Case Report of Concomitant Diagnosis of Locally Advanced Intrahepatic Cholangiocarcinoma and Solitary Plasmacytoma of T11 Vertebra: Impact on Diagnostic and Clinical Management
Abstract
1. Introduction
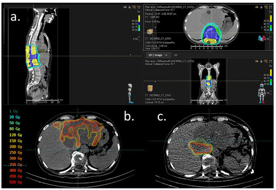
2. Case Presentation
3. Discussion
4. Conclusions
Author Contributions
Funding
Institutional Review Board Statement
Informed Consent Statement
Data Availability Statement
Conflicts of Interest
References
- Masson, I.; Supiot, S.; Doutriaux-Dumoulin, I.; Thillays, F. Report of a Unique Case of Gemcitabine-Induced Radiation Recall Myelitis Following Spinal Cord Irradiation. BJR Case Rep. 2020, 6, 20190118. [Google Scholar] [CrossRef] [PubMed]
- Sharabi, A.B.; Lim, M.; DeWeese, T.L.; Drake, C.G. Radiation and Checkpoint Blockade Immunotherapy: Radiosensitisation and Potential Mechanisms of Synergy. Lancet Oncol. 2015, 16, e498–e509. [Google Scholar] [CrossRef] [PubMed]
- Topalian, S.L.; Hodi, F.S.; Brahmer, J.R.; Gettinger, S.N.; Smith, D.C.; McDermott, D.F.; Powderly, J.D.; Carvajal, R.D.; Sosman, J.A.; Atkins, M.B.; et al. Safety, Activity, and Immune Correlates of Anti-PD-1 Antibody in Cancer. N. Engl. J. Med. 2012, 366, 2443–2454. [Google Scholar] [CrossRef] [PubMed]
- Brahmer, J.R.; Tykodi, S.S.; Chow, L.Q.M.; Hwu, W.-J.; Topalian, S.L.; Hwu, P.; Drake, C.G.; Camacho, L.H.; Kauh, J.; Odunsi, K.; et al. Safety and Activity of Anti-PD-L1 Antibody in Patients with Advanced Cancer. N. Engl. J. Med. 2012, 366, 2455–2465. [Google Scholar] [CrossRef] [PubMed]
- Ngwa, W.; Irabor, O.C.; Schoenfeld, J.D.; Hesser, J.; Demaria, S.; Formenti, S.C. Using immunotherapy to boost the abscopal effect. Nat. Rev. Cancer 2018, 18, 313–322. [Google Scholar] [CrossRef] [PubMed]
- Gupta, A.; Probst, H.C.; Vuong, V.; Landshammer, A.; Muth, S.; Yagita, H.; Schwendener, R.; Pruschy, M.; Knuth, A.; van den Broek, M. Radiotherapy promotes tumor-specific effector CD8+ T cells via dendritic cell activation. J. Immunol. 2012, 189, 558–566. [Google Scholar] [CrossRef]
- Zhou, M.; Wang, C.; Lu, S.; Xu, Y.; Li, Z.; Jiang, H.; Ma, Y. Tumor-Associated Macrophages in Cholangiocarcinoma: Complex Interplay and Potential Therapeutic Target. EBioMedicine 2021, 67, 103375. [Google Scholar] [CrossRef] [PubMed]
- Craciun, L.; de Wind, R.; Demetter, P.; Lucidi, V.; Bohlok, A.; Michiels, S.; Bouazza, F.; Vouche, M.; Tancredi, I.; Verset, G.; et al. Retrospective Analysis of the Immunogenic Effects of Intra-Arterial Locoregional Therapies in Hepatocellular Carcinoma: A Rationale for Combining Selective Internal Radiation Therapy (SIRT) and Immunotherapy. BMC Cancer 2020, 20, 135. [Google Scholar] [CrossRef] [PubMed]
- Edeline, J.; Touchefeu, Y.; Guiu, B.; Farge, O.; Tougeron, D.; Baumgaertner, I.; Ayav, A.; Campillo-Gimenez, B.; Beuzit, L.; Pracht, M.; et al. Radioembolization Plus Chemotherapy for First-Line Treatment of Locally Advanced Intrahepatic Cholangiocarcinoma: A Phase 2 Clinical Trial. JAMA Oncol. 2020, 6, 51–59. [Google Scholar] [CrossRef]
- Goislard de Monsabert, C.; Touchefeu, Y.; Guiu, B.; Campillo-Gimenez, B.; Farges, O.; Tougeron, D.; Baumgaertner, I.; Ayav, A.; Beuzit, L.; Pracht, M.; et al. Selective Internal Radiation Combined with Chemotherapy Maintains the Quality of Life in Intrahepatic Cholangiocarcinomas. Curr. Oncol. 2021, 28, 4530–4541. [Google Scholar] [CrossRef] [PubMed]
- Edeline, J.; Bridgewater, J.; Campillo-Gimenez, B.; Neveu, E.; Phelip, J.-M.; Neuzillet, C.; Boudjema, K.; Rolland, Y.; Valle, J.W.; Garin, E.; et al. Chemotherapy with or without Selective Internal Radiation Therapy for Intrahepatic Cholangiocarcinoma: Data from Clinical Trials. Hepatology 2024, 79, 96–106. [Google Scholar] [CrossRef] [PubMed]
- Durvalumab Plus Gemcitabine and Cisplatin in Advanced Biliary Tract Cancer|NEJM Evidence. Available online: https://evidence.nejm.org/doi/full/10.1056/EVIDoa2200015 (accessed on 17 May 2024).
- Kelley, R.K.; Ueno, M.; Yoo, C.; Finn, R.S.; Furuse, J.; Ren, Z.; Yau, T.; Klümpen, H.-J.; Chan, S.L.; Ozaka, M.; et al. KEYNOTE-966 Investigators. Pembrolizumab in Combination with Gemcitabine and Cisplatin Compared with Gemcitabine and Cisplatin Alone for Patients with Advanced Biliary Tract Cancer (KEYNOTE-966): A Randomised, Double-Blind, Placebo-Controlled, Phase 3 Trial. Lancet 2023, 401, 1853–1865. [Google Scholar] [CrossRef] [PubMed]
- Ollivier, L.; Debbi, K.; To, N.-H.; Cailleteau, A.; Supiot, S.; Mervoyer, A.; Guimas, V.; Belkacémi, Y. Is Oligometastatic Disease an Applicable and Useful Concept in Haematologic Malignancies? A Narrative Review of Radiation Therapy Standards, Modern Techniques, and Innovations. Cancer Radiother. 2024, 28, 119–130. [Google Scholar] [CrossRef] [PubMed]
- Tsang, R.W.; Campbell, B.A.; Goda, J.S.; Kelsey, C.R.; Kirova, Y.M.; Parikh, R.R.; Ng, A.K.; Ricardi, U.; Suh, C.-O.; Mauch, P.M.; et al. Radiation Therapy for Solitary Plasmacytoma and Multiple Myeloma: Guidelines From the International Lymphoma Radiation Oncology Group. Int. J. Radiat. Oncol. Biol. Phys. 2018, 101, 794–808. [Google Scholar] [CrossRef] [PubMed]
- Caers, J.; Paiva, B.; Zamagni, E.; Leleu, X.; Bladé, J.; Kristinsson, S.Y.; Touzeau, C.; Abildgaard, N.; Terpos, E.; Heusschen, R.; et al. Diagnosis, Treatment, and Response Assessment in Solitary Plasmacytoma: Updated Recommendations from a European Expert Panel. J. Hematol. Oncol. 2018, 11, 10. [Google Scholar] [CrossRef] [PubMed]
- Mheidly, K.; Lamy De La Chapelle, T.; Hunault, M.; Benboubker, L.; Benchalal, M.; Moreau, P.; Baugier de Materre, A.; Decaux, O.; Laribi, K. New Insights in the Treatment of Patients with Solitary Bone Plasmacytoma. Leuk. Lymphoma 2019, 60, 2810–2813. [Google Scholar] [CrossRef] [PubMed]
- Le Calvez, B.; Moreau, P.; Touzeau, C. Immune Checkpoint Inhibitors for the Treatment of Myeloma: Novel Investigational Options. Expert. Opin. Investig. Drugs 2021, 30, 965–973. [Google Scholar] [CrossRef] [PubMed]



Disclaimer/Publisher’s Note: The statements, opinions and data contained in all publications are solely those of the individual author(s) and contributor(s) and not of MDPI and/or the editor(s). MDPI and/or the editor(s) disclaim responsibility for any injury to people or property resulting from any ideas, methods, instructions or products referred to in the content. |
© 2024 by the authors. Licensee MDPI, Basel, Switzerland. This article is an open access article distributed under the terms and conditions of the Creative Commons Attribution (CC BY) license (https://creativecommons.org/licenses/by/4.0/).
Share and Cite
Touchefeu, Y.; Barbaud, M.; Prin-Felix, L.; Samarut, E.; Jamet, B.; Ollivier, L.; Bouda, D. Case Report of Concomitant Diagnosis of Locally Advanced Intrahepatic Cholangiocarcinoma and Solitary Plasmacytoma of T11 Vertebra: Impact on Diagnostic and Clinical Management. Curr. Oncol. 2024, 31, 5164-5170. https://doi.org/10.3390/curroncol31090382
Touchefeu Y, Barbaud M, Prin-Felix L, Samarut E, Jamet B, Ollivier L, Bouda D. Case Report of Concomitant Diagnosis of Locally Advanced Intrahepatic Cholangiocarcinoma and Solitary Plasmacytoma of T11 Vertebra: Impact on Diagnostic and Clinical Management. Current Oncology. 2024; 31(9):5164-5170. https://doi.org/10.3390/curroncol31090382
Chicago/Turabian StyleTouchefeu, Yann, Matthieu Barbaud, Laura Prin-Felix, Edouard Samarut, Bastien Jamet, Luc Ollivier, and Damien Bouda. 2024. "Case Report of Concomitant Diagnosis of Locally Advanced Intrahepatic Cholangiocarcinoma and Solitary Plasmacytoma of T11 Vertebra: Impact on Diagnostic and Clinical Management" Current Oncology 31, no. 9: 5164-5170. https://doi.org/10.3390/curroncol31090382
APA StyleTouchefeu, Y., Barbaud, M., Prin-Felix, L., Samarut, E., Jamet, B., Ollivier, L., & Bouda, D. (2024). Case Report of Concomitant Diagnosis of Locally Advanced Intrahepatic Cholangiocarcinoma and Solitary Plasmacytoma of T11 Vertebra: Impact on Diagnostic and Clinical Management. Current Oncology, 31(9), 5164-5170. https://doi.org/10.3390/curroncol31090382

