Metabolic Complete Response of Metastatic Oncogene-Negative, PDL1-Negative Non-Small Cell Lung Cancer After Chemo-Immunotherapy and Radiotherapy: A Case Report
Abstract
1. Introduction
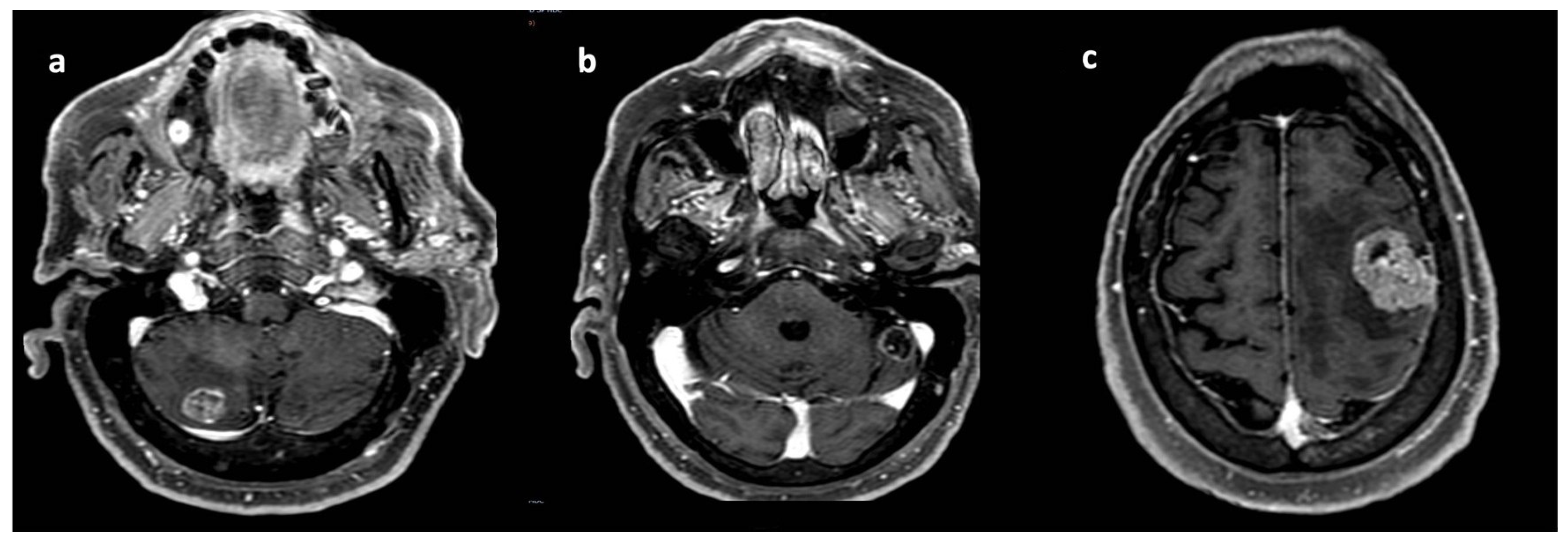
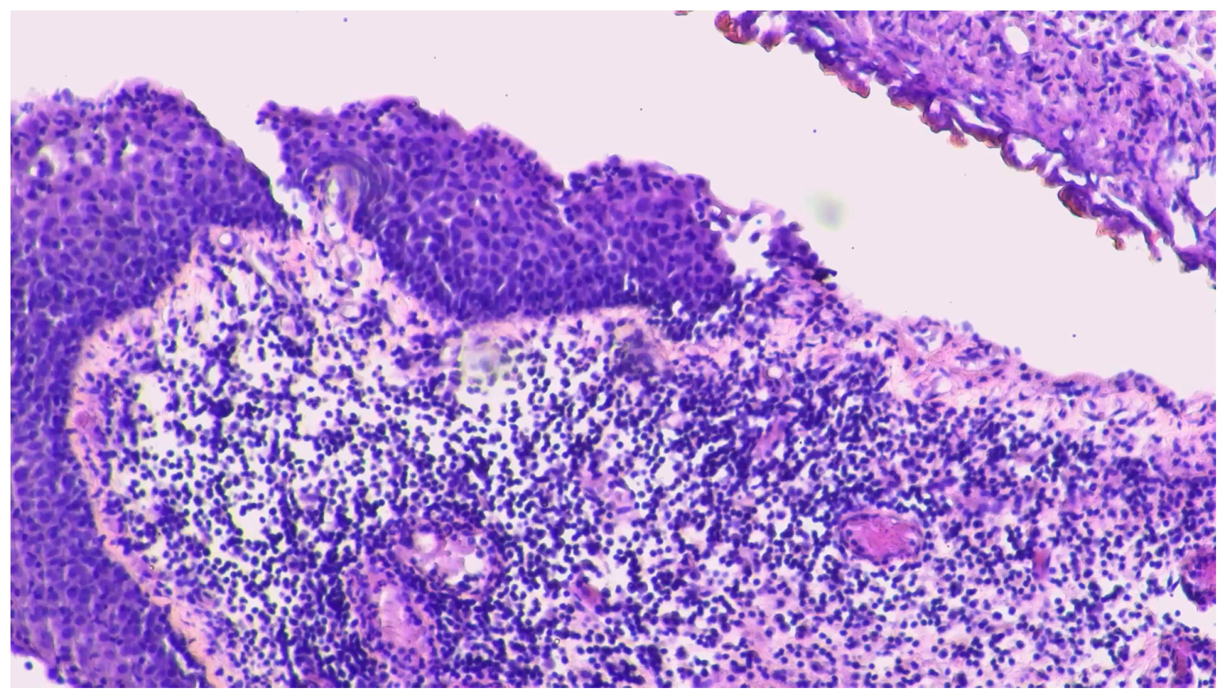
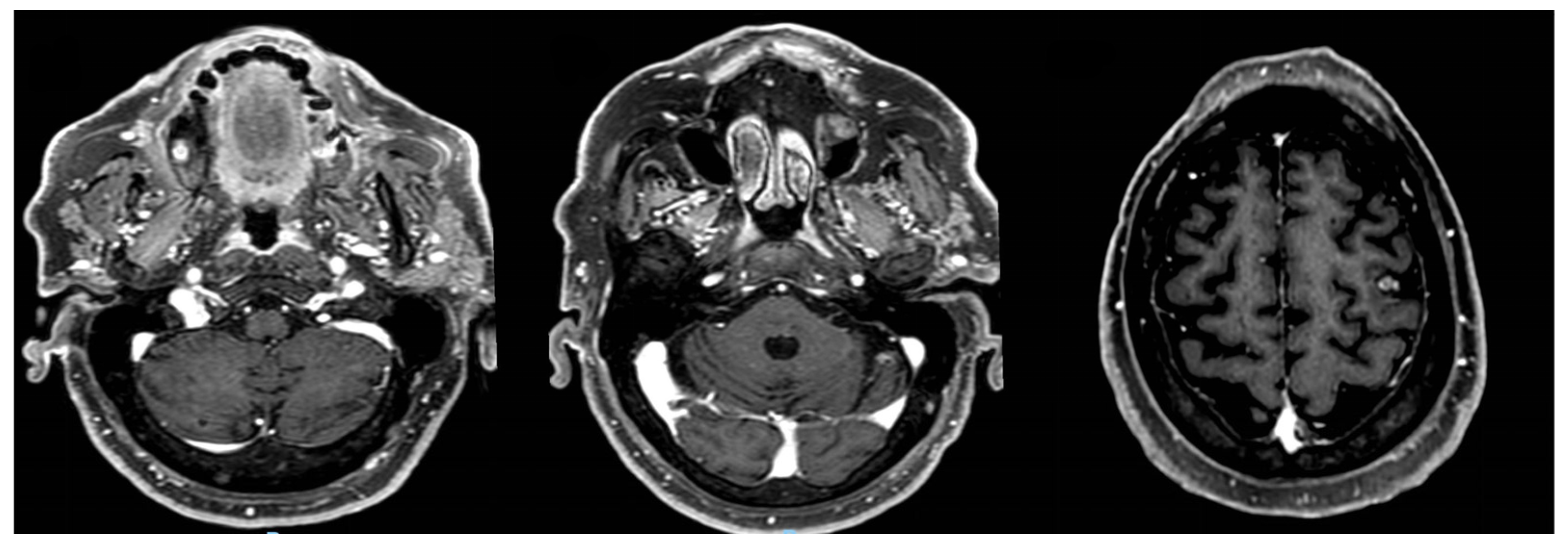
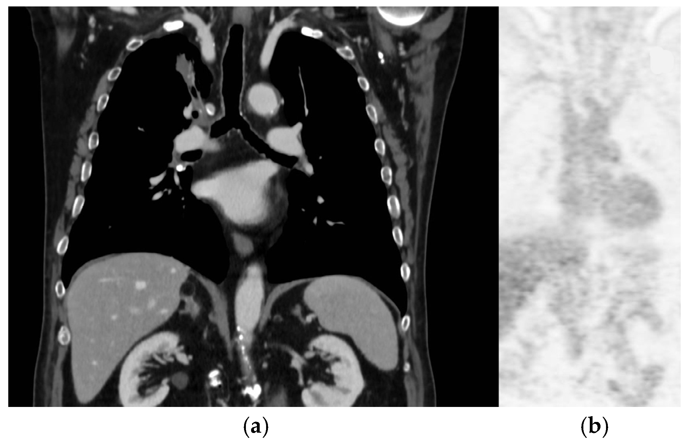
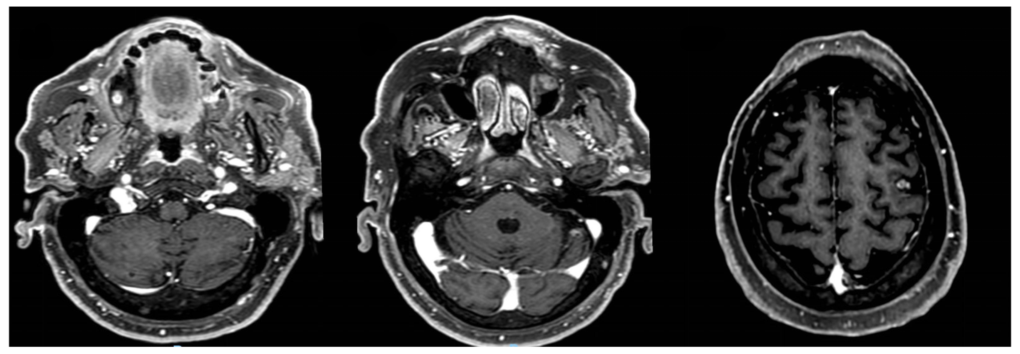
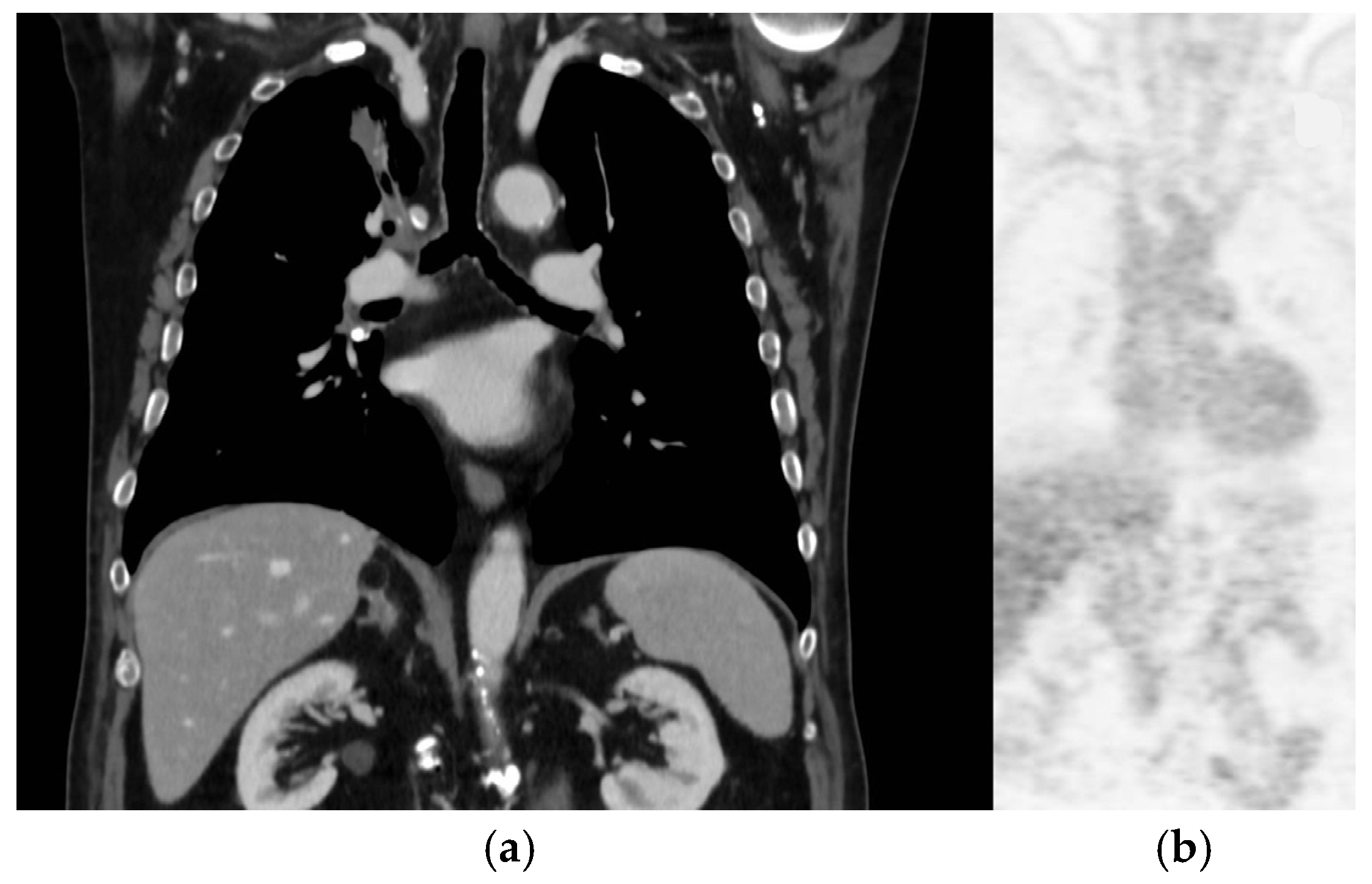
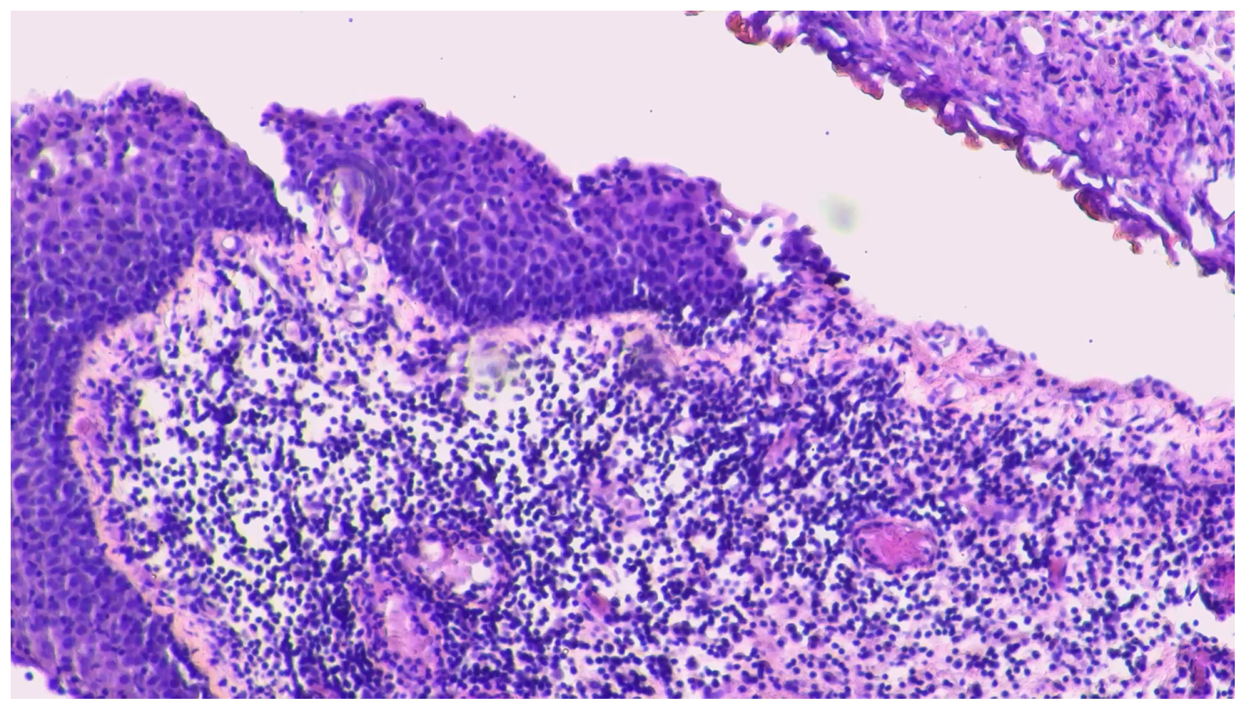
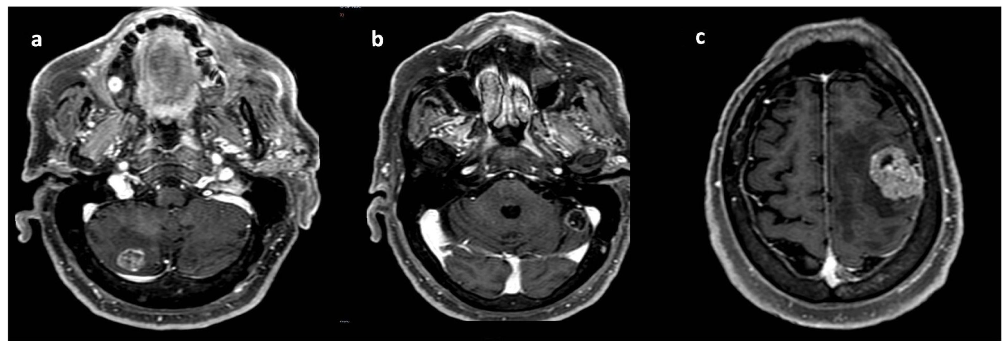
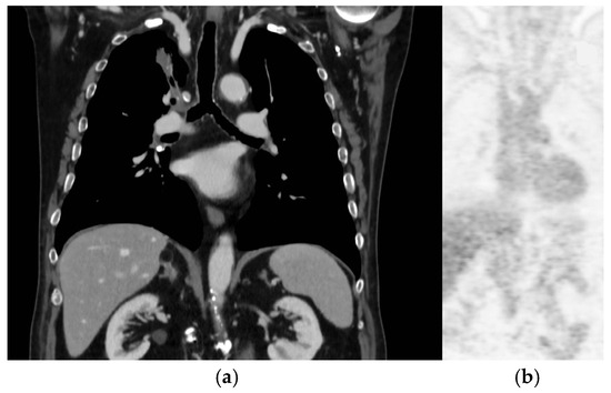
2. Case Report
3. Discussion
3.1. The Role of RT in Oligometastatic NSCLC
3.2. The Role of Hypo-RT or Ablative RT in Anti-Tumor Immunity
3.3. The Volume Reduction in RT Increases the Immunity Response
3.4. The Timing of ICI/RT
3.5. The Role of ICI Acute Toxicity
4. Final Considerations
5. Conclusions
Author Contributions
Funding
Institutional Review Board Statement
Informed Consent Statement
Data Availability Statement
Conflicts of Interest
References
- Siegel, R.; Miller, K.D.; Jemal, A. Cancer statistics, 2018. CA Cancer J. Clin. 2018, 68, 7–30. [Google Scholar] [CrossRef] [PubMed]
- Hendriks, L.E.; Kerr, K.M.; Menis, J.; Mok, T.S.; Nestle, U.; Passaro, A.; Peters, S.; Planchard, D.; Smit, E.F.; Solomon, B.J.; et al. Non-oncogene-addicted metastatic non-small-cell lung cancer: ESMO clinical practice guideline for diagnosis, treatment and follow-up. Ann. Oncol. 2023, 34, 358–376. [Google Scholar] [CrossRef] [PubMed]
- Gebremicael, T.G.; Mohamed, Y.A.; van der Zaag, P.; Berhe, A.G.; Haile, G.G.; Hagos, E.Y.; Hagos, M.K. Is there an oligometastatic state in non-small cell lung cancer? A systematic review of the literature. Lung Cancer 2013, 82, 197–203. [Google Scholar]
- Ashworth, A.B.; Senan, S.; Palma, D.A.; Riquet, M.; Ahn, Y.C.; Ricardi, U.; Congedo, M.T.; Gomez, D.R.; Wright, G.M.; Melloni, G.; et al. An individual patient data metanalysis of outcomes and prognostic factors after treatment of oligometastatic non-small-cell lung cancer. Clin. Lung Cancer 2014, 15, 346–355. [Google Scholar] [CrossRef]
- Isbell, J.M.; Li, B.T.; Gomez, D.R. The emerging role of local therapy in oligometastatic non–small cell lung cancer. J. Thorac. Cardiovasc. Surg. 2022, 163, 819–825. [Google Scholar] [CrossRef]
- Mazzola, R.; Corradini, S.; Gregucci, F.; Figlia, V.; Fiorentino, A.; Alongi, F. Role of Radiosurgery/Stereotactic Radiotherapy in Oligometastatic Disease: Brain Oligometastases. Front. Oncol. 2019, 9, 206. [Google Scholar] [CrossRef]
- Alongi, F.; Fiorentino, A.; Gregucci, F.; Corradini, S.; Giaj-Levra, N.; Romano, L.; Rigo, M.; Ricchetti, F.; Beltramello, A.; Lunardi, G.; et al. First experience clinical results using a new non-coplanar mono-isocenter technique (HyperArcTM) for Linac-based VMAT radiosurgery in brain metastases. J. Cancer Res. Clin. Oncol. 2019, 145, 193–200. [Google Scholar] [CrossRef]
- Gregucci, F.; Bonaparte, I.; Surgo, A.; Caliandro, M.; Carbonara, R.; Ciliberti, M.P.; Aga, A.; Berloco, F.; De Masi, M.; De Pascali, C.; et al. Brain Linac-based Radiation Therapy: “Test Drive” of New Immobilization Solution and Surface Guided Radiation Therapy. J. Pers. Med. 2021, 11, 1351. [Google Scholar] [CrossRef]
- Paz-Ares, L.; Ciuleanu, T.E.; Cobo, M.; Schenker, M.; Zurawski, B.; Menezes, J.; Richardet, E.; Bennouna, J.; Felip, E.; Juan-Vidal, O.; et al. First-line nivolumab plus ipilimumab combined with two cycles of chemotherapy in patients with non-small-cell lung cancer (CheckMate 9LA): An international, randomized, open-label, phase 3 trial. Lancet Oncol. 2021, 22, 198–211. [Google Scholar] [CrossRef] [PubMed]
- Gamez Casado, S.; Benitez Fuentes, J.D.; Álvarez Rodríguez, B.; García Ledo, G. Achieving complete metabolic response in stage IV lung adenocarcinoma with chemotherapy, nivolumab, ipilimumab, and salvage SBRT: A case report. Respirol. Case Rep. 2024, 12, e01362. [Google Scholar] [CrossRef]
- De Intinis, C.; Izzo, P.; Codacci-Pisanelli, M.; Izzo, L.; Messineo, D.; Sibio, S.; Campagnol, M.; Lai, S.; Molle, M.; Izzo, S. A Rare Case of Complete-Immunotherapy-Responsive Metastatic Non-Small Cell Lung Cancer with Long Lasting Progression-Free Survival: A Case Report. Curr. Oncol. 2024, 31, 723–732. [Google Scholar] [CrossRef] [PubMed]
- Ali, A.; Goffin, J.R.; Arnold, A.; Ellis, P.M. Survival of patients with non-small-cell lung cancer after a diagnosis of brain metastases. Curr. Oncol. 2013, 20, e300–e306. [Google Scholar] [CrossRef]
- Palma, D.A.; Olson, R.; Harrow, S.; Gaede, S.; Louie, A.V.; Haasbeek, C.; Mulroy, L.; Lock, M.; Rodrigues, G.B.; Yaremko, B.P.; et al. Stereotactic ablative radiotherapy for the comprehensive treatment of oligometastatic cancers: Long-term results of the SABR-COMET phase II randomized trial. J. Clin. Oncol. 2020, 38, 2830–2838. [Google Scholar] [CrossRef] [PubMed]
- Gregucci, F.; Beal, K.; Knisely, J.P.S.; Pagnini, P.; Fiorentino, A.; Bonzano, E.; Vanpouille-Box, C.I.; Cisse, B.; Pannullo, S.C.; Stieg, P.E.; et al. Biological Insights and Radiation–Immuno–Oncology Developments in Primary and Secondary Brain Tumors. Cancers 2024, 16, 2047. [Google Scholar] [CrossRef] [PubMed]
- Goldberg, S.B.; Schalper, K.A.; Gettinger, S.N.; Mahajan, A.; Herbst, R.S.; Chiang, A.C.; Lilenbaum, R.; Wilson, F.H.; Omay, S.B.; Yu, J.B.; et al. Pembrolizumab for management of patients with NSCLC and brain metastases: Long-term results and biomarker analysis from a non-randomised, open-label, phase 2 trial. Lancet Oncol. 2020, 21, 655–663. [Google Scholar] [CrossRef]
- Wu, W.; Guo, J.; He, L.; Deng, Q.; Huang, X. Case report: Long-term intracranial effect of zimberelimab monotherapy following surgical resection of high PD-L1-expressing brain metastases from NSCLC. Front. Oncol. 2024, 14, 1390343. [Google Scholar] [CrossRef]
- Wang, Y. Advances in Hypofractionated Irradiation-Induced Immunosuppression of Tumor Microenvironment. Front. Immunol. 2021, 11, 612072. [Google Scholar] [CrossRef] [PubMed]
- Liu, Z.; Yu, Z.; Chen, D.; Verma, V.; Yuan, C.; Wang, M.; Wang, F.; Fan, Q.; Wang, X.; Li, Y.; et al. Pivotal roles of tumor-draining lymph nodes in the abscopal effects from combined immunotherapy and radiotherapy. Cancer Commun. 2022, 42, 971–986. [Google Scholar] [CrossRef] [PubMed]
- Marciscano, A.E.; Ghasemzadeh, A.; Nirschl, T.R.; Theodros, D.; Kochel, C.M.; Francica, B.J.; Muroyama, Y.; Anders, R.A.; Sharabi, A.B.; Velarde, E.; et al. Elective Nodal Irradiation Attenuates the Combinatorial Efficacy of Stereotactic Radiation Therapy and Immunotherapy. Clin. Cancer Res. 2018, 24, 5058–5071. [Google Scholar] [CrossRef] [PubMed]
- Lehrer, E.J.; Peterson, J.; Brown, P.D.; Sheehan, J.P.; Quiñones-Hinojosa, A.; Zaorsky, N.G.; Trifiletti, D.M. Treatment of brain metastases with stereotactic radiosurgery and immune checkpoint inhibitors: An international meta-analysis of individual patient data. Radiother. Oncol. 2019, 130, 104–112. [Google Scholar] [CrossRef]
- Squicciarini, T.; Villani, R.; Apollonio, B.; Fucci, L.; Zambetti, M.; Rossini, M.; Pinto, R.; Tommasi, S.; De Roma, I.; Strippoli, S.; et al. Case report: Is severe toxicity the price to pay for high sensitivity to checkpoint inhibitors immunotherapy in desmoplastic melanoma? Front. Immunol. 2024, 15, 1369531. [Google Scholar] [CrossRef] [PubMed] [PubMed Central]
- Kichenadasse, G.; Miners, J.O.; Mangoni, A.A.; Rowland, A.; Hopkins, A.M.; Sorich, M.J. Multiorgan Immune-Related Adverse Events During Treatment with Atezolizumab. J. Natl. Compr. Cancer Netw. 2020, 18, 1191–1199. [Google Scholar] [CrossRef] [PubMed]






Disclaimer/Publisher’s Note: The statements, opinions and data contained in all publications are solely those of the individual author(s) and contributor(s) and not of MDPI and/or the editor(s). MDPI and/or the editor(s) disclaim responsibility for any injury to people or property resulting from any ideas, methods, instructions or products referred to in the content. |
© 2024 by the authors. Licensee MDPI, Basel, Switzerland. This article is an open access article distributed under the terms and conditions of the Creative Commons Attribution (CC BY) license (https://creativecommons.org/licenses/by/4.0/).
Share and Cite
Surgo, A.; Davì, V.; Ciliberti, M.P.; Carbonara, R.; Caliandro, M.; Di Guglielmo, F.C.; Sasso, N.; Calbi, R.; Gentile, M.A.; Talienti, T.; et al. Metabolic Complete Response of Metastatic Oncogene-Negative, PDL1-Negative Non-Small Cell Lung Cancer After Chemo-Immunotherapy and Radiotherapy: A Case Report. Curr. Oncol. 2024, 31, 8118-8126. https://doi.org/10.3390/curroncol31120598
Surgo A, Davì V, Ciliberti MP, Carbonara R, Caliandro M, Di Guglielmo FC, Sasso N, Calbi R, Gentile MA, Talienti T, et al. Metabolic Complete Response of Metastatic Oncogene-Negative, PDL1-Negative Non-Small Cell Lung Cancer After Chemo-Immunotherapy and Radiotherapy: A Case Report. Current Oncology. 2024; 31(12):8118-8126. https://doi.org/10.3390/curroncol31120598
Chicago/Turabian StyleSurgo, Alessia, Valerio Davì, Maria Paola Ciliberti, Roberta Carbonara, Morena Caliandro, Fiorella Cristina Di Guglielmo, Nicola Sasso, Roberto Calbi, Maria Annunziata Gentile, Tiziana Talienti, and et al. 2024. "Metabolic Complete Response of Metastatic Oncogene-Negative, PDL1-Negative Non-Small Cell Lung Cancer After Chemo-Immunotherapy and Radiotherapy: A Case Report" Current Oncology 31, no. 12: 8118-8126. https://doi.org/10.3390/curroncol31120598
APA StyleSurgo, A., Davì, V., Ciliberti, M. P., Carbonara, R., Caliandro, M., Di Guglielmo, F. C., Sasso, N., Calbi, R., Gentile, M. A., Talienti, T., Bruno, I., Troia, M., Bonaparte, I., Ludovico, G. M., Surico, G., & Fiorentino, A. (2024). Metabolic Complete Response of Metastatic Oncogene-Negative, PDL1-Negative Non-Small Cell Lung Cancer After Chemo-Immunotherapy and Radiotherapy: A Case Report. Current Oncology, 31(12), 8118-8126. https://doi.org/10.3390/curroncol31120598

