Spontaneous Dramatic Regression of Clear Cell Renal Cell Carcinoma After Pazopanib-Induced Severe Systemic Inflammatory Syndrome: A Case Report and Literature Review
Abstract
1. Introduction
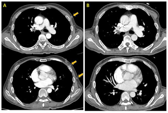
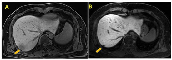
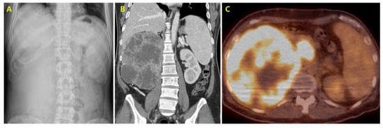
2. Case Presentation
3. Discussion
4. Conclusions
Author Contributions
Funding
Institutional Review Board Statement
Informed Consent Statement
Data Availability Statement
Conflicts of Interest
Abbreviations
| RCC | renal cell carcinoma |
| SR | spontaneous regression |
| CT | computed tomography |
| PET/CT | positron emission tomography/computed tomography |
| CRP | C-reactive protein |
| BUN | blood urea nitrogen |
| eGFR | estimated glomerular filtration rate |
| ICU | intensive care unit |
| CRRT | continuous renal replacement therapy |
| PFS | progression-free survival |
| CTCAE | Common Terminology Criteria for Adverse Events |
| AKI | acute kidney injury |
References
- Kang, M.J.; Jung, K.-W.; Bang, S.H.; Choi, S.H.; Park, E.H.; Yun, E.H.; Kim, H.-J.; Kong, H.-J.; Im, J.-S.; Seo, H.G.; et al. Cancer statistics in Korea: Incidence, mortality, survival, and prevalence in 2020. Cancer Res. Treat. Off. J. Korean Cancer Assoc. 2023, 55, 385–399. [Google Scholar] [CrossRef] [PubMed]
- Raman, G.; Tarafdar, S. Kidney Cancer. In Nephrology: A Comprehensive Guide to Renal Medicine; John Wiley & Sons: Hoboken, NJ, USA, 2020; p. 67. [Google Scholar]
- Jung, K.-W.; Kang, M.J.; Park, E.H.; Yun, E.H.; Kim, H.-J.; Kong, H.-J.; Im, J.-S.; Seo, H.G. Prediction of cancer incidence and mortality in Korea, 2023. Cancer Res. Treat. Off. J. Korean Cancer Assoc. 2023, 55, 400–407. [Google Scholar] [CrossRef] [PubMed]
- Flanigan, R.C.; Campbell, S.C.; Clark, J.I.; Picken, M.M. Metastatic renal cell carcinoma. Curr. Treat. Options Oncol. 2003, 4, 385–390. [Google Scholar] [CrossRef]
- Shannon, B.A.; Cohen, R.J.; de Bruto, H.; Davies, R.J. The value of preoperative needle core biopsy for diagnosing benign lesions among small, incidentally detected renal masses. J. Urol. 2008, 180, 1257–1261. [Google Scholar] [CrossRef]
- Everson, T.C.; Cole, W.H. Spontaneous regression of cancer: Preliminary report. Ann. Surg. 1956, 144, 366. [Google Scholar] [CrossRef] [PubMed]
- Challis, G.; Stam, H. The spontaneous regression of cancer: A review of cases from 1900 to 1987. Acta Oncol. 1990, 29, 545–550. [Google Scholar] [CrossRef]
- Niakan, B. Immunology of the Spontaneous Remission of Cancer. Int. J. Cancer Clin. Res. 2019, 6, 112. [Google Scholar]
- Chow, W.-H.; Devesa, S.S. Contemporary epidemiology of renal cell cancer. Cancer J. 2008, 14, 288–301. [Google Scholar] [CrossRef]
- Bumpus, H.C. The apparent disappearance of pulmonary metastasis in a case of hypernephroma following nephrectomy. J. Urol. 1928, 20, 185–192. [Google Scholar] [CrossRef]
- Buchler, T.; Fiser, L.; Benesova, J.; Jirickova, H.; Votrubova, J. Spontaneous regression of metastatic renal cell carcinoma after SARS-CoV-2 infection: A report of two cases. Curr. Oncol. 2021, 28, 3403–3407. [Google Scholar] [CrossRef]
- Ohara, M.; Koi, Y.; Sasada, T.; Kajitani, K.; Mizuno, S.; Takata, A.; Nagata, I.; Sumita, M.; Imachi, K.; Watanabe, M. Spontaneous regression of breast cancer with immune re-sponse: A case report. Surg. Case Rep. 2021, 7, 10. [Google Scholar] [CrossRef] [PubMed]
- Roelofsen, T.; Wefers, C.; Gorris, M.A.; Textor, J.C.; Massuger, L.F.; De Vries, I.J.M.; van Altena, A.M. Spontaneous regression of ovarian carcinoma after septic peritonitis; a unique case report. Front. Oncol. 2018, 8, 562. [Google Scholar] [CrossRef] [PubMed]
- Bersanelli, M.; Brunelli, M.; Gnetti, L.; Maestroni, U.; Buti, S. Pazopanib as a possible option for the treatment of metastatic non-clear cell renal carcinoma patients: A systematic review. Ther. Adv. Med. Oncol. 2020, 12, 1758835920915303. [Google Scholar] [CrossRef] [PubMed]
- Capitanio, U.; Bensalah, K.; Bex, A.; Boorjian, S.A.; Bray, F.; Coleman, J.; Gore, J.L.; Sun, M.; Wood, C.; Russo, P. Epidemiology of renal cell carcinoma. Eur. Urol. 2019, 75, 74–84. [Google Scholar] [CrossRef]
- de Peralta-Venturina, M.; Moch, H.; Amin, M.; Tamboli, P.; Hailemariam, S.; Mihatsch, M.; Javidan, J.; Stricker, H.; Ro, J.Y.; Amin, M.B. Sarcomatoid differentiation in renal cell carcinoma: A study of 101 cases. Am. J. Surg. Pathol. 2001, 25, 275–284. [Google Scholar] [CrossRef]
- Edition, S.; Edge, S.; Byrd, D. AJCC Cancer Staging Manual; Springer: New York, NY, USA, 2017. [Google Scholar]
- Chow, W.-H.; Dong, L.M.; Devesa, S.S. Epidemiology and risk factors for kidney cancer. Nat. Rev. Urol. 2010, 7, 245–257. [Google Scholar] [CrossRef]
- Elkassem, A.A.; Allen, B.C.; Sharbidre, K.G.; Rais-Bahrami, S.; Smith, A.D. Update on the role of imaging in clinical staging and restaging of renal cell carcinoma based on the AJCC 8th edition, from the AJR special series on cancer staging. Am. J. Roentgenol. 2021, 217, 541–555. [Google Scholar] [CrossRef]
- Ljungberg, B.; Albiges, L.; Abu-Ghanem, Y.; Bedke, J.; Capitanio, U.; Dabestani, S.; Fernández-Pello, S.; Giles, R.H.; Hofmann, F.; Hora, M.; et al. European Association of Urology guidelines on renal cell carcinoma: The 2022 update. Eur. Urol. 2022, 82, 399–410. [Google Scholar] [CrossRef]
- Bukowski, R.M. Natural history and therapy of metastatic renal cell carcinoma: The role of interleukin-2. Cancer: Interdiscip. Int. J. Am. Cancer Soc. 1997, 80, 1198–1220. [Google Scholar] [CrossRef]
- Collaborators MRCRC. Interferon-α and survival in metastatic renal carcinoma: Early results of a randomised controlled trial. Lancet 1999, 353, 14–17. [Google Scholar] [CrossRef]
- Hsieh, J.J.; Purdue, M.P.; Signoretti, S.; Swanton, C.; Albiges, L.; Schmidinger, M.; Heng, D.Y.; Larkin, J.; Ficarra, V. Renal cell carcinoma. Nat. Rev. Dis. Primers 2017, 3, 17009. [Google Scholar] [CrossRef] [PubMed]
- Motzer, R.J.; Tannir, N.M.; McDermott, D.F.; Arén Frontera, O.; Melichar, B.; Choueiri, T.K.; Plimack, E.R.; Barthélémy, P.; Porta, C.; George, S.; et al. Nivolumab plus ipilimumab versus sunitinib in advanced renal-cell carcinoma. N. Engl. J. Med. 2018, 378, 1277–1290. [Google Scholar] [CrossRef] [PubMed]
- Rini, B.I.; Plimack, E.R.; Stus, V.; Gafanov, R.; Hawkins, R.; Nosov, D.; Pouliot, F.; Alekseev, B.; Soulières, D.; Melichar, B. Pembrolizumab plus axitinib versus sunitinib for ad-vanced renal-cell carcinoma. N. Engl. J. Med. 2019, 380, 1116–1127. [Google Scholar] [CrossRef]
- Cole, W.H. Efforts to explain spontaneous regression of cancer. Guthrie J. 1981, 50, 99–112. [Google Scholar] [CrossRef]
- van der Poll, T.; van de Veerdonk, F.L.; Scicluna, B.P.; Netea, M.G. The immunopathology of sepsis and potential therapeutic targets. Nat. Rev. Immunol. 2017, 17, 407–420. [Google Scholar] [CrossRef] [PubMed]
- Kleef, R.; Jonas, W.B.; Knogler, W.; Stenzinger, W. Fever, cancer incidence and spontaneous remissions. Neuroimmunomodulation 2001, 9, 55–64. [Google Scholar] [CrossRef]
- Køstner, A.H.; Ellegaard, M.-B.B.; Christensen, I.J.; Bastholt, L.; Schmidt, H. Fever and the use of paracetamol during IL-2-based immunotherapy in metastatic melanoma. Cancer Immunol. Immunother. 2015, 64, 349–355. [Google Scholar] [CrossRef]
- de Reijke, T.M.; Bellmunt, J.; van Poppel, H.; Marreaud, S.; Aapro, M. EORTC-GU group expert opinion on metastatic renal cell cancer. Eur. J. Cancer 2009, 45, 765–773. [Google Scholar] [CrossRef]
- Lekanidi, K.; Vlachou, P.A.; Morgan, B.; Vasanthan, S. Spontaneous regression of metastatic renal cell carcinoma: Case report. J. Med. Case Rep. 2007, 1, 89. [Google Scholar] [CrossRef]
- De Riese, W.; Goldenberg, K.; Allhoff, E.; Stief, C.; Schlick, R.; Liedke, S.; Jonas, U. Metastatic renal cell carcinoma (RCC): Spontaneous regression, long-term survival and late recurrence. Int. Urol. Nephrol. 1991, 23, 13–25. [Google Scholar] [CrossRef]
- Kumar, R.; Knick, V.B.; Rudolph, S.K.; Johnson, J.H.; Crosby, R.M.; Crouthamel, M.-C.; Hopper, T.M.; Miller, C.G.; Harrington, L.E.; Onori, J.A.; et al. Pharmacokinetic-pharmacodynamic correlation from mouse to human with pazopanib, a multikinase angiogenesis inhibitor with potent antitumor and antiangiogenic activity. Mol. Cancer Ther. 2007, 6, 2012–2021. [Google Scholar] [CrossRef] [PubMed]
- Sternberg, C.N.; Davis, I.D.; Mardiak, J.; Szczylik, C.; Lee, E.; Wagstaff, J.; Barrios, C.H.; Salman, P.; Gladkov, O.A.; Kavina, A.; et al. Pazopanib in locally advanced or metastatic renal cell carcinoma: Results of a randomized phase III trial. J. Clin. Oncol. 2010, 28, 1061–1068. [Google Scholar] [CrossRef]
- Hainsworth, J.D.; Rubin, M.S.; Arrowsmith, E.R.; Khatcheressian, J.; Crane, E.J.; Franco, L.A. Pazopanib as second-line treatment after sunitinib or bevacizumab in patients with advanced renal cell carcinoma: A Sarah Cannon Oncology Research Consortium Phase II Trial. Clin. Genitourin. Cancer 2013, 11, 270–275. [Google Scholar] [CrossRef]
- Miyamoto, S.; Kakutani, S.; Sato, Y.; Hanashi, A.; Kinoshita, Y.; Ishikawa, A. Drug review: Pazopanib. Jpn. J. Clin. Oncol. 2018, 48, 503–513. [Google Scholar] [CrossRef] [PubMed]
- Li, J.; Li, Z.; Su, T. A case of pazopanib-induced acute kidney injury, reversible hair depigmentation and radiation recall der-matitis. Ren. Fail. 2023, 45, 2213778. [Google Scholar] [CrossRef] [PubMed]
- Dolan, M.; Shi, Y.; Mastri, M.; Long, M.D.; McKenery, A.; Hill, J.W.; Vaghi, C.; Benzekry, S.; Barbi, J.; Ebos, J.M. A senescence-mimicking (senomimetic) VEGFR TKI side effect primes tumor immune responses via IFN/STING signaling. Mol. Cancer Ther. 2024, 23, 1241–1260. [Google Scholar] [CrossRef]
- Motzer, R.J.; Jonasch, E.; Agarwal, N.; Alva, A.; Bagshaw, H.; Baine, M.; Beckermann, K.; Carlo, M.I.; Choueiri, T.K.; Costello, B.A.; et al. NCCN Guidelines® Insights: Kidney Cancer, Version 2.2024: Featured Updates to the NCCN Guidelines. J. Natl. Compr. Cancer Netw. 2024, 22, 4–16. [Google Scholar] [CrossRef]



Disclaimer/Publisher’s Note: The statements, opinions and data contained in all publications are solely those of the individual author(s) and contributor(s) and not of MDPI and/or the editor(s). MDPI and/or the editor(s) disclaim responsibility for any injury to people or property resulting from any ideas, methods, instructions or products referred to in the content. |
© 2025 by the authors. Licensee MDPI, Basel, Switzerland. This article is an open access article distributed under the terms and conditions of the Creative Commons Attribution (CC BY) license (https://creativecommons.org/licenses/by/4.0/).
Share and Cite
Oh, C.H.; Kim, H.J. Spontaneous Dramatic Regression of Clear Cell Renal Cell Carcinoma After Pazopanib-Induced Severe Systemic Inflammatory Syndrome: A Case Report and Literature Review. Curr. Oncol. 2025, 32, 260. https://doi.org/10.3390/curroncol32050260
Oh CH, Kim HJ. Spontaneous Dramatic Regression of Clear Cell Renal Cell Carcinoma After Pazopanib-Induced Severe Systemic Inflammatory Syndrome: A Case Report and Literature Review. Current Oncology. 2025; 32(5):260. https://doi.org/10.3390/curroncol32050260
Chicago/Turabian StyleOh, Chi Hyuk, and Hong Jun Kim. 2025. "Spontaneous Dramatic Regression of Clear Cell Renal Cell Carcinoma After Pazopanib-Induced Severe Systemic Inflammatory Syndrome: A Case Report and Literature Review" Current Oncology 32, no. 5: 260. https://doi.org/10.3390/curroncol32050260
APA StyleOh, C. H., & Kim, H. J. (2025). Spontaneous Dramatic Regression of Clear Cell Renal Cell Carcinoma After Pazopanib-Induced Severe Systemic Inflammatory Syndrome: A Case Report and Literature Review. Current Oncology, 32(5), 260. https://doi.org/10.3390/curroncol32050260

