Neuroendocrine Tumor Arising within Mature Cystic Teratoma of the Pancreas: Literature Review and Case Report
Abstract
1. Introduction
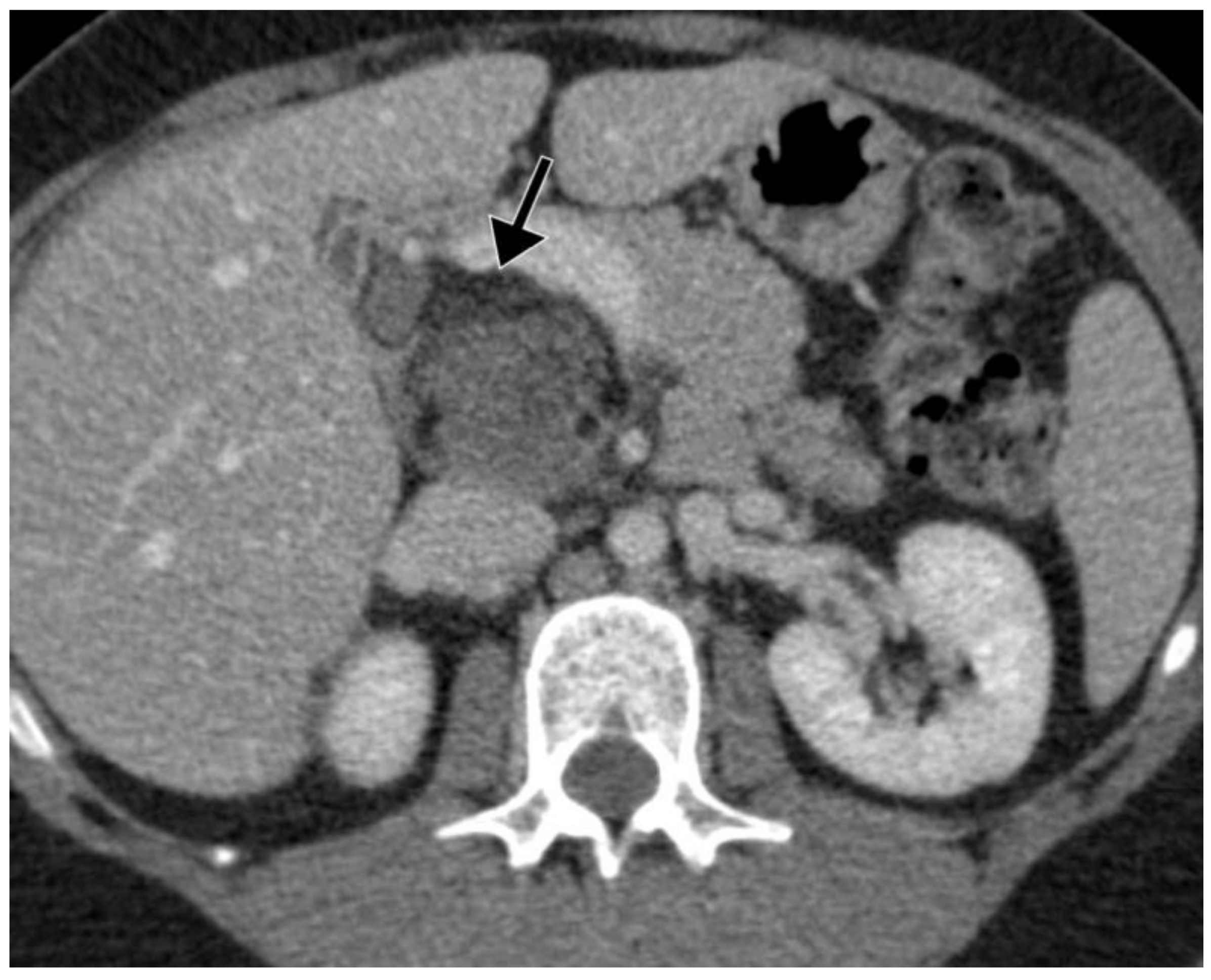
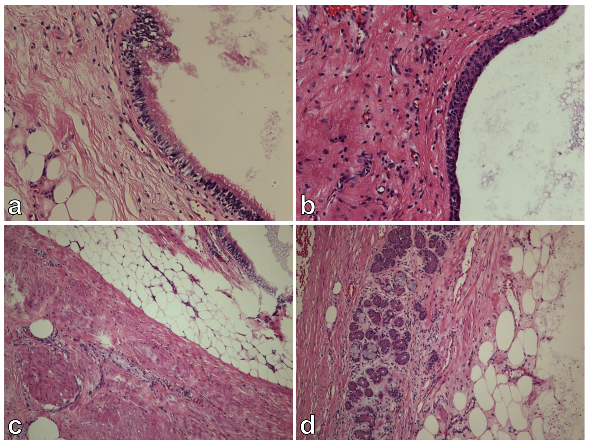
2. Case Presentation
3. Discussion
4. Conclusions
Author Contributions
Funding
Institutional Review Board Statement
Informed Consent Statement
Data Availability Statement
Conflicts of Interest
References
- Lobo, J.; Gillis, A.J.M.; Jerónimo, C.; Henrique, R.; Looijenga, L.H.J. Human Germ Cell Tumors Are Developmental Cancers: Impact of Epigenetics on Pathobiology and Clinic. Int. J. Mol. Sci. 2019, 20, 258. [Google Scholar] [CrossRef] [PubMed]
- McKenney, J.K.; Heerema-McKenney, A.; Rouse, R.V. Extragonadal Germ Cell Tumors: A Review with Emphasis on Pathologic Features, Clinical Prognostic Variables, and Differential Diagnostic Considerations. Adv. Anat. Pathol. 2007, 14, 69–92. [Google Scholar] [CrossRef] [PubMed]
- Kerr, A.A. Cysts and Pseudocysts of the Pancreas. Surg. Gynecol. Obstet. 1918, 27, 40–44. [Google Scholar]
- Kim, H.; Koh, Y. Mature Cystic Teratoma of the Pancreas: A Rare Cystic Neoplasm. Open Med. 2019, 14, 872–874. [Google Scholar] [CrossRef] [PubMed]
- Alcaraz Mateos, E.; Cabezas Jiménez, A.; Aparicio Tormo, J.R.; Paya Romá, A.; De La Hoz Rosa, J.; Ignacio Aranda López, F. Teratoma Quístico Maduro de Páncreas Diagnosticado Por Punción Aspiración Con Aguja Fina Guiada Con Ecoendoscopio. A Propósito de Un Caso. Rev. Esp. Patol. 2010, 43, 94–97. [Google Scholar] [CrossRef]
- Jose Andrade-Rojas, J.; José Lizardo-Thiebaud, M.; Andrade-Orozco, G.; Contreras-Loera, L.; Liseth Garza-Hinojosa, N.; Guadalupe Jazmín De Anda-Gonzalez, M. Mature Cystic Teratoma in the Head of the Pancreas: An Unexpected Finding. World J. Med. Case Rep. 2021, 2, 55–61. [Google Scholar] [CrossRef]
- Lane, J.; Vance, A.; Finelli, D.; Williams, G.; Ravichandran, P. Dermoid Cyst of the Pancreas: A Case Report with Literature Review. J. Radiol. Case Rep. 2012, 6, 17–25. [Google Scholar] [CrossRef]
- Ronchi, A.; Cozzolino, I.; Montella, M.; Panarese, I.; Zito Marino, F.; Rossetti, S.; Chieffi, P.; Accardo, M.; Facchini, G.; Franco, R. Extragonadal Germ Cell Tumors: Not Just a Matter of Location. A Review about Clinical, Molecular and Pathological Features. Cancer Med. 2019, 8, 6832–6840. [Google Scholar] [CrossRef]
- Scheele, J.; Barth, T.F.E.; Wittau, M.; Juchems, M.; Henne-Bruns, D.; Kornmann, M. Cystic Teratoma of the Pancreas. Anticancer Res. 2012, 32, 1075–1080. [Google Scholar]
- Halfdanarson, T.R.; Rabe, K.G.; Rubin, J.; Petersen, G.M. Pancreatic Neuroendocrine Tumors (PNETs): Incidence, Prognosis and Recent Trend toward Improved Survival. Ann. Oncol. Off. J. Eur. Soc. Med. Oncol. 2008, 19, 1727–1733. [Google Scholar] [CrossRef]
- Takayanagi, D.; Cho, H.; Machida, E.; Kawamura, A.; Takashima, A.; Wada, S.; Tsunoda, T.; Kohno, T.; Shiraishi, K. Update on Epidemiology, Diagnosis, and Biomarkers in Gastroenteropancreatic Neuroendocrine Neoplasms. Cancers 2022, 14, 1119. [Google Scholar] [CrossRef]
- Oosterhuis, J.W.; Looijenga, L.H.J. Human Germ Cell Tumours from a Developmental Perspective. Nat. Rev. Cancer 2019, 19, 522–537. [Google Scholar] [CrossRef]
- Rathore, R.; Sharma, S.; Agarwal, S. Malignant Transformation in Mature Cystic Teratoma of the Ovary: A Retrospective Study of Eight Cases and Review of Literature. Prz. Menopauzalny 2018, 17, 63–68. [Google Scholar] [CrossRef]
- Qin, L.; Zhao, T.; Liu, X.; Wang, H.; Gu, X.; Chen, D.; Wang, Z.; He, D. Malignant Transformation Arising from Mature Ovarian Cystic Teratoma: A Case Series. Medicine 2021, 100, e24726. [Google Scholar] [CrossRef]
- Das, P.C.; Radhakrishna, K.; Rao, P.L. Cystic Teratoma of the Pancreas. Pediatr. Surg. Int. 1996, 11, 177–178. [Google Scholar] [CrossRef]
- Fernandez-Cebrian, J.M.; Carda, P.; Morales, V.; Galindo, J. Dermoid Cyst of the Pancreas: A Rare Cystic Neoplasm. Hepatogastroenterology 1998, 45, 1874–1876. [Google Scholar]
- Albayrak, A.; Yildirim, U.; Aydin, M. Dermoid Cyst of the Pancreas: A Report of an Unusual Case and a Review of the Literature. Case Rep. Pathol. 2013, 2013, 375193. [Google Scholar] [CrossRef][Green Version]
- Li, Z.; Ke, N.; Liu, X.; Gong, S. Mature Cystic Teratoma of the Pancreas with 30 Years of Clinical Course: A Case Report. Medicine 2018, 97, e0405. [Google Scholar] [CrossRef]
- Wang, J.; Yin, Y.; Cai, Z.; Shen, C.; Yin, X.; Chen, X.; Zhao, Z.; Zhang, B. Pediatric Pancreatic Teratoma: A Case Report and Literature Review. Medicine 2019, 98, e18001. [Google Scholar] [CrossRef]
- Smith-Bindman, R.; Miglioretti, D.L.; Larson, E.B. Rising Use of Diagnostic Medical Imaging in a Large Integrated Health System. Health Aff. 2008, 27, 1491–1502. [Google Scholar] [CrossRef]
- Zhou, X.H.; Ma, J.K.; Valluru, B.; Sharma, K.; Liu, L.; Hu, J.B. Diagnosis and Differentiation of Mature Cystic Teratoma of Pancreas from Its Mimics: A Case Report. Medicine 2020, 99, e23267. [Google Scholar] [CrossRef]
- Diamandis, E.P. Cancer Biomarkers: Can We Turn Recent Failures into Success? J. Natl. Cancer Inst. 2010, 102, 1462–1467. [Google Scholar] [CrossRef]
- Keane, M.G.; Afghani, E. A Review of the Diagnosis and Management of Premalignant Pancreatic Cystic Lesions. J. Clin. Med. 2021, 10, 1284. [Google Scholar] [CrossRef]
- Shetty, A.S.; Menias, C.O. Rare Pancreatic Tumors. Magn. Reson. Imaging Clin. N. Am. 2018, 26, 421–437. [Google Scholar] [CrossRef]
- Markovsky, V.; Russin, V.L. Fine-Needle Aspiration of Dermoid Cyst of the Pancreas: A Case Report. Diagn. Cytopathol. 1993, 9, 66–69. [Google Scholar] [CrossRef]
- Ahmed, A.; Peng, L.; Agrawal, D. Mature Cystic Teratoma of the Pancreas: Role of Endoscopic Ultrasound. Pancreatology 2015, 15, 445–448. [Google Scholar] [CrossRef]
- O’Donovan, E.J.; Thway, K.; Moskovic, E.C. Extragonadal Teratomas of the Adult Abdomen and Pelvis: A Pictorial Review. Br. J. Radiol. 2014, 87, 20140116. [Google Scholar] [CrossRef] [PubMed]
- Tucci, G.; Muzi, M.G.; Nigro, C.; Cadeddu, F.; Amabile, D.; Servadei, F.; Farinon, A.M. Dermoid Cyst of the Pancreas: Presentation and Management. World J. Surg. Oncol. 2007, 5, 85. [Google Scholar] [CrossRef] [PubMed]
- Ben Ameur, H.; Boujelbene, S.; Abdelhedi, C.; Gheriani, O.; Beyrouti, M.I. Mature Cystic Teratoma of the Pancreas. Updates Surg. 2012, 64, 311–314. [Google Scholar] [CrossRef] [PubMed]
- Perri, G.; Marchegiani, G.; Frigerio, I.; Dervenis, C.G.; Conlon, K.C.; Bassi, C.; Salvia, R. Management of Pancreatic Cystic Lesions. Dig. Surg. 2020, 37, 1–9. [Google Scholar] [CrossRef]
- Lévy, P.; Rebours, V. The Role of Endoscopic Ultrasound in the Diagnosis of Cystic Lesions of the Pancreas. Visc. Med. 2018, 34, 192–196. [Google Scholar] [CrossRef]
- Pitman, M.B.; Lewandrowski, K.; Shen, J.; Sahani, D.; Brugge, W.; Fernandez-del Castillo, C. Pancreatic Cysts: Preoperative Diagnosis and Clinical Management. Cancer Cytopathol. 2010, 118, 1–13. [Google Scholar] [CrossRef]
- Dennis, W. Dermoid Cyst of the Pancreas. Surg. Clin. N. Am. 1923, 3, 1319–1322. [Google Scholar]





| Author, Year | Age | Sex | Symptoms | Location | Treatment | Cystic Teratoma Size | NET Size | NET Proliferation Index |
|---|---|---|---|---|---|---|---|---|
| Mateos et al. [5], 2010 | 39 | F | UA pain | Body/tail | Distal pancreatectomy and splenectomy | 85 × 76 mm | 8 mm | NP |
| Rojas et al. [6], 2021 | 35 | M | LUQ pain | Head | Cephalic duodenopancreatectomy | 71 × 53 mm | 3 mm | <1% |
| Djokic et al., 2022 (current paper) | 33 | F | UA pain | Head | PPPD | 85 × 56 mm | 6 mm | <2% |
Publisher’s Note: MDPI stays neutral with regard to jurisdictional claims in published maps and institutional affiliations. |
© 2022 by the authors. Licensee MDPI, Basel, Switzerland. This article is an open access article distributed under the terms and conditions of the Creative Commons Attribution (CC BY) license (https://creativecommons.org/licenses/by/4.0/).
Share and Cite
Djokic, M.; Hadzialjevic, B.; Rankovic, B.; Dezman, R.; Tomazic, A. Neuroendocrine Tumor Arising within Mature Cystic Teratoma of the Pancreas: Literature Review and Case Report. Curr. Oncol. 2022, 29, 4717-4724. https://doi.org/10.3390/curroncol29070374
Djokic M, Hadzialjevic B, Rankovic B, Dezman R, Tomazic A. Neuroendocrine Tumor Arising within Mature Cystic Teratoma of the Pancreas: Literature Review and Case Report. Current Oncology. 2022; 29(7):4717-4724. https://doi.org/10.3390/curroncol29070374
Chicago/Turabian StyleDjokic, Mihajlo, Benjamin Hadzialjevic, Branislava Rankovic, Rok Dezman, and Ales Tomazic. 2022. "Neuroendocrine Tumor Arising within Mature Cystic Teratoma of the Pancreas: Literature Review and Case Report" Current Oncology 29, no. 7: 4717-4724. https://doi.org/10.3390/curroncol29070374
APA StyleDjokic, M., Hadzialjevic, B., Rankovic, B., Dezman, R., & Tomazic, A. (2022). Neuroendocrine Tumor Arising within Mature Cystic Teratoma of the Pancreas: Literature Review and Case Report. Current Oncology, 29(7), 4717-4724. https://doi.org/10.3390/curroncol29070374

