Adaptation of Two Wild Bird-Origin H3N8 Avian Influenza Viruses to Mammalian Hosts
Abstract
1. Introduction
2. Materials and Methods
2.1. Viruses and Animals
2.2. Sequence Analysis
2.3. Animal Experiments
2.3.1. Pathogenicity Studies in Chickens
2.3.2. Pathogenicity Studies in Mice
2.3.3. Pathogenicity Studies in Guinea Pigs
2.3.4. Adaptation of the Virus to Mice
2.3.5. Pathogenicity Studies of Adapted Strains
2.4. Sequence Analysis of Adapted Strains
2.5. Statistical Analysis
3. Results
3.1. Sequence Analysis of the Two H3N8 AIV Strains Isolated from Wild Birds
3.2. Pathogenicity of the Two H3N8 Strains in Chickens
3.3. Pathogenicity of the Two H3N8 Strains in Mice
3.4. Pathogenicity of Two H3N8 Strains in Guinea Pigs
3.5. Molecular Characteristics of the Two Adapted Strains
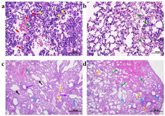
3.6. Pathogenicity of the Two Adapted Strains in Mice
4. Discussion
Supplementary Materials
Author Contributions
Funding
Institutional Review Board Statement
Informed Consent Statement
Data Availability Statement
Acknowledgments
Conflicts of Interest
References
- Webster, R.G.; Bean, W.J.; Gorman, O.T.; Chambers, T.M.; Kawaoka, Y. Evolution and ecology of influenza A viruses. Microbiol. Rev. 1992, 56, 152–179. [Google Scholar] [CrossRef] [PubMed]
- Alexander, D.J. An overview of the epidemiology of avian influenza. Vaccine 2007, 25, 5637–5644. [Google Scholar] [CrossRef] [PubMed]
- Wu, Y.; Wu, Y.; Tefsen, B.; Shi, Y.; Gao, G.F. Bat-derived influenza-like viruses H17N10 and H18N11. Trends Microbiol. 2014, 22, 183–191. [Google Scholar] [CrossRef] [PubMed]
- Pu, J.; Fan, Y.L.; Wang, Z.; Ma, B.; Brown, E.G.; Liu, J.H. Pathogenicity of H3N8 influenza viruses isolated from domestic ducks in chickens with or without Escherichia coli coinfections. Avian Dis. 2012, 56, 597–600. [Google Scholar] [CrossRef]
- Chambers, T.M. Equine Influenza. Cold Spring Harb. Perspect Med. 2022, 12, 1. [Google Scholar] [CrossRef]
- Cao, X.; Liu, X.; Zheng, S.; Xu, L.; Wu, H.; Liu, J. Isolation and characterization of an avian-origin H3N8 canine influenza virus from a dog in eastern China. Arch. Virol. 2018, 163, 1955–1960. [Google Scholar] [CrossRef]
- Jimenez-Bluhm, P.; Sepulveda, A.; Baumberger, C.; Di Pillo, F.; Ruiz, S.; Salazar, C.; Marambio, V.; Berrios, F.; Galdames, P.; Amaro, A.; et al. Evidence of influenza infection in dogs and cats in central Chile. Prev. Vet. Med. 2021, 191, 105349. [Google Scholar] [CrossRef]
- Karlsson, E.A.; Ip, H.S.; Hall, J.S.; Yoon, S.W.; Johnson, J.; Beck, M.A.; Webby, R.J.; Schultz-Cherry, S. Respiratory transmission of an avian H3N8 influenza virus isolated from a harbour seal. Nat. Commun. 2014, 5, 4791. [Google Scholar] [CrossRef]
- National Health Commission of the People’s Republic of China. A Case of Human Infection with H3N8 Avian Influenza was Found in Henan Province. Available online: http://www.nhc.gov.cn/yjb/s3578/202204/8dbeadf0efed45b0b2ea22928523e289.shtml (accessed on 24 April 2022).
- Simulundu, E.; Nao, N.; Yabe, J.; Muto, N.A.; Sithebe, T.; Sawa, H.; Manzoor, R.; Kajihara, M.; Muramatsu, M.; Ishii, A.; et al. The zoonotic potential of avian influenza viruses isolated from wild waterfowl in Zambia. Arch. Virol. 2014, 159, 2633–2640. [Google Scholar] [CrossRef][Green Version]
- Le, T.B.; Kim, H.K.; Le, H.Y.; Jeong, M.C.; Kim, I.K.; Jeong, D.G.; Yoon, S.W. Complete genome sequence of a novel reassortant H3N3 avian influenza virus. Arch. Virol. 2019, 164, 2881–2885. [Google Scholar] [CrossRef]
- Xiang, B.; Song, J.; Chen, L.; Liang, J.; Li, X.; Yu, D.; Lin, Q.; Liao, M.; Ren, T.; Xu, C. Duck-origin H5N6 avian influenza viruses induce different pathogenic and inflammatory effects in mice. Transbound. Emerg. Dis. 2021, 68, 3509–3518. [Google Scholar] [CrossRef] [PubMed]
- Ha, Y.; Stevens, D.J.; Skehel, J.J.; Wiley, D.C. X-ray structures of H5 avian and H9 swine influenza virus hemagglutinins bound to avian and human receptor analogs. Proc. Natl. Acad. Sci. USA 2001, 98, 11181–11186. [Google Scholar] [CrossRef] [PubMed]
- Gao, R.; Gu, M.; Liu, K.; Li, Q.; Li, J.; Shi, L.; Li, X.; Wang, X.; Hu, J.; Liu, X.; et al. T160A mutation-induced deglycosylation at site 158 in hemagglutinin is a critical determinant of the dual receptor binding properties of clade 2.3.4.4 H5NX subtype avian influenza viruses. Vet. Microbiol. 2018, 217, 158–166. [Google Scholar] [CrossRef] [PubMed]
- Su, Y.; Yang, H.Y.; Zhang, B.J.; Jia, H.L.; Tien, P. Analysis of a point mutation in H5N1 avian influenza virus hemagglutinin in relation to virus entry into live mammalian cells. Arch. Virol. 2008, 153, 2253–2261. [Google Scholar] [CrossRef]
- Subbarao, E.K.; London, W.; Murphy, B.R. A single amino acid in the PB2 gene of influenza A virus is a determinant of host range. J. Virol. 1993, 67, 1761–1764. [Google Scholar] [CrossRef]
- Zhou, Y.; Wu, X.; Yan, D.; Chen, C.; Liu, X.; Huang, C.; Fu, X.; Tian, G.; Ding, C.; Wu, J.; et al. V292I mutation in PB2 polymerase induces increased effects of E627K on influenza H7N9 virus replication in cells. Virus Res. 2021, 291, 198186. [Google Scholar] [CrossRef]
- Xiao, C.; Ma, W.; Sun, N.; Huang, L.; Li, Y.; Zeng, Z.; Wen, Y.; Zhang, Z.; Li, H.; Li, Q.; et al. PB2-588 V promotes the mammalian adaptation of H10N8, H7N9 and H9N2 avian influenza viruses. Sci. Rep. 2016, 6, 19474. [Google Scholar] [CrossRef]
- Li, Z.; Chen, H.; Jiao, P.; Deng, G.; Tian, G.; Li, Y.; Hoffmann, E.; Webster, R.G.; Matsuoka, Y.; Yu, K. Molecular basis of replication of duck H5N1 influenza viruses in a mammalian mouse model. J. Virol. 2005, 79, 12058–12064. [Google Scholar] [CrossRef]
- Yamada, S.; Hatta, M.; Staker, B.L.; Watanabe, S.; Imai, M.; Shinya, K.; Sakai-Tagawa, Y.; Ito, M.; Ozawa, M.; Watanabe, T.; et al. Biological and structural characterization of a host-adapting amino acid in influenza virus. PLoS Pathog. 2010, 6, e1001034. [Google Scholar] [CrossRef]
- Jiao, P.; Tian, G.; Li, Y.; Deng, G.; Jiang, Y.; Liu, C.; Liu, W.; Bu, Z.; Kawaoka, Y.; Chen, H. A single-amino-acid substitution in the NS1 protein changes the pathogenicity of H5N1 avian influenza viruses in mice. J. Virol. 2008, 82, 1146–1154. [Google Scholar] [CrossRef] [PubMed]
- Zhang, X.; Li, Y.; Jin, S.; Zhang, Y.; Sun, L.; Hu, X.; Zhao, M.; Li, F.; Wang, T.; Sun, W.; et al. PB1 S524G mutation of wild bird-origin H3N8 influenza A virus enhances virulence and fitness for transmission in mammals. Emerg. Microbes Infect. 2021, 10, 1038–1051. [Google Scholar] [CrossRef] [PubMed]
- Li, Y.; Li, P.; Xi, J.; Yang, J.; Wu, H.; Zhang, Y.; Cao, M.; Chen, M.; Li, Y.; Xiao, C. Wild bird-origin H3N8 avian influenza virus exhibit well adaptation in mammalian host. J. Infect. 2021, 84, 579–613. [Google Scholar] [CrossRef] [PubMed]
- Xiang, B.; Liang, J.; You, R.; Han, L.; Mei, K.; Chen, L.; Chen, R.; Zhang, Y.; Dai, X.; Gao, P.; et al. Pathogenicity and transmissibility of a highly pathogenic avian influenza virus H5N6 isolated from a domestic goose in Southern China. Vet. Microbiol. 2017, 212, 16–21. [Google Scholar] [CrossRef] [PubMed]
- Hoffmann, E.; Stech, J.; Guan, Y.; Webster, R.G.; Perez, D.R. Universal primer set for the full-length amplification of all influenza A viruses. Arch. Virol. 2001, 146, 2275–2289. [Google Scholar] [CrossRef] [PubMed]
- Kang, Y.; Shen, X.; Yuan, R.; Xiang, B.; Fang, Z.; Murphy, R.W.; Liao, M.; Shen, Y.; Ren, T. Pathogenicity and transmissibility of three avian influenza A (H5N6) viruses isolated from wild birds. J. Infect. 2018, 76, 286–294. [Google Scholar] [CrossRef] [PubMed]
- Fislová, T.; Gocník, M.; Sládková, T.; Ďurmanová, V.; Rajčáni, J.; Varečková, E.; Mucha, V.; Kostolanský, F. Multiorgan distribution of human influenza A virus strains observed in a mouse model. Arch. Virol. 2009, 154, 409–419. [Google Scholar] [CrossRef]
- Fan, S.; Deng, G.; Song, J.; Tian, G.; Suo, Y.; Jiang, Y.; Guan, Y.; Bu, Z.; Kawaoka, Y.; Chen, H. Two amino acid residues in the matrix protein M1 contribute to the virulence difference of H5N1 avian influenza viruses in mice. Virology 2009, 384, 28–32. [Google Scholar] [CrossRef]
- Czudai-Matwich, V.; Otte, A.; Matrosovich, M.; Gabriel, G.; Klenk, H.D. PB2 mutations D701N and S714R promote adaptation of an influenza H5N1 virus to a mammalian host. J. Virol. 2014, 88, 8735–8742. [Google Scholar] [CrossRef]
- Cheng, K.; Yu, Z.; Chai, H.; Sun, W.; Xin, Y.; Zhang, Q.; Huang, J.; Zhang, K.; Li, X.; Yang, S.; et al. PB2-E627K and PA-T97I substitutions enhance polymerase activity and confer a virulent phenotype to an H6N1 avian influenza virus in mice. Virology 2014, 468–470, 207–213. [Google Scholar] [CrossRef]
- Globig, A.; Fereidouni, S.R.; Harder, T.C.; Grund, C.; Beer, M.; Mettenleiter, T.C.; Starick, E. Consecutive natural influenza a virus infections in sentinel mallards in the evident absence of subtype-specific hemagglutination inhibiting antibodies. Transbound. Emerg. Dis. 2013, 60, 395–402. [Google Scholar] [CrossRef]
- Chai, H.; Li, X.; Li, M.; Lv, X.; Yu, W.; Li, Y.; Sun, J.; Li, Y.; Sun, H.; Tian, J.; et al. Emergence, Evolution, and Pathogenicity of Influenza A(H7N4) Virus in Shorebirds in China. J. Virol. 2022, 96, e171721. [Google Scholar] [CrossRef] [PubMed]
- Le, T.B.; Le, V.P.; Lee, J.E.; Kang, J.A.; Trinh, T.; Lee, H.W.; Jeong, D.G.; Yoon, S.W. Reassortant Highly Pathogenic H5N6 Avian Influenza Virus Containing Low Pathogenic Viral Genes in a Local Live Poultry Market, Vietnam. Curr. Microbiol. 2021, 78, 3835–3842. [Google Scholar] [CrossRef] [PubMed]
- Li, X.; Xie, S.; Jiang, X.; Li, Z.; Xu, L.; Wen, K.; Zhang, M.; Liao, M.; Jia, W. Emergence of one novel reassortment H3N8 avian influenza virus in China, originating from North America and Eurasia. Infect. Genet. Evol. 2021, 91, 104782. [Google Scholar] [CrossRef] [PubMed]
- Lao, G.; Ma, K.; Qiu, Z.; Qi, W.; Liao, M.; Li, H. Real-Time Visualization of the Infection and Replication of a Mouse-Lethal Recombinant H9N2 Avian Influenza Virus. Front. Vet. Sci. 2022, 9, 849178. [Google Scholar] [CrossRef] [PubMed]
- Driskell, E.A.; Pickens, J.A.; Humberd-Smith, J.; Gordy, J.T.; Bradley, K.C.; Steinhauer, D.A.; Berghaus, R.D.; Stallknecht, D.E.; Howerth, E.W.; Tompkins, S.M. Low pathogenic avian influenza isolates from wild birds replicate and transmit via contact in ferrets without prior adaptation. PLoS ONE 2012, 7, e38067. [Google Scholar] [CrossRef][Green Version]
- Solórzano, A.; Foni, E.; Córdoba, L.; Baratelli, M.; Razzuoli, E.; Bilato, D.; Martín, D.B.M.; Perlin, D.S.; Martínez, J.; Martínez-Orellana, P.; et al. Cross-Species Infectivity of H3N8 Influenza Virus in an Experimental Infection in Swine. J. Virol. 2015, 89, 11190–11202. [Google Scholar] [CrossRef]
- Hao, M.; Han, S.; Meng, D.; Li, R.; Lin, J.; Wang, M.; Zhou, T.; Chai, T. The PA Subunit of the Influenza Virus Polymerase Complex Affects Replication and Airborne Transmission of the H9N2 Subtype Avian Influenza Virus. Viruses 2019, 11, 40. [Google Scholar] [CrossRef]
- Sun, Y.; Qin, K.; Wang, J.; Pu, J.; Tang, Q.; Hu, Y.; Bi, Y.; Zhao, X.; Yang, H.; Shu, Y.; et al. High genetic compatibility and increased pathogenicity of reassortants derived from avian H9N2 and pandemic H1N1/2009 influenza viruses. Proc. Natl. Acad. Sci. USA 2011, 108, 4164–4169. [Google Scholar] [CrossRef]
- Bussey, K.A.; Desmet, E.A.; Mattiacio, J.L.; Hamilton, A.; Bradel-Tretheway, B.; Bussey, H.E.; Kim, B.; Dewhurst, S.; Takimoto, T. PA residues in the 2009 H1N1 pandemic influenza virus enhance avian influenza virus polymerase activity in mammalian cells. J. Virol. 2011, 85, 7020–7028. [Google Scholar] [CrossRef]
- Hu, J.; Hu, Z.; Song, Q.; Gu, M.; Liu, X.; Wang, X.; Hu, S.; Chen, C.; Liu, H.; Liu, W.; et al. The PA-gene-mediated lethal dissemination and excessive innate immune response contribute to the high virulence of H5N1 avian influenza virus in mice. J. Virol. 2013, 87, 2660–2672. [Google Scholar] [CrossRef][Green Version]
- Mehle, A.; Dugan, V.G.; Taubenberger, J.K.; Doudna, J.A. Reassortment and mutation of the avian influenza virus polymerase PA subunit overcome species barriers. J. Virol. 2012, 86, 1750–1757. [Google Scholar] [CrossRef] [PubMed]
- Gabriel, G.; Herwig, A.; Klenk, H.D. Interaction of polymerase subunit PB2 and NP with importin alpha1 is a determinant of host range of influenza A virus. PLoS Pathog. 2008, 4, e11. [Google Scholar] [CrossRef] [PubMed]
- Herfst, S.; Chutinimitkul, S.; Ye, J.; de Wit, E.; Munster, V.J.; Schrauwen, E.J.; Bestebroer, T.M.; Jonges, M.; Meijer, A.; Koopmans, M.; et al. Introduction of virulence markers in PB2 of pandemic swine-origin influenza virus does not result in enhanced virulence or transmission. J. Virol. 2010, 84, 3752–3758. [Google Scholar] [CrossRef] [PubMed]
- Venkatesh, D.; Bianco, C.; Núñez, A.; Collins, R.; Thorpe, D.; Reid, S.M.; Brookes, S.M.; Essen, S.; McGinn, N.; Seekings, J.; et al. Detection of H3N8 influenza A virus with multiple mammalian-adaptive mutations in a rescued Grey seal (Halichoerus grypus) pup. Virus Evol. 2020, 6, a16. [Google Scholar] [CrossRef]
- Yiu, L.K.; Wing, Y.N.G.; Fai, W.K.; Fan, N.H.I.; Kam, F.H.J.; Fan, C.F.; Kwok, C.C.J. Human H7N9 avian influenza virus infection: A review and pandemic risk assessment. Emerg. Microbes Infect. 2013, 2, e48. [Google Scholar]
- Liu, S.; Zhu, W.; Feng, Z.; Gao, R.; Guo, J.; Li, X.; Liu, J.; Wang, D.; Shu, Y. Substitution of D701N in the PB2 protein could enhance the viral replication and pathogenicity of Eurasian avian-like H1N1 swine influenza viruses. Emerg. Microbes Infect. 2018, 7, 75. [Google Scholar] [CrossRef]
- Jiao, P.; Wei, L.; Song, Y.; Cui, J.; Song, H.; Cao, L.; Yuan, R.; Luo, K.; Liao, M. D701N mutation in the PB2 protein contributes to the pathogenicity of H5N1 avian influenza viruses but not transmissibility in guinea pigs. Front. Microbiol. 2014, 5, 642. [Google Scholar] [CrossRef]




| Strain | Gene | Virus | GenBank Accession No. | Subtype | Identity (%) |
|---|---|---|---|---|---|
| GZA1 | HA | A/Black-winged_curlew/China/CZ355/2019 | MT835184 | H3N8 | 99.04 |
| NA | A/baikal_teal/China/SH13(3)/2016 | MT835170 | H3N8 | 98.66 | |
| PB2 | A/white-fronted goose/Korea/F56-3/2017 | MH130143 | H6N2 | 99.17 | |
| PB1 | A/mallard/Shanghai/NH011204/2018 | MN049585 | H12N5 | 99.38 | |
| PA | A/duck/Mongolia/140/2015 | MK978919 | H10N2 | 99.02 | |
| NP | A/duck/Thailand/NA02/2003 | MN629280 | H3N2 | 98.86 | |
| M | A/hooded crane/Korea/1176/2016 | KY402068 | H1N1 | 99.47 | |
| NS1 | A/mallard/Korea/F94-16/2017 | MH579392 | H4N6 | 99.74 | |
| XJ47 | HA | A/duck/Mongolia/173/2015 | LC121300 | H3N8 | 98.00 |
| NA | A/duck/Mongolia/173/2015 | LC121300 | H3N8 | 99.29 | |
| PB2 | A/environment/Bangladesh/42007/2019 | MW466087 | H7N7 | 99.08 | |
| PB1 | A/mallard/Ukraine/AN-223-13-01/2020 | MW855994 | H7N3 | 98.68 | |
| PA | A/duck/Mongolia/210/2018 | MW188572 | H3N8 | 99.35 | |
| NP | A/Falcated duck/South Korea/JB42-30/2020 | MW493162 | H9N2 | 98.66 | |
| M | A/mallard/Korea/F94-16/2017 | MH579392 | H4N6 | 99.74 | |
| NS1 | A/migratory bird/India/1722760/2017 | MK453340 | H4N6 | 99.40 |
| Protein | Function | Mutation | GZA1 | XJ47 |
|---|---|---|---|---|
| HA | Human-type receptor binding | T160A | A | A |
| PB2 | Mammalian adaptation | 591R/K a | Q | Q |
| M1 | Enhanced virulence in mice | N30D | D | D |
| T215A | A | A | ||
| NS1 | Enhanced virulence in mice | P42S | S | A |
| Strains | Dpi | Heart | Liver | Spleen | Lung | Kidney | Brain | Nasal Conchae |
|---|---|---|---|---|---|---|---|---|
| GZA1 | 3 | 1/3 a | 1/3 | 0/3 | 3/3 | 2/3 | 0/3 | 3/3 |
| 2.75 ± 0 b | 1.25 ± 0 | - c | 3.66 ± 0.11 | 1.75 ± 0.25 | - | 3.33 ± 0.59 | ||
| 5 | 1/3 | 2/3 | 0/3 | 3/3 | 2/3 | 2/3 | 3/3 | |
| 1.25 ± 0 | 1.25 ± 0 | - | 3.94 ± 0.55 | 1.25 ± 0 | 1.25 ± 0 | 3.58 ± 0.12 | ||
| 7 | 1/3 | 0/3 | 0/3 | 2/3 | 0/3 | 0/3 | 1/3 | |
| 2.25 ± 0 | - | - | 2.13 ± 0.88 | - | - | 2 ± 0 | ||
| XJ47 | 3 | 0/3 | 0/3 | 0/3 | 3/3 | 0/3 | 1/3 | 3/3 |
| - | - | - | 3 ± 0.35 | - | 1.25 ± 0 | 2.16 ± 0.66 | ||
| 5 | 1/3 | 1/3 | 1/3 | 3/3 | 0/3 | 1/3 | 3/3 | |
| 1.25 ± 0 | 1.25 ± 0 | 1.25 ± 0 | 3.08 ± 0.51 | - | 1.25 ± 0 | 3 ± 0.4 | ||
| 7 | 1/3 | 0/3 | 1/3 | 1/3 | 0/3 | 0/3 | 2/3 | |
| 2 ± 0 | - | 1.25 ± 0 | 1.25 ± 0 | - | - | 1.25 ± 0 |
| Strain | Protein | Mutation |
|---|---|---|
| P12-GZA1 | PB2 | T235I, D408E, N448S, D701N a |
| PB1 | T413I, V609I | |
| PA | T97I b, P534S | |
| NP | A27V | |
| P12-XJ47 | PB2 | R17C, T35A |
| PA | T97I |
Publisher’s Note: MDPI stays neutral with regard to jurisdictional claims in published maps and institutional affiliations. |
© 2022 by the authors. Licensee MDPI, Basel, Switzerland. This article is an open access article distributed under the terms and conditions of the Creative Commons Attribution (CC BY) license (https://creativecommons.org/licenses/by/4.0/).
Share and Cite
Liang, J.; Li, Q.; Cai, L.; Yuan, Q.; Chen, L.; Lin, Q.; Xiao, C.; Xiang, B.; Ren, T. Adaptation of Two Wild Bird-Origin H3N8 Avian Influenza Viruses to Mammalian Hosts. Viruses 2022, 14, 1097. https://doi.org/10.3390/v14051097
Liang J, Li Q, Cai L, Yuan Q, Chen L, Lin Q, Xiao C, Xiang B, Ren T. Adaptation of Two Wild Bird-Origin H3N8 Avian Influenza Viruses to Mammalian Hosts. Viruses. 2022; 14(5):1097. https://doi.org/10.3390/v14051097
Chicago/Turabian StyleLiang, Jianpeng, Qian Li, Linlin Cai, Qingli Yuan, Libin Chen, Qiuyan Lin, Chencheng Xiao, Bin Xiang, and Tao Ren. 2022. "Adaptation of Two Wild Bird-Origin H3N8 Avian Influenza Viruses to Mammalian Hosts" Viruses 14, no. 5: 1097. https://doi.org/10.3390/v14051097
APA StyleLiang, J., Li, Q., Cai, L., Yuan, Q., Chen, L., Lin, Q., Xiao, C., Xiang, B., & Ren, T. (2022). Adaptation of Two Wild Bird-Origin H3N8 Avian Influenza Viruses to Mammalian Hosts. Viruses, 14(5), 1097. https://doi.org/10.3390/v14051097

