Egyptian Fruit Bats (Rousettus aegyptiacus) Were Resistant to Experimental Inoculation with Avian-Origin Influenza A Virus of Subtype H9N2, But Are Susceptible to Experimental Infection with Bat-Borne H9N2 Virus
Abstract
1. Introduction
2. Materials and Methods
2.1. Viruses
2.2. Experimental Inoculation and Sampling of Bats
2.3. Organ Homogenization
2.4. RNA Isolation
2.5. Real-Time RT-PCR (RT-qPCR)
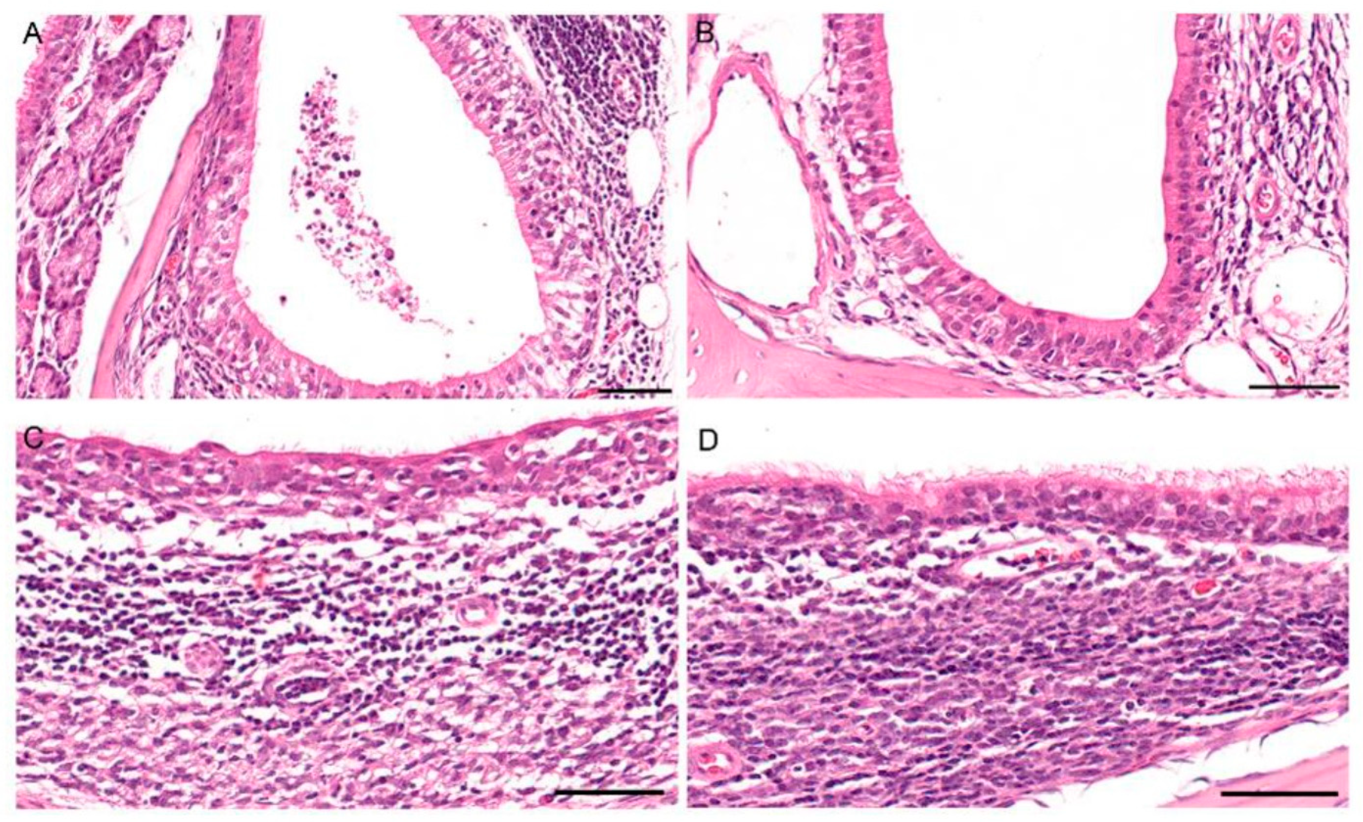
2.6. Histopathology
2.7. Propagation of A/Bat/Egypt/381OP/2017 (H9N2) Virus Isolates from Bat Samples
2.8. Serology
3. Results
3.1. Egyptian Fruit Bats Are Resistant to Infection with an Avian H9N2 Strain
3.2. Egyptian Fruit Bats Are Susceptible to Natural Infection with Bat-Origin H9N2 A/Bat/Egypt/381OP/2017
3.3. A/Bat/Egypt/381OP/2017 (H9N2) Was Effectively Isolated and Propagated from the Experimental Egyptian Fruit Bat Samples
3.4. Egyptian Fruit Bats Seroconvert upon Inoculation with A/Bat/Egypt/381OP/2017 (H9N2)
4. Discussion
Bat Influenza Viruses May Be Highly Adapted to Particular Bat Species
Supplementary Materials
Author Contributions
Funding
Institutional Review Board Statement
Informed Consent Statement
Data Availability Statement
Acknowledgments
Conflicts of Interest
References
- Li, C.; Wang, S.; Bing, G.; Carter, R.A.; Wang, Z.; Wang, J.; Wang, C.; Wang, L.; Wu, G.; Webster, R.G.; et al. Genetic evolution of influenza H9N2 viruses isolated from various hosts in China from 1994 to 2013. Emerg. Microbes Infect. 2017, 6, e106. [Google Scholar] [CrossRef] [PubMed]
- Peacock, T.P.; James, J.; Sealy, J.E.; Iqbal, M. A Global Perspective on H9N2 Avian Influenza Virus. Viruses 2019, 11, 620. [Google Scholar] [CrossRef] [PubMed]
- Lam, T.T.-Y.; Wang, J.; Shen, Y.; Zhou, B.; Duan, L.; Cheung, C.-L.; Ma, C.; Lycett, S.J.; Leung, C.Y.-H.; Chen, X.; et al. The genesis and source of the H7N9 influenza viruses causing human infections in China. Nat. Cell Biol. 2013, 502, 241–244. [Google Scholar] [CrossRef]
- Liu, D.; Shi, W.; Shi, Y.; Wang, D.; Xiao, H.; Li, W.; Bi, Y.; Wu, Y.; Li, X.; Yan, J.; et al. Origin and diversity of novel avian influenza A H7N9 viruses causing human infection: Phylogenetic, structural, and coalescent analyses. Lancet 2013, 381, 1926–1932. [Google Scholar] [CrossRef]
- Pan, Y.; Cui, S.; Sun, Y.; Zhang, X.; Ma, C.; Shi, W.; Peng, X.; Lu, G.; Zhang, D.; Liu, Y.; et al. Human infection with H9N2 avian influenza in northern China. Clin. Microbiol. Infect. 2018, 24, 321–323. [Google Scholar] [CrossRef] [PubMed]
- Peiris, M.; Yuen, K.; Leung, C.; Chan, K.; Ip, P.; Lai, R.; Orr, W.; Shortridge, K. Human infection with influenza H9N2. Lancet 1999, 354, 916–917. [Google Scholar] [CrossRef]
- Sun, H.; Wang, K.; Yao, W.; Liu, Q.; Yang, J.; Teng, Q.; Li, X.; Li, Z.; Chen, H. H9N2 Viruses Isolated From Mammals Replicated in Mice at Higher Levels Than Avian-Origin Viruses. Front. Microbiol. 2019, 10, 416. [Google Scholar] [CrossRef] [PubMed]
- Naguib, M.M.; Arafa, A.-S.; Parvin, R.; Beer, M.; Vahlenkamp, T.; Harder, T.C. Insights into genetic diversity and biological propensities of potentially zoonotic avian influenza H9N2 viruses circulating in Egypt. Virology 2017, 511, 165–174. [Google Scholar] [CrossRef] [PubMed]
- Parvin, R.; Begum, J.A.; Chowdhury, E.H.; Islam, M.R.; Beer, M.; Harder, T. Co-subsistence of avian influenza virus subtypes of low and high pathogenicity in Bangladesh: Challenges for diagnosis, risk assessment and control. Sci. Rep. 2019, 9, 8306. [Google Scholar] [CrossRef]
- Tong, S.; Zhu, X.; Li, Y.; Shi, M.; Zhang, J.; Bourgeois, M.; Yang, H.; Chen, X.; Recuenco, S.; Gomez, J.; et al. New World Bats Harbor Diverse Influenza A Viruses. PLoS Pathog. 2013, 9, e1003657. [Google Scholar] [CrossRef]
- Tong, S.; Li, Y.; Rivailler, P.; Conrardy, C.; Castillo, D.A.A.; Chen, L.-M.; Recuenco, S.; Ellison, J.A.; Davis, C.T.; York, I.A.; et al. A distinct lineage of influenza A virus from bats. Proc. Natl. Acad. Sci. USA 2012, 109, 4269–4274. [Google Scholar] [CrossRef] [PubMed]
- Freidl, G.S.; Binger, T.; Müller, M.A.; De Bruin, E.; Van Beek, J.; Corman, V.M.; Rasche, A.; Drexler, J.F.; Sylverken, A.; Oppong, S.K.; et al. Serological Evidence of Influenza A Viruses in Frugivorous Bats from Africa. PLoS ONE 2015, 10, e0127035. [Google Scholar] [CrossRef] [PubMed]
- Kandeil, A.; Gomaa, M.R.; Shehata, M.M.; El Taweel, A.N.; Mahmoud, S.H.; Bagato, O.; Moatasim, Y.; Kutkat, O.; Kayed, A.S.; Dawson, P.; et al. Isolation and Characterization of a Distinct Influenza A Virus from Egyptian Bats. J. Virol. 2018, 93, e01059-18. [Google Scholar] [CrossRef]
- Ciminski, K.; Pfaff, F.; Beer, M.; Schwemmle, M. Bats reveal the true power of influenza A virus adaptability. PLoS Pathog. 2020, 16, e1008384. [Google Scholar] [CrossRef] [PubMed]
- Brunotte, L.; Beer, M.; Horie, M.; Schwemmle, M. Chiropteran influenza viruses: Flu from bats or a relic from the past? Curr. Opin. Virol. 2016, 16, 114–119. [Google Scholar] [CrossRef]
- Reed, L.; Muench, H. A Simple Method of Estimating Fifty Per Cent Endpoints. Am. J. Epidemiol. 1938, 27, 493–497. [Google Scholar] [CrossRef]
- Grund, C.; Hoffmann, D.; Ulrich, R.; Naguib, M.; Schinköthe, J.; Hoffmann, B.; Harder, T.; Saenger, S.; Zscheppang, K.; Tönnies, M.; et al. A novel European H5N8 influenza A virus has increased virulence in ducks but low zoonotic potential. Emerg. Microbes Infect. 2018, 7, 132. [Google Scholar] [CrossRef]
- Toussaint, J.-F.; Sailleau, C.; Mast, J.; Houdart, P.; Czaplicki, G.; Demeestere, L.; Vandenbussche, F.; Van Dessel, W.; Goris, N.; Bréard, E.; et al. Bluetongue in Belgium, 2006. Emerg. Infect. Dis. 2007, 13, 614–616. [Google Scholar] [CrossRef]
- Graaf, A.; Ulrich, R.; Maksimov, P.; Scheibner, D.; Koethe, S.; Abdelwhab, E.M.; Mettenleiter, T.C.; Beer, M.; Harder, T. A viral race for primacy: Co-infection of a natural pair of low and highly pathogenic H7N7 avian influenza viruses in chickens and embryonated chicken eggs. Emerg. Microbes Infect. 2018, 7, 204. [Google Scholar] [CrossRef]
- Dong, G.; Luo, J.; Zhang, H.; Wang, C.; Duan, M.; Deliberto, T.J.; Nolte, D.L.; Ji, G.; He, H. Phylogenetic diversity and genotypical complexity of H9N2 influenza A viruses revealed by genomic sequence analysis. PLoS ONE 2011, 6, e17212. [Google Scholar] [CrossRef]
- Guo, Y.J.; Krauss, S.; Senne, D.A.; Mo, I.P.; Lo, K.S.; Xiong, X.P.; Norwood, M.; Shortridge, K.F.; Webster, R.G.; Guan, Y. Characterization of the Pathogenicity of Members of the Newly Established H9N2 Influenza Virus Lineages in Asia. Virology 2000, 267, 279–288. [Google Scholar] [CrossRef] [PubMed]
- Pusch, E.A.; Suarez, D.L. The Multifaceted Zoonotic Risk of H9N2 Avian Influenza. Vet. Sci. 2018, 5, 82. [Google Scholar] [CrossRef] [PubMed]
- Slater, T.; Eckerle, I.; Chang, K.-C. Bat lung epithelial cells show greater host species-specific innate resistance than MDCK cells to human and avian influenza viruses. Virol. J. 2018, 15, 68. [Google Scholar] [CrossRef] [PubMed]
- Ciminski, K.; Ran, W.; Gorka, M.; Lee, J.; Malmlov, A.; Schinköthe, J.; Eckley, M.; Murrieta, R.A.; Aboellail, T.A.; Campbell, C.L.; et al. Bat influenza viruses transmit among bats but are poorly adapted to non-bat species. Nat. Microbiol. 2019, 4, 2298–2309. [Google Scholar] [CrossRef] [PubMed]







| Primer/Probe | Sequence | Concentration | Accession Number |
|---|---|---|---|
| Detection of A/bat/Egypt/381OP/2017 (H9N2) viral RNA | |||
| H9N2-PB1-101Fv2 | tga tcc acc cta cag cca tg | 20 μM | MH376908 (Pos. 78-97) |
| H9N2-PB1-180Rv2 | ctt ttt ctg aat att gat gag tcc ta | 20 μM | MH376908 (Pos. 132-157) |
| H9N2-PB1-125FAMv2 | FAM-tgg cac agg ata tac aat gga cac cgt-BHQ1 | 5 μM | MH376908 (Pos. 102-128) |
| Detection of A/layer chicken/Bangladesh/VP02-plaque/2016 (H9N2) viral RNA | |||
| IAV-PB1_120F | cat ttg aat gga ygt caa ycc ga | 20 μM | [17] |
| IAV-PB1_271R | ctg ttd acy gtg tcc atd gtg ta | 20 μM | |
| IAV-PB1_247as_FAM | FAM-ccw gty ccy gty cca tgg ctg ta-BHQ1 | 5 μM | |
| Inoculated Animal #3 Oral Swab, 3 DPI | Inoculated Animal #6 Oral Swab, 3 DPI | Inoculated Animal #6 Nasal Conchae, 7 DPI | |
|---|---|---|---|
| Initial Ct-value | 30.11 | 28.90 | 31.74 |
| Egg 1 | 31.68 | 28.64 | 34.61 |
| Egg 2 | 31.82 | 14.58 | 13.55 |
| Egg 3 | 34.11 | 14.05 | 13.47 |
| Egyptian Fruit Bats ID | Immunofluorescence Assay */ELISA ° | ||
|---|---|---|---|
| 0 dpi | 7 dpi | 21 dpi | |
| Contact animal #1 | neg/neg | nd | neg/neg |
| Contact animal #2 | neg/neg | nd | neg/neg |
| Contact animal #3 | neg/neg | nd | neg/neg |
| Contact animal #4 | neg/neg | nd | neg/neg |
| Contact animal #5 | neg/neg | neg/neg | nd |
| Contact animal #6 | neg/neg | neg/neg | nd |
| Inoculated animal #1 | neg/neg | nd | pos/pos |
| Inoculated animal #2 | neg/neg | nd | pos/quest |
| Inoculated animal #3 | neg/neg | nd | pos/pos |
| Inoculated animal #4 | neg/neg | nd | pos/neg |
| Inoculated animal #5 | neg/neg | pos/neg | nd |
| Inoculated animal #6 | neg/neg | neg/neg | nd |
Publisher’s Note: MDPI stays neutral with regard to jurisdictional claims in published maps and institutional affiliations. |
© 2021 by the authors. Licensee MDPI, Basel, Switzerland. This article is an open access article distributed under the terms and conditions of the Creative Commons Attribution (CC BY) license (https://creativecommons.org/licenses/by/4.0/).
Share and Cite
Halwe, N.J.; Gorka, M.; Hoffmann, B.; Rissmann, M.; Breithaupt, A.; Schwemmle, M.; Beer, M.; Kandeil, A.; Ali, M.A.; Kayali, G.; et al. Egyptian Fruit Bats (Rousettus aegyptiacus) Were Resistant to Experimental Inoculation with Avian-Origin Influenza A Virus of Subtype H9N2, But Are Susceptible to Experimental Infection with Bat-Borne H9N2 Virus. Viruses 2021, 13, 672. https://doi.org/10.3390/v13040672
Halwe NJ, Gorka M, Hoffmann B, Rissmann M, Breithaupt A, Schwemmle M, Beer M, Kandeil A, Ali MA, Kayali G, et al. Egyptian Fruit Bats (Rousettus aegyptiacus) Were Resistant to Experimental Inoculation with Avian-Origin Influenza A Virus of Subtype H9N2, But Are Susceptible to Experimental Infection with Bat-Borne H9N2 Virus. Viruses. 2021; 13(4):672. https://doi.org/10.3390/v13040672
Chicago/Turabian StyleHalwe, Nico Joel, Marco Gorka, Bernd Hoffmann, Melanie Rissmann, Angele Breithaupt, Martin Schwemmle, Martin Beer, Ahmed Kandeil, Mohamed A. Ali, Ghazi Kayali, and et al. 2021. "Egyptian Fruit Bats (Rousettus aegyptiacus) Were Resistant to Experimental Inoculation with Avian-Origin Influenza A Virus of Subtype H9N2, But Are Susceptible to Experimental Infection with Bat-Borne H9N2 Virus" Viruses 13, no. 4: 672. https://doi.org/10.3390/v13040672
APA StyleHalwe, N. J., Gorka, M., Hoffmann, B., Rissmann, M., Breithaupt, A., Schwemmle, M., Beer, M., Kandeil, A., Ali, M. A., Kayali, G., Hoffmann, D., & Balkema-Buschmann, A. (2021). Egyptian Fruit Bats (Rousettus aegyptiacus) Were Resistant to Experimental Inoculation with Avian-Origin Influenza A Virus of Subtype H9N2, But Are Susceptible to Experimental Infection with Bat-Borne H9N2 Virus. Viruses, 13(4), 672. https://doi.org/10.3390/v13040672

