Development and External Validation of [18F]FDG PET-CT-Derived Radiomic Models for Prediction of Abdominal Aortic Aneurysm Growth Rate
Abstract
1. Introduction
2. Materials and Methods
2.1. Internal Patient Selection
2.2. Imaging Acquisition and Reconstruction Parameters
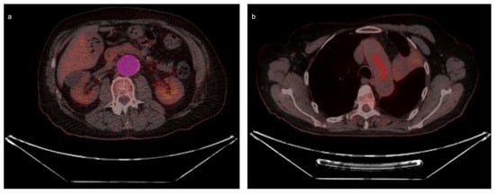
2.3. Image Pre-Processing
2.4. Radiomic Feature Analysis
2.5. AAA Growth Rate Prediction Modelling
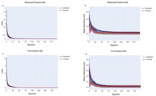
2.6. Multi-Layer Perceptron (MLP) Architecture
2.7. Model Uncertainty Quantification
2.8. Evaluation Metrics
2.9. Additional Machine Learning Models
2.10. External Validation
2.11. Hardware Specifications
2.12. Statistical Analysis
3. Results
4. Discussion
5. Conclusions
Supplementary Materials
Author Contributions
Funding
Institutional Review Board Statement
Data Availability Statement
Conflicts of Interest
Abbreviations
| AAA | Abdominal Aortic Aneurysm |
| APC | Article Processing Charge |
| BRC | Biomedical Research Centre |
| CAD | Coronary Artery Disease |
| CFD | Computational Fluid Dynamics |
| CT | Computed Tomography |
| EVAR | Endovascular Aneurysm Repair |
| FDG | Fluorine-18-2-Deoxy-D-Glucose |
| FMD | Flow-Mediated Dilation |
| GAM | Generalised Additive Model |
| GLCM | Gray-Level Co-Occurrence Matrix |
| GLDM | Gray-Level Dependence Matrix |
| IBSI | Imaging Biomarker Standardization Initiative |
| MAE | Mean Absolute Error |
| MLP | Multi-Layer Perceptron |
| ML | Machine Learning |
| PET-CT | Positron Emission Tomography–Computed Tomography |
| PI | Prediction Interval |
| PVAT | Perivascular Adipose Tissue |
| RFE | Recursive Feature Elimination |
| RF | Random Forest |
| SD | Standard Deviation |
| SVM | Support Vector Machine |
| TRIPOD | Transparent Reporting of a Multivariable Prediction Model for Individual Prognosis or Diagnosis |
| UK | United Kingdom |
| US | Ultrasound |
| VOI | Volume of Interest |
References
- Sakalihasan, N.; Michel, J.B.; Katsargyris, A.; Kuivaniemi, H.; Defraigne, J.O.; Nchimi, A.; Hultgren, R. Abdominal aortic aneurysms. Nat. Rev. Dis. Primers 2018, 4, 34. [Google Scholar] [CrossRef] [PubMed]
- Li, X.; Zhao, G.; Zhang, J.; Duan, Z.; Xin, S. Prevalence and Trends of the Abdominal Aortic Aneurysms Epidemic in General Population—A Meta-Analysis. PLoS ONE 2013, 8, e81260. [Google Scholar] [CrossRef] [PubMed]
- Larsson, E.; Granath, F.; Swedenborg, J.; Hultgren, R. A population-based case-control study of the familial risk of abdominal aortic aneurysm. J. Vasc. Surg. 2009, 49, 47–50. [Google Scholar] [CrossRef] [PubMed]
- Blanchard, J.F.; Armenian, H.K.; Friesen, P.P. Risk factors for abdominal aortic aneurysm: Results of a case-control study. Am. J. Epidemiol. 2000, 151, 575–583. [Google Scholar] [CrossRef]
- Kent, K.C.; Zwolak, R.M.; Egorova, N.N.; Riles, T.S.; Manganaro, A.; Moskowitz, A.J.; Gelijns, A.C.; Greco, G. Analysis of risk factors for abdominal aortic aneurysm in a cohort of more than 3 million individuals. J. Vasc. Surg. 2010, 52, 539–548. [Google Scholar] [CrossRef]
- Shum, J.; Xu, A.; Chatnuntawech, I.; Finol, E. A framework for the automatic generation of surface topologies for abdominal aortic aneurysm models. Ann. Biomed. Eng. 2010, 39, 249–259. [Google Scholar] [CrossRef]
- Thompson, S.; Brown, L.; Sweeting, M.; Bown, M.; Kim, L.; Glover, M.; Buxton, M.; Powell, J. Systematic review and meta-analysis of the growth and rupture rates of small abdominal aortic aneurysms: Implications for surveillance intervals and their cost-effectiveness. Health Technol. Assess 2013, 17, 1–118. [Google Scholar] [CrossRef]
- Brown, P.M.; Zelt, D.T.; Sobolev, B. The risk of rupture in untreated aneurysms: The impact of size, gender, and expansion rate. J. Vasc. Surg. 2003, 37, 280–284. [Google Scholar] [CrossRef]
- Aggarwal, S.; Qamar, A.; Sharma, V.; Sharma, A. Abdominal aortic aneurysm: A comprehensive review. Exp. Clin. Cardiol. 2011, 16, 11–15. [Google Scholar]
- GOVUK. AAA Screening: Professional Guidance. GOVUK. 2020. Available online: https://www.gov.uk/government/collections/aaa-screening-supporting-documents (accessed on 27 November 2024).
- US Preventive Services Task Force; Owens, D.; Davidson, K.; Krist, A. Screening for Abdominal Aortic Aneurysm: US Preventive Services Task Force Recommendation Statement. JAMA 2019, 322, 2211. [Google Scholar] [CrossRef]
- Lee, H.; Paeng, J.C.; Kim, K.H.; Cheon, G.J.; Lee, D.S.; Chung, J.-K.; Kang, K.W. Correlation of [18F]FDG PET/CT Findings with Long-Term Growth and Clinical Course of Abdominal Aortic Aneurysm. Nucl. Med. Mol. Imaging 2018, 52, 46–52. [Google Scholar] [CrossRef] [PubMed]
- Reeps, C.; Essler, M.; Pelisek, J.; Seidl, S.; Eckstein, H.-H.; Krause, B.-J. Increased 18F-fluorodeoxyglucose uptake in abdominal aortic aneurysms in positron emission/computed tomography is associated with inflammation, aortic wall instability, and acute symptoms. J. Vasc. Surg. 2008, 48, 417–423. [Google Scholar] [CrossRef] [PubMed]
- Akerele, M.I.; Karakatsanis, N.A.; Forsythe, R.O.; Dweck, M.R.; Syed, M.; Aykroyd, R.G.; Tsoumpas, C. Iterative reconstruction incorporating background correction improves quantification of [18F]-NaF PET/CT images of patients with abdominal aortic aneurysm. J. Nucl. Cardiol. 2019, 28, 1875–1886. [Google Scholar] [CrossRef] [PubMed]
- Kotze, C.W.; Groves, A.M.; Menezes, L.J.; Harvey, R.; Endozo, R.; Kayani, I.A.; Yusuf, S.W. What is the relationship between 18F-[18F]FDG aortic aneurysm uptake on PET/CT and future growth rate? Eur. J. Nucl. Med. Mol. Imaging 2011, 38, 1493–1499. [Google Scholar] [CrossRef]
- Kotze, C.W.; Menezes, L.J.; Endozo, R.; Groves, A.M.; Ell, P.J.; Yusuf, S.W. Increased metabolic activity in abdominal aortic aneurysm detected by 18F-fluorodeoxyglucose (18F-[18F]FDG) positron emission tomography/computed tomography (PET/CT). Eur. J. Vasc. Endovasc. Surg. 2008, 38, 93–99. [Google Scholar] [CrossRef]
- Gandhi, R.; Bell, M.; Bailey, M.; Tsoumpas, C. Prospect of positron emission tomography for abdominal aortic aneurysm risk stratification. J. Nucl. Cardiol. 2021, 28, 2272–2282. [Google Scholar] [CrossRef]
- Lambin, P.; Leijenaar, R.T.H.; Deist, T.M.; Peerlings, J.; de Jong, E.E.C.; van Timmeren, J.; Sanduleanu, S.; Larue, R.T.H.M.; Even, A.J.G.; Jochems, A.; et al. Radiomics: The bridge between medical imaging and personalized medicine. Nat. Rev. Clin. Oncol. 2017, 14, 749–762. [Google Scholar] [CrossRef]
- Shi, Z.; Traverso, A.; Soest, J.; Dekker, A.; Wee, L. Technical Note: Ontology-guided radiomics analysis workflow (O-RAW). Med. Phys. 2019, 46, 5677–5684. [Google Scholar] [CrossRef]
- Fornacon-Wood, I.; Faivre-Finn, C.; O’Connor, J.P.B.; Price, G.J. Radiomics as a personalized medicine tool in lung cancer: Separating the hope from the hype. Lung Cancer 2020, 46, 197–208. [Google Scholar] [CrossRef]
- Peng, H.; Dong, D.; Fang, M.-J.; Li, L.; Tang, L.-L.; Chen, L.; Li, W.-F.; Mao, Y.-P.; Fan, W.; Liu, L.-Z.; et al. Prognostic Value of Deep Learning PET/CT-Based Radiomics: Potential Role for Future Individual Induction Chemotherapy in Advanced Nasopharyngeal Carcinoma. CliN. Cancer Res. 2019, 25, 4271–4279. [Google Scholar] [CrossRef]
- Carvalho, S.; Leijenaar, R.T.H.; Troost, E.G.C.; van Timmeren, J.E.; Oberije, C.; van Elmpt, W.; de Geus-Oei, L.-F.; Bussink, J.; Lambin, P. 18F-fluorodeoxyglucose positron-emission tomography ([18F]FDG-PET)-Radiomics of metastatic lymph nodes and primary tumor in non-small cell lung cancer (NSCLC)—A prospective externally validated study. PLoS ONE 2018, 13, e0192859. [Google Scholar] [CrossRef] [PubMed]
- Nougaret, S.; Tibermacine, H.; Tardieu, M.; Sala, E. Radiomics: An Introductory Guide to What It May Foretell. Curr. Oncol. Rep. 2019, 21, 70. [Google Scholar] [CrossRef] [PubMed]
- Lee, J.W.; Lee, S.M. Radiomics in Oncological PET/CT: Clinical Applications. Nucl. Med. Mol. Imaging 2018, 52, 170–189. [Google Scholar] [CrossRef] [PubMed]
- Collins, G.S.; Reitsma, J.B.; Altman, D.G.; Moons, K.G.M. Transparent reporting of a multivariable prediction model for individual prognosis or diagnosis (TRIPOD): The TRIPOD statement. BMJ 2015, 350, g7594. [Google Scholar] [CrossRef]
- Leijenaar, R.T.; Nalbantov, G.; Carvalho, S.; Van Elmpt, W.J.; Troost, E.G.; Boellaard, R.; Lambin, P. The effect of SUV discretization in quantitative [18F]FDG-PET Radiomics: The need for standardized methodology in tumor texture analysis. Sci. Rep. 2015, 5, 11075. [Google Scholar] [CrossRef]
- Leijenaar, R.T.; Carvalho, S.; Velazquez, E.R.; Van Elmpt, W.J.; Parmar, C.; Hoekstra, O.S.; Lambin, P. Stability of [18F]FDG-PET Radiomics features: An integrated analysis of test-retest and inter-observer variability. Acta Oncol. 2013, 52, 1391–1397. [Google Scholar] [CrossRef]
- Pyradiomics. Frequently Asked Questions—Pyradiomics v3.0.post5+gf06ac1d Documentation. Pyradiomics. 2020. Available online: https://pyradiomics.readthedocs.io/en/latest/faq.html (accessed on 27 November 2024).
- Zwanenburg, A.; Vallières, M.; Abdalah, M.A.; Aerts, H.J.; Andrearczyk, V.; Apte, A.; Ashrafinia, S.; Bakas, S.; Beukinga, R.J.; Boellaard, R.; et al. The image biomarker standardization initiative: Standardized quantitative radiomics for high-throughput image-based phenotyping. Radiology 2020, 295, 328–338. [Google Scholar] [CrossRef]
- Saleem, B.R.; Beukinga, R.J.; Boellaard, R.; Glaudemans, A.W.J.M.; Reijnen, M.M.P.J.; Zeebregts, C.J.; Slart, R.H.J.A. Textural features of 18F-fluorodeoxyglucose positron emission tomography scanning in diagnosing aortic prosthetic graft infection. Eur. J. Nucl. Med. Mol. Imaging 2017, 44, 886–894. [Google Scholar] [CrossRef]
- Github. GitHub—Scikit-Learn/Scikit-Learn: Scikit-Learn: Machine Learning in Python. 2020. Available online: https://github.com/scikit-learn/scikit-learn (accessed on 27 November 2024).
- Breiman, L. Random Forests. Mach. Learn. 2001, 45, 5–32. [Google Scholar] [CrossRef]
- Keras. Keras: The Python Deep Learning API. 2020. Available online: https://keras.io/ (accessed on 27 November 2024).
- Srivastava, N.; Hinton, G.; Krizhevsky, A.; Sutskever, I.; Salakhutdinov, R. Dropout: A Simple Way to Prevent Neural Networks from Overfitting. J. Mach. Learn. Res. 2014, 15, 1958. [Google Scholar]
- Team, K. Keras Documentation: RMSprop. 2020. Available online: https://keras.io/api/optimizers/rmsprop/ (accessed on 27 November 2024).
- Gal, Y.; Ghahramani, Z. Dropout as a Bayesian Approximation: Representing Model Uncertainty in Deep Learning. Int. Conf. Mach. Learn. 2016, 48, 1050–1059. [Google Scholar]
- James, G.; Witten, D.; Hastie, T.; Tibshirani, R.; James, G.; Witten, D.; Hastie, T.; Tibshirani, R. Linear model selection and regularization. Introd. Stat. Learn. Appl. R 2021, 2021, 225–288. [Google Scholar]
- Collins, G.S.; Dhiman, P.; Ma, J.; Schlussel, M.M.; Archer, L.; Van Calster, B.; Harrell, F.E.; Martin, G.P.; Moons, K.G.; Van Smeden, M.; et al. Evaluation of clinical prediction models (part 1): From development to external validation. BMJ 2024, 8, 384. [Google Scholar] [CrossRef] [PubMed]
- Riley, R.D.; Archer, L.; Snell, K.I.; Ensor, J.; Dhiman, P.; Martin, G.P.; Bonnett, L.J.; Collins, G.S. Evaluation of clinical prediction models (part 2): How to undertake an external validation study. BMJ 2024, 15, 384. [Google Scholar] [CrossRef]
- Higashi, K.; Ueda, Y.; Ayabe, K.; Sakurai, A.; Seki, H.; Nambu, Y.; Oguchi, M.; Shikata, H.; Taki, S.; Tonami, H.; et al. FDG PET in the evaluation of the aggressiveness of pulmonary adenocarcinoma: Correlation with histopathological features. Nucl. Med. Commun. 2000, 21, 707–714. [Google Scholar] [CrossRef]
- Fathinul, F.; Nordin, A.J.; Lau, W.F. 18 [F] FDG-PET/CT is a useful molecular marker in evaluating tumour aggressiveness: A revised understanding of an in-vivo FDG-PET imaging that alludes the alteration of cancer biology. Cell Biochem. Biophys. 2013, 66, 37–43. [Google Scholar] [CrossRef][Green Version]
- Kitagawa, Y.; Sano, K.; Nishizawa, S.; Nakamura, M.; Ogasawara, T.; Sadato, N.; Yonekura, Y. FDG-PET for prediction of tumour aggressiveness and response to intra-arterial chemotherapy and radiotherapy in head and neck cancer. Eur. J. Nucl. Med. Mol. Imaging 2003, 30, 63–71. [Google Scholar] [CrossRef]
- Dholakia, A.S.; Chaudhry, M.; Leal, J.P.; Chang, D.T.; Raman, S.P.; Hacker-Prietz, A.; Su, Z.; Pai, J.; Oteiza, K.E.; Griffith, M.E.; et al. Baseline metabolic tumor volume and total lesion glycolysis are associated with survival outcomes in patients with locally advanced pancreatic cancer receiving stereotactic body radiation therapy. Int. J. Radiat. Oncol. Biol. Phys. 2014, 89, 539–546. [Google Scholar] [CrossRef]
- Badesha, A.S.; Frood, R.; Bailey, M.A.; Coughlin, P.M.; Scarsbrook, A.F. A Scoping Review of Machine-Learning Derived Radiomic Analysis of CT and PET Imaging to Investigate Atherosclerotic Cardiovascular Disease. Tomography 2024, 10, 1455–1487. [Google Scholar] [CrossRef]
- Gillies, R.J.; Kinahan, P.E.; Hricak, H. Radiomics: Images are more than pictures, they are data. Radiology 2016, 278, 563–577. [Google Scholar] [CrossRef]
- Jaakkola, P.; Hippeläinen, M.; Farin, P.; Rytkönen, H.; Kainulainen, S.; Partanen, K. Interobserver variability in measuring the dimensions of the abdominal aorta: Comparison of ultrasound and computed tomography. Eur. J. Vasc. Endovasc. Surg. 1996, 12, 230–237. [Google Scholar] [CrossRef] [PubMed]
- Singh, K.; Jacobsen, B.K.; Solberg, S.; Bønaa, K.H.; Kumar, S.; Bajic, R.; Arnesen, E. Intra- and interobserver variability in the measurements of abdominal aortic and common iliac artery diameter with computed tomography. The Tromsø study. Eur. J. Vasc. Endovasc. Surg. 2003, 25, 399–407. [Google Scholar] [CrossRef] [PubMed]
- Limet, R.; Sakalihassan, N.; Albert, A. Determination of the expansion rate and incidence of rupture of abdominal aortic aneurysms. J. Vasc. Surg. 1991, 14, 540–548. [Google Scholar] [CrossRef] [PubMed]
- Powell, J.T.; Sweeting, M.J.; Brown, L.C.; Gotensparre, S.M.; Fowkes, F.G.; Thompson, S.G. Systematic review and meta-analysis of growth rates of small abdominal aortic aneurysms. J. Br. Surg. 2011, 98, 609–618. [Google Scholar] [CrossRef]
- Hirata, K.; Nakaura, T.; Nakagawa, M.; Kidoh, M.; Oda, S.; Utsunomiya, D.; Yamashita, Y. Machine Learning to Predict the Rapid Growth of Small Abdominal Aortic Aneurysm. J. Comput. Assist. Tomogr. 2020, 44, 37–42. [Google Scholar] [CrossRef]
- Lee, R.; Jarchi, D.; Perera, R.; Jones, A.; Cassimjee, I.; Handa, A.; Clifton, D.; Bellamkonda, K.; Woodgate, F.; Killough, N.; et al. Applied Machine Learning for the Prediction of Growth of Abdominal Aortic Aneurysm in Humans. EJVES Short Rep. 2018, 39, 24–28. [Google Scholar] [CrossRef]
- Rengarajan, B.; Wu, W.; Wiedner, C.; Ko, D.; Muluk, S.C.; Eskandari, M.K.; Menon, P.G.; Finol, E.A. A Comparative Classification Analysis of Abdominal Aortic Aneurysms by Machine Learning Algorithms. Ann. Biomed. Eng. 2020, 48, 1419–1429. [Google Scholar] [CrossRef]
- Chandrashekar, A.; Handa, A.; Lapolla, P.; Shivakumar, N.; Ngetich, E.; Grau, V.; Lee, R. Prediction of abdominal aortic aneurysm growth using geometric assessment of computerized tomography images acquired during the aneurysm surveillance period. Ann. Surg. 2023, 277, e175–e183. [Google Scholar] [CrossRef]
- Lv, R.; Hu, G.; Zhang, S.; Zhang, Z.; Chen, J.; Wang, K.; Wang, Z.; Jin, Z. Assessing abdominal aortic aneurysm growth using radiomic features of perivascular adipose tissue after endovascular repair. Insights Into Imaging 2024, 15, 232. [Google Scholar] [CrossRef]
- Kotanidis, C.P.; Antoniades, C. Perivascular fat imaging by computed tomography (CT): A virtual guide. Br. J. Pharmacol. Nov. 2021, 178, 4270–4290. [Google Scholar] [CrossRef]
- Oikonomou, E.K.; Williams, M.C.; Kotanidis, C.P.; Desai, M.Y.; Marwan, M.; Antonopoulos, A.S.; Thomas, K.; Thomas, S.; Akoumianakis, I.; Fan, L.M.; et al. A novel machine learning-derived radiotranscriptomic signature of perivascular fat improves cardiac risk prediction using coronary CT angiography. Eur. Heart J. 2019, 40, 3529–3543. [Google Scholar] [CrossRef] [PubMed]
- Ding, N.; Hao, Y.; Wang, Z.; Xuan, X.; Kong, L.; Xue, H.; Jin, Z. CT texture analysis predicts abdominal aortic aneurysm post-endovascular aortic aneurysm repair progression. Sci. Rep. 2020, 10, 12268. [Google Scholar] [CrossRef] [PubMed]
- Rezaeitaleshmahalleh, M.; Mu, N.; Lyu, Z.; Zhou, W.; Zhang, X.; Rasmussen, T.E.; McBane, R.D.; Jiang, J. Radiomic-based textural analysis of intraluminal thrombus in aortic abdominal aneurysms: A demonstration of automated workflow. J. Cardiovasc. Trans Res. 2020, 16, 1123–1134. [Google Scholar] [CrossRef] [PubMed]
- Vittinghoff, E.; McCulloch, C.E. Relaxing the rule of ten events per variable in logistic and Cox regression. Am. J. Epidemiol. 2007, 165, 710–718. [Google Scholar] [CrossRef] [PubMed]





| Dates | Scanner | Reconstruction | Scatter Correction | Randoms Correction | Matrix | Voxel Size (x, y, z) |
|---|---|---|---|---|---|---|
| January 2009–May 2010 | GE Healthcare STE | OSEM 1 | Convolution subtraction | Singles | 128 | 4.6875 × 4.6875 × 3.27 |
| June 2010–October 2015 | Philips Gemini TF64 | BLOB-OS-TF 2 | SS-SIMUL 4 | DLYD 5 | 144 or 169 | 4 × 4 × 4 |
| June 2010–March 2020 | GE Healthcare Discovery 690 | VPFX 3 | Model based | Singles | 192 | 3.65 × 3.65 × 3.27 |
| May 2015–March 2020 | GE Healthcare Discovery 710 | VPFX | Model based | Singles | 192 | 3.65 × 3.65 × 3.27 |
| Feature Class | Feature Count | Feature Names |
|---|---|---|
| First Order | 4 | 90Percentile, Maximum, Uniformity, Variance |
| Gray Level Co-Occurrence Matrix | 2 | DifferenceAverage, Imc1 |
| Gray Level Run Length Matrix | 2 | ShortRunHighGrayLevelEmphasis, ShortRunLowGrayLevelEmphasis |
| Gray Level Size Zone Matrix | 12 | GrayLevelNonUniformity, GrayLevelNonUniformityNormalised, GrayLevelVariance, HighGrayLevelZoneEmphasis, LargeAreaEmphasis, LargeAreaHighGrayLevelEmphasis, LargeAreaLowGrayLevelEmphasis, LowGrayLevelZoneEmphasis, SizeZoneNonUniformity, SizeZoneNonUniformityNormalised, SmallAreaEmphasis, SmallAreaHighGrayLevelEmphasis, SmallAreaLowGrayLevelEmphasis, ZoneEntropy, ZonePercentage, ZoneVariance |
| Neighbouring Gray Tone Difference Matrix | 5 | Busyness, Coarseness, Complexity, Contrast, Strength |
| (a) | |||
| Total | Internal | External | |
| No. of Patients | 153 | 98 | 55 |
| Male/female | 126/27 | 77/21 | 49/6 |
| Median Age, years | 77 (range: 58–105) | 76 (range: 61–92) | 80 (range: 58–105) |
| Median follow-up time, years | N/A 1 | 3 years (range: 0–15) | N/A 1 |
| Median number of follow-up ultrasound scans | N/A 1 | 7 (range: 2–36) | N/A 1 |
| Progression to open repair | 17 | 5 | 12 |
| Progression to EVAR | N/A 1 | 1 | N/A 1 |
| Stable—no intervention | N/A 1 | 147 | N/A 1 |
| (b) | |||
| Scanner Model | Count | ||
| GE Healthcare Discovery 710 | 54 | ||
| GE Healthcare Discovery 690 | 13 | ||
| GE Healthcare Discovery STE | 9 | ||
| Philips Gemini TF64 | 22 | ||
| Training and Validation | Internal Testing | External Testing | Statistical Test | Internal | External | |||||
|---|---|---|---|---|---|---|---|---|---|---|
| Z-Score | p-Value | Significance | Z-Score | p-Value | Significance | |||||
| Total Patients | 69 | 29 | 55 | |||||||
| Male/Female | 57/12 | 20/9 | 49/6 | Z-Test for Two Proportions | 1.5024 | 0.1336 | Not significant at p < 0.05 | −1.57 | 0.1163 | Not significant at p < 0.05 |
| Median Age (Years) | 75.7 (60.0–91.8) | 76.3 (60.7–90.7) | 80.0 (58–105) | Mann–Whitney U-Test | −0.1323 | 0.8966 | Not significant at p < 0.05 | −4.55 | 5.34 × 10−6 | Significant at p > 0.05 2 |
| Median Follow-Up Time (Years) | 3.2 (0.57–12.6) | 3.5 (0.48–14.8) | N/A 1 | Mann–Whitney U-Test | −0.0642 | 0.9522 | Not significant at p < 0.05 | N/A 1 | N/A 1 | N/A 1 |
| Median Number of Ultrasound Scans | 7 (2–30) | 6 (2–36) | N/A 1 | Mann–Whitney U-Test | 1.5683 | 0.1164 | Not significant at p < 0.05 | N/A 1 | N/A 1 | N/A 1 |
Disclaimer/Publisher’s Note: The statements, opinions and data contained in all publications are solely those of the individual author(s) and contributor(s) and not of MDPI and/or the editor(s). MDPI and/or the editor(s) disclaim responsibility for any injury to people or property resulting from any ideas, methods, instructions or products referred to in the content. |
© 2025 by the authors. Licensee MDPI, Basel, Switzerland. This article is an open access article distributed under the terms and conditions of the Creative Commons Attribution (CC BY) license (https://creativecommons.org/licenses/by/4.0/).
Share and Cite
Dhesi, S.S.; Adusumilli, P.; Ravikumar, N.; Waduud, M.A.; Frood, R.; Frangi, A.F.; McDermott, G.; Rudd, J.H.F.; Huang, Y.; Boyle, J.R.; et al. Development and External Validation of [18F]FDG PET-CT-Derived Radiomic Models for Prediction of Abdominal Aortic Aneurysm Growth Rate. Algorithms 2025, 18, 86. https://doi.org/10.3390/a18020086
Dhesi SS, Adusumilli P, Ravikumar N, Waduud MA, Frood R, Frangi AF, McDermott G, Rudd JHF, Huang Y, Boyle JR, et al. Development and External Validation of [18F]FDG PET-CT-Derived Radiomic Models for Prediction of Abdominal Aortic Aneurysm Growth Rate. Algorithms. 2025; 18(2):86. https://doi.org/10.3390/a18020086
Chicago/Turabian StyleDhesi, Simran Singh, Pratik Adusumilli, Nishant Ravikumar, Mohammed A. Waduud, Russell Frood, Alejandro F. Frangi, Garry McDermott, James H. F. Rudd, Yuan Huang, Jonathan R. Boyle, and et al. 2025. "Development and External Validation of [18F]FDG PET-CT-Derived Radiomic Models for Prediction of Abdominal Aortic Aneurysm Growth Rate" Algorithms 18, no. 2: 86. https://doi.org/10.3390/a18020086
APA StyleDhesi, S. S., Adusumilli, P., Ravikumar, N., Waduud, M. A., Frood, R., Frangi, A. F., McDermott, G., Rudd, J. H. F., Huang, Y., Boyle, J. R., Elkhawad, M., Newby, D. E., Joshi, N., Kwan, J. Y., Coughlin, P., Bailey, M. A., & Scarsbrook, A. F. (2025). Development and External Validation of [18F]FDG PET-CT-Derived Radiomic Models for Prediction of Abdominal Aortic Aneurysm Growth Rate. Algorithms, 18(2), 86. https://doi.org/10.3390/a18020086

