Next Article in Journal
Helmet Wear and Craniofacial Trauma Burden: A Plea for Regulations Mandating Protective Helmet Wear
Previous Article in Journal
Did King Philip II of Ancient Macedonia Suffer a Zygomatico-Orbital Fracture? A Maxillofacial Surgeon's Approach
 
 
Craniomaxillofacial Trauma & Reconstruction is published by MDPI from Volume 18 Issue 1 (2025). Previous articles were published by another publisher in Open Access under a CC-BY (or CC-BY-NC-ND) licence, and they are hosted by MDPI on mdpi.com as a courtesy and upon agreement with Sage.
Font Type:
Arial Georgia Verdana
Font Size:
Aa Aa Aa
Line Spacing:
Column Width:
Background:
Article

Treatment of Mandibular Angle Fractures with Single Three-Dimensional Locking Miniplates without Maxillomandibular Fixation: How Much Fixation is Required?

by
Sanjay Rastogi
1,*,
Sam Paul
2,
Sumedha Kukreja
3,
Karun Aggarwal
4,
Rupshikha Choudhury
5,
Amit Bhugra
6,
Niranjana Prasad Indra B
7 and
Moazzam Jawaid
7
1
Department of Oral and Maxillofacial Surgery and Oral Implantology, TMDCRC, Moradabad, Uttar Pradesh, India
2
Department Orthodontics and Dentofacial Orthopaedics, Educare Institute of Dental Sciences, Chattiparamba, Malappuram, Kerala, India
3
Department of Oral and Maxillofacial Surgery, Lady Hardinge Medical College, New Delhi, India
4
Department of Oral and Maxillofacial Surgery, Jodhpur Dental College and Research Center, Jodhpur, Rajasthan, India
5
Department of Oral and Maxillofacial Surgery, Regional Dental College, Guwahati, Assam, India
6
Department of Oral and Maxillofacial Surgery, Institute of Dental Sciences, Bareilly, Uttar Pradesh, India
7
Department of Oral Medicine and Radiology, Institute of Dental Sciences, Bareilly, Uttar Pradesh, India
*
Author to whom correspondence should be addressed.
Craniomaxillofac. Trauma Reconstr. 2017, 10(3), 188-196; https://doi.org/10.1055/s-0037-1600904
Submission received: 12 August 2016 / Revised: 30 September 2016 / Accepted: 27 November 2016 / Published: 29 March 2017

Abstract

:
The aim of this simple nonrandomized and observational study was to evaluate the efficacy of single three-dimensional (3D) plate for the treatment of mandibular angle fractures without maxillomandibular fixation. A total of 30 patients with noncomminuted fractures of mandibular angle requiring open reduction and internal fixation were included in the study. All the patients were treated by open reduction and internal fixation using single 3D titanium locking miniplate placed with the help of transbuccal trocar or Synthes 90-degree hand piece and screw driver. 3D locking titanium miniplates used in our study was four-holed, box-shaped plate, and screws with 2 mm diameter and 8 mm length. The following clinical parameters were assessed for each patient at each follow-up visit: pain (visual analog scale: 0–5), swelling (visual analog scale: 0–5), mouth opening, infection, paresthesia, hardware failure (plate fracture), occlusal discrepancies, and mobility between fracture fragments. A significant decrease in pain level was seen during the follow-up visits. No statistically significant changes were seen in swelling, but mouth opening increased in the subsequent visits. Also better results were seen in terms of fracture stability and occlusion in the postoperative period. Two cases of infection and two cases of hardware failure were noted in sixth postoperative week.

Fractures of the angle of mandible can present with longterm disabling sequelae and make up 23 to 42% of all fractures in the mandible [1]. Several proposed reasons why angle of the mandible is commonly associated with fractures are as follows: (1) the presence of third molars; (2) a thinner cross-sectional area than the tooth-bearing region; and (3) biomechanically the angle can be considered a “lever” area [2].
Optimum treatment of angle fractures remains controversial and plugged with highest postsurgical complication rate among mandibular fractures. The biomechanics of angle makes treatment of fractures in this region more difficult [2].
There are several methods used till date for the treatment of mandibular angle fractures. Fixation of mandibular angle fractures along the lines of osteosynthesis has been a widely used technique and regarded as a standard treatment. Myriads of ideas and modalities have been tried and contemplated that the goal of treatment is to bring the ends of the fracture into their anatomically correct position with as much precision as possible and to ensure, by the means of appropriate fixation, that bony consolidation should take place in this position [3,4,5].
Angle fractures have been controversial with regard to number and position of plates. Many also demonstrated gapping to take place at inferior border with a miniplate at the superior border as advocated by Champy et al. [6] To overcome this, two miniplate fixation was advised (second plate at inferior border), but it was associated with high postoperative complications [7,8]. These shortcomings can be overcome by using three-dimensional (3D) plate.
The aim of this study was to evaluate the efficacy of single 3D plate for the treatment of mandibular angle fractures without maxillomandibular fixation.

Materials and Methods

A simple nonrandomized and observational study was conducted at the Department of Oral and Maxillofacial Surgery, performed from August 2013 to March 2016. The institutional reviewer board and local ethical committee had approved the study. The study followed the criteria as declared by Helsinki. In this study, 30 adult patients without any systemic complications, who strictly met the inclusion criteria, were included. The inclusion criteria were noncomminuted fractures of mandibular angle and patients requiring open reduction and internal fixation (ORIF). The exclusion criteria were mandibular fracture with infection and a history of diabetes, uncontrolled hypertension, prolonged steroid therapy, compromised immunity, or associated bone pathologic features, alcoholics, and fracture older than 7 days.
The diagnosis was made on the basis of the clinical examination findings and radiographic interpretation. Routine investigations were performed. All patients provided informed consent before participating in this study. To remove the bias, a single surgeon had operated on all the patients under standard aseptic conditions and protocol.
All the patients were treated by ORIF with the application of transient intermaxillary fixation using embrasure wiring [9] as intraoperative means of stabilizing occlusion along with 2.0 mm × 8.0 mm screws with 26-gauge stainless steel wire placed across the fracture line in mandibular angle to stabilize the fracture. Fixation of fracture was achieved using single 3D titanium locking miniplate placed with the help of transbuccal trocar or Synthes 90-degree hand piece and screw driver. The method of using transbuccal trocar or Synthes 90 degrees is totally dependenton thepersonal discretion of the surgeon. 3D locking titanium miniplates used in our study was four-holed, box-shaped plate, and screws with 2 mm diameter and 8 mm length. ORIF for all patients was done under general anesthesia with nasoendotracheal intubation (Figure 1 and Figure 2). Prior to the application of the 3D locking miniplates in the patients;, a prefabricated stereolithographic simulation replica model was made with the help of polymethyl methacrylate (PMMA) to help in contouring of the plate. Hence, simulation of the surgery was done beforehand to ensure the maximum adaptability of plate across the fracture line.
The cause of trauma, interval from injury to surgery, average age, gender, and distribution site were all assessed. Follow-up was done at the second day of surgery, and then at 6th and 12th weeks.
The following clinical parameters were assessed for each patient at each follow-up visit: pain (visual analog scale: 0–5), swelling (visual analog scale: 0–5), mouth opening, infection, paresthesia, hardware failure (plate fracture), occlusal discrepancies, and mobility between fracture fragments.

Statistical Analysis

The clinical parameters were assessed and analyzed by using a computer program statistics (SPSS Version 15.0; SPS Inc., Chicago, IL). Moreover, data were analyzed using number (%), mean standard deviation, Fischer’s exact test, and Wilcoxon’s signed rank test, and level of significance (p) was set to <0.05 (significant).

Results

A total number of 30 patients of both genders, with a mean age of 29.07 ± 14.19 (SD) years were enrolled in the study (Table 1 and Table 2). Road traffic accident was the most common etiology (60%) followed by interpersonal violence (20%) and iatrogenic (13.3%). There were two (6.7%) patients in whom the etiology was fall (Table 3). Distribution of the patients was done according to the site involved and it has been seen that mandibular unilateral angle fracture on the right side (80%) was more commonly involved as compare with the left side (20%; Table 4). There was no bilateral involvement of mandibular angle in terms of fracture.
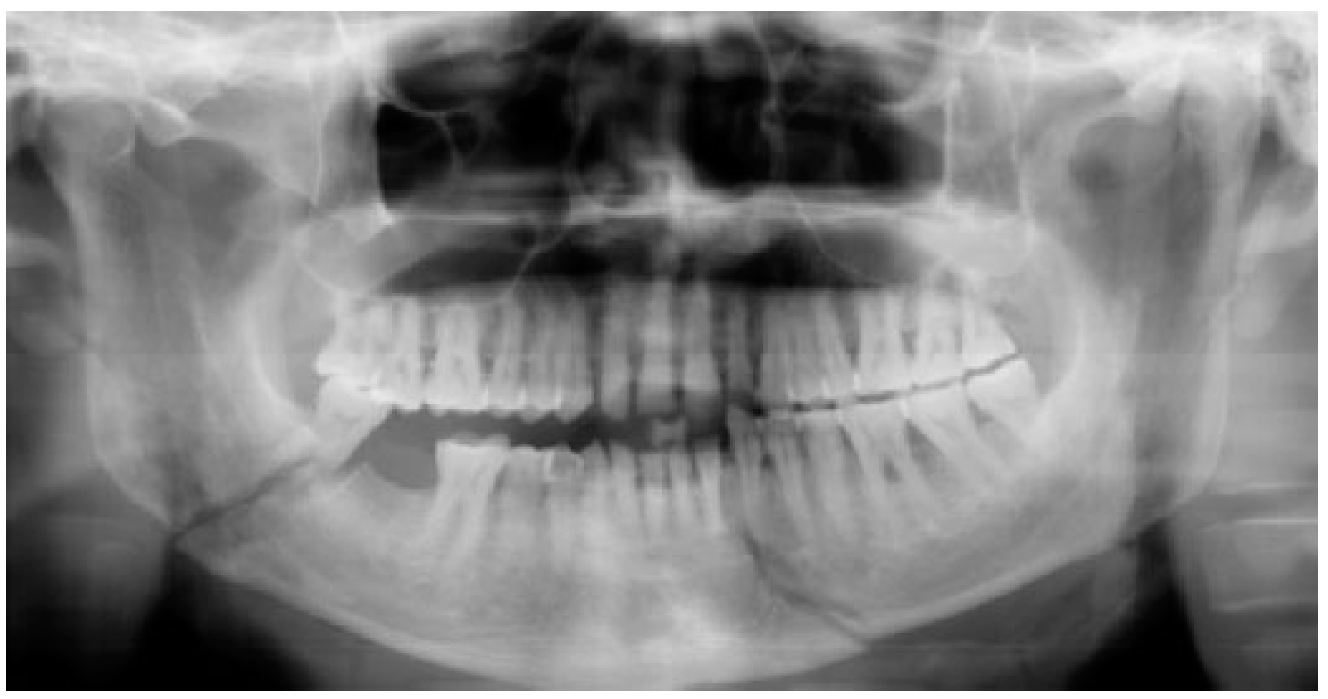
Figure 1. Right mandibular angle fracture with left parasymphysis fracture.
Figure 1. Right mandibular angle fracture with left parasymphysis fracture.
Cmtr 10 10i188 g001
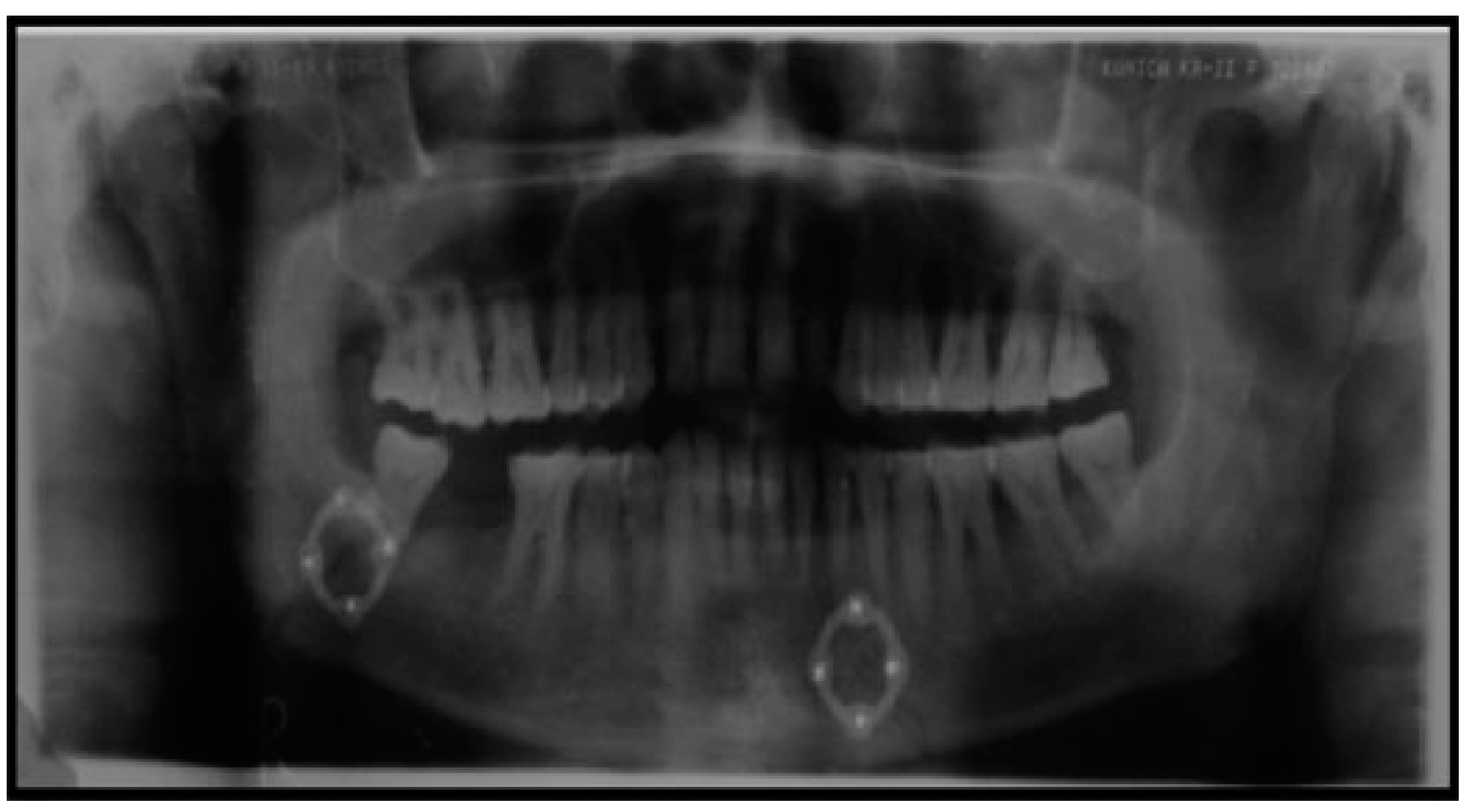
Figure 2. 3D locking miniplate used for fixation of right mandibular angle and left parasymphysis fracture.
Figure 2. 3D locking miniplate used for fixation of right mandibular angle and left parasymphysis fracture.
Cmtr 10 10i188 g002
Table 1. Distribution of patients according to age (n = 30).
Table 1. Distribution of patients according to age (n = 30).
S. No.Age Group (y)No. of CasesPercentage
1.≤201240.0
2.21–401446.7
3.>40413.3
Table 2. Distribution of patients according to gender (n = 30).
Table 2. Distribution of patients according to gender (n = 30).
S. No.GenderNo. of CasesPercentage
1.Male2480.0
2.Female620.0
A total of 10 (33.3%) patients had no associated injury. Mandibular parasymphysis fracture was the most common associated injury (n = 8; 26.7%). A total of six (20.0%) patients had fracture of the body of the mandible, while another six (20%) patients had condylar fractures (Table 5).
Table 3. Distribution of patients according to etiology (n = 30).
Table 3. Distribution of patients according to etiology (n = 30).
S. No.EtiologyNo. of CasesPercentage
1.Fall413.3
2.Iatrogenic26.7
3.Interpersonal violence620.0
4.Road traffic accident1860.0
Table 4. Distribution of patients according to side Involved (n = 30).
Table 4. Distribution of patients according to side Involved (n = 30).
S. No.Side of InvolvementNo. of CasesPercentage
1.Right2480.0
2.Left620.0
Table 5. Distribution of patients according to type of associated injury (n = 30).
Table 5. Distribution of patients according to type of associated injury (n = 30).
S. No.Type of Associated InjuryNo. of CasesPercentage
1.Condylar fracture620
2.Mandibular body fracture620
3.Parasymphysis fracture826.7
4.Isolated fractures1033.3
A total of 16 (53.3%) patients were treated with ORIF using the right angle Synthes handpiece and screwdriver (RASS) and remaining 14 (46.7%) patients were treated with ORIF using the transbuccal trochar and cannula (TBTC; Table 6).
Preoperatively (at baseline), mean pain score was 3.15 ± 0.52. On day 2 of first week postoperative interval, the mean pain score dropped to 2.0 ± 0.22, thus showing a change of 1.10 ± 0.63. Statistically, this change was significant (p = 0.001). On week 6 postoperative interval, the mean pain score was 0.11 ± 0.50, thus showing a mean change of 3.04 ± 0.55 from baseline (p < 0.001). By the end of follow-up at 12 weeks, none of the patients reported any pain. Thus, it was observed that a significant decrease in pain score was evident from day 2 of first week (Table 7).
At baseline (preoperatively), there were 18 (60%) patients with swelling. On day 2 postoperative interval, the number increased to 28 (93.3%). However, on comparing the data statistically, the change was not found to be significant (p = 0.080; Table 8).
Before the procedure, mean mouth opening was 19.70 ± 3.80 mm. On the 2nd day of first week postoperative interval, the mean mouth opening reduced to 16.20 ± 4.02 mm, thus showing a reduction of 3.40 ± 4.78 mm which was also significant statistically (p = 0.014).
Table 6. Distribution of patients according to type of treatment (n = 30).
Table 6. Distribution of patients according to type of treatment (n = 30).
S. No.Type of Treatment OfferedNo. of CasesPercentage
1.ORIF using the right angle Synthes handpiece and screwdriver1653.3
2.ORIF using the transbuccal trochar and cannula1446.7
Abbreviation: ORIF, open reduction and internal fixation.
At week 6 postoperative intervals, the mean mouth opening was 26.50 ± 5.30 mm, thus showing an increase of 6.83 4.54 mm from baseline. Statistically this change was also significant (p = 0.001). At 12th week postoperative interval, the mean mouth opening reached to the level of 36.10 ± 6.00 mm, thereby showing an increase of 16.43 ± 5.93 mm from baseline. The change was also statistically significant (p = 0.001; Table 9).
Preoperatively, all but two (28 [93.3%]) patients had malocclusion. However, from day 2 postoperative interval onwards, none of the patients had malocclusion. Thus, showing a statistically significant change from day 2 post-operative interval itself and thereafter showing sustenance of this change till the follow-up at 12 weeks (Table 10).
At baseline, all the cases had mobility among the fractured segments. However, from day 2 postoperatively, none of the cases showed fracture mobility, thus showing a significant change from baseline (p < 0.001; Table 11).
Table 7. Clinical assessment for pain at different time intervals (n = 30).
Table 7. Clinical assessment for pain at different time intervals (n = 30).
S. No.Time IntervalPain ScoreChange from BaselineSignificance of Change (Wilcoxon’s Signed Rank Test)
MeanSDMeanSD“z”“p”
1.Baseline3.150.52
2.Day 2 postoperatively2.00.22—1.100.633.3110.001
3.6th week postoperatively0.110.50—3.040.553.521<0.001
4.12th week postoperatively00—3.150.613.538<0.001
Table 8. Clinical assessment for swelling at different time intervals (n = 30).
Table 8. Clinical assessment for swelling at different time intervals (n = 30).
S No.Time IntervalCases with SwellingChangeSignificance of Change (Fisher’s Exact Test)
No.%No.%
1.Baseline1860
2.Day 2 postoperatively2893.3+533.30.080
3.6th week postoperatively26.7—853.30.005
4.12th week postoperatively00—960<0.001
Table 9. Clinical assessment for mouth opening at different time intervals (n = 30).
Table 9. Clinical assessment for mouth opening at different time intervals (n = 30).
S. No.Time IntervalMouth Opening in mmChange from BaselineSignificance of Change (Wilcoxon’s Signed Rank Test)
MeanSDMeanSD“z”“p”
1.Baseline19.703.80
2.Day 2 postoperatively16.204.02—3.404.782.4520.014
3.6th week postoperatively26.505.30+6.834.543.4240.001
4.12th week postoperatively36.106.00+16.435.943.4190.001
Table 10. Clinical assessment for malocclusion at different time intervals (n = 30).
Table 10. Clinical assessment for malocclusion at different time intervals (n = 30).
S. No.Time IntervalCases with MalocclusionChangeSignificance of Change (Fisher’s Exact Test)
No.%No.%
1.Baseline2893.3
2.Day 2 postoperatively00—2893.3<0.001
3.6th week postoperatively00—2893.3<0.001
4.12th week postoperatively00—2893.3<0.001
Only two cases of infection and hardware failure were reported at 6th week postoperative interval. However, the change was not significant statistically (p = 1; Table 12 and Table 13).
Preoperatively (base line level), 24 (80%) cases had temporary paresthesia. However, from first postoperative day onwards, a total of 26 (86.7%) cases had paresthesia. It implies that there was no statistically significant improvement in paresthesia (p = 1; Table 14).

Discussion

The treatment of mandibular angle fractures has evolved over the years from wire fixation to rigid fixation. When treated appropriately and with patient compliance, the outcome of both methods has been successful and resulted in proper bone healing. However, rigid internal fixation has been shown to have certain advantage in the treatment forming a “stronger bone” as well as requiring little or no maxillomandibular fixation and thus allowing earlier physical rehabilitation and function for the patient [3,10,11,12,13,14,15].
Table 11. Clinical assessment for mobility at different time intervals (n = 30).
Table 11. Clinical assessment for mobility at different time intervals (n = 30).
S. No.Time IntervalCases with MobilityChangeSignificance of Change(Fisher’s Exact Test)
No.%No.%
1.Baseline30100
2.Day 2 postoperatively00—30100<0.001
3.6th week postoperatively00—30100<0.001
4.12th week postoperatively00—30100<0.001
Table 12. Clinical assessment for infection at different time intervals (n = 30).
Table 12. Clinical assessment for infection at different time intervals (n = 30).
S. No.Time IntervalCases with InfectionChangeSignificance of Change(Fisher’s Exact Test)
No.%No.%
1.Baseline00
2.Day 2 postoperatively00
3.6th week postoperatively26.7+16.71
4.12th week postoperatively00
Table 13. Clinical assessment for hardware failure at different time intervals (n = 30).
Table 13. Clinical assessment for hardware failure at different time intervals (n = 30).
S. No.Time IntervalCases with Hardware FailureChangeSignificance of Change(Fisher’s Exact Test)
No.%No.%
1.Baseline00
2.Day 2 postoperatively00
3.6th week postoperatively26.7+26.71
4.12th week postoperatively00
Table 14. Clinical assessment for paresthesia at different time intervals (n = 30).
Table 14. Clinical assessment for paresthesia at different time intervals (n = 30).
S. No.Time IntervalCases with ParesthesiaChangeSignificance of Change (Fisher Exact Test)
No.%No.%
1.Baseline2480
2.Day 2 postoperatively2686.7+1671
3.6th week postoperatively2686.7+1671
4.12th week postoperatively2686.7+1671
The application of maxillo-mandibular fixation (MMF) creates several well-known and significant problems for both patient and surgeon. The patient’s inability to open the mouth leads to nutritional deficits, suboptimal wound healing, and weight loss. The MMF hardware often creates painful abrasions and ulcers in the oral mucosa. Also, prolonged immobilization of the temporomandibular joint leads to ankylosis and bone resorption. MMF can also lead to lifethreatening complications, as patients with nausea and/or substance abuse aspirate gastric contents during episodes of emesis. Because of such problems, the use of rigid fixation is appealing, as it allows early recovery of mandible function with limited or no need for postoperative maxillomandibular fixation. No patients were put on MMF in this study [16,17,18].
Two miniplate fixations of mandibular angle fracture had more biomechanical advantage in most of in vitro studies, but when using it via intraoral approach, this technique requires reflection of all soft tissues from the mandible, increasing intraoperative trauma and in addition it also prolongs the operating time. When used in extraoral approach, it increases the bacterial contamination, scarring, postoperative edema, hematoma, and marginal mandibular nerve damage [5,7,8,19,20,21].
In this study, all mandibular angle fractures were fixed using a single 3D Ti miniplate in accordance with Champy’s principle and he recommended a single noncompression miniplate, ventral to oblique line for mandibular angle fracture. Ellis and Walker [22] in a clinical study concluded that using a single miniplate is a simple and reliable technique with a relatively small number of complications. Although this technique has been documented with low complication rates by numerous authors, it leads to opening of the lower fracture line, lateral displacement of the fragments at the inferior border, and posterior open bite on the fractured side.
Biomechanical analysis demonstrated that when an occlusal load was placed on ipsilateral molars, splaying was produced along the inferior border of angle of mandible in a model of single miniplate technique. Even many others have proved that paired miniplate fixation may provide superior fixation of angle fractures over the Champy’s technique [19,20,21].
In accordance with the literature, biplanar plate orientation [4] provides greater biomechanical stability than the monoplanar one. In addition, it is confirmed in the literature that the greater biomechanical stability is obtained with a miniplate placed obliquely than horizontally.
Titanium 3D plating system was developed by Farmand [23] to meet the requirements of semi rigid fixation with lesser complications. The 3D plate is a misnomer, as the plates are not 3D but hold the fracture fragments rigidly by resisting the forces in three dimensions, namely shearing, bending, and torsional forces [23,24,25,26]. The basic concept of 3D fixation is that a geometrically closed quadrangular plate secured with bone screws creates stability in three dimensions. The stability is gained over a defined surface area and is achieved by its configuration and not by thickness or length [27,28]. The large free areas between the plate arms and minimal dissection allow good blood supply to the bone [23,25].
When only one linear plate is placed at the superior border, torsional and bending forces usually cause movement along the axis of the plate with buccal-lingual splaying and gap formation at the inferior border, respectively [5]. However, the 3D titanium miniplate does not allow for any movement at the superior and inferior borders with manual torsional and bending forces, as opposed to when a single linear plate is applied to the superior border area. Because the screws are placed in a box configuration on both sides of the fracture rather than on a single line, broad platforms are created that may increase the resistance to torsional forces along the axis of the plate.
The 3D plating system uses fewer plates and screws as compared with conventional miniplates to stabilize the bone fragments. Thus, it uses lesser foreign material as well as reduces the operation time and overall cost of the treatment [23,25,27,29,30].
Whether one method is superior to other is difficult to determine. Zix et al. [25] concluded that 3D plating system is an easy-to-use alternative to conventional miniplates to treat mandibular angle fractures [5,31]. Various researches show that the 3D plating system offers more favorable biomechanical behavior than the conventional miniplates in terms of stability and strain resistance in different regions of mandible [23,25,29,30,31].
In this study, 30 angle fractures were present in 30 patients. Out of which majority of patients were males (80%) and fracture side mostly involved was right side, a similar finding found in the study of mandibular angle fracture performed by Bui et al. [29] Patients’ age ranged from 18 to 60 years, and around halfof the patients (46.7%) were aged between 21 and 40 years. A total of 12 (40%) patients were aged ≤20 years, while remaining 4 (13.3%) patients were older than 40 years. Mean age of patients was 29.07 14.19 (SD) years. Mean age of the patients in other studies was 28.6 years by Guimond et al. [5] 26 years by Bui et al. [29] and 33.9 years by Zixet al. [25] Out of the 30 angle fractures, 10 fractures were isolated and 20 fractures were associated with other fractures. Mandibular parasymphysis fracture was the most common associated injury (n = 8; 26.7%) in our study, which is similar to the study conducted by Jain et al. [30].
In our study, road traffic accident was the most common etiology (60%) followed by interpersonal violence (20%) and fall (13.3%). Similar findings were also observed in the study by Jain et al. [30] Higher incidence of road traffic accident can be explained by the fact that there are no comprehensive rules for traffic safety in our country as there are in western countries. These need to be formulated and strictly enforced. However, in some other studies of 3D plating system, the common etiology of mandibular angle fracture was interpersonal violence [5,25,29].
In our study, ORIF was performed in standard operating protocol using TBTC and intraoral approach using the right angle Synthes handpiece and screwdriver (RASS). There was good immediate postoperative stability in all patients [25].
Pain and swelling associated with the procedure was recorded for all patients preoperatively and during various follow-up stages based on a visual analog scale.
Preoperatively, the mean pain score was 3.15 0.52. At day 2 postoperative intervals, the mean pain score dropped to 2.0 0.22; on 6th postoperative interval, mean pain score was 0.11 0.50 and by the end of follow-up at 12th, none of the patients reported any pain. Preoperatively, there were 18 (60%) patients with swelling. On 2nd day of first week, the number increased to 28 (93.3%). Thus, it was observed that a significant decrease in pain score was evident from day 2 for all patients except two of the patients who had an increase in pain and swelling on the 6th postoperative week which was due to infection. The still higher pain and swelling scores on day 2 was perhaps due to the surgical exposure required for adaptation and manipulation of the 3D titanium miniplate.
Cawood [10] compared 48 patients of mandibular angle fracture of which 27 were treated with miniplate fixation and 21 patients with wire fixation along with 6 weeks of MMF. At 4 weeks, the miniplate group achieved an average of 42-mm interincisal opening, whereas in the wire fixation group it was only 34 mm 15 weeks postoperatively. In this study, all the patients were treated with 3D titanium miniplate fixation, and at baseline all the patients had a mean mouth opening that was 19.70 ± 3.80 mm. At 12th week postoperative interval, the mean mouth opening reached to the level of 36.0 ± 6.0 mm, thereby showing an increase of 16.43 ± 5.94 mm from baseline. The change was significant (p < 0.05).
Restoration of occlusion is one of the most important goals in the management of fractures of dentofacial region. The effect of not restoring the occlusion to its original condition is disabling and can cause severe effects especially on the temporomandibular joint. In this study, the occlusion of patients was checked preoperatively and during the follow-up stages after surgery. All 30 patients of 3D titanium miniplate osteosynthesis had normal occlusion postoperatively. Malocclusion was not observed in any case and its results were similar to studies performed by Bui et al. [29] and Jain et al. [30] in 3D mandibular angle fracture. Thus, it is evident that in 3D plating system, chances of achieving good stable occlusion is relatively high.
Mobility at the fracture site was examined in all patients preoperatively and during various follow-up stages. Preoperatively, all 30 patients had mobility across the fractured segments. However, from day 2 post-operatively, none of the cases showed any mobility. Thus, the results of our study are similar to biomechanical comparison study performed by Alkan et al. [4] wherein it was concluded that stability is better with 3D plating system. Minor mobility was present when single miniplate was used in the angle region with Champy’s principle according to Feller et al. [32] All biomechanical tests in which a second miniplate had been fixed to the lower border of mandible revealed less mobility, however, Ellis and Walker [22] also found that adding a second plate at angle region had a disadvantage, as it increases the implant load in the angle region, but in case of 3D plating system, implant load is reduced and better stability can be achieved.
Mandibular angle fractures are often contaminated by oral bacteria. The propensity of infection is increased with the natural reluctance of patient to swallow or move their tongue freely so that stasis develops with consequent accumulation of debris in the region of fracture. This encourages multiplication of bacteria and the greater delay in obtaining reduction and immobilization; the more likely is that infections will result. Postreduction infection at the fractured site is not only the result of contamination but is also related to reduced stability of fracture, that is, mobility of fractured segments. Stability is considered as the best protection against infection, as movement in the presence of foreign bodies (i.e., loose screws) usually leads to infection and pseudoarthrosis. Avascularity is shown to be one of the primary risk factor and so is the presence of teeth in fracture line.
Patients were evaluated preoperatively and postoperatively at 2nd day, 6th week, and 12th week after surgery for the signs of infection. Swelling, local rise in temperature, local inflammation, and pus discharge were considered indicators for the presence of infection. The infection rate in our series was 6.7% at second follow-up, whereas in other studies infection rate was 5.4% in Guimond et al. [5] 0% in Zix et al. [31] 8.2% in Bui et al. [29] and 10% in Jain et al. [30] Thus, the low infection rate seen on using the 3D titanium plates in mandibular angle fractures is very encouraging considering our patient population.
Evidence of hardwarefailure was observed radiographically till 12th week postoperatively. Hardware failure in our study was 6.7%. However, Zix et al. [25] reported a hardware failure of 5.8%, Bui et al. [29] and Jain et al. [30] reported a hardware failure of 0%. Plate fracture was the most important complication in the study by Zix et al. [25]; the reason for the hardware failure most likely lies in the reduced interfragmentary cross-sectional bone surface at the fracture site. However, significant amount of contact surface is lost by removal of tooth from the fracture line itself, and this contact is additionally reduced by associated removal of bone around the third molar to be extracted. In analyzing the cause of hardware failure, several factors have to be considered. Besides the technical aspects, such as the material and the form of the plate, there are some surgical factors which contribute to weakening of the plate. Multiple bending and improper placements of the plate, as well as insufficient fracture reduction or over drilling of the screw holes, have negative effect on the stability of the fixation, resulting inplate fracture. However, in our studyof 30 patients, third molar was not removed in any of the cases, but only in two cases there was hardware failure in the form of a loosened screw that was later on removed which is secondary to infection. It implies that infection was the primary cause of the loosened screw which we have included as hardware failure in our study.
Paresthesia of inferior alveolar nerve was 6.7% in our study and is similar to the study by Feller et al. [32] on miniplate fixation using Champy’s principle where paresthesia rate was 6%. Incidence of low paresthesia in our study is due to the use of monocortical plate as compared with other types of plating system in which chance of inferior alveolar nerve injury is more due to bicortical screws.
This study is a sincere attempt to clinically evaluate the efficacy of single 3D titanium locking miniplate in the treatment of mandibular angle fractures without maxillomandibular fixation. The major drawback of our study is that no control group was included.
The results of this study suggest that fixation of mandibular angle fracture with 3D plates provide 3D stability and carries low morbidity and infection rates. The only probable limitation of these plates may be excessive height of the implant material due to the extravertical bars incorporated for countering the torque forces.

Conclusion

3D titanium locking miniplate can be used as an alternative to conventional miniplates. The system is reliable and an effective treatment modality for mandibular angle fractures. It should be considered in the armamentarium of all the surgeons dealing with the facial fractures.

References

  1. Schierle, H.P.; Schmelzeisen, R.; Rahn, B.; Pytlik, C. One- or two-plate fixation of mandibular angle fractures? J Craniomaxillofac Surg 1997, 25, 162–168. [Google Scholar] [CrossRef] [PubMed]
  2. Ellis, E., III. Treatment methods for fractures of the mandibular angle. Int J Oral Maxillofac Surg 1999, 28, 243–252. [Google Scholar] [CrossRef]
  3. Mukerji, R.; Mukerji, G.; McGurk, M. Mandibular fractures: Historical perspective. Br J Oral Maxillofac Surg 2006, 44, 222–228. [Google Scholar] [CrossRef] [PubMed]
  4. Alkan, A.; Celebi, N.; Ozden, B.; Baş, B.; Inal, S. Biomechanical comparison of different plating techniques in repair of mandibular angle fractures. Oral Surg Oral Med Oral Pathol Oral Radiol Endod 2007, 104, 752–756. [Google Scholar] [CrossRef]
  5. Guimond, C.; Johnson, J.V.; Marchena, J.M. Fixation of mandibular angle fractures with a 2.0-mm 3-dimensional curved angle strut plate. J Oral Maxillofac Surg 2005, 63, 209–214. [Google Scholar] [CrossRef] [PubMed]
  6. Champy, M.; Lodde, J.P.; Schmidt, R.; Jaeger, J.H.; Muster, D. Mandibular osteosynthesis by miniature screwed plates via a buccal approach. J Oral Maxillofac Surg 1978, 6, 14–21. [Google Scholar] [CrossRef]
  7. Choi, B.H.; Kim, K.N.; Kang, H.S. Clinical and in vitro evaluation of mandibular angle fracture fixation with the two-miniplate system. Oral Surg Oral Med Oral Pathol Oral Radiol Endod 1995, 79, 692–695. [Google Scholar] [CrossRef]
  8. Siddiqui, A.; Markose, G.; Moos, K.F.; McMahon, J.; Ayoub, A.F. One miniplate versus two in the management of mandibular angle fractures: A prospective randomised study. Br J Oral Maxillofac Surg 2007, 45, 223–225. [Google Scholar] [CrossRef]
  9. Engelstad, M.E.; Kelly, P. Embrasure wires for intraoperative maxillomandibular fixation are rapid and effective. J Oral Maxillofac Surg 2011, 69, 120–124. [Google Scholar] [CrossRef]
  10. Cawood, J.I. Small plate osteosynthesis of mandibular fractures. Br J Oral Maxillofac Surg 1985, 23, 77–91. [Google Scholar] [CrossRef]
  11. Kroon, F.H.; Mathisson, M.; Cordey, J.R.; Rahn, B.A. The use of miniplates in mandibular fractures. An in vitro study. J Craniomaxillofac Surg 1991, 19, 199–204. [Google Scholar] [CrossRef] [PubMed]
  12. Tuovinen, V.; Nørholt, S.E.; Sindet-Pedersen, S.; Jensen, J. A retrospective analysis of 279 patients with isolated mandibular fractures treated with titanium miniplates. J Oral Maxillofac Surg 1994, 52, 931–935, discussion 935–936. [Google Scholar] [CrossRef] [PubMed]
  13. Kuriakose, M.A.; Fardy, M.; Sirikumara, M.; Patton, D.W.; Sugar, A.W. A comparative review of 266 mandibular fractures with internal fixation using rigid (AO/ASIF) plates or mini-plates. Br J Oral Maxillofac Surg 1996, 34, 315–321. [Google Scholar] [CrossRef]
  14. Cabrini Gabrielli, M.A.; Real Gabrielli, M.F.; Marcantonio, E.; HochuliVieira, E. Fixation of mandibular fractures with 2.0-mm miniplates: Review of 191 cases. J Oral Maxillofac Surg 2003, 61, 430–436. [Google Scholar] [CrossRef]
  15. Thoma, K.H. New methods for immobilization of the mandible. 1948. Oral Surg Oral Med Oral Pathol Oral Radiol Endod 2005, 100 (Suppl. S2), S5–S10. [Google Scholar] [CrossRef]
  16. Fordyce, A.M.; Lalani, Z.; Songra, A.K.; Hildreth, A.J.; Carton, A.T.; Hawkesford, J.E. Intermaxillary fixation is not usually necessary to reduce mandibular fractures. Br J Oral Maxillofac Surg 1999, 37, 52–57. [Google Scholar] [CrossRef]
  17. Dimitroulis, G. Management of fractured mandibles without the use of intermaxillary wire fixation. J Oral Maxillofac Surg 2002, 60, 1435–1438, discussion 1439. [Google Scholar] [CrossRef] [PubMed]
  18. Bell, R.B.; Wilson, D.M. Is the use of arch bars or interdental wire fixation necessary for successful outcomes in the open reduction and internal fixation of mandibular angle fractures? J Oral Maxillofac Surg 2008, 66, 2116–2122. [Google Scholar] [CrossRef]
  19. Choi, B.H.; Suh, C.H. Technique for applying 2 miniplates for treatment of mandibular angle fractures. J Oral Maxillofac Surg 2001, 59, 353–354. [Google Scholar] [CrossRef]
  20. Mehra, P.; Murad, H. Internal fixation of mandibular angle fractures: A comparison of 2 techniques. J Oral Maxillofac Surg 2008, 66, 2254–2260. [Google Scholar] [CrossRef]
  21. Danda, A.K. Comparison of a single noncompression miniplate versus 2 noncompression miniplates in the treatment of mandibular angle fractures: A prospective, randomized clinical trial. J Oral Maxillofac Surg 2010, 68, 1565–1567. [Google Scholar] [CrossRef]
  22. Ellis, E.I.I.I.; Walker, L.R. Treatment of mandibular angle fractures using one noncompression miniplate. J Oral Maxillofac Surg 1996, 54, 864–871, discussion 871–872. [Google Scholar] [CrossRef] [PubMed]
  23. Farmand, M. Three dimensional plate fixation of fractures and osteotomies. Fac Plast Surg Clin N America 1995, 3, 39–56. [Google Scholar] [CrossRef]
  24. Meyer, C.; Serhir, L.; Boutemi, P. Experimental evaluation of three osteosynthesis devices used for stabilizing condylar fractures of the mandible. J Craniomaxillofac Surg 2006, 34, 173–181. [Google Scholar] [CrossRef] [PubMed]
  25. Zix, J.; Lieger, O.; Iizuka, T. Use of straight and curved 3-dimensional titanium miniplates for fracture fixation at the mandibular angle. J Oral Maxillofac Surg 2007, 65, 1758–1763. [Google Scholar] [CrossRef]
  26. Kalfarentzos, E.F.; Deligianni, D.; Mitros, G.; Tyllianakis, M. Biomechanical evaluation of plating techniques for fixing mandibular angle fractures: The introduction of a new 3D plate approach. Oral Maxillofac Surg 2009, 13, 139–144. [Google Scholar] [CrossRef]
  27. Wittenberg, J.M.; Mukherjee, D.P.; Smith, B.R.; Kruse, R.N. Biomechanical evaluation of new fixation devices for mandibular angle fractures. Int J Oral Maxillofac Surg 1997, 26, 68–73. [Google Scholar] [CrossRef]
  28. Lovald, S.T.; Wagner, J.D.; Baack, B. Biomechanical optimization of bone plates used in rigid fixation of mandibular fractures. J Oral Maxillofac Surg 2009, 67, 973–985. [Google Scholar] [CrossRef]
  29. Bui, P.; Demian, N.; Beetar, P. Infection rate in mandibular angle fractures treated with a 2.0-mm 8-hole curved strut plate. J Oral Maxillofac Surg 2009, 67, 804–808. [Google Scholar] [CrossRef]
  30. Jain, M.K.; Manjunath, K.S.; Bhagwan, B.K.; Shah, D.K. Comparison of 3-dimensional and standard miniplate fixation in the management of mandibular fractures. J Oral Maxillofac Surg 2010, 68, 1568–1572. [Google Scholar] [CrossRef]
  31. Sugar, A.W.; Gibbons, A.J.; Patton, D.W.; et al. A randomised controlled trial comparing fixation of mandibular angle fractures with a single miniplate placed either transbuccally and intra-orally, or intra-orally alone. Int J Oral Maxillofac Surg 2009, 38, 241–245. [Google Scholar] [CrossRef] [PubMed]
  32. Feller, K.U.; Schneider, M.; Hlawitschka, M.; Pfeifer, G.; Lauer, G.; Eckelt, U. Analysis of complications in fractures of the mandibular angle—A study with finite element computation and evaluation of data of 277 patients. J Craniomaxillofac Surg 2003, 31, 290–295. [Google Scholar] [CrossRef] [PubMed]

Share and Cite

MDPI and ACS Style

Rastogi, S.; Paul, S.; Kukreja, S.; Aggarwal, K.; Choudhury, R.; Bhugra, A.; Indra B, N.P.; Jawaid, M. Treatment of Mandibular Angle Fractures with Single Three-Dimensional Locking Miniplates without Maxillomandibular Fixation: How Much Fixation is Required? Craniomaxillofac. Trauma Reconstr. 2017, 10, 188-196. https://doi.org/10.1055/s-0037-1600904

AMA Style

Rastogi S, Paul S, Kukreja S, Aggarwal K, Choudhury R, Bhugra A, Indra B NP, Jawaid M. Treatment of Mandibular Angle Fractures with Single Three-Dimensional Locking Miniplates without Maxillomandibular Fixation: How Much Fixation is Required? Craniomaxillofacial Trauma & Reconstruction. 2017; 10(3):188-196. https://doi.org/10.1055/s-0037-1600904

Chicago/Turabian Style

Rastogi, Sanjay, Sam Paul, Sumedha Kukreja, Karun Aggarwal, Rupshikha Choudhury, Amit Bhugra, Niranjana Prasad Indra B, and Moazzam Jawaid. 2017. "Treatment of Mandibular Angle Fractures with Single Three-Dimensional Locking Miniplates without Maxillomandibular Fixation: How Much Fixation is Required?" Craniomaxillofacial Trauma & Reconstruction 10, no. 3: 188-196. https://doi.org/10.1055/s-0037-1600904

APA Style

Rastogi, S., Paul, S., Kukreja, S., Aggarwal, K., Choudhury, R., Bhugra, A., Indra B, N. P., & Jawaid, M. (2017). Treatment of Mandibular Angle Fractures with Single Three-Dimensional Locking Miniplates without Maxillomandibular Fixation: How Much Fixation is Required? Craniomaxillofacial Trauma & Reconstruction, 10(3), 188-196. https://doi.org/10.1055/s-0037-1600904

Article Metrics

Back to TopTop