Natural Infection with Highly Pathogenic Avian Influenza A/H5N1 Virus in Pet Ferrets
Abstract
1. Introduction
2. Materials and Methods
2.1. Animals, Clinical Course and Treatment
2.2. Anatomopathological Examination
2.3. Histopathological Examination
2.4. Virological Tests
3. Results
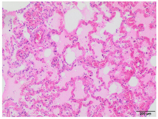
3.1. Anatomopathological and Histopathological Examination
3.2. Virological Tests
4. Discussion
5. Conclusions
Author Contributions
Funding
Institutional Review Board Statement
Informed Consent Statement
Data Availability Statement
Conflicts of Interest
References
- Szaluś-Jordanow, O.; Golke, A.; Dzieciątkowski, T.; Chrobak-Chmiel, D.; Rzewuska, M.; Czopowicz, M.; Sapierzyński, R.; Kardas, M.; Biernacka, K.; Mickiewicz, M.; et al. A Fatal A/H5N1 Avian Influenza Virus Infection in a Cat in Poland. Microorganisms 2023, 9, 2263. [Google Scholar] [CrossRef] [PubMed]
- Domańska-Blicharz, K.; Świętoń, E.; Świątalska, A.; Monne, I.; Fusaro, A.; Tarasiuk, K.; Wyrostek, K.; Styś-Fijoł, N.; Giza, A.; Pietruk, M.; et al. Outbreak of Highly Pathogenic Avian Influenza A(H5N1) Clade 2.3.4.4b Virus in Cats, Poland, June to July 2023. Eurosurveillance 2023, 28, 2300366. [Google Scholar] [CrossRef] [PubMed]
- Rabalski, L.; Milewska, A.; Pohlmann, A.; Gackowska, K.; Lepionka, T.; Szczepaniak, K.; Swiatalska, A.; Sieminska, I.; Arent, Z.; Beer, M.; et al. Emergence and Potential Transmission Route of Avian Influenza A (H5N1) Virus in Domestic Cats in Poland, June 2023. Eurosurveillance 2023, 28, 2300390. [Google Scholar] [CrossRef] [PubMed]
- Golke, A.; Dzieciątkowski, T.; Szaluś-Jordanow, O.; Jańczak, D.; Sapierzyński, R.; Moroz-Fik, A.; Frymus, T. Highly pathogenic A/H5N1 influenza virus infections in cats, ferrets and dogs in Poland and other countries. Mag. Weter. 2023, 4, 1–5. (In Polish) [Google Scholar]
- Songserm, T.; Amonsin, A.; Jam-on, R.; Sae-Heng, N.; Meemak, N.; Pariyothorn, N.; Payungporn, S.; Theamboonlers, A.; Poovorawan, Y. Avian Influenza H5N1 in Naturally Infected Domestic Cat. Emerg. Infect. Dis. 2006, 12, 681–683. [Google Scholar] [CrossRef] [PubMed]
- Szaluś-Jordanow, O.; Golke, A.; Dzieciątkowski, T.; Czopowicz, M.; Kardas, M.; Mickiewicz, M.; Moroz-Fik, A.; Łobaczewski, A.; Markowska-Daniel, I.; Frymus, T. Upper Respiratory Tract Disease in a Dog Infected by a Highly Pathogenic Avian A/H5N1Virus. Microorganisms 2024, 12, 689. [Google Scholar] [CrossRef] [PubMed]
- Reperant, L.A.; Rimmelzwaan, G.F.; Kuiken, T. Avian influenza viruses in mammals. Rev. Sci. Tech. 2009, 28, 137–159. [Google Scholar] [CrossRef] [PubMed]
- Zitzow, L.A.; Rowe, T.; Morken, T.; Shieh, W.J.; Zaki, S.; Katz, J.M. Pathogenesis of avian influenza A (H5N1) viruses in ferrets. J. Virol. 2002, 76, 4420–4429. [Google Scholar] [CrossRef] [PubMed]
- Sun, H.; Li, F.; Liu, Q.; Du, J.; Liu, L.; Sun, H.; Li, C.; Liu, J.; Zhang, X.; Yang, J.; et al. Mink is a highly susceptible host species to circulating human and avian influenza viruses. Emerg. Microbes Infect. 2021, 10, 472–480. [Google Scholar] [CrossRef]
- Smith, R.E.; Choudhary, S.; Ramirez, J.A. Ferrets as Models for Viral Respiratory Disease. Comp. Med. 2023, 73, 187–193. [Google Scholar] [CrossRef]
- Pramod, R.K.; Atul, P.K.; Pandey, M.; Anbazhagan, S.; Mhaske, S.T.; Barathidasan, R. Care, management, and use of ferrets in biomedical research. Lab. Anim. Res. 2024, 26, 10. [Google Scholar] [CrossRef] [PubMed]
- Agüero, M.; Monne, I.; Sánchez, A.; Zecchin, B.; Fusaro, A.; Ruano, M.J.; Del Valle Arrojo, M.; Fernández-Antonio, R.; Souto, A.M.; Tordable, P.; et al. Highly pathogenic avian influenza A(H5N1) virus infection in farmed minks, Spain, October 2022. Eurosurveillance 2023, 28, 2300001. [Google Scholar] [CrossRef]
- Lindh, E.; Lounela, H.; Ikonen, N.; Kantala, T.; Savolainen-Kopra, C.; Kauppinen, A.; Osterlund, P.; Kareinen, L.; Katz, A.; Nokireki, T.; et al. Highly pathogenic avian influenza A(H5N1) virus infection on multiple fur farms in the South and Central Ostrobothnia regions of Finland, July 2023. Eurosurveillance 2023, 28, 2300400. [Google Scholar] [CrossRef] [PubMed]
- Kirk, N.M.; Liang, Y.; Ly, H. Comparative Pathology of Animal Models for Influenza A Virus Infection. Pathogens 2023, 29, 35. [Google Scholar] [CrossRef] [PubMed]
- Basu Thakur, P.; Mrotz, V.J.; Maines, T.R.; Belser, J.A. Ferrets as a Mammalian Model to Study Influenza Virus-Bacteria Interactions. J. Infect. Dis. 2024, 14, 608–615. [Google Scholar] [CrossRef] [PubMed]
- Stefańska, I.; Dzieciatkowski, T.; Brydak, L.B.; Romanowska, M. Application of three duplex real-time PCR assays for simultaneous detection of human seasonal and avian influenza viruses. Arch. Virol. 2013, 158, 1743–1753. [Google Scholar] [CrossRef] [PubMed]
- Bodewes, R.; Kreijtz, J.H.; van Amerongen, G.; Fouchier, R.A.; Osterhaus, A.D.; Rimmelzwaan, G.F.; Kuiken, T. Pathogenesis of Influenza A/H5N1 virus infection in ferrets differs between intranasal and intratracheal routes of inoculation. Am. J. Pathol. 2011, 179, 30–36. [Google Scholar] [CrossRef] [PubMed]
- Pulit-Penaloza, J.A.; Brock, N.; Belser, J.A.; Sun, X.; Pappas, C.; Kieran, T.J.; Thakur, P.B.; Zeng, H.; Cui, D.; Frederick, J.; et al. Highly pathogenic avian influenza A(H5N1) virus of clade 2.3.4.4b isolated from a human case in Chile causes fatal disease and transmits between co-housed ferrets. Emerg. Microbes Infect. 2024, 17, 2332667. [Google Scholar] [CrossRef] [PubMed]
- Thiry, E.; Zicola, A.; Addie, D.; Egberink, H.; Hartmann, K.; Lutz, H.; Poulet, H.; Horzinek, M.C. Highly pathogenic avian influenza H5N1 virus in cats and other carnivores. Vet. Microbiol. 2007, 16, 25–31. [Google Scholar] [CrossRef]
- Thanawongnuwech, R.; Amonsin, A.; Tantilertcharoen, R.; Damrongwatanapokin, S.; Theamboonlers, A.; Payungporn, S.; Nanthapornphiphat, K.; Ratanamungklanon, S.; Tunak, E.; Songserm, T.; et al. Probable tiger-to-tiger transmission of avian influenza H5N1. Emerg. Infect. Dis. 2005, 11, 699–701. [Google Scholar] [CrossRef]
- Plaza, P.I.; Gamarra-Toledo, V.; Euguí, J.R.; Lambertucci, S.A. Recent Changes in Patterns of Mammal Infection with Highly Pathogenic Avian Influenza A(H5N1) Virus Worldwide. Emerg. Infect. Dis. 2024, 30, 444–452. [Google Scholar] [CrossRef] [PubMed]
- Plaza, P.I.; Gamarra-Toledo, V.; Rodríguez Euguí, J.; Rosciano, N.; Lambertucci, S.A. Pacific and Atlantic sea lion mortality caused by highly pathogenic Avian Influenza A(H5N1) in South America. Travel. Med. Infect. Dis. 2024, 8, 102712. [Google Scholar] [CrossRef] [PubMed]
- Leschnik, M.; Weikel, J.; Möstl, K.; Revilla-Fernández, S.; Wodak, E.; Bagó, Z.; Vanek, E.; Benetka, V.; Hess, M.; Thalhammer, J.G. Subclinical infection with avian influenza A (H5N1) virus in cats. Emerg. Infect. Dis. 2007, 13, 243–247. [Google Scholar] [CrossRef]
- Charostad, J.; Rezaei Zadeh Rukerd, M.; Mahmoudvand, S.; Bashash, D.; Hashemi, S.M.A.; Nakhaie, M.; Zandi, K. A comprehensive review of highly pathogenic avian influenza (HPAI) H5N1: An imminent threat at doorstep. Travel. Med. Infect. Dis. 2023, 55, 102638. [Google Scholar] [CrossRef] [PubMed]

| Number | Age | Laboratory Number | Type of Sample | Result | Ct for H5 Gene | Ct for N1 Gene |
|---|---|---|---|---|---|---|
| 1 | Adult (mother) | F5 | pharyngeal swab | (+) | 30.21 | 31.02 |
| 2 | Adult | F4 | pharyngeal swab | (+) | 27.14 | 27.32 |
| 3 | Young | F3 | pharyngeal swab | (+) | 34.78 | 34.90 |
| 4 | Young | F2 | pharyngeal swab | (+) | 28.54 | 28.72 |
| 5 | Young | F1 | lung | (+) | 25.62 | 26.03 |
| 6 | Young | F1 | liver | (+) | 31.54 | 32.00 |
| 7 | Young | F1 | spleen | (+) | 32.04 | 32.31 |
| 8 | Young | F1 | intestine | (+) | 34.23 | 34.71 |
| 9 | Young | F1 | brain | (+) | 34.55 | 34.83 |
| 10 | Young | F1 | heart | (+) | 34.12 | 34.62 |
| 11 | Young | F1 | trachea | (+) | 34.17 | 34.88 |
| 12 | Young | F1 | pancreas | (+) | 30.74 | 31.10 |
| 13 | Young | F1 | kidney | (−) | - | - |
Disclaimer/Publisher’s Note: The statements, opinions and data contained in all publications are solely those of the individual author(s) and contributor(s) and not of MDPI and/or the editor(s). MDPI and/or the editor(s) disclaim responsibility for any injury to people or property resulting from any ideas, methods, instructions or products referred to in the content. |
© 2024 by the authors. Licensee MDPI, Basel, Switzerland. This article is an open access article distributed under the terms and conditions of the Creative Commons Attribution (CC BY) license (https://creativecommons.org/licenses/by/4.0/).
Share and Cite
Golke, A.; Jańczak, D.; Szaluś-Jordanow, O.; Dzieciątkowski, T.; Sapierzyński, R.; Moroz-Fik, A.; Mickiewicz, M.; Frymus, T. Natural Infection with Highly Pathogenic Avian Influenza A/H5N1 Virus in Pet Ferrets. Viruses 2024, 16, 931. https://doi.org/10.3390/v16060931
Golke A, Jańczak D, Szaluś-Jordanow O, Dzieciątkowski T, Sapierzyński R, Moroz-Fik A, Mickiewicz M, Frymus T. Natural Infection with Highly Pathogenic Avian Influenza A/H5N1 Virus in Pet Ferrets. Viruses. 2024; 16(6):931. https://doi.org/10.3390/v16060931
Chicago/Turabian StyleGolke, Anna, Dawid Jańczak, Olga Szaluś-Jordanow, Tomasz Dzieciątkowski, Rafał Sapierzyński, Agata Moroz-Fik, Marcin Mickiewicz, and Tadeusz Frymus. 2024. "Natural Infection with Highly Pathogenic Avian Influenza A/H5N1 Virus in Pet Ferrets" Viruses 16, no. 6: 931. https://doi.org/10.3390/v16060931
APA StyleGolke, A., Jańczak, D., Szaluś-Jordanow, O., Dzieciątkowski, T., Sapierzyński, R., Moroz-Fik, A., Mickiewicz, M., & Frymus, T. (2024). Natural Infection with Highly Pathogenic Avian Influenza A/H5N1 Virus in Pet Ferrets. Viruses, 16(6), 931. https://doi.org/10.3390/v16060931

