Histomorphometric, Immunohistochemical, Ultrastructural Characterization of a Nano-Hydroxyapatite/Beta-Tricalcium Phosphate Composite and a Bone Xenograft in Sub-Critical Size Bone Defect in Rat Calvaria
Abstract
1. Introduction
2. Materials and Methods
2.1. Animals
2.1.1. Bone Defect Surgical Procedures
2.1.2. Group Distribution
2.1.3. Euthanizing Procedure
2.2. Morphological Analysis Protocol
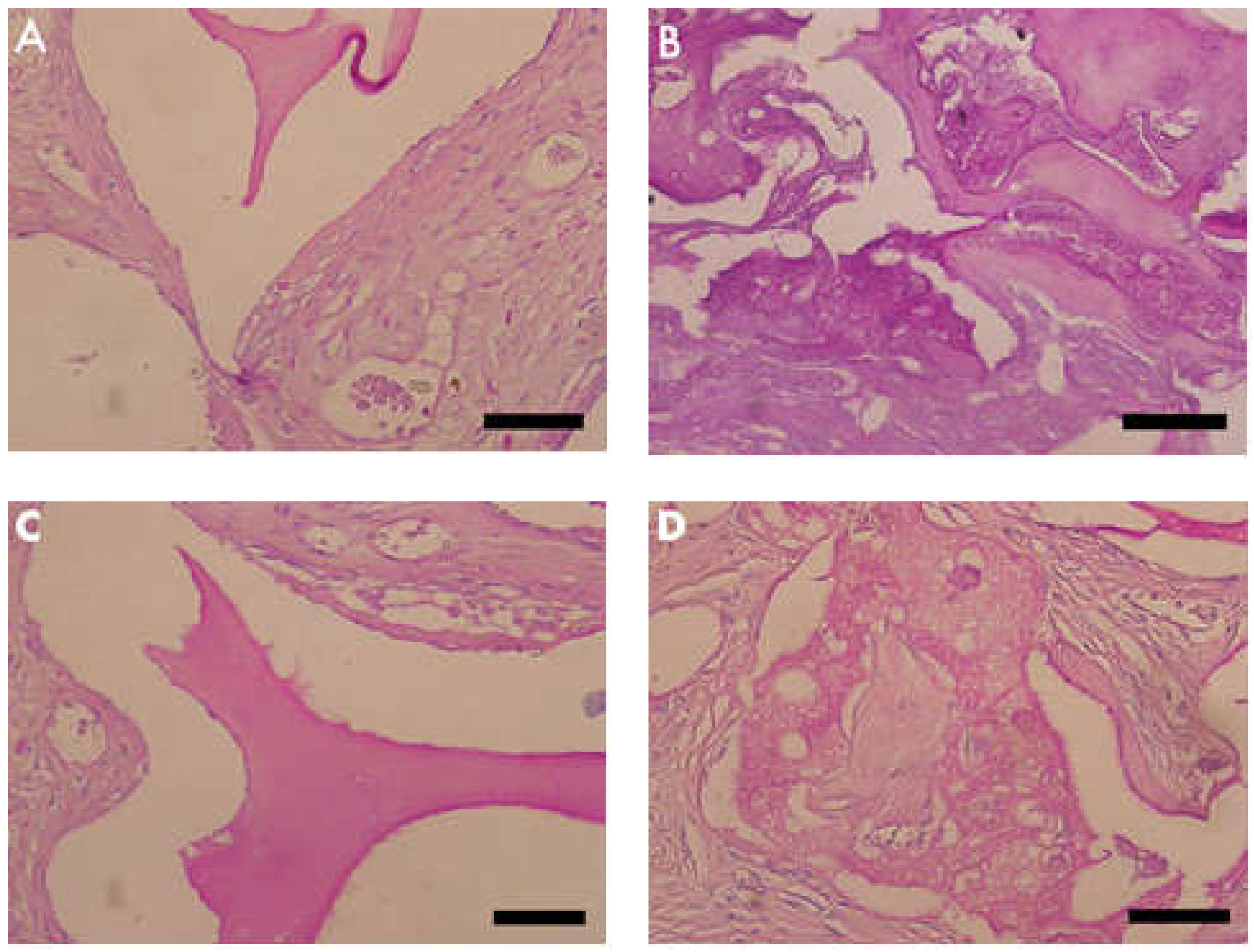
2.3. Masson’s Trichrome Staining Protocol
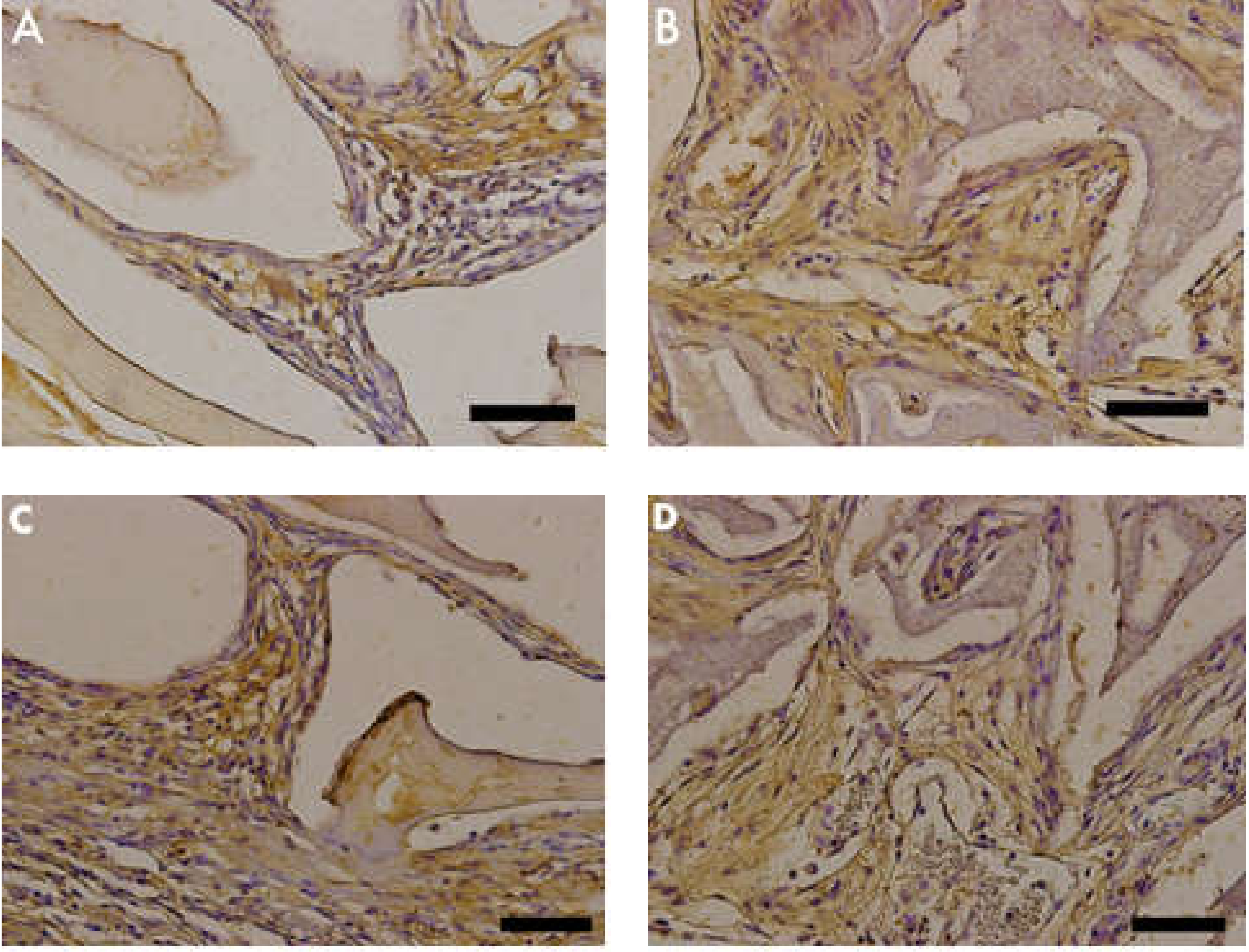
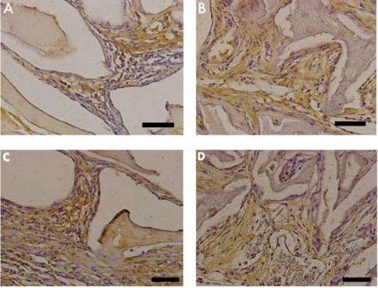
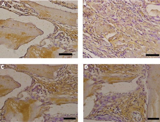
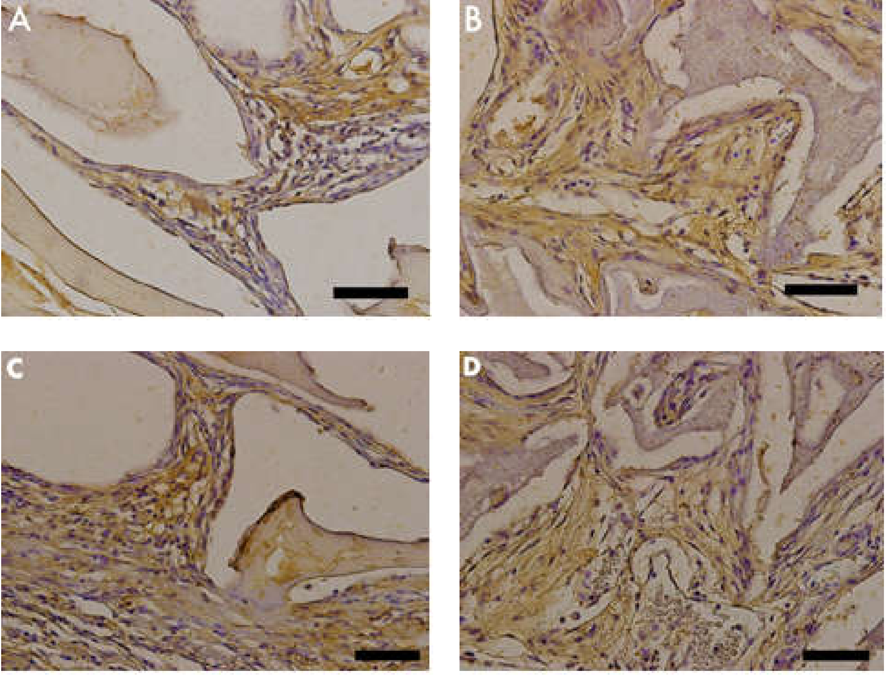
2.4. Immunohistochemistry Protocol
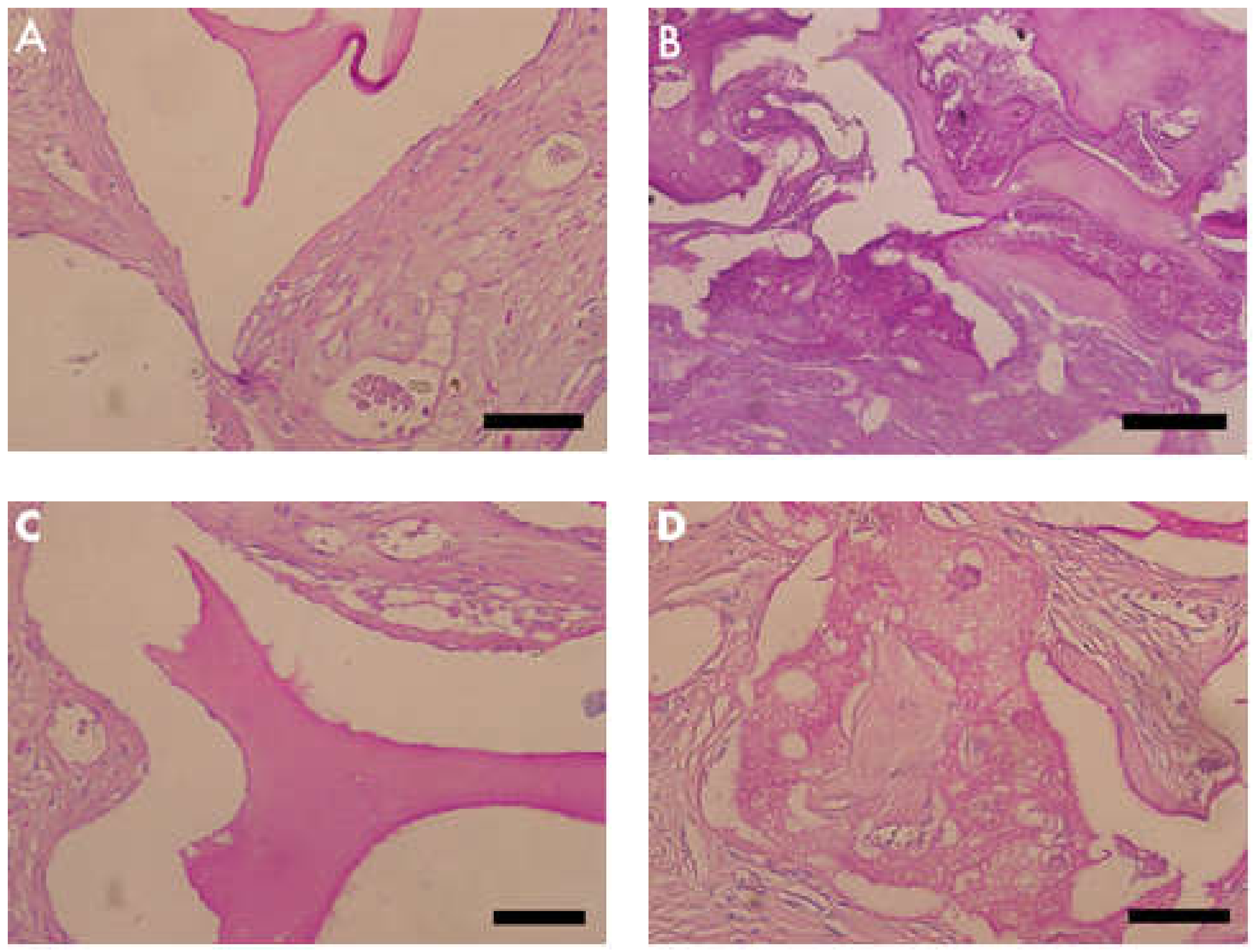
2.5. Periodic Acid–Schiff (PAS) Protocol
2.6. Image Acquisition and Histomorphometry
2.7. Statistical Analysis
2.8. Scanning Electron Microscopy Protocol
2.9. Scanning Electron Microscopy Analysis
3. Results
3.1. General Observations
3.2. Masson’s Trichrome Histomorphometry
3.3. PAS Histomorphometry
3.4. TNF-α Immunostaining
3.5. MMP-9 Immunostaining
3.6. Scanning Electron Microscopy
4. Discussion
5. Conclusions
- -
- The nano-HA/β-TCP composite presented better conditions for bone matrix formation when compared to bone xenograft.
- -
- MMP-9 and TNF-α up-regulation suggested the cellular response to the bone remodeling process was more favorable in the Nano-HA/β-TCP composite group.
- -
- The PAS staining technique suggested the Nano-HA/β-TCP composite induced an increase in glycoproteins, polysaccharides, and glycolipids.
- -
- The Nano-HA/β-TCP composite is a promising biomaterial that can replace bone xenograft.
Author Contributions
Funding
Conflicts of Interest
References
- Han, Y.; Li, S.; Cao, X.; Yuan, L.; Wang, Y.; Yin, Y.; Qiu, T.; Dai, H.; Wang, X. Different inhibitory effect and mechanism of hydroxyapatite nanoparticles on normal cells and cancer cells in vitro and in vivo. Different inhibitory effect and mechanism of hydroxyapatite nanoparticles on normal cells and cancer cells in vitro and in vivo. Sci. Rep. 2015, 5, 7943. [Google Scholar] [CrossRef]
- Yanhua, W.; Hao, H.; Li, Y.; Zhang, S. Selenium-substituted hydroxyapatite nanoparticles and their in vivo antitumor effect on hepatocellular carcinoma. Colloids Surf. B Biointerfaces 2016, 140, 297–306. [Google Scholar] [CrossRef]
- Aludden, H.C.; Mordenfeld, A.; Hallman, M.; Dahlin, C.; Jensen, T. Lateral ridge augmentation with Bio-Oss alone or Bio-Oss mixed with particulate autogenous bone graft: A systematic review. Int. J. Oral Maxillofac. Surg. 2017, 46, 1030–1038. [Google Scholar] [CrossRef] [PubMed]
- Akbarzadeh Baghban, A.; Dehghani, A.; Ghanavati, F.; Zayeri, F.; Ghanavati, F. Comparing alveolar bone regeneration using Bio-Oss and autogenous bone grafts in humans: A systematic review and meta-analysis. Iran Endod. J. 2009, 4, 125–130. [Google Scholar] [PubMed]
- Jensen, T.; Schou, S.; Stavropoulos, A.; Terheyden, H.; Holmstrup, P. Maxillary sinus floor augmentation with Bio-Oss or Bio-Oss mixed with autogenous bone as graft: A systematic review. Clin. Oral Implants Res. 2012, 23, 263–273. [Google Scholar] [CrossRef] [PubMed]
- Jensen, T.; Schou, S.; Stavropoulos, A.; Terheyden, H.; Holmstrup, P. Maxillary sinus floor augmentation with Bio-Oss or Bio-Oss mixed with autogenous bone as graft in animals: A systematic review. Int. J. Oral Maxillofac. Surg. 2012, 41, 114–120. [Google Scholar] [CrossRef]
- Song, J.E.; Tripathy, N.; Lee, D.H.; Park, J.H.; Khang, G. Quercetin Inlaid Silk Fibroin/Hydroxyapatite Scaffold Promotes Enhanced Osteogenesis. ACS Appl. Mater Interfaces 2018, 10, 32955–32964. [Google Scholar] [CrossRef]
- Sadowska, J.M.; Wei, F.; Guo, J.; Guillen-Marti, J.; Lin, Z.; Ginebra, M.P.; Xiau, Y. The effect of biomimetic calcium deficient hydroxyapatite and sintered β-tricalcium phosphate on osteoimmune reaction and osteogenesis. Acta Biomater. 2019, 96, 605–618. [Google Scholar] [CrossRef]
- Ngiam, M.; Nguyen, L.T.; Liao, S.; Chan, C.K.; Ramakrishna, S. Biomimetic nanostructured materials: Potential regulators for osteogenesis? Ann. Acad. Med. Singap. 2011, 40, 213–222. [Google Scholar]
- Sadowska, J.M.; Wei, F.; Guo, J.; Guillem-Marti, J.; Ginebra, M.P.; Xiao, Y. Effect of nano-structural properties of biomimetic hydroxyapatite on osteoimmunomodulation. Biomaterials 2018, 181, 318–332. [Google Scholar] [CrossRef]
- Bradfield, J. Identifying animal taxa used to manufacture bone tools during the Middle Stone Age at Sibudu, South Africa: Results of a CTrendered histological analysis. PLoS ONE 2018, 13, e0208319. [Google Scholar] [CrossRef] [PubMed]
- Ismail, F.W.; Shamsudin, A.M.; Wan, Z.; Daud, S.M.; Samarendra, M.S. Ki-67 immuno-histochemistry index in stage III giant cell tumor of the bone. J. Exp. Clin. Cancer Res. 2010, 29, 25. [Google Scholar] [CrossRef] [PubMed]
- Singh, T.; Chandu, A.; Clement, J.; Angel, C. Immunohistochemistry of Five Molecular Markers for Typing and Management of Ameloblastomas: A Retrospective Analysis of 40 Cases. J. Maxillofac. Oral Surg. 2017, 16, 65–70. [Google Scholar] [CrossRef] [PubMed][Green Version]
- Zyada, M.M. Expression of matrix metalloproteinase-9 and significance of a macrophage assay in eosinophilic granuloma. Ann. Diagn. Pathol. 2009, 13, 367–372. [Google Scholar] [CrossRef]
- Nielsen, B.S.; Sehested, M.; Kjeldsen, L.; Borregaard, N.; Rygaard, J.; Danø, K. Expression of matrix metalloprotease-9 in vascular pericytes in human breast cancer. Lab. Investig. 1997, 77, 345–355. [Google Scholar]
- Zambuzzi, W.F.; Paiva, K.B.; Menezes, R.; Oliveira, R.C.; Taga, R.; Granjeiro, J.M. MMP-9 and CD68(+) cells are required for tissue remodeling in response to natural hydroxyapatite. J. Mol. Histol. 2009, 40, 301–309. [Google Scholar] [CrossRef]
- Jo, Y.Y.; Kim, S.G.; Kwon, K.J.; Kweon, H.Y.; Chae, W.S.; Yang, W.G.; Lee, E.Y.; Seok, H. Silk Fibroin-Alginate-Hydroxyapatite Composite Particles in Bone Tissue Engineering Applications In Vivo. Int. J. Mol. Sci. 2017, 18, 858. [Google Scholar] [CrossRef]
- Liu, H.; Xu, G.W.; Wang, Y.F.; Zhao, H.S.; Shiong, S.; Wu, Y.; Heng, B.C.; An, C.R.; Zhu, G.H.; Xie, D.H. Composite scaffolds of nano-hydroxyapatite and silk fibroin enhance mesenchymal stem cell-based bone regeneration via the interleukin 1 alpha autocrine/paracrine signaling loop. Biomaterials 2015, 49, 103–112. [Google Scholar] [CrossRef]
- Pal, R.; Mamidi, M.K.; Das, A.K.; Bhonde, R. Diverse effects of dimethyl sulfoxide (DMSO) on the differentiation potential of human embryonic stem cells. Arch. Toxicol. 2012, 86, 651–661. [Google Scholar] [CrossRef]
- Hui, H.; Ma, W.; Cui, J.; Gong, M.; Wang, Y.; Zang, Y.; Ne, T.; Bi, Y.; He, Y. Periodic acid-Schiff staining method for function detection of liver cells is affected by 2% horse serum in induction médium. Mol. Med. Rep. 2017, 16, 8062–8068. [Google Scholar] [CrossRef]
- Velleman, S.G. The Role of the Extracellular Matrix in Skeletal Development. Poult. Sci. 2000, 79, 985–989. [Google Scholar] [CrossRef]
- Prokop, M.; Gut, D.; Nowak, M.P. Scanning gate microscopy mapping of edge current and branched electron flow in a transition metal dichalcogenide nanoribbon and quantum point contact. J. Phys. Condens. Matter. 2020, 13, 205302. [Google Scholar] [CrossRef] [PubMed]
- Sobczak-Kupiec, A.; Kowalski, Z.; Wzorek, Z. Preparation of hydroxyapatite from animal bones. Acta Bioeng. Biomech. 2009, 11, 23–28. [Google Scholar]
- Nakano, K.; Murata, K.; Omokawa, S.; Akahane, M.; Shimizu, T.; Kawamura, K.; Kawate, K.; Tanaka, Y. Promotion of Osteogenesis and Angiogenesis in Vascularized Tissue-Engineered Bone Using Osteogenic Matrix Cell Sheets. Plast. Reconstr. Surg. 2016, 137, 1476–1484. [Google Scholar] [CrossRef]
- Cooper, G.M.; Mooney, M.P.; Gosain, K.A.; Campbell, P.G.; Losee, J.E.; Huard, J. Testing the critical size in calvarial bone defects: Revisiting the concept of a critical-size defect. Plast. Reconstr. Surg. 2010, 125, 1685–1692. [Google Scholar] [CrossRef]
- Veremeev, A.; Bolgarin, R.; Nesterenko, V.; Andreev-Andrievskiy, A.; Kutikhin, A. Native Bovine Hydroxyapatite Powder, Demineralised Bone Matrix Powder, and Purified Bone Collagen Membranes are Efficient in Repair of Critical-Sized Rat Calvarial Defects. Materials 2020, 13, 3393. [Google Scholar] [CrossRef]
- Anghelescu, V.M.; Neculae, I.; Dincă, O.; Vlădan, C.; Socoliuc, C.; Cioplea, M.; Nichita, L.; Popp, C.; Zurac, S.; Bucur, A. Inflammatory-Driven Angiogenesis in Bone Augmentation with Bovine Hydroxyapatite, B-Tricalcium Phosphate, and Bioglasses: A Comparative Study. J. Immunol. Res. 2018, 12, 9349207. [Google Scholar] [CrossRef]
- Fröhlich, M.; Grayson, W.L.; Wan, L.Q.; Marolt, D.; Drobnic, M.; Vunjak-Novakovic, G. Tissue Engineered Bone Grafts: Biological Requirements, Tissue Culture and Clinical Relevance. Curr. Stem Cell Res. Ther. 2008, 3, 254–264. [Google Scholar] [CrossRef]
- da Silva Brum, I.; de Carvalho, J.J.; Pires, J.L.S.; de Carvalho, M.A.L.; Santos, L.B.F.; Elias, C.N. Nanosized hydroxyapatite and β-tricalcium phosphate composite: Physico-chemical, cytotoxicity, morphological properties and in vivo trial. Sci. Rep. 2019, 9, 19602. [Google Scholar] [CrossRef] [PubMed]
- Amorim Lopes, J.C.; Salviano, S.H.; Lins, C.A.B.; Devita, R.L.; Carvalho, J.J.; da Silva Brum, I.; Fernandes, G.V.O. Histological and Immunohistochemical Analysis of a Nanobiomaterial in a Maxillary Sinus Lift Surgery: A Case Report. Br. J. Med. Health Res. 2020, 7, 13–27. [Google Scholar]
- Ge, R.; Xun, C.; Yang, J.; Jia, W.; Li, Y. In vivo therapeutic effect of wollastonite and hydroxyapatite on bone defect. Biomed. Mater. 2019, 14, 065013. [Google Scholar] [CrossRef] [PubMed]
- Pang, S.; Li, X.; Wu, D.; Li, H.; Wang, X. Tuning inflammation response via adjusting microstructure of hydroxyapatite and biomolecules modification. Colloids Surf. B Biointerfaces 2019, 177, 496–505. [Google Scholar] [CrossRef] [PubMed]
- Pasuri, J.; Holopainen, J.; Kokkonen, H.; Persson, M.; Kauppinen, K.; Lehenkari, P.; Santala, E.; Ritala, M.; Tuukkanen, J. Osteoclasts in the interface with electrospun hydroxyapatite. Colloids Surf. B Biointerfaces 2015, 135, 774–783. [Google Scholar] [CrossRef]
- Bi, L.; Jung, S.; Day, D.; Neidig, K.; Dusevich, V.; Eike, D.; Bonewald, L. Evaluation of bone regeneration, angiogenesis, and hydroxyapatite conversion in critical-sized rat calvarial defects implanted with bioactive glass scaffolds. J. Biomed. Mater. Res. A. 2012, 100, 3267–3275. [Google Scholar] [CrossRef] [PubMed]
- Grassi, F.R.; Grassi, R.; Vivarelli, L.; Dallari, D.; Govoni, M.; Nardi, G.M.; Kalemaj, Z.; Ballini, A. Design Techniques to Optimize the Scaffold Performance: Freeze-dried Bone Custom-made Allografts for Maxillary Alveolar Horizontal Ridge Augmentation. Materials 2020, 13, 1393. [Google Scholar] [CrossRef]
- Funda, G.; Taschieri, S.; Bruno, G.A.; Grecchi, E.; Paolo, S.; Girolamo, D.; Del Fabbro, M. Nanotechnology Scaffolds for Alveolar Bone Regeneration. Materials 2020, 13, 201. [Google Scholar] [CrossRef]











Publisher’s Note: MDPI stays neutral with regard to jurisdictional claims in published maps and institutional affiliations. |
© 2020 by the authors. Licensee MDPI, Basel, Switzerland. This article is an open access article distributed under the terms and conditions of the Creative Commons Attribution (CC BY) license (http://creativecommons.org/licenses/by/4.0/).
Share and Cite
da Silva Brum, I.; Frigo, L.; Lana Devita, R.; da Silva Pires, J.L.; Hugo Vieira de Oliveira, V.; Rosa Nascimento, A.L.; de Carvalho, J.J. Histomorphometric, Immunohistochemical, Ultrastructural Characterization of a Nano-Hydroxyapatite/Beta-Tricalcium Phosphate Composite and a Bone Xenograft in Sub-Critical Size Bone Defect in Rat Calvaria. Materials 2020, 13, 4598. https://doi.org/10.3390/ma13204598
da Silva Brum I, Frigo L, Lana Devita R, da Silva Pires JL, Hugo Vieira de Oliveira V, Rosa Nascimento AL, de Carvalho JJ. Histomorphometric, Immunohistochemical, Ultrastructural Characterization of a Nano-Hydroxyapatite/Beta-Tricalcium Phosphate Composite and a Bone Xenograft in Sub-Critical Size Bone Defect in Rat Calvaria. Materials. 2020; 13(20):4598. https://doi.org/10.3390/ma13204598
Chicago/Turabian Styleda Silva Brum, Igor, Lucio Frigo, Renan Lana Devita, Jorge Luís da Silva Pires, Victor Hugo Vieira de Oliveira, Ana Lucia Rosa Nascimento, and Jorge José de Carvalho. 2020. "Histomorphometric, Immunohistochemical, Ultrastructural Characterization of a Nano-Hydroxyapatite/Beta-Tricalcium Phosphate Composite and a Bone Xenograft in Sub-Critical Size Bone Defect in Rat Calvaria" Materials 13, no. 20: 4598. https://doi.org/10.3390/ma13204598
APA Styleda Silva Brum, I., Frigo, L., Lana Devita, R., da Silva Pires, J. L., Hugo Vieira de Oliveira, V., Rosa Nascimento, A. L., & de Carvalho, J. J. (2020). Histomorphometric, Immunohistochemical, Ultrastructural Characterization of a Nano-Hydroxyapatite/Beta-Tricalcium Phosphate Composite and a Bone Xenograft in Sub-Critical Size Bone Defect in Rat Calvaria. Materials, 13(20), 4598. https://doi.org/10.3390/ma13204598

