Hepatocellular Carcinoma: Imaging Advances in 2024 with a Focus on Magnetic Resonance Imaging
Abstract
1. Introduction
2. Surveillance Strategies for HCC: Challenges and Emerging Perspectives
- -
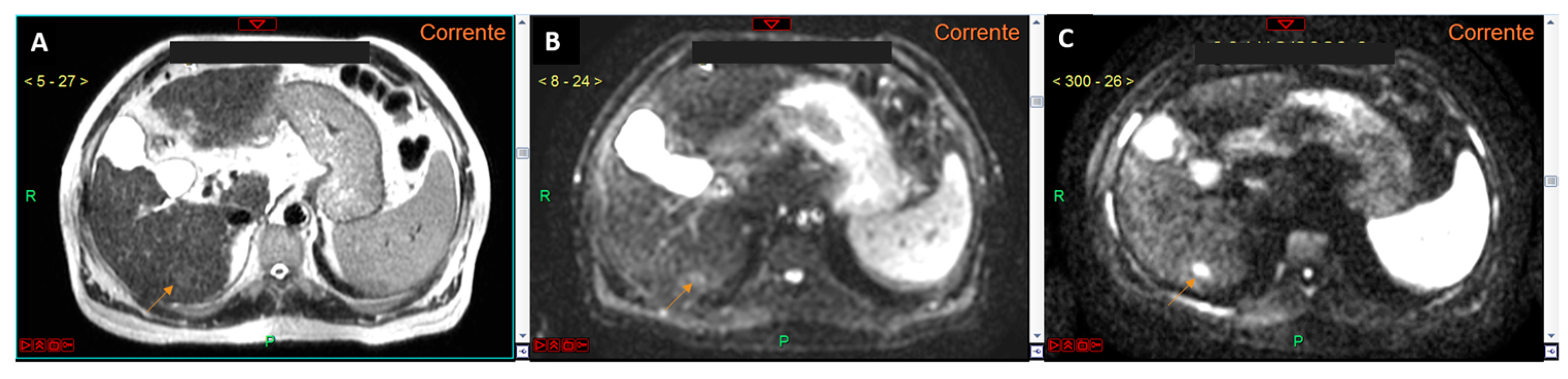
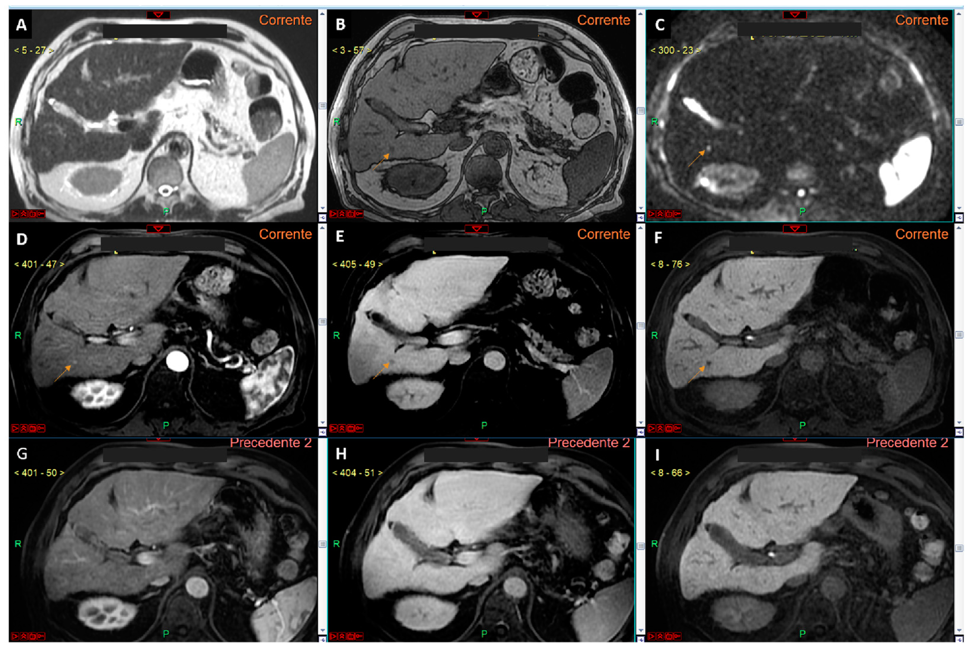
- Non-contrast aMRI (NC-aMRI): This protocol includes T1 in-phase and out-of-phase sequences, T2-weighted sequences, and diffusion-weighted imaging (DWI) with b0 and a single high b-value;
- -
- Dynamic aMRI (D-aMRI): This protocol involves volumetric T1-weighted imaging during the pre-contrast phase and three dynamic (arterial, portal, and delayed) phases using an extracellular contrast agent;
- -
- Hepatobiliary phase (HBP) aMRI (HBP-aMRI): This protocol uses hepatospecific contrast agents, with imaging performed approximately 20 min post-injection. It includes T2-weighted sequences, DWI with b0 and another single high b-value, and the hepatobiliary phase.
3. The Challenge of Sub-Centimeter Lesions in Cirrhotic Liver
4. Beyond and Before the Diagnostic Algorithm in Cirrhotic Liver
5. Possible Scenarios for Applying These Innovations in MRI Imaging
6. Conclusions
Author Contributions
Funding
Conflicts of Interest
References
- Singal, A.G.; Llovet, J.M.; Yarchoan, M.; Mehta, N.; Heimbach, J.K.; Dawson, L.A.; Jou, J.H.; Kulik, L.M.; Agopian, V.G.; Marrero, J.A.; et al. AASLD Practice Guidance on prevention, diagnosis, and treatment of hepatocellular carcinoma. Hepatology 2023, 78, 1922–1965. [Google Scholar] [CrossRef] [PubMed]
- Llovet, J.M.; Kelley, R.K.; Villanueva, A.; Singal, A.G.; Pikarsky, E.; Roayaie, S.; Lencioni, R.; Koike, K.; Zucman-Rossi, J.; Finn, R.S. Hepatocellular carcinoma. Nat. Rev. Dis. Primers 2021, 7, 6, Erratum in Nat. Rev. Dis. Primers 2024, 10, 10. [Google Scholar] [CrossRef] [PubMed]
- Sung, H.; Ferlay, J.; Siegel, R.L.; Laversanne, M.; Soerjomataram, I.; Jemal, A.; Bray, F. Global Cancer Statistics 2020: GLOBOCAN Estimates of Incidence and Mortality Worldwide for 36 Cancers in 185 Countries. CA Cancer J. Clin. 2021, 71, 209–249. [Google Scholar] [CrossRef] [PubMed]
- European Association for the Study of the Liver. EASL Clinical Practice Guidelines: Management of hepatocellular carcinoma. J. Hepatol. 2018, 69, 182–236. [Google Scholar] [CrossRef] [PubMed]
- Prorok, P.C. Epidemiologic approach for cancer screening. Problems in design and analysis of trials. Am. J. Pediatr. Hematol. Oncol. 1992, 14, 117–128. [Google Scholar] [CrossRef]
- Giannini, E.G.; Cucchetti, A.; Erroi, V.; Garuti, F.; Odaldi, F.; Trevisani, F. Surveillance for early diagnosis of hepatocellular carcinoma: How best to do it? World J. Gastroenterol. 2013, 19, 8808–8821. [Google Scholar] [CrossRef] [PubMed]
- Tzartzeva, K.; Obi, J.; Rich, N.E.; Parikh, N.D.; Marrero, J.A.; Yopp, A.; Waljee, A.K.; Singal, A.G. Surveillance Imaging and Alpha Fetoprotein for Early Detection of Hepatocellular Carcinoma in Patients with Cirrhosis: A Meta-analysis. Gastroenterology 2018, 154, 1706–1718.e1. [Google Scholar] [CrossRef] [PubMed]
- Quek, J.; Tan, D.J.H.; Chan, K.E.; Lim, W.H.; Ng, C.H.; Ren, Y.P.; Koh, T.K.; Teh, R.; Xiao, J.; Fu, C.; et al. Quality Assessment of Ultrasound and Magnetic Resonance Imaging for Hepatocellular Carcinoma Surveillance: A Systematic Review and Meta-Analysis. Dig. Dis. 2023, 41, 757–766. [Google Scholar] [CrossRef]
- Shah, P.A.; Patil, R.; Harrison, S.A. NAFLD-related hepatocellular carcinoma: The growing challenge. Hepatology 2023, 77, 323–338. [Google Scholar] [CrossRef]
- De Lorenzo, S.; Tovoli, F.; Mazzotta, A.; Vasuri, F.; Edeline, J.; Malvi, D.; Boudjema, K.; Renzulli, M.; Jeddou, H.; D’Errico, A.; et al. Non-Alcoholic Steatohepatitis as a Risk Factor for Intrahepatic Cholangiocarcinoma and Its Prognostic Role. Cancers 2020, 12, 3182. [Google Scholar] [CrossRef]
- Llovet, J.M.; Willoughby, C.E.; Singal, A.G.; Greten, T.F.; Heikenwälder, M.; El-Serag, H.B.; Finn, R.S.; Friedman, S.L. Nonalcoholic steatohepatitis-related hepatocellular carcinoma: Pathogenesis and treatment. Nat. Rev. Gastroenterol. Hepatol. 2023, 20, 487–503. [Google Scholar] [CrossRef] [PubMed]
- Choi, S.H.; Fowler, K.J.; Chernyak, V.; Sirlin, C.B. LI-RADS: Current Status and Future Directions. Korean J. Radiol. 2024, 25, 1039–1046. [Google Scholar] [CrossRef]
- Girardet, R.; Dubois, M.; Manasseh, G.; Jreige, M.; Du Pasquier, C.; Canniff, E.; Gulizia, M.; Bonvin, M.; Aleman, Y.; Taouli, B.; et al. The combination of non-contrast abbreviated MRI and alpha foetoprotein has high performance for hepatocellular carcinoma screening. Eur. Radiol. 2023, 33, 6929–6938. [Google Scholar] [CrossRef] [PubMed]
- Kim, D.H.; Yoon, J.H.; Choi, M.H.; Lee, C.H.; Kang, T.W.; Kim, H.A.; Ku, Y.M.; Lee, J.M.; Kim, S.H.; Kim, K.A.; et al. Comparison of non-contrast abbreviated MRI and ultrasound as surveillance modalities for HCC. J. Hepatol. 2024, 81, 461–470. [Google Scholar] [CrossRef]
- Park, H.J.; Jang, H.Y.; Kim, S.Y.; Lee, S.J.; Won, H.J.; Byun, J.H.; Choi, S.H.; Lee, S.S.; An, J.; Lim, Y.S. Non-enhanced magnetic resonance imaging as a surveillance tool for hepatocellular carcinoma: Comparison with ultrasound. J. Hepatol. 2020, 72, 718–724. [Google Scholar] [CrossRef] [PubMed]
- Yap, J. Diffusion-Weighted Imaging. Reference Article. Available online: https://radiopaedia.org/articles/diffusion-weighted-imaging-2 (accessed on 18 December 2024).
- Renzulli, M.; Biselli, M.; Brocchi, S.; Granito, A.; Vasuri, F.; Tovoli, F.; Sessagesimi, E.; Piscaglia, F.; D’Errico, A.; Bolondi, L.; et al. New hallmark of hepatocellular carcinoma, early hepatocellular carcinoma and high-grade dysplastic nodules on Gd-EOB-DTPA MRI in patients with cirrhosis: A new diagnostic algorithm. Gut 2018, 67, 1674–1682. [Google Scholar] [CrossRef]
- Van Wettere, M.; Purcell, Y.; Bruno, O.; Payancé, A.; Plessier, A.; Rautou, P.E.; Cazals-Hatem, D.; Valla, D.; Vilgrain, V.; Ronot, M. Low specificity of washout to diagnose hepatocellular carcinoma in nodules showing arterial hyperenhancement in patients with Budd-Chiari syndrome. J. Hepatol. 2019, 70, 1123–1132. [Google Scholar] [CrossRef] [PubMed]
- Bruix, J.; Sherman, M.; Llovet, J.M.; Beaugrand, M.; Lencioni, R.; Burroughs, A.K.; Christensen, E.; Pagliaro, L.; Colombo, M.; Rodés, J.; et al. Clinical management of hepatocellular carcinoma. Conclusions of the Barcelona-2000 EASL conference. J. Hhepatol. 2001, 35, 421–430. [Google Scholar] [CrossRef] [PubMed]
- Nakashima, T.; Kojiro, M. Hepatocellular Carcinoma and Multiple Cancer. In Hepatocellular Carcinoma; Springer: Tokyo, Japan, 1987. [Google Scholar] [CrossRef]
- Bruix, J.; Sherman, M.; Practice Guidelines Committee, American Association for the Study of Liver Diseases. Management of hepatocellular carcinoma. Hepatology 2005, 42, 1208–1236. [Google Scholar] [CrossRef]
- Bruix, J.; Sherman, M.; American Association for the Study of Liver Diseases. Management of hepatocellular carcinoma: An update. Hepatology 2011, 53, 1020–1022. [Google Scholar] [CrossRef] [PubMed]
- Omata, M.; Cheng, A.L.; Kokudo, N.; Kudo, M.; Lee, J.M.; Jia, J.; Tateishi, R.; Han, K.H.; Chawla, Y.K.; Shiina, S.; et al. Asia-Pacific clinical practice guidelines on the management of hepatocellular carcinoma: A 2017 update. Hepatol. Int. 2017, 11, 317–370. [Google Scholar] [CrossRef]
- Kudo, M.; Kawamura, Y.; Hasegawa, K.; Tateishi, R.; Kariyama, K.; Shiina, S.; Toyoda, H.; Imai, Y.; Hiraoka, A.; Ikeda, M.; et al. Management of Hepatocellular Carcinoma in Japan: JSH Consensus Statements and Recommendations 2021 Update. Liver Cancer 2021, 10, 181–223. [Google Scholar] [CrossRef]
- Huang, P.; Wu, F.; Hou, K.; Zhou, C.; Xiao, Y.; Wang, C.; Miao, G.; Yang, C.; Zeng, M. Diagnostic algorithm for subcentimeter hepatocellular carcinoma using alpha-fetoprotein and imaging features on gadoxetic acid-enhanced MRI. Eur. Radiol. 2024, 34, 2271–2282. [Google Scholar] [CrossRef]
- Vasuri, F.; Golfieri, R.; Fiorentino, M.; Capizzi, E.; Renzulli, M.; Pinna, A.D.; Grigioni, W.F.; D’Errico-Grigioni, A. OATP 1B1/1B3 expression in hepatocellular carcinomas treated with orthotopic liver transplantation. Virchows Arch. 2011, 459, 141–146. [Google Scholar] [CrossRef]
- Ji, J.; Yan, L.L.; Ma, Y.; Xu, C.; Zhou, W.Z.; Lv, P.H. Transarterial chemoembolization combined with microwave ablation versus repeated resection for recurrent small hepatocellular carcinoma after resection: What is the better treatment? Clin. Radiol. 2024, 79, e1443–e1450. [Google Scholar] [CrossRef] [PubMed]
- Lucatelli, P.; Burrel, M.; Guiu, B.; de Rubeis, G.; van Delden, O.; Helmberger, T. CIRSE Standards of Practice on Hepatic Transarterial Chemoembolisation. Cardiovasc. Interv. Radiol. 2021, 44, 1851–1867. [Google Scholar] [CrossRef]
- Farinati, F.; Vanin, V.; Giacomin, A.; Pozzan, C.; Cillo, U.; Vitale, A.; Di Nolfo, A.M.; Del Poggio, P.; Benvegnu’, L.; Rapaccini, G.; et al. BCLC stage B hepatocellular carcinoma and transcatheter arterial chemoembolization: A 20-year survey by the Italian Liver Cancer group. Liver Int. 2015, 35, 223–231. [Google Scholar] [CrossRef]
- Terzi, E.; Piscaglia, F.; Forlani, L.; Mosconi, C.; Renzulli, M.; Bolondi, L.; Golfieri, R.; BLOG-Bologna Liver Oncology Group, S. Orsola-Malpighi Hospital, University of Bologna, Bologna, Italy. TACE performed in patients with a single nodule of hepatocellular carcinoma. BMC Cancer 2014, 14, 601. [Google Scholar] [CrossRef]
- Jiang, H.; Cannella, R.; Wu, Z.; Beaufrère, A.; Dioguardi Burgio, M.; Sartoris, R.; Wang, Y.; Qin, Y.; Chen, J.; Chen, Y.; et al. Prognostic Implications of MRI-assessed Intratumoral Fat in Hepatocellular Carcinoma: An Asian and European Cohort Study. Radiology 2024, 313, e233471. [Google Scholar] [CrossRef]
- Torbenson, M.S.; Ng, I.O.L.; Park, Y.N.; Roncalli, M.; Sakamoto, M. Hepatocellular carcinoma. In WHO Classification of Tumours: Digestive System Tumours, 5th ed.; WHO Classification of Tumours Editorial Board, Ed.; International Agency for Research on Cancer: Lyon, France, 2019; pp. 229–239. [Google Scholar]
- Ronot, M.; Chernyak, V.; Burgoyne, A.; Chang, J.; Jiang, H.; Bashir, M.; Fowler, K.J. Imaging to Predict Prognosis in Hepatocellular Carcinoma: Current and Future Perspectives. Radiology 2023, 307, e221429. [Google Scholar] [CrossRef]
- Murai, H.; Kodama, T.; Maesaka, K.; Tange, S.; Motooka, D.; Suzuki, Y.; Shigematsu, Y.; Inamura, K.; Mise, Y.; Saiura, A.; et al. Multiomics identifies the link between intratumor steatosis and the exhausted tumor immune microenvironment in hepatocellular carcinoma. Hepatology 2023, 77, 77–91. [Google Scholar] [CrossRef] [PubMed]
- Kupczyk, P.A.; Kurt, D.; Endler, C.; Luetkens, J.A.; Kukuk, G.M.; Fronhoffs, F.; Fischer, H.P.; Attenberger, U.I.; Pieper, C.C. MRI proton density fat fraction for estimation of tumor grade in steatotic hepatocellular carcinoma. Eur. Radiol. 2023, 33, 8974–8985. [Google Scholar] [CrossRef]
- Jiang, H.; Qin, Y.; Wei, H.; Zheng, T.; Yang, T.; Wu, Y.; Ding, C.; Chernyak, V.; Ronot, M.; Fowler, K.J.; et al. Prognostic MRI features to predict postresection survivals for very early to intermediate stage hepatocellular carcinoma. Eur. Radiol. 2024, 34, 3163–3182. [Google Scholar] [CrossRef]
- Facciorusso, A.; Del Prete, V.; Antonino, M.; Crucinio, N.; Neve, V.; Di Leo, A.; Carr, B.I.; Barone, M. Post-recurrence survival in hepatocellular carcinoma after percutaneous radiofrequency ablation. Dig. Liver Dis. 2014, 46, 1014–1019. [Google Scholar] [CrossRef]
- Panagiotopoulos, N.; Agni, R.; Batakis, D.; Ceriani, L.; Covarrubias, Y.; Funk, L.M.; Grunvald, E.; Goodman, J.A.; Harris, D.T.; Hamilton, G.; et al. PDFF diagnoses MASH in patients with severe obesity but without known liver disease. In Proceedings of the ISMRM & ISMRT Annual Meeting and Exibition, Singapore, 4–9 May 2024; ISMRT: Singapore, 2024. Volume 4746. [Google Scholar]
- Tan, D.J.H.; Lim, W.H.; Yong, J.N.; Ng, C.H.; Muthiah, M.D.; Tan, E.X.; Xiao, J.; Lim, S.Y.; Pin Tang, A.S.; Pan, X.H.; et al. UNOS Down-Staging Criteria for Liver Transplantation of Hepatocellular Carcinoma: Systematic Review and Meta-Analysis of 25 Studies. Clin. Gastroenterol. Hepatol. 2023, 21, 1475–1484. [Google Scholar] [CrossRef]
- Renzulli, M.; Golfieri, R.; Bologna Liver Oncology Group (BLOG). Proposal of a new diagnostic algorithm for hepatocellular carcinoma based on the Japanese guidelines but adapted to the Western world for patients under surveillance for chronic liver disease. J. Gastroenterol. Hepatol. 2016, 31, 69–80. [Google Scholar] [CrossRef] [PubMed]
- Bouyer, T.; Roux, M.; Jacquemin, S.; Dioguardi Burgio, M.; Sutter, O.; Laurent-Croisé, V.; Lonjon, J.; Bricault, I.; Trillaud, H.; Rode, A.; et al. Detection of arterial phase hyperenhancement of small hepatocellular carcinoma with MRI: Comparison between single arterial and multi-arterial phases and between extracellular and hepatospecific contrast agents. Diagn. Interv. Imaging 2023, 104, 477–484. [Google Scholar] [CrossRef]
- Jeon, Y.; Kwon, S.M.; Rhee, H.; Yoo, J.E.; Chung, T.; Woo, H.G.; Park, Y.N. Molecular and radiopathologic spectrum between HCC and intrahepatic cholangiocarcinoma. Hepatology 2023, 77, 92–108. [Google Scholar] [CrossRef] [PubMed]
- Leoni, S.; Sansone, V.; Lorenzo, S.; Ielasi, L.; Tovoli, F.; Renzulli, M.; Golfieri, R.; Spinelli, D.; Piscaglia, F. Treatment of Combined Hepatocellular and Cholangiocarcinoma. Cancers 2020, 12, 794. [Google Scholar] [CrossRef] [PubMed]





Disclaimer/Publisher’s Note: The statements, opinions and data contained in all publications are solely those of the individual author(s) and contributor(s) and not of MDPI and/or the editor(s). MDPI and/or the editor(s) disclaim responsibility for any injury to people or property resulting from any ideas, methods, instructions or products referred to in the content. |
© 2025 by the authors. Licensee MDPI, Basel, Switzerland. This article is an open access article distributed under the terms and conditions of the Creative Commons Attribution (CC BY) license (https://creativecommons.org/licenses/by/4.0/).
Share and Cite
Renzulli, M.; Giampalma, E. Hepatocellular Carcinoma: Imaging Advances in 2024 with a Focus on Magnetic Resonance Imaging. Curr. Oncol. 2025, 32, 40. https://doi.org/10.3390/curroncol32010040
Renzulli M, Giampalma E. Hepatocellular Carcinoma: Imaging Advances in 2024 with a Focus on Magnetic Resonance Imaging. Current Oncology. 2025; 32(1):40. https://doi.org/10.3390/curroncol32010040
Chicago/Turabian StyleRenzulli, Matteo, and Emanuela Giampalma. 2025. "Hepatocellular Carcinoma: Imaging Advances in 2024 with a Focus on Magnetic Resonance Imaging" Current Oncology 32, no. 1: 40. https://doi.org/10.3390/curroncol32010040
APA StyleRenzulli, M., & Giampalma, E. (2025). Hepatocellular Carcinoma: Imaging Advances in 2024 with a Focus on Magnetic Resonance Imaging. Current Oncology, 32(1), 40. https://doi.org/10.3390/curroncol32010040

