Genomically Silent Refractory Gastric Cancer in a Young Patient Exhibits Overexpression of CXCL5
Abstract
:1. Introduction
2. Case Report
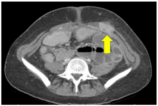
2.1. Clinical Course
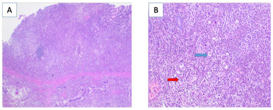
2.2. Pathology
3. Discussion
Author Contributions
Funding
Institutional Review Board Statement
Informed Consent Statement
Data Availability Statement
Conflicts of Interest
References
- Jemal, A.; Bray, F.; Center, M.M.; Ferlay, J.; Ward, E.; Forman, D. Global cancer statistics. CA Cancer J. Clin. 2011, 61, 69–90. [Google Scholar] [CrossRef] [Green Version]
- SEER. Cancer Statistics Review (CSR): Stomach Cancer. Available online: https://seer.cancer.gov/statfacts/html/stomach.html (accessed on 6 January 2022).
- Torre, L.A.; Siegel, R.L.; Ward, E.M.; Jemal, A. Global Cancer Incidence and Mortality Rates and Trends--An Update. Cancer Epidemiol. Biomarkers Prev. 2016, 25, 16–27. [Google Scholar] [CrossRef] [Green Version]
- Ajani, J.A.; Lee, J.; Sano, T.; Janjigian, Y.Y.; Fan, D.; Song, S. Gastric adenocarcinoma. Nat. Rev. Dis. Primers 2017, 3, 17036. [Google Scholar] [CrossRef]
- Luebeck, E.G.; Curtius, K.; Jeon, J.; Hazelton, W.D. Impact of tumor progression on cancer incidence curves. Cancer Res. 2013, 73, 1086–1096. [Google Scholar] [CrossRef] [Green Version]
- Ueda, T.; Volinia, S.; Okumura, H.; Shimizu, M.; Taccioli, C.; Rossi, S.; Alder, H.; Liu, C.G.; Oue, N.; Yasui, W.; et al. Relation between microRNA expression and progression and prognosis of gastric cancer: A microRNA expression analysis. Lancet Oncol. 2010, 11, 136–146. [Google Scholar] [CrossRef] [Green Version]
- Thrift, A.P.; El-Serag, H.B. Burden of Gastric Cancer. Clin. Gastroenterol. Hepatol. 2020, 18, 534–542. [Google Scholar] [CrossRef]
- Leong, T.; Smithers, B.M.; Michael, M.; Gebski, V.; Boussioutas, A.; Miller, D.; Simes, J.; Zalcberg, J.; Haustermans, K.; Lordick, F.; et al. TOPGEAR: A randomised phase III trial of perioperative ECF chemotherapy versus preoperative chemoradiation plus perioperative ECF chemotherapy for resectable gastric cancer (an international, intergroup trial of the AGITG/TROG/EORTC/NCIC CTG). BMC Cancer 2015, 15, 532. [Google Scholar] [CrossRef] [Green Version]
- Rihawi, K.; Ricci, A.D.; Rizzo, A.; Brocchi, S.; Marasco, G.; Pastore, L.V.; Llimpe, F.L.R.; Golfieri, R.; Renzulli, M. Tumor-Associated Macrophages and Inflammatory Microenvironment in Gastric Cancer: Novel Translational Implications. Int. J. Mol. Sci. 2021, 22, 3805. [Google Scholar] [CrossRef]
- Ricci, A.D.; Rizzo, A.; Rojas Llimpe, F.L.; Di Fabio, F.; De Biase, D.; Rihawi, K. Novel HER2-Directed Treatments in Advanced Gastric Carcinoma: AnotHER Paradigm Shift? Cancers 2021, 13, 1664. [Google Scholar] [CrossRef]
- Johnston, F.M.; Beckman, M. Updates on Management of Gastric Cancer. Curr. Oncol. Rep. 2019, 21, 67. [Google Scholar] [CrossRef]
- Patel, T.H.; Cecchini, M. Targeted Therapies in Advanced Gastric Cancer. Curr. Treat. Options Oncol. 2020, 21, 70. [Google Scholar] [CrossRef]
- Song, Z.; Wu, Y.; Yang, J.; Yang, D.; Fang, X. Progress in the treatment of advanced gastric cancer. Tumour. Biol. 2017, 39, 1010428317714626. [Google Scholar] [CrossRef] [Green Version]
- Bonnot, P.E.; Piessen, G.; Kepenekian, V.; Decullier, E.; Pocard, M.; Meunier, B.; Bereder, J.M.; Abboud, K.; Marchal, F.; Quenet, F.; et al. Cytoreductive Surgery with or without Hyperthermic Intraperitoneal Chemotherapy for Gastric Cancer with Peritoneal Metastases (CYTO-CHIP study): A Propensity Score Analysis. J. Clin. Oncol. 2019, 37, 2028–2040. [Google Scholar] [CrossRef]
- Jacquet, P.; Sugarbaker, P.H. Clinical research methodologies in diagnosis and staging of patients with peritoneal carcinomatosis. Cancer Treat. Res. 1996, 82, 359–374. [Google Scholar] [CrossRef]
- Zhou, S.L.; Dai, Z.; Zhou, Z.J.; Chen, Q.; Wang, Z.; Xiao, Y.S.; Hu, Z.Q.; Huang, X.Y.; Yang, G.H.; Shi, Y.H.; et al. CXCL5 contributes to tumor metastasis and recurrence of intrahepatic cholangiocarcinoma by recruiting infiltrative intratumoral neutrophils. Carcinogenesis 2014, 35, 597–605. [Google Scholar] [CrossRef]
- Haider, C.; Hnat, J.; Wagner, R.; Huber, H.; Timelthaler, G.; Grubinger, M.; Coulouarn, C.; Schreiner, W.; Schlangen, K.; Sieghart, W.; et al. Transforming Growth Factor-beta and Axl Induce CXCL5 and Neutrophil Recruitment in Hepatocellular Carcinoma. Hepatology 2019, 69, 222–236. [Google Scholar] [CrossRef] [Green Version]
- Mao, Z.; Zhang, J.; Shi, Y.; Li, W.; Shi, H.; Ji, R.; Mao, F.; Qian, H.; Xu, W.; Zhang, X. CXCL5 promotes gastric cancer metastasis by inducing epithelial-mesenchymal transition and activating neutrophils. Oncogenesis 2020, 9, 63. [Google Scholar] [CrossRef]
- Zhou, S.L.; Dai, Z.; Zhou, Z.J.; Wang, X.Y.; Yang, G.H.; Wang, Z.; Huang, X.W.; Fan, J.; Zhou, J. Overexpression of CXCL5 mediates neutrophil infiltration and indicates poor prognosis for hepatocellular carcinoma. Hepatology 2012, 56, 2242–2254. [Google Scholar] [CrossRef]
- Yamaoka, Y.; Kita, M.; Kodama, T.; Sawai, N.; Tanahashi, T.; Kashima, K.; Imanishi, J. Chemokines in the gastric mucosa in Helicobacter pylori infection. Gut 1998, 42, 609–617. [Google Scholar] [CrossRef] [Green Version]
- Bali, P.; Lozano-Pope, I.; Pachow, C.; Obonyo, M. Early detection of tumor cells in bone marrow and peripheral blood in a fastprogressing gastric cancer model. Int. J. Oncol. 2021, 58, 388–396. [Google Scholar] [CrossRef]
- Banerjee, A.; Thamphiwatana, S.; Carmona, E.M.; Rickman, B.; Doran, K.S.; Obonyo, M. Deficiency of the myeloid differentiation primary response molecule MyD88 leads to an early and rapid development of Helicobacter-induced gastric malignancy. Infect. Immun. 2014, 82, 356–363. [Google Scholar] [CrossRef] [Green Version]
- Mejias-Luque, R.; Lozano-Pope, I.; Wanisch, A.; Heikenwalder, M.; Gerhard, M.; Obonyo, M. Increased LIGHT expression and activation of non-canonical NF-kappaB are observed in gastric lesions of MyD88-deficient mice upon Helicobacter felis infection. Sci. Rep. 2019, 9, 7030. [Google Scholar] [CrossRef] [Green Version]
- Thamphiwatana, S.; Gao, W.; Obonyo, M.; Zhang, L. In vivo treatment of Helicobacter pylori infection with liposomal linolenic acid reduces colonization and ameliorates inflammation. Proc. Natl. Acad. Sci. USA 2014, 111, 17600–17605. [Google Scholar] [CrossRef] [Green Version]
- Luo, M.; Hu, Z.; Kong, Y.; Li, L. MicroRNA-432-5p inhibits cell migration and invasion by targeting CXCL5 in colorectal cancer. Exp. Ther. Med. 2021, 21, 301. [Google Scholar] [CrossRef]
- De, B.; Rhome, R.; Jairam, V.; Ozbek, U.; Holcombe, R.F.; Buckstein, M.; Ang, C. Gastric adenocarcinoma in young adult patients: Patterns of care and survival in the United States. Gastric Cancer 2018, 21, 889–899. [Google Scholar] [CrossRef] [Green Version]
- SEER. Cancer Statistics Review, 1975–2014. Available online: https://seer.cancer.gov/archive/csr/1975_2014/ (accessed on 10 January 2022).
- Hallinan, J.T.; Venkatesh, S.K. Gastric carcinoma: Imaging diagnosis, staging and assessment of treatment response. Cancer Imaging 2013, 13, 212–227. [Google Scholar] [CrossRef] [Green Version]
- Ahn, H.S.; Lee, H.J.; Yoo, M.W.; Kim, S.G.; Im, J.P.; Kim, S.H.; Kim, W.H.; Lee, K.U.; Yang, H.K. Diagnostic accuracy of T and N stages with endoscopy, stomach protocol CT, and endoscopic ultrasonography in early gastric cancer. J. Surg. Oncol. 2009, 99, 20–27. [Google Scholar] [CrossRef] [PubMed]
- Baughman, R.P.; Lower, E.E. An inhibitor of tumor necrosis factor found in pleural effusions. J. Lab. Clin. Med. 1991, 118, 326–331. [Google Scholar] [PubMed]
- Bhandari, S.; Shim, C.S.; Kim, J.H.; Jung, I.S.; Cho, J.Y.; Lee, J.S.; Lee, M.S.; Kim, B.S. Usefulness of three-dimensional, multidetector row CT (virtual gastroscopy and multiplanar reconstruction) in the evaluation of gastric cancer: A comparison with conventional endoscopy, EUS, and histopathology. Gastrointest. Endosc. 2004, 59, 619–626. [Google Scholar] [CrossRef]
- Hwang, S.W.; Lee, D.H.; Lee, S.H.; Park, Y.S.; Hwang, J.H.; Kim, J.W.; Jung, S.H.; Kim, N.Y.; Kim, Y.H.; Lee, K.H.; et al. Preoperative staging of gastric cancer by endoscopic ultrasonography and multidetector-row computed tomography. J. Gastroenterol. Hepatol. 2010, 25, 512–518. [Google Scholar] [CrossRef] [PubMed]
- Muntean, V.; Mihailov, A.; Iancu, C.; Toganel, R.; Fabian, O.; Domsa, I.; Muntean, M.V. Staging laparoscopy in gastric cancer. Accuracy and impact on therapy. J. Gastrointest. Liver. Dis. 2009, 18, 189–195. [Google Scholar]
- Conlon, K.C. Staging laparoscopy for gastric cancer. Ann. Ital. Chir. 2001, 72, 33–37. [Google Scholar]
- Ma, J.; Shen, H.; Kapesa, L.; Zeng, S. Lauren classification and individualized chemotherapy in gastric cancer. Oncol. Lett. 2016, 11, 2959–2964. [Google Scholar] [CrossRef] [Green Version]
- Chen, X.; Chen, R.; Jin, R.; Huang, Z. The role of CXCL chemokine family in the development and progression of gastric cancer. Int. J. Clin. Exp. Pathol. 2020, 13, 484–492. [Google Scholar]
- Pawluczuk, E.; Lukaszewicz-Zajac, M.; Mroczko, B. The Role of Chemokines in the Development of Gastric Cancer—Diagnostic and Therapeutic Implications. Int. J. Mol. Sci. 2020, 21, 8456. [Google Scholar] [CrossRef]
- Kawamura, M.; Toiyama, Y.; Tanaka, K.; Saigusa, S.; Okugawa, Y.; Hiro, J.; Uchida, K.; Mohri, Y.; Inoue, Y.; Kusunoki, M. CXCL5, a promoter of cell proliferation, migration and invasion, is a novel serum prognostic marker in patients with colorectal cancer. Eur. J. Cancer 2012, 48, 2244–2251. [Google Scholar] [CrossRef]
- Zhao, J.; Ou, B.; Han, D.; Wang, P.; Zong, Y.; Zhu, C.; Liu, D.; Zheng, M.; Sun, J.; Feng, H.; et al. Tumor-derived CXCL5 promotes human colorectal cancer metastasis through activation of the ERK/Elk-1/Snail and AKT/GSK3beta/beta-catenin pathways. Mol. Cancer 2017, 16, 70. [Google Scholar] [CrossRef] [Green Version]
- Hsu, Y.L.; Hou, M.F.; Kuo, P.L.; Huang, Y.F.; Tsai, E.M. Breast tumor-associated osteoblast-derived CXCL5 increases cancer progression by ERK/MSK1/Elk-1/snail signaling pathway. Oncogene 2013, 32, 4436–4447. [Google Scholar] [CrossRef] [Green Version]
- Zhu, X.; Qiao, Y.; Liu, W.; Wang, W.; Shen, H.; Lu, Y.; Hao, G.; Zheng, J.; Tian, Y. CXCL5 is a potential diagnostic and prognostic marker for bladder cancer patients. Tumour. Biol. 2016, 37, 4569–4577. [Google Scholar] [CrossRef]
- Li, A.; King, J.; Moro, A.; Sugi, M.D.; Dawson, D.W.; Kaplan, J.; Li, G.; Lu, X.; Strieter, R.M.; Burdick, M.; et al. Overexpression of CXCL5 is associated with poor survival in patients with pancreatic cancer. Am. J. Pathol. 2011, 178, 1340–1349. [Google Scholar] [CrossRef]
- Wu, K.; Yu, S.; Liu, Q.; Bai, X.; Zheng, X.; Wu, K. The clinical significance of CXCL5 in non-small cell lung cancer. Onco. Targets Ther. 2017, 10, 5561–5573. [Google Scholar] [CrossRef] [PubMed] [Green Version]
- Roca, H.; Jones, J.D.; Purica, M.C.; Weidner, S.; Koh, A.J.; Kuo, R.; Wilkinson, J.E.; Wang, Y.; Daignault-Newton, S.; Pienta, K.J.; et al. Apoptosis-induced CXCL5 accelerates inflammation and growth of prostate tumor metastases in bone. J. Clin. Investig. 2018, 128, 248–266. [Google Scholar] [CrossRef] [PubMed]
- Zhou, Z.; Xia, G.; Xiang, Z.; Liu, M.; Wei, Z.; Yan, J.; Chen, W.; Zhu, J.; Awasthi, N.; Sun, X.; et al. A C-X-C Chemokine Receptor Type 2-Dominated Cross-talk between Tumor Cells and Macrophages Drives Gastric Cancer Metastasis. Clin. Cancer Res. 2019, 25, 3317–3328. [Google Scholar] [CrossRef] [PubMed] [Green Version]
- Raja, U.M.; Gopal, G.; Shirley, S.; Ramakrishnan, A.S.; Rajkumar, T. Immunohistochemical expression and localization of cytokines/chemokines/growth factors in gastric cancer. Cytokine 2017, 89, 82–90. [Google Scholar] [CrossRef] [PubMed]
- Park, J.Y.; Park, K.H.; Bang, S.; Kim, M.H.; Lee, J.E.; Gang, J.; Koh, S.S.; Song, S.Y. CXCL5 overexpression is associated with late stage gastric cancer. J. Cancer Res. Clin. Oncol. 2007, 133, 835–840. [Google Scholar] [CrossRef] [PubMed]
- Lim, J.B.; Chung, H.W. Serum ENA78/CXCL5, SDF-1/CXCL12, and their combinations as potential biomarkers for prediction of the presence and distant metastasis of primary gastric cancer. Cytokine 2015, 73, 16–22. [Google Scholar] [CrossRef] [PubMed]




| Patient ID | Patient Sex | Patient Age | Patient Race/ Ethnicity | Primary | Grade | Metastatic | Stage | Chemotherapy |
|---|---|---|---|---|---|---|---|---|
| 2PN | F | 25 | Hispanic | Adenocarcinoma, diffuse type | G3: poorly diff | Yes | IV (ypT4bypN3bypM1) | EOX/FOLFIRI |
| 1T | F | 53 | Asian | Adenocarcinoma, signet ring-cell | G3: poorly diff | No | IIA (ypT3ypN0) | EOX |
| 2T | F | 25 | Hispanic | Adenocarcinoma, diffuse type | G3: poorly diff | Yes | IV (ypT4bypN3bypM1) | EOX/FOLFIRI |
| 3T | M | 66 | Asian | Adenocarcinoma, residual | G3: poorly diff | No | IIA (ypT3N0) | EOX and chemorads with capecitabine |
| 4T | M | 51 | White | Adenocarcinoma | G3: poorly diff | No | IIB (ypT4aN0) | Yes (unspecified in notes) |
| 5T | M | 78 | White | Invasive adenocarcinoma | G3: poorly diff | Yes | IIIC (pT4aN3a) | No |
| 6T | F | 49 | White | Invasive adenocarcinoma, signet ring | G3: poorly diff | Yes | IIB (pT4aN0) | No |
| 7T | M | 69 | Hispanic | Adenocarcinoma | G3: poorly diff | Yes | IV (ypT4bN3bM1) | FOLFOX |
| 8T | F | 48 | Asian | Adenocarcinoma, diffuse type. Signet-ring | G3: poorly diff | No | IIIC (pT4aN3a) | No |
| 9T | F | 81 | Vietnamese | Gastric adenocarcinoma, intestinal type | Moderate to poorly differentiated | Invades serosa | pT4aN0 | No |
| 10T | M | 81 | Asian | Gastric adenocarcinoma | G3: poorly differentiated | Yes | ypT3N3a | FOLFOX |
| 11T | F | 83 | Hispanic | Gastric adenocarcinoma | G3: poorly differentiated | No | mpT2N3a | No |
| 12T | M | 73 | White | Gastric adenocarcinoma | G3: poorly differentiated, undifferentiated | No | ypT3N1 | FLOT/FOLFOX (neoadjuv) |
| 13T | F | 66 | Asian | Gastric adenocarcinoma, diffuse type with signet ring | G3: poorly differentiated, undifferentiated | No | ypT4aN0 | FLOT |
| 14T | F | 66 | White | Gastric adenocarcinoma with signet ring cell | G3: poorly differentiated | Yes | pT4aN3b | No |
Publisher’s Note: MDPI stays neutral with regard to jurisdictional claims in published maps and institutional affiliations. |
© 2022 by the authors. Licensee MDPI, Basel, Switzerland. This article is an open access article distributed under the terms and conditions of the Creative Commons Attribution (CC BY) license (https://creativecommons.org/licenses/by/4.0/).
Share and Cite
Hernandez, J.; Turner, M.A.; Bali, P.; Hosseini, M.; Bouvet, M.; Kelly, K.; Obonyo, M. Genomically Silent Refractory Gastric Cancer in a Young Patient Exhibits Overexpression of CXCL5. Curr. Oncol. 2022, 29, 4725-4733. https://doi.org/10.3390/curroncol29070375
Hernandez J, Turner MA, Bali P, Hosseini M, Bouvet M, Kelly K, Obonyo M. Genomically Silent Refractory Gastric Cancer in a Young Patient Exhibits Overexpression of CXCL5. Current Oncology. 2022; 29(7):4725-4733. https://doi.org/10.3390/curroncol29070375
Chicago/Turabian StyleHernandez, Jonathan, Michael A. Turner, Prerna Bali, Mojgan Hosseini, Michael Bouvet, Kaitlyn Kelly, and Marygorret Obonyo. 2022. "Genomically Silent Refractory Gastric Cancer in a Young Patient Exhibits Overexpression of CXCL5" Current Oncology 29, no. 7: 4725-4733. https://doi.org/10.3390/curroncol29070375
APA StyleHernandez, J., Turner, M. A., Bali, P., Hosseini, M., Bouvet, M., Kelly, K., & Obonyo, M. (2022). Genomically Silent Refractory Gastric Cancer in a Young Patient Exhibits Overexpression of CXCL5. Current Oncology, 29(7), 4725-4733. https://doi.org/10.3390/curroncol29070375

