Anderson–Fabry Disease Homozygosity: Rare Case of Late-Onset Variant
Abstract
1. Introduction
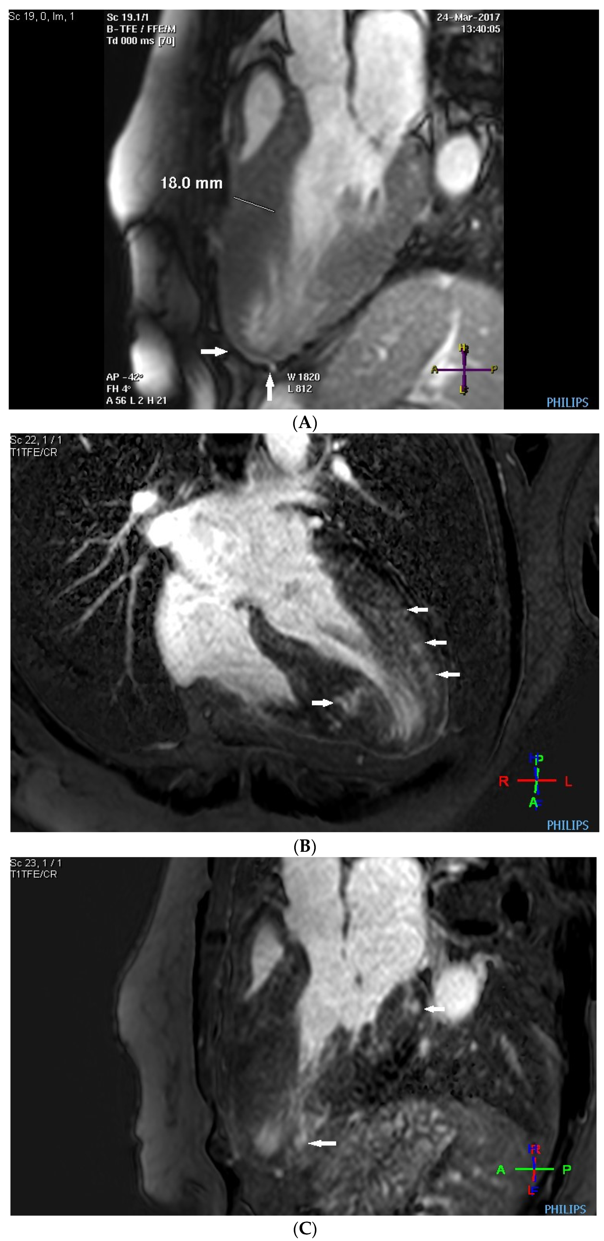
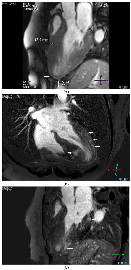
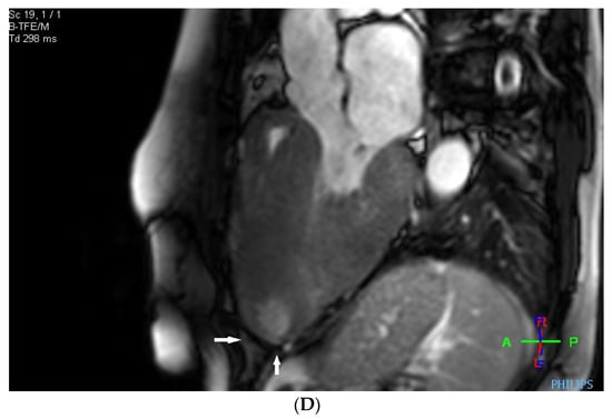
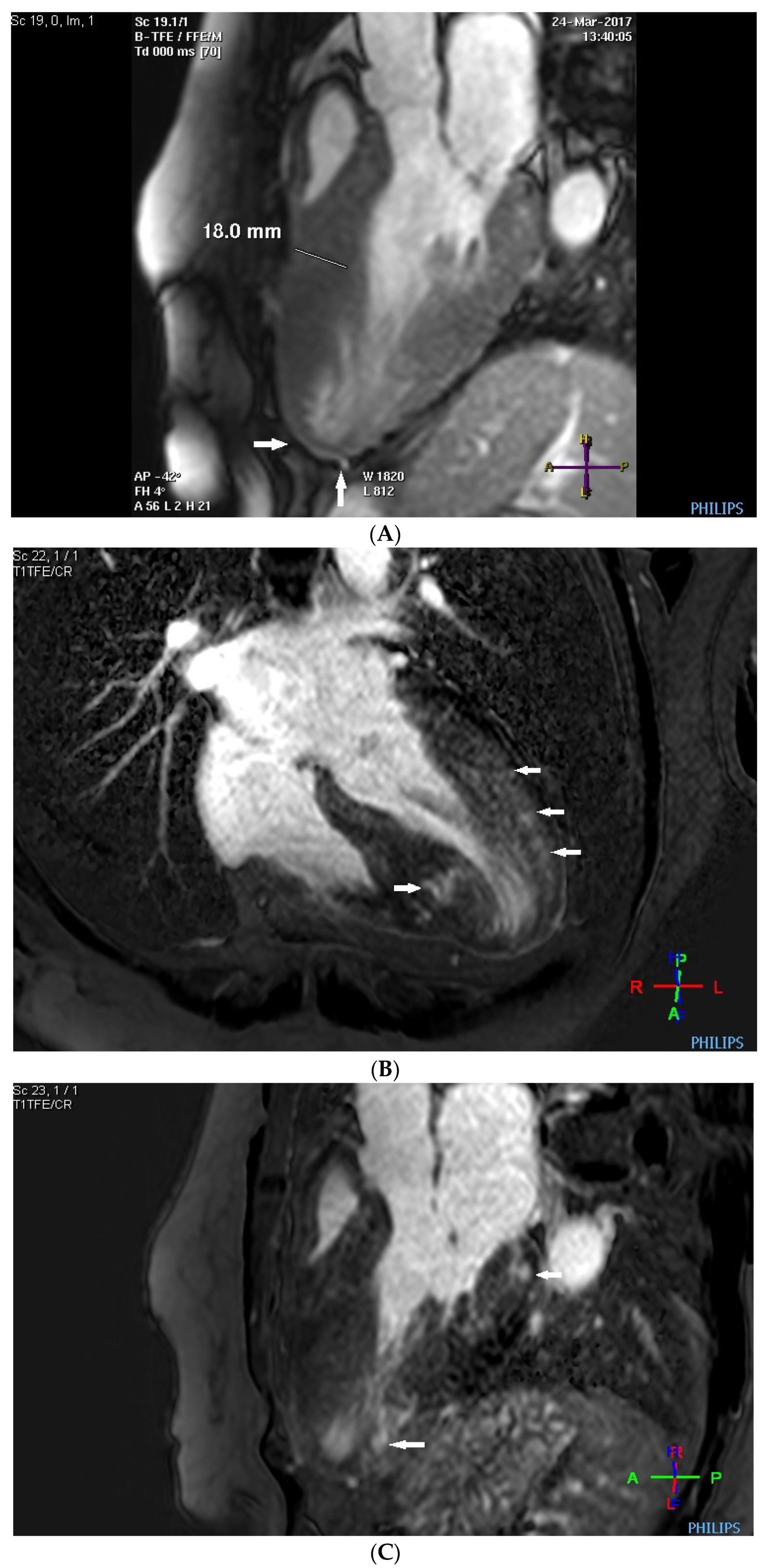
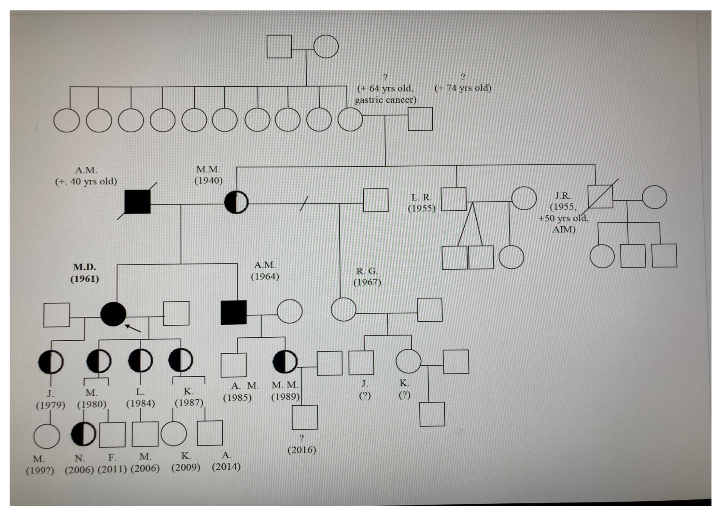
2. Case Description
3. Discussion
4. Conclusions
Author Contributions
Funding
Institutional Review Board Statement
Informed Consent Statement
Data Availability Statement
Acknowledgments
Conflicts of Interest
References
- Ortiz, A.; Germain, D.P.; Desnick, R.J.; Politei, J.; Mauer, M.; Burlina, A.; Eng, C.; Hopkin, R.J.; Laney, D.; Linhart, A.; et al. Fabry disease revisited: Management and treatment recommendations for adult patients. Mol. Genet. Metab. 2018, 123, 416–427. [Google Scholar] [CrossRef]
- Germain, D.P.; Fouilhoux, A.; Decramer, S.; Tardieu, M.; Pillet, P.; Fila, M.; Rivera, S.; Deschênes, G.; Lacombe, D. Consensus recommendations for diagnosis, management and treatment of Fabry disease in paediatric patients. Clin. Genet. 2019, 96, 107–117. [Google Scholar] [CrossRef] [PubMed]
- Bernardes, T.P.; Foresto, R.D.; Kirsztajn, G.M. Fabry disease: Genetics, pathology, and treatment. Rev. Assoc. Med. Bras. 2020, 66 (Suppl. S1), s10–s16. [Google Scholar] [CrossRef] [PubMed]
- Linhart, A.; Cecchi, F. Common presentation of rare diseases: Left ventricular hypertrophy and diastolic dysfunction. Int. J. Cardiol. 2018, 257, 344–350. [Google Scholar] [CrossRef] [PubMed]
- Palecek, T.; Honzikova, J.; Poupetova, H.; Vlaskova, H.; Kuchynka, P.; Golan, L.; Magage, S.; Linhart, A. Prevalence of Fabry disease in male patients with unexplained left ventricular hypertrophy in primary cardiology practice: Prospective Fabry cardiomyopathy screening study (FACSS). J. Inherit. Metab. Dis. 2014, 37, 455–460. [Google Scholar] [CrossRef] [PubMed]
- Germain, D.P.; Elliott, P.M.; Falissard, B.; Fomin, V.V.; Hilz, M.J.; Jovanovic, A.; Kantola, I.; Linhart, A.; Mignani, R.; Namdar, M.; et al. The effect of enzyme replacement therapy on clinical outcomes in male patients with Fabry disease: A systematic literature review by a European panel of experts. Mol. Genet. Metab. Rep. 2019, 19, 100454. [Google Scholar] [CrossRef] [PubMed]
- Nowak, A.; Mechtler, T.; Kasper, D.C.; Desnick, R.J. Correlation of Lyso-Gb3 levels in dried blood spots and sera from patients with classic and Later-Onset Fabry disease. Mol. Genet. Metab. 2017, 121, 320–324. [Google Scholar] [CrossRef] [PubMed]
- Echevarria, L.; Benistan, K.; Toussaint, A.; Dubourg, O.; Hagege, A.A.; Eladari, D.; Jabbour, F.; Beldjord, C.; De Mazancourt, P.; Germain, D.P. X-chromosome inactivation in female patients with Fabry disease. Clin. Genet. 2016, 89, 44–54. [Google Scholar] [CrossRef] [PubMed]
- Balendran, S.; Oliva, P.; Sansen, S.; Mechtler, T.P.; Streubel, B.; Cobos, P.N.; Lukacs, Z.; Kasper, D.C. Diagnostic strategy for females suspected of Fabry disease. Clin. Genet. 2020, 97, 655–660. [Google Scholar] [CrossRef] [PubMed]
- Germain, D.P.; Brand, E.; Burlina, A.; Cecchi, F.; Garman, S.C.; Kempf, J.; Laney, D.A.; Linhart, A.; Maródi, L.; Nicholls, K.; et al. Phenotypic characteristics of the p.Asn215Ser (p.N215S) GLA mutation in male and female patients with Fabry disease: A multicenter Fabry Registry study. Mol. Genet. Genom. Med. 2018, 6, 492–503. [Google Scholar] [CrossRef] [PubMed]
- Rodríguez-Marí; Coll, M.J.; Chabás, A. Molecular analysis in Fabry disease in Spain: Fifteen novel GLA mutations and identification of a homozygous female. Hum. Mutat. 2003, 22, 258. [Google Scholar] [CrossRef] [PubMed]
- Figliozzi, S. ECG-based score estimates the probability to detect Fabry Disease cardiac involvement. Int. J. Cardiol. 2021, 339, 110–117. [Google Scholar] [CrossRef] [PubMed]
- Augusto, J.B. The myocardial phenotype of Fabry disease prehypertrophy and pre-detectable storage. Eur. Heart J. Cardiovasc. Imaging 2021, 22, 790–799. [Google Scholar] [CrossRef] [PubMed]
- Vitale, G. Standard ECG for differential diagnosis between Anderson-Fabry disease and hypertrophic cardiomyopathy. Heart 2022, 108, 54–60. [Google Scholar] [CrossRef] [PubMed]
- Zemánek, D.; Januška, J.; Honěk, T.; Čurila, K.; Kubánek, M.; Šindelářová, Š.; Zahálková, L.; Klofáč, P.; Laštůvková, E.; Lichnerová, E.; et al. Nationwide screening of Fabry disease in patients with hypertrophic cardiomyopathy in Czech Republic. ESC Heart Fail. 2022, 9, 4160–4166. [Google Scholar] [CrossRef] [PubMed]






| Results | Unit | Cut-Off Value | |
|---|---|---|---|
| α-Galactosidase A enzyme activity | 0.3 | µmol/L/h | >1.2 |
| lyso-Gb3 | 10.0 | ng/mL | 0.0–3.5 |
| Alpha—gal activity plasma—ERT treatment | 0.43 | nmol/mL/h | 0.34–8.25 (heterozygotes) |
| Alpha—gal activity leukocytes—ERT treatment | 4.7 | nmol/mg/h | 7.2–56.6 heterozygotes |
| Lyso-Gb3 ERT treatment | 4.6 | pmol/mL | 0.2–1.73 |
| Treatment | Naive | Migalastat | Agalsidase Beta | Agalsidase Beta | Migalastat | |
|---|---|---|---|---|---|---|
| Date | month/year | Apr/2018 | Sep/2019 | Nov/2020 | May/2021 | Nov/2022 |
| Height | cm | 160.00 | 160 | 160 | 160 | 160 |
| Weight | kg | 68.00 | 72 | 70 | 70 | 65 |
| BMI | kg/m2 | 26.60 | 28.1 | 27.3 | 27.3 | 25.4 |
| MDRD | mLs−1 (1.73 m2)−1 | 1.00 | 0.69 | 0.74 | 0.8 | 0.67 |
| Creatinine | µmol/L (44–104) | 85.00 | 100 | 109 | 102 | 119 |
| Proteinuria | g/L (0.0–0.1) | 0.07 | 0.08 | 0.1 | ND | 0.05 |
| Albuminuria | mg/L (0.0–10.0) | 10.90 | 12.8 | 24 | ND | 20.2 |
| Album/creat | g/mol (0.0–3.5) | 1.36 | 1.75 | 2.58 | ND | 6.97 |
| NT pr BNP | ng/L (0.0–300.0) | 2418.00 | 3712 | 4818 | 4300 | 2242 |
| Tn I | ng/L (0.0–11.6) | ND | ND | 81.6 | 114.5 | 278.3 |
Disclaimer/Publisher’s Note: The statements, opinions and data contained in all publications are solely those of the individual author(s) and contributor(s) and not of MDPI and/or the editor(s). MDPI and/or the editor(s) disclaim responsibility for any injury to people or property resulting from any ideas, methods, instructions or products referred to in the content. |
© 2024 by the authors. Licensee MDPI, Basel, Switzerland. This article is an open access article distributed under the terms and conditions of the Creative Commons Attribution (CC BY) license (https://creativecommons.org/licenses/by/4.0/).
Share and Cite
Dostalova, G.; Januska, J.; Veselá, M.; Reková, P.; Taborska, A.; Pleva, M.; Zemanek, D.; Linhart, A. Anderson–Fabry Disease Homozygosity: Rare Case of Late-Onset Variant. Cardiogenetics 2024, 14, 74-83. https://doi.org/10.3390/cardiogenetics14020006
Dostalova G, Januska J, Veselá M, Reková P, Taborska A, Pleva M, Zemanek D, Linhart A. Anderson–Fabry Disease Homozygosity: Rare Case of Late-Onset Variant. Cardiogenetics. 2024; 14(2):74-83. https://doi.org/10.3390/cardiogenetics14020006
Chicago/Turabian StyleDostalova, Gabriela, Jaroslav Januska, Michaela Veselá, Petra Reková, Anna Taborska, Martin Pleva, David Zemanek, and Aleš Linhart. 2024. "Anderson–Fabry Disease Homozygosity: Rare Case of Late-Onset Variant" Cardiogenetics 14, no. 2: 74-83. https://doi.org/10.3390/cardiogenetics14020006
APA StyleDostalova, G., Januska, J., Veselá, M., Reková, P., Taborska, A., Pleva, M., Zemanek, D., & Linhart, A. (2024). Anderson–Fabry Disease Homozygosity: Rare Case of Late-Onset Variant. Cardiogenetics, 14(2), 74-83. https://doi.org/10.3390/cardiogenetics14020006

