- Editorial
Stents Bei Angina Pectoris: Wie Wirksam Sind Sie Wirklich?
- Thomas F. Lüscher
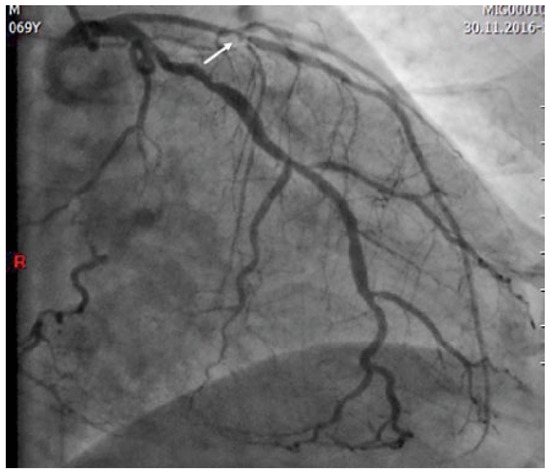
Vor über 200 Jahren hat William Heberden als Erster die typischen Beschwerden der Angina pectoris beschrieben und auch auf die Gefährlichkeit der Erkrankung hingewiesen (Abb. 1) [...]

