Osteochondroma of Coronoid Process: A Rare Etiology of Jacob Disease
Abstract
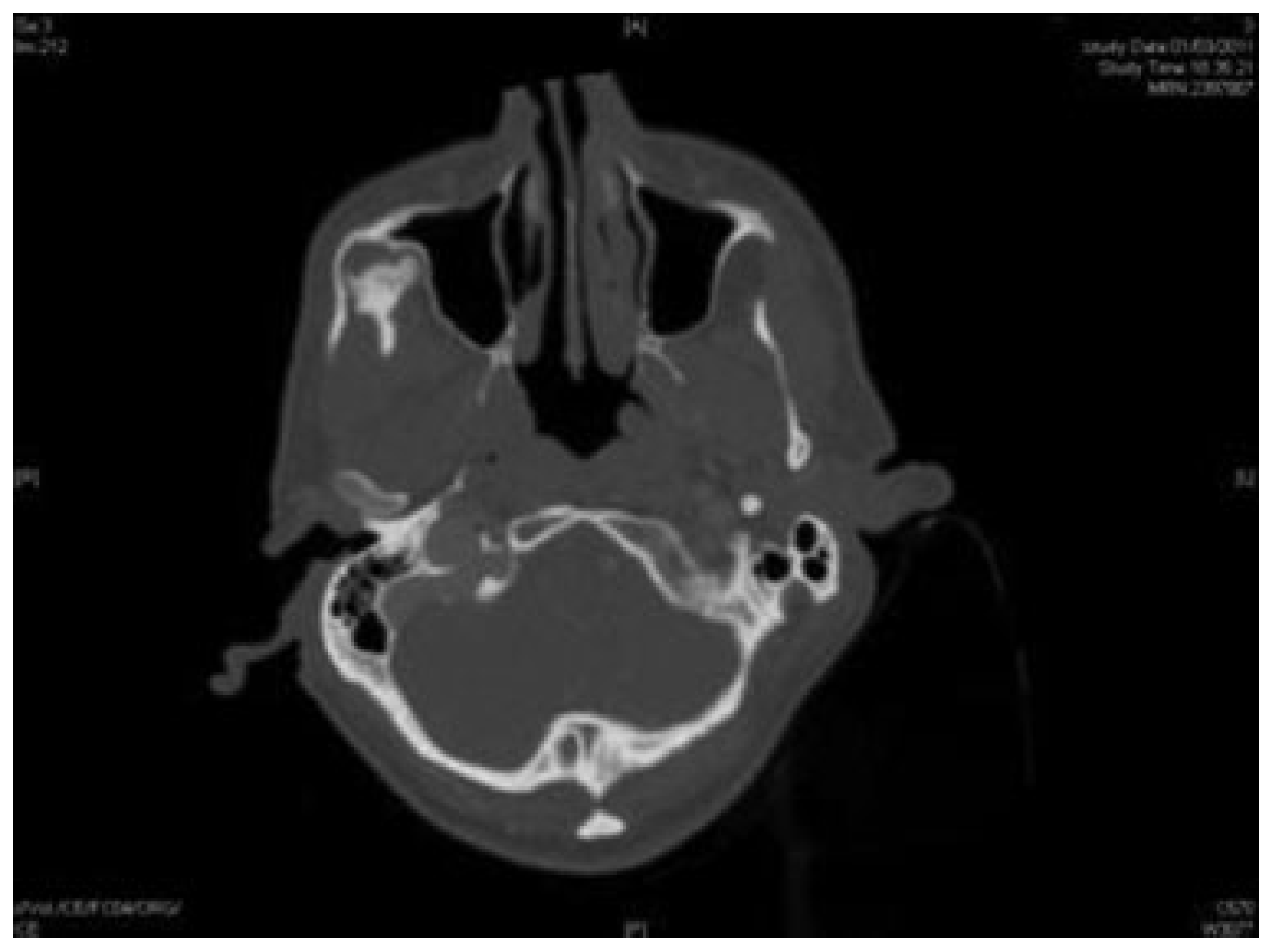
Case Report
Discussion
Conclusion
References
- Capote, A.; Rodríguez, F.J.; Blasco, A.; Muñoz, M.F. Jacob’s disease associated with temporomandibular joint dysfunction: A case report. Med Oral Patol Oral Cir Bucal 2005, 10, 210–214. [Google Scholar] [PubMed]
- Jacob, O. Une cause rare de constriction permanente des machoires. Bull et Mem De la Societe Anatomique De Paris 1899, 1, 917–919. [Google Scholar]
- Coll-Anglada, M.; Acero-Sanz, J.; Vila-Masana, I.; et al. Jacob’s disease secondary to coronoid process osteochondroma. A case report. Med Oral Patol Oral Cir Bucal 2011, 16, e708–e710. [Google Scholar] [CrossRef] [PubMed]
- Fernández Ferro, M.; Fernández Sanromán, J.; Sandoval Gutierrez, J.; Costas López, A.; López de Sánchez, A.; Etayo Pérez, A. Treatment of bilateral hyperplasia of the coronoid process of the mandible. Presentation of a case and review of the literature. Med Oral Patol Oral Cir Bucal 2008, 13, E595–E598. [Google Scholar] [PubMed]
- Kerscher, A.; Piette, E.; Tideman, H.; Wu, P.C. Osteochondroma of the coronoid process of the mandible. Report of a case and review of the literature. Oral Surg Oral Med Oral Pathol 1993, 75, 559–564. [Google Scholar] [CrossRef] [PubMed]
- Thota, G.; Cillo, J.E., Jr.; Krajekian, J.; Dattilo, D.J. Bilateral pseudojoints of the coronoid process (Jacob disease): Report of a case and review of the literature. J Oral Maxillofac Surg 2009, 67, 2521–2524. [Google Scholar] [CrossRef] [PubMed]
- Mohnac, A.M. Bilateral coronoid osteochondromas. J Oral Surg 1962, 20, 500–506. [Google Scholar]
- Sreeramaneni, S.K.; Chakravarthi, P.S.; Krishna Prasad, L.; Raja Satish, P.; Beeram, R.K. Jacob’s disease: Report of a rare case and literature review. Int J Oral Maxillofac Surg 2011, 40, 753–757. [Google Scholar] [CrossRef] [PubMed]
- Emekli, U.; Aslan, A.; Onel, D.; Cizmeci, O.; Demiryont, M. Osteochondroma of the coronoid process (Jacob’s disease). J Oral Maxillofac Surg 2002, 60, 1354–1356. [Google Scholar] [CrossRef] [PubMed]
- Takahashi, A.; Hao-Zong, W.; Murakami, S.; Kondoh, H.; Fujishita, M.; Fuchihata, H. Diagnosis of coronoid process hyperplasia by threedimensional computed tomographic imaging. Dentomaxillofac Radiol 1993, 22, 149–154. [Google Scholar] [CrossRef] [PubMed]
- Roychoudhury, A.; Gupta, Y.K.; Parkash, H.; Karak, A.K. Jacob disease: Report of a case and review of the literature. J Oral Maxillofac Surg 2002, 60, 699–703. [Google Scholar] [CrossRef] [PubMed]
- Constantinides, M.; Lagmay, V.; Miller, P. Coronoid osteochondroma of the mandible: Transzygomatic access and autogenous bony reconstruction. Otolaryngol Head Neck Surg 1997, 117, S86–S91. [Google Scholar] [CrossRef] [PubMed]
- Ostrofsky, M.K.; Lownie, J.F. Zygomatico-coronoid ankylosis. J Oral Surg 1977, 35, 752–754. [Google Scholar] [PubMed]
- Yesildag, A.; Yariktas, M.; Doner, F.; Aydin, G.; Munduz, M.; Topal, U. Osteochondroma of the coronoid process and joint formation with zygomatic arch (Jacob disease): Report of a case. Eur J Dent 2010, 4, 91–94. [Google Scholar] [CrossRef] [PubMed]






© 2014 by the author. The Author(s) 2014.
Share and Cite
Losa-Muñoz, P.M.; Burgueño-García, M.; González-Martín-Moro, J.; Sánchez-Burgos, R. Osteochondroma of Coronoid Process: A Rare Etiology of Jacob Disease. Craniomaxillofac. Trauma Reconstr. 2014, 7, 306-309. https://doi.org/10.1055/s-0034-1378182
Losa-Muñoz PM, Burgueño-García M, González-Martín-Moro J, Sánchez-Burgos R. Osteochondroma of Coronoid Process: A Rare Etiology of Jacob Disease. Craniomaxillofacial Trauma & Reconstruction. 2014; 7(4):306-309. https://doi.org/10.1055/s-0034-1378182
Chicago/Turabian StyleLosa-Muñoz, Pedro Manuel, Miguel Burgueño-García, Javier González-Martín-Moro, and Rocio Sánchez-Burgos. 2014. "Osteochondroma of Coronoid Process: A Rare Etiology of Jacob Disease" Craniomaxillofacial Trauma & Reconstruction 7, no. 4: 306-309. https://doi.org/10.1055/s-0034-1378182
APA StyleLosa-Muñoz, P. M., Burgueño-García, M., González-Martín-Moro, J., & Sánchez-Burgos, R. (2014). Osteochondroma of Coronoid Process: A Rare Etiology of Jacob Disease. Craniomaxillofacial Trauma & Reconstruction, 7(4), 306-309. https://doi.org/10.1055/s-0034-1378182