The Impact of Ions Contained in Concrete Pore Solutions on Natural Zeolites
Abstract
1. Introduction
2. Materials and Methods
2.1. Test Methods
2.2. Materials
2.2.1. Zeolite
2.2.2. Chemical Reagents
2.3. Procedures for Chemical Activity Tests
2.3.1. Testing Powder Samples
2.3.2. Ground-Section Test
3. Results
3.1. Chemical Activity of Zeolite Powder
3.2. Microstructural Changes on the Surface of the Ground Section
4. Discussion
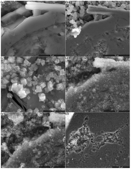
- Contact of the solution containing Ca2+ with the zeolite, on the surface of which portlandite can crystallize (day 1 of the reaction—Figure 12b);
- Formation of fine, orthorhombic crystals, which may be hydrated calcium silicates (up to day 7 of the reaction—Figure 12c);
- Growth of the fibrous C-S-H phase around the orthorhombic crystals gradually covers the zeolite surface (after day 7—Figure 12d).
5. Conclusions
- -
- Due to the high content of reactive phases, particularly clinoptilolite, Transcarpathian zeolite can react with solutions containing Na+, K+ and Ca2+ ions. Various forms of gel resulting from the reactions cover the surface of the zeolite.
- -
- The action of the solution containing dissolved calcium hydroxide on the zeolite leads to a pozzolanic reaction. The decrease in the content of clinoptilolite and portlandite in the tested samples evidences its course.
- -
- The effects of zeolite reaction with the calcium hydroxide solution largely depend on the presence of other ions (e.g., Na+, K+ and SO23−). These ions affect the rate of reactions and the observed volume changes that can form gel-like products.
- -
- In the presence of potassium hydroxide, zeolite reacts faster in the pozzolanic reaction and produces more gel products, but portlandite reacts faster in the presence of sodium hydroxide. This phenomenon can be clarified by examining the composition of the resulting products in more detail.
- -
- In addition to the pozzolanic reaction, calcium hydroxide can participate in other reactions simultaneously. As a result, in the presence of Ca(OH)2 and SO23− ions in the solution, a parallel formation of ettringite and syngenite as an intermediate product can occur, thus contributing to a higher degree of clinoptilolite and portlandite conversion. However, the course of this reaction and its impact on the formation of gel phases require further research.
- -
- The demonstrated reactivity of clinoptilolite with Na+ and K+ ions can cause large zeolite grains or agglomerates to potentially react in the alkali–silica reaction.
Funding
Institutional Review Board Statement
Informed Consent Statement
Data Availability Statement
Conflicts of Interest
References
- Ciciszwili, G.W. Zeolity Naturalne; Wydawnictwo Naukowo-Techniczne: Warsaw, Poland, 1990. [Google Scholar]
- Handke, M. Crystallochemistry of Silicates; AGH: Krakow, Poland, 2005. [Google Scholar]
- Poon, C.S.; Lam, L.; Kou, S.C.; Lin, Z.S. A study on the hydration rate of natural zeolite blended cement paste. Constr. Build. Mater. 1999, 13, 427–432. [Google Scholar] [CrossRef]
- Ahmadi, B.; Shekarchi, M. Use of natural zeolite as a supplementary cementitious material. Cem. Concr. Compos. 2010, 32, 134–141. [Google Scholar] [CrossRef]
- Feng, N.; Niu, Q. Effect of modified Zeolite on the expansion of alkaline silica reaction. Cem. Concr. Res. 2005, 35, 1784–1788. [Google Scholar] [CrossRef]
- Kriptavičius, D.; Girskas, G.; Skripkiūnas, G. Use of Natural Zeolite and Glass Powder Mixture as Partial Replacement of Portland Cement: The Effect on Hydration, Properties and Porosity. Materials 2022, 15, 4219. [Google Scholar] [CrossRef]
- Ogrodnik, P.; Rutkowska, G.; Szulej, J.; Żółtowski, M.; Powęzka, A.; Badyda, A. Cement Mortars with Addition of Fly Ash from Thermal Transformation of Sewage Sludge and Zeolite. Energies 2022, 15, 1399. [Google Scholar] [CrossRef]
- Yu, Z.; Yang, W.; Zhan, P.; Liu, X.; Chen, D. Strengths, Microstructure and Nanomechanical Properties of Concrete Containing High Volume of Zeolite Powder. Materials 2020, 13, 4191. [Google Scholar] [CrossRef] [PubMed]
- Kłapyta, Z.; Żabiński, W. Mineral Sorbents of Poland; AGH: Krakow, Poland, 2008. [Google Scholar]
- Kurdowski, W. Cement and Concrete Chemistry; Springer: London, UK, 2014. [Google Scholar]
- Ramachandran, V.S.; Paroli, R.M.; Beaudoin, J.J.; Delgado, A.H. Handbook of Thermal Analysis of Construction Materials; Noyes Publications: New York, NY, USA, 2002. [Google Scholar]
- Feng, N.; Jia, H.; Chen, E. Study on the suppression effect of natural zeolite on expansion of concrete due to alkali-aggregate reaction. Mag. Concr. Res. 1998, 50, 17–24. [Google Scholar] [CrossRef]
- Sersale, R.; Frigione, G. Portland-zeolite-cement for minimizing alkali-aggregate expansion. Cem. Concr. Res. 1987, 17, 404–410. [Google Scholar] [CrossRef]
- Owsiak, Z.; Czapik, P. The reduction of expansion of mortars produced from reactive aggregate by the clinoptilolite addition. Cem. Lime Concr. 2014, 19, 152–157. [Google Scholar]
- Marfil, S.A.; Maiza, P.J. Deteriorated pavements due to the alkali-silica reaction: A petrographic study of three cases in Argentina. Cem. Concr. Res. 2001, 31, 1017–1021. [Google Scholar] [CrossRef]
- Marfil, S.A.; Maiza, P.J. Zeolite crystallization in portland cement concrete due to alkali-aggregate reaction. Cem. Concr. Res. 1993, 23, 1283–1288. [Google Scholar] [CrossRef]
- Gregorová, M.; Všianský, D. Geo-Visualization of aggregate for AAR prediction and its importance for risk management. In Proceedings of the 13th International Conference of Alkali-Aggregate Reaction, Trondheim, Norway, 16–20 June 2008. [Google Scholar]
- Kurdowski, W.; Garbacik, A.; Trybalska, B. Type of cement and phase formed during corrosion of mortar with opal addition in 1 N solution NaOH. Cem. Lime Concr. 2005, 6, 98–107. [Google Scholar]
- Ramachandran, V.S. Alkali-aggregate expansion inhibiting admixtures. Cem. Concr. Compos. 1998, 20, 149–161. [Google Scholar] [CrossRef]
- Multon, S.; Cyr, M.; Sellier, A.; Diederich, P.; Petit, L. Effect of aggregate size and alkali content on ASR expansion. Cem. Concr. Res. 2010, 40, 508–516. [Google Scholar] [CrossRef]
- Mass, A.J.; Ideker, J.H.; Juenger, M.C.G. Alkali silica reactivity of agglomerated silica fume. Cem. Concr. Res. 2007, 37, 166–174. [Google Scholar] [CrossRef]
- Chen, X.; Srubar, W.V., III. Sulfuric acid improves the reactivity of zeolites via dealumination. Constr. Build. Mater. 2020, 264, 120648. [Google Scholar] [CrossRef]
- Ramezaniapour, A.A. Cement Replacement Materials; Springer: Berlin/Heidelberg, Germany, 2014. [Google Scholar]
- Snellings, R.; Mertens, G.; Gasharova, B.; Garbev, K.; Elsen, J. The pozzolanic reaction between clinoptilolite and portlandite: A time and spatially resolved IR study. Eur. J. Mineral. 2010, 22, 767–777. [Google Scholar] [CrossRef]
- Martínez-Ramírez, S.; Blanco-Varela, M.T.; Ereña, I.; Gener, M. Pozzolanic reactivity of zeolitic rocks from two different Cuban deposits: Characterization of reaction products. Appl. Clay Sci. 2006, 32, 40–52. [Google Scholar] [CrossRef]
- Heisig, A.; Urbonas, L.; Beddoe, R.E.; Heinz, D. Ingress of NaCl in concrete with alkali reactive aggregate: Effect on silicon solubility. Mater. Struct. 2016, 49, 4291–4303. [Google Scholar] [CrossRef]
- Liu, R.; Jiang, L.; Xu, J.; Xiong, C.; Song, Z. Influence of carbonation on chloride induced reinforcement corrosion in simulated concrete pore solution. Constr. Build. Mater. 2014, 56, 16–20. [Google Scholar] [CrossRef]
- Yang, H.; Li, W.; Liu, X.; Liu, A.; Hang, P.; Ding, R.; Li, T.; Zhang, Y.; Wang, W.; Xiong, C. Preparation of corrosion inhibitor loaded zeolites and corrosion resistance of carbon steel in simulated concrete pore solution. Constr. Build. Mater. 2019, 225, 90–98. [Google Scholar] [CrossRef]
- Bulteel, D.; Rafaï, N.; Degrugilliers, P.; Garcia-Diaz, E. Petrography study on altered flint aggregate by alkali-silica reaction. Mater. Charact. 2004, 53, 141–154. [Google Scholar] [CrossRef]
- ICDD. PDF2 Release 2023; The International Centre for Diffraction Data (ICDD): Newtown Square, PA, USA, 2022. [Google Scholar]
- Sims, I.; Nixon, P. RILEM Recommended Test Method AAR-1, Detection of potential alkali-reactivity of aggregates—Petrographic method. Mater. Struct. 2003, 26, 480–496. [Google Scholar] [CrossRef]
- Owsiak, Z. The hydration of Portland cement with fly ash. Cem. Lime Concr. 2000, 5, 29–31. [Google Scholar]
- Ortega, E.A.; Cheeseman, C.; Knight, J.; Loizidou, M. Properties of alkali-activated clinoptilolite. Cem. Concr. Res. 2000, 30, 1641–1646. [Google Scholar] [CrossRef]
- Cornejo, M.H.; Elsen, J.; Baykara, H.; Paredes, C. Hydration process of zeolite-rich tuffs and siltstone-blended cement pastes at low W/B ratio, under wet cring condition. Eur. J. Environ. Civ. 2014, 18, 629–651. [Google Scholar] [CrossRef]
- Zhu, G.; Li, H.; Wang, X.; Li, S.; Hou, X.; Wu, W.; Tang, Q. Synthesis of calcium silicate hydrate in highly alkaline system. J. Am. Ceram. Soc. 2016, 99, 2778–2785. [Google Scholar] [CrossRef]
- Kloprogge, J.T.; Ding, Z.; Martens, W.N.; Schuiling, R.D.; Duong, L.V.; Frost, R.L. Thermal decomposition of syngenite, K2Ca(SO4)2·H2O. Thermochim. Acta 2004, 417, 143–155. [Google Scholar] [CrossRef]
- Lu, D.; Mei, L.; Xu, Z.; Tang, M.; Fournier, B. Alteration of alkali reactive aggregate autoclaved in different alkaline solution and application to alkali-aggregate reaction in concrete (I) Alteration of alkali reactive aggregates in alkali solution. Cem. Concr. Res. 2006, 36, 1176–1190. [Google Scholar] [CrossRef]
- Czapik, P.; Czechowicz, M. Effects of natural zeolite particle size on the cement paste properties. Struct. Environ. 2017, 9, 180–190. [Google Scholar]
- Hou, X.; Struble, L.J.; Kirkpatrik, R.J. Formation of ASR gel and the roles of C-S-H and portlandite. Cem. Concr. Res. 2004, 34, 1683–1696. [Google Scholar] [CrossRef]
- Hamoudi, A.; Khouchaf, L.; Depecker, C.; Revel, B.; Montagne, L.; Corrdier, P. Microstructural evolution of amorphous silica following alkali-silica reaction. J. Non-Cryst. Solids 2008, 354, 5074–5078. [Google Scholar] [CrossRef]
- Criado, M.; Fernández-Jiménez, A.; de la Torre, A.G.; Aranda, M.A.G.; Palomo, A. An XRD study of the effect of the SiO2/Na2O ratio on the alkali activation fly ash. Cem. Concr. Res. 2007, 37, 671–679. [Google Scholar] [CrossRef]
- Ramachandran, V.S. Concrete Admixtures Handbook; Noyes Publications: Park Ridge, NJ, USA, 1995. [Google Scholar]
- Kunther, W.; Lothenbach, B.; Scrivener, K.L. On the relevance of volume increase for the length changes of mortar bars in sulfate solutions. Cem. Concr. Res. 2013, 46, 23–29. [Google Scholar] [CrossRef]
- Owsiak, Z. The effect of delayed ettringite formation and alkali-silica reaction on concrete microstructure. Ceramics-Silikaty 2010, 54, 151–153. [Google Scholar]
- Stark, J.; Möser, V.; Bellmann, F. New approaches to cement hydration in the early hardening stage. In Proceedings of the 11th International Congress of Chemistry of Cement, Durban, South Africa, 11–16 May 2003. [Google Scholar]
- Mitchell, L.D.; Grattan-Bellew, P.E.; Margeson, J.; Fournier, B. The Mechanistic differences between alkali silica and alkali carbonate reactions as studied by X-ray diffraction. In Proceedings of the 12th International Conference of Alkali-Aggregate Reaction, Beijing, China, 15–19 October 2004. [Google Scholar]
- Chatterji, S.; Thaulow, N.; Jensen, A.D. Studies of alkali-silica reaction. Part 6. Practical implication of proposed reaction mechanism. Cem. Concr. Res. 1988, 18, 363–366. [Google Scholar] [CrossRef]
- Damian, G.; Damian, F.; Szakács, Z.; Iepure, G.; Aştefanei, D. Mineralogical and Physico-Chemical Characterization of the Oraşu-Nou (Romania) Bentonite Resources. Minerals 2021, 11, 938. [Google Scholar] [CrossRef]
- Kurdowski, W.; Garbacik, A.; Trybalska, B. Application of accelerated test ASTM 1260 to aggregate containing calcium carbonate. Cem. Lime Concr. 2005, 6, 339–348. [Google Scholar]
- Milanesi, C.A.; Marfil, S.A.; Batic, O.R.; Maiza, P.J. The alkali-carbonate reaction and its reaction products an experience with Argentinean dolomite rocks. Cem. Concr. Res. 1996, 26, 1579–1591. [Google Scholar] [CrossRef]
- Zybura, A.; Jaśniok, M.; Jaśniok, T. Diagnostics of Reinforced Concrete Structures. Tests on Reinforcement Corrosion and Concrete Protective Properties; PWN: Warsaw, Poland, 2011. [Google Scholar]












| Oxide | SiO2 | Al2O3 | Fe2O3 | CaO | MgO | K2O | Na2O | TiO2 | MnO | P2O5 | Na2Oeq * |
|---|---|---|---|---|---|---|---|---|---|---|---|
| Zeolite | 67.07 | 12.40 | 0.90 | 2.09 | 0.72 | 2.80 | 2.05 | 0.19 | 0.04 | 0.014 | 3.89 |
| Mineral | Content (vol.%) |
|---|---|
| Clinoptilolite | 65 |
| Volcanic glass | 14 |
| Quartz | 6 |
| Plagioclase | 1 |
| Sanidine | 3 |
| Biotite | 2 |
| Pumice | 6 |
| Iron hydroxides | 3 |
| Sample | Zeolite | Ca(OH)2 | Water | 1M NaOH Solution | 1M KOH Solution | 0.5M K2SO4 Solution |
|---|---|---|---|---|---|---|
| Zc | 15 | 5 | 66.5 | - | - | - |
| Zn | 15 | - | - | 66.5 | - | - |
| Zk | 15 | - | - | - | 66.5 | - |
| Zcn | 15 | 5 | - | 66.5 | - | - |
| Zck | 15 | 5 | - | - | 66.5 | - |
| Zcks | 15 | 5 | - | - | - | 66.5 |
| Sample | H2O from Hydrate | H2O from Ca(OH)2 | Ca(OH)2 | CO2 | CaCO3 | Ca(OH)2 * | Increase in Ca(OH)2 * between Days 7 and 180 |
|---|---|---|---|---|---|---|---|
| Zn7 | 10.11 | - | - | - | - | - | - |
| Zn180 | 10.83 | - | - | - | - | - | |
| Zk7 | 10.83 | - | - | - | - | - | - |
| Zk180 | 11.61 | - | - | - | - | - | |
| Zc7 | 6.67 | 5.45 | 22.43 | 0.88 | 2.01 | 23.92 | −77.29% |
| Zc180 | 11.99 | 0.60 | 2.49 | 1.75 | 3.98 | 5.43 | |
| Zcn7 | 7.73 | 1.70 | 7.00 | 7.81 | 17.76 | 20.15 | −48.54% |
| Zcn180 | 13.10 | 0.71 | 2.94 | 4.41 | 10.03 | 10.37 | |
| Zck7 | 10.68 | 1.94 | 8.00 | 6.95 | 15.81 | 19.70 | −13.65% |
| Zck180 | 12.69 | 1.58 | 6.49 | 6.25 | 14.21 | 17.02 | |
| Zcks7 | 9.98 | 1.27 | 5.24 | 3.10 | 7.06 | 10.47 | −86.47% |
| Zcks180 | 11.63 | 0.00 | 0.00 | 0.84 | 1.91 | 1.42 |
Disclaimer/Publisher’s Note: The statements, opinions and data contained in all publications are solely those of the individual author(s) and contributor(s) and not of MDPI and/or the editor(s). MDPI and/or the editor(s) disclaim responsibility for any injury to people or property resulting from any ideas, methods, instructions or products referred to in the content. |
© 2023 by the author. Licensee MDPI, Basel, Switzerland. This article is an open access article distributed under the terms and conditions of the Creative Commons Attribution (CC BY) license (https://creativecommons.org/licenses/by/4.0/).
Share and Cite
Czapik, P. The Impact of Ions Contained in Concrete Pore Solutions on Natural Zeolites. Materials 2023, 16, 1416. https://doi.org/10.3390/ma16041416
Czapik P. The Impact of Ions Contained in Concrete Pore Solutions on Natural Zeolites. Materials. 2023; 16(4):1416. https://doi.org/10.3390/ma16041416
Chicago/Turabian StyleCzapik, Przemysław. 2023. "The Impact of Ions Contained in Concrete Pore Solutions on Natural Zeolites" Materials 16, no. 4: 1416. https://doi.org/10.3390/ma16041416
APA StyleCzapik, P. (2023). The Impact of Ions Contained in Concrete Pore Solutions on Natural Zeolites. Materials, 16(4), 1416. https://doi.org/10.3390/ma16041416

