Characterization of Host Cell Potential Proteins Interacting with OsHV-1 Membrane Proteins
Abstract
1. Introduction
2. Materials and Methods
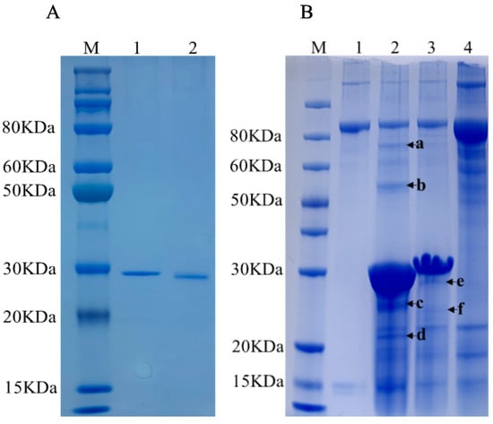
2.1. Recombinant Expression and Purification
2.2. Pull-Down Assays
2.3. Protein Identification
2.4. Protein–Protein Interactions (PPI) Network
3. Results
3.1. The Prey Proteins of the Recombinant ORF25 and ORF72 in Hemocytes
3.2. The Functional Annotation of Prey Proteins
3.3. The PPI of Prey Proteins
4. Discussion
5. Conclusions
Supplementary Materials
Author Contributions
Funding
Institutional Review Board Statement
Informed Consent Statement
Acknowledgments
Conflicts of Interest
References
- Sathiyamoorthy, K.; Chen, J.; Longnecker, R.; Jardetzky, T.S. The COMPLEXity in herpesvirus entry. Curr. Opin. Virol. 2017, 24, 97–104. [Google Scholar] [CrossRef] [PubMed]
- Connolly, S.A.; Jardetzky, T.S.; Longnecker, R. The structural basis of herpesvirus entry. Nat. Rev. Microbiol. 2021, 19, 110–121. [Google Scholar] [CrossRef]
- Spear, P.G.; Longnecker, R. Herpesvirus entry: An update. J. Virol. 2003, 77, 10179–10185. [Google Scholar] [CrossRef]
- Di Giovine, P.; Settembre, E.C.; Bhargava, A.K.; Luftig, M.A.; Lou, H.; Cohen, G.H.; Eisenberg, R.J.; Krummenacher, C.; Carfi, A. Structure of herpes simplex virus glycoprotein D bound to the human receptor nectin-1. PLoS Pathog. 2011, 7, e1002277. [Google Scholar] [CrossRef] [PubMed]
- Mullen, M.M.; Haan, K.M.; Longnecker, R.; Jardetzky, T.S. Structure of the Epstein-Barr virus gp42 protein bound to the MHC class II receptor HLA-DR1. Mol. Cell 2002, 9, 375–385. [Google Scholar] [CrossRef]
- Madavaraju, K.; Koganti, R.; Volety, I.; Yadavalli, T.; Shukla, D. Herpes simplex virus cell entry mechanisms: An update. Front. Cell. Infect. Microbiol. 2021, 10, 852. [Google Scholar] [CrossRef] [PubMed]
- Johnson, D.C.; Huber, M.T. Directed egress of animal viruses promotes cell-to-cell spread. J. Virol. 2002, 76, 1–8. [Google Scholar] [CrossRef] [PubMed]
- Weed, D.J.; Nicola, A.V. Herpes simplex virus membrane fusion. Cell Biol. Herpes Viruses 2017, 223, 29–47. [Google Scholar]
- Nicola, A.V. Herpesvirus entry into host cells mediated by endosomal low pH. Traffic 2016, 17, 965–975. [Google Scholar] [CrossRef]
- Milne, R.S.; Nicola, A.V.; Whitbeck, J.C.; Eisenberg, R.J.; Cohen, G.H. Glycoprotein D receptor-dependent, low-pH-independent endocytic entry of herpes simplex virus type 1. J. Virol. 2005, 79, 6655–6663. [Google Scholar] [CrossRef] [PubMed]
- Breiner, K.M.; Schaller, H. Cellular receptor traffic is essential for productive duck hepatitis B virus infection. J. Virol. 2000, 74, 2203–2209. [Google Scholar] [CrossRef] [PubMed][Green Version]
- Miller, N.; Hutt-Fletcher, L.M. Epstein-Barr virus enters B cells and epithelial cells by different routes. J. Virol. 1992, 66, 3409–3414. [Google Scholar] [CrossRef] [PubMed]
- Lyman, M.G.; Enquist, L.W. Herpesvirus interactions with the host cytoskeleton. J. Virol. 2009, 83, 2058–2066. [Google Scholar] [CrossRef] [PubMed]
- Davison, A.J.; Eberle, R.; Ehlers, B.; Hayward, G.S.; McGeoch, D.J.; Minson, A.C.; Pellett, P.E.; Roizman, B.; Studdert, M.J.; Thiry, E. The order herpesvirales. Arch. Virol. 2009, 154, 171–177. [Google Scholar] [CrossRef] [PubMed]
- Petton, B.; Destoumieux-Garzón, D.; Pernet, F.; Toulza, E.; De Lorgeril, J.; Degremont, L.; Mitta, G. The Pacific Oyster Mortality Syndrome, a polymicrobial and multifactorial disease: State of knowledge and future directions. Front. Immunol. 2021, 12, 52. [Google Scholar] [CrossRef] [PubMed]
- Davison, A.J.; Trus, B.L.; Cheng, N.; Steven, A.C.; Watson, M.S.; Cunningham, C.; Le Deuff, R.-M.; Renault, T. A novel class of herpesvirus with bivalve hosts. J. Gen. Virol. 2005, 86, 41–53. [Google Scholar] [CrossRef]
- Mettenleiter, T.C. Herpesvirus assembly and egress. J. Virol. 2002, 76, 1537–1547. [Google Scholar] [CrossRef] [PubMed]
- Delmotte, J.; Chaparro, C.; Galinier, R.; De Lorgeril, J.; Petton, B.; Stenger, P.-L.; Vidal-Dupiol, J.; Destoumieux-Garzon, D.; Gueguen, Y.; Montagnani, C. Contribution of viral genomic diversity to oyster susceptibility in the Pacific oyster mortality syndrome. Front. Microbiol. 2020, 11, 1579. [Google Scholar] [CrossRef] [PubMed]
- Mushegian, A.; Karin, E.L.; Pupko, T. Sequence analysis of malacoherpesvirus proteins: Pan-herpesvirus capsid module and replication enzymes with an ancient connection to “Megavirales”. Virology 2018, 513, 114–128. [Google Scholar] [CrossRef]
- Morga, B.; Faury, N.; Guesdon, S.; Chollet, B.; Renault, T. Haemocytes from Crassostrea gigas and OsHV-1: A promising in vitro system to study host/virus interactions. J. Invertebr. Pathol. 2017, 150, 45–53. [Google Scholar] [CrossRef]
- Martenot, C.; Faury, N.; Morga, B.; Degremont, L.; Lamy, J.-B.; Houssin, M.; Renault, T. Exploring first interactions between Ostreid Herpesvirus 1 (OsHV-1) and its host, Crassostrea gigas: Effects of specific antiviral antibodies and dextran sulfate. Front. Microbiol. 2019, 10, 1128. [Google Scholar] [CrossRef] [PubMed]
- Xin, L.; Li, C.; Bai, C.; Wang, C. Ostreid Herpesvirus-1 Infects Specific Hemocytes in Ark Clam, Scapharca broughtonii. Viruses 2018, 10, 529. [Google Scholar] [CrossRef] [PubMed]
- Picot, S.; Morga, B.; Faury, N.; Chollet, B.; Dégremont, L.; Travers, M.-A.; Renault, T.; Arzul, I. A study of autophagy in hemocytes of the Pacific oyster, Crassostrea gigas. Autophagy 2019, 15, 1801–1809. [Google Scholar] [CrossRef]
- Sodeik, B.; Ebersold, M.W.; Helenius, A. Microtubule-mediated transport of incoming herpes simplex virus 1 capsids to the nucleus. J. Cell Biol. 1997, 136, 1007–1021. [Google Scholar] [CrossRef] [PubMed]
- Favoreel, H.W.; Enquist, L.; Feierbach, B. Actin and Rho GTPases in herpesvirus biology. Trends Microbiol. 2007, 15, 426–433. [Google Scholar] [CrossRef] [PubMed]
- Clement, C.; Tiwari, V.; Scanlan, P.M.; Valyi-Nagy, T.; Yue, B.Y.; Shukla, D. A novel role for phagocytosis-like uptake in herpes simplex virus entry. J. Cell Biol. 2006, 174, 1009–1021. [Google Scholar] [CrossRef]
- Roberts, K.L.; Baines, J.D. Actin in herpesvirus infection. Viruses 2011, 3, 336–346. [Google Scholar] [CrossRef] [PubMed]
- Hinz, A.; Tampé, R. ABC transporters and immunity: Mechanism of self-defense. Biochemistry 2012, 51, 4981–4989. [Google Scholar] [CrossRef]
- Ahn, K.; Meyer, T.H.; Uebel, S.; Sempé, P.; Djaballah, H.; Yang, Y.; Peterson, P.A.; Früh, K.; Tampé, R. Molecular mechanism and species specificity of TAP inhibition by herpes simplex virus ICP47. EMBO J. 1996, 15, 3247–3255. [Google Scholar] [CrossRef]
- Nemerow, G.R.; Cooper, N.R. Infection of B lymphocytes by a human herpesvirus, Epstein-Barr virus, is blocked by calmodulin antagonists. Proc. Natl. Acad. Sci. USA 1984, 81, 4955–4959. [Google Scholar] [CrossRef] [PubMed]
- Segarra, A.; Faury, N.; Pépin, J.-F.; Renault, T. Transcriptomic study of 39 ostreid herpesvirus 1 genes during an experimental infection. J. Invertebr. Pathol. 2014, 119, 5–11. [Google Scholar] [CrossRef] [PubMed]
- Vasta, G.R. Roles of galectins in infection. Nat. Rev. Microbiol. 2009, 7, 424–438. [Google Scholar] [CrossRef] [PubMed]
- Levroney, E.L.; Aguilar, H.C.; Fulcher, J.A.; Kohatsu, L.; Pace, K.E.; Pang, M.; Gurney, K.B.; Baum, L.G.; Lee, B. Novel innate immune functions for galectin-1: Galectin-1 inhibits cell fusion by Nipah virus envelope glycoproteins and augments dendritic cell secretion of proinflammatory cytokines. J. Immunol. 2005, 175, 413–420. [Google Scholar] [CrossRef]
- Liu, F.-T. Regulatory roles of galectins in the immune response. Int. Arch. Allergy Immunol. 2005, 136, 385–400. [Google Scholar] [CrossRef] [PubMed]







| Primer Name | Sequence (5′-3′) |
|---|---|
| Fragments amplifying primers | |
| ORF25F | ATGACTTTAGCTGCTAAGTTAATAGT |
| ORF25R | CTAATGTAAATATACCCTTCTCAG |
| ORF72F | ATGGCAACAGACCAACAAGACC |
| ORF72R | TTACTTAAAGAGGTCTTCATAATTC |
| ORF primers for prokaryotic expression | |
| ORF25ES | CGCGGATCCATGACTTTAGCTGCTAAGTTAATAG |
| ORF25EA | AAGGAAAAAAGCGGCCGCAATGTAAATATACCCTTCTCAG |
| ORF72ES | CGCGAATTCATGGCAACAGACCAACAAGAC |
| ORF72EA | AAGGAAAAAAGCGGCCGCACTTAAAGAGGTCTTCATAATTC |
Publisher’s Note: MDPI stays neutral with regard to jurisdictional claims in published maps and institutional affiliations. |
© 2021 by the authors. Licensee MDPI, Basel, Switzerland. This article is an open access article distributed under the terms and conditions of the Creative Commons Attribution (CC BY) license (https://creativecommons.org/licenses/by/4.0/).
Share and Cite
Yu, J.; Liu, Y.; Huang, B.; Li, C.; Wang, D.; Yao, M.; Xin, L.; Bai, C.; Wang, C. Characterization of Host Cell Potential Proteins Interacting with OsHV-1 Membrane Proteins. Viruses 2021, 13, 2518. https://doi.org/10.3390/v13122518
Yu J, Liu Y, Huang B, Li C, Wang D, Yao M, Xin L, Bai C, Wang C. Characterization of Host Cell Potential Proteins Interacting with OsHV-1 Membrane Proteins. Viruses. 2021; 13(12):2518. https://doi.org/10.3390/v13122518
Chicago/Turabian StyleYu, Jiangnan, Ying Liu, Bowen Huang, Chen Li, Dandan Wang, Mengli Yao, Lusheng Xin, Changming Bai, and Chongming Wang. 2021. "Characterization of Host Cell Potential Proteins Interacting with OsHV-1 Membrane Proteins" Viruses 13, no. 12: 2518. https://doi.org/10.3390/v13122518
APA StyleYu, J., Liu, Y., Huang, B., Li, C., Wang, D., Yao, M., Xin, L., Bai, C., & Wang, C. (2021). Characterization of Host Cell Potential Proteins Interacting with OsHV-1 Membrane Proteins. Viruses, 13(12), 2518. https://doi.org/10.3390/v13122518

