A Fluorescent Tracer Based on Castor Oil for Monitoring the Mass Transfer of Fatliquoring Agent in Leather
Abstract
:1. Introduction
2. Materials and Methods
2.1. Materials
2.2. Preparation of Fluorescent Fatliquoring Agent
2.2.1. Preparation of the Fluorescent Tracer
2.2.2. Preparation of Fluorescent Fatliquoring Agent
2.3. Characterization
2.3.1. Fourier Transform Infrared (FTIR) Spectra
2.3.2. Nuclear Magnetic Resonance (NMR) Spectrometry
2.3.3. Differential Scanning Calorimetry (DSC)
2.3.4. Fluorescence Emission Spectra
2.4. Establishment of Fluorescent Tracing Technique of Fatliquoring Agent
2.4.1. The Fatliquoring Process of Goat Skin Wet Blue
2.4.2. Tracing of Fatliquoring Agent
2.4.3. Preparation of Samples for Mass Transfer Investigations
3. Results and Discussion
3.1. FTIR Spectra
3.2. 1H NMR Analysis
3.3. DSC Investigation
3.4. Fluorescence Emission Spectra
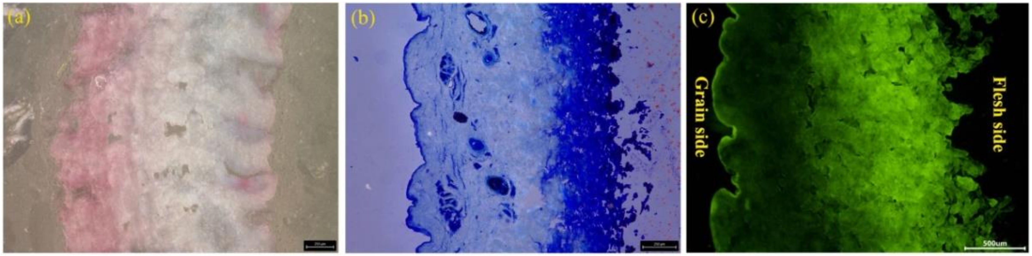
3.5. Observation of the Distribution of Fatliquoring Agent in Leather
3.6. Mass Transfer of Fatliquoring Agent in Leather
4. Conclusions
Author Contributions
Funding
Institutional Review Board Statement
Informed Consent Statement
Data Availability Statement
Conflicts of Interest
References
- Lyu, B.; Luo, K.; Wang, Y.F.; Gao, D.G.; Ma, J.Z. Sodium alginate oxide assembly layered double hydroxide and its structureactivity relationship to anti-fogging properties and flame retardancy of leather. Appl. Clay Sci. 2020, 190, 105559. [Google Scholar] [CrossRef]
- Manich, A.M.; Cuadros, S.; Cot, J.; Carilla, J.; Marsal, A. Determination of oxidation parameters of fatliquored leather by DSC. Thermochim. Acta 2005, 429, 205–211. [Google Scholar] [CrossRef]
- Nkwor, A.N.; Ukoha, P.O. Evaluation of the leather fatliquoring potential of sulphonated Afzeliaafricana aril cap oil. Heliyon 2020, 6, e03009. [Google Scholar] [CrossRef] [PubMed] [Green Version]
- Sardari, A.; Alvani, A.A.S.; Ghaffarian, S.R. Preparation of castor oil-based fatliquoring agent via a Pickering emulsion method for use in leather coating. J. Coat. Technol. Res. 2019, 16, 1765–1772. [Google Scholar] [CrossRef]
- Kalyanaraman, C.; Kanchinadham, S.B.K.; Devi, L.V.; Porselvam, S.; Rao, J.R. Combined advanced oxidation processes and aerobic biological treatment for synthetic fatliquor used in tanneries. Ind. Eng. Chem. Res. 2012, 51, 16171–16181. [Google Scholar] [CrossRef]
- Du, J.X.; Shi, L.; Peng, B.Y. Real-time monitoring of the penetration of amphiphilic acrylate copolymer in leather using a fluorescent copolymer as tracer. Microsc. Res. Tech. 2015, 78, 1146–1153. [Google Scholar] [CrossRef]
- Rosu, L.; Varganici, C.D.; Crudu, A.M.; Rosu, D.; Bele, A. Ecofriendly wet-white leather vs. conventional tanned wet-blue leather. A photochemical approach. J. Clean. Prod. 2018, 177, 708–720. [Google Scholar] [CrossRef]
- Wang, Z.; Yong, T.Y.; Wan, J.; Li, Z.H.; Zhao, H.; Zhao, Y.B.; Gan, L.; Yang, X.L.; Xu, H.B.; Zhang, C. Temperature-sensitive fluorescent organic nanoparticles with aggregation-induced emission for long-term cellular tracing. ACS Appl. Mater. Interfaces 2015, 7, 3420–3425. [Google Scholar] [CrossRef]
- Shao, D.; Li, J.; Xiao, X.A.; Zhang, M.; Pan, Y.; Li, S.; Wang, Z.; Zhang, X.; Zheng, H.L.; Zhang, X.W.; et al. Real-Time visualizing and tracing of HSV-TK/GCV suicide gene therapy by near-infrared fluorescent quantum dots. ACS Appl. Mater. Interfaces 2014, 6, 11082–11090. [Google Scholar] [CrossRef]
- Wang, Z.K.; Chen, S.J.; Lam, J.W.Y.; Qin, W.; Kwok, R.T.K.; Xie, N.; Hu, Q.L.; Tang, B.Z. Long-term fluorescent cellular tracing by the aggregates of AIE bioconjugates. J. Am. Chem. Soc. 2013, 135, 8238–8245. [Google Scholar] [CrossRef]
- Jiang, X.X.; Rong, L.; Cao, J.; Fu, N.Y. Near-infrared fluorescent probe for tracing diquat in aqueous solutions and bioimaging in vivo. Dyes Pigment. 2021, 191, 109375. [Google Scholar] [CrossRef]
- Wang, P.X.; Zhang, D.; Bai, S.C.; Tao, B.Z.; Li, S.Q.; Wang, T.; Shang, A.J. Feasibility of commonly used fluorescent dyes and viral tracers in aqueous and solvent-based tissue clearing. Neurosci. Lett. 2020, 737, 135301. [Google Scholar] [CrossRef]
- Yang, Q.; Zeng, Y.H.; Zhang, W.H.; Liao, X.P.; Shi, B. Research on mass transfer and action mechanism of enzymes in leather processing by fluorescence tracing (I): Establishment of tracer technique based on BSA. China Leather 2014, 43, 19–26. (In Chinese) [Google Scholar]
- Zeng, Y.H.; Song, Y.; Li, J.; Zhang, W.H.; Shi, B. Visualization and quantification of penetration/mass transfer of acrylic resin retanning agent in leather using fluorescent tracing technique. J. Am. Leather Chem. Assoc. 2016, 111, 398–405. [Google Scholar]
- Kunduru, K.R.; Basu, A.; Zada, M.H.; Domb, A.J. Castor oil-based biodegradable polyesters. Biomacromolecules 2015, 16, 2572–2587. [Google Scholar] [CrossRef]
- Lu, J.Y.; Zhang, Y.; Tao, Y.J.; Wang, B.B.; Cheng, W.H.; Jie, G.X.; Song, L.; Hu, Y. Self-healable castor oil-based waterborne polyurethane/MXene film with outstanding electromagnetic interference shielding effectiveness and excellent shape memory performance. J. Colloid Interface Sci. 2021, 588, 164–174. [Google Scholar] [CrossRef]
- Santan, H.D.; James, C.; Fratini, E.; Martínez, I.; Valencia, C.; Sánchez, M.C.; Franco, J.M. Structure-property relationships in solvent free adhesives derived from castor oil. Ind. Crop. Prod. 2018, 121, 90–98. [Google Scholar] [CrossRef]
- Li, P.S.; Chu, Z.Z.; Chen, Y.W.; Yuan, T.; Yang, Z.H. One-pot and solvent-free synthesis of castor oil-based polyurethane acrylate oligomers for UV-curable coatings applications. Prog. Org. Coat. 2021, 159, 106398. [Google Scholar] [CrossRef]
- Rich, H.; Odlyha, M.; Cheema, U.; Mudera, V.; Bozec, L. Effects of photochemical riboflavin-mediated crosslinks on the physical properties of collagen constructs and fibrils. J. Mater. Sci. Mater. Med. 2014, 25, 11–21. [Google Scholar] [CrossRef]
- Ma, J.Z.; Gao, J.J.; Wang, H.D.; Lyu, B.; Gao, D.G. Dissymmetry gemini sulfosuccinate surfactant from vegetable oil: A kind of environmentally friendly fatliquoring agent in the leather industry. ACS Sustain. Chem. Eng. 2017, 5, 10693–10701. [Google Scholar] [CrossRef]
- Nkwor, A.N.; Ukoha, P.O.; Ifijen, I.H. Synthesis of sulfonated Sesamum indicum L. seed oil and its application as a fatliquor in leather processing. J. Leather Sci. Eng. 2021, 3, 16. [Google Scholar] [CrossRef]
- Levin, M.; Karlsson, C. The effect of molecular composition of naphthenic mineral oil on the glass transition temperature. Thermochim. Acta 2010, 499, 171–173. [Google Scholar] [CrossRef]
- Calligaris, S.; Arrighetti, G.; Barba, L.; Nicoli, M.C. Phase yransition of Sunflower oil as affected by the oxidation level. J. Am. Oil Chem. Soc. 2008, 85, 591–598. [Google Scholar] [CrossRef]
- Quinchia, L.A.; Delgado, M.A.; Franco, J.M.; Spikes, H.A.; Gallegos, C. Low-temperature flow behaviour of vegetable oil-based lubricants. Ind. Crop. Prod. 2012, 37, 383–388. [Google Scholar] [CrossRef]
- Masson, J.F.; Polomark, G.M.; Bundalo-Perc, S.; Collins, P. Melting and glass transitions in paraffinic and naphthenic oils. Thermochim. Acta 2006, 440, 132–140. [Google Scholar] [CrossRef] [Green Version]








Publisher’s Note: MDPI stays neutral with regard to jurisdictional claims in published maps and institutional affiliations. |
© 2022 by the authors. Licensee MDPI, Basel, Switzerland. This article is an open access article distributed under the terms and conditions of the Creative Commons Attribution (CC BY) license (https://creativecommons.org/licenses/by/4.0/).
Share and Cite
Wen, H.; Wang, Y.; Zhu, H.; Jin, L.; Zhang, F. A Fluorescent Tracer Based on Castor Oil for Monitoring the Mass Transfer of Fatliquoring Agent in Leather. Materials 2022, 15, 1167. https://doi.org/10.3390/ma15031167
Wen H, Wang Y, Zhu H, Jin L, Zhang F. A Fluorescent Tracer Based on Castor Oil for Monitoring the Mass Transfer of Fatliquoring Agent in Leather. Materials. 2022; 15(3):1167. https://doi.org/10.3390/ma15031167
Chicago/Turabian StyleWen, Hongmei, Yulu Wang, Hongxia Zhu, Liqiang Jin, and Feifei Zhang. 2022. "A Fluorescent Tracer Based on Castor Oil for Monitoring the Mass Transfer of Fatliquoring Agent in Leather" Materials 15, no. 3: 1167. https://doi.org/10.3390/ma15031167
APA StyleWen, H., Wang, Y., Zhu, H., Jin, L., & Zhang, F. (2022). A Fluorescent Tracer Based on Castor Oil for Monitoring the Mass Transfer of Fatliquoring Agent in Leather. Materials, 15(3), 1167. https://doi.org/10.3390/ma15031167
