Decreased Fetal Movements: A Sign of Placental SARS-CoV-2 Infection with Perinatal Brain Injury
Abstract
:1. Introduction
2. Methods
2.1. Patients’ Consent and Ethical Approval
2.2. Sample Collection and Microbiological Investigation
2.3. Placental Examination and In Situ SARS-CoV-2 Detection
2.4. SARS-CoV-2 Genome Sequencing
3. Case Description
3.1. Case 1
3.2. Case 2
4. Results
4.1. Maternal Outcomes
4.2. Placenta Analysis
4.3. Neonatal Outcomes
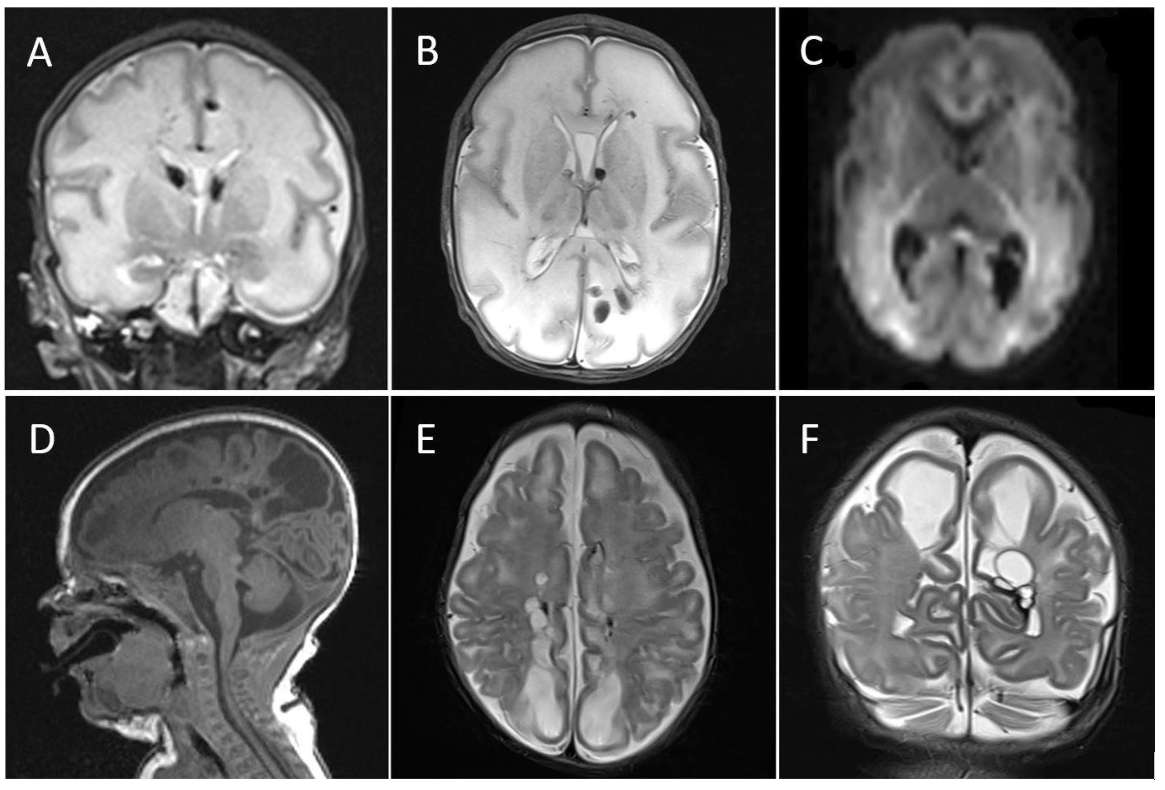
4.3.1. Case 1
4.3.2. Case 2
4.4. SARS-CoV-2 Sequencing
5. Discussion
6. Conclusions
Supplementary Materials
Author Contributions
Funding
Institutional Review Board Statement
Informed Consent Statement
Data Availability Statement
Conflicts of Interest
References
- Favre, G.; Pomar, L.; Musso, D.; Baud, D. 2019-nCoV epidemic: What about pregnancies? Lancet 2020, 395, e40. [Google Scholar] [CrossRef] [Green Version]
- Woodworth, K.R. Birth and Infant Outcomes Following Laboratory-Confirmed SARS-CoV-2 Infection in Pregnancy—SET-NET, 16 Jurisdictions, March 29–October 14, 2020. MMWR Morb. Mortal. Wkly. Rep. 2020, 69, 1635. [Google Scholar] [CrossRef] [PubMed]
- Allotey, J.; Stallings, E.; Bonet, M.; Yap, M.; Chatterjee, S.; Kew, T.; Debenham, L.; Llavall, A.C.; Dixit, A.; Zhou, D.; et al. Clinical manifestations, risk factors, and maternal and perinatal outcomes of coronavirus disease 2019 in pregnancy: Living systematic review and meta-analysis. BMJ 2020, 370, m3320. [Google Scholar] [CrossRef] [PubMed]
- Vouga, M.; Favre, G.; Martinez-Perez, O.; Pomar, L.; Acebal, L.F.; Abascal-Saiz, A.; Hernandez, M.R.V.; Hcini, N.; Lambert, V.; Carles, G.; et al. Maternal outcomes and risk factors for COVID-19 severity among pregnant women. Sci. Rep. 2021, 11, 13898. [Google Scholar] [CrossRef]
- Di Gennaro, F.; Marotta, C.; Pisani, L.; Veronese, N.; Pisani, V.; Lippolis, V.; Pellizer, G.; Pizzol, D.; Tognon, F.; Bavaro, D.F.; et al. Maternal caesarean section infection (MACSI) in Sierra Leone: A case-control study. Epidemiol. Infect. 2020, 148, e40. [Google Scholar] [CrossRef] [Green Version]
- Gale, C.; Quigley, M.A.; Placzek, A.; Knight, M.; Ladhani, S.; Draper, E.S.; Sharkey, D.; Doherty, C.; Mactier, H.; Kurinczuk, J.J. Characteristics and outcomes of neonatal SARS-CoV-2 infection in the UK: A prospective national cohort study using active surveillance. Lancet Child Adolesc. Health 2021, 5, 113–121. [Google Scholar] [CrossRef]
- Raschetti, R.; Vivanti, A.J.; Vauloup-Fellous, C.; Loi, B.; Benachi, A.; de Luca, D. Synthesis and systematic review of reported neonatal SARS-CoV-2 infections. Nat. Commun. 2020, 11, 5164. [Google Scholar] [CrossRef]
- Schoenmakers, S.; Snijder, P.; Verdijk, R.M.; Kuiken, T.; Kamphuis, S.S.M.; Koopman, L.P.; Krasemann, T.B.; Rousian, M.; Broekhuizen, M.; Steegers, E.A.P.; et al. Severe Acute Respiratory Syndrome Coronavirus 2 Placental Infection and Inflammation Leading to Fetal Distress and Neonatal Multi-Organ Failure in an Asymptomatic Woman. J. Pediatr. Infect. Dis. Soc. 2020, 10, 556–561. [Google Scholar] [CrossRef]
- Correia, C.R.; Marçal, M.; Vieira, F.; Santos, E.; Novais, C.; Maria, A.T.; Malveiro, D.; Prior, A.R.; Aguiar, M.; Salazar, A.; et al. Congenital SARS-CoV-2 Infection in a Neonate with Severe Acute Respiratory Syndrome. Pediatr. Infect. Dis. J. 2020, 39, e439–e443. [Google Scholar] [CrossRef]
- Vivanti, A.J.; Vauloup-Fellous, C.; Prevot, S.; Zupan, V.; Suffee, C.; Do Cao, J.; Benachi, A.; de Luca, D. Transplacental transmission of SARS-CoV-2 infection. Nat. Commun. 2020, 11, 3572. [Google Scholar] [CrossRef]
- Di Nicola, P.; Ceratto, S.; Dalmazzo, C.; Roasio, L.; Castagnola, E.; Sannia, A. Concomitant SARS-CoV-2 infection and severe neu-rologic involvement in a late-preterm neonate. Neurology 2020, 95, 834–835. [Google Scholar] [CrossRef] [PubMed]
- Hopwood, A.J.; Jordan-Villegas, A.; Gutierrez, L.D.; Cowart, M.C.; Vega-Montalvo, W.; Cheung, W.L.; McMahan, M.J.; Gomez, M.R.; Laham, F.R. Severe Acute Respiratory Syndrome Coronavirus-2 Pneumonia in a Newborn Treated with Remdesivir and Coronavirus Disease 2019 Convalescent Plasma. J. Pediatr. Infect. Dis. Soc. 2021, 10, 691–694. [Google Scholar] [CrossRef]
- Definition and Categorization of the Timing of Mother-to-Child Transmission of SARS-CoV-2. Available online: https://www.who.int/publications-detail-redirect/WHO-2019-nCoV-mother-to-child-transmission-2021.1 (accessed on 23 February 2021).
- Baud, D.; Greub, G.; Favre, G.; Gengler, C.; Jaton, K.; Dubruc, E.; Pomar, L. Second-Trimester Miscarriage in a Pregnant Woman With SARS-CoV-2 Infection. JAMA 2020, 323, 2198–2200. [Google Scholar] [CrossRef] [PubMed]
- Greub, G.; Sahli, R.; Brouillet, R.; Jaton, K. Ten years of R&D and full automation in molecular diagnosis. Future Microbiol. 2016, 11, 403–425. [Google Scholar] [CrossRef] [Green Version]
- Opota, O.; Brouillet, R.; Greub, G.; Jaton, K. Comparison of SARS-CoV-2 RT-PCR on a high-throughput molecular diagnostic platform and the cobas SARS-CoV-2 test for the diagnostic of COVID-19 on various clinical samples. Pathog. Dis. 2020, 78, ftaa061. [Google Scholar] [CrossRef] [PubMed]
- Khong, T.Y.; Mooney, E.E.; Ariel, I.; Balmus, N.C.M.; Boyd, T.K.; Brundler, M.-A.; Derricott, H.; Evans, M.J.; Faye-Petersen, O.M.; Gillan, J.E.; et al. Sampling and Definitions of Placental Lesions: Amsterdam Placental Workshop Group Consensus Statement. Arch. Pathol. Lab. Med. 2016, 140, 698–713. [Google Scholar] [CrossRef] [PubMed] [Green Version]
- Kubik, S.; Marques, A.C.; Xing, X.; Silvery, J.; Bertelli, C.; de Maio, F.; Pournaras, S.; Burr, T.; Duffourd, Y.; Siemens, H.; et al. Recommendations for accurate genotyping of SARS-CoV-2 using amplicon-based sequencing of clinical samples. Clin. Microbiol. Infect. 2021, 27, 1036.e1–1036.e8. [Google Scholar] [CrossRef]
- Rambaut, A.; Holmes, E.C.; O’Toole, Á.; Hill, V.; McCrone, J.T.; Ruis, C.; du Plessis, L.; Pybus, O.G. A dynamic nomenclature proposal for SARS-CoV-2 lineages to assist genomic epidemiology. Nat. Microbiol. 2020, 5, 1403–1407. [Google Scholar] [CrossRef]
- Berezowska, S.; Lefort, K.; Ioannidou, K.; Ndiaye, D.-R.; Maison, D.; Petrovas, C.; Rotman, S.; Piazzon, N.; Milowich, D.; Sala, N.; et al. Postmortem Cardiopulmonary Pathology in Patients with COVID-19 Infection: Single-Center Report of 12 Autopsies from Lausanne, Switzerland. Diagnostics 2021, 11, 1357. [Google Scholar] [CrossRef]
- Long, Q.X.; Liu, B.Z.; Deng, H.J.; Wu, G.C.; Deng, K.; Chen, Y.K.; Liao, P.; Qiu, J.F.; Lin, Y.; Cai, X.F.; et al. Antibody responses to SARS-CoV-2 in patients with COVID-19. Nat. Med. 2020, 26, 845–848. [Google Scholar] [CrossRef]
- Joseph, N.T.; Dude, C.M.; Verkerke, H.P.; Irby, L.S.; Dunlop, A.L.; Patel, R.M.; Easley, K.A.; Smith, A.K.; Stowell, S.R.; Jamieson, D.J.; et al. Maternal Antibody Response, Neutralizing Potency, and Placental Antibody Transfer After Severe Acute Respiratory Syndrome Coronavirus 2 (SARS-CoV-2) Infection. Obstet. Gynecol. 2021, 138, 189–197. [Google Scholar] [CrossRef]
- Pomar, L.; Nielsen-Saines, K.; Baud, D. Stability of severe acute respiratory syndrome coronavirus 2 RNA in placenta and fetal cells. Am. J. Obstet. Gynecol. 2021, 224, 126–127. [Google Scholar] [CrossRef] [PubMed]
- Schwartz, D.A.; Morotti, D. Placental Pathology of COVID-19 with and without Fetal and Neonatal Infection: Trophoblast Necrosis and Chronic Histiocytic Intervillositis as Risk Factors for Transplacental Transmission of SARS-CoV-2. Viruses 2020, 12, 1308. [Google Scholar] [CrossRef] [PubMed]
- Lorenz, N.; Treptow, A.; Schmidt, S.; Hofmann, R.; Raumer-Engler, M.; Heubner, G.; Gröber, K. Neonatal Early-Onset Infection With SARS-CoV-2 in a Newborn Presenting with Encephalitic Symptoms. Pediatr. Infect. Dis. J. 2020, 39, e212. [Google Scholar] [CrossRef] [PubMed]
- Van Haastert, I.C.; Groenendaal, F.; Uiterwaal, C.S.; Termote, J.U.; van der Heide-Jalving, M.; Eijsermans, M.J.; Gorter, J.W.; Helders, P.J.; Jongmans, M.J.; de Vries, L.S. Decreasing incidence and severity of cerebral palsy in prematurely born children. J. Pediatr. 2011, 159, 86–91. [Google Scholar] [CrossRef] [PubMed]
- Schneider, J.; Miller, S.P. Preterm brain Injury: White matter injury. Handb. Clin. Neurol. 2019, 162, 155–172. [Google Scholar] [CrossRef]
- Pezzini, A.; Padovani, A. Lifting the mask on neurological manifestations of COVID-19. Nat. Rev. Neurol. 2020, 16, 636–644. [Google Scholar] [CrossRef]
- Lin, J.E.; Asfour, A.; Sewell, T.B.; Hooe, B.; Pryce, P.; Earley, C.; Shen, M.Y.; Kerner-Rossi, M.; Thakur, K.T.; Vargas, W.S.; et al. Neurological issues in children with COVID-19. Neurosci. Lett. 2021, 743, 135567. [Google Scholar] [CrossRef]
- Bernard-Valnet, R.; Perriot, S.; Canales, M.; Pizzarotti, B.; Caranzano, L.; Castro-Jiménez, M.; Epiney, J.-B.; Vijiala, S.; Salvioni-Chiabotti, P.; Anichini, A.; et al. Encephalopathies Associated with Severe COVID-19 Present Neurovascular Unit Alterations Without Evidence for Strong Neuroinflammation. Neurol.—Neuroimmunol. Neuroinflammation 2021, 8, e1029. Available online: https://nn.neurology.org/content/8/5/e (accessed on 27 September 2021). [CrossRef]
- Stafstrom, C.E.; Jantzie, L.L. COVID-19: Neurological Considerations in Neonates and Children. Children 2020, 7, 133. Available online: www.ncbi.nlm.nih.gov/pmc/articles/PMC7552690/ (accessed on 7 September 2021). [CrossRef]
- McCarty, K.L.; Tucker, M.; Lee, G.; Pandey, V. Fetal Inflammatory Response Syndrome Associated with Maternal SARS-CoV-2 Infection. Pediatrics 2020, 147, e2020010132. [Google Scholar] [CrossRef] [PubMed]
- Hadfield, J.; Megill, C.; Bell, S.M.; Huddleston, J.; Potter, B.; Callender, C.; Sagulenko, P.; Bedford, T.; Neher, R.A. Nextstrain: Real-time tracking of pathogen evolution. Bioinformatics 2018, 34, 4121–4123. [Google Scholar] [CrossRef] [PubMed]
- Quaglio, G.; Tognon, F.; Finos, L.; Bome, D.; Sesay, S.; Kebbie, A.; di Gennaro, F.; Camara, B.S.; Marotta, C.; Pisani, V.; et al. Impact of Ebola outbreak on reproductive health services in a rural district of Sierra Leone: A prospective observational study. BMJ Open 2019, 9, e029093. [Google Scholar] [CrossRef] [PubMed] [Green Version]



| Before Birth | Birth | H11 | H36 | H48 | DOL 4 | DOL 7 | |
|---|---|---|---|---|---|---|---|
| Newborn | |||||||
| Cord blood PCR | - | POSITIVE 1 | - | - | - | - | - |
| Tracheal secretion PCR | - | - | POSITIVE 2 | - | - | - | - |
| Nasopharyngeal swab PCR | - | - | - | Negative | - | - | - |
| Serum PCR | - | - | Negative | - | Negative | - | Negative |
| Serology IgG | - | - | - | Negative | - | - | - |
| Serology IgM | - | - | - | Negative | - | - | - |
| Blood culture | - | Negative | - | - | - | - | - |
| Mother | |||||||
| Nasopharyngeal swab PCR | POSITIVE | - | - | - | - | - | - |
| Serology IgG | - | - | - | - | - | POSITIVE 3 | - |
| Placenta | |||||||
| Placenta swab PCR IgM | - | POSITIVE 4 | - | - | - | - | - |
| SARS-CoV-2 identification | - | POSITIVE 5 | - | - | - | - | - |
| Before Birth | Birth | H5 | H16 | DOL 3 | DOL 4 | DOL 5 | |
|---|---|---|---|---|---|---|---|
| Newborn | |||||||
| Nasopharyngeal swab PCR | - | - | - | Negative | Negative | - | - |
| Blood culture | - | - | Negative | - | - | Negative | Negative |
| Cerebrospinal fluid PCR | - | - | - | - | - | - | Negative |
| Mother | |||||||
| Nasopharyngeal swab PCR | POSITIVE | - | - | - | - | - | - |
| Placenta | |||||||
| Placental swab PCR | - | POSITIVE 1 | - | - | - | - | - |
| SARS-CoV-2 identification | - | POSITIVE 2 | - | - | - | - | - |
Publisher’s Note: MDPI stays neutral with regard to jurisdictional claims in published maps and institutional affiliations. |
© 2021 by the authors. Licensee MDPI, Basel, Switzerland. This article is an open access article distributed under the terms and conditions of the Creative Commons Attribution (CC BY) license (https://creativecommons.org/licenses/by/4.0/).
Share and Cite
Favre, G.; Mazzetti, S.; Gengler, C.; Bertelli, C.; Schneider, J.; Laubscher, B.; Capoccia, R.; Pakniyat, F.; Ben Jazia, I.; Eggel-Hort, B.; et al. Decreased Fetal Movements: A Sign of Placental SARS-CoV-2 Infection with Perinatal Brain Injury. Viruses 2021, 13, 2517. https://doi.org/10.3390/v13122517
Favre G, Mazzetti S, Gengler C, Bertelli C, Schneider J, Laubscher B, Capoccia R, Pakniyat F, Ben Jazia I, Eggel-Hort B, et al. Decreased Fetal Movements: A Sign of Placental SARS-CoV-2 Infection with Perinatal Brain Injury. Viruses. 2021; 13(12):2517. https://doi.org/10.3390/v13122517
Chicago/Turabian StyleFavre, Guillaume, Sara Mazzetti, Carole Gengler, Claire Bertelli, Juliane Schneider, Bernard Laubscher, Romina Capoccia, Fatemeh Pakniyat, Inès Ben Jazia, Béatrice Eggel-Hort, and et al. 2021. "Decreased Fetal Movements: A Sign of Placental SARS-CoV-2 Infection with Perinatal Brain Injury" Viruses 13, no. 12: 2517. https://doi.org/10.3390/v13122517
APA StyleFavre, G., Mazzetti, S., Gengler, C., Bertelli, C., Schneider, J., Laubscher, B., Capoccia, R., Pakniyat, F., Ben Jazia, I., Eggel-Hort, B., de Leval, L., Pomar, L., Greub, G., Baud, D., & Giannoni, E. (2021). Decreased Fetal Movements: A Sign of Placental SARS-CoV-2 Infection with Perinatal Brain Injury. Viruses, 13(12), 2517. https://doi.org/10.3390/v13122517

