How Arterial Embolization Is Transforming Treatment of Oncologic and Degenerative Musculoskeletal Disease
Abstract
1. Introduction
2. Oncologic Embolization
2.1. Bone Metastases
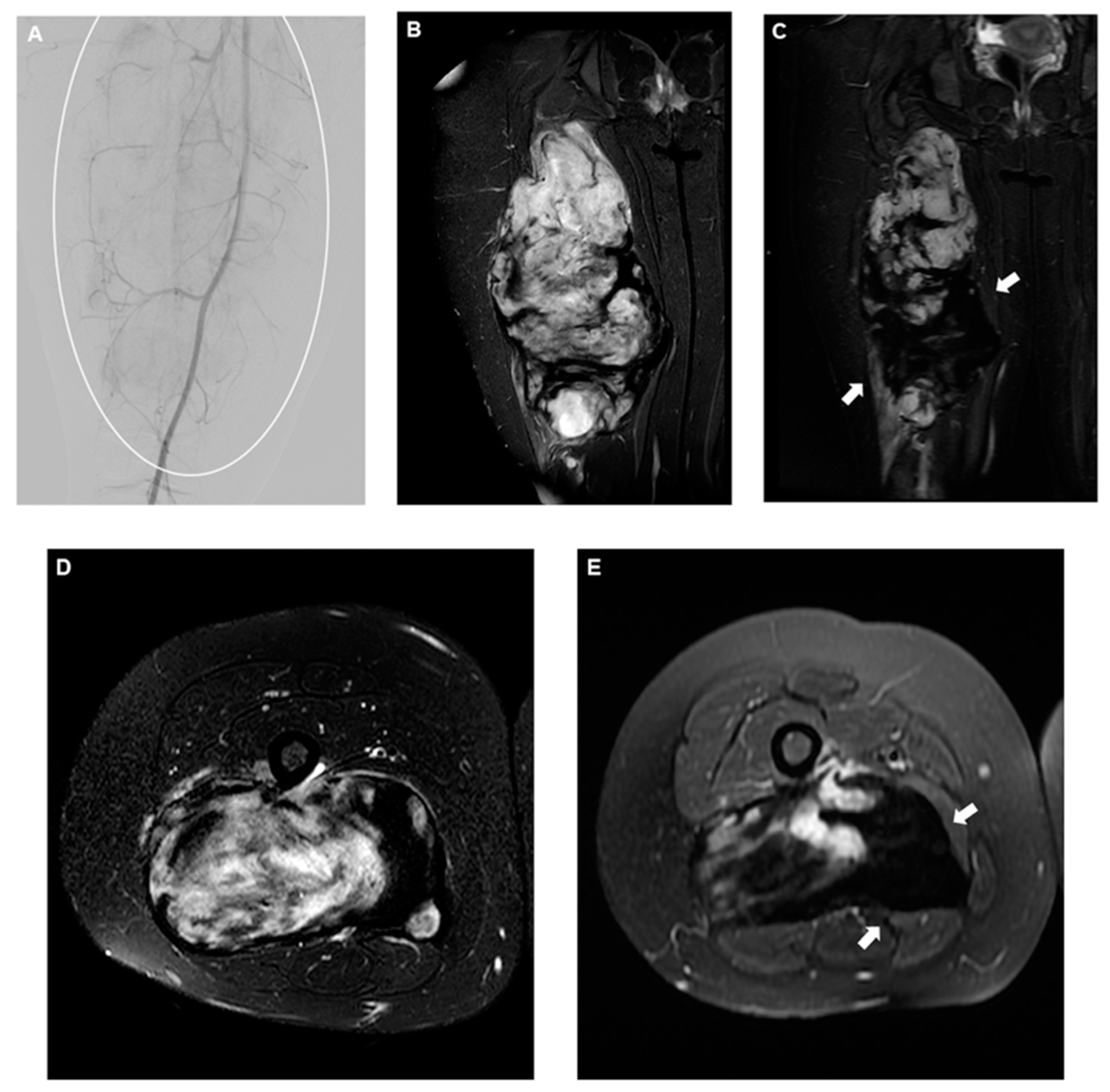
2.2. Preoperative Embolization
2.3. Palliative Embolization
2.4. Combination Therapies
2.5. Challenging Locations
2.5.1. Hemangioma
2.5.2. Aneurysmal Bone Cysts
2.6. Treatment Through Embolization
2.7. Combination Therapy
2.8. Preoperative Embolization
2.8.1. Giant Cell Tumors
2.8.2. Osteosarcoma, Ewing’s Sarcoma, and Chondrosarcoma
2.8.3. Desmoid Fibromatosis
2.8.4. Degenerative
2.9. Knee Osteoarthritis
| N | First Author, Year | Reference N | Study Design | N of Patients | Mean Age | KL Score | Previous Treatments | Median Follow-Up in Months | Embolic Material Used | Complications | Results |
|---|---|---|---|---|---|---|---|---|---|---|---|
| 1 | Okuno, 2015 | [7] | Prospective | 14 | 65.2 | 0, 1, 2 | 3 months of conservative therapies (anti-inflammatory drugs, PT, muscle strengthening, and intra-articular injection of hyaluronic acid) | 12 | IPM/CS, 75 um calibrated Embozene microspheres | 1 moderate subcutaneous hemorrhage | The mean WOMAC pain score of all treated patients significantly decreased from 12.2 to 3.3 at 1 month after the procedure, with further improvement at 4 months (1.7), and the mean WOMAC total score decreased from 47.3 to 11.6 at 1 month, and to 6.3 at 4 months. These improvements were maintained in most cases at the final follow-up. The mean overall VAS scores before treatment significantly decreased at 1 week and at 1 and 4 months thereafter (70 vs. 29, 21,and 13). The dose of medication and the frequency of injection therapy decreased after procedure. |
| 2 | Okuno, 2017 | [122] | Prospective | 72 | 64.4 | 1, 2, 3 | 3 months of conservative therapies (NSAIDs, oral opioids, PT, stretching, muscle strengthening, or intra-articular injection of hyaluronic acid) | 24? NA | IPM/CS, 75 um calibrated Embozene microspheres | 12 moderate subcutaneous hemorrhage, 4 transient cutaneous skin changes | Mean WOMAC scores significantly decreased from baseline to 1, 4, 6, 12, and 24 months after treatment (12.1 vs. 6.2, 4.4, 3.7, 3.0, and 2.6; all p < 0.001). The cumulative clinical success rates at 6 months and 3 years after embolization were 86.3% and 79.8%, respectively. WORMS scores at 2 years after embolization in 35 knees showed significant improvement of synovitis vs. baseline. |
| 3 | Lee, 2019 | [135] | Retrospective | 41 | 66.2 | 1, 2, 3, 4 | 3 months of conservative treatments (PT, muscle strengthening, NSAIDs, intra-articular hyaluronic acid injection therapy) | 10 | IPM/CS | 5 subcutaneous haematomas at the puncture sites, 4 skin redness, 1 mild fever | Transcatheter arterial embolization effectively relieved pain in patients with mild to moderate osteoarthritis. In patients with severe osteoarthritis, pain severity decreased for 1 month but gradually increased to the initial severity score within 3 months. |
| 4 | Little, 2021 | [136] | Prospective (interim analysis) | 38 | 60 | 1, 2, 3 | 6 months of conservative treatments | 8 | 100–300 μm permanent micro-spheres | 4 skin discoloration, 1 hematoma | Mean VAS at baseline was 60, reducing to 32 at 6 weeks, 36 at 3 months, and 45 at 12 months. KOOS subscales showed a statistically significant improvement from baseline to 6 weeks, 3 months, and 1 year in all outcome measures except function in daily living, which revealed borderline significance at 12 months. |
| 5 | Landers, 2020 | [137] | Prospective | 10 | 62.2 | 1, 2 | 6 months of failed conservative treatment | 21.6 | Polyvinyl embolic material, IPM/CS | 1 hematoma | Six patients (60%) demonstrated a response to treatment at the 12-month assessment. Seven patients (70%) were responders at 1 month and 6 months, and 3 patients (30%) were responders at 24 months. Of the 3 responders at 24 months, 2 had received repeat embolization after the 12-month assessment. |
| 6 | Bagla, 2020 | [138] | Prospective | 20 | 59.4 | 1, 2, 3 | 3 months of conservative therapy (pain medication or intra-articular injections) | 6 | 75 μm Embozene, 100-μm particles | 13 skin discoloration, 2 plantar paresthesia | Embolization of at least one genicular artery was achieved in 20/20 (100%) patients. Mean VAS improved from 76 mm ± 14 at baseline to 29 mm ± 27 at 6-month follow-up (p < 0.01). Mean WOMAC score improved from 61 ± 12 at baseline to 29 ± 27 at 6-month follow-up (p < 0.01). |
| 7 | Padia, 2021 | [123] | Prospective | 40 | 69 | 2, 3, 4 | 3 months of conservative treatment (NSAIDs, PT, and joint injection) | 12 | 100 μm Embozene particles | 1 groin hematoma, 7 focal skin necrosis resolved with ice packing, transient skin discoloration, 3 bone infarction | Twenty-seven (68%) of the 40 subjects achieved clinical success from GAE, defined as a reduction of at least 50% in the WOMAC total score from baseline to 12 months. Furthermore, 17 (43%) of the 40 subjects had a reduction of >75% in the WOMAC score at 12 months. Twenty-seven (68%) of the forty subjects reported a reduction in pain on the VAS of >50% from baseline to 12 months. |
| 8 | van Zadelhoff, 2021 | [139] | Retrospective | 54 | 69.4 | 1, 2, 3, 4 | 3 months of conservative therapy | 6 | IPM/CS | NA | Six months after GAE, the median WOMAC pain reduction was 8 points, and the mean WOMAC total reduction was 24.2. Of all analyzed features, the cartilage full-thickness score showed the strongest association with a reduction of both the WOMAC pain and the WOMAC total score. |
| 9 | Bagla, 2022 | [124] | RCT | 21 | 62.9 | 1, 2, 3 | 3 months of conservative therapies (medication, PT, or intra-articular injections) | 12 | 100–300 μm OptiSphere absorbable particles | Knee pain, purpura, nausea/vomiting, hematoma, skin changes, skin ischemia, pruritus, ecchymosis, bleeding at access site, 3 patients drop out due to increased pain | All subjects in the sham group failed to show significant improvements at 1 month and crossed over to the treatment arm. There was a statistically significantly greater pain reduction in the treatment group than in the sham group at 1 month (VAS, 50.1 mm; standard error [SE], 10.6; 95% confidence interval [CI], 29.0, 72.3; p < 0.01). Disability improvement was also significantly greater in the treatment group (WOMAC, 24.7 points; SE, 10.4; 95% CI, 3.5, 45.9; p = 0.02). |
| 10 | Bhatia, 2023 | [125] | Retrospective comparative | 21 | 73.14 | 2, 3, 4 | 6 months of conservative management (PT, NSAIDs, or intra-articular injection of hyaluronic acid or steroids) | 26.1 | 100–300 μm trisacryl gelatin microspheres, IPM/CS | ES group: 3 transient cutaneous color change, 1 transient leg numbness, NO AE in IMP/CS group | There were no significant differences in clinical outcome measures at the 3-month or 24-month follow-up. Both embolic materials resulted in a decrease in WOMAC pain and WOMAC total scores at 3 months (p < 0.05), and the effect of treatment on WOMAC pain and WOMAC total score reduction was sustained until the 24-month follow-up (p < 0.05). |
| 11 | Taslakian, 2023 | [126] | Prospective (interim analysis) | 27 | 67.1 | 2, 3, 4 | 3 months of conservative therapy | 6 | 250-μm Embozene microspheres | 1 hematoma | The mean WOMAC pain score decreased from 8.6 ± 2.7 at baseline to 4.9 ± 2.7 (p = 0.001), 4.4 ± 2.8 (p < 0.001), and 4.7 ± 2.7 (p = 0.094) at 1, 3, and 12 months, respectively. There was a statistically significant decrease in nerve growth factor (NGF) levels at 12 months. |
| 12 | Wang, 2023 | [127] | Prospective | 22 | 63.5 | 1, 2, 3 | >3 months of conservative treatment (anti-inflammatory drugs, PT, muscle strengthening, or intra-articular injections) | 5.7 | IPM/CS | 4 moderate subcutaneous hemorrhage at the puncture site, 3 transient cutaneous color change | GAE significantly decreased the VAS scores at 3 and 6 months after embolization in patients without BML (both p = 0.04) and those with BML (both p = 0.01). GAE also lowered the WOMAC scores 3 months after embolization in patients without and with BML (p = 0.02 and p = 0.0002, respectively). However, GAE did not significantly alter the BML area and volume (both p = 0.25), VAS scores (p = 1.00), and WOMAC scores (p = 0.08) in patients with BML and SIFK at 3 months after GAE. |
| 13 | Landers, 2023 | [128] | RCT | 59 | 60.1 | 2 | 6 months of conservative treatment | 12 | IPM/CS | 5 bruising near incision site | Median KOOS scores at 12 months for the complete embolization group (n = 17) were significantly better than the control group (n = 29) for KOOS Sports and Recreation scale and KOOS Quality of Life scale. For Global Change at 12 months, participants who received complete embolization were better compared to participants in the control group. |
| 14 | Min, 2023 | [129] | Retrospective | 71 | 64 | NA | >6 months of conservative treatment | 6 | 100–300 μm QS-GSPs | 49 temporary skin color changes,10 hematoma, 1 mild allergic reaction to iodinated contrast | The mean VAS scores at baseline, immediately after TAE, and at 1 day, 1 week, 1 month, 3 months, and 6 months after TAE were 6.3, 4.0, 5.0,3.0, 2.9, 2.9 and 2.8 respectively. Clinical success was 72.2% at 6 months follow-up. |
| 15 | Gill, 2023 | [130] | Prospective | 33 | 62.5 | 2, 3, 4 | 3 months of conventional therapies (exercise, analgesia, anti-inflammatories, orthotics, and weight loss) | 6 | IPM/CS | 1 cannulation site bruising, 1 skin erythema | Higher proportion of participants (n = 9, 81.8%) with mild OA fulfilled responder criteria after treatment compared with people with moderate to severe OA (n = 8, 36.4%) (p = 0.014). Secondary outcomes for pain, quality of life, and global change were also better in the mild OA group (p < 0.05). |
| 16 | Dablan, 2024 | [140] | Retrospective | 68 | 59.1 | 1, 2, 3, 4 | Conservative treatments | 3 | IPM/CS | 6 transient skin discoloration | Synovial contrast enhancement scores significantly decreased from 5.1 (SD ± 2.0) to 2.9 (SD ± 2.0) at 3 months (p < 0.001), with a moderate negative correlation between synovial enhancement scores and pain levels (p = 0.005). |
| 17 | Guzelbey, 2024 | [131] | Retrospective comparative | 79 | 65 | 1, 2, 3, 4 | Conservative treatments (PT, NSAIDs, intra-articular steroid or hyaluronic acid injection) | 6 | IPM/CS | 5 small hematomas, 23 transient skin discoloration | The technical success rate in the macrocatheter group was determined to be 91%, while it was 100% in the microcatheter group; however, no statistically significant difference was detected between the two groups. |
| 18 | Hindsø, 2024 | [132] | Prospective | 20 | 56 | 1, 2, 3 | 3 months of PT | 6 | 100–300 μm Embosphere® Microspheres | 4 transient skin changes and 2 hematoma | The primary endpoint, VAS at six months, showed significant improvement (median reduction from 66 mm to 40 mm, p = 0.0004). All pain and function scores, as well asphysical performance tests, improved significantly. No clinically relevant changes in medication use or DEXA parameters were observed after six months. |
| 19 | Kılıc ̧kesmez, 2024 | [133] | Retrospective | 60 | 64 | 1, 2, 3, 4 | 3 months of conservative treatments | 6 | IPM/CS | Entry site hematoma, skin discoloration, transient paresthesia, vasospasm, dissection, and fever. | No significant differences in VAS, WOMAC pain, and WOMAC total scores were identified between TPA and TFA groups at 1, 3, and 6 months post-procedure. |
| 20 | Little, 2024 | [15] | Prospective | 46 | 60 | 1, 2, 3 | 6 months of conservative treatments | 17.3 | 100–300 μm permanent microspheres | 4 skin discoloration, 1 hematoma, 1 popliteal deep vein thrombosis | Mean VAS improved from 58.63 at baselines to 37.7 at 2-years. Whole and subgroup KOOS were significantly improved at each timepoint with associated reductions in analgesia usage. WORMS analysis demonstrated significant reduction in synovitis. |
| 21 | Sapoval, 2024 | [141] | Prospective, multicenter | 22 | 66 | 3, 4 | 3 months of conservative treatments (intra-articular corticosteroid injections, analgesic medication) | 3 | Emulsion 1:3 (v:v) ioversol 300 mgI/mL and ethiodized oil | 1 reversible deterioration in renal function (increase in serum creatinine), 1 edema, 1 erythema | Mean VAS pain score decreased from 74.4 mm at baseline to 37.2 mm at 3 months. WOMAC function score at 3 months decreased to 33.5, representing a mean change from baseline of 23.6. |
| 22 | Sun, 2024 | [134] | Prospective | 33 | 64.5 | 2, 3, 4 | 6 months of conservative treatment (pharmacologic therapy, PT, muscle strengthening, or intra-articular injection) | 12 | Polyvinyl alcohol particles (150–350 μm) | 1 localized skin ulcer, 4 skin ecchymosis, 3 knee stiffness and calf muscle pain, 1 occasional knee clicking | The mean VAS and WOMAC scores in the mild to moderate group significantly decreased (6.6 at baseline vs. 3.0 at 12 months and 49.4 vs. 27.4, respectively, all p < 0.001). The mean VAS and WOMAC scores in the severe group significantly decreased at 12 months (7.3 vs. 4.4 and 58.1 vs. 40.6, respectively, all p < 0.001). |
| 23 | Cusumano, 2024 | [119] | Prospective | 40 | 66 | 2, 3, 4 | 3 months of conservative treatment (NSAIDS/PT/joint injection) | 20.1 | 100 μm Embozene particles | 1 groin hematoma, 7 focal skin ulceration, 2 asymptomatic small bone infarct | A total of 18 of 38 (47.4%) patients demonstrated ≥50% reduction in WOMAC at 24 months. In the subset of patients with initial clinical success at 12 months, 18 of 25 (72.0%) reported sustained clinical success at 24 months. |
2.10. Adhesive Capsulitis
2.11. Other Locations
| N | First Author, Year | Reference N | Study Design | N of Patients | Mean Age | Site | Pathology | Previous Treatments | Follow-Up Months | Embolic Material Used | Complications | Results |
|---|---|---|---|---|---|---|---|---|---|---|---|---|
| 1 | Okuno, 2013 | [157] | Prospective | 7 | 51.7 | Knee, shoulder, foot, ankle, elbow | Tendinopathy | 3 months of conservative therapies (rest, NSAIDs, ice, stretching, strengthening, corticosteroid injections, PT, and iontophoresis) | 4 | IPM/CS | 1 moderate subcutaneous hemorrhage | Compared with before treatment, mean VAS scores were significantly decreased at 1 day, 1 week, and 1 and 4 months after treatment (72.7 mm vs. 17.4 mm, 16.0 mm, 13.7 mm, and 9.7 mm, respectively; all p < 0.001). |
| 2 | Okuno, 2014 | [151] | Prospective | 7 | 50.3 | Shoulder | Adhesive capsulitis | 3 months of conservative treatments | 10 | IMP/CS | 0 | The mean nighttime VAS score significantly improved from before embolization to 1 week, 1 month, 3 months, and 6 months after embolization (67 mm vs. 27, 6 mm, 2 mm, and 2 mm, respectively; all p < 0.001). Overall VAS and ASES scores increased significantly. |
| 3 | Iwamoto, 2017 | [165] | Prospective | 24 | 52.1 | Elbow | Lateral epicondilytis | Conservative therapy: NSAIDs 13, physical therapy 24, steroid injections 22 | 22.1 | IPM/CS or Embosphere 100–300 um | 2 transient radial artery spasm | The mean QuickDASH score before TAE significantly decreased at every follow-up visit (50.8 vs. 23.4, 8.3, 5.3, 2.5, and 2.7; all p < 0.001). The mean maximum pain VAS score before treatment significantly decreased at 1, 3, 6, 12, and 24 months after the first TAE procedure (77 mm vs. 49 mm,31 mm, 16 mm, 9 mm, and 11 mm, respectively; all p< 0.001). |
| 4 | Okuno, 2017 | [112] | Prospective | 25 | 53.8 | Shoulder | Adhesive capsulitis | 3 months of conservative treatment (rest, NSAIDs, corticosteroid injections, PT) | 36.1 | IMP/CS | 5 evoked pain, 2 radial artery spasm, 1 puncture site pain, 1 fever | Mean VAS score decreased at 1 week, 1 month, 3 months, and 6 months. At 12 months, 21 of 24 (88%) patients were completely pain free. That rate increased (22 of 24; 94%) at the final follow-up. |
| 5 | Hwang, 2018 | [158] | Retrospective | 13 | 52.4 | Shoulder and elbow | Tendinopathy | 6 months pain refractory to conservative treatment | 4 | Tris-acryl microspheres 40–120 μm, IPM/CS | 1 forearm cutaneous erythema | A decrease in the VAS score was noted in 12 of 15 cases (80%). The mean VAS scores at baseline, 1 day, 1 week, 1 month, and 4 months after embolization were 6.1, 5.8, 5.1, 4.3, and 2.5, respectively. |
| 6 | Bagla, 2021 | [162] | Prospective | 20 | 50.8 | Shoulder | Adhesive capsulitis | 30 days of conservative therapy (pain medications, PT, injections, etc). | 1 | 75-μm or 200-μm HydroPearl | 7 minor skin discolorations, 2 itchiness | The 1, 3, and 6-month follow-ups demonstrated significant improvements according to the VAS, SANE, and ASES scores. |
| 7 | Fujiwara, 2021 | [166] | Retrospective | 14 | 55.6 | Hip | Synovitis | 3 months of conservative treatment: NSAIDs, opioids, physical therapy, acupuncture, local steroid injection | 20.7 | IPM/CS | 5 strong evoked pain, 1 puncture site pain, 1 mild subcutaneous hemorrhage | Mean BPI maximum pain intensity scores and ODI decreased significantly at 1, 3, and 24 months after TAE compared to those at baseline. |
| 8 | Martinez, 2021 | [159] | Retrospective | 25 | 49 | Shoulder | Adhesive capsulitis | 3 months of PT, NSAIDs, corticosteroid infiltrations | 6 | IPM/CS | 2 groin discomfort | Median pain VAS before TAE was 8. It decreased to 4 at one week, 3 at one month, and 2 at both 3 and 6 months after TAE. At the 6-month follow-up examination, 10 of 25 patients (40%) reported no pain, and only 4 of 25 (16%) reported a pain VAS of more than 7. |
| 9 | Martinez, 2021 | [160] | Prospective | 40 | 50 | Shoulder | Adhesive capsulitis | 3 months of PT, corticosteroids infiltrations | 12 | IPM/CS | 2 groin discomfort and hematoma | Before TAE, no patient referred pain VAS < 6 and 28/40 (70%) patients reported pain ≥ 8. Mean pain VAS after TAE decreased to less than 4 in 26/40 (65%) patients at the 1-week follow-up, less or equal to 3 in 28/40 (70%) at the 1-month follow-up and 2.1 ± 1.8 at the 3-month follow-up. At the 12-month follow-up 33/40 (82.5%) reported a progressive decrease in pain (VAS up to ≤3). |
| 10 | Correa, 2022 | [167] | Prospective | 13 | 62.1 | Hip | Osteoarthritis | 6 months of conservative management or physical therapy | 6 | IPM/CS, 100–300 um microspheres embosphere or bead block microsphere for fistulae-like pattern | 0 | The median WOMAC Index had a statistically significant decrease in the total value from 77 pre-procedure to 27 points after six months (p = 0.001). The pain score had a median decrease of 14 points (19 to 5, p = 0.001). The rigidity score had a reduction of 6 to 2 points (p = 0.002), and the median physical activity score also significantly reduced from 53 to 22 points (p = 0.001). |
| 11 | Lee, 2022 | [168] | Retrospective | 10 | 53.9 | Elbow | Medial epicondilytis | Conservative treatments: NSAIDs all, PT 13, ESWT 13 | 9.8 | IPM/CS 12 procedures, quick-soluble gelatin sponge particles 2 pr | 3 radial puncture site pain | The mean QuickDASH scores at baseline decreased significantly 1 day, 1 week, and 1, 3, and 6 months after TAE (71.9 versus 48.5, 44, 37.7, 30.2, and 8.4, respectively; all p < 0.01). Clinical success 6 months after the procedures was achieved in 12 of 14 cases (85.7%). The mean VAS scores were significantly decreased 1 day, 1 week, and 1 month, 3 months, and 6 months (7.6 at baseline versus corresponding scores of 3.6, 3.6, 3.6, 3, and 0.9 after the treatment; all p < 0.01). |
| 12 | Okuno, 2022 | [163] | Prospective multicenter | 100 | 58.7 | Shoulder | Adhesive capsulitis and rotator cuff tear | 3 months of PT or steroid injection | 5.46 | IMP/CS | 5 evoked pain, 4 pucture site pain, 2 transient radial artery spasm, 1 fever, 1 difficulty in hearing (possibly unrelated) | A total of 80/93 (86%) demonstrated improvement in nighttime pain by 2 or more in the NRS scores. The mean nighttime NRS scores at baseline and 1, 3, and 6 months after TAE were 6.4 ± 2.2, 3.4 ± 2.6, 2.3 ± 2.5, and 1.6 ± 2.2, respectively (for all, p < 0.001). |
| 13 | Lanciego, 2023 | [164] | Prospective | 20 | 50.7 | Shoulder | Adhesive capsulitis | 6 weeks of conventional treatment (PT, analgesics, intra-articular infiltration, or suprascapular nerve block) | 18 | IMP/CS | 1 transient edema | Six months after embolization, significant improvements were observed in nocturnal pain, pain on moving, external and internal rotation, active and passive flexion, active and passive abduction, and overall function. |
| 14 | Okuno, 2023 | [17] | Case series | 10 | 31.3 | Knee, foot, wrist, hamstring, lower back | Sports injuries | Conservative treatments: prolonged rest, ice baths, NSAIDs, corticosteroid and PRO injections, ESWT, PT | NA (12 m?) | IPM/CS, Nexsphere-F | NA/0 | TAE was effective and provided short-term pain relief. There were cases of gradual improvement with repeated treatment. |
| 15 | Shintaku, 2023 | [161] | Retrospective | 15 | 54.9 | Shoulder | Adhesive capsulitis | NA | 2 | IPM/CS | NA | The decrease in FDG uptake showed a significant correlation with the change in the pain scale score and extension score. Patients showed improvement in range of motion. |
3. Discussion
Author Contributions
Funding
Conflicts of Interest
References
- Dotter, C.T.; Judkins, M.P. Transluminal Treatment of Arteriosclerotic Obstruction. Description of a New Technic and a Preliminary Report of Its Application: Description of a New Technic and a Preliminary Report of Its Application. Circulation 1964, 30, 654–670. [Google Scholar] [CrossRef] [PubMed]
- Barlow, B.; Rottenberg, R.W.; Santulli, T.V. Angiographic diagnosis and treatment of bleeding by selective embolization following pelvic fracture in children. J. Pediatr. Surg. 1975, 10, 939–942. [Google Scholar] [CrossRef] [PubMed]
- Feldman, F.; Casarella, W.J.; Dick, H.M.; Hollander, B.A. Selective Intra-Arterial Embolization of Bone Tumors. A Useful Adjunct in the Management of Selected Lesions. Am. J. Roentgenol. Radium Ther. Nucl. Med. 1975, 123, 130–139. [Google Scholar] [CrossRef] [PubMed]
- Chuang, V.P.; Wallace, S.; Swanson, D.; Zornoza, J.; Handel, S.F.; Schwarten, D.A.; Murray, J. Arterial Occlusion in the Management of Pain from Metastatic Renal Carcinoma. Radiology 1979, 133, 611–614. [Google Scholar] [CrossRef]
- Kim, D.; Keohan, M.L.; Gounder, M.M.; Crago, A.M.; Erinjeri, J.P. Transarterial Chemoembolization with Doxorubicin Eluting Beads for Extra-Abdominal Desmoid Tumors: Initial Experience. Cardiovasc. Interv. Radiol. 2022, 45, 1141–1151. [Google Scholar] [CrossRef]
- Rossi, G.; Mavrogenis, A.F.; Rimondi, E.; Braccaioli, L.; Calabrò, T.; Ruggieri, P. Selective Embolization with N-butyl Cyanoacrylate for Metastatic Bone Disease. J. Vasc. Interv. Radiol. 2011, 22, 462–470. [Google Scholar] [CrossRef]
- Okuno, Y.; Korchi, A.M.; Shinjo, T.; Kato, S. Transcatheter Arterial Embolization as a Treatment for Medial Knee Pain in Patients with Mild to Moderate Osteoarthritis. Cardiovasc. Interv. Radiol. 2014, 38, 336–343. [Google Scholar] [CrossRef] [PubMed]
- Papalexis, N.; Parmeggiani, A.; Peta, G.; Spinnato, P.; Miceli, M.; Facchini, G. Minimally Invasive Interventional Procedures for Metastatic Bone Disease: A Comprehensive Review. Curr. Oncol. 2022, 29, 4155–4177. [Google Scholar] [CrossRef]
- Facchini, G.; Di Tullio, P.; Battaglia, M.; Bartalena, T.; Tetta, C.; Errani, C.; Mavrogenis, A.F.; Rossi, G. Palliative embolization for metastases of the spine. Eur. J. Orthop. Surg. Traumatol. 2015, 26, 247–252. [Google Scholar] [CrossRef]
- Facchini, G.; Parmeggiani, A.; Peta, G.; Martella, C.; Gasbarrini, A.; Evangelisti, G.; Miceli, M.; Rossi, G. The role of percutaneous transarterial embolization in the management of spinal bone tumors: A literature review. Eur. Spine J. 2021, 30, 2839–2851. [Google Scholar] [CrossRef]
- Luksanapruksa, P.; Buchowski, J.M.; Tongsai, S.; Singhatanadgige, W.; Jennings, J.W. Systematic review and meta-analysis of effectiveness of preoperative embolization in surgery for metastatic spine disease. J. NeuroInterventional Surg. 2018, 10, 596–601. [Google Scholar] [CrossRef] [PubMed]
- Palmisciano, P.; Hunter, M.; Lokesh, N.; Bin Alamer, O.; Scalia, G.; Giammalva, G.R.; Maugeri, R.; Iacopino, D.G.; Umana, G.E.; Haider, A.S. Aneurysmal bone cyst of the spine in adult patients: A systematic review and comparison of primary vs secondary lesions. J. Clin. Neurosci. 2022, 100, 15–22. [Google Scholar] [CrossRef]
- Cevolani, L.; Staals, E.; Campanacci, L.; Dozza, B.; Martella, C.; Spinnato, P.; Di Carlo, M.; Peta, G.; Donati, D.M.; Miceli, M.; et al. Aneurysmal bone cyst: Is selective arterial embolization effective as curettage and bone grafting? J. Surg. Oncol. 2023, 128, 1428–1436. [Google Scholar] [CrossRef]
- Otero, S.; Moskovic, E.C.; Strauss, D.C.; Benson, C.; Miah, A.B.; Thway, K.; Messiou, C. Desmoid-Type Fibromatosis. Clin. Radiol. 2015, 70, 1038–1045. [Google Scholar] [CrossRef]
- Little, M.W.; O’grady, A.; Briggs, J.; Gibson, M.; Speirs, A.; Al-Rekabi, A.; Yoong, P.; Ariyanayagam, T.; Davies, N.; Tayton, E.; et al. Genicular Artery embolisation in Patients with Osteoarthritis of the Knee (GENESIS) Using Permanent Microspheres: Long-Term Results. Cardiovasc. Interv. Radiol. 2024, 1–13. [Google Scholar] [CrossRef]
- Little, M.W.; Harrison, R.; MacGill, S.; Speirs, A.; Briggs, J.H.; Tayton, E.; Davies, N.L.C.; Hausen, H.S.; McCann, C.; Levine, L.L.; et al. Genicular Artery Embolisation in Patients with Osteoarthritis of the Knee (GENESIS 2): Protocol for a Double-Blind Randomised Sham-Controlled Trial. Cardiovasc. Interv. Radiol. 2023, 46, 1276–1282. [Google Scholar] [CrossRef] [PubMed]
- Okuno, Y. Transarterial Embolization for Refractory Overuse Sports Injury: Pictorial Case Reports. Cardiovasc. Interv. Radiol. 2023, 46, 1525–1537. [Google Scholar] [CrossRef] [PubMed]
- Acuña, A.J.; Vijayakumar, G.; Buac, N.P.; Colman, M.W.; Gitelis, S.; Blank, A.T. The effect of timing between preoperative embolization and surgery: A retrospective analysis of hypervascular bone metastases. J. Surg. Oncol. 2023, 129, 416–423. [Google Scholar] [CrossRef]
- Zhou, J.; Zhou, Y.; Qian, S.; Li, X.; Lin, H.; Dong, J.; Zhou, X. Computed Tomography Perfusion Combined With Preoperative Embolization for Reducing Intraoperative Blood Loss in Separation Surgery for Thoracolumbar Metastases. Spine 2023, 49, E183–E190. [Google Scholar] [CrossRef]
- Forauer, A.R.; Kent, E.; Cwikiel, W.; Esper, P.; Redman, B. Selective palliative transcatheter embolization of bony metastases from renal cell carcinoma. Acta Oncol. 2007, 46, 1012–1018. [Google Scholar] [CrossRef]
- Kurup, A.N.; Callstrom, M.R. Ablation of Musculoskeletal Metastases: Pain Palliation, Fracture Risk Reduction, and Oligometastatic Disease. Tech. Vasc. Interv. Radiol. 2013, 16, 253–261. [Google Scholar] [CrossRef] [PubMed]
- Errani, C.; Bazzocchi, A.; Spinnato, P.; Facchini, G.; Campanacci, L.; Rossi, G.; Mavrogenis, A.F. What’s New in Management of Bone Metastases? Eur. J. Orthop. Surg. Traumatol. 2019, 29, 1367–1375. [Google Scholar] [CrossRef] [PubMed]
- Barile, A.; Arrigoni, F.; Bruno, F.; Palumbo, P.; Floridi, C.; Cazzato, R.L.; Reginelli, A.; Zappia, M.; Brunese, L.; Zugaro, L.; et al. Present role and future perspectives of interventional radiology in the treatment of painful bone lesions. Future Oncol. 2018, 14, 2945–2955. [Google Scholar] [CrossRef] [PubMed]
- Filippiadis, D.K.; Cornelis, F.H.; Kelekis, A. Interventional oncologic procedures for pain palliation. Presse Medicale 2019, 48, e251–e256. [Google Scholar] [CrossRef] [PubMed]
- Mavrogenis, A.F.; Angelini, A.; Vottis, C.; Pala, E.; Calabrò, T.; Papagelopoulos, P.J.; Ruggieri, P. Modern Palliative Treatments for Metastatic Bone Disease: Awareness of Advantages, Disadvantages, and Guidance. Clin. J. Pain 2016, 32, 337–350. [Google Scholar] [CrossRef]
- Chatziioannou, A.N.; Johnson, M.E.; Pneumaticos, S.G.; Lawrence, D.D.; Carrasco, C.H. Preoperative embolization of bone metastases from renal cell carcinoma. Eur. Radiol. 2000, 10, 593–596. [Google Scholar] [CrossRef] [PubMed]
- Guzman, R.; Dubach-Schwizer, S.; Heini, P.; Lovblad, K.-O.; Kalbermatten, D.; Schroth, G.; Remonda, L. Preoperative transarterial embolization of vertebral metastases. Eur. Spine J. 2004, 14, 263–268. [Google Scholar] [CrossRef]
- Wirbel, R.J.; Roth, R.; Schulte, M.; Kramann, B.; Mutschler, W. Preoperative embolization in spinal and pelvic metastases. J. Orthop. Sci. 2005, 10, 253–257. [Google Scholar] [CrossRef]
- Kickuth, R.; Waldherr, C.; Hoppe, H.; Bonel, H.M.; Ludwig, K.; Beck, M.; Triller, J. Interventional Management of Hypervascular Osseous Metastasis: Role of Embolotherapy Before Orthopedic Tumor Resection and Bone Stabilization. Am. J. Roentgenol. 2008, 191, W240–W247. [Google Scholar] [CrossRef]
- Kwon, J.H.; Shin, J.H.; Kim, J.-H.; Gwon, D.-I.; Yoon, H.K.; Ko, G.-Y.; Sung, K.B.; Song, H.-Y. Preoperative transcatheter arterial embolization of hypervascular metastatic tumors of long bones. Acta Radiol. 2010, 51, 396–401. [Google Scholar] [CrossRef]
- Koike, Y.; Takizawa, K.; Ogawa, Y.; Muto, A.; Yoshimatsu, M.; Yagihashi, K.; Nakajima, Y. Transcatheter Arterial Chemoembolization (TACE) or Embolization (TAE) for Symptomatic Bone Metastases as a Palliative Treatment. Cardiovasc. Interv. Radiol. 2010, 34, 793–801. [Google Scholar] [CrossRef]
- Robial, N.; Charles, Y.-P.; Bogorin, I.; Godet, J.; Beaujeux, R.; Boujan, F.; Steib, J.-P. Is Preoperative Embolization a Prerequisite for Spinal Metastases Surgical Management? Orthop. Traumatol. Surg. Res. 2012, 98, 536–542. [Google Scholar] [CrossRef]
- Kato, S.; Hozumi, T.; Takaki, Y.; Yamakawa, K.; Goto, T.; Kondo, T. Optimal Schedule of Preoperative Embolization for Spinal Metastasis Surgery. Spine 2013, 38, 1964–1969. [Google Scholar] [CrossRef]
- Rossi, G.; Mavrogenis, A.F.; Casadei, R.; Bianchi, G.; Romagnoli, C.; Rimondi, E.; Ruggieri, P. Embolisation of bone metastases from renal cancer. Radiol. Medica 2012, 118, 291–302. [Google Scholar] [CrossRef]
- Pazionis, T.J.C.; Papanastassiou, I.D.; Maybody, M.; Healey, J.H. Embolization of Hypervascular Bone Metastases Reduces Intraoperative Blood Loss: A Case-control Study. Clin. Orthop. Relat. Res. 2014, 472, 3179–3187. [Google Scholar] [CrossRef]
- Clausen, C.; Dahl, B.; Frevert, S.C.; Hansen, L.V.; Nielsen, M.B.; Lönn, L. Preoperative Embolization in Surgical Treatment of Spinal Metastases: Single-Blind, Randomized Controlled Clinical Trial of Efficacy in Decreasing Intraoperative Blood Loss. J. Vasc. Interv. Radiol. 2015, 26, 402–412.e1. [Google Scholar] [CrossRef]
- Kim, W.; Han, I.; Jae, H.J.; Kang, S.; Lee, S.A.; Kim, J.S.; Kim, H.-S. Preoperative Embolization for Bone Metastasis From Hepatocellular Carcinoma. Orthopedics 2015, 38, e99–e105. [Google Scholar] [CrossRef]
- Ratasvuori, M.; Sillanpää, N.; Wedin, R.; Trovik, C.; Hansen, B.H.; Laitinen, M. Surgery of Non-Spinal Skeletal Metastases in Renal Cell Carcinoma: No Effect of Preoperative Embolization? Acta Orthop. 2016, 87, 183–188. [Google Scholar] [CrossRef][Green Version]
- Jernigan, E.W.; Tennant, J.N.; Esther, R.J. Not All Patients Undergoing Stabilization of Impending Pathologic Fractures for Renal Cell Carcinoma Metastases to the Femur Need Preoperative Embolization. Clin. Orthop. Relat. Res. 2018, 476, 529–534. [Google Scholar] [CrossRef]
- Çelebioğlu, E.C.; Bilgiç, S.; Merter, A.; Karaca, M.O.; Başarır, K.; Yıldız, H.Y. Scheduling Surgery after Transarterial Embolization: Does Timing Make Any Difference to Intraoperative Blood Loss for Renal Cell Carcinoma Bone Metastases? Diagn. Interv. Radiol. 2021, 27, 740–745. [Google Scholar] [CrossRef]
- Papalexis, N.; Peta, G.; Vara, G.; Spinnato, P.; Errani, C.; Martella, C.; Miceli, M.; Facchini, G. Palliative Arterial Embolization for Metastases of the Sternum. Cardiovasc. Interv. Radiol. 2023, 46, 794–798. [Google Scholar] [CrossRef] [PubMed]
- Koob, S.; Schulze-Steinen, H.; Plöger, M.M.; Randau, T.M.; Placzek, R.; Strauß, A.C. Preoperative embolization of renal cell carcinoma metastases to the bone prior to stabilization procedures does not result in reduction in intraoperative blood loss. Clin. Exp. Metastasis 2022, 40, 117–122. [Google Scholar] [CrossRef]
- Groot, O.Q.; van Steijn, N.J.; Ogink, P.T.; Pierik, R.-J.; Bongers, M.E.; Zijlstra, H.; de Groot, T.M.; An, T.J.; Rabinov, J.D.; Verlaan, J.-J.; et al. Preoperative embolization in surgical treatment of spinal metastases originating from non–hypervascular primary tumors: A propensity score matched study using 495 patients. Spine J. 2022, 22, 1334–1344. [Google Scholar] [CrossRef] [PubMed]
- Kato, S.; Murakami, H.; Minami, T.; Demura, S.; Yoshioka, K.; Matsui, O.; Tsuchiya, H. Preoperative Embolization Significantly Decreases Intraoperative Blood Loss During Palliative Surgery for Spinal Metastasis. Orthopedics 2012, 35, e1389–e1395. [Google Scholar] [CrossRef]
- Papalexis, N.; Peta, G.; Errani, C.; Miceli, M.; Facchini, G. Preoperative Arterial Embolization for Heterotopic Ossification of the Hip. J. Vasc. Interv. Radiol. 2022, 34, 608–612. [Google Scholar] [CrossRef]
- Zhang, L.; Michihata, N.; Matsui, H.; Fushimi, K.; Yasunaga, H.; Tsuda, Y.; Tanaka, S.; Kobayashi, H. Preoperative arterial embolization and wound complications after resection of malignant bone tumor in the pelvis: A nationwide database study. Ultrasound Med. Biol. 2022, 52, 1176–1182. [Google Scholar] [CrossRef] [PubMed]
- Geraets, S.E.W.; Bos, P.K.; van der Stok, J. Preoperative embolization in surgical treatment of long bone metastasis: A systematic literature review. EFORT Open Rev. 2020, 5, 17–25. [Google Scholar] [CrossRef]
- Girardo, M.; Zenga, F.; Bruno, L.L.; Rava, A.; Massè, A.; Maule, M.; Fusini, F. Treatment of Aggressive Vertebral Hemangiomas with Poly Vinyl Alcohol (PVA) Microparticles Embolization, PMMA, and Short Segment Stabilization: Preliminary Results with at Least 5 Years of Follow-up. World Neurosurg. 2019, 128, e283–e288. [Google Scholar] [CrossRef]
- Heianna, J.; Makino, W.; Ariga, T.; Ishikawa, K.; Kusada, T.; Maemoto, H.; Toguchi, M.; Ito, J.; Goya, M.; Miyazato, M.; et al. Concomitant radiotherapy and transarterial chemoembolization reduce skeletal-related events related to bone metastases from renal cell carcinoma. Eur. Radiol. 2019, 30, 1525–1533. [Google Scholar] [CrossRef]
- Heianna, J.; Makino, W.; Toguchi, M.; Iraha, T.; Ishikawa, K.; Kusada, T.; Maemoto, H.; Takehara, S.; Ariga, T.; Murayama, S. Transarterial Chemoembolization for the Palliation of Painful Bone Metastases Refractory to First-Line Radiotherapy. J. Vasc. Interv. Radiol. 2021, 32, 384–392. [Google Scholar] [CrossRef]
- Zhang, L.; Wang, B.; Cao, P.; Zhang, Q.; Liu, X.; Li, M. Combination therapy with percutaneous osteoplasty and transcatheter arterial chemoembolization for the treatment of pelvic bone metastases: Preliminary report. Support. Care Cancer 2021, 29, 2529–2536. [Google Scholar] [CrossRef] [PubMed]
- Houten, J.K.; Swiggett, S.J.; Hadid, B.; Choueka, D.M.; Kinon, M.D.; Buciuc, R.; Zumofen, D.W. Neurologic Complications of Preoperative Embolization of Spinal Metastasis: A Systemic Review of the Literature Identifying Distinct Mechanisms of Injury. World Neurosurg. 2020, 143, 374–388. [Google Scholar] [CrossRef] [PubMed]
- Slon, V.; Stein, D.; Cohen, H.; Sella-Tunis, T.; May, H.; Hershkovitz, I. Vertebral hemangiomas: Their demographical characteristics, location along the spine and position within the vertebral body. Eur. Spine J. 2015, 24, 2189–2195. [Google Scholar] [CrossRef] [PubMed]
- Kesavapisharady, K.; Divakar, G.; George, T.; R., J.E.; Hariharan, E.V. Compressive vertebral hemangiomas with neurological deficits: Diagnosis, surgical strategies and long term outcome. Br. J. Neurosurg. 2021, 38, 735–745. [Google Scholar] [CrossRef] [PubMed]
- Tedesco, G.; Noli, L.E.; Griffoni, C.; Ghermandi, R.; Facchini, G.; Peta, G.; Papalexis, N.; Asunis, E.; Pasini, S.; Gasbarrini, A. Electrochemotherapy in Aggressive Hemangioma of the Spine: A Case Series and Narrative Literature Review. J. Clin. Med. 2024, 13, 1239. [Google Scholar] [CrossRef] [PubMed]
- Acosta, F.L.; Sanai, N.; Chi, J.H.; Dowd, C.F.; Chin, C.; Tihan, T.; Chou, D.; Weinstein, P.R.; Ames, C.P. Comprehensive Management of Symptomatic and Aggressive Vertebral Hemangiomas. Neurosurg. Clin. N. Am. 2007, 19, 17–29. [Google Scholar] [CrossRef]
- Wang, B.; Meng, N.; Zhuang, H.; Han, S.; Yang, S.; Jiang, L.; Wei, F.; Liu, X.; Liu, Z. The Role of Radiotherapy and Surgery in the Management of Aggressive Vertebral Hemangioma: A Retrospective Study of 20 Patients. Med. Sci. Monit. 2018, 24, 6840–6850. [Google Scholar] [CrossRef]
- Vasudeva, V.S.; Chi, J.H.; Groff, M.W. Surgical treatment of aggressive vertebral hemangiomas. Neurosurg. Focus 2016, 41, E7. [Google Scholar] [CrossRef]
- Lofrese, G.; Cultrera, F.; Ricciardi, L.; Visani, J.; Tosatto, L.; Ruggiero, M.; Haznedari, N.; Menetti, F. Preoperative elastoplasty of aggressive vertebral hemangiomas in elderly patients: A new strategy for reducing intraoperative bleeding and complications. Eur. Spine J. 2024, 33, 1921–1929. [Google Scholar] [CrossRef]
- Takeda, C.; Tanishima, S.; Ohuchi, Y.; Mihara, T.; Yamaga, K.; Yoshida, M.; Nagashima, H. Sclerotherapy for Aggressive Vertebral Hemangioma with Severe Bone Destruction: A 5-Year Analysis. Spine Surg. Relat. Res. 2024, 8, 548–551. [Google Scholar] [CrossRef]
- Teferi, N.; Chowdhury, A.; Mehdi, Z.; Challa, M.; Eschbacher, K.; Bathla, G.; Hitchon, P. Surgical management of symptomatic vertebral hemangiomas: A single institution experience and literature review. Spine J. 2023, 23, 1243–1254. [Google Scholar] [CrossRef] [PubMed]
- Srinivasan, G.; Moses, V.; Padmanabhan, A.; Ahmed, M.; Keshava, S.N.; Krishnan, V.; Joseph, B.V.; Raju, K.P.; Rajshekhar, V. Utility of spinal angiography and arterial embolization in patients undergoing CT guided alcohol injection of aggressive vertebral hemangiomas. Neuroradiology 2021, 63, 1935–1945. [Google Scholar] [CrossRef] [PubMed]
- Lamanna, A.; Maingard, J.; Florescu, G.; Kok, H.K.; Ranatunga, D.; Barras, C.; Lee, M.J.; Brooks, D.M.; Jhamb, A.; Chandra, R.V.; et al. Endovascular balloon-assisted liquid embolisation of soft tissue vascular malformations: Technical feasibility and safety. CVIR Endovasc. 2021, 4, 1–15. [Google Scholar] [CrossRef] [PubMed]
- Mavrogenis, A.F.; Rossi, G.; Calabrò, T.; Altimari, G.; Rimondi, E.; Ruggieri, P. The role of embolization for hemangiomas. Musculoskelet. Surg. 2012, 96, 125–135. [Google Scholar] [CrossRef]
- Novais, E.N.; Rose, P.S.; Yaszemski, M.J.; Sim, F.H. Aneurysmal Bone Cyst of the Cervical Spine in Children. J. Bone Jt. Surg. 2011, 93, 1534–1543. [Google Scholar] [CrossRef]
- Puri, A.; Hegde, P.; Gulia, A.; Parikh, M. Primary aneurysmal bone cysts is percutaneous sclerosant therapy with polidocanol effective? Bone Jt. J. 2020, 102B, 186–190. [Google Scholar] [CrossRef]
- Bavan, L.; Wijendra, A.; Kothari, A. Efficacy of treatment interventions for primary aneurysmal bone cysts: A systematic review. Bone Jt. Open 2021, 2, 125–133. [Google Scholar] [CrossRef]
- Öztürk, R.; Ayhan, B.; Yoğurt, S.B.; Beltir, G.; Güngör, B.Ş. The Role of Preoperative Embolization in the Management of Aneurysmal Bone Cyst: A Comparative Analysis. Indian J. Orthop. 2023, 57, 1401–1408. [Google Scholar] [CrossRef]
- Tumor, A.K.F.; Boriani, S.; Lo, S.-F.L.; Puvanesarajah, V.; Fisher, C.G.; Varga, P.P.; Rhines, L.D.; Germscheid, N.M.; Luzzati, A.; Chou, D.; et al. Aneurysmal bone cysts of the spine: Treatment options and considerations. J. Neuro-Oncology 2014, 120, 171–178. [Google Scholar] [CrossRef]
- Terzi, S.; Gasbarrini, A.; Fuiano, M.; Barbanti Brodano, G.; Ghermandi, R.; Bandiera, S.; Boriani, S. Efficacy and Safety of Selective Arterial Embolization in the Treatment of Aneurysmal Bone Cyst of the Mobile Spine: A Retrospective Observational Study. Spine 2017, 42, 1130–1138. [Google Scholar] [CrossRef]
- Rossi, G.; Mavrogenis, A.F.; Facchini, G.; Bartalena, T.; Rimondi, E.; Renzulli, M.; Andreone, A.; Durante, S.; Angelini, A.; Errani, C. How Effective Is Embolization with N-2-Butyl-Cyanoacrylate for Aneurysmal Bone Cysts? Int. Orthop. 2017, 41, 1685–1692. [Google Scholar] [CrossRef] [PubMed]
- Masthoff, M.; Gerwing, M.; Schneider, K.N.; Köhler, M.; Deventer, N.; Schindler, P.; Heindel, W.; Hardes, J.; Seidensticker, M.; Gosheger, G.; et al. Combined Transarterial Embolization and Percutaneous Sclerotherapy as Treatment for Refractory and Nonresectable Aneurysmal Bone Cysts. J. Vasc. Interv. Radiol. 2021, 32, 1425–1434.e2. [Google Scholar] [CrossRef] [PubMed]
- Strohm, J.A.; Strohm, P.C.; Kühle, J.; Schmal, H.; Zwingmann, J. Management of juvenile and aneurysmal bone cysts: A systematic literature review with meta-analysis. Eur. J. Trauma Emerg. Surg. 2022, 49, 361–372. [Google Scholar] [CrossRef] [PubMed]
- Lin, P.P.; Guzel, V.B.; Moura, M.F.; Wallace, S.; Benjamin, R.S.; Weber, K.L.; Morello, F.A.; Gokaslan, Z.L.; Yasko, A.W. Long-term follow-up of patients with giant cell tumor of the sacrum treated with selective arterial embolization. Cancer 2002, 95, 1317–1325. [Google Scholar] [CrossRef]
- Zheng, K.; Yu, X.-C.; Hu, Y.-C.; Wang, Z.; Wu, S.-J.; Ye, Z.-M.; Giant Cell Tumor Group of China (GTOC). How to Fill the Cavity after Curettage of Giant Cell Tumors around the Knee? A Multicenter Analysis. Chin. Med. J. 2017, 130, 2541–2546. [Google Scholar] [CrossRef]
- Yang, J.Y.; Kang, H.; Kim, Y.H. Treatment of Clival Giant Cell Tumor: A Case Report and Literature Review. Brain Tumor Res. Treat. 2024, 12, 132–140. [Google Scholar] [CrossRef]
- Nagano, A.; Urakawa, H.; Tanaka, K.; Ozaki, T. Current management of giant-cell tumor of bone in the denosumab era. Ultrasound Med. Biol. 2022, 52, 411–416. [Google Scholar] [CrossRef]
- Li, H.; Gao, J.; Gao, Y.; Lin, N.; Zheng, M.; Ye, Z. Denosumab in Giant Cell Tumor of Bone: Current Status and Pitfalls. Front. Oncol. 2020, 10, 580605. [Google Scholar] [CrossRef]
- Yu, X.; Xu, M.; Xu, S.; Fu, Z. Long-term outcome of giant cell tumor of bone involving sacroiliac joint treated with selective arterial embolization and curettage: A case report and literature review. World J. Surg. Oncol. 2013, 11, 72. [Google Scholar] [CrossRef]
- Hosalkar, H.S.; Jones, K.J.; King, J.J.; Lackman, R.D. Serial Arterial Embolization for Large Sacral Giant-Cell Tumors: Mid- to Long-Term Results. Spine 2007, 32, 1107–1115. [Google Scholar] [CrossRef]
- He, S.; Xu, W.; Sun, Z.; Liu, W.; Liu, Y.; Wei, H.; Xiao, J. Selective Arterial Embolization for the Treatment of Sacral and Pelvic Giant Cell Tumor: A Systematic Review. Orthop. Surg. 2017, 9, 139–144. [Google Scholar] [CrossRef] [PubMed]
- Mirabello, L.; Troisi, R.J.; Savage, S.A. Osteosarcoma Incidence and Survival Rates from 1973 to 2004: Data from the Surveillance, Epidemiology, and End Results Program. Cancer 2009, 115, 1531–1543. [Google Scholar] [CrossRef] [PubMed]
- Zhou, C.; Li, H.; Zeng, H.; Wang, P. Incidence trends, overall survival, and metastasis prediction using multiple machine learning and deep learning techniques in pediatric and adolescent population with osteosarcoma and Ewing’s sarcoma: Nomogram and webpage. Clin. Transl. Oncol. 2024, 1–12. [Google Scholar] [CrossRef] [PubMed]
- Mavrogenis, A.F.; Rossi, G.; Rimondi, E.; Calabrò, T.; Papagelopoulos, P.J.; Ruggieri, P. Palliative embolization for osteosarcoma. Eur. J. Orthop. Surg. Traumatol. 2013, 24, 1351–1356. [Google Scholar] [CrossRef] [PubMed]
- Chu, J.-P.; Chen, W.; Li, J.-P.; Zhuang, W.-Q.; Huang, Y.-H.; Huang, Z.-M.; Yang, J.-Y. Clinicopathologic Features and Results of Transcatheter Arterial Chemoembolization for Osteosarcoma. Cardiovasc. Interv. Radiol. 2007, 30, 201–206. [Google Scholar] [CrossRef]
- Zhang, H.-J.; Yang, J.-J.; Lu, J.-P.; Lai, C.-J.; Sheng, J.; Li, Y.-X.; Hao, Q.; Zhang, S.-M.; Gupta, S. Use of Intra-Arterial Chemotherapy and Embolization Before Limb Salvage Surgery for Osteosarcoma of the Lower Extremity. Cardiovasc. Interv. Radiol. 2009, 32, 672–678. [Google Scholar] [CrossRef]
- Taniguchi, J.; Takaki, H.; Kodama, H.; Kawaguchi, T.; Takahagi, M.; Ogasawara, A.; Kako, Y.; Kobayashi, K.; Minami, T.; Futani, H.; et al. Clinical Utility of Bland Embolization Using Microspheres for Painful Malignant Musculoskeletal Tumors. Vivo 2023, 37, 1816–1821. [Google Scholar] [CrossRef]
- Jha, R.; Sharma, R.; Rastogi, S.; Alam Khan, S.; Jayaswal, A.; Gamanagatti, S. Preoperative embolization of primary bone tumors: A case control study. World J. Radiol. 2016, 8, 378–389. [Google Scholar] [CrossRef] [PubMed]
- Nagata, Y.; Mitsumori, M.; Okajima, K.; Mizowaki, T.; Fujiwara, K.; Sasai, K.; Nishimura, Y.; Hiraoka, M.; Abe, M.; Shimizu, K.; et al. Transcatheter Arterial Embolization for Malignant Osseous and Soft Tissue Sarcomas. II. Clinical Results. Cardiovasc. Radiol. 1998, 21, 208–213. [Google Scholar] [CrossRef]
- Desmoid Tumor Working Group. The Management of Desmoid Tumours: A Joint Global Consensus-Based Guideline Approach for Adult and Paediatric Patients. Eur. J. Cancer 2020, 127, 96–107. [Google Scholar] [CrossRef]
- Mangla, A.; Agarwal, N.; Schwartz, G. Desmoid Tumors: Current Perspective and Treatment. Curr. Treat. Options Oncol. 2024, 25, 161–175. [Google Scholar] [CrossRef] [PubMed]
- Mikhael, R.; Smith, M.; Tzanis, D.; Watson, S.; Miah, A.B.; Bonvalot, S. Desmoid Tumors: Who, When and How to Treat? Curr. Opin. Oncol. 2022, 34, 335–341. [Google Scholar] [CrossRef]
- Bektas, M.; Bell, T.; Khan, S.; Tumminello, B.; Fernandez, M.M.; Heyes, C.; Oton, A.B. Desmoid Tumors: A Comprehensive Review. Adv. Ther. 2023, 40, 3697–3722. [Google Scholar] [CrossRef]
- Kasper, B.; Baldini, E.H.; Bonvalot, S.; Callegaro, D.; Cardona, K.; Colombo, C.; Corradini, N.; Crago, A.M.; Dei Tos, A.P.; Dileo, P.; et al. Current Management of Desmoid Tumors: A Review. JAMA Oncol. 2024, 10, 1121–1128. [Google Scholar] [CrossRef] [PubMed]
- Kasper, B.; Baumgarten, C.; Garcia, J.; Bonvalot, S.; Haas, R.; Haller, F.; Hohenberger, P.; Penel, N.; Messiou, C.; van der Graaf, W.T.; et al. An Update on the Management of Sporadic Desmoid-Type Fibromatosis: A European Consensus Initiative between Sarcoma PAtients EuroNet (SPAEN) and European Organization for Research and Treatment of Cancer (EORTC)/Soft Tissue and Bone Sarcoma Group (STBSG). Ann. Oncol. 2017, 28, 2399–2408. [Google Scholar] [CrossRef]
- Testa, S.; Bui, N.Q.; Charville, G.W.; Avedian, R.S.; Steffner, R.; Ghanouni, P.; Mohler, D.G.; Ganjoo, K.N. Management of Patients with Newly Diagnosed Desmoid Tumors in a First-Line Setting. Cancers 2022, 14, 3907. [Google Scholar] [CrossRef] [PubMed]
- Toulmonde, M.; Pulido, M.; Ray-Coquard, I.; Andre, T.; Isambert, N.; Chevreau, C.; Penel, N.; Bompas, E.; Saada, E.; Bertucci, F.; et al. Pazopanib or Methotrexate–vinblastine Combination Chemotherapy in Adult Patients with Progressive Desmoid Tumours (DESMOPAZ): A Non-Comparative, Randomised, Open-Label, Multicentre, Phase 2 Study. Lancet Oncol. 2019, 20, 1263–1272.97. [Google Scholar] [CrossRef]
- Garnon, J.; Cazzato, R.L.; Autrusseau, P.-A.; Koch, G.; Weiss, J.; Gantzer, J.; Kurtz, J.-E.; Gangi, A. Desmoid fibromatosis: Interventional radiology (sometimes) to the rescue for an atypical disease. Br. J. Radiol. 2024, tqae128. [Google Scholar] [CrossRef]
- Shaikh, R.; Shashi, K.K.; Shahin, M.M. Cryoablation in Extra-Abdominal Desmoid Tumors: A 10-Year Experience in Pediatric and Young Adult Patients. Cardiovasc. Interv. Radiol. 2024, 1–8. [Google Scholar] [CrossRef]
- Narvaez, J.A.; Bernabeu, D.; Muntaner, L.; Gomez, F.; Martel, J.; Castellano, M.d.M.; García-Marcos, R.; Britel, R.; Oyagüez, I.; Tejado, N.; et al. Economic evaluation of percutaneous cryoablation vs conventional surgery in extra-abdominal desmoid tumours in the Spanish healthcare system. Insights Into Imaging 2024, 15, 1–10. [Google Scholar] [CrossRef]
- Havez, M.; Lippa, N.; Al-Ammari, S.; Kind, M.; Stoeckle, E.; Italiano, A.; Gangi, A.; Hauger, O.; Cornelis, F. Percutaneous Image-Guided Cryoablation in Inoperable Extra-abdominal Desmoid Tumors: A Study of Tolerability and Efficacy. Cardiovasc. Interv. Radiol. 2014, 37, 1500–1506. [Google Scholar] [CrossRef] [PubMed]
- Mandel, J.E.; Kim, D.; Yarmohammadi, H.; Ziv, E.; Keohan, M.L.; D’angelo, S.P.; Gounder, M.M.; Whiting, K.; Qin, L.-X.; Singer, S.; et al. Percutaneous Cryoablation Provides Disease Control for Extra-Abdominal Desmoid-Type Fibromatosis Comparable with Surgical Resection. Ann. Surg. Oncol. 2021, 29, 640–648. [Google Scholar] [CrossRef] [PubMed]
- Papalexis, N.; Savarese, L.G.; Peta, G.; Errani, C.; Tuzzato, G.; Spinnato, P.; Ponti, F.; Miceli, M.; Facchini, G. The New Ice Age of Musculoskeletal Intervention: Role of Percutaneous Cryoablation in Bone and Soft Tissue Tumors. Curr. Oncol. 2023, 30, 6744–6770. [Google Scholar] [CrossRef] [PubMed]
- Elnekave, E.; Atar, E.; Amar, S.; Bruckheimer, E.; Knizhnik, M.; Yaniv, I.; Dujovny, T.; Feinmesser, M.; Ash, S. Doxorubicin-Eluting Intra-Arterial Therapy for Pediatric Extra-Abdominal Desmoid Fibromatoses: A Promising Approach for a Perplexing Disease. J. Vasc. Interv. Radiol. 2018, 29, 1376–1382. [Google Scholar] [CrossRef] [PubMed]
- Prendergast, K.; Kryeziu, S.; Crago, A.M. The Evolving Management of Desmoid Fibromatosis. Surg. Clin. N. Am. 2022, 102, 667–677. [Google Scholar] [CrossRef] [PubMed]
- Shimizu, K.; Kawashima, H.; Kawai, A.; Yoshida, M.; Nishida, Y. Effectiveness of doxorubicin-based and liposomal doxorubicin chemotherapies for patients with extra-abdominal desmoid-type fibromatosis: A systematic review. Ultrasound Med. Biol. 2020, 50, 1274–1281. [Google Scholar] [CrossRef]
- Páez-Carpio, A.; Haghanil, L.; Erinjeri, J.P. Minimizing Cutaneous Complications of Chemoembolization of Extra-Abdominal Desmoid Tumor Using Tumescent Vasoconstriction of Skin Blood Vessels. Cardiovasc. Interv. Radiol. 2023, 46, 525–527. [Google Scholar] [CrossRef]
- Lane, N.; Brandt, K.; Hawker, G.; Peeva, E.; Schreyer, E.; Tsuji, W.; Hochberg, M. OARSI-FDA initiative: Defining the disease state of osteoarthritis. Osteoarthr. Cartil. 2011, 19, 478–482. [Google Scholar] [CrossRef]
- Sellam, J.; Berenbaum, F. The role of synovitis in pathophysiology and clinical symptoms of osteoarthritis. Nat. Rev. Rheumatol. 2010, 6, 625–635. [Google Scholar] [CrossRef]
- Ashraf, S.; Mapp, P.I.; Walsh, D.A. Contributions of angiogenesis to inflammation, joint damage, and pain in a rat model of osteoarthritis. Arthritis Rheum. 2011, 63, 2700–2710. [Google Scholar] [CrossRef]
- Ro, D.H.; Jang, M.-J.; Koh, J.; Choi, W.S.; Kim, H.-C.; Han, H.-S.; Choi, J.W. Mechanism of action of genicular artery embolization in a rabbit model of knee osteoarthritis. Eur. Radiol. 2022, 33, 125–134. [Google Scholar] [CrossRef] [PubMed]
- Okuno, Y.; Iwamoto, W.; Matsumura, N.; Oguro, S.; Yasumoto, T.; Kaneko, T.; Ikegami, H. Clinical Outcomes of Transcatheter Arterial Embolization for Adhesive Capsulitis Resistant to Conservative Treatment. J. Vasc. Interv. Radiol. 2016, 28, 161–167.e1. [Google Scholar] [CrossRef] [PubMed]
- Giorgino, R.; Albano, D.; Fusco, S.; Peretti, G.M.; Mangiavini, L.; Messina, C. Knee Osteoarthritis: Epidemiology, Pathogenesis, and Mesenchymal Stem Cells: What Else Is New? An Update. Int. J. Mol. Sci. 2023, 24, 6405. [Google Scholar] [CrossRef] [PubMed]
- Hunter, D.J.; Bierma-Zeinstra, S. Osteoarthritis. Lancet 2019, 393, 1745–1759. [Google Scholar] [CrossRef] [PubMed]
- D’agostino, V.; Sorriento, A.; Cafarelli, A.; Donati, D.; Papalexis, N.; Russo, A.; Lisignoli, G.; Ricotti, L.; Spinnato, P. Ultrasound Imaging in Knee Osteoarthritis: Current Role, Recent Advancements, and Future Perspectives. J. Clin. Med. 2024, 13, 4930. [Google Scholar] [CrossRef]
- Filippiadis, D.; Charalampopoulos, G.; Mazioti, A.; Alexopoulou, E.; Vrachliotis, T.; Brountzos, E.; Kelekis, N.; Kelekis, A. Interventional radiology techniques for pain reduction and mobility improvement in patients with knee osteoarthritis. Diagn. Interv. Imaging 2019, 100, 391–400. [Google Scholar] [CrossRef]
- Braithwaite, S.; Qamhawi, Z.; Briggs, J.; Little, M.W. Transcatheter embolisation in chronic musculoskeletal disorders. Br. J. Radiol. 2023, 96, 20220728. [Google Scholar] [CrossRef]
- Ciaffi, J.; Papalexis, N.; Vanni, E.; Miceli, M.; Faldini, C.; Scotti, L.; Zambon, A.; Salvarani, C.; Caporali, R.; Facchini, G.; et al. Minimally invasive interventional procedures for osteoarthritis and inflammatory arthritis: A systematic review and meta-analysis. Semin. Arthritis Rheum. 2024, 68, 152525. [Google Scholar] [CrossRef]
- Cusumano, L.R.; Sparks, H.D.; Masterson, K.E.; Genshaft, S.J.; Plotnik, A.N.; Padia, S.A. Genicular Artery Embolization for Treatment of Symptomatic Knee Osteoarthritis—Two Year Outcome Data. J. Vasc. Interv. Radiol. 2024, 35, 1768–1775. [Google Scholar] [CrossRef]
- O’brien, S.; Blakeney, W.G.; Soares, J. Selective Genicular Artery Embolization in the Management of Osteoarthritic Knee Pain—A Narrative Review. J. Clin. Med. 2024, 13, 3256. [Google Scholar] [CrossRef]
- Tyagi, R.; Ahmed, S.S.; Koethe, Y.; Raskind, A.; Ahmed, O. Genicular Artery Embolization for Primary Knee Osteoarthritis. Semin. Interv. Radiol. 2022, 39, 125–129. [Google Scholar] [CrossRef] [PubMed]
- Okuno, Y.; Korchi, A.M.; Shinjo, T.; Kato, S.; Kaneko, T. Midterm Clinical Outcomes and MR Imaging Changes after Transcatheter Arterial Embolization as a Treatment for Mild to Moderate Radiographic Knee Osteoarthritis Resistant to Conservative Treatment. J. Vasc. Interv. Radiol. 2017, 28, 995–1002. [Google Scholar] [CrossRef] [PubMed]
- Padia, S.A.; Genshaft, S.; Blumstein, G.; Plotnik, A.; Kim, G.H.J.; Gilbert, S.J.; Lauko, K.; Stavrakis, A.I. Genicular Artery Embolization for the Treatment of Symptomatic Knee Osteoarthritis. JBJS Open Access 2021, 6, e21. [Google Scholar] [CrossRef] [PubMed]
- Bagla, S.; Piechowiak, R.; Sajan, A.; Orlando, J.; Hartman, T.; Isaacson, A. Multicenter Randomized Sham Controlled Study of Genicular Artery Embolization for Knee Pain Secondary to Osteoarthritis. J. Vasc. Interv. Radiol. 2021, 33, 2–10.e2. [Google Scholar] [CrossRef]
- Bhatia, S.; Jalaeian, H.; Kumar, J.; Acharya, V.; Shibuya, M.; Bhatia, A.; Okuno, Y. Two-year outcomes comparing Embosphere® microspheres versus Imipenem Cilastatin for genicular artery embolization in patients with moderate to severe knee osteoarthritis. Knee 2023, 41, 38–47. [Google Scholar] [CrossRef]
- Taslakian, B.; Swilling, D.; Attur, M.; Alaia, E.F.; Kijowski, R.; Samuels, J.; Macaulay, W.; Ramos, D.; Liu, S.; Morris, E.M.; et al. Genicular Artery Embolization for Treatment of Knee Osteoarthritis: Interim Analysis of a Prospective Pilot Trial Including Effect on Serum Osteoarthritis-Associated Biomarkers. J. Vasc. Interv. Radiol. 2023, 34, 2180–2189.e3. [Google Scholar] [CrossRef]
- Wang, B.; Tai, T.-W.; Liang, K.-W.; Wang, C.-K.; Liu, Y.-S.; Huang, M.-T.; Chang, C.-W. Short-Term Effects of Genicular Artery Embolization on Symptoms and Bone Marrow Abnormalities in Patients with Refractory Knee Osteoarthritis. J. Vasc. Interv. Radiol. 2023, 34, 1126–1134.e2. [Google Scholar] [CrossRef]
- Landers, S.; Hely, R.; Hely, A.; Harrison, B.; Page, R.S.; Maister, N.; Gwini, S.M.; Gill, S.D. Genicular artery embolization for early-stage knee osteoarthritis: Results from a triple-blind single-centre randomized controlled trial. Bone Jt. Open 2023, 4, 158–167. [Google Scholar] [CrossRef]
- Min, J.; Park, S.W.; Hwang, J.H.; Lee, J.K.; Lee, D.W.; Kwon, Y.W.; Shin, K.C. Evaluating the Safety and Effectiveness of Quick-Soluble Gelatin Sponge Particles for Genicular Artery Embolization for Chronic Knee Pain Associated with Osteoarthritis. J. Vasc. Interv. Radiol. 2023, 34, 1868–1874. [Google Scholar] [CrossRef]
- Gill, S.D.; Hely, R.; Hely, A.; Harrison, B.; Page, R.S.; Landers, S. Outcomes after Genicular Artery Embolization Vary According to the Radiographic Severity of Osteoarthritis: Results from a Prospective Single-Center Study. J. Vasc. Interv. Radiol. 2023, 34, 1734–1739. [Google Scholar] [CrossRef]
- Guzelbey, T.; Dablan, A.; Arslan, M.F.; Altun, O.; Mutlu, I.N.; Kılıckesmez, O. Comparing technical success and clinical outcomes of macrocatheter versus microcatheter in genicular artery embolization for knee osteoarthritis. Eur. J. Radiol. 2024, 177, 111582. [Google Scholar] [CrossRef] [PubMed]
- Hindsø, L.; Hölmich, P.; Petersen, M.M.; Nielsen, M.B.; Heerwagen, S.; Taudorf, M.; Lönn, L. Transarterial Embolization of Geniculate Arteries Reduces Pain and Improves Physical Function in Knee Osteoarthritis—A Prospective Cohort Study. Diagnostics 2024, 14, 1627. [Google Scholar] [CrossRef] [PubMed]
- Kılıçkesmez, Ö.; Dablan, A.; Güzelbey, T.; Cingöz, M.; Mutlu, I.N. Comparative Analysis of Transpedal and Transfemoral Access During Genicular Artery Embolization for Knee Osteoarthritis. Cardiovasc. Interv. Radiol. 2024, 47, 1335–1345. [Google Scholar] [CrossRef] [PubMed]
- Sun, C.; Chen, Y.; Gao, Z.; Wu, L.; Lu, R.; Zhao, C.; Yang, H.; Chen, Y. Genicular artery embolization for the treatment of knee pain secondary to mild to severe knee osteoarthritis: One year clinical outcomes. Eur. J. Radiol. 2024, 175, 111443. [Google Scholar] [CrossRef] [PubMed]
- Lee, S.H.; Hwang, J.H.; Kim, D.H.; So, Y.H.; Park, J.; Cho, S.B.; Kim, J.-E.; Kim, Y.J.; Hur, S.; Jae, H.J. Clinical Outcomes of Transcatheter Arterial Embolisation for Chronic Knee Pain: Mild-to-Moderate Versus Severe Knee Osteoarthritis. Cardiovasc. Interv. Radiol. 2019, 42, 1530–1536. [Google Scholar] [CrossRef]
- Little, M.W.; Gibson, M.; Briggs, J.; Speirs, A.; Yoong, P.; Ariyanayagam, T.; Davies, N.; Tayton, E.; Tavares, S.; MacGill, S.; et al. Genicular artEry embolizatioN in patiEnts with oSteoarthrItiS of the Knee (GENESIS) Using Permanent Microspheres: Interim Analysis. Cardiovasc. Interv. Radiol. 2021, 44, 931–940. [Google Scholar] [CrossRef] [PubMed]
- Landers, S.; Hely, R.; Page, R.; Maister, N.; Hely, A.; Harrison, B.; Gill, S. Genicular Artery Embolization to Improve Pain and Function in Early-Stage Knee Osteoarthritis—24-Month Pilot Study Results. J. Vasc. Interv. Radiol. 2020, 31, 1453–1458. [Google Scholar] [CrossRef]
- Bagla, S.; Piechowiak, R.; Hartman, T.; Orlando, J.; Del Gaizo, D.; Isaacson, A. Genicular Artery Embolization for the Treatment of Knee Pain Secondary to Osteoarthritis. J. Vasc. Interv. Radiol. 2019, 31, 1096–1102. [Google Scholar] [CrossRef]
- van Zadelhoff, T.A.; Okuno, Y.; Bos, P.K.; Bierma-Zeinstra, S.M.; Krestin, G.P.; Moelker, A.; Oei, E.H. Association between Baseline Osteoarthritic Features on MR Imaging and Clinical Outcome after Genicular Artery Embolization for Knee Osteoarthritis. J. Vasc. Interv. Radiol. 2021, 32, 497–503. [Google Scholar] [CrossRef]
- Dablan, A.; Erdim, Ç.; Güzelbey, T.; Cingöz, M.; Arslan, M.F.; Mutlu, I.N.; Kılıçkesmez, Ö. Effectiveness of Genicular Artery Embolization for Reducing Synovitis as Assessed by Contrast-Enhanced MR Imaging in Knee Osteoarthritis: A Pilot Study. J. Vasc. Interv. Radiol. 2024, 35, 1313–1322.e6. [Google Scholar] [CrossRef]
- Sapoval, M.; Querub, C.; Pereira, H.; Pellerin, O.; Boeken, T.; Di Gaeta, A.; Al Ahmar, M.; Lefevre-Colau, M.-M.; Nguyen, C.; Daste, C.; et al. Genicular artery embolization for knee osteoarthritis: Results of the LipioJoint-1 trial. Diagn. Interv. Imaging 2023, 105, 144–150. [Google Scholar] [CrossRef] [PubMed]
- Torkian, P.; Golzarian, J.; Chalian, M.; Clayton, A.; Rahimi-Dehgolan, S.; Tabibian, E.; Talaie, R. Osteoarthritis-Related Knee Pain Treated With Genicular Artery Embolization: A Systematic Review and Meta-analysis. Orthop. J. Sports Med. 2021, 9, 23259671211021356. [Google Scholar] [CrossRef] [PubMed]
- Taslakian, B.; Miller, L.E.; Mabud, T.S.; Macaulay, W.; Samuels, J.; Attur, M.; Alaia, E.F.; Kijowski, R.; Hickey, R.; Sista, A.K. Genicular artery embolization for treatment of knee osteoarthritis pain: Systematic review and meta-analysis. Osteoarthr. Cartil. Open 2023, 5, 100342. [Google Scholar] [CrossRef] [PubMed]
- Epelboym, Y.; Mandell, J.C.; Collins, J.E.; Burch, E.; Shiang, T.; Killoran, T.; Macfarlane, L.; Guermazi, A. Genicular Artery Embolization as a Treatment for Osteoarthritis Related Knee Pain: A Systematic Review and Meta-analysis. Cardiovasc. Interv. Radiol. 2023, 46, 760–769. [Google Scholar] [CrossRef]
- Neviaser, A.S.; Neviaser, R.J. Adhesive Capsulitis of the Shoulder. J. Am. Acad. Orthop. Surg. 2011, 19, 536–542. [Google Scholar] [CrossRef] [PubMed]
- Brue, S.; Valentin, A.; Forssblad, M.; Werner, S.; Mikkelsen, C.; Cerulli, G. Idiopathic adhesive capsulitis of the shoulder: A review. Knee Surgery, Sports Traumatol. Arthrosc. 2007, 15, 1048–1054. [Google Scholar] [CrossRef]
- Papalexis, N.; Parmeggiani, A.; Facchini, G.; Miceli, M.; Carbone, G.; Cavallo, M.; Spinnato, P. Current concepts in the diagnosis and treatment of adhesive capsulitis: Role of diagnostic imaging and ultrasound-guided interventional procedures. La Radiol. medica 2022, 127, 1390–1399. [Google Scholar] [CrossRef]
- Prestgaard, T.; Wormgoor, M.E.; Haugen, S.; Harstad, H.; Mowinckel, P.; Brox, J.I. Ultrasound-guided intra-articular and rotator interval corticosteroid injections in adhesive capsulitis of the shoulder. Pain 2015, 156, 1683–1691. [Google Scholar] [CrossRef]
- Pietrzak, M. Adhesive Capsulitis: An Age Related Symptom of Metabolic Syndrome and Chronic Low-Grade Inflammation? Med. Hypotheses 2016, 88, 12–17. [Google Scholar] [CrossRef]
- Lopes, P.M.; Cavalheiro, F.; Gonçalves, R.; Sousa, F.; Sousa, P. Musculoskeletal embolization-endovascular treatment of adhesive capsulitis. ARP Rheumatol. 2024, 3, 159–161. [Google Scholar] [CrossRef]
- Okuno, Y.; Oguro, S.; Iwamoto, W.; Miyamoto, T.; Ikegami, H.; Matsumura, N. Short-term results of transcatheter arterial embolization for abnormal neovessels in patients with adhesive capsulitis: A pilot study. J. Shoulder Elb. Surg. 2014, 23, e199–e206. [Google Scholar] [CrossRef] [PubMed]
- Hill, J.L. Evidence for Combining Conservative Treatments for Adhesive Capsulitis. Ochsner J. 2024, 24, 47–52. [Google Scholar] [CrossRef]
- Fairclough, A.; Waters, C.; Davies, T.; Dacombe, P.; Woods, D. Long-Term Outcomes Following Manipulation Under Anaesthetic for Patients with Primary and Secondary Frozen Shoulder. Shoulder Elb. 2021, 15, 173–180. [Google Scholar] [CrossRef] [PubMed]
- Fields, B.K.K.; Skalski, M.R.; Patel, D.B.; White, E.A.; Tomasian, A.; Gross, J.S.; Matcuk, G.R., Jr. Adhesive Capsulitis: Review of Imaging Findings, Pathophysiology, Clinical Presentation, and Treatment Options. Skeletal Radiol. 2019, 48, 1171–1184. [Google Scholar] [CrossRef]
- Piechowiak, R.; Sajan, A.; Isaacson, A.; Lerner, J.; Bagla, S. Angiographic Analysis of Anatomical Variants in Adhesive Capsulitis Embolization. Cardiovasc. Interv. Radiol. 2023, 46, 799–804. [Google Scholar] [CrossRef] [PubMed]
- Taguchi, H.; Tanaka, T.; Nishiofuku, H.; Fukuoka, Y.; Minamiguchi, K.; Taiji, R.; Takayama, K.; Takeda, M.; Hatakeyama, K.; Inoue, T.; et al. A Rat Model of Frozen Shoulder Demonstrating the Effect of Transcatheter Arterial Embolization on Angiography, Histopathology, and Physical Activity. J. Vasc. Interv. Radiol. 2020, 32, 376–383. [Google Scholar] [CrossRef] [PubMed]
- Okuno, Y.; Matsumura, N.; Oguro, S. Transcatheter Arterial Embolization Using Imipenem/Cilastatin Sodium for Tendinopathy and Enthesopathy Refractory to Nonsurgical Management. J. Vasc. Interv. Radiol. 2013, 24, 787–792. [Google Scholar] [CrossRef] [PubMed]
- Hwang, J.H.; Park, S.W.; Kim, K.H.; Lee, S.J.; Oh, K.-S.; Chung, S.W.; Moon, S.G. Early Results of Transcatheter Arterial Embolization for Relief of Chronic Shoulder or Elbow Pain Associated with Tendinopathy Refractory to Conservative Treatment. J. Vasc. Interv. Radiol. 2018, 29, 510–517. [Google Scholar] [CrossRef]
- Fernández-Martínez, A.M.; Alonso-Burgos, A.; López, R.; Marcos, M.T.C.; Baldi, S. Clinical Outcomes of Transcatheter Arterial Embolization for Secondary Stiff Shoulder. J. Vasc. Interv. Radiol. 2021, 32, 489–496. [Google Scholar] [CrossRef]
- Martínez, A.M.F.; Baldi, S.; Alonso-Burgos, A.; López, R.; Vallejo-Pascual, M.E.; Marcos, M.T.C.; Alonso, D.R.; Prieto, J.R.; Mauriz, J.L. Mid-Term Results of Transcatheter Arterial Embolization for Adhesive Capsulitis Resistant to Conservative Treatment. Cardiovasc. Interv. Radiol. 2020, 44, 443–451. [Google Scholar] [CrossRef]
- Shintaku, T.; Inui, S.; Ikegami, H.; Yoshizawa, S.; Ishii, H.; Sakamoto, M.; Musha, Y.; Okuno, Y.; Kuji, I. Alteration of chronic inflammatory status by transarterial embolization in frozen shoulder evaluated by fluorine-18 fluorodeoxyglucose positron-emission tomography/computed tomography. J. Shoulder Elb. Surg. 2022, 32, e227–e234. [Google Scholar] [CrossRef] [PubMed]
- Bagla, S.; Nagda, S.; Piechowiak, R.; Orlando, J.; Sajan, A.; Isaacson, A. Results from a United States Investigational Device Study of Adhesive Capsulitis Embolization in the Treatment of Shoulder Pain: The Adhesive Capsulitis Embolization Study. J. Vasc. Interv. Radiol. 2021, 33, 177–182. [Google Scholar] [CrossRef] [PubMed]
- Okuno, Y.; Yasumoto, T.; Koganemaru, M.; Suyama, Y.; Nishiofuku, H.; Horikawa, M.; Komemushi, A. Transarterial Embolization of Neovascularity for Refractory Nighttime Shoulder Pain: A Multicenter, Open-Label, Feasibility Trial. J. Vasc. Interv. Radiol. 2022, 33, 1468–1475.e8. [Google Scholar] [CrossRef]
- Lanciego, C.; Puentes-Gutierrez, A.; Sánchez-Casado, M.; Cifuentes-Garcia, I.; Fernández-Tamayo, A.; Dominguez-Paillacho, D.; Ciampi-Dopazo, J.J.; Marquina-Valero, M.A. Transarterial embolization for adhesive capsulitis of the shoulder: Mid-term outcomes on function and pain relief. J. Vasc. Interv. Radiol. 2024, 35, 550–557. [Google Scholar] [CrossRef] [PubMed]
- Iwamoto, W.; Okuno, Y.; Matsumura, N.; Kaneko, T.; Ikegami, H. Transcatheter arterial embolization of abnormal vessels as a treatment for lateral epicondylitis refractory to conservative treatment: A pilot study with a 2-year follow-up. J. Shoulder Elb. Surg. 2017, 26, 1335–1341. [Google Scholar] [CrossRef]
- Fujiwara, K.; Inui, S.; Shibuya, M.; Sugihara, E.; Miyazaki, K.; Sakugawa, T.; Okuno, Y. Transcatheter Arterial Embolization Using Imipenem/Cilastatin Sodium for Chronic Low Back Pain Resistant to Conservative Treatment: A Pilot Study with 2-Year Follow-Up. Cardiovasc. Interv. Radiol. 2021, 44, 1964–1970. [Google Scholar] [CrossRef]
- Correa, M.P.; Motta-Leal-Filho, J.M.; Junior, E.B.; Mansano, R.M.; Deuschle, J.S.; Puton, R.C.; Saleh, J.N.d.S.; Noel, R.S.; Bajerski, J.C. 6-Month Follow-up of Lateral Femoral Circumflex Artery Embolization to Control Pain Related to Hip Osteoarthritis and Greater Trochanteric Pain Syndrome. Cardiovasc. Interv. Radiol. 2022, 45, 1710–1715. [Google Scholar] [CrossRef]
- Lee, J.H.; Kim, D.H.; Lee, S.H.; Hwang, J.H.; Cho, S.B.; Kim, M.; So, Y.H.; Kim, Y.J.; Choi, W.S.; Yoon, C.J. Short-term Results of Transcatheter Arterial Embolization for Chronic Medial Epicondylitis Refractory to Conservative Treatment: A Single-Center Retrospective Cohort Study. Cardiovasc. Interv. Radiol. 2021, 45, 197–204. [Google Scholar] [CrossRef] [PubMed]
- Owen, R.J. Embolization of Musculoskeletal Bone Tumors. Semin. Interv. Radiol. 2010, 27, 111–123. [Google Scholar] [CrossRef]
- Gottfried, O.N.; Schloesser, P.E.; Schmidt, M.H.; Stevens, E.A. Embolization of metastatic spinal tumors. Neurosurg. Clin. N. Am. 2004, 15, 391–399. [Google Scholar] [CrossRef]
- Kato, Y.; Tsuyuki, A.; Kikuchi, K.; Kumamoto, Y.; Kurihara, N.; Fujishiro, Y.; Koizumi, J. Dramatic relief of pain by transcatheter arterial embolization for bone metastasis from hepatocellular carcinoma. J. Gastroenterol. Hepatol. 2005, 20, 326–327. [Google Scholar] [CrossRef] [PubMed]



| N | Main Author, Year | Reference N | Study Design | PrO/Pa | Primary Tumor | Location of Metastasis | Included | Embolization | Control | Primary Outcome | Complications | Results |
|---|---|---|---|---|---|---|---|---|---|---|---|---|
| 1 | Chatziioannou, 2000 | [26] | retrospective | PrO | Renal cell carcinoma | Femoral/acetabular 17, other 11 | 26 | 28 | Complete devascularization vs. incomplete devascularization | Blood loss | ND | Complete devascularization reduces blood loss during surgery |
| 2 | Guzman, 2005 | [27] | retrospective | PrO | Renal 14, 4 thyroid, 6 various | Spine | 24 | 22 | Complete devascularization vs. incomplete devascularization; grade of vascularization | Blood loss | ND | Embolization reduces blood loss; no difference between vascularization grade |
| 3 | Wirbel, 2005 | [28] | retrospective | PrO | Renal 45, other 17 | Spine 41, pelvis 21 | 62 | 32 | Embolization vs. no embolization | Blood loss, blood replacement, operating time | 2 m | Embolization reduces blood loss and need for blood replacement |
| 4 | Forauer, 2007 | [20] | retrospective | Pa | Renal cell carcinoma | Pelvic 18, spine 5, other 16 | 21 | 39 | 0 | Pain palliation | 1 m, 2 M | Effective pain palliation was achieved in 36/39 sites, average duration 5.5 months |
| 5 | Kickuth, 2008 | [29] | retrospective | PrO | Renal cell 18, other 4 | Femur 14, humerus 4, other 4 | 22 | 22 | Complete devascularization vs. incomplete devascularization | Blood loss | 1 m, 1 M | No difference in blood loss for various degree of devascularization |
| 6 | Kwon, 2010 | [30] | retrospective | PrO | Lung 7, renal 4, hepatic 4, other 10 | Femur 20, humerus 5 | 23 | 25 | 0 | Blood loss | 0 | Embolization reduces blood loss |
| 7 | Koike, 2011 | [31] | retrospective | Pa | Hepatic 6, Renal 3, Gynecological 3, Other | Spine 9, pelvis 8, femur 1, rib 1 | 18 | 40 | 0 | Pain palliation | 4 m | The VAS score was significantly decreased by TACE/TAE. |
| 8 | Rossi, 2011 | [6] | retrospective | Pa | Renal 84, lung 22, breast 20, other 117 | Pelvis 154, spine 83, other 72 | 243 | 309 | 0 | Pain palliation | 86 m, 1 M | Effective pain palliation was achieved in 97% of procedures, average duration 8.1 months |
| 9 | Robial, 2012 | [32] | retrospective | PrO | Breast 28, lung 19, renal 16, other 30 | Spine | 93 | 35 | Embolization vs. no embolization | Blood loss | ND | Embolization reduces blood loss and need for blood replacement |
| 10 | Kato, 2013 | [33] | retrospective | PrO | Thyroid 39, renal 27 | Spine | 58 | 66 | Optimal timing between embolization and surgery | Blood loss | 0 | Embolization reduces blood loss |
| 11 | Rossi, 2013 | [34] | retrospective | Pa | Renal cell carcinoma | Pelvis 67, spine 32, other 8 | 107 | 163 | 0 | Pain palliation | 40 m, 1 M | Effective pain palliation was achieved in 96% of procedures, average duration 10 months |
| 12 | Pazionis, 2014 | [35] | retrospective | PrO | Renal cell carcinoma, thyroid carcinoma | Femur 49, humerus 35, pelvis 31, other 7 | 118 | 53 | Embolization vs. no embolization | Blood loss, operating time, renal function impairment | 2 m | Embolization reduces blood loss and need for blood replacement |
| 13 | Clausen, 2015 | [36] | RCT | PrO | Lung 17, breast 8, other 20 | Spine | 45 | 23 | Embolization vs. no embolization | Blood loss, blood replacement, surgery time | 4 m, 1 M | Embolization reduces opeative time; blood loss is reduced only in hypervascular metastases |
| 14 | Kim, 2015 | [37] | retrospective | PrO | HCC | Femur 36, humerus 22, other 17 | 75 | 22 | Embolization vs. no embolization | Blood loss | ND | Embolization reduces blood loss |
| 15 | Ratasvuori, 2016 | [38] | retrospective | PrO | Renal cell carcinoma | Femur 82, pelvis 15, other 51 | 148 | 56 | Embolization vs. no embolization | Blood loss | 0 | No effect on blood loss after embolization |
| 16 | Facchini, 2016 | [9] | retrospective | Pa | Renal 54, breast 22, other | Spine | 164 | 178 | 0 | Pain palliation | 100 m, 1 M | Effective pain palliation was achieved in 97% of procedures, average duration 9.2 months |
| 17 | Jernigan 2018 | [39] | retrospective | PrO | Renal cell carcinoma | Femur | 1285 | 135 | Embolization vs. no embolization | Transfusion requirements | ND | No effect on transfusion requirements |
| 18 | Çelebioğlu, 2021 | [40] | retrospective | PrO | Renal cell carcinoma | Pelvis 12, spine 7, other 27 | 41 | 46 | Optimal timing between embolization and surgery | Blood loss | 15 m | Surgery should preferably be performed <1 day after embolization |
| 19 | Papalexis, 2023 | [41] | retrospective | Pa | Breast, renal, prostate, lung | Sternum | 10 | 14 | 0 | Pain palliation | 0 | Pain score and analgesic drug consumption were reduced by 50% in all 10 patients (100%, p < 0.05). |
| 20 | Koob, 2022 | [42] | retrospective | PrO | Renal cell carcinoma | Spine 36, extremities 43 | 54 | 30 | Embolization vs. no embolization | Blood loss, operating time | NA | Embolization of the extremities had a negative effect. No effects on spine. |
| 21 | Groot, 2022 | [43] | retrospective | PrO | Breast, prostate, lung | Spine | 106 | 53 | Embolization vs. no embolization | Blood loss, complications | 0 | No complications, no benefit from embolization |
| 22 | Acuña, 2023 | [18] | retrospective | PrO | Renal cell carcinoma 69, thyroid carcinoma 8 | Lower extremities 51, upper extremities 25, spine 7 | 77 | 46 | No embolization vs. embolization < 24 h surgery vs. >24 h surgery | Blood loss | NA | Surgery may be delayed >24 h from embolization. In selected cohorts, embolization may not be needed. |
| Clinical Setting | Indication | Primary Goals | Key Points |
|---|---|---|---|
| Oncologic | Hypervascular bone metastases (e.g., renal cell carcinoma, thyroid) | Pain palliation, local control | Effective for pain relief and reducing intraoperative blood loss; ideal for hypervascular metastases unresponsive to radio/chemotherapy. |
| Primary bone and soft tissue tumors (e.g., aneurysmal bone cysts, desmoid fibromatosis) | Alternative to surgery or percutaneous ablations | Useful when tumors are near neurovascular structures, offering symptom control with minimal invasiveness. | |
| Preoperative | Tumors requiring surgical resection in difficult-to-access areas (e.g., pelvis, spine) | Reduce blood loss during surgery | Reduces perioperative complications and enhances tumor visualization for surgical intervention. |
| Palliative | Advanced malignancies with limited curative options | Symptom relief | Suitable for patients with poor surgical candidacy, providing temporary symptom relief and improved quality of life. |
| Degenerative | Knee osteoarthritis, adhesive capsulitis | Pain reduction, functional improvement | Expands options for patients unresponsive to conservative treatments but not candidates for surgery. |
| Inflammatory Musculoskeletal | Conditions like lateral epicondylitis, chronic tendinopathy | Pain relief, functional recovery | Offers symptom management in chronic inflammatory cases where conservative management has failed. |
Disclaimer/Publisher’s Note: The statements, opinions and data contained in all publications are solely those of the individual author(s) and contributor(s) and not of MDPI and/or the editor(s). MDPI and/or the editor(s) disclaim responsibility for any injury to people or property resulting from any ideas, methods, instructions or products referred to in the content. |
© 2024 by the authors. Licensee MDPI, Basel, Switzerland. This article is an open access article distributed under the terms and conditions of the Creative Commons Attribution (CC BY) license (https://creativecommons.org/licenses/by/4.0/).
Share and Cite
Papalexis, N.; Peta, G.; Carta, M.; Quarchioni, S.; Di Carlo, M.; Miceli, M.; Facchini, G. How Arterial Embolization Is Transforming Treatment of Oncologic and Degenerative Musculoskeletal Disease. Curr. Oncol. 2024, 31, 7523-7554. https://doi.org/10.3390/curroncol31120555
Papalexis N, Peta G, Carta M, Quarchioni S, Di Carlo M, Miceli M, Facchini G. How Arterial Embolization Is Transforming Treatment of Oncologic and Degenerative Musculoskeletal Disease. Current Oncology. 2024; 31(12):7523-7554. https://doi.org/10.3390/curroncol31120555
Chicago/Turabian StylePapalexis, Nicolas, Giuliano Peta, Michela Carta, Simone Quarchioni, Maddalena Di Carlo, Marco Miceli, and Giancarlo Facchini. 2024. "How Arterial Embolization Is Transforming Treatment of Oncologic and Degenerative Musculoskeletal Disease" Current Oncology 31, no. 12: 7523-7554. https://doi.org/10.3390/curroncol31120555
APA StylePapalexis, N., Peta, G., Carta, M., Quarchioni, S., Di Carlo, M., Miceli, M., & Facchini, G. (2024). How Arterial Embolization Is Transforming Treatment of Oncologic and Degenerative Musculoskeletal Disease. Current Oncology, 31(12), 7523-7554. https://doi.org/10.3390/curroncol31120555

