Spontaneous Lethal Outbreak of Influenza A Virus Infection in Vaccinated Sows on Two Farms Suggesting the Occurrence of Vaccine-Associated Enhanced Respiratory Disease with Eosinophilic Lung Pathology
Abstract
1. Introduction
2. Materials and Methods
2.1. Animals
2.2. Post-Mortem Examination
2.3. Bacteriological Examination of Lung Tissue
2.4. Molecular Biological Diagnostic of Viral Pathogens
2.5. Histopathology
2.5.1. Quantitative Evaluation of Peribronchial and -Bronchiolar Eosinophils in Normal and Inflamed Lungs
2.5.2. Immunohistochemistry
2.5.3. Evaluation of Extracellular Traps (ETs) in Affected Lungs of Sows
3. Results
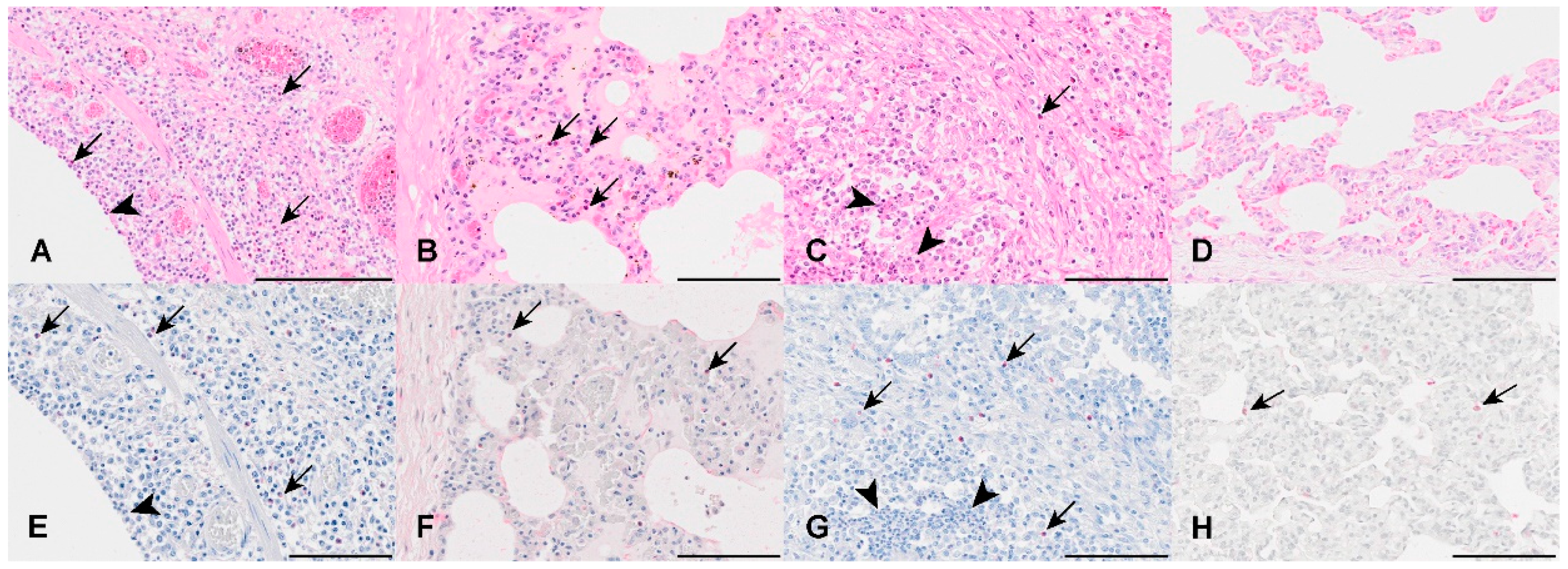
3.1. Gross and Histopathological Findings
3.2. Quantification of Neutrophil Extracellular Traps (NETs) in Lung Tissue Sections
3.3. Quantification of Eosinophilic Granulocytes in Sirius Red-Stained Lung Tissue Sections
3.4. Results of Immunohistochemistry for EPO
3.5. Phenotyping of Pulmonary Inflammatory Cell Infiltrate
3.6. Immunohistochemical Detection of IAV NP Antigen in Lung Tissue
3.7. Virological and Bacteriological Results
4. Discussion
5. Conclusions
Author Contributions
Funding
Institutional Review Board Statement
Informed Consent Statement
Data Availability Statement
Conflicts of Interest
Appendix A
| Score | Autolysis | Necrosis/Regeneration (Bronchi/Bronchioli) | Extent of Bronchiolitis/Bronchitis | Edema | Severity of Peribronchiolar Cuffing | Severity of Perivascular Infiltrates | |
|---|---|---|---|---|---|---|---|
| evaluated parameters | median changes of epithelium (% of circumference) | affection of airways | severity and distribution | thickness of cuffing, independent from no. of affected airways | thickness of cuffing, independent from no. of affected vessels | ||
| 0 | no | no changes | no changes | none | none | none | |
| 1 | mild | ≤25% | ≤25% | mild focal | ≤5 cell layers | 1–2 cell layers | |
| 2 | moderate | 26–50% | 26–50% | moderate, locally extensive OR mild to moderate, multifocal | 6–10 cell layers | 3–5 cell layers | |
| 3 | severe | 51–75% | 51–75% | severe, diffuse | >10 cell layers | >5 cell layers | |
| 4 | ≥75% | ≥75% |
| Farm | Animal No | Autolysis | Necrosis (Bronchi/Bronchioli) | Bronchitis/Bronchiolitis | Epithelial Regeneration | Peribronchiolar Cuffing | Alveolar Edema | Alveolar Hemorrhage | Type II Hyperplasia | Perivascular Infiltrates | Vascular Lesions |
|---|---|---|---|---|---|---|---|---|---|---|---|
| A | 1 | 1 | 1 | 4 | 0 | 1 | 1 | 2 | 1 | 1 | 0 |
| 2 | 3 | 4 | 4 | 0 | 3 | 3 | 2 | 0 | 0 | 0 | |
| 3 | 1 | 4 | 3 | 0 | 3 | 2 | 2 | 0 | 3 | 0 | |
| B | 1 | 2 | 0 | 2 | 0 | 1 | 3 | 3 | 0 | 2 | 0 |
| 2 | 2 | 2 | 2 | 0 | 1 | 3 | 3 | 0 | 2 | 0 | |
| 3 | 1 | 3 | 1 | 0 | 2 | 2 | 2 | 0 | 3 | 0 | |
| C | 1 | 1 | 2 | 3 | 0 | 1 | 1 | 1 | 0 | 1 | 1 |
| D | 1 | 0 | 0 | 0 | 0 | 1 | 1 | 1 | 1 | 0 | 0 |
| E | 1 | 0 | 0 | 0 | 0 | 0 | 2 | 0 | 0 | 0 | 0 |
| F | 1 | 2 | 2 | 3 | 1 | 3 | 2 | 0 | 1 | 0 | 0 |
| 2 | 0 | 1 | 1 | 1 | 1 | 2 | 1 | 1 | 0 | 0 | |
| G | 1 | 0 | 2 | 4 | 1 | 3 | 0 | 0 | 1 | 3 | 1 |
| H | 1 | 2 | NE | 4 | 0 | 0 | 3 | 1 | 0 | 0 | 0 |
| 2 | 1 | 3 | 4 | 1 | 3 | 2 | 1 | 1 | 1 | 1 | |
| 3 | 1 | 3 | 3 | 0 | 3 | 1 | 0 | 1 | 0 | 1 | |
| 4 | 1 | 2 | 4 | 1 | 1 | 1 | 2 | 1 | 2 | 1 | |
| I | 1 | 1 | 2 | 4 | 1 | 1 | 1 | 0 | 1 | 1 | 1 |
| J | 1 | 1 | 1 | 3 | 1 | 2 | 1 | 2 | 1 | 1 | 1 |
| RIZ | 1 | 0 | 0 | 0 | 0 | 0 | 0 | 0 | 0 | 0 | 0 |
| 2 | 0 | 0 | 0 | 0 | 0 | 0 | 0 | 0 | 0 | 0 | |
| 3 | 0 | 0 | 0 | 0 | 0 | 0 | 0 | 0 | 0 | 0 | |
| 4 | 0 | 0 | 0 | 0 | 0 | 0 | 0 | 0 | 0 | 0 | |
| 5 | 0 | 0 | 0 | 0 | 0 | 0 | 0 | 0 | 0 | 0 | |
| 6 | 0 | 0 | 0 | 0 | 0 | 1 | 0 | 0 | 0 | 0 |
| Farm | Animal No. | Total SR+ Count | Total Area (mm2) | SR+/Area (1/mm2) |
|---|---|---|---|---|
| A | 1 | 10676 | 128.69 | 82.96 |
| 2 | 16745 | 132.41 | 126.46 | |
| 3 | 2916 | 92.16 | 31.64 | |
| B | 1 | 5571 | 222.41 | 25.05 |
| 2 | 1649 | 134.70 | 12.24 | |
| 3 | Not evaluable | |||
| C | 1 | 1325 | 116.35 | 11.39 |
| D | 1 | 421 | 155.07 | 2.71 |
| E | 1 | 679 | 159.84 | 4.25 |
| F | 1 | 4879 | 161.02 | 30.30 |
| 2 | 1169 | 167.57 | 6.98 | |
| G | 1 | 2823 | 156.38 | 18.05 |
| H | 1 | 200 | 145.14 | 1.38 |
| 2 | 54 | 361.37 | 0.15 | |
| 3 | 1677 | 392.43 | 4.27 | |
| 4 | 2608 | 99.32 | 26.26 | |
| I | 1 | 723 | 249.96 | 2.89 |
| J | 1 | 1142 | 138.11 | 8.27 |
| RIZ | 1 | 407 | 146.15 | 2.78 |
| 2 | 120 | 65.57 | 1.83 | |
| 3 | 307 | 159.75 | 1.92 | |
| 4 | 221 | 99.30 | 2.23 | |
| 5 | 3127 | 255.68 | 12.23 | |
| 6 | 734 | 95.72 | 7.67 | |


| IHC Score | Immunoreactive Cells |
|---|---|
| 0 | none |
| 1 | rare |
| 2 | low numbers |
| 3 | moderate numbers |
| 4 | high numbers |
| Farm | Animal No. | IAV | CD3 | CD20 | Iba-1 |
|---|---|---|---|---|---|
| A | 1 | 0 | 3 | 3 | 4 |
| 2 | 0 | 2 | 1 | 4 | |
| 3 | 0 | 4 | 2 | 4 | |
| B | 1 | 0 | 4 | 2 | 3 |
| 2 | 0 | 3 | 2 | 2 | |
| 3 | 0 | 4 | 3 | 4 | |
| C | 1 | 0 | 2 | 1 | 4 |
| D | 1 | 0 | 2 | 2 | 4 |
| E | 1 | 0 | 2 | 1 | 4 |
| F | 1 | 3 | 4 | 2 | 3 |
| 2 | 1 | 3 | 2 | 3 | |
| G | 1 | 1 | 3 | 3 | 4 |
| H | 1 | 0 | 2 | 2 | 3 |
| 2 | 0 | 2 | 3 | 4 | |
| 3 | 0 | 3 | 2 | 4 | |
| 4 | 0 | 2 | 2 | 4 | |
| I | 1 | 0 | 3 | 2 | 4 |
| J | 1 | 0 | 3 | 2 | 3 |
| RIZ | 1 | 0 | 2 | 2 | 3 |
| 2 | 0 | 2 | 2 | 3 | |
| 3 | 0 | 2 | 2 | 2 | |
| 4 | 0 | 3 | 2 | 3 | |
| 5 | 0 | 3 | 2 | 3 | |
| 6 | 0 | 3 | 2 | 2 |
References
- Beaudoin, A.; Johnson, S.; Davies, P.; Bender, J.; Gramer, M. Characterization of influenza a outbreaks in Minnesota swine herds and measures taken to reduce the risk of zoonotic transmission. Zoonoses Public Health 2012, 59, 96–106. [Google Scholar] [CrossRef] [PubMed]
- Li, Y.; Robertson, I. The epidemiology of swine influenza. Anim. Dis. 2021, 1, 21. [Google Scholar] [CrossRef] [PubMed]
- Rose, N.; Hervé, S.; Eveno, E.; Barbier, N.; Eono, F.; Dorenlor, V.; Andraud, M.; Camsusou, C.; Madec, F.; Simon, G. Dynamics of influenza A virus infections in permanently infected pig farms: Evidence of recurrent infections, circulation of several swine influenza viruses and reassortment events. Vet. Res. 2013, 44, 72. [Google Scholar] [CrossRef] [PubMed]
- van Reeth, K.; Vincent, A.L. Diseases of swine—Influenza viruses. In Disease of Swine, 11th ed.; Zimmermann, J.J., Karriker, L.A., Ramirez, A., Schwartz, K.J., Stevenson, G.W., Zhang, J., Eds.; John Wiley & Sons, Ltd.: Hoboken, NJ, USA, 2019; pp. 576–593. ISBN 978-1-119-35085-9. [Google Scholar]
- Harder, T.C.; Grosse Beilage, E.; Lange, E.; Meiners, C.; Döhring, S.; Pesch, S.; Noé, T.; Grund, C.; Beer, M.; Starick, E. Expanded cocirculation of stable subtypes, emerging lineages, and new sporadic reassortants of porcine influenza viruses in swine populations in Northwest Germany. J. Virol. 2013, 87, 10460–10476. [Google Scholar] [CrossRef] [PubMed]
- Henritzi, D.; Petric, P.P.; Lewis, N.S.; Graaf, A.; Pessia, A.; Starick, E.; Breithaupt, A.; Strebelow, G.; Luttermann, C.; Parker, L.M.K.; et al. Surveillance of European Domestic Pig Populations Identifies an Emerging Reservoir of Potentially Zoonotic Swine Influenza A Viruses. Cell Host Microbe 2020, 28, 614–627.e6. [Google Scholar] [CrossRef] [PubMed]
- Simon, G.; Larsen, L.E.; Dürrwald, R.; Foni, E.; Harder, T.; Van Reeth, K.; Markowska-Daniel, I.; Reid, S.M.; Dan, A.; Maldonado, J.; et al. European surveillance network for influenza in pigs: Surveillance programs, diagnostic tools and Swine influenza virus subtypes identified in 14 European countries from 2010 to 2013. PLoS ONE 2014, 9, e115815. [Google Scholar] [CrossRef]
- Detmer, S.E. The clinical features, pathobiology, and epidemiology of influenza infections in pigs. In Animal Influenza; Wiley: Hoboken, NJ, USA, 2016; pp. 435–451. [Google Scholar]
- Janke, B.H. Influenza A virus infections in swine: Pathogenesis and diagnosis. Vet. Pathol. 2014, 51, 410–426. [Google Scholar] [CrossRef] [PubMed]
- Ma, W.; Vincent, A.L.; Lager, K.M.; Janke, B.H.; Henry, S.C.; Rowland, R.R.R.; Hesse, R.A.; Richt, J.A. Identification and characterization of a highly virulent triple reassortant H1N1 swine influenza virus in the United States. Virus Genes 2010, 40, 28–36. [Google Scholar] [CrossRef]
- Jung, K.; Ha, Y.; Chae, C. Pathogenesis of swine influenza virus subtype H1N2 infection in pigs. J. Comp. Pathol. 2005, 132, 179–184. [Google Scholar] [CrossRef]
- Lipatov, A.S.; Kwon, Y.K.; Sarmento, L.V.; Lager, K.M.; Spackman, E.; Suarez, D.L.; Swayne, D.E. Domestic pigs have low susceptibility to H5N1 highly pathogenic avian influenza viruses. PLoS Pathog. 2008, 4, e1000102. [Google Scholar] [CrossRef]
- Weingartl, H.M.; Albrecht, R.A.; Lager, K.M.; Babiuk, S.; Marszal, P.; Neufeld, J.; Embury-Hyatt, C.; Lekcharoensuk, P.; Tumpey, T.M.; García-Sastre, A.; et al. Experimental infection of pigs with the human 1918 pandemic influenza virus. J. Virol. 2009, 83, 4287–4296. [Google Scholar] [CrossRef] [PubMed]
- Winkler, G.C.; Cheville, N.F. Ultrastructural morphometric investigation of early lesions in the pulmonary alveolar region of pigs during experimental swine influenza infection. Am. J. Pathol. 1986, 122, 541–552. [Google Scholar] [PubMed]
- Kuiken, T.; van den Brand, J.; van Riel, D.; Pantin-Jackwood, M.; Swayne, D.E. Comparative pathology of select agent influenza a virus infections. Vet. Pathol. 2010, 47, 893–914. [Google Scholar] [CrossRef] [PubMed]
- Jung, T.; Choi, C.; Chae, C. Localization of Swine Influenza Virus in Naturally Infected Pigs. Vet. Pathol. 2002, 39, 10–16. [Google Scholar] [CrossRef] [PubMed]
- Vincent, L.L.; Janke, B.H.; Paul, P.S.; Halbur, P.G. A monoclonal-antibody-based immunohistochemical method for the detection of swine influenza virus in formalin-fixed, paraffin-embedded tissues. J. Vet. Diagn. Investig. 1997, 9, 191–195. [Google Scholar] [CrossRef] [PubMed]
- Mancera Gracia, J.C.; Pearce, D.S.; Masic, A.; Balasch, M. Influenza A Virus in Swine: Epidemiology, Challenges and Vaccination Strategies. Front. Vet. Sci. 2020, 7, 647. [Google Scholar] [CrossRef] [PubMed]
- Van Reeth, K.; Gracia, J.C.M.; Trus, I.; Sys, L.; Claes, G.; Versnaeyen, H.; Cox, E.; Krammer, F.; Qiu, Y. Heterologous prime-boost vaccination with H3N2 influenza viruses of swine favors cross-clade antibody responses and protection. NPJ Vaccines 2017, 2, 1–10. [Google Scholar] [CrossRef] [PubMed]
- Gauger, P.C.; Vincent, A.L.; Loving, C.L.; Henningson, J.N.; Lager, K.M.; Janke, B.H.; Kehrli, M.E.; Roth, J.A. Kinetics of lung lesion development and pro-inflammatory cytokine response in pigs with vaccine-associated enhanced respiratory disease induced by challenge with pandemic (2009) A/H1N1 influenza virus. Vet. Pathol. 2012, 49, 900–912. [Google Scholar] [CrossRef]
- Gauger, P.C.; Vincent, A.L.; Loving, C.L.; Lager, K.M.; Janke, B.H.; Kehrli, M.E.; Roth, J.A. Enhanced pneumonia and disease in pigs vaccinated with an inactivated human-like (δ-cluster) H1N2 vaccine and challenged with pandemic 2009 H1N1 influenza virus. Vaccine 2011, 29, 2712–2719. [Google Scholar] [CrossRef]
- Holzer, B.; Martini, V.; Edmans, M.; Tchilian, E. T and B Cell Immune Responses to Influenza Viruses in Pigs. Front. Immunol. 2019, 10, 98. [Google Scholar] [CrossRef]
- Souza, C.K.; Rajão, D.S.; Sandbulte, M.R.; Lopes, S.; Lewis, N.S.; Loving, C.L.; Gauger, P.C.; Vincent, A.L. The type of adjuvant in whole inactivated influenza a virus vaccines impacts vaccine-associated enhanced respiratory disease. Vaccine 2018, 36, 6103–6110. [Google Scholar] [CrossRef] [PubMed]
- Fingerhut, L.; Dolz, G.; de Buhr, N. What Is the Evolutionary Fingerprint in Neutrophil Granulocytes? Int. J. Mol. Sci. 2020, 21, 4523. [Google Scholar] [CrossRef] [PubMed]
- Brinkmann, V. Neutrophil Extracellular Traps Kill Bacteria. Science 2004, 303, 1532–1535. [Google Scholar] [CrossRef]
- de Buhr, N.; Reuner, F.; Neumann, A.; Stump-Guthier, C.; Tenenbaum, T.; Schroten, H.; Ishikawa, H.; Müller, K.; Beineke, A.; Hennig-Pauka, I.; et al. Neutrophil extracellular trap formation in the Streptococcus suis-infected cerebrospinal fluid compartment. Cell. Microbiol. 2017, 19, e12649. [Google Scholar] [CrossRef] [PubMed]
- de Buhr, N.; Bonilla, M.C.; Pfeiffer, J.; Akhdar, S.; Schwennen, C.; Kahl, B.C.; Waldmann, K.; Valentin-Weigand, P.; Hennig-Pauka, I.; von Köckritz-Blickwede, M. Degraded neutrophil extracellular traps promote the growth of Actinobacillus pleuropneumoniae. Cell Death Dis. 2019, 10, 657. [Google Scholar] [CrossRef] [PubMed]
- Hennig-Pauka, I.; Imker, R.; Mayer, L.; Brügmann, M.; Werckenthin, C.; Weber, H.; Menrath, A.; de Buhr, N. From Stable to Lab—Investigating Key Factors for Sudden Deaths Caused by Streptococcus suis. Pathogens 2019, 8, 249. [Google Scholar] [CrossRef]
- Lassnig, S.; Hennig-Pauka, I.; Bonilla, M.C.; Mörgelin, M.; Imker, R.; von Köckritz-Blickwede, M.; de Buhr, N. Impact of bronchoalveolar lavage from influenza A virus diseased pigs on neutrophil functions and growth of co-infecting pathogenic bacteria. Front. Immunol. 2024, 15, 1325269. [Google Scholar] [CrossRef]
- Narasaraju, T.; Yang, E.; Samy, R.P.; Ng, H.H.; Poh, W.P.; Liew, A.-A.; Phoon, M.C.; van Rooijen, N.; Chow, V.T. Excessive Neutrophils and Neutrophil Extracellular Traps Contribute to Acute Lung Injury of Influenza Pneumonitis. Am. J. Pathol. 2011, 179, 199–210. [Google Scholar] [CrossRef]
- Goldmann, O.; Medina, E. The expanding world of extracellular traps: Not only neutrophils but much more. Front. Immunol. 2012, 3, 420. [Google Scholar] [CrossRef]
- Bigay, J.; Le Grand, R.; Martinon, F.; Maisonnasse, P. Vaccine-associated enhanced disease in humans and animal models: Lessons and challenges for vaccine development. Front. Microbiol. 2022, 13, 932408. [Google Scholar] [CrossRef]
- Tabynov, K.; Sansyzbay, A.; Tulemissova, Z.; Tabynov, K.; Dhakal, S.; Samoltyrova, A.; Renukaradhya, G.J.; Mambetaliyev, M. Inactivated porcine reproductive and respiratory syndrome virus vaccine adjuvanted with MontanideTM Gel 01 ST elicits virus-specific cross-protective inter-genotypic response in piglets. Vet. Microbiol. 2016, 192, 81–89. [Google Scholar] [CrossRef] [PubMed]
- Goodell, C.K.; Zhang, J.; Strait, E.; Harmon, K.; Patnayak, D.; Otterson, T.; Culhane, M.; Christopher-Hennings, J.; Clement, T.; Leslie-Steen, P.; et al. Ring test evaluation of the detection of influenza A virus in swine oral fluids by real-time reverse-transcription polymerase chain reaction and virus isolation. Can. J. Vet. Res. 2016, 80, 12–20. [Google Scholar] [PubMed]
- Wehrend, A.; Hetzel, U.; Huchzermeyer, S.; Klein, C.; Bostedt, H. Sirius red is able to selectively stain eosinophil granulocytes in bovine, ovine and equine cervical tissue. Anat. Histol. Embryol. 2004, 33, 180–182. [Google Scholar] [CrossRef] [PubMed]
- de Buhr, N.; Martens, A.; Meurer, M.; Bonilla, M.C.; Söbbeler, F.; Twele, L.; Neudeck, S.; Wendt, M.; Beineke, A.; Kästner, S.; et al. In vivo oxygen measurement in cerebrospinal fluid of pigs to determine physiologic and pathophysiologic oxygen values during CNS infections. BMC Neurosci. 2021, 22, 45. [Google Scholar] [CrossRef] [PubMed]
- Gauger, P.C.; Loving, C.L.; Khurana, S.; Lorusso, A.; Perez, D.R.; Kehrli, M.E.; Roth, J.A.; Golding, H.; Vincent, A.L. Live attenuated influenza A virus vaccine protects against A(H1N1)pdm09 heterologous challenge without vaccine associated enhanced respiratory disease. Virology 2014, 471–473, 93–104. [Google Scholar] [CrossRef] [PubMed]
- Reineking, W.; Schauerte, I.E.; Junginger, J.; Hewicker-Trautwein, M. Sox9, Hopx, and survivin and tuft cell marker DCLK1 expression in normal canine intestine and in intestinal adenoma and adenocarcinoma. Vet. Pathol. 2022, 59, 415–426. [Google Scholar] [CrossRef]
- Becker, K.; Beythien, G.; de Buhr, N.; Stanelle-Bertram, S.; Tuku, B.; Kouassi, N.M.; Beck, S.; Zickler, M.; Allnoch, L.; Gabriel, G.; et al. Vasculitis and Neutrophil Extracellular Traps in Lungs of Golden Syrian Hamsters With SARS-CoV-2. Front. Immunol. 2021, 12, 1. [Google Scholar]
- Madec, F.; Kaiser, C.; Gourreau, J.M.; Martinat-Botte, F. Pathologic consequences of a severe influenza outbreak (swine virus A/H1N1) under natural conditions in the non-immune sow at the beginning of pregnancy. Comp. Immunol. Microbiol. Infect. Dis. 1989, 12, 17–27. [Google Scholar] [CrossRef]
- Vincent, A.L.; Perez, D.R.; Rajao, D.; Anderson, T.K.; Abente, E.J.; Walia, R.R.; Lewis, N.S. Influenza A virus vaccines for swine. Vet. Microbiol. 2017, 206, 35–44. [Google Scholar] [CrossRef]
- Rothenberg, M.E.; Hogan, S.P. The eosinophil. Annu. Rev. Immunol. 2006, 24, 147–174. [Google Scholar] [CrossRef]
- Kanda, A.; Yun, Y.; Van Bui, D.; Nguyen, L.M.; Kobayashi, Y.; Suzuki, K.; Mitani, A.; Sawada, S.; Hamada, S.; Asako, M.; et al. The multiple functions and subpopulations of eosinophils in tissues under steady-state and pathological conditions. Allergol. Int. 2021, 70, 9–18. [Google Scholar] [CrossRef] [PubMed]
- Mesnil, C.; Raulier, S.; Paulissen, G.; Xiao, X.; Birrell, M.A.; Pirottin, D.; Janss, T.; Starkl, P.; Ramery, E.; Henket, M.; et al. Lung-resident eosinophils represent a distinct regulatory eosinophil subset. J. Clin. Investig. 2016, 126, 3279–3295. [Google Scholar] [CrossRef] [PubMed]
- Weller, P.F.; Spencer, L.A. Functions of tissue-resident eosinophils. Nat. Rev. Immunol. 2017, 17, 746–760. [Google Scholar] [CrossRef] [PubMed]
- Kanda, A.; Yasutaka, Y.; Van Bui, D.; Suzuki, K.; Sawada, S.; Kobayashi, Y.; Asako, M.; Iwai, H. Multiple Biological Aspects of Eosinophils in Host Defense, Eosinophil-Associated Diseases, Immunoregulation, and Homeostasis: Is Their Role Beneficial, Detrimental, Regulator, or Bystander? Biol. Pharm. Bull. 2020, 43, 20–30. [Google Scholar] [CrossRef] [PubMed]
- Fornhem, C.; Peterson, C.G.; Alving, K. Isolation and characterization of porcine cationic eosinophil granule proteins. Int. Arch. Allergy Immunol. 1996, 110, 132–142. [Google Scholar] [CrossRef] [PubMed]
- Fornhem, C.; Kumlin, M.; Lundberg, J.M.; Alving, K. Allergen-induced late-phase airways obstruction in the pig: Mediator release and eosinophil recruitment. Eur. Respir. J. 1995, 8, 1100–1109. [Google Scholar] [CrossRef] [PubMed]
- Wymore Brand, M.; Anderson, T.K.; Kitikoon, P.; Brian Kimble, J.; Otis, N.; Gauger, P.C.; Souza, C.K.; Kaplan, B.; Mogler, M.; Strait, E.; et al. Bivalent hemagglutinin and neuraminidase influenza replicon particle vaccines protect pigs against influenza a virus without causing vaccine associated enhanced respiratory disease. Vaccine 2022, 40, 5569–5578. [Google Scholar] [CrossRef] [PubMed]
- Graaf-Rau, A.; Hennig, C.; Lillie-Jaschniski, K.; Koechling, M.; Stadler, J.; Boehmer, J.; Ripp, U.; Pohlmann, A.; Schwarz, B.-A.; Beer, M.; et al. Emergence of swine influenza A virus, porcine respirovirus 1 and swine orthopneumovirus in porcine respiratory disease in Germany. Emerg. Microbes Infect. 2023, 12, 2239938. [Google Scholar] [CrossRef] [PubMed]
- Castelán-Vega, J.A.; Magaña-Hernández, A.; Jiménez-Alberto, A.; Ribas-Aparicio, R.M. The hemagglutinin of the influenza A(H1N1)pdm09 is mutating towards stability. Adv. Appl. Bioinform. Chem. 2014, 7, 37–44. [Google Scholar]
- Ebenig, A.; Muraleedharan, S.; Kazmierski, J.; Todt, D.; Auste, A.; Anzaghe, M.; Gömer, A.; Postmus, D.; Gogesch, P.; Niles, M.; et al. Vaccine-associated enhanced respiratory pathology in COVID-19 hamsters after TH2-biased immunization. Cell Rep. 2022, 40, 111214. [Google Scholar] [CrossRef]
- Graham, B.S. Rapid COVID-19 vaccine development. Science 2020, 368, 945–946. [Google Scholar] [CrossRef] [PubMed]
- Ruckwardt, T.J.; Morabito, K.M.; Graham, B.S. Immunological Lessons from Respiratory Syncytial Virus Vaccine Development. Immunity 2019, 51, 429–442. [Google Scholar] [CrossRef] [PubMed]
- Waris, M.E.; Tsou, C.; Erdman, D.D.; Zaki, S.R.; Anderson, L.J. Respiratory synctial virus infection in BALB/c mice previously immunized with formalin-inactivated virus induces enhanced pulmonary inflammatory response with a predominant Th2-like cytokine pattern. J. Virol. 1996, 70, 2852–2860. [Google Scholar] [CrossRef] [PubMed]
- Gartlan, C.; Tipton, T.; Salguero, F.J.; Sattentau, Q.; Gorringe, A.; Carroll, M.W. Vaccine-Associated Enhanced Disease and Pathogenic Human Coronaviruses. Front. Immunol. 2022, 13, 882972. [Google Scholar] [CrossRef] [PubMed]
- Larrañaga, J.M.; Marcos, P.J.; Pombo, F.; Otero-González, I. Acute eosinophilic pneumonia as a complication of influenza A (H1N1) pulmonary infection. Sarcoidosis Vasc. Diffus. Lung Dis. 2016, 33, 95–97. [Google Scholar]
- Terai, M.; Honda, T.; Yamamoto, S.; Yoshida, M.; Tsuchiya, N.; Moriyama, Y.; Matsui, T.; Tokutake, S.; Suzuki, E.; Shirato, Y.; et al. Early induction of interleukin-5 and peripheral eosinophilia in acute pneumonia in Japanese children infected by pandemic 2009 influenza A in the Tokyo area. Microbiol. Immunol. 2011, 55, 341–346. [Google Scholar] [CrossRef] [PubMed]
- Jeon, E.J.; Kim, K.H.; Min, K.H. Acute eosinophilic pneumonia associated with 2009 influenza A (H1N1). Thorax 2010, 65, 268–270. [Google Scholar] [CrossRef] [PubMed]
- Chang, L.A.; Choi, A.; Rathnasinghe, R.; Warang, P.; Noureddine, M.; Jangra, S.; Chen, Y.; De Geest, B.G.; Schotsaert, M. Influenza breakthrough infection in vaccinated mice is characterized by non-pathological lung eosinophilia. Front. Immunol. 2023, 14, 1217181. [Google Scholar] [CrossRef] [PubMed]
- Choi, A.; Ibañez, L.I.; Strohmeier, S.; Krammer, F.; García-Sastre, A.; Schotsaert, M. Non-sterilizing, Infection-Permissive Vaccination With Inactivated Influenza Virus Vaccine Reshapes Subsequent Virus Infection-Induced Protective Heterosubtypic Immunity From Cellular to Humoral Cross-Reactive Immune Responses. Front. Immunol. 2020, 11, 1166. [Google Scholar] [CrossRef]
- Rajão, D.S.; Chen, H.; Perez, D.R.; Sandbulte, M.R.; Gauger, P.C.; Loving, C.L.; Shanks, G.D.; Vincent, A. Vaccine-associated enhanced respiratory disease is influenced by haemagglutinin and neuraminidase in whole inactivated influenza virus vaccines. J. Gen. Virol. 2016, 97, 1489–1499. [Google Scholar] [CrossRef]
- de Souza, C.N.; Breda, L.C.D.; Khan, M.A.; de Almeida, S.R.; Câmara, N.O.S.; Sweezey, N.; Palaniyar, N. Alkaline pH promotes NADPH oxidase-independent neutrophil extracellular trap formation: A matter of mitochondrial reactive oxygen species generation and citrullination and cleavage of histone. Front. Immunol. 2018, 8, 1849. [Google Scholar] [CrossRef] [PubMed]
- Macchia, I.; La Sorsa, V.; Urbani, F.; Moretti, S.; Antonucci, C.; Afferni, C.; Schiavoni, G. Eosinophils as potential biomarkers in respiratory viral infections. Front. Immunol. 2023, 14, 1170035. [Google Scholar] [CrossRef] [PubMed]
- Samarasinghe, A.E.; Melo, R.C.N.; Duan, S.; LeMessurier, K.S.; Liedmann, S.; Surman, S.L.; Lee, J.J.; Hurwitz, J.L.; Thomas, P.G.; McCullers, J.A. Eosinophils Promote Antiviral Immunity in Mice Infected with Influenza A Virus. J. Immunol. 2017, 198, 3214–3226. [Google Scholar] [CrossRef]
- Knudson, C.J.; Hartwig, S.M.; Meyerholz, D.K.; Varga, S.M. RSV vaccine-enhanced disease is orchestrated by the combined actions of distinct CD4 T cell subsets. PLoS Pathog. 2015, 11, e1004757. [Google Scholar] [CrossRef] [PubMed]
- Narayana Moorthy, A.; Narasaraju, T.; Rai, P.; Perumalsamy, R.; Tan, K.B.; Wang, S.; Engelward, B.; Chow, V.T.K. In vivo and in vitro studies on the roles of neutrophil extracellular traps during secondary pneumococcal pneumonia after primary pulmonary influenza infection. Front. Immunol. 2013, 4, 56. [Google Scholar] [CrossRef] [PubMed]
- Tripathi, S.; Verma, A.; Kim, E.-J.; White, M.R.; Hartshorn, K.L. LL-37 modulates human neutrophil responses to influenza A virus. J. Leukoc. Biol. 2014, 96, 931–938. [Google Scholar] [CrossRef] [PubMed]
- Chan, L.L.Y.; Nicholls, J.M.; Peiris, J.S.M.; Lau, Y.L.; Chan, M.C.W.; Chan, R.W.Y. Host DNA released by NETosis in neutrophils exposed to seasonal H1N1 and highly pathogenic H5N1 influenza viruses. Respir. Res. 2020, 21, 160. [Google Scholar] [CrossRef] [PubMed]
- Saffarzadeh, M.; Juenemann, C.; Queisser, M.A.; Lochnit, G.; Barreto, G.; Galuska, S.P.; Lohmeyer, J.; Preissner, K.T. Neutrophil Extracellular Traps Directly Induce Epithelial and Endothelial Cell Death: A Predominant Role of Histones. PLoS ONE 2012, 7, e32366. [Google Scholar] [CrossRef] [PubMed]
- Abrams, S.T.; Zhang, N.; Manson, J.; Liu, T.; Dart, C.; Baluwa, F.; Wang, S.S.; Brohi, K.; Kipar, A.; Yu, W.; et al. Circulating histones are mediators of trauma-associated lung injury. Am. J. Respir. Crit. Care Med. 2013, 187, 160–169. [Google Scholar] [CrossRef]
- Xu, J.; Zhang, X.; Pelayo, R.; Monestier, M.; Ammollo, C.T.; Semeraro, F.; Taylor, F.B.; Esmon, N.L.; Lupu, F.; Esmon, C.T. Extracellular histones are major mediators of death in sepsis. Nat. Med. 2009, 15, 1318–1321. [Google Scholar] [CrossRef]
- Twaddell, S.H.; Baines, K.J.; Grainge, C.; Gibson, P.G. The Emerging Role of Neutrophil Extracellular Traps in Respiratory Disease. Chest 2019, 156, 774–782. [Google Scholar] [CrossRef] [PubMed]
- Yousefi, S.; Gold, J.A.; Andina, N.; Lee, J.J.; Kelly, A.M.; Kozlowski, E.; Schmid, I.; Straumann, A.; Reichenbach, J.; Gleich, G.J.; et al. Catapult-like release of mitochondrial DNA by eosinophils contributes to antibacterial defense. Nat. Med. 2008, 14, 949–953. [Google Scholar] [CrossRef] [PubMed]
- Gevaert, E.; Zhang, N.; Krysko, O.; Lan, F.; Holtappels, G.; De Ruyck, N.; Nauwynck, H.; Yousefi, S.; Simon, H.-U.; Bachert, C. Extracellular eosinophilic traps in association with Staphylococcus aureus at the site of epithelial barrier defects in patients with severe airway inflammation. J. Allergy Clin. Immunol. 2017, 139, 1849–1860.e6. [Google Scholar] [CrossRef] [PubMed]
- Omokawa, A.; Ueki, S.; Kikuchi, Y.; Takeda, M.; Asano, M.; Sato, K.; Sano, M.; Ito, H.; Hirokawa, M. Mucus plugging in allergic bronchopulmonary aspergillosis: Implication of the eosinophil DNA traps. Allergol. Int. 2018, 67, 280–282. [Google Scholar] [CrossRef] [PubMed]
- de Buhr, N.; Bonilla, M.C.; Jimenez-Soto, M.; von Köckritz-Blickwede, M.; Dolz, G. Extracellular Trap Formation in Response to Trypanosoma cruzi Infection in Granulocytes Isolated From Dogs and Common Opossums, Natural Reservoir Hosts. Front. Microbiol. 2018, 9, 966. [Google Scholar] [CrossRef] [PubMed]
- Silveira, J.S.; Antunes, G.L.; Gassen, R.B.; Breda, R.V.; Stein, R.T.; Pitrez, P.M.; da Cunha, A.A. Respiratory syncytial virus increases eosinophil extracellular traps in a murine model of asthma. Asia Pac. Allergy 2019, 9, e32. [Google Scholar] [CrossRef]
- Yoshida, M.; Miyahara, Y.; Orimo, K.; Kono, N.; Narita, M.; Ohya, Y.; Matsumoto, K.; Nakagawa, S.; Ueki, S.; Morita, H.; et al. Eosinophil Extracellular Traps in the Casts of Plastic Bronchitis Associated With Influenza Virus Infection. Chest 2021, 160, 854–857. [Google Scholar] [CrossRef]




| Group | Farm | Animal no. | Age Group/ Stage of Production * | Sex | Weight [kg] | Origin |
|---|---|---|---|---|---|---|
| IAV sows | A | 1 | gilt | Female | 121 | Bakum |
| A | 2 | gilt | Female | 136 | Bakum | |
| A | 3 | gilt | Female | 134 | Bakum | |
| B | 1 | sow | Female | 289 | Bakum | |
| B | 2 | sow | Female | 239 | Bakum | |
| B | 3 | sow | Female | 231 | Bakum | |
| IAV pigs | C | 1 | Nursery pig | Male neutered | 6.3 | Bakum |
| D | 1 | Suckling piglet | Male neutered | 5.6 | Bakum | |
| E | 1 | Suckling piglet | Male neutered | 3.1 | Bakum | |
| F | 1 | Nursery pig | Male neutered | 20.2 | Pathology | |
| F | 2 | Fattening pig | Male neutered | 38.9 | Pathology | |
| G | 1 | Fattening pig | Male | 25 | Pathology | |
| APP | H | 1 | fattening pig | Female | 92 | Pathology |
| H | 2 | fattening pig | Male neutered | 52 | Pathology | |
| H | 3 | fattening pig | Male neutered | 70 | Pathology | |
| H | 4 | fattening pig | Female | 92 | Pathology | |
| I | 1 | fattening pig | Female | 34.6 | Pathology | |
| J | 1 | fattening pig | Male neutered | 32 | Pathology | |
| Healthy controls | RIZ | 1 | Nursery pig | Female | 13 | Pathology |
| RIZ | 2 | Nursery pig | Female | 14 | Pathology | |
| RIZ | 3 | Nursery pig | Male neutered | 14 | Pathology | |
| RIZ | 4 | Nursery pig | Female | 16 | Pathology | |
| RIZ | 5 | Nursery pig | Male neutered | 16 | Pathology | |
| RIZ | 6 | Nursery pig | Female | 15 | Pathology |
| Antigen | Host | Clonality | Company | Cat. No. | Pretreatment | Dilution |
|---|---|---|---|---|---|---|
| human CD3 | rabbit | polyclonal | Dako | A0452 | HIER 1 | 1:200 |
| human CD20 | rabbit | polyclonal | Invitrogen | PA5-16701 | HIER 1 | 1:300 |
| human eosinophilic peroxidase | rabbit | polyclonal | Abcam | ab238506 | HIER 2 | 1:2000 |
| human Iba-1 | rabbit | polyclonal | Wako | 019-19741 | HIER 1 | 1:500 |
| Influenza A nucleoprotein | mouse | monoclonal; clone HB65 | Kerafast | FCG013 | Proteinase K | 1:200 |
| Animal Number | IAV detected in Lung Tissue | Additional Findings in Other Organs |
|---|---|---|
| A1 | +H1avN1 | - |
| A2 | +Subtyping not successful | Lymphnode: PCV2 negative |
| A3 | + | Lymphnode: PCV2 negative Meninges: Streptococcus suis |
| B1 | + | Pleura/Peritoneum: β-haemolytic streptococci |
| B2 | + | Meninges: Pasteurella multocida |
| B3 | +H1avN2 | - |
Disclaimer/Publisher’s Note: The statements, opinions and data contained in all publications are solely those of the individual author(s) and contributor(s) and not of MDPI and/or the editor(s). MDPI and/or the editor(s) disclaim responsibility for any injury to people or property resulting from any ideas, methods, instructions or products referred to in the content. |
© 2024 by the authors. Licensee MDPI, Basel, Switzerland. This article is an open access article distributed under the terms and conditions of the Creative Commons Attribution (CC BY) license (https://creativecommons.org/licenses/by/4.0/).
Share and Cite
Reineking, W.; Hennig-Pauka, I.; Schröder, L.; Höner, U.; Schreiber, E.; Geiping, L.; Lassnig, S.; Bonilla, M.C.; Hewicker-Trautwein, M.; de Buhr, N. Spontaneous Lethal Outbreak of Influenza A Virus Infection in Vaccinated Sows on Two Farms Suggesting the Occurrence of Vaccine-Associated Enhanced Respiratory Disease with Eosinophilic Lung Pathology. Viruses 2024, 16, 955. https://doi.org/10.3390/v16060955
Reineking W, Hennig-Pauka I, Schröder L, Höner U, Schreiber E, Geiping L, Lassnig S, Bonilla MC, Hewicker-Trautwein M, de Buhr N. Spontaneous Lethal Outbreak of Influenza A Virus Infection in Vaccinated Sows on Two Farms Suggesting the Occurrence of Vaccine-Associated Enhanced Respiratory Disease with Eosinophilic Lung Pathology. Viruses. 2024; 16(6):955. https://doi.org/10.3390/v16060955
Chicago/Turabian StyleReineking, Wencke, Isabel Hennig-Pauka, Ludger Schröder, Ulf Höner, Elena Schreiber, Lukas Geiping, Simon Lassnig, Marta C. Bonilla, Marion Hewicker-Trautwein, and Nicole de Buhr. 2024. "Spontaneous Lethal Outbreak of Influenza A Virus Infection in Vaccinated Sows on Two Farms Suggesting the Occurrence of Vaccine-Associated Enhanced Respiratory Disease with Eosinophilic Lung Pathology" Viruses 16, no. 6: 955. https://doi.org/10.3390/v16060955
APA StyleReineking, W., Hennig-Pauka, I., Schröder, L., Höner, U., Schreiber, E., Geiping, L., Lassnig, S., Bonilla, M. C., Hewicker-Trautwein, M., & de Buhr, N. (2024). Spontaneous Lethal Outbreak of Influenza A Virus Infection in Vaccinated Sows on Two Farms Suggesting the Occurrence of Vaccine-Associated Enhanced Respiratory Disease with Eosinophilic Lung Pathology. Viruses, 16(6), 955. https://doi.org/10.3390/v16060955

