PCL-Coated Multi-Substituted Calcium Phosphate Bone Scaffolds with Enhanced Properties
Abstract
:1. Introduction
2. Materials and Methods
2.1. Scaffold Preparation
2.2. XRD Analysis and Rietveld Refinement
2.3. FTIR Analysis
2.4. SEM-EDX Analysis
2.5. MTT Viability Assay
2.6. Preparation of Composite Scaffolds
2.7. Mechanical Testing
2.8. Osteogenic Differentiation of hMSCs Cultured in 3D Static Conditions
2.9. Histological Analysis
2.10. Immunohistochemical Detection of Collagen Type I
2.11. Isolation of Total RNA and RT-qPCR Analysis
2.12. Statistical Analysis
3. Results and Discussion
3.1. XRD Analysis and Whole Powder Pattern Decomposition Refinement
3.2. FTIR Analysis
3.3. SEM Analysis
3.4. Cytotoxicity Evaluation of Extracts
3.5. PCL-Coated Scaffolds
3.5.1. Mechanical Properties
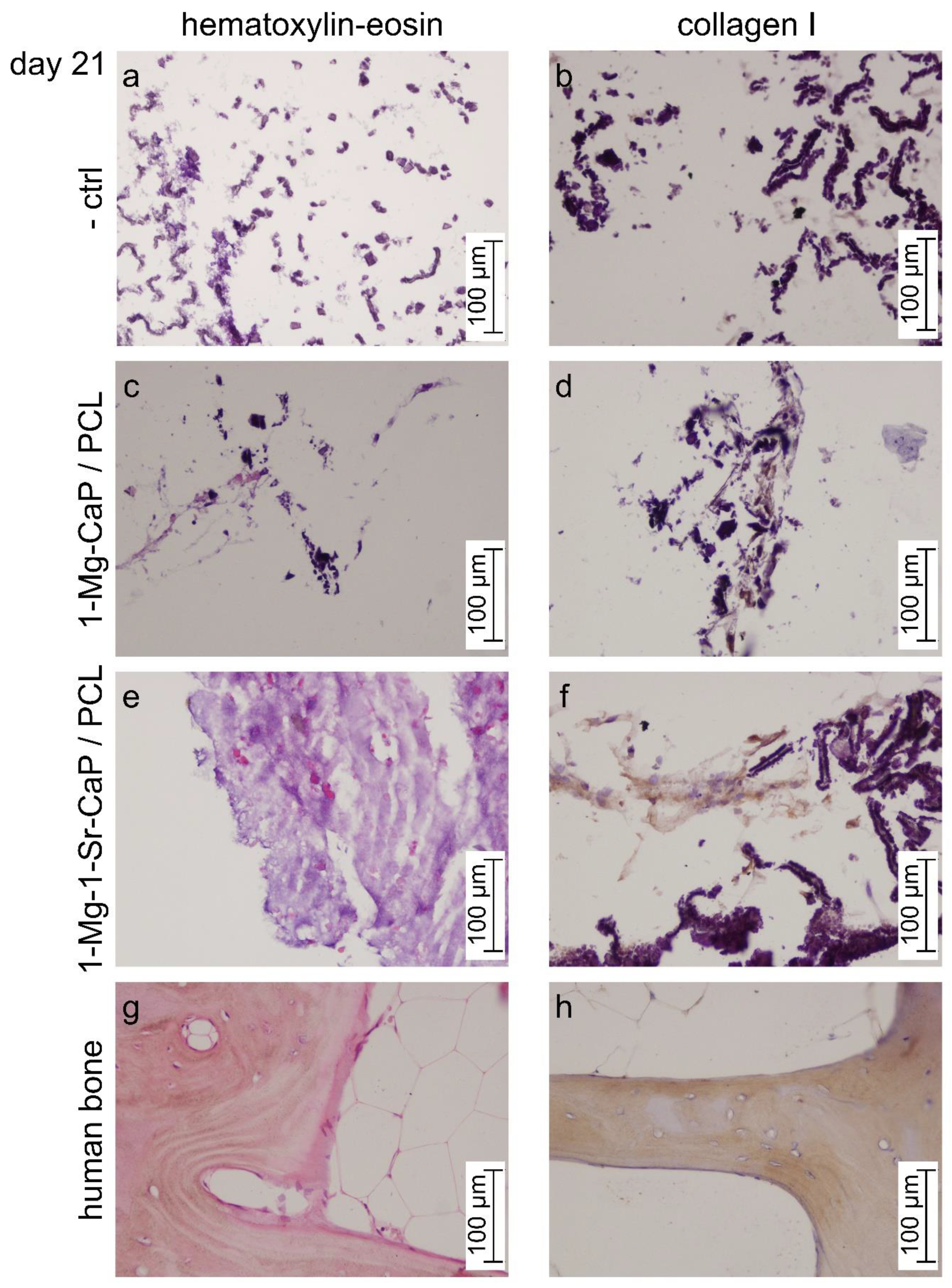
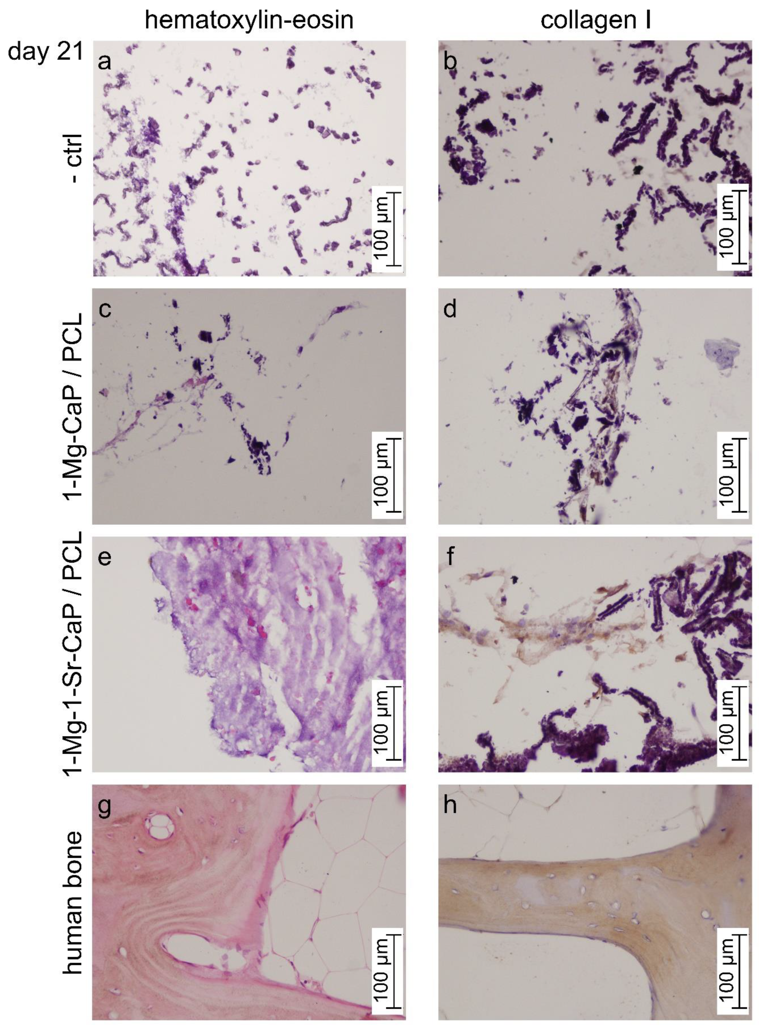
3.5.2. Histological Analysis
3.5.3. Quantitative Evaluation of Osteoinduction
4. Conclusions
Author Contributions
Funding
Institutional Review Board Statement
Informed Consent Statement
Data Availability Statement
Acknowledgments
Conflicts of Interest
Appendix A


References
- Boanini, E.; Gazzano, M.; Bigi, A. Ionic substitutions in calcium phosphates synthesized at low temperature. Acta Biomater. 2010, 6, 1882–1894. [Google Scholar] [CrossRef]
- Shepherd, J.H.; Shepherd, D.V.; Best, S.M. Substituted hydroxyapatites for bone repair. J. Mater. Sci. Mater. Med. 2012, 23, 2335–2347. [Google Scholar] [CrossRef] [PubMed]
- Šupová, M. Substituted hydroxyapatites for biomedical applications: A review. Ceram. Int. 2015, 41, 9203–9231. [Google Scholar] [CrossRef]
- Tite, T.; Popa, A.-C.; Balescu, L.; Bogdan, I.; Pasuk, I.; Ferreira, J.; Stan, G. Cationic Substitutions in Hydroxyapatite: Current Status of the Derived Biofunctional Effects and Their In Vitro Interrogation Methods. Materials 2018, 11, 2081. [Google Scholar] [CrossRef] [PubMed] [Green Version]
- Landi, E.; Logroscino, G.; Proietti, L.; Tampieri, A.; Sandri, M.; Sprio, S. Biomimetic Mg-substituted hydroxyapatite: From synthesis to in vivo behaviour. J. Mater. Sci. Mater. Med. 2008, 19, 239–247. [Google Scholar] [CrossRef] [PubMed]
- Ren, F.; Leng, Y.; Xin, R.; Ge, X. Synthesis, characterization and ab initio simulation of magnesium-substituted hydroxyapatite. Acta Biomater. 2010, 6, 2787–2796. [Google Scholar] [CrossRef] [PubMed]
- Yuan, X.; Zhu, B.; Tong, G.; Su, Y.; Zhu, X. Wet-chemical synthesis of Mg-doped hydroxyapatite nanoparticles by step reaction and ion exchange processes. J. Mater. Chem. B 2013, 1, 6551. [Google Scholar] [CrossRef]
- Stipniece, L.; Salma-Ancane, K.; Borodajenko, N.; Sokolova, M.; Jakovlevs, D.; Berzina-Cimdina, L. Characterization of Mg-substituted hydroxyapatite synthesized by wet chemical method. Ceram. Int. 2014, 40, 3261–3267. [Google Scholar] [CrossRef]
- Li, Z.Y.; Lam, W.M.; Yang, C.; Xu, B.; Ni, G.X.; Abbah, S.A.; Cheung, K.M.C.; Luk, K.D.K.; Lu, W.W. Chemical composition, crystal size and lattice structural changes after incorporation of strontium into biomimetic apatite. Biomaterials 2007, 28, 1452–1460. [Google Scholar] [CrossRef]
- Mardziah, C.M.; Sopyan, I.; Hamdi, M.; Ramesh, S. Synthesis and characterization of strontium-doped hydroxyapatite powder via sol-gel method. Med. J. Malaysia 2008, 63 (Suppl. A), 79–80. [Google Scholar]
- Ravi, N.D.; Balu, R.; Sampath Kumar, T.S. Strontium-substituted calcium deficient hydroxyapatite nanoparticles: Synthesis, characterization, and antibacterial properties. J. Am. Ceram. Soc. 2012, 95, 2700–2708. [Google Scholar] [CrossRef]
- Terra, J.; Dourado, E.R.; Eon, J.G.; Ellis, D.E.; Gonzalez, G.; Rossi, A.M. The structure of strontium-doped hydroxyapatite: An experimental and theoretical study. Phys. Chem. Chem. Phys. 2009, 11, 568–577. [Google Scholar] [CrossRef]
- Marie, P.J. Strontium ranelate: A novel mode of action optimizing bone formation and resorption. Osteoporos. Int. 2005, 16, S7–S10. [Google Scholar] [CrossRef] [PubMed]
- Bonnelye, E.; Chabadel, A.; Saltel, F.; Jurdic, P. Dual effect of strontium ranelate: Stimulation of osteoblast differentiation and inhibition of osteoclast formation and resorption in vitro. Bone 2008, 42, 129–138. [Google Scholar] [CrossRef]
- Bigi, A.; Boanini, E.; Capuccini, C.; Gazzano, M. Strontium-substituted hydroxyapatite nanocrystals. Inorganica Chim. Acta 2007, 360, 1009–1016. [Google Scholar] [CrossRef]
- Zhu, K.; Yanagisawa, K.; Shimanouchi, R.; Onda, A.; Kajiyoshi, K. Preferential occupancy of metal ions in the hydroxyapatite solid solutions synthesized by hydrothermal method. J. Eur. Ceram. Soc. 2006, 26, 509–513. [Google Scholar] [CrossRef]
- Legeros, R.Z.; Kijkowska, R.; Bautista, C.; Legeros, J.P. Synergistic effects of magnesium and carbonate on properties of biological and synthetic apatites. Connect. Tissue Res. 1995, 33, 203–209. [Google Scholar] [CrossRef] [PubMed]
- Neuman, W.F.; Mulryan, B.J. Synthetic hydroxyapatite crystals. Calcif. Tissue Res. 1971, 7, 133–138. [Google Scholar] [CrossRef] [PubMed]
- Bigi, A.; Falini, G.; Foresti, E.; Ripamonti, A.; Gazzano, M.; Roveri, N. Magnesium influence on hydroxyapatite crystallization. J. Inorg. Biochem. 1993, 49, 69–78. [Google Scholar] [CrossRef]
- Aina, V.; Lusvardi, G.; Annaz, B.; Gibson, I.R.; Imrie, F.E.; Malavasi, G.; Menabue, L.; Cerrato, G.; Martra, G. Magnesium- and strontium-co-substituted hydroxyapatite: The effects of doped-ions on the structure and chemico-physical properties. J. Mater. Sci. Mater. Med. 2012, 23, 2867–2879. [Google Scholar] [CrossRef]
- Geng, Z.; Wang, R.; Li, Z.; Cui, Z.; Zhu, S.; Liang, Y.; Liu, Y.; Huijing, B.; Li, X.; Huo, Q.; et al. Synthesis, characterization and biological evaluation of strontium/magnesium-co-substituted hydroxyapatite. J. Biomater. Appl. 2016, 31, 140–151. [Google Scholar] [CrossRef]
- Bauer, L.; Antunović, M.; Rogina, A.; Ivanković, M.; Ivanković, H. Bone-mimetic porous hydroxyapatite/whitlockite scaffolds: Preparation, characterization and interactions with human mesenchymal stem cells. J. Mater. Sci. 2021, 56, 3947–3969. [Google Scholar] [CrossRef]
- TOPAS V5: General Profile and Structure Analysis Software for Powder Diffraction Data; Bruker: Karlsruhe, Germany, 2014.
- Sudarsanan, K.; Young, R.A. Significant precision in crystal structural details. Holly Springs hydroxyapatite. Acta Crystallogr. Sect. B Struct. Crystallogr. Cryst. Chem. 1969, 25, 1534–1543. [Google Scholar] [CrossRef]
- Coelho, A.A. Whole-profile structure solution from powder diffraction data using simulated annealing. J. Appl. Crystallogr. 2000, 33, 899–908. [Google Scholar] [CrossRef]
- Gopal, R.; Calvo, C.; Ito, J.; Sabine, W.K. Crystal Structure of Synthetic Mg-Whitlockite, Ca18Mg2H2(PO4)14. Can. J. Chem. 1974, 52, 1155–1164. [Google Scholar] [CrossRef] [Green Version]
- Caspi, E.N.; Pokroy, B.; Lee, P.L.; Quintana, J.P.; Zolotoyabko, E. On the structure of aragonite. Acta Crystallogr. Sect. B Struct. Sci. 2005, 61, 129–132. [Google Scholar] [CrossRef]
- Milovac, D.; Gallego Ferrer, G.; Ivankovic, M.; Ivankovic, H. PCL-coated hydroxyapatite scaffold derived from cuttlefish bone: Morphology, mechanical properties and bioactivity. Mater. Sci. Eng. C 2014, 34, 437–445. [Google Scholar] [CrossRef]
- Milovac, D.; Gamboa-Martínez, T.C.; Ivankovic, M.; Gallego Ferrer, G.; Ivankovic, H. PCL-coated hydroxyapatite scaffold derived from cuttlefish bone: In vitro cell culture studies. Mater. Sci. Eng. C 2014, 42, 264–272. [Google Scholar] [CrossRef]
- Matic, I.; Antunovic, M.; Brkic, S.; Josipovic, P.; Caput Mihalic, K.; Karlak, I.; Ivkovic, A.; Marijanovic, I. Expression of OCT-4 and SOX-2 in Bone Marrow-Derived Human Mesenchymal Stem Cells during Osteogenic Differentiation. Open Access Maced. J. Med. Sci. 2016, 4, 9–16. [Google Scholar] [CrossRef] [PubMed] [Green Version]
- Rogina, A.; Antunović, M.; Pribolšan, L.; Caput Mihalić, K.; Vukasović, A.; Ivković, A.; Marijanović, I.; Gallego Ferrer, G.; Ivanković, M.; Ivanković, H. Human Mesenchymal Stem Cells Differentiation Regulated by Hydroxyapatite Content within Chitosan-Based Scaffolds under Perfusion Conditions. Polymers 2017, 9, 387. [Google Scholar] [CrossRef] [PubMed] [Green Version]
- Panek, M.; Antunović, M.; Pribolšan, L.; Ivković, A.; Gotić, M.; Vukasović, A.; Caput Mihalić, K.; Pušić, M.; Jurkin, T.; Marijanović, I. Bone Tissue Engineering in a Perfusion Bioreactor Using Dexamethasone-Loaded Peptide Hydrogel. Materials 2019, 12, 919. [Google Scholar] [CrossRef] [Green Version]
- Ressler, A.; Cvetnić, M.; Antunović, M.; Marijanović, I.; Ivanković, M.; Ivanković, H. Strontium substituted biomimetic calcium phosphate system derived from cuttlefish bone. J. Biomed. Mater. Res. Part B Appl. Biomater. 2020, 108, 1697–1709. [Google Scholar] [CrossRef] [PubMed]
- Landi, E.; Celotti, G.; Logroscino, G.; Tampieri, A. Carbonated hydroxyapatite as bone substitute. J. Eur. Ceram. Soc. 2003, 23, 2931–2937. [Google Scholar] [CrossRef]
- El Feki, H.; Rey, C.; Vignoles, M. Carbonate ions in apatites: Infrared investigations in thev 4 CO3 domain. Calcif. Tissue Int. 1991, 49, 269–274. [Google Scholar] [CrossRef] [PubMed]
- Mouriño, V.; Cattalini, J.P.; Boccaccini, A.R. Metallic ions as therapeutic agents in tissue engineering scaffolds: An overview of their biological applications and strategies for new developments. J. R. Soc. Interface 2012, 9, 401–419. [Google Scholar] [CrossRef] [Green Version]
- Ivankovic, H.; Tkalcec, E.; Orlic, S.; Gallego Ferrer, G.; Schauperl, Z. Hydroxyapatite formation from cuttlefish bones: Kinetics. J. Mater. Sci. Mater. Med. 2010, 21, 2711–2722. [Google Scholar] [CrossRef] [Green Version]
- Chen, E.-C.; Wu, T.-M. Isothermal crystallization kinetics and thermal behavior of poly(ε-caprolactone)/multi-walled carbon nanotube composites. Polym. Degrad. Stab. 2007, 92, 1009–1015. [Google Scholar] [CrossRef]
- Gibson, L.J.; Ashby, M.F. Cellular Solids: Structure and Properties; Cambridge University Press: Cambridge, UK, 1999. [Google Scholar]
- Jang, H.L.; Zheng, G.B.; Park, J.; Kim, H.D.; Baek, H.-R.; Lee, H.K.; Lee, K.; Han, H.N.; Lee, C.-K.; Hwang, N.S.; et al. In Vitro and In Vivo Evaluation of Whitlockite Biocompatibility: Comparative Study with Hydroxyapatite and β -Tricalcium Phosphate. Adv. Healthc. Mater. 2016, 5, 128–136. [Google Scholar] [CrossRef]
- Stucki, U.; Schmid, J.; Hämmerle, C.F.; Lang, N.P. Temporal and local appearance of alkaline phosphatase activity in early stages of guided bone regeneration. Clin. Oral Implants Res. 2001, 12, 121–127. [Google Scholar] [CrossRef]
- Rezai Rad, M.; Liu, D.; He, H.; Brooks, H.; Xiao, M.; Wise, G.E.; Yao, S. The role of dentin matrix protein 1 (DMP1) in regulation of osteogenic differentiation of rat dental follicle stem cells (DFSCs). Arch. Oral Biol. 2015, 60, 546–556. [Google Scholar] [CrossRef] [Green Version]
- He, G.; Dahl, T.; Veis, A.; George, A. Nucleation of apatite crystals in vitro by self-assembled dentin matrix protein 1. Nat. Mater. 2003, 2, 552–558. [Google Scholar] [CrossRef] [PubMed]
- He, G.; George, A. Dentin Matrix Protein 1 Immobilized on Type I Collagen Fibrils Facilitates Apatite Deposition in Vitro. J. Biol. Chem. 2004, 279, 11649–11656. [Google Scholar] [CrossRef] [PubMed] [Green Version]









| Sample | Mg/(Ca + Mg + Sr) (mol.%) | Sr/(Ca + Mg + Sr) (mol.%) | (Ca + Mg + Sr)/P |
|---|---|---|---|
| CaP | 0 | 0 | 10/6 |
| 1-Sr-CaP | 0 | 1 | 10/6 |
| 2.5-Sr-CaP | 0 | 2.5 | 10/6 |
| 5-Sr-CaP | 0 | 5 | 10/6 |
| 10-Sr-CaP | 0 | 10 | 10/6 |
| 1-Mg-1-Sr-CaP | 1 | 1 | 10/6 |
| 1-Mg-5-Sr-CaP | 1 | 5 | 10/6 |
| 5-Mg-1-Sr-CaP | 5 | 1 | 10/6 |
| 5-Mg-5-Sr-CaP | 5 | 5 | 10/6 |
| Sample | wt.% | |||
|---|---|---|---|---|
| HAp | WH | Aragonite | Rwp | |
| CaP | 100 | 0 | 0 | 5.98 |
| 1-Sr-CaP | 100 | 0 | 0 | 5.948 |
| 2.5-Sr-CaP | 100 | 0 | 0 | 5.976 |
| 5-Sr-CaP | 99.07 | 0.93 | 0 | 6.441 |
| 10-Sr-CaP | 97.92 | 2.08 | 0 | 6.556 |
| 1-Mg-1-Sr-CaP | 90.39 | 9.61 | 0 | 6.788 |
| 1-Mg-5-Sr-CaP | 87.96 | 12.04 | 0 | 6.977 |
| 5-Mg-1-Sr-CaP | 61.78 | 26.90 | 11.32 | 7.789 |
| 5-Mg-5-Sr-CaP | 63.19 | 25.29 | 11.52 | 8.295 |
| (a) | ||||
| Sample | Hydroxyapatite | |||
| Unit Cell Paremeters (P63/m) | Crystallite Size | |||
| a(Å) | c(Å) | Volume(Å3) | Lvol-IB(nm) | |
| CaP | 9.4330 | 6.8981 | 531.573 | 55.633 |
| 1-Sr-CaP | 9.4351 | 6.9002 | 531.962 | 49.611 |
| 2.5-Sr-CaP | 9.4305 | 6.9035 | 531.707 | 56.872 |
| 5-Sr-CaP | 9.4316 | 6.9037 | 531.847 | 55.664 |
| 10-Sr-CaP | 9.4323 | 6.9055 | 532.067 | 55.571 |
| 1-Mg-1-Sr-CaP | 9.4317 | 6.9014 | 531.674 | 62.115 |
| 1-Mg-5-Sr-CaP | 9.4369 | 6.9002 | 532.171 | 57.327 |
| 5-Mg-1-Sr-CaP | 9.4328 | 6.8965 | 531.429 | 70.278 |
| 5-Mg-5-Sr-CaP | 9.4345 | 6.8937 | 531.398 | 65.063 |
| (b) | ||||
| Sample | Whitlockite | |||
| Unit Cell Parameters (R3C) | Crystallite Size | |||
| a(Å) | c(Å) | Volume(Å3) | Lvol-IB(nm) | |
| 1-Mg-CaP | 10.3795 | 37.2133 | 3472.044 | 24.680 |
| 5-Mg-CaP | 10.3716 | 37.2386 | 3469.069 | 22.631 |
| 1-Mg-1-Sr-CaP | 10.4021 | 37.2750 | 3492.903 | 19.489 |
| 1-Mg-5-Sr-CaP | 10.4630 | 37.5080 | 3556.050 | 16.553 |
| 5-Mg-1-Sr-CaP | 10.3720 | 37.2651 | 3471.265 | 18.486 |
| 5-Mg-5-Sr-CaP | 10.3918 | 37.3312 | 3491.242 | 19.466 |
Publisher’s Note: MDPI stays neutral with regard to jurisdictional claims in published maps and institutional affiliations. |
© 2021 by the authors. Licensee MDPI, Basel, Switzerland. This article is an open access article distributed under the terms and conditions of the Creative Commons Attribution (CC BY) license (https://creativecommons.org/licenses/by/4.0/).
Share and Cite
Bauer, L.; Antunović, M.; Gallego-Ferrer, G.; Ivanković, M.; Ivanković, H. PCL-Coated Multi-Substituted Calcium Phosphate Bone Scaffolds with Enhanced Properties. Materials 2021, 14, 4403. https://doi.org/10.3390/ma14164403
Bauer L, Antunović M, Gallego-Ferrer G, Ivanković M, Ivanković H. PCL-Coated Multi-Substituted Calcium Phosphate Bone Scaffolds with Enhanced Properties. Materials. 2021; 14(16):4403. https://doi.org/10.3390/ma14164403
Chicago/Turabian StyleBauer, Leonard, Maja Antunović, Gloria Gallego-Ferrer, Marica Ivanković, and Hrvoje Ivanković. 2021. "PCL-Coated Multi-Substituted Calcium Phosphate Bone Scaffolds with Enhanced Properties" Materials 14, no. 16: 4403. https://doi.org/10.3390/ma14164403
APA StyleBauer, L., Antunović, M., Gallego-Ferrer, G., Ivanković, M., & Ivanković, H. (2021). PCL-Coated Multi-Substituted Calcium Phosphate Bone Scaffolds with Enhanced Properties. Materials, 14(16), 4403. https://doi.org/10.3390/ma14164403

