Assessment of Low-Dose rhBMP-2 and Vacuum Plasma Treatments on Titanium Implants for Osseointegration and Bone Regeneration
Abstract
1. Introduction
2. Materials and Methods
2.1. In Vitro Study
2.1.1. Classification of Investigational Groups
- Group NS: Non-treated SLA disks;
- Group BS: SLA disks coated with low-dose rhBMP-2;
- Group PS: Vacuum plasma-treated SLA disks;
- Group PB: SLA disks treated with vacuum plasma irradiation followed by low-dose rhBMP-2 coating.
2.1.2. Scanning Electron Microscope (SEM) Analysis
2.1.3. X-Ray Photoelectron Spectroscopy (XPS) Analysis
2.1.4. Cell Culture and Conditions
2.1.5. Alkaline Phosphatase (ALP) Activity Assay
2.1.6. Real-Time Quantitative Reverse Transcription Polymerase Chain Reaction (qRT-PCR)
2.1.7. Cumulative Release
2.2. In Vivo Study
2.2.1. Classification of Investigational Groups
2.2.2. Experimental Animals
2.2.3. Surgical Procedure
2.2.4. Volumetric Analysis Using Medical Computed Tomography (Medical CT)
2.2.5. Volumetric Analysis Using Micro-Computed Tomography (μ-CT)
2.2.6. Histological Analysis
2.3. Statistical Analysis
3. Results
3.1. In Vitro Study
3.1.1. Morphological Findings
3.1.2. X-Ray Photoelectron Spectroscopy (XPS) Findings
3.1.3. Alkaline Phosphatase (ALP) Activity
3.1.4. Real-Time Quantitative Reverse Transcription Polymerase Chain Reaction (qRT-PCR)
3.1.5. Cumulative Release
3.2. In Vivo Findings
3.2.1. Clinical Findings
3.2.2. ISQ Findings
3.2.3. Medical CT Findings
3.2.4. Micro-CT Findings
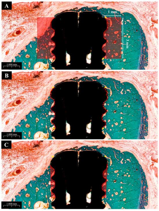
3.2.5. Histological Findings
3.2.6. Histometric Findings
4. Discussion
5. Conclusions
Author Contributions
Funding
Institutional Review Board Statement
Informed Consent Statement
Data Availability Statement
Conflicts of Interest
References
- Long, M.; Rack, H.J. Titanium alloys in total joint replacement—A materials science perspective. Biomaterials 1998, 19, 1621–1639. [Google Scholar] [CrossRef]
- Kim, S.; Park, C.; Moon, B.S.; Kim, H.E.; Jang, T.S. Enhancement of osseointegration by direct coating of rhBMP-2 on target-ion induced plasma sputtering treated SLA surface for dental application. J. Biomater. Appl. 2017, 31, 807–818. [Google Scholar] [CrossRef]
- Rocci, A.; Calcaterra, R.; Di Girolamo, M.; Rocci, M.; Rocci, C.; Baggi, L. The influence of micro and macro-geometry in term of bone-implant interface in two implant systems: An histomorphometrical study. Oral Implantol. 2015, 8, 87–95. [Google Scholar]
- Brunette, D.M.; Tengvall, P.; Textor, M.; Thomsen, P.; Textor, M.; Sittig, C.; Brunette, D.M. Properties and biological significance of natural oxide films on titanium and its alloys. In Titanium in Medicine: Material Science, Surface Science, Engineering, Biological Responses and Medical Applications; Springer: Berlin/Heidelberg, Germany, 2001; pp. 171–230. [Google Scholar]
- Ponader, S.; Von Wilmowsky, C.; Widenmayer, M.; Lutz, R.; Heinl, P.; Körner, C.; Schlegel, K.A. In vivo performance of selective electron beam-melted Ti-6Al-4V structures. J. Biomed. Mater. Res. A. 2010, 92, 56–62. [Google Scholar] [CrossRef] [PubMed]
- von Wilmowsky, C.; Bauer, S.; Lutz, R.; Meisel, M.; Neukam, F.W.; Toyoshima, T.; Schlegel, K.A. In vivo evaluation of anodic TiO2 nanotubes: An experimental study in the pig. J. Biomed. Mater. Res. B Appl. Biomater. 2009, 89, 165–171. [Google Scholar] [CrossRef]
- Cho, W.T.; Kim, S.Y.; Jung, S.I.; Kang, S.S.; Kim, S.E.; Hwang, S.H.; Huh, J.B. Effects of gamma radiation-induced crosslinking of collagen type i coated dental titanium implants on osseointegration and bone regeneration. Materials 2021, 14, 3268. [Google Scholar] [CrossRef] [PubMed]
- Cochran, D.L.; Buser, D.; Ten Bruggenkate, C.M.; Weingart, D.; Taylor, T.M.; Bernard, J.P.; Simpson, J.P. The use of reduced healing times on ITI® implants with a sandblasted and acid-etched (SLA) surface: Early results from clinical trials on ITI® SLA implants. Clin. Oral Implant. Res. 2002, 13, 144–153. [Google Scholar] [CrossRef] [PubMed]
- Oates, T.W.; Valderrama, P.; Bischof, M.; Nedir, R.; Jones, A.; Simpson, J.; Cochran, D.L. Enhanced implant stability with a chemically modified SLA surface: A randomized pilot study. Int. J. Oral Maxillofac. Implant. 2007, 22, 755–760. [Google Scholar]
- Bornstein, M.M.; Schmid, B.; Belser, U.C.; Lussi, A.; Buser, D. Early loading of non-submerged titanium implants with a sandblasted and acid-etched surface: 5-year results of a prospective study in partially edentulous patients. Clin. Oral Implant. Res. 2005, 16, 631–638. [Google Scholar] [CrossRef]
- Lee, J.J.; Rouhfar, L.; Beirne, O.R. Survival of hydroxyapatite-coated implants: A meta-analytic review. J. Oral Maxillofac. Surg. 2000, 58, 1372–1379. [Google Scholar] [CrossRef]
- De Groot, R.J.; Oomens, M.A.E.M.; Forouzanfar, T.; Schulten, E.A.J.M. Bone augmentation followed by implant surgery in the edentulous mandible: A systematic review. J. Oral Rehabil. 2018, 45, 334–343. [Google Scholar] [CrossRef]
- Doornewaard, R.; Christiaens, V.; De Bruyn, H.; Jacobsson, M.; Cosyn, J.; Vervaeke, S.; Jacquet, W. Long-term effect of surface roughness and patients’ factors on crestal bone loss at dental implants. A systematic review and meta-analysis. Clin. Implant. Dent. Relat. Res. 2017, 19, 372–399. [Google Scholar] [CrossRef]
- Bae, E.B.; Kim, S.J.; Choi, J.W.; Jeon, Y.C.; Jeong, C.M.; Yun, M.J.; Huh, J.B. A clinical retrospective study of distal extension removable partial denture with implant surveyed bridge or stud type attachment. Biomed. Res. Int. 2017, 2017, 7140870. [Google Scholar] [CrossRef] [PubMed]
- Oh, Y.K.; Bae, E.B.; Huh, J.B. Retrospective clinical evaluation of implant-assisted removable partial dentures combined with implant surveyed prostheses. J. Prosthet. Dent. 2021, 126, 76–82. [Google Scholar] [CrossRef] [PubMed]
- Kim, M.J.; Cho, W.T.; Hwang, S.H.; Bae, J.H.; Bae, E.B.; Shim, J.S.; Huh, J.B. A prospective multicenter clinical study on the efficiency of detachable ball-and spring-retained implant prosthesis. J. Adv. Prosthodont. 2023, 15, 202–213. [Google Scholar] [CrossRef] [PubMed]
- Goiato, M.C.; Dos Santos, D.M.; Santiago, J.J.; Moreno, A.; Pellizzer, E.P. Longevity of dental implants in type IV bone: A systematic review. Int. J. Oral Maxillofac. Surg. 2014, 43, 1108–1116. [Google Scholar] [CrossRef]
- DeLuca, S.; Habsha, E.; Zarb, G.A. The effect of smoking on osseointegrated dental implants. Part I: Implant survival. Int. J. Prosthodont. 2006, 19, 491–498. [Google Scholar]
- Puleo, D.A.; Nanci, A. Understanding and controlling the bone–implant interface. Biomaterials 1999, 20, 2311–2321. [Google Scholar] [CrossRef]
- Morra, M. Biochemical modification of titanium surfaces: Peptides and ECM proteins. Eur. Cell Mater. 2006, 12, 15. [Google Scholar] [CrossRef]
- Brunski, J.B.; Puleo, D.A.; Nanci, A. Biomaterials and biomechanics of oral and maxillofacial implants: Current status and future developments. Int. J. Oral Maxillofac. Implant. 2000, 15, 15–46. [Google Scholar]
- Huh, J.B.; Lee, J.Y.; Jeon, Y.C.; Shin, S.W.; Ahn, J.S.; Ryu, J.J. Physical stability of arginine-glycine-aspartic acid peptide coated on anodized implants after installation. J. Adv. Prosthodont. 2013, 5, 84–91. [Google Scholar] [CrossRef][Green Version]
- Chang, Y.C.; Ho, K.N.; Feng, S.W.; Huang, H.M.; Chang, C.H.; Lin, C.T.; Chang, W.J. Fibronectin-grafted titanium dental implants: An in vivo study. Biomed. Res. Int. 2016, 2016, 2414809. [Google Scholar] [CrossRef][Green Version]
- Bae, I.H.; Yun, K.D.; Kim, H.S.; Jeong, B.C.; Lim, H.P.; Park, S.W.; Koh, J.T. Anodic oxidized nanotubular titanium implants enhance bone morphogenetic protein-2 delivery. J. Biomed. Mater. Res. B Appl. Biomater. 2010, 93, 484–491. [Google Scholar] [CrossRef]
- Urist, M.R.; Silverman, B.F.; Büring, K.; Dubuc, F.L.; Rosenberg, J.M. The Bone Induction Principle. Clin. Orthop. Relat. Res. 1967, 53, 243–283. [Google Scholar] [CrossRef]
- Lyons, K.M.; Pelton, R.W.; Hogan, B.L. Patterns of expression of murine Vgr-1 and BMP-2a RNA suggest that transforming growth factor-beta-like genes coordinately regulate aspects of embryonic development. Genes. Dev. 1989, 3, 1657–1668. [Google Scholar] [CrossRef] [PubMed]
- Boyne, P.J.; Marx, R.E.; Nevins, M.; Triplett, G.; Lazaro, E.; Lilly, L.C.; Alder, M.; Nummikoski, P. A feasibility study evaluating rhBMP2/absorbable collagen sponge for maxillary sinus floor augmentation. Int. J. Periodontics Restorative Dent. 1997, 17, 11–25. [Google Scholar] [PubMed]
- Hanisch, O.; Tatakis, D.N.; Boskovic, M.M.; Rohrer, M.D.; Wikesjo¨, U.M. Bone formation and reosseointegration in peri-implantitis defects following surgical implantation of rhBMP-2. Int. J. Oral Maxillofac. Implants. 1997, 12, 604–610. [Google Scholar]
- Howell, T.H.; Fiorellini, J.; Jones, A.; Alder, M.; Nummikoski, P.; Lazaro, M.; Lilly, L.; Cochran, D. A feasibility study evaluating rhBMP2/absorbable collagen sponge device for local alveolar ridge preservation or augmentation. Int. J. Periodontics Restor. Dent. 1997, 17, 124–139. [Google Scholar]
- Joseph, V.; Rampersaud, Y.R. Heterotopic bone formation with the use of rhBMP2 in posterior minimal access interbody fusion: A CT analysis. Spine 2007, 32, 2885–2890. [Google Scholar] [CrossRef]
- Jones, C.B.; Sabatino, C.T.; Badura, J.M.; Sietsema, D.L.; Marotta, J.S. Improved healing efficacy in canine ulnar segmental defects with increasing recombinant human bone morphogenetic protein-2/allograft ratios. J. Orthop. Trauma. 2008, 22, 550–559. [Google Scholar] [CrossRef]
- James, A.W.; LaChaud, G.; Shen, J.; Asatrian, G.; Nguyen, V.; Zhang, X.; Soo, C. A review of the clinical side effects of bone morphogenetic protein-2. Tissue Eng. Part B Rev. 2016, 22, 284–297. [Google Scholar] [CrossRef]
- Becker, J.; Kirsch, A.; Schwarz, F.; Chatzinikolaidou, M.; Rothamel, D.; Lekovic, V.; Jennissen, H.P. Bone apposition to titanium implants biocoated with recombinant human bone morphogenetic protein-2 (rhBMP-2). A pilot study in dogs. Clin. Oral Investig. 2006, 10, 217–224. [Google Scholar] [CrossRef]
- Stenport, V.F.; Johansson, C.; Heo, S.J.; Aspenberg, P.; Albrektsson, T. Titanium implants and BMP-7 in bone: An experimental model in the rabbit. J. Mater. Sci. Mater. Med. 2003, 14, 247–254. [Google Scholar] [CrossRef]
- Lee, S.H.; Bae, E.B.; Kim, S.E.; Yun, Y.P.; Kim, H.J.; Choi, J.W.; Huh, J.B. Effects of immobilizations of rhBMP-2 and/or rhPDGF-BB on titanium implant surfaces on osseointegration and bone regeneration. Coatings 2017, 8, 17. [Google Scholar] [CrossRef]
- Tatakis, D.N.; Koh, A.; Jin, L.; Wozney, J.M.; Rohrer, M.D.; Wikesjö, U.M.E. Peri-implant bone regeneration using recombinant human bone morphogenetic protein-2 in a canine model: A dose-response study. J. Periodontal. Res. 2002, 37, 93–100. [Google Scholar] [CrossRef]
- Kelly, M.P.; Vaughn, O.L.A.; Anderson, P.A. Systematic review and meta-analysis of recombinant human bone morphogenetic protein-2 in localized alveolar ridge and maxillary sinus augmentation. J. Oral Maxillofac. Surg. 2016, 74, 928–939. [Google Scholar] [CrossRef] [PubMed]
- Lyu, H.Z.; Lee, J.H. The efficacy of rhBMP-2 loaded hydrogel composite on bone formation around dental implants in mandible bone defects of minipigs. Biomater. Res. 2020, 24, 5. [Google Scholar] [CrossRef]
- Wu, Z.X.; Liu, D.; Wan, S.Y.; Cui, G.; Zhang, Y.; Lei, W. Sustained-release rhBMP-2 increased bone mass and bone strength in an ovine model of postmenopausal osteoporosis. J. Orthop. Sci. 2011, 16, 99–104. [Google Scholar] [CrossRef] [PubMed]
- Udomsom, S.; Mankong, U.; Paengnakorn, P.; Theera-Umpon, N. Novel rapid protein coating technique for silicon photonic biosensor to improve surface morphology and increase bioreceptor density. Coatings 2021, 11, 595. [Google Scholar] [CrossRef]
- Tack, L.; Schickle, K.; Böke, F.; Fischer, H. Immobilization of specific proteins to titanium surface using self-assembled monolayer technique. Dent. Mater. 2015, 31, 1169–1179. [Google Scholar] [CrossRef]
- Moshnikova, A.B.; Afanasyev, V.N.; Proussakova, O.V.; Chernyshov, S.; Gogvadze, V.; Beletsky, I.P. Cytotoxic activity of 1-ethyl-3-(3-dimethylaminopropyl)-carbodiimide is underlain by DNA interchain cross-linking. Cell Mol. Life Sci. 2006, 63, 229–234. [Google Scholar] [CrossRef]
- Delgado, L.M.; Bayon, Y.; Pandit, A.; Zeugolis, D.I. To cross-link or not to cross-link? Cross-linking associated foreign body response of collagen-based devices. Tissue Eng. Part B Rev. 2015, 21, 298–313. [Google Scholar] [CrossRef]
- Ahn, J.J.; Yoo, J.H.; Bae, E.B.; Kim, G.C.; Hwang, J.J.; Lee, W.S.; Huh, J.B. The Effects of Atmospheric Pressure Argon Plasma Treated Bovine Bone Substitute on Bone Regeneration. Coatings 2019, 9, 790. [Google Scholar] [CrossRef]
- Lee, S.H.; An, S.J.; Lim, Y.M.; Huh, J.B. The efficacy of electron beam irradiated bacterial cellulose membranes as compared with collagen membranes on guided bone regeneration in peri-implant bone defects. Materials 2017, 10, 1018. [Google Scholar] [CrossRef] [PubMed]
- Sanchez-Perez, A.; Nicolas-Silvente, A.I.; Sanchez-Matas, C.; Muñoz-Guzon, F.; Navarro-Cuellar, C.; Romanos, G.E. Influence on Bone-to-Implant Contact of Non-Thermal Low-Pressure Argon Plasma: An Experimental Study in Rats. Appl. Sci. 2020, 10, 3069. [Google Scholar] [CrossRef]
- Aparicio, C.; Gil, F.J.; Fonseca, C.; Barbosa, M.; Planell, J.A. Corrosion behaviour of commercially pure titanium shot blasted with different materials and sizes of shot particles for dental implant applications. Biomaterials 2003, 24, 263–273. [Google Scholar] [CrossRef]
- Aita, H.; Hori, N.; Takeuchi, M.; Suzuki, T.; Yamada, M.; Anpo, M.; Ogawa, T. The effect of ultraviolet functionalization of titanium on integration with bone. Biomaterials 2009, 30, 1015–1025. [Google Scholar] [CrossRef] [PubMed]
- Lee, H.; Jeon, H.J.; Jung, A.; Kim, J.; Kim, J.Y.; Lee, S.H.; Lim, Y. Improvement of osseointegration efficacy of titanium implant through plasma surface treatment. Biomed. Eng. Lett. 2022, 12, 421–432. [Google Scholar] [CrossRef] [PubMed]
- Jeon, H.J.; Jung, A.; Kim, H.J.; Seo, J.S.; Kim, J.Y.; Yum, M.S.; Lim, Y. Enhanced Osteoblast Adhesion and Proliferation on Vacuum Plasma-Treated Implant Surface. Appl. Sci. 2022, 12, 9884. [Google Scholar] [CrossRef]
- Canullo, L.; Genova, T.; Chinigò, G.; Iacono, R.; Pesce, P.; Menini, M.; Mussano, F. Vacuum Plasma Treatment Device for Enhancing Fibroblast Activity on Machined and Rough Titanium Surfaces. Dent. J. 2024, 12, 71. [Google Scholar] [CrossRef]
- Nevins, M.; Chen, C.Y.; Parma-Benfenati, S.; Kim, D.M. Gas Plasma Treatment Improves Titanium Dental Implant Osseointegration—A Preclinical In Vivo Experimental Study. Bioengineering 2023, 10, 1181. [Google Scholar] [CrossRef] [PubMed]
- Henningsen, A.; Smeets, R.; Heuberger, R.; Jung, O.T.; Hanken, H.; Heiland, M.; Precht, C. Changes in surface characteristics of titanium and zirconia after surface treatment with ultraviolet light or non-thermal plasma. Eur. J. Oral Sci. 2018, 126, 126–134. [Google Scholar] [CrossRef]
- Guastaldi, F.P.; Yoo, D.; Marin, C.; Jimbo, R.; Tovar, N.; Zanetta-Barbosa, D.; Coelho, P.G. Plasma treatment maintains surface energy of the implant surface and enhances osseointegration. Int. J. Biomater. 2013, 2013, 354125. [Google Scholar] [CrossRef]
- Duske, K.; Koban, I.; Kindel, E.; Schröder, K.; Nebe, B.; Holtfreter, B.; Kocher, T. Atmospheric plasma enhances wettability and cell spreading on dental implant metals. J. Clin. Periodontol. 2012, 39, 400–407. [Google Scholar] [CrossRef]
- Wikesjö, U.M.; Qahash, M.; Polimeni, G.; Susin, C.; Shanaman, R.H.; Rohrer, M.D.; Hall, J. Alveolar ridge augmentation using implants coated with recombinant human bone morphogenetic protein-2: Histologic observations. J. Clin. Periodontol. 2008, 35, 1001–1010. [Google Scholar] [CrossRef]
- Kim, N.H.; Lee, S.H.; Ryu, J.J.; Choi, K.H.; Huh, J.B. Effects of rhBMP-2 on sandblasted and acid etched titanium implant surfaces on bone regeneration and osseointegration: Spilt-mouth designed pilot study. Biomed. Res. Int. 2015, 2015, 459393. [Google Scholar] [CrossRef] [PubMed]
- Boyne, P.J.; Lilly, L.C.; Marx, R.E.; Moy, P.K.; Nevins, M.; Spagnoli, D.B.; Triplett, R.G. De novo bone induction by recombinant human bone morphogenetic protein-2 (rhBMP-2) in maxillary sinus floor augmentation. J. Oral Maxillofac. Surg. 2005, 63, 1693–1707. [Google Scholar] [CrossRef]
- Barfeie, A.; Wilson, J.; Rees, J. Implant surface characteristics and their effect on osseointegration. Br. Dent. J. 2015, 218, E9. [Google Scholar] [CrossRef]
- Verardi, S.; Swoboda, J.; Rebaudi, F.; Rebaudi, A. Osteointegration of tissue-level implants with very low insertion torque in soft bone: A clinical study on SLA surface treatment. Implant. Dent. 2018, 27, 5–9. [Google Scholar] [CrossRef] [PubMed]
- Danna, N.R.; Beutel, B.G.; Tovar, N.; Witek, L.; Marin, C.; Bonfante, E.A.; Coelho, P.G. Assessment of atmospheric pressure plasma treatment for implant osseointegration. Biomed. Res. Int. 2015, 2015, 761718. [Google Scholar] [CrossRef]
- Hui, W.L.; Perrotti, V.; Iaculli, F.; Piattelli, A.; Quaranta, A. The emerging role of cold atmospheric plasma in implantology: A review of the literature. Nanomaterials 2020, 10, 1505. [Google Scholar] [CrossRef] [PubMed]
- Han, J.; Lulic, M.; Lang, N.P. Factors influencing resonance frequency analysis assessed by Osstell mentor during implant tissue integration: II. Implant surface modifications and implant diameter. Clin. Oral Implant. Res. 2010, 21, 605–611. [Google Scholar] [CrossRef] [PubMed]












| Compositions (at%) | Elements | |||
|---|---|---|---|---|
| Groups | C1s | N1s | O1s | Ti2p |
| NS | 34.07 | 1.04 | 43.15 | 21.73 |
| BS | 56.83 | 8.78 | 34.1 | 0.3 |
| PS | 31.23 | 1.36 | 46.2 | 21.21 |
| PB | 59.67 | 7.22 | 32.55 | 0.56 |
| Contents | Sites | Groups | Mean ± SD | ||
|---|---|---|---|---|---|
| 0 wk | 8 wk | Change (%) | |||
| ISQ | Buccal | NS | 61.00 ± 6.66 | 65.80 ± 4.07 | 8.60 ± 7.98 |
| BS | 60.43 ± 8.36 | 66.00 ± 6.05 | 10.49 ± 11.91 | ||
| PS | 58.13 ± 7.90 | 65.63 ± 12.34 | 12.45 ± 10.73 | ||
| PB | 59.10 ± 7.03 | 67.20 ± 7.67 | 14.45 ± 13.13 | ||
| p-Value | p > 0.05 | p > 0.05 | p > 0.05 | ||
| Lingual | NS | 62.80 ± 4.71 | 64.40 ± 5.89 | 2.48 ± 4.53 | |
| BS | 60.57 ± 8.96 | 66.57 ± 6.61 | 11.37 ± 12.46 | ||
| PS | 58.25 ± 7.76 | 68.25 ± 10.49 | 17.19 ± 10.12 | ||
| PB | 59.20 ± 6.97 | 67.20 ± 7.61 | 14.32 ± 13.79 | ||
| p-Value | p > 0.05 | p > 0.05 | p > 0.05 | ||
| Contents | Weeks | Groups | Mean ± SD | p-Value |
|---|---|---|---|---|
| NBV (%) | 0 | NS | 32.41 ± 5.20 | p > 0.05 |
| BS | 39.98 ± 5.43 | |||
| PS | 39.29 ± 7.26 | |||
| PB | 32.94 ± 10.15 | |||
| 8 | NS | 53.06 ± 12.09 | p > 0.05 | |
| BS | 59.21 ± 8.32 | |||
| PS | 55.45 ± 10.55 | |||
| PB | 63.06 ± 3.73 | |||
| Changes | NS | 20.64 ± 12.36 a | 0.063 | |
| BS | 19.23 ± 8.21 a | |||
| PS | 16.17 ± 10.56 a | |||
| PB | 30.11 ± 7.22 b |
| Contents | Weeks | Groups | Mean ± SD | p-Value |
|---|---|---|---|---|
| NBV (%) | 8 | NS | 52.87 ± 10.78 a | 0.002 * |
| BS | 64.51 ± 8.33 b | |||
| PS | 65.56 ± 6.22 b,c | |||
| PB | 75.04 ± 6.33 c,d |
| Contents | Groups | Mean ± SD | p-Value |
|---|---|---|---|
| NBA (%) | NS | 43.79 ± 10.60 a | 0.000 * |
| BS | 70.46 ± 5.17 b,c | ||
| PS | 61.76 ± 6.59 b | ||
| PB | 72.75 ± 9.36 c | ||
| BIC (%) | NS | 60.24 ± 3.51 a | 0.000 * |
| BS | 68.81 ± 6.40 b,e | ||
| PS | 70.98 ± 6.63 c,e | ||
| PB | 83.91 ± 3.01 d | ||
| ITBD (%) | NS | 42.86 ± 10.44 a | 0.000 * |
| BS | 63.47 ± 6.03 b,e | ||
| PS | 64.81 ± 7.32 c,e | ||
| PB | 81.32 ± 6.62 d |
Disclaimer/Publisher’s Note: The statements, opinions and data contained in all publications are solely those of the individual author(s) and contributor(s) and not of MDPI and/or the editor(s). MDPI and/or the editor(s) disclaim responsibility for any injury to people or property resulting from any ideas, methods, instructions or products referred to in the content. |
© 2025 by the authors. Licensee MDPI, Basel, Switzerland. This article is an open access article distributed under the terms and conditions of the Creative Commons Attribution (CC BY) license (https://creativecommons.org/licenses/by/4.0/).
Share and Cite
Cho, W.-T.; Heo, S.C.; Kim, H.J.; Kang, S.S.; Kim, S.E.; Lee, J.-H.; Bae, G.-H.; Huh, J.-B. Assessment of Low-Dose rhBMP-2 and Vacuum Plasma Treatments on Titanium Implants for Osseointegration and Bone Regeneration. Materials 2025, 18, 3582. https://doi.org/10.3390/ma18153582
Cho W-T, Heo SC, Kim HJ, Kang SS, Kim SE, Lee J-H, Bae G-H, Huh J-B. Assessment of Low-Dose rhBMP-2 and Vacuum Plasma Treatments on Titanium Implants for Osseointegration and Bone Regeneration. Materials. 2025; 18(15):3582. https://doi.org/10.3390/ma18153582
Chicago/Turabian StyleCho, Won-Tak, Soon Chul Heo, Hyung Joon Kim, Seong Soo Kang, Se Eun Kim, Jong-Ho Lee, Gang-Ho Bae, and Jung-Bo Huh. 2025. "Assessment of Low-Dose rhBMP-2 and Vacuum Plasma Treatments on Titanium Implants for Osseointegration and Bone Regeneration" Materials 18, no. 15: 3582. https://doi.org/10.3390/ma18153582
APA StyleCho, W.-T., Heo, S. C., Kim, H. J., Kang, S. S., Kim, S. E., Lee, J.-H., Bae, G.-H., & Huh, J.-B. (2025). Assessment of Low-Dose rhBMP-2 and Vacuum Plasma Treatments on Titanium Implants for Osseointegration and Bone Regeneration. Materials, 18(15), 3582. https://doi.org/10.3390/ma18153582

