Epidemiological Study and Genetic Diversity Assessment of Porcine Epidemic Diarrhea Virus (PEDV) in Yunnan Province, China
Abstract
1. Introduction
2. Materials and Methods
2.1. Sample Collection
2.2. RNA Extraction and RT-PCR Analysis
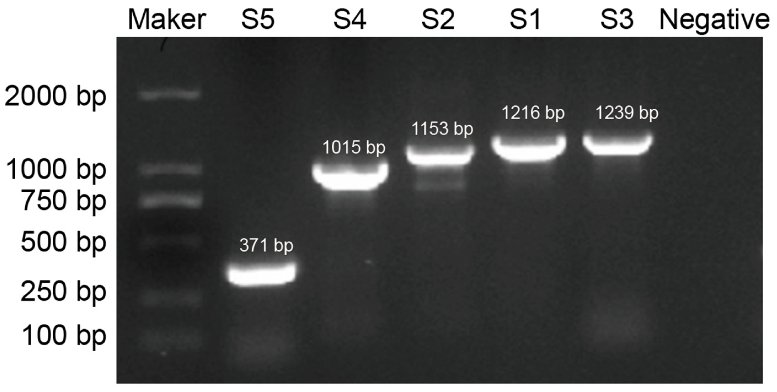
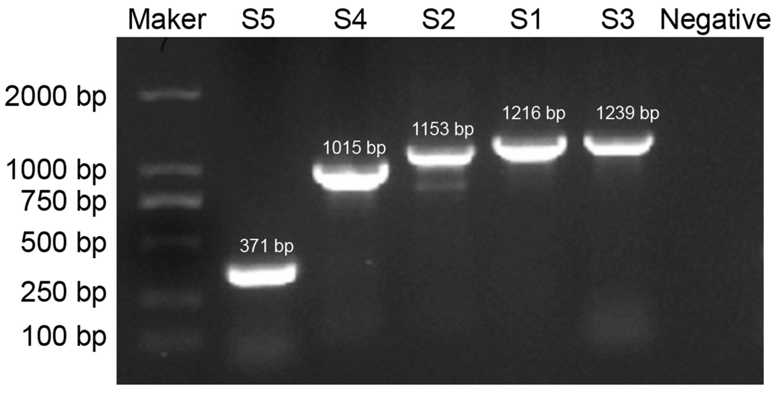
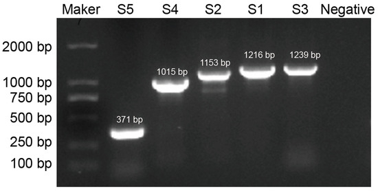
2.3. PCR Amplification and Sequencing of S Genes of PEDV
2.4. Sequence Characterization and Phylogenetic Analysis of PEDV S Genes
3. Results
3.1. Detection and Analysis of Diarrhea Viruses in Fecal Samples from Yunnan Province
3.2. Distribution of PEDV in Yunnan Province
3.3. Sequencing and Phylogenetic Analysis of PEDV S Gene
3.4. Recombinant Analysis of PEDV S Gene Sequences
4. Discussion
5. Conclusions
Author Contributions
Funding
Institutional Review Board Statement
Data Availability Statement
Conflicts of Interest
References
- Zhang, H.; Zou, C.; Peng, O.; Ashraf, U.; Xu, Q.; Gong, L.; Fan, B.; Zhang, Y.; Xu, Z.; Xue, C.; et al. Global Dynamics of Porcine Enteric Coronavirus PEDV Epidemiology, Evolution, and Transmission. Mol. Biol. Evol. 2023, 40, msad052. [Google Scholar] [CrossRef] [PubMed]
- Chen, J.; Wang, C.; Shi, H.; Qiu, H.-J.; Liu, S.; Shi, D.; Zhang, X.; Feng, L. Complete Genome Sequence of a Chinese Virulent Porcine Epidemic Diarrhea Virus Strain. J. Virol. 2011, 85, 11538–11539. [Google Scholar] [CrossRef]
- Jung, K.; Saif, L.J.; Wang, Q. Porcine epidemic diarrhea virus (PEDV): An update on etiology, transmission, pathogenesis, and prevention and control. Virus Res. 2020, 286, 198045. [Google Scholar] [CrossRef]
- Lin, F.; Zhang, H.; Li, L.; Yang, Y.; Zou, X.; Chen, J.; Tang, X. PEDV: Insights and Advances into Types, Function, Structure, and Receptor Recognition. Viruses 2022, 14, 1744. [Google Scholar] [CrossRef]
- Thavorasak, T.; Chulanetra, M.; Glab-Ampai, K.; Teeranitayatarn, K.; Songserm, T.; Yodsheewan, R.; Sae-Lim, N.; Lekcharoensuk, P.; Sookrung, N.; Chaicumpa, W. Novel Neutralizing Epitope of PEDV S1 Protein Identified by IgM Monoclonal Antibody. Viruses 2022, 14, 125. [Google Scholar] [CrossRef] [PubMed]
- Zhao, Y.; Fan, B.; Song, X.; Gao, J.; Guo, R.; Yi, C.; He, Z.; Hu, H.; Jiang, J.; Zhao, L.; et al. PEDV-spike-protein-expressing mRNA vaccine protects piglets against PEDV challenge. mBio 2024, 15, e02958-23. [Google Scholar] [CrossRef]
- Wood, E. An apparently new syndrome of porcine epidemic diarrhoea. Vet. Rec. 1977, 100, 243–244. [Google Scholar] [CrossRef]
- Xuan, H.; Xing, D.-K.; Wang, D.-Y.; Zhu, W.; Zhao, F.; Gong, H.; Fei, S. Study on the culture of porcine epidemic diarrhea virus adapted to fetal porcine intestine primary cell monolayer. Chin. J. Vet. Sci. 1984, 4, 202–208. [Google Scholar]
- Wang, J.; Zhao, P.; Guo, L.; Liu, Y.; Du, Y.; Ren, S.; Li, J.; Zhang, Y.; Fan, Y.; Huang, B.; et al. Porcine Epidemic Diarrhea Virus Variants with High Pathogenicity, China. Emerg. Infect. Dis. 2013, 19, 2048–2049. [Google Scholar] [CrossRef]
- Vlasova, A.N.; Marthaler, D.; Wang, Q.; Culhane, M.R.; Rossow, K.D.; Rovira, A.; Collins, J.; Saif, L.J. Distinct Characteristics and Complex Evolution of PEDV Strains, North America, May 2013–February 2014. Emerg. Infect. Dis. 2014, 20, 1620–1628. [Google Scholar] [CrossRef]
- Ojkic, D.; Hazlett, M.; Fairles, J.; Marom, A.; Slavic, D.; Maxie, G.; Alexandersen, S.; Pasick, J.; Alsop, J.; Burlatschenko, S. The first case of porcine epidemic diarrhea in Canada. Can. Vet. J. 2015, 56, 149–152. [Google Scholar] [PubMed]
- Sung, M.-H.; Lin, C.-N.; Chiou, M.-T.; Cheng, I.J.; Thanh, Q.-H.; Chao, D.-Y.; Lan, Y.-C. Phylogeographic investigation of 2014 porcine epidemic diarrhea virus (PEDV) transmission in Taiwan. PLoS ONE 2019, 14, e0213153. [Google Scholar] [CrossRef] [PubMed]
- Zuo, Q.; Zhao, R.; Liu, J.; Zhao, Q.; Zhu, L.; Zhang, B.; Bi, J.; Yang, G.; Liu, J.; Yin, G. Epidemiology and phylogeny of spike gene of porcine epidemic diarrhea virus from Yunnan, China. Virus Res. 2018, 249, 45–51. [Google Scholar] [CrossRef] [PubMed]
- Zhang, R.; Yin, G.; Wang, Y.; Li, Y.; Wang, X.; Bi, J.; Yang, G.; Qu, K.; Gao, L. Whole-Genome Analysis of Porcine Epidemic Diarrhea Virus from Yunnan, China. Vet. Sci. 2024, 11, 548. [Google Scholar] [CrossRef]
- Koonpaew, S.; Teeravechyan, S.; Frantz, P.N.; Chailangkarn, T.; Jongkaewwattana, A. PEDV and PDCoV Pathogenesis: The Interplay Between Host Innate Immune Responses and Porcine Enteric Coronaviruses. Front. Vet. Sci. 2019, 6, 00034. [Google Scholar] [CrossRef]
- Su, M.; Li, C.; Qi, S.; Yang, D.; Jiang, N.; Yin, B.; Guo, D.; Kong, F.; Yuan, D.; Feng, L.; et al. A molecular epidemiological investigation of PEDV in China: Characterization of co-infection and genetic diversity of S1-based genes. Transbound. Emerg. Dis. 2020, 67, 1129–1140. [Google Scholar] [CrossRef]
- Song, D.; Zhou, X.; Peng, Q.; Chen, Y.; Zhang, F.; Huang, T.; Zhang, T.; Li, A.; Huang, D.; Wu, Q.; et al. Newly Emerged Porcine Delta coronavirus Associated With Diarrhoea in Swine in China: Identification, Prevalence and Full-Length Genome Sequence Analysis. Transbound. Emerg. Dis. 2015, 62, 575–580. [Google Scholar] [CrossRef]
- Marthaler, D.; Jiang, Y.; Collins, J.; Rossow, K. Complete Genome Sequence of Strain SDCV/USA/Illinois121/2014, a Porcine Deltacoronavirus from the United States. Genome Announc. 2014, 2, e00218-14. [Google Scholar] [CrossRef]
- Shu, X.; Han, F.; Hu, Y.; Hao, C.; Li, Z.; Wei, Z.; Zhang, H. Co-infection of porcine deltacoronavirus and porcine epidemic diarrhoea virus alters gut microbiota diversity and composition in the colon of piglets. Virus Res. 2022, 322, 198954. [Google Scholar] [CrossRef]
- Vaishali; Gupta, R.; Kumar, M.; Bansal, N.; Vivek; Kumar, P.; Kumar, P.; Jindal, N. Coinfection of porcine astrovirus and other porcine viruses in diarrheic pigs in Haryana, India. Arch. Virol. 2023, 168, 246. [Google Scholar] [CrossRef]
- Wang, E.; Guo, D.; Li, C.; Wei, S.; Wang, Z.; Liu, Q.; Zhang, B.; Kong, F.; Feng, L.; Sun, D. Molecular Characterization of the ORF3 and S1 Genes of Porcine Epidemic Diarrhea Virus Non S-INDEL Strains in Seven Regions of China, 2015. PLoS ONE 2016, 11, e0160561. [Google Scholar] [CrossRef] [PubMed]
- Chen, Q.; Wang, L.; Zheng, Y.; Zhang, J.; Guo, B.; Yoon, K.-J.; Gauger, P.C.; Harmon, K.M.; Main, R.G.; Li, G. Metagenomic analysis of the RNA fraction of the fecal virome indicates high diversity in pigs infected by porcine endemic diarrhea virus in the United States. Virol. J. 2018, 15, 95. [Google Scholar] [CrossRef] [PubMed]
- Liu, X.; Song, C.; Liu, Y.; Qu, K.; Bi, J.; Bi, J.; Wang, Y.; Yang, Y.; Sun, J.; Guo, Z.; et al. High Genetic Diversity of Porcine Sapovirus From Diarrheic Piglets in Yunnan Province, China. Front. Vet. Sci. 2022, 9, 854905. [Google Scholar] [CrossRef] [PubMed]
- Yang, Q.; Yang, T.; Yang, J.; Zuo, Y.; Li, J. Seroepidemiological survey of porcine epidemic diarrhea in selected areas of Yunnan Province from 2019 to 2021. Pig Breed. 2022, 5, 117–119. [Google Scholar] [CrossRef]
- Chen, P.; Wang, K.; Hou, Y.; Li, H.; Li, X.; Yu, L.; Jiang, Y.; Gao, F.; Tong, W.; Yu, H.; et al. Genetic evolution analysis and pathogenicity assessment of porcine epidemic diarrhea virus strains circulating in part of China during 2011–2017. Infect. Genet. Evol. 2019, 69, 153–165. [Google Scholar] [CrossRef]
- Wang, D.; Fang, L.; Xiao, S. Porcine epidemic diarrhea in China. Virus Res. 2016, 226, 7–13. [Google Scholar] [CrossRef]
- Lee, C. Porcine epidemic diarrhea virus: An emerging and re-emerging epizootic swine virus. Virol. J. 2015, 12, 193. [Google Scholar] [CrossRef]
- Luo, H.; Liang, Z.; Lin, J.; Wang, Y.; Liu, Y.; Mei, K.; Zhao, M.; Huang, S. Research progress of porcine epidemic diarrhea virus S protein. Front. Microbiol. 2024, 15, 1396894. [Google Scholar] [CrossRef]
- Peng, Q.; Fu, P.; Zhou, Y.; Lang, Y.; Zhao, S.; Wen, Y.; Wang, Y.; Wu, R.; Zhao, Q.; Du, S.; et al. Phylogenetic Analysis of Porcine Epidemic Diarrhea Virus (PEDV) during 2020–2022 and Isolation of a Variant Recombinant PEDV Strain. Int. J. Mol. Sci. 2024, 25, 10878. [Google Scholar] [CrossRef]
- Lu, Y.; Huang, W.; Lu, Z.; Zeng, D.; Yu, K.; Bai, J.; Qin, Q.; Long, M.; Qin, Y.; Chen, Y.; et al. Genetic characteristics associated with the virulence of porcine epidemic diarrhea virus (PEDV) with a naturally occurring truncated ORF3 gene. Vet. Res. 2024, 55, 123. [Google Scholar] [CrossRef]
- Guo, J.; Fang, L.; Ye, X.; Chen, J.; Xu, S.; Zhu, X.; Miao, Y.; Wang, D.; Xiao, S. Evolutionary and genotypic analyses of global porcine epidemic diarrhea virus strains. Transbound. Emerg. Dis. 2019, 66, 111–118. [Google Scholar] [CrossRef]



: classical strain GI group;
: variant GIIa subgroup;
: variant GIIb subgroup;
: S-INDEL subgroup;
: representative PEDV strains.
: classical strain GI group;
: variant GIIa subgroup;
: variant GIIb subgroup;
: S-INDEL subgroup;
: representative PEDV strains.


| Target Genes | Sequence (5′-3′) | Product Size (bp) |
|---|---|---|
| PEDV-S1 | CTTCCAACACTCAGCCTACC | 1216 |
| CAGCATCCAACAAACCGAGA | ||
| PEDV-S2 | CCTCAGATCCTCATTTAGCC | 1153 |
| TAGAAGAAACCAGGCAACTC | ||
| PEDV-S3 | GCATTTTGGCAGGTGTTTAT | 1239 |
| GAACATCGGCTGAAAGAATG | ||
| PEDV-S4 | CAATTGCTTGCTGAGTCTTT | 1015 |
| CAATGATCAACCAAACCCAC | ||
| PEDV-S5 | TAGCTTCTCTGCCCAATAGA | 371 |
| AGCTTCGTAAGGTTGAAGTC | ||
| PEDV-N | CAAACGGGTGCCATTATCTCT | 901 |
| TTCGACAAATTCCGCATCTCC | ||
| TGEV-S | GTTTTCACTCGCAAATGCAG | 571 |
| CACACATACCAAGGCCAT | ||
| PoRV-VP6 | GAACATGTCGTGCCATTG | 257 |
| GTGGTCGTACTAGCTGAAAT | ||
| PoSaV-VP1 | GTGATGTGGTTGAGAATGTG | 510 |
| CATAGGTGAAAGTGGTGTCT | ||
| PaStV-0RF2 | AGAAGGAGAAAACAGAGCAAG | 693 |
| TTTTGTATCTTCGCCCTTGA | ||
| PDCoV-N | TCGTGTTACTTGGGTTAAGG | 636 |
| TCTTGTTTGTCAGGCTTCTT |
| Strains | Accession | Countries | Year | Strains | Accession | Countries | Year |
|---|---|---|---|---|---|---|---|
| CV777 | AF353511 | Switzerland | 1978 | AJ1102 | JX188454 | China | 2011 |
| CV777 | JN599150 | China | 1994 | JS2008 | KC109141 | China | 2008 |
| CH/HN2247 | KX981440 | China | 2016 | PEDV4-S-3 | KT313038 | China | 2015 |
| KNV-1305 | KJ662670 | South Korea | 2014 | USA/indiana/17835 | KF452323 | USA | 2013 |
| K14JB01 | KJ623926 | South Korea | 2014 | HBHG1 | KY775045 | China | 2016 |
| LNBX-2018 | MT294132 | China | 2018 | VN/JFP1013-1 | KJ960178 | Vietnam | 2014 |
| CH/GZJP/2017 | MH593138 | China | 2017 | GDhz18 | MN368716 | China | 2019 |
| USA/Minnesota | KR265843 | USA | 2014 | CH/SCCZ/2018 | MH593148 | China | 2018 |
| CH/SCNJ-1 | MW145535 | China | 2020 | USA/Missouri102 | KJ645693 | USA | 2013 |
| CH/SCQL-1 | MN617866 | China | 2018 | swun-Y1-SCCQ | MK820041 | China | 2019 |
| OH851 | KJ399978 | USA | 2014 | SM98-5P | KJ857455 | South Korea | 1998 |
| JS-HZ2012 | KC210147 | China | 2012 | KNU-1406-1 | KM403155 | South Korea | 2014 |
| CHGD-01 | JX261936 | China | 2011 | YnP7 | MG334008 | China | 2017 |
| HK2021 | OL762457 | China | 2021 | SC2021 | OL411879 | China | 2021 |
| SC-ZY-1 | KR732651 | China | 2014 | SX-TY1/2017 | MN412571 | China | 2017 |
| VN97/HN/2013 | HX982561 | China | 2013 | GDsg16-1 | MN368690 | China | 2016 |
| FGE-20140427 | KJ777677 | China | 2014 | CH/JLDH/2016 | MF346935 | China | 2016 |
| DR13 | JQ023162 | South Korea | 2011 | PC21A | KR078299 | USA | 2013 |
| KNU-0801 | GU180142 | South Korea | 2009 | USA/Colorado/2013 | KF272920 | USA | 2013 |
| 83P-5 | AB548618 | Japan | 2010 |
| City | Year | Weaned Piglet | Nursery Pig | Fattening Pig | Total | Representative Epidemic Strains |
|---|---|---|---|---|---|---|
| Zhaotong | 2022, 2016 | 35 | 100 | 508 | 643 | |
| Dali | 2022, 2018, 2017, 2015, 2014 | 21 | 20 | 85 | 126 | YN-DL-2107, YN-DL-2207 |
| Yuxi | 2022, 2020, 2021, 2015 | 59 | 24 | 0 | 83 | YN-YX-1903, YN-YX-2003, YN-YX-2203 |
| Chuxiong | 2022, 2017 | 45 | 127 | 172 | YN-YM-2003, YN-YM-2206, YN-YM-22061, YN-WD-2206, YN-WD-22061, YN-WD-22062 | |
| Qujing | 2022, 2019, 2015 | 174 | 78 | 40 | 292 | YN-QJ-1412, YN-QJ-1507, YN-QJ-2210, YN-QJ-22101, YN-LL-1603 |
| Baoshan | 2022 | 0 | 0 | 15 | 15 | YN-BS-1807, YN-BS-1912 |
| Kunming | 2022, 2016, 2015 | 57 | 25 | 146 | 228 | YN-KM-1404, YN-KM-1503, YN-KM-1705, YN-KM-1706, YN-SM-1508 |
| Honghe | 2016, 2013 | 77 | 13 | 90 | 180 | YN-HH-1602 |
| Lincang | 2022, 2018 | 0 | 0 | 65 | 65 | YN-LC-1803 |
| Lijiang | 2022 | 22 | 0 | 0 | 22 | YN-LJ-2112, YN-LJ-2203 |
| Wenshan | 2022, 2016 | 25 | 0 | 0 | 25 | YN-WS-1603 |
| Total | 2013~2022 | 515 | 260 | 1076 | 1851 |
| Population/Season | Sample Size | Positive Cases | Detection Rate |
|---|---|---|---|
| Fattening Pig | 1076 | 93 | 8.64% |
| Weaned Piglet | 515 | 321 | 62.3% |
| Suckling Sow | 260 | 136 | 52.3% |
| Spring | 447 | 275 | 61.5% |
| Summer | 765 | 97 | 12.7% |
| Fall | 59 | 249 | 23.7% |
| Winter | 390 | 129 | 33.1% |
| Mutation Site | Amino Acid Mutation | Mutation Site | Amino Acid Mutation | Mutation Site | Amino Acid Mutation |
|---|---|---|---|---|---|
| 58 | S→L | 123 | S→L | 127 | F→S |
| 166 | A→V | 218 | P→L | 220 | I→S |
| 237 | Y→C | 240 | T→I | 247 | K→R |
| 290 | P→H | 302 | P→L | 334 | S→P |
| 343 | E→Q | 389 | I→T | 412 | Q→L |
| 414 | S→F | 428 | R→K | 462–463 | PS→LF |
| 471 | T→M | 504 | I→T | 527 | L→F |
| 584 | R→S | 687 | N→D | 719 | R→W |
| 721 | Q deletion | 744 | S→P | 772 | E→G |
| 832 | P→L | 852 | T→I | 862 | T→M |
| 906 | L→Q | 911 | R→H | 922 | A→V |
| 932 | T→I | 941 | R→C | 945 | L insertion |
| 959 | R→L | 1026 | S→A | 1029 | N→T |
| 1146 | L→I | 1155 | G→D | 1214 | S→R |
| 1259 | Y→H | 1265 | S→F | 1283 | H→Y |
| 1284 | I insertion | 1285 | Q deletion | 1286 | H→Y |
| 1291 | C→S | 1303 | H→Y | 1313–1314 | SL→LF |
| 1339 | V→A |
| Mutation Site | Amino Acid Mutation | Mutation Site | Amino Acid Mutation | Mutation Site | Amino Acid Mutation |
|---|---|---|---|---|---|
| 453 | H→L | 462 | P→L | 579 | S→F |
| 875 | S→L | 902 | A→V | 911 | R→H |
| 947 | Q→L | 959 | R→L | 983 | I→T |
| 1259 | Y→H | 1280 | S→P |
Disclaimer/Publisher’s Note: The statements, opinions and data contained in all publications are solely those of the individual author(s) and contributor(s) and not of MDPI and/or the editor(s). MDPI and/or the editor(s) disclaim responsibility for any injury to people or property resulting from any ideas, methods, instructions or products referred to in the content. |
© 2025 by the authors. Licensee MDPI, Basel, Switzerland. This article is an open access article distributed under the terms and conditions of the Creative Commons Attribution (CC BY) license (https://creativecommons.org/licenses/by/4.0/).
Share and Cite
Zhu, P.; Yuan, H.; Shu, X.; Li, X.; Cui, Y.; Gao, L.; Yan, R.; Yu, T.; Song, C.; Yao, J. Epidemiological Study and Genetic Diversity Assessment of Porcine Epidemic Diarrhea Virus (PEDV) in Yunnan Province, China. Viruses 2025, 17, 264. https://doi.org/10.3390/v17020264
Zhu P, Yuan H, Shu X, Li X, Cui Y, Gao L, Yan R, Yu T, Song C, Yao J. Epidemiological Study and Genetic Diversity Assessment of Porcine Epidemic Diarrhea Virus (PEDV) in Yunnan Province, China. Viruses. 2025; 17(2):264. https://doi.org/10.3390/v17020264
Chicago/Turabian StyleZhu, Pei, Hong Yuan, Xianghua Shu, Xue Li, Yaoxing Cui, Lin Gao, Rui Yan, Taoying Yu, Chunlian Song, and Jun Yao. 2025. "Epidemiological Study and Genetic Diversity Assessment of Porcine Epidemic Diarrhea Virus (PEDV) in Yunnan Province, China" Viruses 17, no. 2: 264. https://doi.org/10.3390/v17020264
APA StyleZhu, P., Yuan, H., Shu, X., Li, X., Cui, Y., Gao, L., Yan, R., Yu, T., Song, C., & Yao, J. (2025). Epidemiological Study and Genetic Diversity Assessment of Porcine Epidemic Diarrhea Virus (PEDV) in Yunnan Province, China. Viruses, 17(2), 264. https://doi.org/10.3390/v17020264

