Pseudoaneurysm following Endoscopic-Assisted Repair of Subcondylar Fracture
Abstract
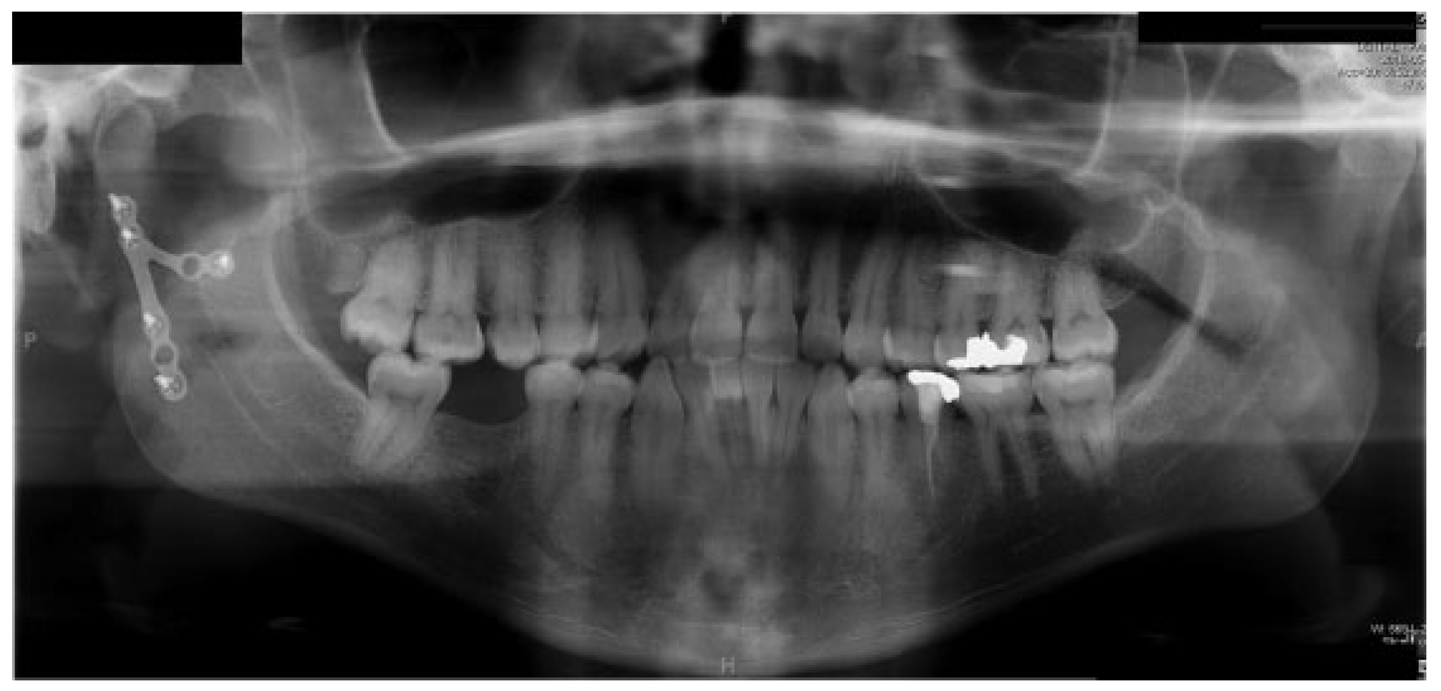
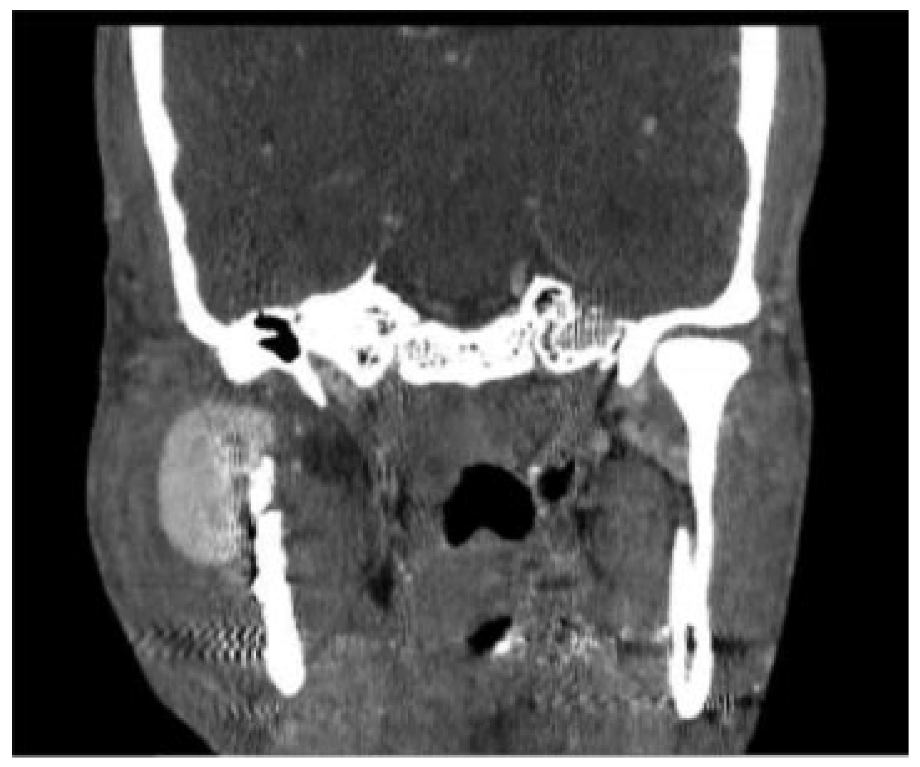
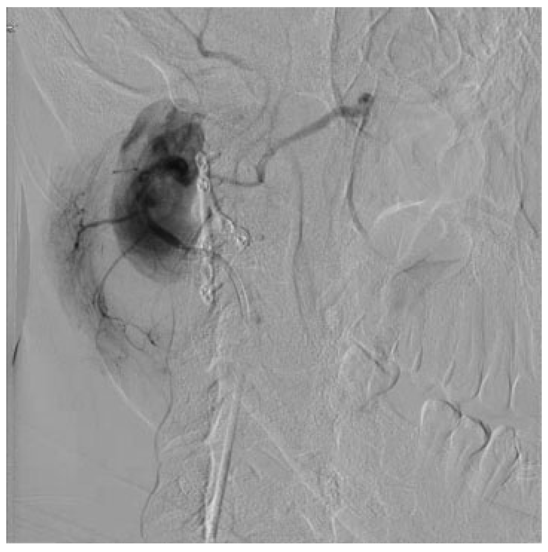
:Presentation of Case
Discussion/Review of Literature
Conclusion
References
- Cox, M.W.; Whittaker, D.R.; Martinez, C.; Fox, C.J.; Feuerstein, I.M.; Gillespie, D.L. Traumatic pseudoaneurysms of the head and neck: early endovascular intervention. J Vasc Surg 2007, 46, 1227–1233. [Google Scholar] [CrossRef] [PubMed]
- Shetty, N.K.; Shandilya, R.; Pawar, S.; Gadre, P.K.; Gadre, K.; Singh, D. Management of late post-traumatic facial artery pseudoaneurysmal cyst: review of literature. J Maxillofac Oral Surg 2015, 14, 201–205. [Google Scholar] [CrossRef] [PubMed]
- Alonso, N.; de Oliveira Bastos, E.; Massenburg, B.B. Pseudoaneurysm of the internal maxillary artery: a case report of facial trauma and recurrent bleeding. Int J Surg Case Rep 2016, 21, 63–66. [Google Scholar] [CrossRef] [PubMed]
- Katakol, B.; Govindaraj, E. Pseudoaneurysm of the internal maxillary artery following mandibular condylar fracture. Ann Maxillofac Surg 2014, 4, 201–204. [Google Scholar] [PubMed]
- El, A.S.; Guo, W.; Loveless, T.; et al. Pseudoaneurysm of the external carotid artery secondary to subcondylar fracture. Int J Oral Maxillofac Surg 2011, 40, 644–646. [Google Scholar] [CrossRef] [PubMed]
- Arcuri, F.; Brucoli, M.; Baragiotta, N.; Benech, R.; Ferrero, S.; Benech, A. Analysis of complications following endoscopically assisted treatment of mandibular condylar fractures. J Craniofac Surg 2012, 23, e196–e198. [Google Scholar] [CrossRef] [PubMed]
- Troulis, M.J. Endoscopic open reduction and internal rigid fixation of subcondylar fractures. J Oral Maxillofac Surg 2004, 62, 1269–1271. [Google Scholar] [PubMed]
- Haug, R.H.; Brandt, M.T. Traditional versus endoscope-assisted open reduction with rigid internal fixation (ORIF) of adult mandibular condyle fractures: a review of the literature regarding current thoughts on management. J Oral Maxillofac Surg 2004, 62, 1272–1279. [Google Scholar] [PubMed]
- Kang, S.H.; Choi, E.J.; Kim, H.W.; Kim, H.J.; Cha, I.H.; Nam, W. Complications in endoscopic-assisted open reduction and internal fixation of mandibular condyle fractures. Oral Surg Oral Med Oral Pathol Oral Radiol 2012, 113, 201–206. [Google Scholar] [PubMed]



© 2017 by the author. The Author(s) 2017.
Share and Cite
Ambrose, E.; Sokoya, M.; Eustaquio, M. Pseudoaneurysm following Endoscopic-Assisted Repair of Subcondylar Fracture. Craniomaxillofac. Trauma Reconstr. 2018, 11, 302-304. https://doi.org/10.1055/s-0037-1607064
Ambrose E, Sokoya M, Eustaquio M. Pseudoaneurysm following Endoscopic-Assisted Repair of Subcondylar Fracture. Craniomaxillofacial Trauma & Reconstruction. 2018; 11(4):302-304. https://doi.org/10.1055/s-0037-1607064
Chicago/Turabian StyleAmbrose, Emily, Mofiyinfolu Sokoya, and Marcia Eustaquio. 2018. "Pseudoaneurysm following Endoscopic-Assisted Repair of Subcondylar Fracture" Craniomaxillofacial Trauma & Reconstruction 11, no. 4: 302-304. https://doi.org/10.1055/s-0037-1607064
APA StyleAmbrose, E., Sokoya, M., & Eustaquio, M. (2018). Pseudoaneurysm following Endoscopic-Assisted Repair of Subcondylar Fracture. Craniomaxillofacial Trauma & Reconstruction, 11(4), 302-304. https://doi.org/10.1055/s-0037-1607064