Next Article in Journal
Bilateral, Bipedicled DIEP Flap for Staged Reconstruction of Cranial Deformity
Previous Article in Journal
Osteochondroma of Coronoid Process: A Rare Etiology of Jacob Disease
 
 
Craniomaxillofacial Trauma & Reconstruction is published by MDPI from Volume 18 Issue 1 (2025). Previous articles were published by another publisher in Open Access under a CC-BY (or CC-BY-NC-ND) licence, and they are hosted by MDPI on mdpi.com as a courtesy and upon agreement with Sage.
Font Type:
Arial Georgia Verdana
Font Size:
Aa Aa Aa
Line Spacing:
Column Width:
Background:
Case Report

An Unusual Transorbital Penetrating Injury and Principles of Management

by
Andrew Peter Dekker
1,*,
Abdel Hamid El-Sawy
2 and
Darius Stephen Rejali
2
1
Department of Trauma and Orthopaedic Surgery, Kings Mill Hospital, Sherwood Forest Hospitals NHS Trust, Sutton-In-Ashfield, Nottinghamshire, UK
2
Department of Otorhinolaryngology, University Hospitals Coventry and Warwickshire NHS Trust, Coventry, UK
*
Author to whom correspondence should be addressed.
Craniomaxillofac. Trauma Reconstr. 2014, 7(4), 310-312; https://doi.org/10.1055/s-0034-1378178
Submission received: 9 September 2012 / Revised: 27 December 2013 / Accepted: 27 December 2013 / Published: 17 June 2014

Abstract

:
The objective of this study was to present an unusual low velocity transorbital penetrating injury. The study design was a clinical record (case report). A 38-year-old gentleman tripped and fell face first onto the wing of an ornamental brass eagle. This penetrated the inferomedial aspect of the right orbit, breaching the lamina papyracea to extend into the ethmoid sinuses and reaching the dura of the anterior cranial fossa. The foreign body was removed in theater under a joint ophthalmology and ENT procedure. The patient was left with reduced visual acuity in the right eye but no other long-term sequelae. Transorbital penetrating injury presents unusual challenges to investigation and management requiring a multidisciplinary approach to prevent significant morbidity and mortality. If managed well the prognosis is good.

Transorbital penetrating injuries are uncommon, with penetrating injuries of the skull in general estimated to comprise only 0.4% of head injuries [1]. They are of importance however due to the significant risk of harm to the eye, optic nerves, brain, and cerebral vasculature owing to the thin bony walls and foramina orbit [2]. Delayed complications include cerebrospinal fluid (CSF) leak, infectious complications such as orbital cellulitis and cerebral abscess, vascular injuries such as traumatic aneurysm, and progressive intravascular thrombosis [3].
Despite the risk of major complications, these injuries have the potential for good prognosis. There are numerous documented cases of patients returning to full function and normal sight providing proper evaluation of the injury is performed and treatment decisions are made by a multidisciplinary team with input from neurosurgery, ophthalmology, otolaryngology, and maxillofacial surgery [4]. Proper preoperative evaluation with computed tomographic (CT) scan and consideration for angiography (if vascular injury suspected) [5], or magnetic resonance imaging (MRI) if the wooden foreign body[4] is essential. Investigation and management of such cases due to their infrequency are therefore worth revising to maximize the potential for recovery and minimize the risk of complications.

Case Report

A 38-year-old gentleman was brought into the accident and emergency department with an unusual penetrating facial injury. While under the influence of alcohol, this gentleman had tripped over a rug at home and fell face first onto a 15-cm brass eagle statuette, ornamenting the fireplace. The wing of the brass eagle had caused a penetrating injury at the inferomedial aspect of the right orbit. He was brought to the emergency department with the foreign body in situ (Figure 1).
On arrival GCS was 14/15, the airway was clear, cervical spine injury was excluded, but the patient remained in a hard collar and blocks to prevent any movement of the foreign body. There was bleeding evident from the entry wound at the inferomedial aspect of the orbit, but the presence of the foreign body made it difficult to assess the eye. The sclera and edge of cornea that was visible appeared normal. The globe appeared intact and displaced upward. No visual assessment was possible and no light perception was possible due to the foreign body obscuring the eye completely. There were no other injuries present.
Figure 1. Preoperative photograph of patient with foreign body in situ.
Figure 1. Preoperative photograph of patient with foreign body in situ.
Cmtr 07 00064 g001
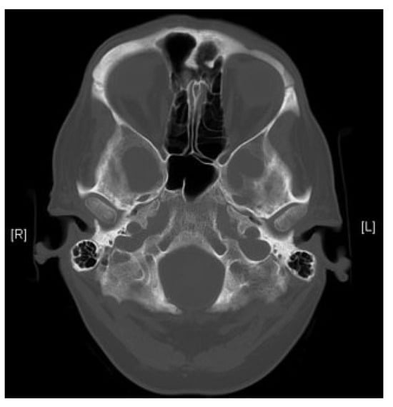
A CT scan of the brain and orbits was performed. This was difficult to interpret because of the metallic artifact from the foreign body. The scan showed the right wing of the brass statuette penetrating the medial aspect of the right orbit and entering the middle and posterior right ethmoid sinuses (Figure 2). It was difficult to ascertain whether the injury had extended to the anterior cranial fossa. There was no evidence of intracerebral hemorrhage or air.
The patient was reviewed by neurosurgeon, ENT specialist, and ophthalmologist. The patient was taken to the operating room for exploration and removal of the foreign body, jointly by the ENT specialist and ophthalmologist. He received prophylactic intravenous antibiotics and tetanus toxoid vaccination. He did not receive any prophylactic anticonvulsants after neurosurgical assessment on the grounds of no evidence of parenchymal brain injury therefore not indicated.
The brass statuette was removed and the wound explored. Some superficial bleeding vessels were controlled. There was evidence of hemorrhage into the anterior chamber of the right orbit. The medial canthal tendon was partially severed. The extraocular muscles appeared intact and lacerations to the conjunctiva and medial canthal skin were sutured. Initial fundoscopy revealed absent retinal artery pulsation, but toward the end of the procedure, pulsation was seen and the prognosis was optimistic.
Figure 2. Preoperative computed tomography head image.
Figure 2. Preoperative computed tomography head image.
Cmtr 07 00064 g002
On endoscopic examination, the injury had penetrated the lamina papyracea, through the right ethmoid sinuses reaching the dura. The dura had not been breached and there was no CSF leak. There was a 5 × 5 mm area of exposed dura which was left alone. An uncinectomy and anterior ethmoi-dectomy was performed. A corrugated drain was inserted with the tip sitting next to the defect in the lamina papyracea and sutured to the nasal septum. Inpatient management continued for a further 7 days with intravenous antibiotics. The drain was removed on the second postoperative day. Initial visual acuity was 6/60 for the right eye with a relative afferent papillary defect. The left (uninjured) eye had visual acuity of 6/6. Postoperative CT scan was performed (Figure 3) showing only a defect in the lamina papyracea. This patient made a good recovery with no CSF rhinorrhea or infection postoperatively. He was followed up by ophthalmologist only on the grounds that there was no CSF leak and no skull base or ethmoidal injury. As such any ENT or neurosurgical follow-up was not indicated. He was followed up for 1 month and subsequently 6 months and then 1 year following the injury. Visual acuity remained 6/60 in the injured eye and 6/6 in the contralateral eye.

Discussion

A penetrating facial injury may seem trivial at first glance, but there may be deeper injury to the orbit, dura, and intracranially, which can be missed. Such injuries include stabbing or foreign body penetrating wounds, shotgun, and gunshot wounds. Penetrating facial injuries are most commonly seen in young males [6]. Management can be hampered, as in this case, with the injuring object left in situ. It is, however, vital to leave the foreign body in place until adequate preoperative planning has been achieved and subsequently only attempt removal under direct visualization in an operating theater. Premature removal outside of theater can risk further injury or fatal hemorrhage if the object is tamponading bleeding [4].
Figure 3. Postoperative computed tomography head image.
Figure 3. Postoperative computed tomography head image.
Cmtr 07 00064 g003
It is important to have a systematic method for evaluation and management of such injuries. Advanced Trauma Life Support principles provide a useful framework for immediate management in acute situations [7]. The most important principle is systematic and repeated assessment of the patient. Priorities in a case, such as this, include airway compromise, cervical spine control, excluding other injuries, and consideration of sight-threatening injuries (e.g., retrobulbar hemorrhage). In addition, Schreckinger et al have recently proposed a management algorithm starting with maxillofacial noncontrast CT scan, consider angiography, MRI if wooden foreign body, give antibiotics, and removal under general anesthesia [4].
Sight-threatening injuries include retrobulbar hemorrhage and disruption of the globe or optic nerve. A high index of suspicion is required with frequent repeated assessment of the eye. Ocular symptoms and signs include orbital pain, pain on eye movement, reduced color vision and visual acuity, proptosis, tense globe, and the presence of a relative afferent papillary defect [8]. Patients with suspected orbital injury require regular eye observations and ideally should be reviewed by an ophthalmologist [9]. An advice sheet on discharge warning patients of important symptoms and signs has been advocated [8].
Plain radiographs, ultrasound, or MRI scans may be helpful; however, CT scan is considered the best radiological method to evaluate penetrating orbital injuries caused by metallic objects as it provides three-dimensional imaging of foreign body trajectory, associated fracture, and parenchymal hematoma [10].
Penetrating facial injuries can be classified by anatomical area of the face involved. Several classification schemes have been proposed [6,11,12]; for example, Gant and Epstein [13] in 1979 divided the face into three anatomical areas. Area 1 extended from the hairline superiorly to supraorbital margin inferiorly, with an increased chance of neurological damage. Area 2 extended from the supraorbital margin to the upper lip, with an increased risk to the orbits and globe. Area 3 extended from the lower lip to the hyoid bone with an increased risk to the carotid artery and airway obstruction. In all zones of injury, in these classification schemes, the same approach to management prioritizing airway, breathing, and circulatory assessment with subsequent involvement of subspecialties for expert investigation and management is emphasized.
Consistent with other cases in the literature, this case was managed with broad spectrum parenteral antibiotics, multidisciplinary consultation, and preoperative planning with CT scan. Early surgical intervention was performed with foreign body only being removed in the operating theater under direct observation. Tetanus toxoid vaccination was given and however anticonvulsant medication to minimize seizure risk was not indicated [14].
Medial orbital wall decompression with uncinectomy and ethmoidectomy should be considered in cases where visual acuity is diminished with significant periorbital edema to decompress the optic nerve. This was not necessary in this case as the penetrating foreign body had already decompressed these structures by perforating the lamina papyracea.
Many difficulties were faced managing this case. The presence of the foreign body impeded an accurate assessment of the injuries and especially a full examination of the eye. Formal exploration under a general anesthetic was indicated. Stabilizing the foreign body also proved difficult. During resuscitation placement of oxygen tubing was hindered, as was the application of a mask with a good seal. Other anesthetic difficulties included hindered laryngoscopy and intubation and impeded visualization of the larynx. These were all overcome by the experienced anesthetic and theater teams and the patient made an excellent recovery.
Transorbital penetrating injury presents unusual challenges to investigation and management requiring multidisciplinary approach to prevent significant morbidity and mortality. If managed well the prognosis is good.

References

  1. Gennarelli, T.A.; Champion, H.R.; Sacco, W.J.; Copes, W.S.; Alves, W.M. Mortality of patients with head injury and extracranial injury treated in trauma centers. J Trauma 1989, 29, 1193–1201, discussion 1201. [Google Scholar] [CrossRef] [PubMed]
  2. Okay, O.; Dağlioğlu, E.; Ozdol, C.; Uckun, O.; Dalgic, A.; Ergungor, F. Orbitocerebral injury by a knife: case report. Neurocirugia (Astur) 2009, 20, 467–469. [Google Scholar] [CrossRef]
  3. Erkutlu, I.; Alptekin, M.; Dokur, M.; Geyik, M.; Gök, A. Unusual penetration of a construction nail through the orbit to the cranium: a case report. Ulus Travma Acil Cerrahi Derg 2011, 17, 79–82. [Google Scholar] [CrossRef] [PubMed]
  4. Schreckinger, M.; Orringer, D.; Thompson, B.G.; La Marca, F.; Sagher, O. Transorbital penetrating injury: case series, review of the literature, and proposed management algorithm. J Neurosurg 2011, 114, 53–61. [Google Scholar] [CrossRef] [PubMed]
  5. Paiva, W.S.; Saad, F.; Carvalhal, E.S.; De Amorim, R.L.; Figuereido, E.G.; Teeixera, M.J. Transorbital stab penetrating brain injury. Report of a case. Ann Ital Chir 2009, 80, 463–465. [Google Scholar] [PubMed]
  6. Chen, A.Y.; Stewart, M.G.; Raup, G. Penetrating injuries of the face. Otolaryngol Head Neck Surg 1996, 115, 464–470. [Google Scholar] [PubMed]
  7. American College of Surgeons Committee on Trauma. Advanced Trauma Life Support Program for Doctors, 6th ed.; ATLS: Chicago, 1997. [Google Scholar]
  8. Bater, M.C.; Ramchandani, P.L.; Brennan, P.A. Post-traumatic eye observations. Br J Oral Maxillofac Surg 2005, 43, 410–416. [Google Scholar] [CrossRef] [PubMed]
  9. Pelletier, C.R.; Jordan, D.R.; Braga, R.; McDonald, H. Assessment of ocular trauma associated with head and neck injuries. J Trauma 1998, 44, 350–354. [Google Scholar] [CrossRef] [PubMed]
  10. Lydiatt, D.D.; Hollins, R.R.; Moyer, D.J.; Davis, L.F. Problems in evaluation of penetrating foreign bodies with computed tomography scans: report of cases. J Oral Maxillofac Surg 1987, 45, 965–968. [Google Scholar] [CrossRef] [PubMed]
  11. Dolin J; Scalea T; Mannor L; Sclafani S; Trooskin S. The management of gunshot wounds to the face. J Trauma 1992, 33, 508–514, discussion 514. [Google Scholar] [CrossRef] [PubMed]
  12. Cole, R.D.; Browne, J.D.; Phipps, C.D. Gunshot wounds to the mandible and midface: evaluation, treatment, and avoidance of complications. Otolaryngol Head Neck Surg 1994, 111, 739–745. [Google Scholar] [CrossRef] [PubMed]
  13. Gant, T.D.; Epstein, L.I. Low-velocity gunshot wounds to the maxillofacial complex. J Trauma 1979, 19, 674–677. [Google Scholar] [CrossRef] [PubMed]
  14. Vaicys, C.; Hunt, C.D.; Heary, R.F. Successful recovery after an orbitocranial injury. J Trauma 2000, 49, 788. [Google Scholar] [CrossRef] [PubMed]

Share and Cite

MDPI and ACS Style

Dekker, A.P.; El-Sawy, A.H.; Rejali, D.S. An Unusual Transorbital Penetrating Injury and Principles of Management. Craniomaxillofac. Trauma Reconstr. 2014, 7, 310-312. https://doi.org/10.1055/s-0034-1378178

AMA Style

Dekker AP, El-Sawy AH, Rejali DS. An Unusual Transorbital Penetrating Injury and Principles of Management. Craniomaxillofacial Trauma & Reconstruction. 2014; 7(4):310-312. https://doi.org/10.1055/s-0034-1378178

Chicago/Turabian Style

Dekker, Andrew Peter, Abdel Hamid El-Sawy, and Darius Stephen Rejali. 2014. "An Unusual Transorbital Penetrating Injury and Principles of Management" Craniomaxillofacial Trauma & Reconstruction 7, no. 4: 310-312. https://doi.org/10.1055/s-0034-1378178

APA Style

Dekker, A. P., El-Sawy, A. H., & Rejali, D. S. (2014). An Unusual Transorbital Penetrating Injury and Principles of Management. Craniomaxillofacial Trauma & Reconstruction, 7(4), 310-312. https://doi.org/10.1055/s-0034-1378178

Article Metrics

Back to TopTop