Efficacy of Pazopanib in the Treatment of Metastatic Malignant Giant Cell Tumor of Soft Tissue: A Case Report
Abstract
1. Introduction
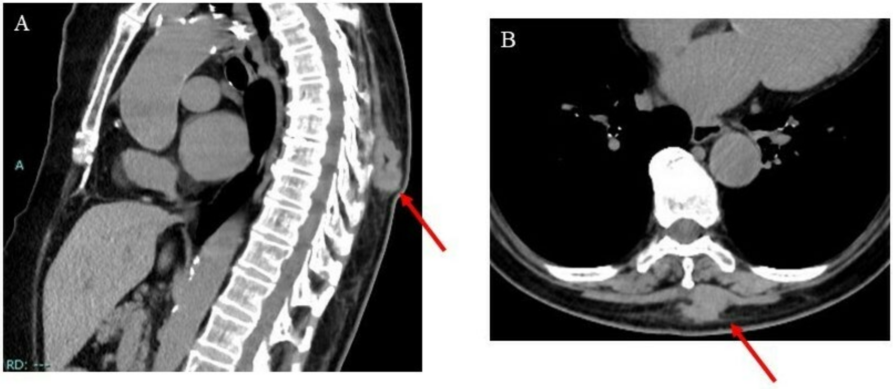
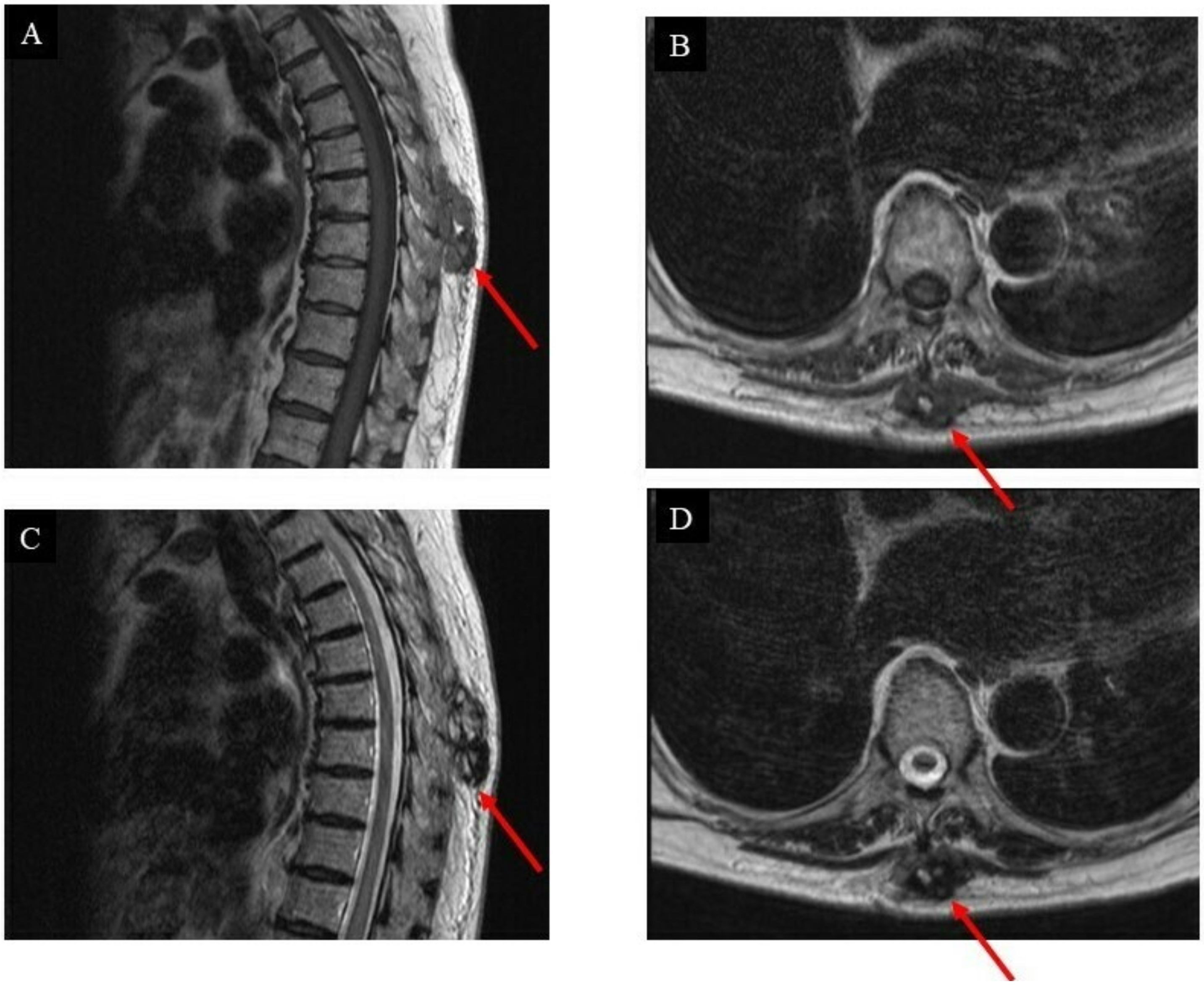
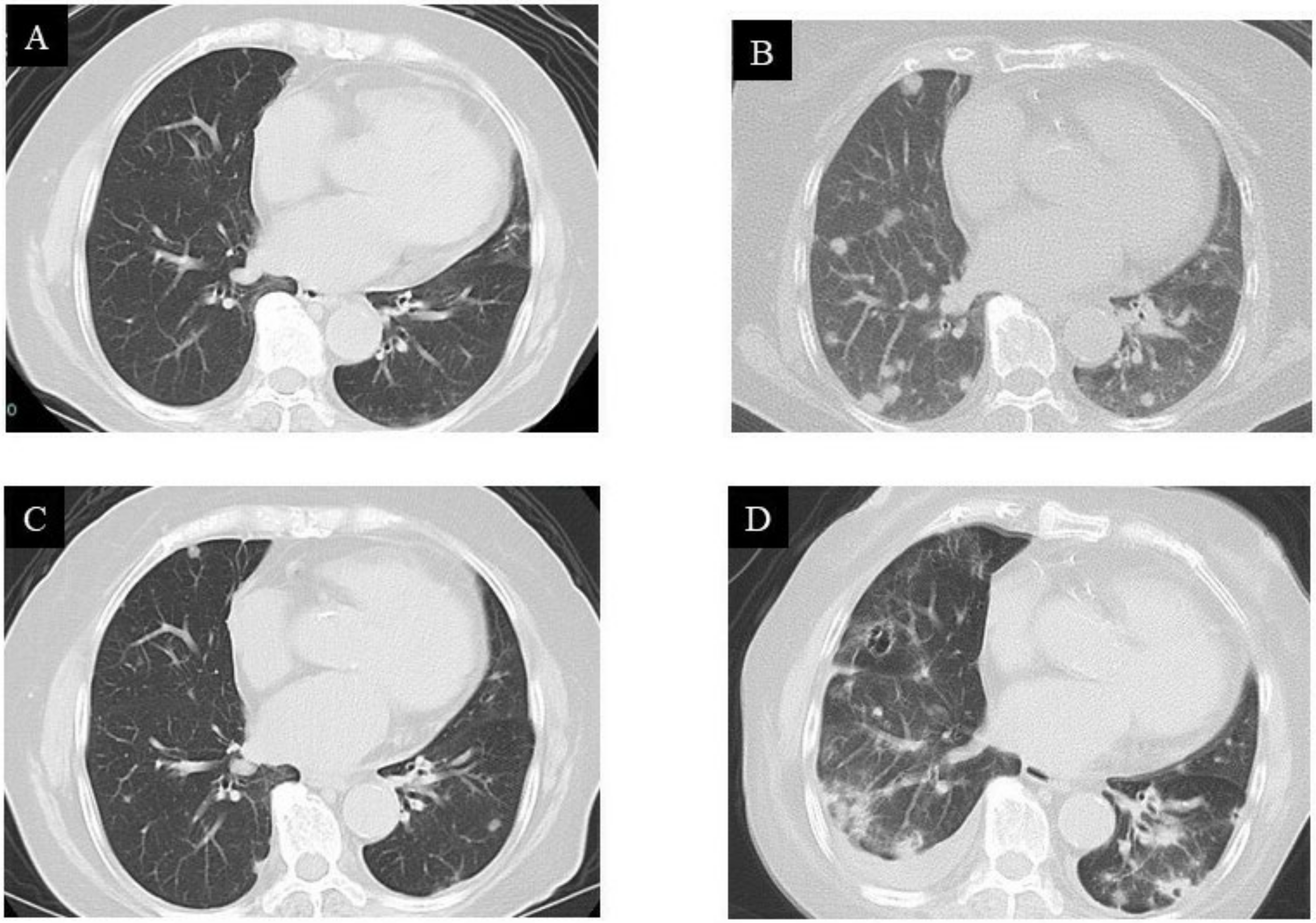
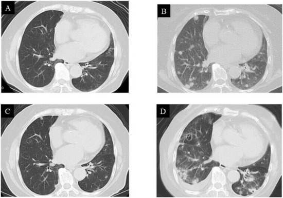
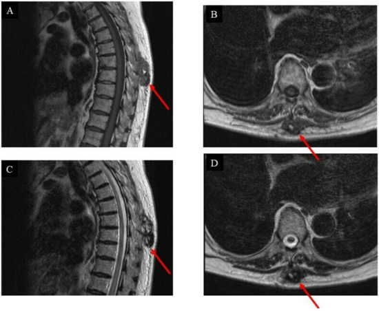
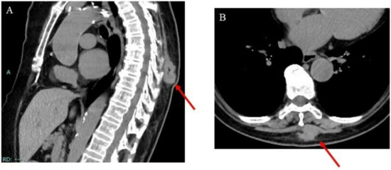
2. Case Presentation
3. Discussion
4. Conclusions
Author Contributions
Funding
Institutional Review Board Statement
Informed Consent Statement
Data Availability Statement
Acknowledgments
Conflicts of Interest
References
- Salm, R.; Sissons, H.A. Giant-cell tumors of soft tissues. J. Pathol. 1972, 107, 27–39. [Google Scholar] [CrossRef] [PubMed]
- WHO Classification of Tumours Editorial Board. WHO Classification of Tumours of Soft Tissue and Bone, 5th ed.; IARC Press: Lyon, France, 2020. [Google Scholar]
- Oliveira, A.M.; Dei Tos, A.P.; Fletcher, C.D.; Nascimento, A.G. Primary giant cell tumor of soft tissues a study of 22 cases. Am. J. Surg. Pathol. 2000, 24, 248–256. [Google Scholar] [CrossRef] [PubMed]
- O’Connell, J.X.; Wehrli, B.M.; Nielsen, G.P.; Rosenberg, A.E. Giant cell tumors of soft tissue: A clinicopathologic study of 18 benign and malignant tumors. Am. J. Surg. Pathol. 2000, 24, 386–395. [Google Scholar] [CrossRef] [PubMed]
- Dodd, L.G.; Major, N.; Brigman, B. Malignant giant cell tumor of soft parts. Skeletal. Radiol. 2004, 33, 295–299. [Google Scholar] [CrossRef] [PubMed]
- Callı, A.O.; Tunakan, M.; Katilmiş, H.; Kilçiksiz, S.; Oztürkcan, S. Soft tissue giant cell tumor of low malignant potential of the neck: A case report and review of the literature. Turk. Patoloji. Derg. 2014, 30, 73–77. [Google Scholar] [CrossRef]
- Hafiz, S.M.; Bablghaith, E.S.; Alsaedi, A.J.; Shaheen, M.H. Giant-cell tumors of soft tissue in the head and neck: A review article. Int. J. Health Sci. 2018, 12, 88–91. [Google Scholar]
- Amin, M.B.; Edge, S.B.; Greene, F.L.; Byrd, D.R.; Brookland, R.K.; Washington, M.K.; Gershenwald, J.E.; Compton, C.C.; Hess, K.R.; Sullivan, D.C.; et al. Soft tissue sarcoma of the trunk and extremities. In AJCC Cancer Staging Manual, 8th ed.; Springer International Publishing: Cham, Switzerland, 2017; pp. 507–515. [Google Scholar]
- Kawaguchi, N.; Ahmed, A.R.; Matsumoto, S.; Manabe, J.; Matsushita, Y. The concept of curative margin in surgery for bone and soft tissue sarcoma. Clin. Orthop. Relat. Res. 2004, 419, 165–172. [Google Scholar] [CrossRef]
- Kedar, D.J.; Pak, C.J.; Suh, H.P.; Hong, J.P. Propeller flaps in the posterior trunk. Semin. Plast. Surg. 2020, 34, 176–183. [Google Scholar] [CrossRef]
- Folpe, A.L.; Morris, R.J.; Weiss, S.W. Soft tissue giant cell tumor of low malignant potential: A proposal for the reclassification of malignant giant cell tumor of soft parts. Mod. Pathol. 1999, 12, 894–902. [Google Scholar]
- Goldblum, J.R. An approach to pleomorphic sarcomas: Can we subclassify, and does it matter? Mod. Pathol. 2014, 27 (Suppl. S1), S39–S46. [Google Scholar] [CrossRef]
- Annovazzi, A.; Rea, S.; Zoccali, C.; Sciuto, R.; Baldi, J.; Anelli, V.; Petrongari, M.G.; Pescarmona, E.; Biagini, R.; Ferraresi, V. Diagnostic and clinical impact of 18F-FDG PET/CT in staging and restaging soft-tissue sarcomas of the extremities and trunk: Mono-institutional retrospective study of a sarcoma referral center. J. Clin. Med. 2020, 9, 2549. [Google Scholar] [CrossRef] [PubMed]
- Hoshi, M.; Takada, J.; Oebisu, N.; Hata, K.; Ieguchi, M.; Nakamura, H. Overexpression of hexokinase-2 in giant cell tumor of bone is associated with false positive in bone tumor on FDG-PET/CT. Arch. Orthop. Trauma. Surg. 2012, 132, 1561–1568. [Google Scholar] [CrossRef] [PubMed]
- Parghane, R.V.; Basu, S. Dual-time point 18 F-FDG-PET and PET/CT for differentiating benign from malignant musculoskeletal lesions: Opportunities and limitations. Semin. Nucl. Med. 2017, 47, 373–391. [Google Scholar] [CrossRef] [PubMed]
- Bosma, S.E.; Vriens, D.; Gelderblom, H.; van de Sande, M.A.J.; Dijkstra, P.D.S.; Bloem, J.L. 18 F-FDG PET-CT versus MRI for detection of skeletal metastasis in Ewing sarcoma. Skeletal. Radiol. 2019, 48, 1735–1746. [Google Scholar] [CrossRef] [PubMed]
- Takeuchi, A.; Yamamoto, N.; Hayashi, K.; Miwa, S.; Takahira, M.; Fukui, K.; Oikawa, T.; Tsuchiya, H. Tenosynovial giant cell tumors in unusual locations detected by positron emission tomography imaging confused with malignant tumors: Report of two cases. BMC Musculoskelet. Disord. 2016, 17, 180. [Google Scholar] [CrossRef][Green Version]
- Lee, M.Y.; Jee, W.H.; Jung, C.K.; Yoo, I.e.R.; Chung, Y.G. Giant cell tumor of soft tissue: A case report with emphasis on MR imaging. Skeletal. Radiol. 2015, 44, 1039–1043. [Google Scholar] [CrossRef]
- Van der Graaf, W.T.; Blay, J.Y.; Chawla, S.P.; Kim, D.W.; Bui-Nguyen, B.; Casali, P.G.; Schöffski, P.; Aglietta, M.; Staddon, A.P.; Beppu, Y.; et al. Pazopanib for metastatic soft-tissue sarcoma (PALETTE): A randomised, double-blind, placebo-controlled phase 3 trial. Lancet 2012, 379, 1879–1886. [Google Scholar] [CrossRef]
- Coens, C.; van der Graaf, W.T.; Blay, J.Y.; Chawla, S.P.; Judson, I.; Sanfilippo, R.; Manson, S.C.; Hodge, R.A.; Marreaud, S.; Prins, J.B.; et al. Health-related quality-of-life results from PALETTE: A randomized, double-blind, phase 3 trial of pazopanib versus placebo in patients with soft tissue sarcoma whose disease has progressed during or after prior chemotherapy—A European Organization for Research and Treatment of Cancer soft tissue and bone sarcoma group global network study (EORTC 62072). Cancer 2015, 121, 2933–2941. [Google Scholar]
- Grünwald, V.; Karch, A.; Schuler, M.; Schöffski, P.; Kopp, H.G.; Bauer, S.; Kasper, B.; Lindner, L.H.; Chemnitz, J.M.; Crysandt, M.; et al. Randomized comparison of pazopanib and doxorubicin as first-line treatment in patients with metastatic soft tissue sarcoma age 60 years or older: Results of a german intergroup study. J. Clin. Oncol. 2020, 38, 3555–3564. [Google Scholar] [CrossRef]
- Tanaka, H.; Hiraga, H.; Takekuma, Y.; Harabayashi, T.; Nagamori, S.; Endo, M.; Sugawara, M. Possibility for dose optimization of pazopanib from its plasma concentration in Japanese patients with cancer. Biol. Pharm. Bull. 2020, 43, 762–766. [Google Scholar] [CrossRef]
- Verschoor, A.J.; Gelderblom, H. Pneumothorax as adverse event in patients with lung metastases of soft tissue sarcoma treated with pazopanib: A single reference centre case series [serial online]. Clin. Sarcoma Res. 2014, 4, 14. [Google Scholar] [CrossRef] [PubMed]
- Nakamura, T.; Matsumine, A.; Kawai, A.; Araki, N.; Goto, T.; Yonemoto, T.; Sugiura, H.; Nishida, Y.; Hiraga, H.; Honoki, K.; et al. The clinical outcome of pazopanib treatment in Japanese patients with relapsed soft tissue sarcoma: A Japanese musculoskeletal oncology group (JMOG) study. Cancer 2016, 122, 1408–1416. [Google Scholar] [CrossRef] [PubMed]
- Gundle, K.R.; Kafchinski, L.; Gupta, S.; Griffin, A.M.; Dickson, B.C.; Chung, P.W.; Catton, C.N.; O’Sullivan, B.; Wunder, J.S.; Ferguson, P.C. Analysis of margin classification systems for assessing the risk of local recurrence after soft tissue sarcoma resection. J. Clin. Oncol. 2018, 36, 704–709. [Google Scholar] [CrossRef]
- Hoefkens, F.; Dehandschutter, C.; Somville, J.; Meijnders, P.; Van Gestel, D. Soft tissue sarcoma of the extremities: Pending questions on surgery and radiotherapy. Radiat. Oncol. 2016, 11, 136. [Google Scholar] [CrossRef] [PubMed]
- Von Mehren, M.; Randall, R.L.; Benjamin, R.S.; Boles, S.; Bui, M.M.; Ganjoo, K.N.; George, S.; Gonzalez, R.J.; Heslin, M.J.; Kane, J.M.; et al. Soft tissue sarcoma, Version 2.2018, NCCN clinical practice guidelines in oncology. J. Natl. Compr. Cancer Netw. 2018, 16, 536–563. [Google Scholar] [CrossRef] [PubMed]






Publisher’s Note: MDPI stays neutral with regard to jurisdictional claims in published maps and institutional affiliations. |
© 2022 by the authors. Licensee MDPI, Basel, Switzerland. This article is an open access article distributed under the terms and conditions of the Creative Commons Attribution (CC BY) license (https://creativecommons.org/licenses/by/4.0/).
Share and Cite
Iwai, T.; Oebisu, N.; Hoshi, M.; Takada, N.; Nakamura, H. Efficacy of Pazopanib in the Treatment of Metastatic Malignant Giant Cell Tumor of Soft Tissue: A Case Report. Curr. Oncol. 2022, 29, 758-765. https://doi.org/10.3390/curroncol29020064
Iwai T, Oebisu N, Hoshi M, Takada N, Nakamura H. Efficacy of Pazopanib in the Treatment of Metastatic Malignant Giant Cell Tumor of Soft Tissue: A Case Report. Current Oncology. 2022; 29(2):758-765. https://doi.org/10.3390/curroncol29020064
Chicago/Turabian StyleIwai, Tadashi, Naoto Oebisu, Manabu Hoshi, Naoki Takada, and Hiroaki Nakamura. 2022. "Efficacy of Pazopanib in the Treatment of Metastatic Malignant Giant Cell Tumor of Soft Tissue: A Case Report" Current Oncology 29, no. 2: 758-765. https://doi.org/10.3390/curroncol29020064
APA StyleIwai, T., Oebisu, N., Hoshi, M., Takada, N., & Nakamura, H. (2022). Efficacy of Pazopanib in the Treatment of Metastatic Malignant Giant Cell Tumor of Soft Tissue: A Case Report. Current Oncology, 29(2), 758-765. https://doi.org/10.3390/curroncol29020064

