Failure Modes in Orthopedic Oncologic Reconstructive Surgery: A Review of Imaging Findings and Failure Rates
Abstract
1. Introduction
2. Failure Modes in Orthopedic Oncologic Reconstructive Surgery
2.1. Type 1 Failures—Soft Tissues

2.2. Type 2 Failures—Loosening and Nonunion
2.2.1. Endoprosthetic Aseptic Loosening
- Possibly loose involves radiolucent zones at greater than 50% but less than 100% of the cement–bone interface;
- Probably loose involves a continuous lucent line around 100% of the cement mantle without evidence of migration;
- Definitely loose involves migration of the cement or the implant.
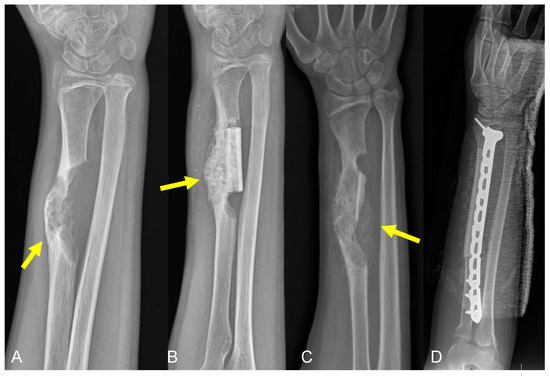
2.2.2. Graft–Host Nonunion
2.3. Type 3 Failures—Structural
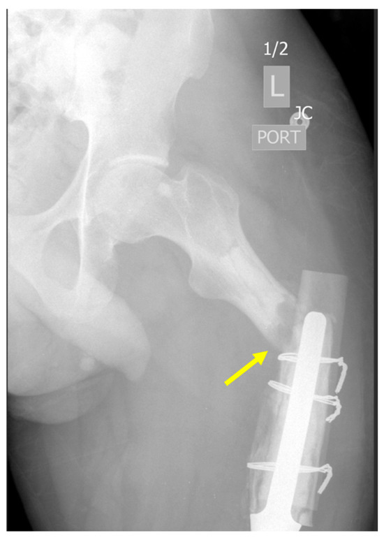
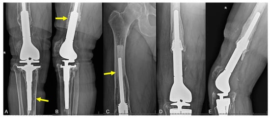
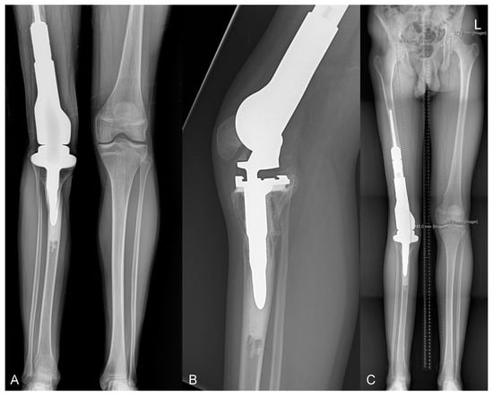
2.3.1. Structural Failure of Endoprostheses
- Type A: Fracture of an apophysis or protuberance of bone;
- Type B: Fracture involving the bed supporting or adjacent to an implant (B1, the implant is still well fixed; B2, the implant is loose; B3, the implant is loose and the bone bed is of poor quality);
- Type C: Fracture in the bone containing the implant but distant from the bed of the implant;
- Type D: Fracture affecting one bone which supports two replacements;
- Type E: Fracture involving two bones supporting one replacement;
- Type F: Fracture involving a joint surface which is not resurfaced or replaced but is directly articulating with an implant.
- Type I: Fracture proximal to femoral knee component;
- Type II: Fracture originating at the proximal aspect of the femoral knee component and extending proximally;
- Type III: Any part of the fracture line is distal to the upper edge of the anterior flange of the femoral knee component.
2.3.2. Structural Failure of Allografts
2.4. Type 4 Failures—Infection
2.5. Type 5 Failures
2.6. Type 6 Failures
3. Discussions
Author Contributions
Funding
Informed Consent Statement
Conflicts of Interest
References
- Perez, J.R.; Jose, J.; Mohile, N.V.; Boden, A.L.; Greif, D.N.; Barrera, C.M.; Conway, S.; Subhawong, T.; Ugarte, A.; Pretell-Mazzini, J. Limb salvage reconstruction: Radiologic features of common reconstructive techniques and their complications. J. Orthop. 2020, 21, 183–191. [Google Scholar] [CrossRef]
- Fox, E.J.; Hau, M.A.; Gebhardt, M.C.; Hornicek, F.J.; Tomford, W.W.; Mankin, H.J. Long-term followup of proximal femoral allografts. Clin. Orthop. Relat. Res. 2002, 397, 106–113. [Google Scholar] [CrossRef]
- Choong, P.F.M. The role of allografts in tumour surgery. Acta Orthop. Scand. 1997, 68, 89–94. [Google Scholar] [CrossRef]
- Ortiz-Cruz, E.; Gebhardt, M.C.; Jennings, L.C.; Springfield, D.S.; Mankin, H.J. The results of transplantation of intercalary allografts after resection of tumors. A long-term follow-up study. J. Bone Jt. Surg. Am. 1997, 79, 97–106. [Google Scholar] [CrossRef]
- Henderson, E.R.; Groundland, J.S.; Pala, E.; Dennis, J.A.; Wooten, R.; Cheong, D.; Windhager, R.; Kotz, R.I.; Mercuri, M.; Funovics, P.T.; et al. Failure mode classification for tumor endoprostheses: Retrospective review of five institutions and a literature review. J. Bone Jt. Surg. Am. 2011, 93, 418–429. [Google Scholar] [CrossRef]
- Henderson, E.R.; O’Connor, M.I.; Ruggieri, P.; Windhager, R.; Funovics, P.T.; Gibbons, C.L.; Guo, W.; Hornicek, F.J.; Temple, H.T.; Letson, G.D. Classification of failure of limb salvage after reconstructive surgery for bone tumours. Bone Jt. J. 2014, 96-B, 1436–1440. [Google Scholar] [CrossRef]
- Thornley, P.; Vicente, M.; MacDonald, A.; Evaniew, N.; Ghert, M.; Velez, R. Causes and Frequencies of Reoperations after Endoprosthetic Reconstructions for Extremity Tumor Surgery: A Systematic Review. Clin. Orthop. Relat. Res. 2019, 477, 894–902. [Google Scholar] [CrossRef]
- Khan, I.; Gerrand, C.; Saifuddin, A. Imaging following surgery for primary appendicular bone tumours. Skelet. Radiol. 2021, 50, 1527–1555. [Google Scholar] [CrossRef]
- Kadam, D. Limb salvage surgery. Indian J. Plast. Surg. 2013, 46, 265–274. [Google Scholar] [CrossRef]
- Potter, B.K.; Adams, S.C.; Pitcher, J.D., Jr.; Malinin, T.I.; Temple, H.T. Proximal humerus reconstructions for tumors. Clin. Orthop. Relat. Res. 2009, 467, 1035–1041. [Google Scholar] [CrossRef]
- Getty, P.J.; Peabody, T.D. Complications and functional outcomes of reconstruction with an osteoarticular allograft after intra-articular resection of the proximal aspect of the humerus. J. Bone Jt. Surg. Am. 1999, 81, 1138–1146. [Google Scholar] [CrossRef]
- Byun, D.J.; Katz, L.M.; Xiao, J.; Rapp, T.B.; Paoluzzi, L.; Rosen, G.; Schiff, P.B. Modern Management of High-risk Soft Tissue Sarcoma with Neoadjuvant Chemoradiation: A Single-center Experience. Am. J. Clin. Oncol. 2021, 44, 24–31. [Google Scholar] [CrossRef]
- O’Sullivan, B.; Davis, A.M.; Turcotte, R.; Bell, R.; Catton, C.; Chabot, P.; Wunder, J.; Kandel, R.; Goddard, K.; Sadura, A.; et al. Preoperative versus postoperative radiotherapy in soft-tissue sarcoma of the limbs: A randomised trial. Lancet 2002, 359, 2235–2241. [Google Scholar] [CrossRef]
- Nodzo, S.R.; Bauer, T.; Pottinger, P.S.; Garrigues, G.E.; Bedair, H.; Deirmengian, C.A.; Segreti, J.; Blount, K.J.; Omar, I.M.; Parvizi, J. Conventional Diagnostic Challenges in Periprosthetic Joint Infection. J. Am. Acad. Orthop. Surg. 2015, 23, S18–S25. [Google Scholar] [CrossRef]
- Mushtaq, N.; To, K.; Gooding, C.; Khan, W. Radiological Imaging Evaluation of the Failing Total Hip Replacement. Front. Surg. 2019, 6, 35. [Google Scholar] [CrossRef]
- Böhler, C.; Brönimann, S.; Kaider, A.; Puchner, S.E.; Sigmund, I.K.; Windhager, R.; Funovics, P.T. Surgical and Functional Outcome after Endoprosthetic Reconstruction in Patients with Osteosarcoma of the Humerus. Sci. Rep. 2018, 8, 16148. [Google Scholar] [CrossRef]
- Theil, C.; Schwarze, J.; Gosheger, G.; Moellenbeck, B.; Schneider, K.N.; Deventer, N.; Klingebiel, S.; Grammatopoulos, G.; Boettner, F.; Schmidt-Braekling, T. Implant Survival, Clinical Outcome and Complications of Megaprosthetic Reconstructions Following Sarcoma Resection. Cancers 2022, 14, 351. [Google Scholar] [CrossRef]
- Henderson, E.R.; Keeney, B.J.; Pala, E.; Funovics, P.T.; Eward, W.C.; Groundland, J.S.; Ehrlichman, L.K.; Puchner, S.S.E.; Brigman, B.E.; Ready, J.E.; et al. The stability of the hip after the use of a proximal femoral endoprosthesis for oncological indications. Bone Jt. J. 2017, 99-B, 531–537. [Google Scholar] [CrossRef]
- Pala, E.; Henderson, E.R.; Calabrò, T.; Angelini, A.; Abati, C.N.; Trovarelli, G.; Ruggieri, P. Survival of current production tumor endoprostheses: Complications, functional results, and a comparative statistical analysis. J. Surg. Oncol. 2013, 108, 403–408. [Google Scholar] [CrossRef]
- Haijie, L.; Dasen, L.; Tao, J.; Yi, Y.; Xiaodong, T.; Wei, G. Implant Survival and Complication Profiles of Endoprostheses for Treating Tumor around the Knee in Adults: A Systematic Review of the Literature over the Past 30 Years. J. Arthroplast. 2018, 33, 1275–1287.e3. [Google Scholar] [CrossRef]
- Abdel, M.P.; Carender, C.N.; Bedard, N.A.; Perry, K.I.; Pagnano, M.W.; Hanssen, A.D. Marlex Mesh Reconstruction of the Extensor Mechanism: A Concise 5-Year Follow-up of 2 Previous Reports*. J. Bone Jt. Surg. 2024, 106, 608–616. [Google Scholar] [CrossRef]
- Kienapfel, H.; Sprey, C.; Wilke, A.; Griss, P. Implant fixation by bone ingrowth. J. Arthroplast. 1999, 14, 355–368. [Google Scholar] [CrossRef]
- Sumner, D.R.; Turner, T.M.; Pierson, R.H.; Kienapfel, H.; Urban, R.M.; Liebner, E.J.; Galante, J.O. Effects of radiation on fixation of non-cemented porous-coated implants in a canine model. J. Bone Jt. Surg. Am. 1990, 72, 1527–1533. [Google Scholar] [CrossRef]
- Young, D.R.; Shih, L.Y.; Rock, M.G.; Frassica, F.J.; Virolainen, P.; Chao, E.Y. Effect of cisplatin chemotherapy on extracortical tissue formation in canine diaphyseal segmental replacement. J. Orthop. Res. 1997, 15, 773–780. [Google Scholar] [CrossRef]
- Horowitz, S.M.; Rapuano, B.P.; Lane, J.M.; Burstein, A.H. The interaction of the macrophage and the osteoblast in the pathophysiology of aseptic loosening of joint replacements. Calcif. Tissue Int. 1994, 54, 320–324. [Google Scholar] [CrossRef]
- Turcotte, R.E.; Stavropoulos, N.A.; Toreson, J.; Alsultan, M. Radiographic assessment of distal femur cemented stems in tumor endoprostheses. Eur. J. Orthop. Surg. Traumatol. 2017, 27, 821–827. [Google Scholar] [CrossRef]
- Gruen, T.A.; McNeice, G.M.; Amstutz, H.C. “Modes of failure” of cemented stem-type femoral components: A radiographic analysis of loosening. Clin. Orthop. Relat. Res. 1979, 141, 17–27. [Google Scholar] [CrossRef]
- Khalily, C.; Whiteside, L.A. Predictive value of early radiographic findings in cementless total hip arthroplasty femoral components: An 8- to 12-Year Follow-up. J. Arthroplast. 1998, 13, 768–773. [Google Scholar] [CrossRef]
- Pedtke, A.C.; Wustrack, R.L.; Fang, A.S.; Grimer, R.J.; O’Donnell, R.J. Aseptic Failure: How Does the Compress® Implant Compare to Cemented Stems? Clin. Orthop. Relat. Res. 2012, 470, 735–742. [Google Scholar] [CrossRef]
- Endo, Y.; Burge, A.J.; Koff, M.F.; Lin, B.; Westrich, G.H.; Boettner, F.; Chiu, Y.-F.; Potter, H.G. Diagnostic Performance of MRI for Component Loosening in Total Knee Arthroplasty Compared with Radiography. Radiology 2022, 304, 128–136. [Google Scholar] [CrossRef]
- Unwin, P.S.; Cannon, S.R.; Grimer, R.J.; Kemp, H.B.; Sneath, R.S.; Walker, P.S. Aseptic loosening in cemented custom-made prosthetic replacements for bone tumours of the lower limb. J. Bone Jt. Surg. Br. 1996, 78, 5–13. [Google Scholar] [CrossRef]
- Barrack, R.L.; Mulroy, R.D.; Harris, W.H. Improved cementing techniques and femoral component loosening in young patients with hip arthroplasty. A 12-year radiographic review. J. Bone Jt. Surg. Br. Vol. 1992, 74-B, 385–389. [Google Scholar] [CrossRef]
- Moses Li, M.L.; Wong, K.C.; Chiu, W.K.; Kumta, S.-m. Intermediate-term results and risk factors analysis of tumor endoprosthesis in paediatric patients after the resection of lower extremity bone sarcoma. J. Orthop. Surg. 2022, 30, 10225536221132403. [Google Scholar] [CrossRef]
- Healey, J.H.; Morris, C.D.; Athanasian, E.A.; Boland, P.J. Compress® Knee Arthroplasty Has 80% 10-year Survivorship and Novel Forms of Bone Failure. Clin. Orthop. Relat. Res. 2013, 471, 774–783. [Google Scholar] [CrossRef]
- Pugh, L.R.; Clarkson, P.W.; Phillips, A.E.; Biau, D.J.; Masri, B.A. Tumor Endoprosthesis Revision Rates Increase with Peri-Operative Chemotherapy but Are Reduced with the Use of Cemented Implant Fixation. J. Arthroplast. 2014, 29, 1418–1422. [Google Scholar] [CrossRef]
- Somford, M.P.; van den Bekerom, M.P.J.; Kloen, P. Operative treatment for femoral shaft nonunions, a systematic review of the literature. Strateg. Trauma Limb Reconstr. 2013, 8, 77–88. [Google Scholar] [CrossRef]
- Hornicek, F.J.; Gebhardt, M.C.; Tomford, W.W.; Sorger, J.I.; Zavatta, M.; Menzner, J.P.; Mankin, H.J. Factors affecting nonunion of the allograft-host junction. Clin. Orthop. Relat. Res. 2001, 382, 87–98. [Google Scholar] [CrossRef]
- Hazan, E.J.; Hornicek, F.J.; Tomford, W.; Gebhardt, M.C.; Mankin, H.J. The effect of adjuvant chemotherapy on osteoarticular allografts. Clin. Orthop. Relat. Res. 2001, 385, 176–181. [Google Scholar] [CrossRef]
- Rodriguez-Merchan, E.C.; Forriol, F. Nonunion: General Principles and Experimental Data. Clin. Orthop. Relat. Res. 2004, 419, 4–12. [Google Scholar] [CrossRef]
- Calori, G.M.; Mazza, E.L.; Mazzola, S.; Colombo, A.; Giardina, F.; Romanò, F.; Colombo, M. Non-unions. Clin. Cases Miner. Bone Metab. 2017, 14, 186–188. [Google Scholar] [CrossRef]
- Brien, E.W.; Terek, R.M.; Healey, J.H.; Lane, J.M. Allograft reconstruction after proximal tibial resection for bone tumors. An analysis of function and outcome comparing allograft and prosthetic reconstructions. Clin. Orthop. Relat. Res. 1994, 303, 116–127. [Google Scholar] [CrossRef]
- Brigman, B.E.; Hornicek, F.J.; Gebhardt, M.C.; Mankin, H.J. Allografts about the Knee in Young Patients with High-Grade Sarcoma. Clin. Orthop. Relat. Res. 2004, 421, 232–239. [Google Scholar] [CrossRef]
- Gebhardt, M.C.; Flugstad, D.I.; Springfield, D.S.; Mankin, H.J. The use of bone allografts for limb salvage in high-grade extremity osteosarcoma. Clin. Orthop. Relat. Res. 1991, 270, 181–196. [Google Scholar] [CrossRef]
- Mankin, H.J.; Gebhardt, M.C.; Jennings, L.C.; Springfield, D.S.; Tomford, W.W. Long-term results of allograft replacement in the management of bone tumors. Clin. Orthop. Relat. Res. 1996, 324, 86–97. [Google Scholar] [CrossRef]
- Sanders, P.T.J.; Spierings, J.F.; Albergo, J.I.; Bus, M.P.A.; Fiocco, M.; Farfalli, G.L.; van de Sande, M.A.J.; Aponte-Tinao, L.A.; Dijkstra, P.D.S. Long-Term Clinical Outcomes of Intercalary Allograft Reconstruction for Lower-Extremity Bone Tumors. J. Bone Jt. Surg. 2020, 102, 1042–1049. [Google Scholar] [CrossRef]
- Houdek, M.T.; Bayne, C.O.; Bishop, A.T.; Shin, A.Y. The outcome and complications of vascularised fibular grafts. Bone Jt. J. 2017, 99-B, 134–138. [Google Scholar] [CrossRef]
- Araki, Y.; Yamamoto, N.; Hayashi, K.; Takeuchi, A.; Miwa, S.; Igarashi, K.; Higuchi, T.; Abe, K.; Taniguchi, Y.; Yonezawa, H.; et al. Clinical outcomes of frozen autograft reconstruction for the treatment of primary bone sarcoma in adolescents and young adults. Sci. Rep. 2021, 11, 17291. [Google Scholar] [CrossRef]
- Igarashi, K.; Yamamoto, N.; Shirai, T.; Hayashi, K.; Nishida, H.; Kimura, H.; Takeuchi, A.; Tsuchiya, H. The long-term outcome following the use of frozen autograft treated with liquid nitrogen in the management of bone and soft-tissue sarcomas. Bone Jt. J. 2014, 96-B, 555–561. [Google Scholar] [CrossRef]
- Kapoor, L.; Singh, H.; Sahoo, B.; Banjara, R.; Kumar, V.S.; Bakhshi, S.; Sharma, D.N.; Khan, S.A. Factors affecting the incorporation of extracorporeally irradiated autograft for the treatment of bone tumours—A retrospective analysis from a tertiary referral centre. Int. Orthop. 2023, 47, 1361–1372. [Google Scholar] [CrossRef]
- Oike, N.; Kawashima, H.; Ogose, A.; Hatano, H.; Ariizumi, T.; Kaidu, M.; Aoyama, H.; Endo, N. Long-term outcomes of an extracorporeal irradiated autograft for limb salvage operations in musculoskeletal tumours: Over ten years’ observation. Bone Jt. J. 2019, 101-B, 1151–1159. [Google Scholar] [CrossRef]
- Bus, M.P.A.; Dijkstra, P.D.S.; van de Sande, M.A.J.; Taminiau, A.H.M.; Schreuder, H.W.B.; Jutte, P.C.; van der Geest, I.C.M.; Schaap, G.R.; Bramer, J.A.M. Intercalary Allograft Reconstructions Following Resection of Primary Bone Tumors: A Nationwide Multicenter Study. J. Bone Jt. Surg. 2014, 96, e26. [Google Scholar] [CrossRef]
- Özger, H.; Alpan, B.; Salduz, A.; Gurkan, V.; Sungur, M.; Valiyev, N.; Eralp, L. Mid-term implant survival, functional and radiological results and mechanical complications of mega-prosthetic reconstruction around the knee with the PENTA® system. Arch. Orthop. Trauma Surg. 2022, 142, 2323–2333. [Google Scholar] [CrossRef]
- Staals, E.L.; Sambri, A.; Campanacci, D.A.; Muratori, F.; Leithner, A.; Gilg, M.M.; Gortzak, Y.; Van De Sande, M.; Dierselhuis, E.; Mascard, E.; et al. Expandable distal femur megaprosthesis: A European Musculoskeletal Oncology Society study on 299 cases. J. Surg. Oncol. 2020, 122, 760–765. [Google Scholar] [CrossRef]
- Tayara, B.; Nooh, A.; Chalopin, A.; Goulding, K.; Turcotte, R.E. Outcomes of Cemented Distal Femoral Replacement Using “Line to Line” Technique with All-Polyethylene Tibial Implant for Tumors. J. Arthroplast. 2021, 36, 2913–2920. [Google Scholar] [CrossRef]
- Tan, T.J.; Aljefri, A.M.; Clarkson, P.W.; Masri, B.A.; Ouellette, H.A.; Munk, P.L.; Mallinson, P.I. Imaging of limb salvage surgery and pelvic reconstruction following resection of malignant bone tumours. Eur. J. Radiol. 2015, 84, 1782–1790. [Google Scholar] [CrossRef]
- Duncan, C.P.; Haddad, F.S. The Unified Classification System (UCS): Improving our understanding of periprosthetic fractures. Bone Jt. J. 2014, 96-B, 713–716. [Google Scholar] [CrossRef]
- Barut, N.; Anract, P.; Babinet, A.; Biau, D. Peri-prosthetic fractures around tumor endoprostheses: A retrospective analysis of eighteen cases. Int. Orthop. 2015, 39, 1851–1856. [Google Scholar] [CrossRef]
- Su, E.T.; DeWal, H.; Di Cesare, P.E. Periprosthetic Femoral Fractures above Total Knee Replacements. J. Am. Acad. Orthop. Surg. 2004, 12, 12–20. [Google Scholar] [CrossRef]
- Sakayama, K.; Kidani, T.; Fujibuchi, T.; Kamogawa, J.; Yamamoto, H.; Shibata, T. Reconstruction surgery for patients with musculoskeletal tumor, using a pasteurized autogenous bone graft. Int. J. Clin. Oncol. 2004, 9, 167–173. [Google Scholar] [CrossRef]
- Amr, S.M.; El-Mofty, A.O.; Amin, S.N.; Morsy, A.M.; El-Malt, O.M.; Abdel-Aal, H.A. Reconstruction after resection of tumors around the knee: Role of the free vascularized fibular graft. Microsurgery 2000, 20, 233–251. [Google Scholar] [CrossRef]
- Beris, A.E.; Lykissas, M.G.; Korompilias, A.V.; Vekris, M.D.; Mitsionis, G.I.; Malizos, K.N.; Soucacos, P.N. Vascularized fibula transfer for lower limb reconstruction. Microsurgery 2011, 31, 205–211. [Google Scholar] [CrossRef]
- Ihara, K.; Doi, K.; Yamamoto, M.; Kawai, S. Free vascularized fibular grafts for large bone defects in the extremities after tumor excision. J. Reconstr. Microsurg. 1998, 14, 371–376. [Google Scholar] [CrossRef]
- Takenaka, S.; Araki, N.; Ueda, T.; Kakunaga, S.; Imura, Y.; Hamada, K.-I.; Outani, H.; Naka, N.; Myoui, A.; Yoshikawa, H. Clinical Outcomes of Osteoarticular Extracorporeal Irradiated Autograft for Malignant Bone Tumor. Sarcoma 2020, 2020, 9672093. [Google Scholar] [CrossRef]
- Chakarun, C.J.; Learch, T.J.; White, E.A.; Menendez, L.R.; Brien, E.W.; Matcuk, G.R.; Patel, D.B. Limb-sparing surgery for distal femoral and proximal tibial bone lesions: Imaging findings with intraoperative correlation. Am. J. Roentgenol. 2013, 200, W193–W203. [Google Scholar] [CrossRef]
- Albergo, J.I.; Gaston, C.L.; Aponte-Tinao, L.A.; Ayerza, M.A.; Muscolo, D.L.; Farfalli, G.L.; Jeys, L.M.; Carter, S.R.; Tillman, R.M.; Abudu, A.T.; et al. Proximal Tibia Reconstruction after Bone Tumor Resection: Are Survivorship and Outcomes of Endoprosthetic Replacement and Osteoarticular Allograft Similar? Clin. Orthop. Relat. Res. 2017, 475, 676–682. [Google Scholar] [CrossRef]
- Jeys, L.; Grimer, R. The long-term risks of infection and amputation with limb salvage surgery using endoprostheses. Recent Results Cancer Res. 2009, 179, 75–84. [Google Scholar] [CrossRef]
- Natarajan, M.V.; Balasubramanian, N.; Jayasankar, V.; Sameer, M. Endoprosthetic reconstruction using total femoral custom mega prosthesis in malignant bone tumours. Int. Orthop. 2009, 33, 1359–1363. [Google Scholar] [CrossRef]
- Della Valle, C.; Parvizi, J.; Bauer, T.W.; DiCesare, P.E.; Evans, R.P.; Segreti, J.; Spangehl, M.; Watters, W.C.I.; Keith, M.; Turkelson, C.M.; et al. American Academy of Orthopaedic Surgeons Clinical Practice Guideline on: The Diagnosis of Periprosthetic Joint Infections of the Hip and Knee. J. Bone Jt. Surg. 2011, 93, 1355–1357. [Google Scholar] [CrossRef]
- Craig, J.G.; Amin, M.B.; Wu, K.; Eyler, W.R.; van Holsbeeck, M.T.; Bouffard, J.A.; Shirazi, K. Osteomyelitis of the diabetic foot: MR imaging-pathologic correlation. Radiology 1997, 203, 849–855. [Google Scholar] [CrossRef]
- Kan, J.H.; Young, R.S.; Yu, C.; Hernanz-Schulman, M. Clinical impact of gadolinium in the MRI diagnosis of musculoskeletal infection in children. Pediatr. Radiol. 2010, 40, 1197–1205. [Google Scholar] [CrossRef]
- Simpfendorfer, C.S. Radiologic Approach to Musculoskeletal Infections. Infect. Dis. Clin. N. Am. 2017, 31, 299–324. [Google Scholar] [CrossRef]
- Stumpe, K.D.M.; Nötzli, H.P.; Zanetti, M.; Kamel, E.M.; Hany, T.F.; Görres, G.W.; von Schulthess, G.K.; Hodler, J. FDG PET for Differentiation of Infection and Aseptic Loosening in Total Hip Replacements: Comparison with Conventional Radiography and Three-Phase Bone Scintigraphy. Radiology 2004, 231, 333–341. [Google Scholar] [CrossRef]
- Fritz, J.; Fishman, E.K.; Corl, F.; Carrino, J.A.; Weber, K.L.; Fayad, L.M. Imaging of Limb Salvage Surgery. Am. J. Roentgenol. 2012, 198, 647–660. [Google Scholar] [CrossRef]
- Fritz, J.; Fritz, B.; Thawait, G.K.; Raithel, E.; Gilson, W.D.; Nittka, M.; Mont, M.A. Advanced metal artifact reduction MRI of metal-on-metal hip resurfacing arthroplasty implants: Compressed sensing acceleration enables the time-neutral use of SEMAC. Skelet. Radiol. 2016, 45, 1345–1356. [Google Scholar] [CrossRef]
- Kumar, N.M.; de Cesar Netto, C.; Schon, L.C.; Fritz, J. Metal Artifact Reduction Magnetic Resonance Imaging around Arthroplasty Implants: The Negative Effect of Long Echo Trains on the Implant-Related Artifact. Investig. Radiol. 2017, 52, 310–316. [Google Scholar] [CrossRef]
- Karchevsky, M.; Schweitzer, M.E.; Morrison, W.B.; Parellada, J.A. MRI Findings of Septic Arthritis and Associated Osteomyelitis in Adults. Am. J. Roentgenol. 2004, 182, 119–122. [Google Scholar] [CrossRef]
- Crim, J.; Salmon, S.; Waranch, C.; Elfrink, J.; Layfield, E.; Stensby, J.D. Update on MRI findings of osteomyelitis of long bones in the adult population. Skelet. Radiol. 2022, 51, 1787–1796. [Google Scholar] [CrossRef]
- Kohyama, S.; Yoshii, Y.; Okamoto, Y.; Nakajima, T. Advances in Bone Joint Imaging-Metal Artifact Reduction. Diagnostics 2022, 12, 3079. [Google Scholar] [CrossRef]
- Jeys, L.M.; Grimer, R.J.; Carter, S.R.; Tillman, R.M. Periprosthetic Infection in Patients Treated for an Orthopaedic Oncological Condition. J. Bone Jt. Surg. 2005, 87, 842–849. [Google Scholar] [CrossRef]
- Lord, C.F.; Gebhardt, M.C.; Tomford, W.W.; Mankin, H.J. Infection in bone allografts. Incidence, nature, and treatment. J. Bone Jt. Surg. Am. 1988, 70, 369–376. [Google Scholar] [CrossRef]
- Donati, D.; Di Bella, C.; Col Angeli, M.; Bianchi, G.; Mercuri, M. The use of massive bone allografts in bone tumour surgery of the limb. Curr. Orthop. 2005, 19, 393–399. [Google Scholar] [CrossRef]
- Loty, B.; Tomeno, B.; Evrard, J.; Postel, M. Infection in massive bone allografts sterilised by radiation. Int. Orthop. 1994, 18, 164–171. [Google Scholar] [CrossRef]
- Mankin, H.J.; Hornicek, F.J.; Raskin, K.A. Infection in Massive Bone Allografts. Clin. Orthop. Relat. Res. 2005, 432, 210–216. [Google Scholar] [CrossRef]
- Frisoni, T.; Cevolani, L.; Giorgini, A.; Dozza, B.; Donati, D.M. Factors affecting outcome of massive intercalary bone allografts in the treatment of tumours of the femur. J. Bone Jt. Surg. Br. Vol. 2012, 94, 836–841. [Google Scholar] [CrossRef]
- Hardes, J.; Henrichs, M.-P.; Gosheger, G.; Guder, W.; Nottrott, M.; Andreou, D.; Bormann, E.; Eveslage, M.; Hauschild, G.; Streitbürger, A. Tumour endoprosthesis replacement in the proximal tibia after intra-articular knee resection in patients with sarcoma and recurrent giant cell tumour. Int. Orthop. 2018, 42, 2475–2481. [Google Scholar] [CrossRef]
- Ezuddin, N.S.; Pretell-Mazzini, J.; Yechieli, R.L.; Kerr, D.A.; Wilky, B.A.; Subhawong, T.K. Local recurrence of soft-tissue sarcoma: Issues in imaging surveillance strategy. Skelet. Radiol. 2018, 47, 1595–1606. [Google Scholar] [CrossRef]
- Liu, F.; Zhang, Q.; Zhu, D.; Liu, F.; Li, Z.; Li, J.; Wang, B.; Zhou, D.; Dong, J. Performance of Positron Emission Tomography and Positron Emission Tomography/Computed Tomography Using Fluorine-18-Fluorodeoxyglucose for the Diagnosis, Staging, and Recurrence Assessment of Bone Sarcoma: A Systematic Review and Meta-Analysis. Medicine 2015, 94, e1462. [Google Scholar] [CrossRef]
- Roberts, C.C.; Kransdorf, M.J.; Beaman, F.D.; Adler, R.S.; Amini, B.; Appel, M.; Bernard, S.A.; Fries, I.B.; Germano, I.M.; Greenspan, B.S.; et al. ACR Appropriateness Criteria Follow-Up of Malignant or Aggressive Musculoskeletal Tumors. J. Am. Coll. Radiol. 2016, 13, 389–400. [Google Scholar] [CrossRef]
- Murphey, M.D.; Walker, E.A.; Wilson, A.J.; Kransdorf, M.J.; Temple, H.T.; Gannon, F.H. From the Archives of the AFIP. RadioGraphics 2003, 23, 1245–1278. [Google Scholar] [CrossRef]
- Trent, J.C.; Rosenberg, A.E.; Pollock, R.; Delaney, T.F. Sarcomas: Evidence-Based Diagnosis and Management; Springer Publishing Company: New York, NY, USA, 2020. [Google Scholar]
- Daniels, C.; Wang, W.; Madewell, J.E.; Wei, W.; Amini, B. Pattern of Recurrence of Myxofibrosarcoma is not Associated with Pattern at Presentation or Rate of Delayed Diagnosis. Iran. J. Radiol. 2017, 14, e13469. [Google Scholar] [CrossRef]
- Anderson, M.E. Update on Survival in Osteosarcoma. Orthop. Clin. N. Am. 2016, 47, 283–292. [Google Scholar] [CrossRef]
- Muscolo, D.L.; Ayerza, M.A.; Aponte-Tinao, L.A.; Ranalletta, M. Use of distal femoral osteoarticular allografts in limb salvage surgery. J. Bone Jt. Surg. Am. 2005, 87, 2449–2455. [Google Scholar] [CrossRef]
- Bacci, G.; Forni, C.; Longhi, A.; Ferrari, S.; Mercuri, M.; Bertoni, F.; Serra, M.; Briccoli, A.; Balladelli, A.; Picci, P. Local recurrence and local control of non-metastatic osteosarcoma of the extremities: A 27-year experience in a single institution. J. Surg. Oncol. 2007, 96, 118–123. [Google Scholar] [CrossRef]
- Crompton, B.D.; Goldsby, R.E.; Weinberg, V.K.; Feren, R.; O’Donnell, R.J.; Ablin, A.R. Survival after recurrence of osteosarcoma: A 20-year experience at a single institution. Pediatr. Blood Cancer 2006, 47, 255–259. [Google Scholar] [CrossRef]
- Weeden, S.; Grimer, R.J.; Cannon, S.R.; Taminiau, A.H.M.; Uscinska, B.M. The effect of local recurrence on survival in resected osteosarcoma. Eur. J. Cancer 2001, 37, 39–46. [Google Scholar] [CrossRef]
- Grimer, R.J.; Sommerville, S.; Warnock, D.; Carter, S.; Tillman, R.; Abudu, A.; Spooner, D. Management and outcome after local recurrence of osteosarcoma. Eur. J. Cancer 2005, 41, 578–583. [Google Scholar] [CrossRef]
- Meazza, C.; Bastoni, S.; Scanagatta, P. What is the best clinical approach to recurrent/refractory osteosarcoma? Expert Rev. Anticancer Ther. 2020, 20, 415–428. [Google Scholar] [CrossRef]
- Takeuchi, A.; Lewis, V.O.; Satcher, R.L.; Moon, B.S.; Lin, P.P. What Are the Factors That Affect Survival and Relapse after Local Recurrence of Osteosarcoma? Clin. Orthop. Relat. Res. 2014, 472, 3188–3195. [Google Scholar] [CrossRef]
- Gazendam, A.M.; Popovic, S.; Munir, S.; Parasu, N.; Wilson, D.; Ghert, M. Synovial Sarcoma: A Clinical Review. Curr. Oncol. 2021, 28, 1909–1920. [Google Scholar] [CrossRef]
- Krieg, A.H.; Hefti, F.; Speth, B.M.; Jundt, G.; Guillou, L.; Exner, U.G.; von Hochstetter, A.R.; Cserhati, M.D.; Fuchs, B.; Mouhsine, E.; et al. Synovial sarcomas usually metastasize after >5 years: A multicenter retrospective analysis with minimum follow-up of 10 years for survivors. Ann. Oncol. 2011, 22, 458–467. [Google Scholar] [CrossRef]
- Wuisman, P.; Enneking, W.F. Prognosis for patients who have osteosarcoma with skip metastasis. J. Bone Jt. Surg. Am. 1990, 72, 60–68. [Google Scholar] [CrossRef]
- Henderson, E.R.; Pepper, A.M.; Marulanda, G.; Binitie, O.T.; Cheong, D.; Letson, G.D. Outcome of Lower-Limb Preservation with an Expandable Endoprosthesis after Bone Tumor Resection in Children. J. Bone Jt. Surg. 2012, 94, 537–547. [Google Scholar] [CrossRef]
- Kang, S.; Lee, J.S.; Park, J.; Park, S.S. Staged lengthening and reconstruction for children with a leg-length discrepancy after excision of an osteosarcoma around the knee. Bone Jt. J. 2017, 99-B, 401–408. [Google Scholar] [CrossRef]
- Gaston, C.L.; Tillman, R.M.; Grimer, R.J. Distal femoral physeal growth arrest secondary to a cemented proximal femoral endoprosthetic replacement. J. Bone Jt. Surg. Br. Vol. 2011, 93-B, 708–710. [Google Scholar] [CrossRef]
- Abudu, A.; Grimer, R.; Tillman, R.; Carter, S. The use of prostheses in skeletally immature patients. Orthop. Clin. N. Am. 2006, 37, 75–84. [Google Scholar] [CrossRef]
- Zucchini, R.; Staals, E.L.; Fiore, M.; Campanacci, L.; Giannini, C.; Manfrini, M.; Donati, D.M. Intercalary reconstruction of the distal femur with or without physeal preservation: Results and impact on limb growth. Eur. J. Orthop. Surg. Traumatol. 2022, 32, 1651–1659. [Google Scholar] [CrossRef]
- Cool, W.P.; Carter, S.R.; Grimer, R.J.; Tillman, R.M.; Walker, P.S. Growth after extendible endoprosthetic replacement of the distal femur. J. Bone Jt. Surg. Br. Vol. 1997, 79, 938–942. [Google Scholar] [CrossRef]
- Sevelda, F.; Schuh, R.; Hofstaetter, J.G.; Schinhan, M.; Windhager, R.; Funovics, P.T. Total Femur Replacement after Tumor Resection: Limb Salvage Usually Achieved but Complications and Failures are Common. Clin. Orthop. Relat. Res. 2015, 473, 2079–2087. [Google Scholar] [CrossRef]
- Lesensky, J.; Prince, D.E. Distraction osteogenesis reconstruction of large segmental bone defects after primary tumor resection: Pitfalls and benefits. Eur. J. Orthop. Surg. Traumatol. 2017, 27, 715–727. [Google Scholar] [CrossRef]
- Gautam, D.; Malhotra, R. Megaprosthesis versus Allograft Prosthesis Composite for massive skeletal defects. J. Clin. Orthop. Trauma 2018, 9, 63–80. [Google Scholar] [CrossRef]









| Category | Failure Mode | Subclassification |
|---|---|---|
| Mechanical | Type 1: Soft tissue failure |
|
| Type 2: Aseptic loosening |
| |
| Type 3: Structural failure |
| |
| Non-mechanical | Type 4: Infection |
|
| Type 5: Tumor progression |
| |
| Pediatric | Type 6: Pediatric failures |
|
| Category | Failure Mode | Subclassification |
|---|---|---|
| Mechanical | Type 1: Soft tissue failure |
|
| Type 2: Graft–host nonunion |
| |
| Type 3: Structural failure |
| |
| Non-mechanical | Type 4: Infection |
|
| Type 5: Tumor progression |
| |
| Pediatric | Type 6: Pediatric failures |
|
Disclaimer/Publisher’s Note: The statements, opinions and data contained in all publications are solely those of the individual author(s) and contributor(s) and not of MDPI and/or the editor(s). MDPI and/or the editor(s) disclaim responsibility for any injury to people or property resulting from any ideas, methods, instructions or products referred to in the content. |
© 2024 by the authors. Licensee MDPI, Basel, Switzerland. This article is an open access article distributed under the terms and conditions of the Creative Commons Attribution (CC BY) license (https://creativecommons.org/licenses/by/4.0/).
Share and Cite
Shah, A.; Cardoso, F.N.; Souza, F.; Montreuil, J.; Pretell-Mazzini, J.; Temple, H.T.; Hornicek, F.; Crawford, B.; Subhawong, T.K. Failure Modes in Orthopedic Oncologic Reconstructive Surgery: A Review of Imaging Findings and Failure Rates. Curr. Oncol. 2024, 31, 6245-6266. https://doi.org/10.3390/curroncol31100465
Shah A, Cardoso FN, Souza F, Montreuil J, Pretell-Mazzini J, Temple HT, Hornicek F, Crawford B, Subhawong TK. Failure Modes in Orthopedic Oncologic Reconstructive Surgery: A Review of Imaging Findings and Failure Rates. Current Oncology. 2024; 31(10):6245-6266. https://doi.org/10.3390/curroncol31100465
Chicago/Turabian StyleShah, Anuj, Fabiano N. Cardoso, Felipe Souza, Julien Montreuil, Juan Pretell-Mazzini, H. Thomas Temple, Francis Hornicek, Brooke Crawford, and Ty K. Subhawong. 2024. "Failure Modes in Orthopedic Oncologic Reconstructive Surgery: A Review of Imaging Findings and Failure Rates" Current Oncology 31, no. 10: 6245-6266. https://doi.org/10.3390/curroncol31100465
APA StyleShah, A., Cardoso, F. N., Souza, F., Montreuil, J., Pretell-Mazzini, J., Temple, H. T., Hornicek, F., Crawford, B., & Subhawong, T. K. (2024). Failure Modes in Orthopedic Oncologic Reconstructive Surgery: A Review of Imaging Findings and Failure Rates. Current Oncology, 31(10), 6245-6266. https://doi.org/10.3390/curroncol31100465

