hosoda, T.; Monzen, K.; Hiroi, Y.; Oka, T.; Takimoto, E.; Yazaki, Y.; Nagai, R.; Komuro, I. A novel myocyte-specific gene Midori promotes the differentiation of P19CL6 cells into cardiomyocytes. J. Biol. Chem. 2001, 276, 35978–35989. [Google Scholar] [CrossRef]
- Van Rooij, E.; Marshall, W.S.; Olson, E.N. Toward microRNA-based therapeutics for heart disease: The sense in antisense. Circ. Res. 2008, 103, 919–928. [Google Scholar] [CrossRef]
- Seyhan, A.A. Trials and Tribulations of MicroRNA Therapeutics. Int. J. Mol. Sci. 2024, 25, 1469. [Google Scholar] [CrossRef]
- Chumakova, O.S.; Mershina, E.A. Circulating microRNA as promising biomarkers in hypertrophic cardiomyopathy: Can advanced cardiac magnetic resonance unlock new insights in research? Exp. Biol. Med. 2024, 249, 10334. [Google Scholar] [CrossRef]
- Jung, W.; Juang, U.; Gwon, S.; Nguyen, H.; Huang, Q.; Lee, S.; Lee, B.; Kwon, S.H.; Kim, S.H.; Park, J. MicroRNA-mediated regulation of muscular atrophy: Exploring molecular pathways and therapeutics (Review). Mol. Med. Rep. 2024, 29, 98. [Google Scholar] [CrossRef]
- Lin, Z.; Murtaza, I.; Wang, K.; Jiao, J.; Gao, J.; Li, P.F. miR-23a functions downstream of NFATc3 to regulate cardiac hypertrophy. Proc. Natl. Acad. Sci. USA 2009, 106, 12103–12108. [Google Scholar] [CrossRef]
- Song, D.W.; Ryu, J.Y.; Kim, J.O.; Kwon, E.J.; Kim, D.H. The miR-19a/b family positively regulates cardiomyocyte hypertrophy by targeting atrogin-1 and MuRF-1. Biochem. J. 2014, 457, 151–162. [Google Scholar] [CrossRef]
- Li, M.; Chen, X.; Chen, L.; Chen, K.; Zhou, J.; Song, J. MiR-1-3p that correlates with left ventricular function of HCM can serve as a potential target and differentiate HCM from DCM. J. Transl. Med. 2018, 16, 161. [Google Scholar] [CrossRef]
- Gao, F.; Kataoka, M.; Liu, N.; Liang, T.; Huang, Z.P.; Gu, F.; Ding, J.; Liu, J.; Zhang, F.; Ma, Q.; et al. Therapeutic role of miR-19a/19b in cardiac regeneration and protection from myocardial infarction. Nat. Commun. 2019, 10, 1802. [Google Scholar] [CrossRef] [PubMed]
- Liu, K.; Hao, Q.; Wei, J.; Li, G.H.; Wu, Y.; Zhao, Y.F. MicroRNA-19a/b-3p protect the heart from hypertension-induced pathological cardiac hypertrophy through PDE5A. J. Hypertens. 2018, 36, 1847–1857. [Google Scholar] [CrossRef] [PubMed]
- Guo, S.; Yang, Y.; Qian, W.; Yao, Y.; Zhou, G.; Shen, L.; Zhou, J. MicroRNA-384-5p protects against cardiac hypertrophy via the ALPK3 signaling pathway. J. Biochem. Mol. Toxicol. 2022, 36, e23093. [Google Scholar] [CrossRef] [PubMed]
- Olivotto, I.; Maron, B.J.; Tomberli, B.; Appelbaum, E.; Salton, C.; Haas, T.S.; Gibson, C.M.; Nistri, S.; Servettini, E.; Chan, R.H.; et al. Obesity and its Association to Phenotype and Clinical Course in Hypertrophic Cardiomyopathy. J. Am. Coll. Cardiol. 2013, 62, 449–457. [Google Scholar] [CrossRef]
- Fumagalli, C.; Maurizi, N.; Day, S.M.; Ashley, E.A.; Michels, M.; Colan, S.D.; Jacoby, D.; Marchionni, N.; Vincent-Tompkins, J.; Ho, C.Y.; et al. Association of Obesity with Adverse Long-term Outcomes in Hypertrophic Cardiomyopathy. JAMA Cardiol. 2020, 5, 65–72. [Google Scholar] [CrossRef]





| Gene | Variant | Zygosity | Pathogenicity (ACMG) | gnomAD v3.1.2 Frequency | ClinGen for HCM | |
|---|---|---|---|---|---|---|
| Inheritance Mode | Evidence | |||||
| ALPK3 | Chr15:84867315A>G NM_020778.5: c.4724-1G>A | Hz | Likely Pathogenic | 0 | AR | Definitive |
| AD | Strong | |||||
| TRIM63 | Chr1:26384973G>A NM_032588.3: c.739C>T (p.Gln247*) | Hz | Pathogenic | <0.001 | AR | Moderate |
| AD | Disputed | |||||
Disclaimer/Publisher’s Note: The statements, opinions and data contained in all publications are solely those of the individual author(s) and contributor(s) and not of MDPI and/or the editor(s). MDPI and/or the editor(s) disclaim responsibility for any injury to people or property resulting from any ideas, methods, instructions or products referred to in the content. |
© 2026 by the authors. Licensee MDPI, Basel, Switzerland. This article is an open access article distributed under the terms and conditions of the Creative Commons Attribution (CC BY) license.
Share and Cite
Chumakova, O.S.; Milovanova, N.V.; Mershina, E.A.; Kutsev, S.I.; Zakharova, E.Y. Digenic Contribution of Heterozygous ALPK3 and TRIM63 Variants to End-Stage Hypertrophic Cardiomyopathy in a Young Adult. Cardiogenetics 2026, 16, 1. https://doi.org/10.3390/cardiogenetics16010001
Chumakova OS, Milovanova NV, Mershina EA, Kutsev SI, Zakharova EY. Digenic Contribution of Heterozygous ALPK3 and TRIM63 Variants to End-Stage Hypertrophic Cardiomyopathy in a Young Adult. Cardiogenetics. 2026; 16(1):1. https://doi.org/10.3390/cardiogenetics16010001
Chicago/Turabian StyleChumakova, Olga S., Natalia V. Milovanova, Elena A. Mershina, Sergey I. Kutsev, and Ekaterina Y. Zakharova. 2026. "Digenic Contribution of Heterozygous ALPK3 and TRIM63 Variants to End-Stage Hypertrophic Cardiomyopathy in a Young Adult" Cardiogenetics 16, no. 1: 1. https://doi.org/10.3390/cardiogenetics16010001
APA StyleChumakova, O. S., Milovanova, N. V., Mershina, E. A., Kutsev, S. I., & Zakharova, E. Y. (2026). Digenic Contribution of Heterozygous ALPK3 and TRIM63 Variants to End-Stage Hypertrophic Cardiomyopathy in a Young Adult. Cardiogenetics, 16(1), 1. https://doi.org/10.3390/cardiogenetics16010001

