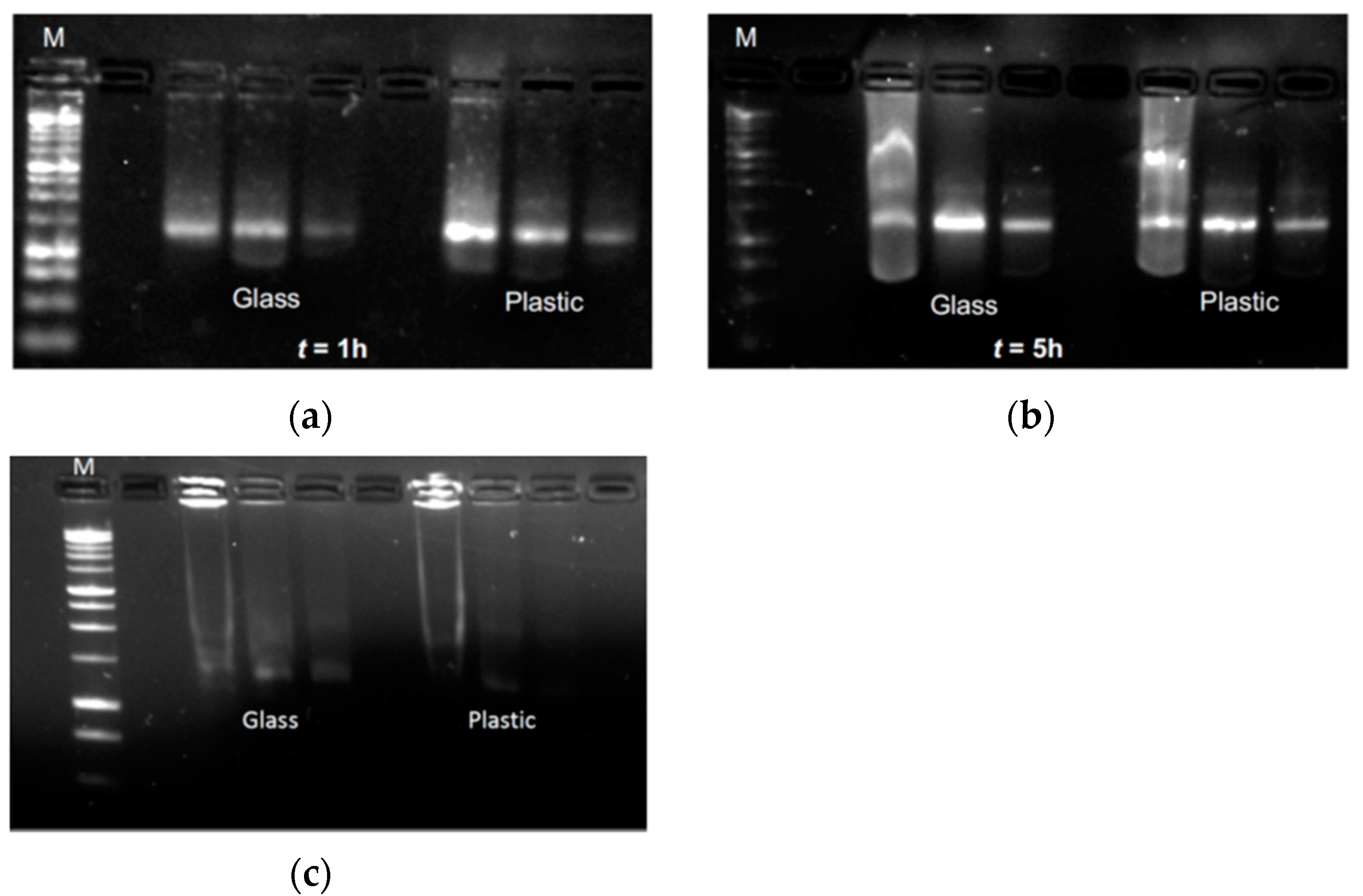
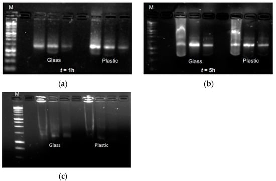
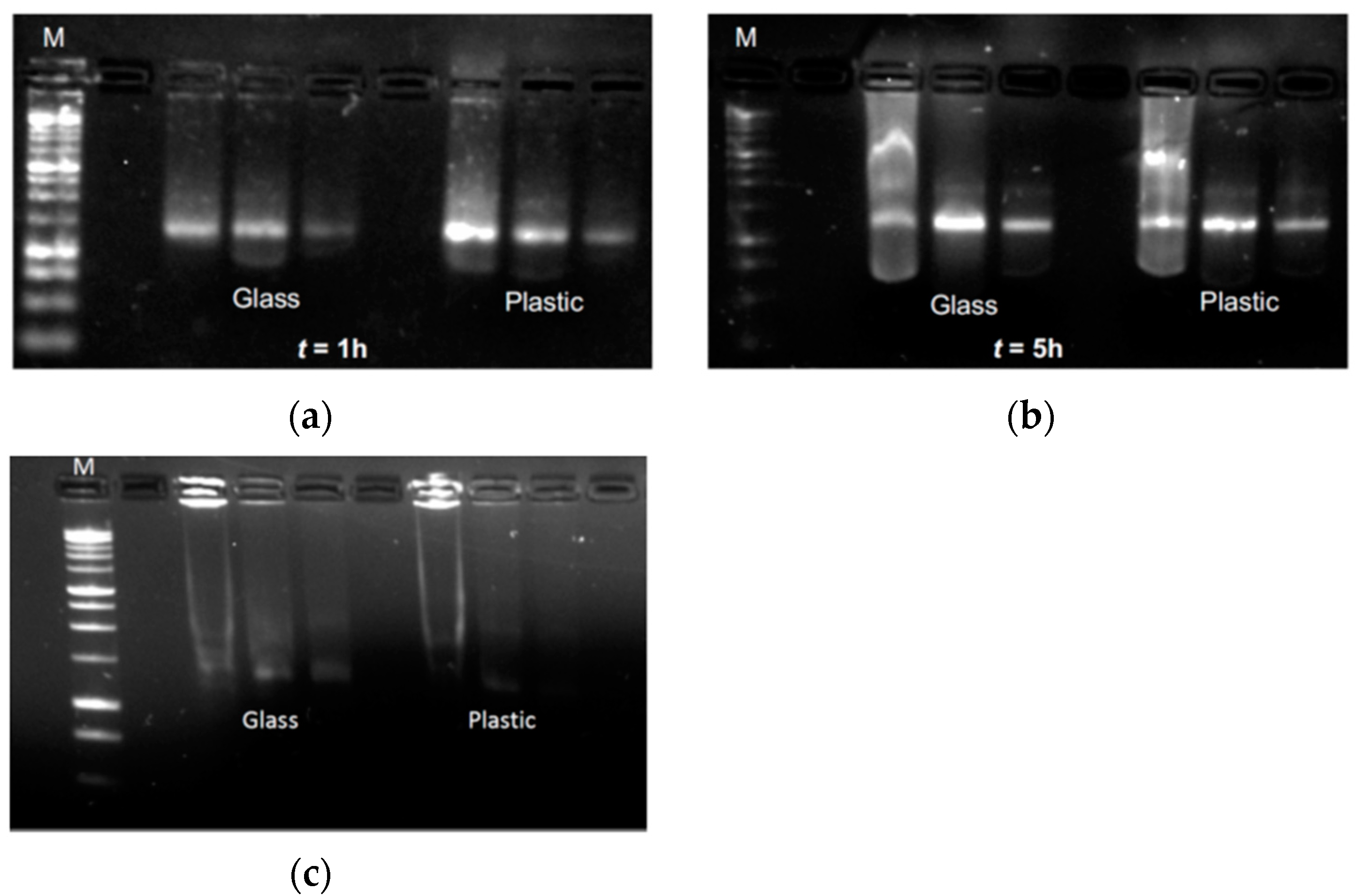
Pre-Drawn Syringes of Comirnaty for an Efficient COVID-19 Mass Vaccination: Demonstration of Stability
Selmin, F.; Musazzi, U.M.; Franzè, S.; Scarpa, E.; Rizzello, L.; Procacci, P.; Minghetti, P. Pre-Drawn Syringes of Comirnaty for an Efficient COVID-19 Mass Vaccination: Demonstration of Stability. Pharmaceutics 2021, 13, 1029. https://doi.org/10.3390/pharmaceutics13071029
Selmin F, Musazzi UM, Franzè S, Scarpa E, Rizzello L, Procacci P, Minghetti P. Pre-Drawn Syringes of Comirnaty for an Efficient COVID-19 Mass Vaccination: Demonstration of Stability. Pharmaceutics. 2021; 13(7):1029. https://doi.org/10.3390/pharmaceutics13071029
Chicago/Turabian StyleSelmin, Francesca, Umberto M. Musazzi, Silvia Franzè, Edoardo Scarpa, Loris Rizzello, Patrizia Procacci, and Paola Minghetti. 2021. "Pre-Drawn Syringes of Comirnaty for an Efficient COVID-19 Mass Vaccination: Demonstration of Stability" Pharmaceutics 13, no. 7: 1029. https://doi.org/10.3390/pharmaceutics13071029


