Green Synthesized Silver Nanoparticles Using Tridax Procumbens for Topical Application: Excision Wound Model and Histopathological Studies
Abstract
:1. Introduction
2. Materials and Methods
2.1. Materials
2.2. Plant Material and Preparation of Tridax Procumbens Leaf-Extract
2.3. Green Synthesis of AgNPs
2.4. Characterization of Silver Nanoparticles
2.4.1. Hydrodynamic Diameter, Polydispersity Index, and Zeta-Potential
2.4.2. FTIR Spectroscopy
2.4.3. XRD Analysis
2.4.4. Scanning Electron Microscopy
2.4.5. BET Analysis
2.4.6. TGA and DTG Thermal Analysis
2.5. Development of AgNPs Loaded Chitosan-Based Topical Gels
2.6. Evaluation of AgNPs Loaded Chitosan-Based Topical Gels
2.6.1. pH Test
2.6.2. Temperature Cycling and Centrifugal Test
2.6.3. Spreadability Test
2.7. Antibacterial Study
2.8. Biocompatibility Study
2.9. In-Vivo Excision Model Wound Healing Study
2.10. Histopathological Study
3. Results
3.1. Characterization of Silver Nanoparticles
3.1.1. Hydrodynamic Diameter, Polydispersity Index, and Zeta-Potential
3.1.2. FTIR Spectroscopy
3.1.3. XRD Analysis
3.1.4. Scanning Electron Microscopy
3.1.5. BET Analysis
3.1.6. TGA and DTG Thermal Analysis
3.2. Development of AgNPs Loaded Chitosan-Based Topical Gels
3.3. Evaluation of AgNPs Loaded Chitosan-Based Topical Gels
3.4. Antibacterial Study
3.5. Biocompatibility Study
3.6. In-Vivo Excision Model Wound Healing Study
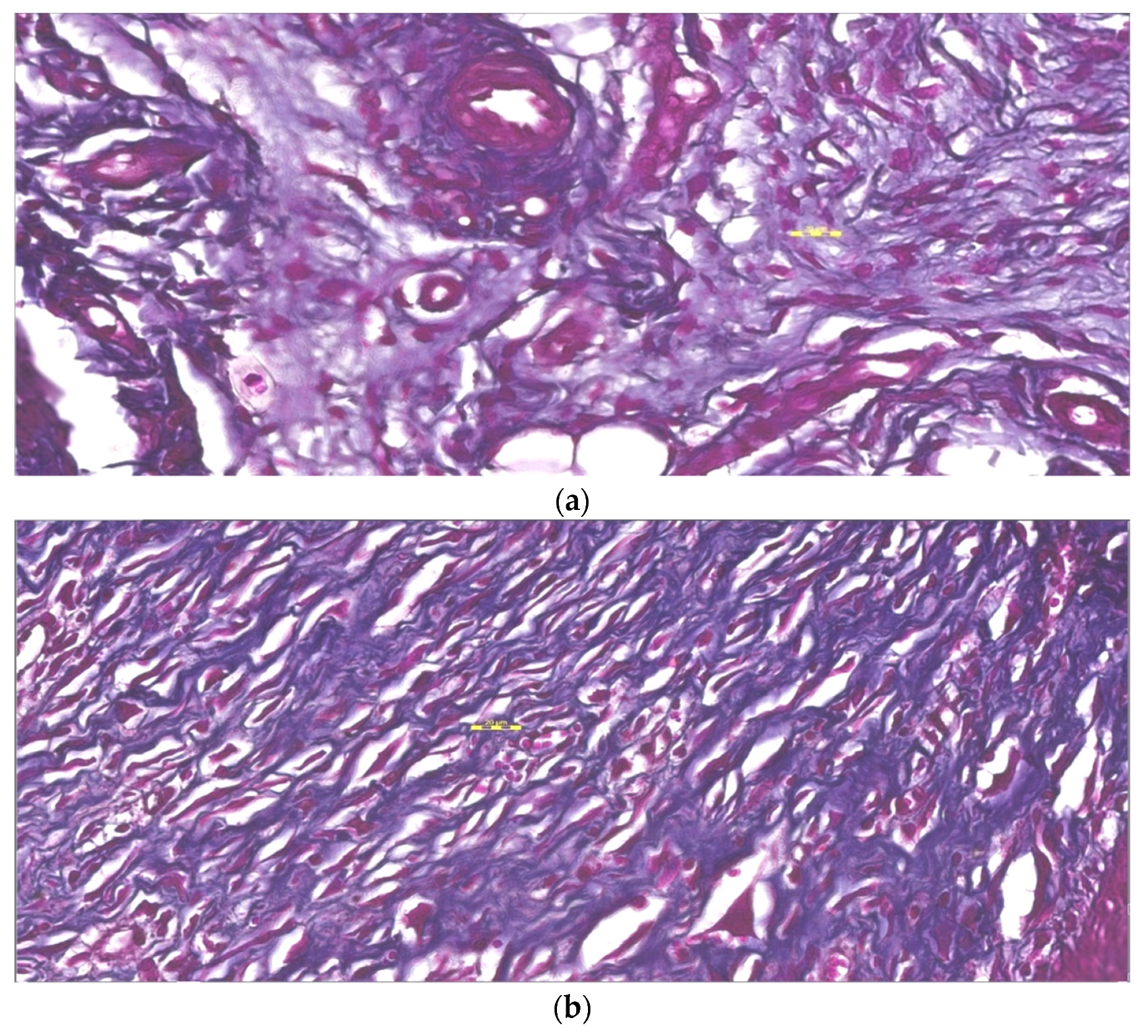
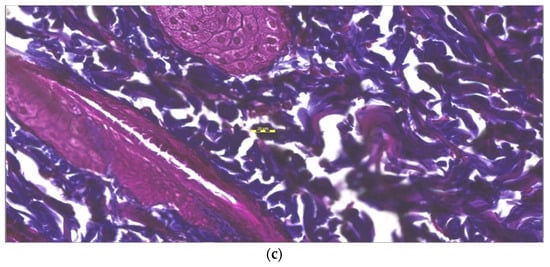
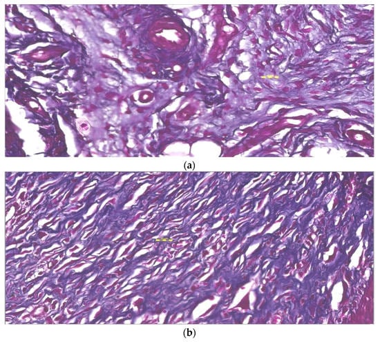
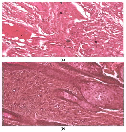
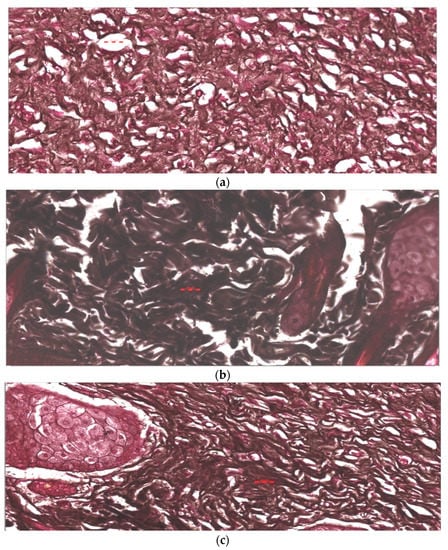
3.7. Histopathological Study
4. Conclusions
Author Contributions
Funding
Institutional Review Board Statement
Data Availability Statement
Acknowledgments
Conflicts of Interest
References
- Singh, T.; Shukla, S.; Kumar, P.; Wahla, V.; Bajpai, V.K.; Rather, I.A. Application of nanotechnology in food science: Perception and overview. Front. Microbiol. 2017, 8, 1–7. [Google Scholar] [CrossRef] [Green Version]
- Adam, R.Z.; Khan, S.B. Antimicrobial efficacy of silver nanoparticles against Candida albicans: A systematic review protocol. PLoS ONE 2021, 16, e0245811. [Google Scholar] [CrossRef]
- Burdușel, A.-C.; Gherasim, O.; Grumezescu, A.M.; Mogoantă, L.; Ficai, A.; Andronescu, E. Biomedical applications of silver nanoparticles: An up-to-date overview. Nanomaterials 2018, 8, 681. [Google Scholar] [CrossRef] [Green Version]
- Yin, I.X.; Zhang, J.; Zhao, I.S.; Mei, M.L.; Li, Q.; Chu, C.H. The antibacterial mechanism of silver nanoparticles and its application in dentistry. Int. J. Nanomed. 2020, 15, 2555–2562. [Google Scholar] [CrossRef] [Green Version]
- Pormohammad, A.; Monych, N.; Ghosh, S.; Turner, D.; Turner, R. Nanomaterials in wound healing and infection control. Antibiotics 2021, 10, 473. [Google Scholar] [CrossRef] [PubMed]
- Paladini, F.; Pollini, M. Antimicrobial silver nanoparticles for wound healing application: Progress and future trends. Materials 2019, 12, 2540. [Google Scholar] [CrossRef] [PubMed] [Green Version]
- Cañedo-Dorantes, L.; Cañedo-Ayala, M. Skin acute wound healing: A comprehensive review. Int. J. Inflamm. 2019, 2019, 3706315. [Google Scholar] [CrossRef] [PubMed]
- Konop, M.; Damps, T.; Misicka, A.; Rudnicka, L. Certain Aspects of Silver and Silver Nanoparticles in Wound Care: A Minireview. J. Nanomater. 2016, 2016, 7614753. [Google Scholar] [CrossRef] [Green Version]
- Zahoor, M.; Nazir, N.; Iftikhar, M.; Naz, S.; Zekker, I.; Burlakovs, J.; Uddin, F.; Kamran, A.W.; Kallistova, A.; Pimenov, N.; et al. A Review on Silver Nanoparticles: Classification, Various Methods of Synthesis, and Their Potential Roles in Biomedical Applications and Water Treatment. Water 2021, 13, 2216. [Google Scholar] [CrossRef]
- Akintelu, S.A.; Bo, Y.; Folorunso, A.S. A review on synthesis, optimization, mechanism, characterization, and antibacterial application of silver nanoparticles synthesized from plants. J. Chem. 2020, 2020, 3189043. [Google Scholar] [CrossRef]
- Shabana, H.A.; Gairola, S.; Mahmoud, T. Tridax procumbens L. (Asterales Asteraceae), a new record to the flora of the United Arab Emirates. Biodivers. J. 2020, 4, 889–896. [Google Scholar]
- Jayasundera, M.; Florentine, S.; Tennakoon, K.U.; Chauhan, B.S. Medicinal value of three agricultural weed species of the asteraceae family: A review. Pharmacogn. J. 2021, 13, 264–277. [Google Scholar] [CrossRef]
- Kaushik, D. Ethnopharmacological and Phytochemical Studies of Tridax Procumbens Linn: A Popular Herb in Ayurveda Medicine. Int. J. Eng. Res. 2020, 9, 758–768. [Google Scholar] [CrossRef]
- Sangeetha, R.; Niranjan, P.; Dhanalakshmi, N. Research Article Characterization of Silver Nanoparticles Synthesized Using the Extract of the Leaves of Tridax procumbens. Res. J. Med. Plant 2016, 10, 159–166. [Google Scholar] [CrossRef] [Green Version]
- Gurunathan, S.; Zhang, X.-F.; Park, J.H.; Choi, Y.-J.; Kang, M.-H.; Kim, J.-H. Silver nanoparticles cause complications in pregnant mice. Int. J. Nanomed. 2015, 10, 7057–7071. [Google Scholar] [CrossRef] [Green Version]
- Rani, R.; Sharma, D.; Chaturvedi, M.; Yadav, J.P. Green synthesis of silver nanoparticles using Tridax procumbens: Their characterization, antioxidant and antibacterial activity against MDR and reference bacterial strains. Chem. Pap. 2020, 74, 1817–1830. [Google Scholar] [CrossRef]
- Gunasekaran, T.; Nigusse, T.; Dhanaraju, M.D. Silver nanoparticles as real topical bullets for wound healing. J. Am. Coll. Clin. Wound Spec. 2011, 3, 82–96. [Google Scholar] [CrossRef] [PubMed] [Green Version]
- Sofowora, A.; Ogunbodede, E.; Onayade, A. The role and place of medicinal plants in the strategies for disease prevention. Afr. J. Tradit. Complementary Altern. Med. AJTCAM/Afr. Netw. Ethnomedicines 2013, 10, 210–229. [Google Scholar] [CrossRef]
- Kathe, K.; Kathpalia, H. Film forming systems for topical and transdermal drug delivery. Asian J. Pharm. Sci. 2017, 12, 487–497. [Google Scholar] [CrossRef] [PubMed]
- Vastrad, J.V.; Goudar, G. Green Synthesis and Characterization of Silver Nanoparticles using Leaf Extract of Tridax procumbens. Orient. J. Chem. 2016, 32, 1525–1530. [Google Scholar] [CrossRef] [Green Version]
- Dhanalakshmi, T.; Rajendran, S. Synthesis of silver nanoparticles using Tridax procumbens and its antimicrobial activity. Arch. Appl. Sci. Res. 2012, 4, 1289–1293. [Google Scholar]
- Ahmed, M.M.; Anwer, M.K.; Fatima, F.; Iqbal, M.; Ezzeldin, E.; Alalaiwe, A.; Aldawsari, M.F. Development of ethylcellulose based nanosponges of apremilast: In vitro and in vivo pharmacokinetic evaluation. Lat. Am. J. Pharm. 2020, 39, 1292–1299. [Google Scholar]
- Senthil, C.; Ramesh, M. Biogenic Synthesis of Fe3O4 NPs Using Tridax Procumbens Leaf and Its Antibacterial Activity on Pseudomonas Auruginosa. Dig. J. Nanomater. Biostruct. 2012, 7, 1655–1660. [Google Scholar]
- Ahmed, M.M.; Fatima, F.; Anwer, M.K.; Aldawsa, M.F.; Soliman, G.A.; Fayed, M.H. Development and Characterization of Spray-dried Amorphous Solid Dispersion of Sildenafil: In vivo Evaluation. Int. J. Pharmacol. 2020, 16, 460–469. [Google Scholar] [CrossRef]
- Aldawsari, M.F.; Anwer, M.K.; Ahmed, M.M.; Fatima, F.; Soliman, G.A.; Bhatia, S.; Zafar, A.; Aboudzadeh, M.A. Enhanced Dissolution of Sildenafil Citrate Using Solid Dispersion with Hydrophilic Polymers: Physicochemical Characterization and In Vivo Sexual Behavior Studies in Male Rats. Polymers 2021, 13, 3512. [Google Scholar] [CrossRef]
- Almutairy, B.; Alshetaili, A.; Alali, A.; Ahmed, M.; Anwer, K.; Aboudzadeh, M. Design of olmesartan medoxomil-loaded nanosponges for hypertension and lung cancer treatments. Polymers 2021, 13, 2272. [Google Scholar] [CrossRef] [PubMed]
- Moglad, E.H.; Fatima, F.; Ahmed, M.M.; Seshadri, V.D.; Anw, K.; Aldawsa, M.F. Development of Topical Antibacterial Gel Loaded with Cefadroxil Solid Lipid Nanoparticles: In vivo Wound Healing Activity and Epithelialization Study. Int. J. Pharmacol. 2020, 16, 298–309. [Google Scholar] [CrossRef]
- Alves, M.C.; Chaves, D.S.; Benevenuto, B.R.; De Farias, B.O.; Coelho, S.M.; Ferreira, T.P.; Pereira, G.A.; Dos Santos, G.C.; Moreira, L.O.; De Freitas, J.P.; et al. Chitosan gels for buccal delivery of Schinus molle L. essential oil in dogs: Characterization and antimicrobial activity in vitro. An. Da Acad. Bras. De Ciências 2020, 92, 1–10. [Google Scholar] [CrossRef]
- Ahmed, M.M.; Alnafisah, M.S.; Anwer, M.K.; Fatima, F.; Almutairy, B.K.; Alshahrani, S.; Alshetaili, A.S.; Alalaiwe, A.; Fayed, M.H.; Alanazi, A.Z.; et al. Chitosan surface modified PLGA nanoparticles loaded with brigatinib for the treatment of non-small cell lung cancer. J. Polym. Eng. 2019, 39, 909–916. [Google Scholar] [CrossRef]
- Ahmed, M.M.; Fatima, F.; Anwer, K.; Ibnouf, E.O.; Kalam, M.A.; Alshamsan, A.; Aldawsari, M.F.; Alalaiwe, A.; Ansari, M.J. Formulation and in vitro evaluation of topical nanosponge-based gel containing butenafine for the treatment of fungal skin infection. Saudi Pharm. J. 2021, 29, 467–477. [Google Scholar] [CrossRef]
- Ahmed, M.M.; Fatima, F.; Mohammed, A.B. Olive Oil Based Organogels for Effective Topical Delivery of Fluconazole: In-vitro Antifungal Study. J. Pharm. Res. Int. 2020, 32, 29–36. [Google Scholar] [CrossRef]
- Hamad, A.M.; Ahmed, H.G. Association of some carbohydrates with estrogen expression in breast lesions among Sudanese females. J. Histotechnol. 2018, 41, 2–9. [Google Scholar] [CrossRef]
- Hamad, A.M.; Ahmed, H.G. Association of Connective Tissue Fibers with Estrogen Expression in Breast Lesions among Sudanese Females. Int. Clin. Pathol. J. 2016, 2, 97–102. [Google Scholar] [CrossRef]
- Danaei, M.; Dehghankhold, M.; Ataei, S.; Hasanzadeh Davarani, F.; Javanmard, R.; Dokhani, A.; Khorasani, S.; Mozafari, M.R. Impact of particle size and polydispersity index on the clinical applications of lipidic nanocarrier systems. Pharmaceutics 2018, 10, 57. [Google Scholar] [CrossRef] [Green Version]
- Linson, N.; Joseph, S. A green bio-mediated synthesis of silver nanoparticles from the extract of peperomia pellucida using microwave technique and study of its catalytic activity. IJCRT 2021, 9, 4651–4657. [Google Scholar]
- Rani, H.; Singh, V.K.; Asif, S.; Ansari, M.I. Silver Nanoparticle Synthesis and Characterization from Leaf Extract of Psoralea corylifolia (Babchi). Orient. J. Chem. 2018, 34, 2673–2676. [Google Scholar] [CrossRef] [Green Version]
- Ahmed, M.M.; Fatima, F.; Anwer, K.; Aldawsari, M.F.; Alsaidan, Y.S.M.; Alfaiz, S.A.; Haque, A.; Az, A.; Alhazzani, K. Development and characterization of Brigatinib loaded solid lipid nanoparticles: In-vitro cytotoxicity against human carcinoma A549 lung cell lines. Chem. Phys. Lipids 2020, 233, 105003. [Google Scholar] [CrossRef]
- Li, F.; Wen, Y.; Zhang, Y.; Zheng, K.; Ban, J.; Xie, Q.; Wen, Y.; Liu, Q.; Chen, F.; Mo, Z.; et al. Characterisation of 2-HP-β-cyclodextrin-PLGA nanoparticle complexes for potential use as ocular drug delivery vehicles. Artif. Cells Nanomed. Biotechnol. 2019, 47, 4097–4108. [Google Scholar] [CrossRef] [PubMed] [Green Version]
- Riyaz, M.; Sakhiyani, P.; Irshad, P.M.; Sahidullah, M. In-vitro release study of ibuprofen from different topical formulations. Int. J. Res. Pharm. Innov. 2012, 2, 8–15. [Google Scholar]
- Sikdar, M.; Vyas, N.; Joshi, A.; Dwivedi, S.; Malviya, S.; Kharia, A. Evaluation of wound healing activity of ethanolic extract of Lantana camara roots. Asian J. Pharm. Pharmacol. 2017, 3, 220–223. [Google Scholar]
- Azis, H.; Taher, M.; Ahmed, A.; Sulaiman, W.; Susanti, D.; Chowdhury, S.R.; Zakaria, Z. In vitro and In vivo wound healing studies of methanolic fraction of Centella asiatica extract. South Afr. J. Bot. 2017, 108, 163–174. [Google Scholar] [CrossRef]
- Zhang, X.-F.; Liu, Z.-G.; Shen, W.; Gurunathan, S. Silver Nanoparticles: Synthesis, Characterization, Properties, Applications, and Therapeutic Approaches. Int. J. Mol. Sci. 2016, 17, 1534. [Google Scholar] [CrossRef] [PubMed]
- Long, Y.; Zhang, C.; Chen, L.; Di, T.; Chen, L.; Tang, L.; Luo, K.; Yan, Y.; Tong, P.; Xiang, J. Healing Effect and Underlying Mechanism of Silver Nanoparticles Prepared Using Carboxymethyl Chitosan under Solar Irradiation. J. Renew. Mater. 2021, 9, 1075–1085. [Google Scholar] [CrossRef]

















Publisher’s Note: MDPI stays neutral with regard to jurisdictional claims in published maps and institutional affiliations. |
© 2021 by the authors. Licensee MDPI, Basel, Switzerland. This article is an open access article distributed under the terms and conditions of the Creative Commons Attribution (CC BY) license (https://creativecommons.org/licenses/by/4.0/).
Share and Cite
Fatima, F.; Aldawsari, M.F.; Ahmed, M.M.; Anwer, M.K.; Naz, M.; Ansari, M.J.; Hamad, A.M.; Zafar, A.; Jafar, M. Green Synthesized Silver Nanoparticles Using Tridax Procumbens for Topical Application: Excision Wound Model and Histopathological Studies. Pharmaceutics 2021, 13, 1754. https://doi.org/10.3390/pharmaceutics13111754
Fatima F, Aldawsari MF, Ahmed MM, Anwer MK, Naz M, Ansari MJ, Hamad AM, Zafar A, Jafar M. Green Synthesized Silver Nanoparticles Using Tridax Procumbens for Topical Application: Excision Wound Model and Histopathological Studies. Pharmaceutics. 2021; 13(11):1754. https://doi.org/10.3390/pharmaceutics13111754
Chicago/Turabian StyleFatima, Farhat, Mohammed F. Aldawsari, Mohammed Muqtader Ahmed, Md. Khalid Anwer, Maimuna Naz, Mohammad Javed Ansari, Abubaker M. Hamad, Ameeduzzafar Zafar, and Mohammed Jafar. 2021. "Green Synthesized Silver Nanoparticles Using Tridax Procumbens for Topical Application: Excision Wound Model and Histopathological Studies" Pharmaceutics 13, no. 11: 1754. https://doi.org/10.3390/pharmaceutics13111754
APA StyleFatima, F., Aldawsari, M. F., Ahmed, M. M., Anwer, M. K., Naz, M., Ansari, M. J., Hamad, A. M., Zafar, A., & Jafar, M. (2021). Green Synthesized Silver Nanoparticles Using Tridax Procumbens for Topical Application: Excision Wound Model and Histopathological Studies. Pharmaceutics, 13(11), 1754. https://doi.org/10.3390/pharmaceutics13111754

