Disease Tolerance in ‘Anaheim’ Pepper to PepGMV-D Strain Involves Complex Interactions Between the Movement Protein Putative Promoter Region and Unknown Host Factors
Abstract
1. Introduction
2. Materials and Methods
2.1. Virus Constructs
2.2. Confocal Microscopy and In Situ Hybridization of GFP PepGMoV-Mo and -D DNA Components
2.3. Reciprocal Exchange of BC1 ORF and Putative Promoter Region
2.4. Replacement of the Coat Protein ORF with Soluble Modified Red Shifted GFP
2.5. Biolistic Inoculation of PepGMV Clones
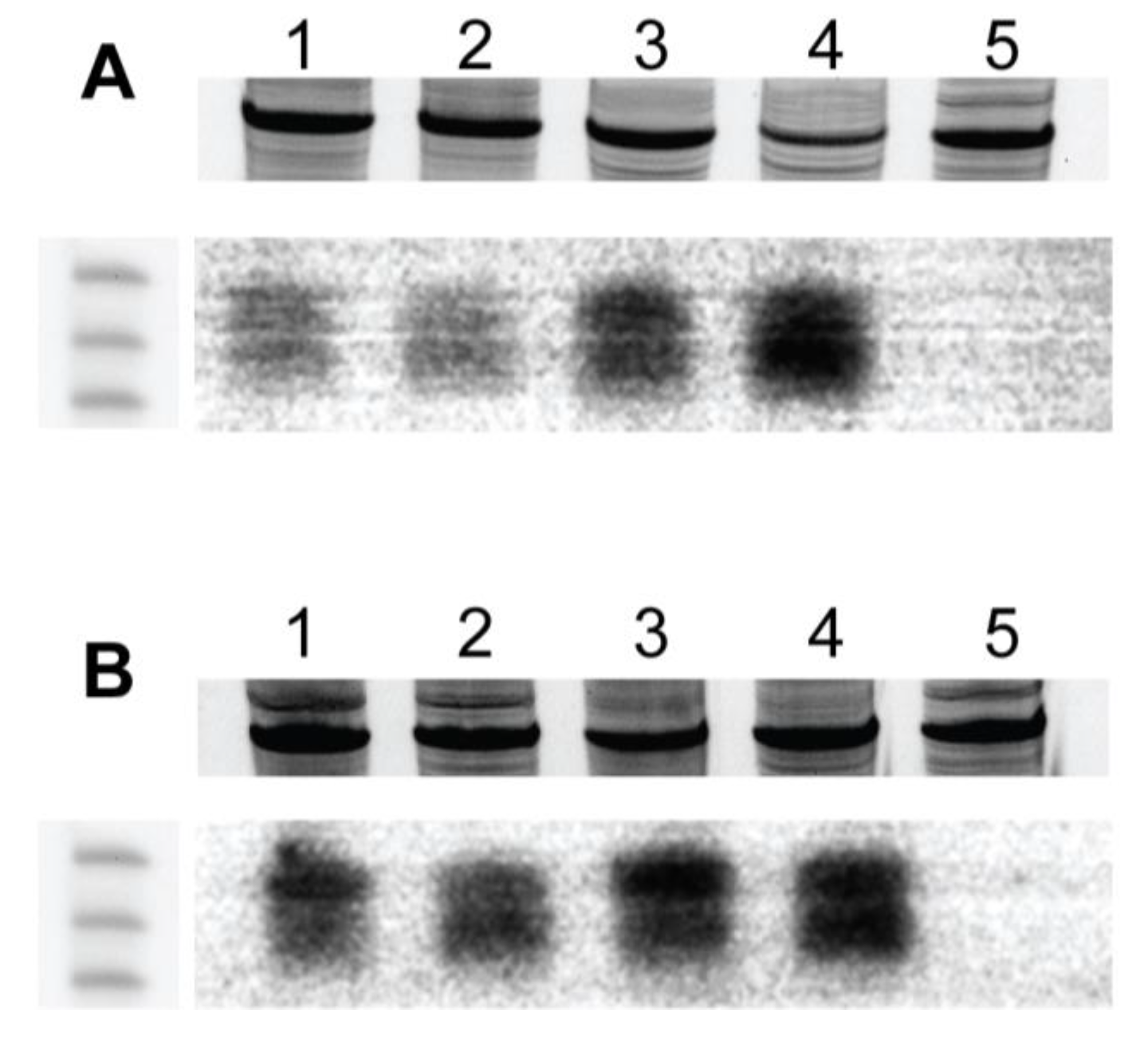
2.6. Viral DNA and RNA Accumulation in ‘Anaheim’ Pepper Leaves Infected with Wild-Type and Chimeric Infectious Clones
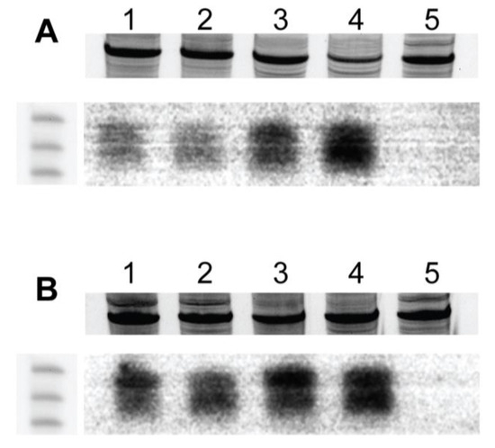
2.7. Small RNA Analysis
3. Results
3.1. Symptom Phenotype in Pepper Inoculated with PepGMV Wild-Type and Chimeric Viruses
3.2. Virus Accumulation in ‘Anaheim’ Plants Infected by Wild-Type PepGMV-Mo and -D Strains
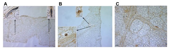
3.3. Localization of the PepGMV Viral Genome in Pepper Seedlings
3.4. Transcript Accumulation Attributed to PepGMV BC1 Gene Expression Based on Northern Blot Analysis of Inoculated ‘Anaheim’ Pepper Plants
3.5. Small RNAs Homologous to the BC1 Gene: Accumulation in ‘Anaheim’ Plants Exhibiting Wild-Type and ‘Recovery’ Phenotype
4. Discussion
Author Contributions
Funding
Institutional Review Board Statement
Informed Consent Statement
Data Availability Statement
Acknowledgments
Conflicts of Interest
References
- Brown, J.K.; Zerbini, F.M.; Navas-Castillo, J.; Moriones, E.; Ramos-Sobrinho, R.; Silva, J.C.; Fiallo-Olivé, E.; Briddon, R.W.; Hernández-Zepeda, C.; Idris, A. Revision of Begomovirus taxonomy based on pairwise sequence comparisons. Arch. Virol. 2015, 160, 1593–1619. [Google Scholar] [CrossRef] [PubMed]
- Brown, J.; Paredes-Montero, J.; Stocks, I. The Bemisia tabaci cryptic (sibling) species–imperative for a taxonomic reassessment. Curr. Opin. Insect Sci. 2023, 57, 101032. [Google Scholar] [CrossRef] [PubMed]
- De Moya, R.S.; Brown, J.K.; Sweet, A.D.; Walden, K.K.; Paredes-Montero, J.R.; Waterhouse, R.M.; Johnson, K.P. Nuclear orthologs derived from whole genome sequencing indicate cryptic diversity in the Bemisia tabaci (Insecta: Aleyrodidae) complex of whiteflies. Diversity 2019, 11, 151. [Google Scholar] [CrossRef]
- Fontes, E.; Eagle, P.A.; Sipe, P.S.; Luckow, V.A.; Hanley-Bowdoin, L. Interaction between a geminivirus replication protein and origin DNA is essential for viral replication. J. Biol. Chem. 1994, 269, 8459–8465. [Google Scholar] [CrossRef]
- Raja, P.; Wolf, J.N.; Bisaro, D.M. RNA silencing directed against geminiviruses: Post-transcriptional and epigenetic components. Biochim. Biophys. Acta (BBA)-Gene Regul. Mech. 2010, 1799, 337–351. [Google Scholar] [CrossRef]
- Settlage, S.B.; Miller, A.B.; Gruissem, W.; Hanley-Bowdoin, L. Dual interaction of a geminivirus replication accessory factor with a viral replication protein and a plant cell cycle regulator. Virology 2001, 279, 570–576. [Google Scholar] [CrossRef]
- Carvalho, M.F.; Turgeon, R.; Lazarowitz, S.G. The Geminivirus Nuclear Shuttle Protein NSP Inhibits the Activity of AtNSI, a Vascular-Expressed Arabidopsis Acetyltransferase Regulated with the Sink-to-Source Transition. Plant Physiol. 2006, 140, 1317–1330. [Google Scholar] [CrossRef]
- Hehnle, S.; Wege, C.; Jeske, H. Interaction of DNA with the movement proteins of geminiviruses revisited. J. Virol. 2004, 78, 7698–7706. [Google Scholar] [CrossRef]
- Rojas, M.R.; Noueiry, A.O.; Lucas, W.J.; Gilbertson, R.L. Bean Dwarf mosaic geminivirus movement proteins recognize DNA in a form- and size-specific manner. Cell 1998, 95, 105–113. [Google Scholar] [CrossRef]
- Sanderfoot, A.A.; Lazarowitz, S.G. Getting it together in plant virus movement: Cooperative interactions between bipartite geminivirus movement proteins. Trends Cell Biol. 1996, 6, 353–358. [Google Scholar] [CrossRef]
- Gilbertson, R.L.; Sudarshana, M.; Jiang, H.; Rojas, M.R.; Lucas, W.J. Limitations on geminivirus genome size imposed by plasmodesmata and virus-encoded movement protein: Insights into DNA trafficking. Plant Cell 2003, 15, 2578–2591. [Google Scholar] [CrossRef] [PubMed]
- Krenz, B.; Jeske, H.; Kleinow, T. The induction of stromule formation by a plant DNA-virus in epidermal leaf tissues suggests a novel intra- and intercellular macromolecular trafficking route. Front. Plant Sci. 2012, 3, 291. [Google Scholar] [CrossRef] [PubMed]
- Martins, L.G.C.; Raimundo, G.A.S.; Ribeiro, N.G.A.; Silva, J.C.F.; Euclydes, N.C.; Loriato, V.A.P.; Duarte, C.E.M.; Fontes, E.P.B. A Begomovirus Nuclear Shuttle Protein-Interacting Immune Hub: Hijacking Host Transport Activities and Suppressing Incompatible Functions. Front. Plant Sci. 2020, 11, 398. [Google Scholar] [CrossRef] [PubMed]
- Schaffer, R.L.; Miller, C.G.; Petty, I.T. Virus and host-specific adaptations in the BL1 and BR1 genes of bipartite geminiviruses. Virology 1995, 214, 330–338. [Google Scholar] [CrossRef][Green Version]
- Sudarshana, M.R.; Wang, H.L.; Lucas, W.J.; Gilbertson, R.L. Dynamics of Bean Dwarf Mosaic Geminivirus Cell-to-Cell and Long-Distance Movement in Phaseolus vulgaris Revealed, Using the Green Fluorescent Protein. Mol. Plant-Microbe Interact. 1998, 11, 277–291. [Google Scholar] [CrossRef]
- Krenz, B.; Windeisen, V.; Wege, C.; Jeske, H.; Kleinow, T. A plastid-targeted heat shock cognate 70kDa protein interacts with the Abutilon mosaic virus movement protein. Virology 2010, 401, 6–17. [Google Scholar] [CrossRef]
- Noueiry, A.O.; Lucas, W.J.; Gilbertson, R.L. Two proteins of a plant DNA virus coordinate nuclear and plasmodesmal transport. Cell 1994, 76, 925–932. [Google Scholar] [CrossRef]
- Brown, J.K.; Poulos, B.T. Serrano golden mosaic virus a newly identified whitefly-transmitted geminivirus of pepper and tomato in the United States and Mexico. Plant Dis. 1990, 74, 720. [Google Scholar] [CrossRef]
- Idris, A.M.; Brown, J.K.; French, R.; Stenger, D.C. Variation among isolates of Pepper golden mosaic virus suggests a begomovirus species complex. In Proceedings of the APS Meeting, Charlotte, NC, USA, 7–13 August 2003. [Google Scholar]
- Lotrakul, P.; Valverde, R.A.; De La Torre, R.; Sim, J.; Gomez, A. Occurrence of a strain of Texas pepper virus in Tabasco and Habanero pepper in Costa Rica. Plant Dis. 2000, 84, 168–172. [Google Scholar] [CrossRef]
- Mendez-Lozano, J.; Torres-Pacheco, I.; Fauquet, C.M.; Rivera-Bustamante, R.F. Interactions between geminiviruses in a naturally occurring mixture: Pepper huasteco virus and Pepper golden mosaic virus. Phytopathology 2003, 93, 270–277. [Google Scholar] [CrossRef]
- Stenger, D.C.; Duffus, J.E.; Villalon, B. Biological and genomic properties of a geminivirus isolated from pepper. Phytopathology 1990, 80, 704–709. [Google Scholar] [CrossRef]
- Brown, J.K.; Idris, A.M.; Ostrow, K.M.; Goldberg, N.; French, R.; Stenger, D.C. Genetic and phenotypic variation of the Pepper golden mosaic virus complex. Phytopathology 2005, 95, 1217–1224. [Google Scholar] [CrossRef] [PubMed][Green Version]
- Malavika, M.; Prakash, V.; Chakraborty, S. Recovery from virus infection: Plant’s armory in action. Planta 2023, 257, 103. [Google Scholar] [CrossRef]
- Hagen, C.; Rojas, M.R.; Kon, T.; Gilbertson, R.L. Recovery from Cucurbit leaf crumple virus (family Geminiviridae, genus Begomovirus) infection is an adaptive antiviral response associated with changes in viral small RNAs. Phytopathology 2008, 98, 1029–1037. [Google Scholar] [CrossRef] [PubMed]
- Pagán, I.; García-Arenal, F. Tolerance to Plant Pathogens: Theory and Experimental Evidence. Int. J. Mol. Sci. 2018, 19, 810. [Google Scholar] [CrossRef] [PubMed]
- Ribeiro, S.G.; Lohuis, H.; Goldbach, R.; Prins, M. Tomato chlorotic mottle virus is a target of RNA silencing but the presence of specific short interfering RNAs does not guarantee resistance in transgenic plants. J. Virol. 2007, 81, 1563–1573. [Google Scholar] [CrossRef]
- Akbergenov, R.; Si-Ammour, A.; Blevins, T.; Amin, I.; Kutter, C.; Vanderschuren, H.; Zhang, P.; Gruissem, W.; Meins, F., Jr.; Hohn, T.; et al. Molecular characterization of geminivirus-derived small RNAs in different plant species. Nucleic Acids Res. 2006, 34, 462–471. [Google Scholar] [CrossRef]
- Bisaro, D.M. Silencing suppression by geminivirus proteins. Virology 2006, 344, 158–168. [Google Scholar] [CrossRef]
- Chellappan, P.; Vanitharani, R.; Pita, J.; Fauquet, C.M. Short interfering RNA accumulation correlates with host recovery in DNA virus-infected hosts, and gene silencing targets specific viral sequences. J. Virol. 2004, 78, 7465–7477. [Google Scholar] [CrossRef]
- Carrillo-Tripp, J.; Lozoya-Gloria, E.; Rivera-Bustamante, R.F. Symptom Remission and Specific Resistance of Pepper Plants After Infection by Pepper golden mosaic virus. Phytopathology 2007, 97, 51–59. [Google Scholar] [CrossRef]
- Rodríguez-Negrete, E.A.; Carrillo-Tripp, J.; Rivera-Bustamante, R.F. RNA silencing against geminivirus: Complementary action of posttranscriptional gene silencing and transcriptional gene silencing in host recovery. J. Virol. 2009, 83, 1332–1340. [Google Scholar] [CrossRef] [PubMed]
- Križnik, M.; Baebler, Š.; Gruden, K. Roles of small RNAs in the establishment of tolerant interaction between plants and viruses. Curr. Opin. Virol. 2020, 42, 25–31. [Google Scholar] [CrossRef] [PubMed]
- Roossinck, M.J.; Bazán, E.R. Symbiosis: Viruses as intimate partners. Annu. Rev. Virol. 2017, 4, 123–139. [Google Scholar] [CrossRef]
- Allie, F.; Pierce, E.J.; Okoniewski, M.J.; Rey, C. Transcriptional analysis of South African cassava mosaic virus-infected susceptible and tolerant landraces of cassava highlights differences in resistance, basal defense and cell wall associated genes during infection. BMC Genom. 2014, 15, 1006. [Google Scholar] [CrossRef] [PubMed]
- Bengyella, L.; Waikhom, S.D.; Allie, F.; Rey, C. Virus tolerance and recovery from viral induced-symptoms in plants are associated with transcriptome reprograming. Plant Mol. Biol. 2015, 89, 243–252. [Google Scholar] [CrossRef] [PubMed]
- Gaffar, F.Y.; Koch, A. Catch me if you can! RNA silencing-based improvement of antiviral plant immunity. Viruses 2019, 11, 673. [Google Scholar] [CrossRef]
- Sunter, G.; Bisaro, D.M. Transactivation of geminivirus AR1 and BR1 gene expression by the viral AL2 gene product occurs at the level of transcription. Plant Cell 1992, 4, 1321–1331. [Google Scholar] [CrossRef]
- Morra, M.R.; Petty, I.T.D. Tissue Specificity of Geminivirus Infection Is Genetically Determined. Plant Cell 2000, 12, 2259–2270. [Google Scholar] [CrossRef]
- Noris, E.; Jupin, I.; Accotto, G.P.; Gronenborn, B. DNA-binding activity of the C2 protein of tomato yellow leaf curl geminivirus. Virology 1996, 217, 607–612. [Google Scholar] [CrossRef][Green Version]
- Hartitz, M.D.; Sunter, G.; Bisaro, D.M. The Tomato Golden Mosaic Virus Transactivator (TrAP) is a Single-Stranded DNA and Zinc-Binding Phosphoprotein with an Acidic Activation Domain. Virology 1999, 263, 1–14. [Google Scholar] [CrossRef]
- Lacatus, G.; Sunter, G. The Arabidopsis PEAPOD2 transcription factor interacts with geminivirus AL2 protein and the coat protein promoter. Virology 2009, 392, 196–202. [Google Scholar] [CrossRef] [PubMed]
- Qin, Y.; Petty, I.T.D. Genetic Analysis of Bipartite Geminivirus Tissue Tropism. Virology 2001, 291, 311–323. [Google Scholar] [CrossRef] [PubMed]
- Sunter, G.; Bisaro, D.M. Transactivation in a geminivirus: AL2 gene product is needed for coat protein expression. Virology 1991, 180, 416–419. [Google Scholar] [CrossRef] [PubMed]
- Berger, M.R.; Sunter, G. Identification of sequences required for AL2-mediated activation of the tomato golden mosaic virus-yellow vein BR1 promoter. J. Gen. Virol. 2013, 94, 1398–1406. [Google Scholar] [CrossRef] [PubMed][Green Version]
- Sambrook, J.; Fritsch, E.F.; Maniatis, T. Molecular Cloning: A Laboratory Manual; Cold Spring Harbor Laboratory Press: Cold Spring Harbor, NY, USA, 1989; pp. xxxviii, 1546. [Google Scholar]
- Idris, A.M.; Tuttle, J.R.; Robertson, D.; Haigler, C.H.; Brown, J.K. Differential Cotton leaf crumple virus-VIGS-mediated gene silencing and viral genome localization in different Gossypium hirsutum genetic backgrounds. Physiol. Mol. Plant Pathol. 2010, 75, 13–22. [Google Scholar] [CrossRef]
- Grebenok, R.; Lambert, G.; Galbraith, D. Characterization of the targeted nuclear accumulation of GFP within the cells of transgenic plants. Plant J. 1997, 12, 685–696. [Google Scholar] [CrossRef]
- Javelle, M.; Marco, C.F.; Timmermans, M. In situ hybridization for the precise localization of transcripts in plants. J. Vis. Exp. 2011, 57, e3328. [Google Scholar] [CrossRef]
- Cicero, J.M.; Brown, J.K. Functional anatomy of whitefly organs associated with Squash leaf curl virus (Geminiviridae: Begomovirus) transmission by the B biotype of Bemisia tabaci (Hemiptera: Aleyrodidae). Ann. Entomol. Soc. Am. 2011, 104, 261–279. [Google Scholar] [CrossRef]
- Davis, S.J.; Vierstra, R.D. Soluble, highly fluorescent variants of green fluorescent protein (GFP) for use in higher plants. Plant Mol. Biol. 1998, 36, 521–528. [Google Scholar] [CrossRef]
- Tuttle, J.R.; Idris, A.; Brown, J.K.; Haigler, C.H.; Robertson, D. Geminivirus-mediated gene silencing from Cotton leaf crumple virus is enhanced by low temperature in cotton. Plant Physiol. 2008, 148, 41–50. [Google Scholar] [CrossRef]
- Hutvágner, G.; Mlynárová, L.; Nap, J.P. Detailed characterization of the posttranscriptional gene-silencing-related small RNA in a GUS gene-silenced tobacco. RNA 2000, 6, 1445–1454. [Google Scholar] [CrossRef] [PubMed]
- Idris, A.M.; Shahid, M.S.; Briddon, R.W.; Khan, A.J.; Zhu, J.-K.; Brown, J.K. An unusual alphasatellite associated with monopartite begomoviruses attenuates symptoms and reduces betasatellite accumulation. J. Gen. Virol. 2011, 92, 706–717. [Google Scholar] [CrossRef] [PubMed]
- Rentería-Canett, I.; Xoconostle-Cázares, B.; Ruiz-Medrano, R.; Rivera-Bustamante, R. Geminivirus mixed infection on pepper plants: Synergistic interaction between PHYVV and PepGMV. Virol. J. 2011, 8, 104. [Google Scholar] [CrossRef] [PubMed]
- Saunders, K.; Wege, C.; Veluthambi, K.; Jeske, H.; Stanley, J. The distinct disease phenotypes of the common and yellow vein strains of Tomato golden mosaic virus are determined by nucleotide differences in the 3′-terminal region of the gene encoding the movement protein. J. Gen. Virol. 2001, 82, 45–51. [Google Scholar] [CrossRef] [PubMed][Green Version]
- Baliji, S.; Lacatus, G.; Sunter, G. The interaction between geminivirus pathogenicity proteins and adenosine kinase leads to increased expression of primary cytokinin-responsive genes. Virology 2010, 402, 238–247. [Google Scholar] [CrossRef]
- Vanitharani, R.; Chellappan, P.; Fauquet, C.M. Geminiviruses and RNA silencing. Trends Plant Sci. 2005, 10, 144–151. [Google Scholar] [CrossRef]
- Paudel, D.B.; Sanfaçon, H. Exploring the diversity of mechanisms associated with plant tolerance to virus infection. Front. Plant Sci. 2018, 9, 1575. [Google Scholar] [CrossRef]
- Williams, J.; Regedanz, E.; Lucinda, N.; Nava Fereira, A.R.; Lacatus, G.; Berger, M.; O’Connell, N.; Coursey, T.; Ruan, J.; Bisaro, D.M. Mutation of the conserved late element in geminivirus CP promoters abolishes Arabidopsis TCP24 transcription factor binding and decreases H3K27me3 levels on viral chromatin. PLoS Pathog. 2024, 20, e1012399. [Google Scholar] [CrossRef]







| DNA-A | DNA-B Chimeras | Symptoms |
|---|---|---|
| pDA | pDB:MoBC1 (MoBC1 gene in DB wild-type) | mosaic |
| pDA | pDB:MoBC1ORF (MoBC1 ORF in DB wild-type) | distortion |
| pDA | pDB:MoBC1 Prom (MoBC1 promoter in DB wild-type) | mosaic |
| pMoA | pMoB:DBC1(DBC1 gene in MoB wild-type) | distortion |
| pMoA | pMoB:DBC1ORF (DBC1 ORF in MoB wild-type) | mosaic |
| pMoA | pMoB:DBC1Prom (DBC1 promoter in MoB wild-type) | distortion |
Disclaimer/Publisher’s Note: The statements, opinions and data contained in all publications are solely those of the individual author(s) and contributor(s) and not of MDPI and/or the editor(s). MDPI and/or the editor(s) disclaim responsibility for any injury to people or property resulting from any ideas, methods, instructions or products referred to in the content. |
© 2025 by the authors. Licensee MDPI, Basel, Switzerland. This article is an open access article distributed under the terms and conditions of the Creative Commons Attribution (CC BY) license (https://creativecommons.org/licenses/by/4.0/).
Share and Cite
Hernández-Zepeda, C.; Brown, J.K. Disease Tolerance in ‘Anaheim’ Pepper to PepGMV-D Strain Involves Complex Interactions Between the Movement Protein Putative Promoter Region and Unknown Host Factors. Viruses 2025, 17, 268. https://doi.org/10.3390/v17020268
Hernández-Zepeda C, Brown JK. Disease Tolerance in ‘Anaheim’ Pepper to PepGMV-D Strain Involves Complex Interactions Between the Movement Protein Putative Promoter Region and Unknown Host Factors. Viruses. 2025; 17(2):268. https://doi.org/10.3390/v17020268
Chicago/Turabian StyleHernández-Zepeda, Cecilia, and Judith K. Brown. 2025. "Disease Tolerance in ‘Anaheim’ Pepper to PepGMV-D Strain Involves Complex Interactions Between the Movement Protein Putative Promoter Region and Unknown Host Factors" Viruses 17, no. 2: 268. https://doi.org/10.3390/v17020268
APA StyleHernández-Zepeda, C., & Brown, J. K. (2025). Disease Tolerance in ‘Anaheim’ Pepper to PepGMV-D Strain Involves Complex Interactions Between the Movement Protein Putative Promoter Region and Unknown Host Factors. Viruses, 17(2), 268. https://doi.org/10.3390/v17020268

