A 69-year-old male with the history of previous colon cancer in remission and structural post-traumatic epilepsy complained of dyspnoea and epigastric pain on exertion in the previous 6 months. He denied symptoms at rest or prolonged symptoms. During the previous week the symptoms had become worse and he visited his family physician. Figure 1 shows the resting ECG recorded by the family physician during a painfree period. A cardiac troponin T test during the visit was negative.
Figure 1.
ECG performed by the family doctor during a pain-free period showing the alterations of the terminal part of the T waves in precordial leads V2–V3 (arrows).
Questions
- What is the meaning of the alterations of the terminal part of T waves in precordial leads V2–V3?
- What is the diagnosis?
- What diagnostic test would be the most appropriate in this clinical situation?
The clinical symptoms and ECG changes are compatible with the diagnosis of a special type of Wellens’ syndrome (type II). The patient presented typical anginal symptoms on exertion, which had became worse during the previous week, thus raising the suspicion of unstable angina. Wellens’ syndrome was first described by Gerson et al. in 1980 as an inverted U wave, and then in 1982 by De Zwaan, Wellens, et al., who named it Wellens’ syndrome [1,2]. It is characterised by typical alterations of the T waves in precordial leads V2–V3 up to V5, pathognomonic of critical stenosis of the proximal left anterior descending coronary artery (LAD) [1,2]. It is also known as the “widow maker” sign because of the high risk of an acute coronary syndrome within days/weeks if it is untreated [1,2,3].
The following have been described as criteria for the diagnosis of Wellens’ syndrome [3]:
- typical intermittent chest pain;
- negative/biphasic T waves in precordial leads V2–V5 to V6 during pain-free periods;
- ECG normal or with mild ST elevation or depression during chest pain;
- absence of abnormal Q waves;
- normal progression of R waves in precordial leads
- no significant ST elevation/depression;
Such T wave abnormalities probably represent stunning and reperfusion of the affected myocardium. After the angina resolves, reperfusion-related repolarisation abnormalities persist on the resting ECG during the angina-free period [4]. Cardiac enzymes have been reported to be normal or mildly elevated [3], but this may not be so in the era of high-sensitive troponin analysis. The ECG is abnormal in symptom-free phases and shows minor or even no abnormalities during an episode of chest pain, thus making the diagnosis difficult. The sensitivity of T wave inversion for significant LAD stenosis was 69%, specificity 89%, and positive predictive value 86% in the study of Haines et al. [5].
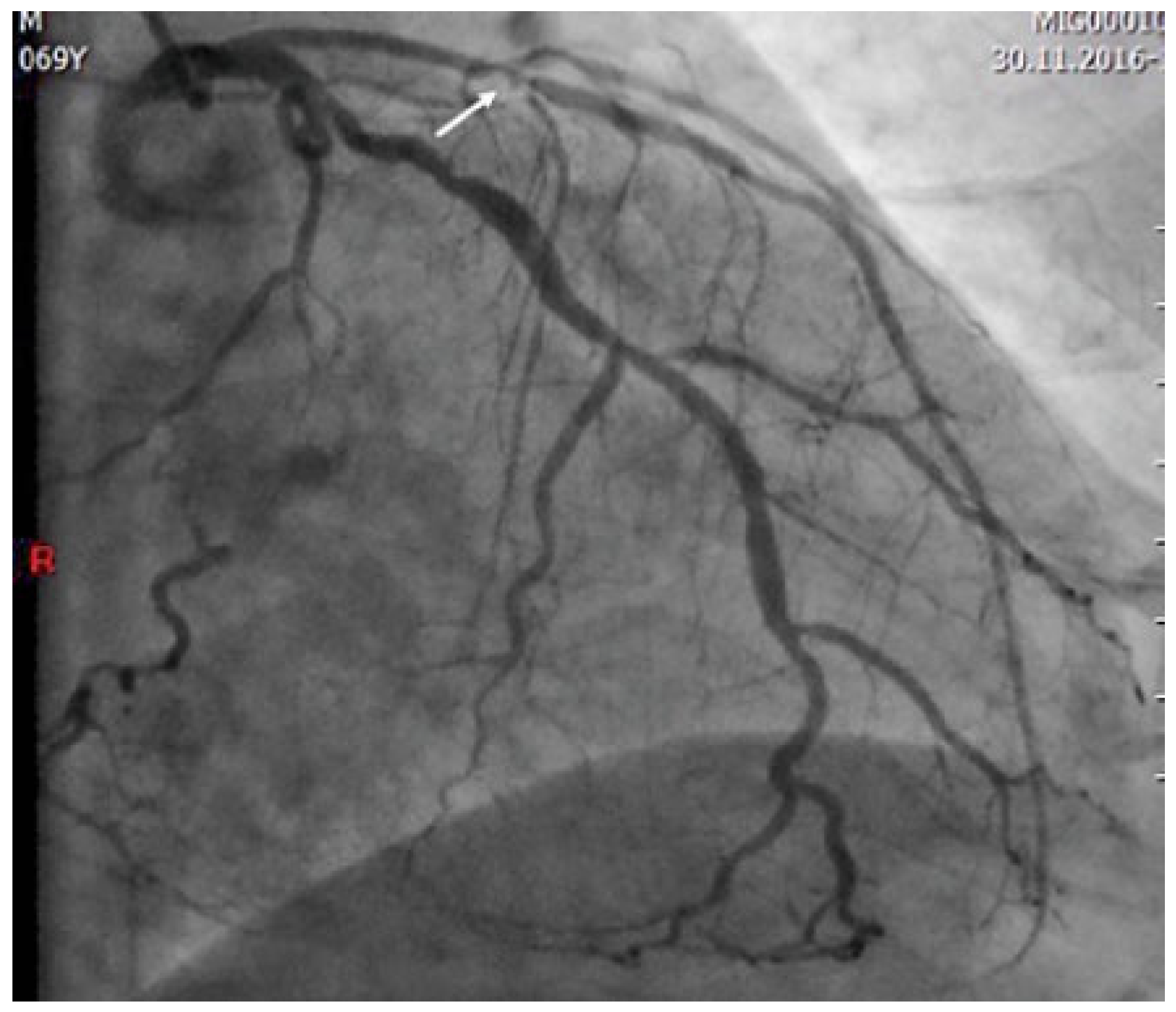
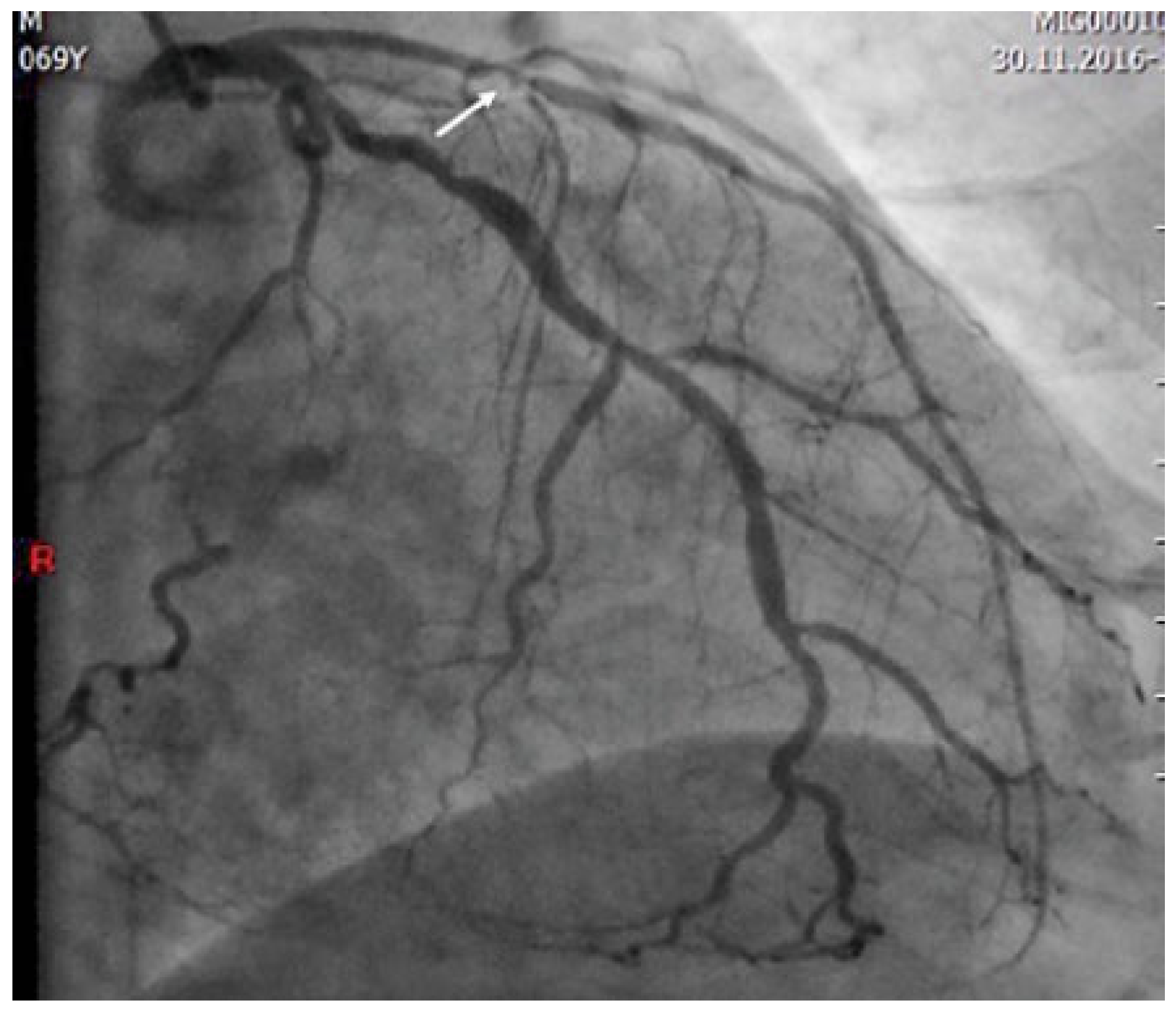
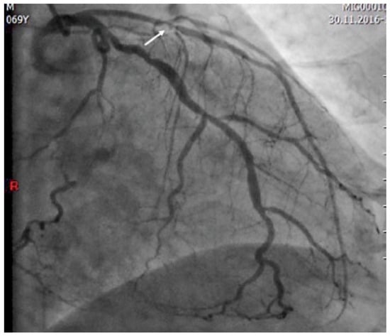
Two types of Wellens’ syndrome are identified. The most common (type I, 75% of cases) is characterised by deep negative T waves in V2–V3 and often in V4. One third of patients present the less common type II, with biphasic T waves in V2–V3 as seen in our patient [6,7]. Echocardiography on the day of presentation showed normal systolic function without regional myocardial motion abnormalities. A second troponin analysis was slightly positive. The patient underwent urgent coronary angiography (12 hours after the first medical contact), which showed severe multivessel coronary artery disease with a severe proximal LAD stenosis involving the ostium of a diagonal branch (Figure 2). Coronary by pass graft surgery was performed and the post-operative period was uneventful. On subsequent echocardiography, the systolic function was normal without regional wall motion abnormalities. Figure 3 shows the ECG after revascularisation.
Figure 2.
Coronary angiography demonstrating the critical proximal LAD stenosis involving the ostium of a diagonal branch (arrow).
Figure 3.
Normalisation of the ECG after coronary bypass graft surgery.
In conclusion, even very mild T wave alterations in precordial leads V2–V3 in a patient with symptoms of intermittent angina should prompt a high index of suspicion for Wellens’ syndrome and the patient should be referred for urgent coronary angiography because of the high risk of acute myocardial infarction in a large coronary territory. Our case is highly unusual, as we documented the less frequently described type II Wellens’ syndrome, where the diagnosis is even more challenging because of the very mild T wave alterations.
Disclosure Statement
No financial support and no other potential conflict of interest relevant to this article was reported.
References
- De Zwaan, C.; Bar, F.W.; Wellens, H.J. Characteristic electrocardiographic pattern indicating a critical stenosis high in left anterior descending coronary artery in patients admitted because of impending myocardial infarction. Am Heart J. 1982, 103, 730–736. [Google Scholar] [CrossRef] [PubMed]
- Movahed, M.R. Wellen’s Syndrome or Inverted U-waves? Clin Cardiol. 2008, 31, 133–134. [Google Scholar] [CrossRef] [PubMed]
- Mead, N.E.; O’Keefe, K.P. Wellen’s Syndrome: An ominous EKG pattern. J Emerg Trauma Shock. 2009, 2, 206–208. [Google Scholar] [CrossRef] [PubMed]
- Dhawan, S.S. Pseudo-Wellens’ syndrome after crack cocaine use. Can J Cardiol. 2008, 24, 404. [Google Scholar] [CrossRef] [PubMed]
- Haines, D.E.; Raabe, D.S.; Gundel, W.D.; Wackers, T. Anatomic and prognostic significance of new T-wave inversion in unstable angina. Am J Cardiol. 1983, 52, 14–18. [Google Scholar] [CrossRef] [PubMed]
- Tandy, T.K.; Bottomy, D.P.; Lewis, J.G. Wellen’s’ syndrome. Ann Emerg Med Mar. 1999, 33, 347–351. [Google Scholar] [CrossRef] [PubMed]
- Aufderheide, T.P.; Gibler, W.B.; Rosen, P.; Barkin, R. Acute coronary syndromes. In Emergency medicine: Concepts and clinical practice, 4th ed.; Mosby–Year Book: St Louis, 1998; pp. 1688–1691. [Google Scholar]
© 2018 by the author. Attribution - Non-Commercial - NoDerivatives 4.0.


