Antimicrobial Silver Chloride Nanoparticles Stabilized with Chitosan Oligomer for the Healing of Burns
Abstract
:1. Introduction
2. Materials and Methods
2.1. Preparation of CHI-AgCl NPs
2.2. Characterization of CHI-AgCl NPs
2.3. Preparation of Ointments
2.4. Burn Wound Model
2.5. Analysis of Blood Counts
3. Results and Discussion
3.1. Characterization of CHI-AgCl NPs
3.2. A Clinical Pathology Study
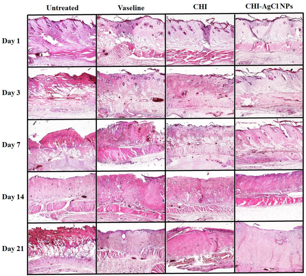
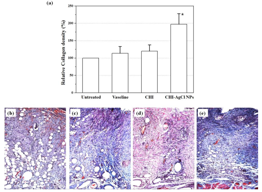
3.3. Histological Analysis
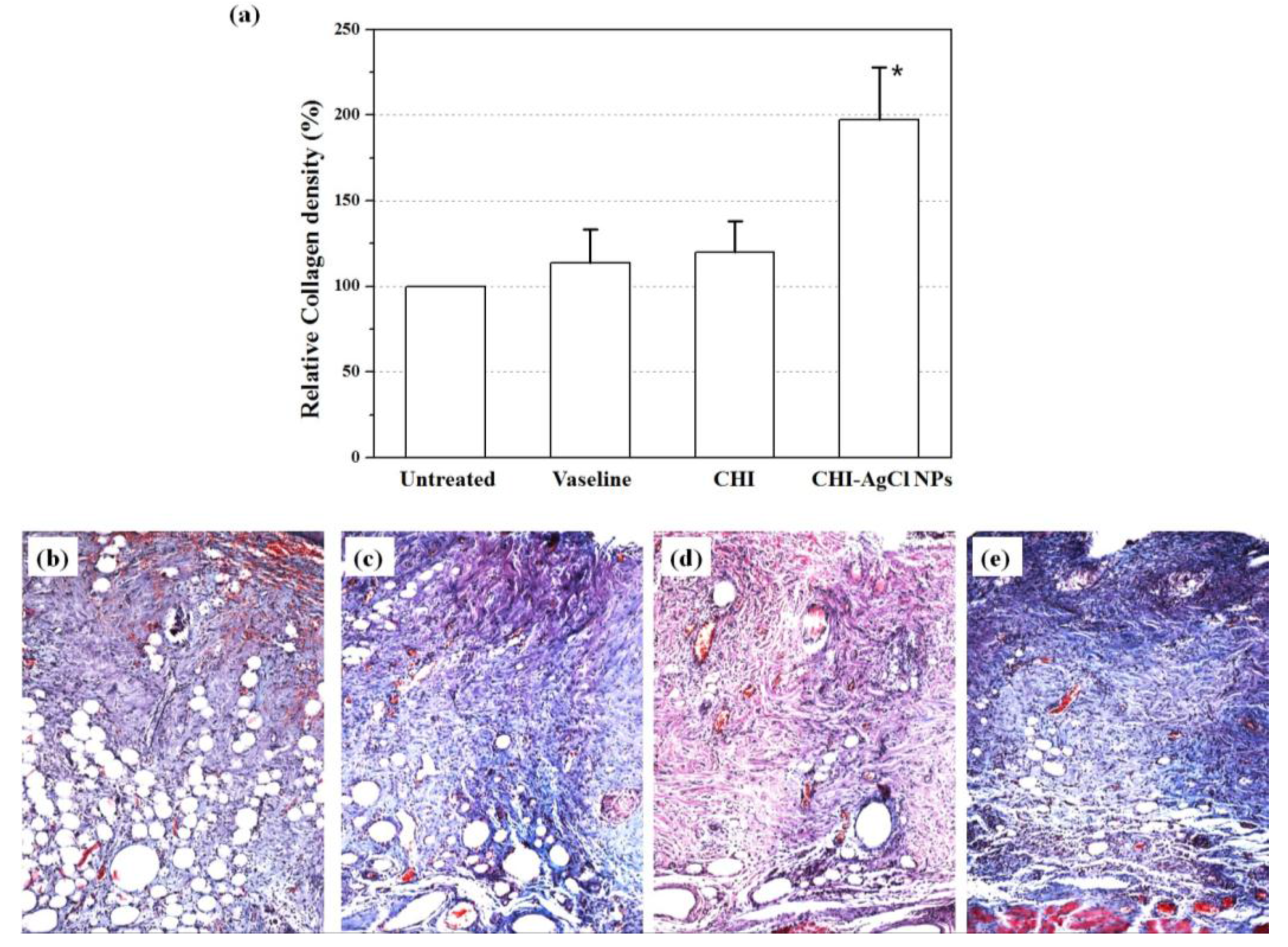
3.4. Evaluation of Collagen Percentage
4. Conclusions
Acknowledgments
Conflicts of Interest
References
- Chaloupka, K.; Malam, Y.; Seifalian, A.M. Nanosilver as a new generation of nanoproduct in biomedical applications. Trends Biotechnol. 2010, 28, 580–588. [Google Scholar] [CrossRef] [PubMed]
- Lee, S.J.; Heo, D.N.; Moon, J.H.; Ko, W.K.; Lee, J.B.; Bae, M.S.; Park, S.W.; Kim, J.E.; Lee, D.H.; Kim, E.C.; Lee, C.H.; Kwon, I.K. Electrospun chitosan nanofibers with controlled levels of silver nanoparticles. Preparation, characterization and antibacterial activity. Carbohyd. Polym. 2014, 111, 530–537. [Google Scholar] [CrossRef] [PubMed]
- Atiyeh, B.S.; Costagliola, M.; Hayek, S.N.; Dibo, S.A. Effect of silver on burn wound infection control and healing: Review of the literature. Burns 2007, 33, 139–148. [Google Scholar] [CrossRef] [PubMed]
- Cuttle, L.; Mill, J.; Kimble, R.M. Acticoat™: A cost-effective and evidence-based dressing strategy. Burns 2008, 34, 578–579. [Google Scholar] [CrossRef]
- Silver, S.; Phung, L.T.; Silver, G. Silver as biocides in burn and wound dressings and bacterial resistance to silver compounds. J. Ind. Microbiol. Biotechnol. 2006, 33, 627–634. [Google Scholar] [CrossRef] [PubMed]
- Huang, Y.; Li, X.; Liao, Z.; Zhang, G.; Liu, Q.; Tang, J.; Peng, Y.; Liu, X.; Luo, Q. A randomized comparative trial between Acticoat and SD-Ag in the treatment of residual burn wounds, including safety analysis. Burns 2007, 33, 161–166. [Google Scholar] [CrossRef] [PubMed]
- Wright, J.B.; Lam, K.; Buret, A.G.; Olson, M.E.; Burrell, R.E. Early healing events in a porcine model of contaminated wounds: Effects of nanocrystalline silver on matrix metalloproteinases, cell apoptosis, and healing. Wound Repair Regen. 2002, 10, 141–151. [Google Scholar] [CrossRef] [PubMed]
- Min, S.H.; Yang, J.H.; Kim, J.Y.; Kwon, Y.U. Development of white antibacterial pigment based on silver chloride nanoparticles and mesoporous silica and its polymer composite. Micropor. Mesopor. Mat. 2010, 128, 19–25. [Google Scholar] [CrossRef]
- Li, X.; Zuo, W.; Luo, M.; Shi, Z.; Cui, Z.; Zhu, S. Silver chloride loaed hollow mesoporous aluminoilica spheres and their application in antibacterial coatings. Mater. Lett. 2013, 105, 159–161. [Google Scholar] [CrossRef]
- Adams, A.; Santschi, E.; Mellencamp, M. Antibacterial properties of a silver chloride-coated nylon wound dressing. Vet. Surg. 1999, 28, 219–225. [Google Scholar] [CrossRef]
- Gopinath, V.; Priyadarshini, S.; Priyadharsshini, N.M.; Pandian, K.; Velusamy, P. Biogenic synthesis of antibacterial silver chloride nanoparticles using leaf extracts of Cissus quadrangularis Linn. Mater. Lett. 2013, 91, 224–227. [Google Scholar] [CrossRef]
- Youn, M.H.; Lim, Y.M.; Gwon, H.J.; Park, J.S.; An, S.J.; Nho, Y.C. Characterization of an antibacterial silver chloride/poly(acrylic acid) deodorant prepared by a gamma-ray irradiation. Macromol. Res. 2009, 17, 813–816. [Google Scholar] [CrossRef]
- Barikani, M.; Oliaei, E.; Seddiqi, H.; Honarkar, H. Preparation and application of chitin and its derivatives: A review. Iran. Polym. J. 2014, 23, 307–326. [Google Scholar] [CrossRef]
- Suzuki, K.; Mikami, T.; Okawa, Y.; Tokoro, A.; Suzuki, S.; Suzuki, M. Antitumor effect of hexa-N-acetylchitohexaose and chitohexaose. Carbohyd. Res. 1986, 151, 403–408. [Google Scholar] [CrossRef]
- No, H.K.; Park, N.Y.; Lee, S.H.; Meyers, S.P. Antibacterial activity of chitosans and chitosan oligomers with different molecular weights. Int. J. Food Microbiol. 2002, 74, 65–72. [Google Scholar] [CrossRef]
- Li, P.; Poon, Y.F.; Li, W.; Zhu, H.Y.; Yeap, S.H.; Cao, Y.; Qi, X.; Zhou, C.; Lamrani, M.; Beuerman, R.W. A polycationic antimicrobial and biocompatible hydrogel with microbe membrane suctioning ability. Nat. Mater. 2010, 10, 149–156. [Google Scholar] [CrossRef] [PubMed]
- Rabea, E.I.; Badawy, M.E.T.; Stevens, C.V.; Smagghe, G.; Steurbaut, W. Chitosan as antimicrobial agent: Applications and mode of action. Biomacromolecules 2003, 4, 1457–1465. [Google Scholar] [CrossRef] [PubMed]
- Busilacchi, A.; Gigante, A.; Mattioli-Belmonte, M.; Manzotti, S.; Muzzarelli, R.A. Chitosan stabilizes platelet growth factors and modulates stem cell differentiation toward tissue regeneration. Carbohyd. Polym. 2013, 98, 665–676. [Google Scholar] [CrossRef] [PubMed]
- Kojima, K.; Okamoto, Y.; Miyatake, K.; Fujise, H.; Shigemasa, Y.; Minami, S. Effects of chitin and chitosan on collagen synthesis in wound healing. J. Vet. Med. Sci. 2004, 66, 1595–1598. [Google Scholar] [CrossRef] [PubMed]
- do Nascimento, E.G.; Sampaio, T.B.M.; Medeiros, A.C.; de Azevedo, E.P. Evaluation of chitosan gel with 1% silver sulfadiazine as an alternative for burn wound treatment in rats. Acta Cir. Bras. 2009, 24, 460–465. [Google Scholar] [CrossRef]
- Santos, T.; Marques, A.; Silva, S.; Oliveira, J.M.; Mano, J.; Castro, A.G.; Reis, R. In vitro evaluation of the behaviour of human polymorphonuclear neutrophils in direct contact with chitosan-based membranes. J. Biotechnol. 2007, 132, 218–226. [Google Scholar] [CrossRef] [PubMed]
- Ueno, H.; Murakami, M.; Okumura, M.; Kadosawa, T.; Uede, T.; Fujinaga, T. Chitosan accelerates the production of osteopontin from polymorphonuclear leukocytes. Biomaterials 2001, 22, 1667–1673. [Google Scholar] [CrossRef]
- Kumar, M.R.; Muzzarelli, R.A.; Muzzarelli, C.; Sashiwa, H.; Domb, A. Chitosan chemistry and pharmaceutical perspectives. Chem. Rev. 2004, 104, 6017–6084. [Google Scholar] [CrossRef] [PubMed]
- Kang, Y.O.; Lee, T.S.; Park, W.H. Green synthesis and antimicrobial activity of silver chloride nanoparticles stabilized with chitosan oligomer. J. Mater. Sci. Mater. Med. 2014, 25, 2629–2638. [Google Scholar] [CrossRef] [PubMed]
- Clark, J.D.; Gebbart, G.F.; Gonder, J.C.; Keeling, M.E.; Kohn, D.F. Guide for the Care and Use of Laboratory Animals, 6th ed.; National Institutes of health (NIH): Bethesda, MD, USA, 1985. [Google Scholar]
- Croisier, F.; Jérôme, C. Chitosan-based biomaterials for tissue engineering. Eur. Polym. J. 2013, 49, 780–792. [Google Scholar] [CrossRef]
- Kadib, A.E.; Molvinger, K.; Cacciaguerra, T.; Bousmina, M.; Brunel, D. Chitosan templated synthesis of porous metal oxide microspheres with filamentary nanostructures. Micropor. Mesopor. Mater. 2011, 142, 301–307. [Google Scholar] [CrossRef]
- Kramareva, N.V.; Stakheev, A.Y.; Tkachenko, O.P.; Klementiev, K.V.; Grünert, W.; Finashina, E.D.; Kustov, L.M. Heterogenized palladium chitosan complexes as potential catalysts in oxidation reactions: Study of the structure. J. Mol. Catal. A Chem. 2004, 209, 97–106. [Google Scholar] [CrossRef]
- Regiel, A.; Irusta, S.; Kyzioł, A.; Arruebo, M.; Santamaria, J. Preparation and characterization of chitosan–silver nanocomposite films and their antibacterial activity against Staphylococcus aureus. Nanotechnology 2013, 24, 015101:1–015101:13. [Google Scholar] [CrossRef] [PubMed]
- Travan, A.; Pelillo, C.; Donati, I.; Marsich, E.; Benincasa, M.; Scarpa, T.; Semeraro, S.; Turco, G.; Gennaro, R.; Paoletti, S. Non-cytotoxic silver nanoparticle-polysaccharide nanocomposites with antimicrobial activity. Biomacromolecules 2009, 10, 1429–1435. [Google Scholar] [CrossRef] [PubMed]
- Hong, E.G.; Kim, M.G. Effect of Polysaccharide from Schizophyllum commune on burn and wound healing. Korean Chem. Eng. Res. 2006, 44, 87–91. [Google Scholar]
- Balakrishnan, B.; Mohanty, M.; Umashankar, P.; Jayakrishnan, A. Evaluation of an in situ forming hydrogel wound dressing based on oxidized alginate and gelatin. Biomaterials 2005, 26, 6335–6342. [Google Scholar] [CrossRef] [PubMed]





| Ointment Composition | Vaseline | CHI | CHI-AgCl NPs |
|---|---|---|---|
| Oil phase | 12 g Vaseline, 12 g Stearyl alcohol, 4 g Cremophor RH40 | ||
| Water phase (40 mL) | – | 4 g CHI | 4 g CHI-AgCl NPs |
| Optical images | ![]() | ![]() | ![]() |
© 2016 by the authors; licensee MDPI, Basel, Switzerland. This article is an open access article distributed under the terms and conditions of the Creative Commons by Attribution (CC-BY) license (http://creativecommons.org/licenses/by/4.0/).
Share and Cite
Kang, Y.O.; Jung, J.-Y.; Cho, D.; Kwon, O.H.; Cheon, J.Y.; Park, W.H. Antimicrobial Silver Chloride Nanoparticles Stabilized with Chitosan Oligomer for the Healing of Burns. Materials 2016, 9, 215. https://doi.org/10.3390/ma9040215
Kang YO, Jung J-Y, Cho D, Kwon OH, Cheon JY, Park WH. Antimicrobial Silver Chloride Nanoparticles Stabilized with Chitosan Oligomer for the Healing of Burns. Materials. 2016; 9(4):215. https://doi.org/10.3390/ma9040215
Chicago/Turabian StyleKang, Yun Ok, Ju-Young Jung, Donghwan Cho, Oh Hyeong Kwon, Ja Young Cheon, and Won Ho Park. 2016. "Antimicrobial Silver Chloride Nanoparticles Stabilized with Chitosan Oligomer for the Healing of Burns" Materials 9, no. 4: 215. https://doi.org/10.3390/ma9040215
APA StyleKang, Y. O., Jung, J.-Y., Cho, D., Kwon, O. H., Cheon, J. Y., & Park, W. H. (2016). Antimicrobial Silver Chloride Nanoparticles Stabilized with Chitosan Oligomer for the Healing of Burns. Materials, 9(4), 215. https://doi.org/10.3390/ma9040215




