Next Issue
Volume 16, 11
Previous Issue
Volume 16, 09
 
 
cardiovascmed-logo

Journal Browser

Journal Browser
Cardiovascular Medicine is published by MDPI from Volume 28 Issue 1 (2025). Previous articles were published by another publisher in Open Access under a CC-BY (or CC-BY-NC-ND) licence, and they are hosted by MDPI on mdpi.com as a courtesy and upon agreement with Editores Medicorum Helveticorum (EMH).

Cardiovasc. Med., Volume 16, Issue 10 (10 2013) – 5 articles

  • Issues are regarded as officially published after their release is announced to the table of contents alert mailing list.
  • You may sign up for e-mail alerts to receive table of contents of newly released issues.
  • PDF is the official format for papers published in both, html and pdf forms. To view the papers in pdf format, click on the "PDF Full-text" link, and use the free Adobe Reader to open them.
Order results
Result details
Select all
Export citation of selected articles as:
6 pages, 902 KB  
Editorial
Schweizerische Herzstiftung Lanciert Interaktive Internetplattform zur Unterstützung Eines Risikogerechten Kardiovaskulären Gesundheitsverhaltens
by Andreas Hoffmann, Helmut Gohlke, Wolfgang Bachmann, Uwe Blessberger, Christa Bächtold and Therese Junker
Cardiovasc. Med. 2013, 16(10), 279; https://doi.org/10.4414/cvm.2013.00185 - 23 Oct 2013
Viewed by 74
Abstract
eHealth applications aim at empowering users to manage their health autonomously. A web-based, interactive cardiovascular education and coaching programme does not exist in Switzerland yet. In view of its leading position in public cardiovascular education, the Swiss Heart Foundation in cooperation with experts [...] Read more.
eHealth applications aim at empowering users to manage their health autonomously. A web-based, interactive cardiovascular education and coaching programme does not exist in Switzerland yet. In view of its leading position in public cardiovascular education, the Swiss Heart Foundation in cooperation with experts and medical associations wants to provide such a programme called www.swissheart-coach.ch. The programme should support health-conscious individuals and patients in their efforts to address risk factors, disease coping and secondary prevention. It is also intended to support health professionals in the treatment and supervision of cardio-vascular patients and to help them optimize adherence. “Swissheart Coach” is unique in covering the entire cardiovascular risk factor spectrum. A novel approach focusses on eight so called health factors, namely smoking cessation, physical activity, diet, body weight, stress management, control of blood pressure, lipid and glucose levels. “Swissheart Coach” includes a risk calculator created from evidence-based studies that takes into account not only the AGLA and ESC scores as a baseline but also BMI, quantified smoking, quantified physical activity, elements of mediterranean diet as well as stress. The assessment shows the user the already utilised and the still available health potential, displays the absolute and relative risk, shows the calculated ”heart age” and motivates the user to set objectives and measures for optimizing health resources. A comprehensive individualized report is generated at the end. Also integrated are implementation aids, additional information and offers, as well as referral to medical consultations and telephone and online consulting. Links to CME offers are incorporated for professionals. Full article
8 pages, 692 KB  
Communication
Fostering Diffusion of Scientific Contents of National Societies Cardiovascular Journals
by Fernando Alfonso, Lino Gonçalves, Fausto Pinto, Adam Timmis, Hugo Ector, Giuseppe Ambrosio and Panos Vardas
Cardiovasc. Med. 2013, 16(10), 271; https://doi.org/10.4414/cvm.2013.00174 - 23 Oct 2013
Viewed by 98
Abstract
European Society of Cardiology (ESC) National Society Cardiovascular Journals (NSCJs) are high-quality biomedical journals focused on cardiovascular diseases. The Editors´ Network of the ESC devises editorial initiatives aimed at improving the scientific quality and diffusion of NSCJ. In this article we will discuss [...] Read more.
European Society of Cardiology (ESC) National Society Cardiovascular Journals (NSCJs) are high-quality biomedical journals focused on cardiovascular diseases. The Editors´ Network of the ESC devises editorial initiatives aimed at improving the scientific quality and diffusion of NSCJ. In this article we will discuss on the importance of the Internet, electronic editions and open access strategies on scientific publishing. Finally, we will propose a new editorial initiative based on a novel electronic tool on the ESC web-page that may further help to increase the dissemination of contents and visibility of NSCJs. Full article
Show Figures

Figure 1

4 pages, 264 KB  
Case Report
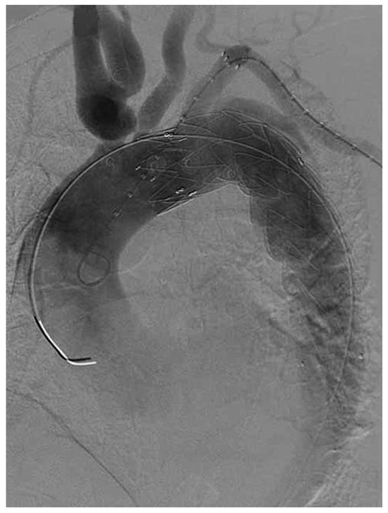
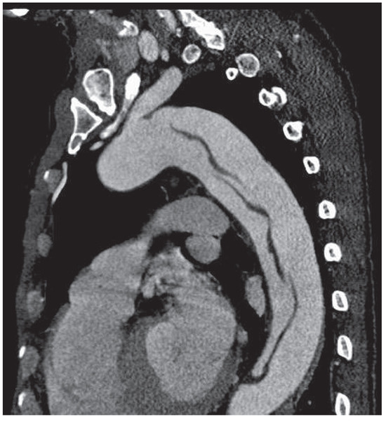
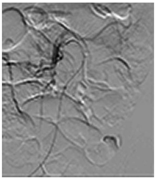
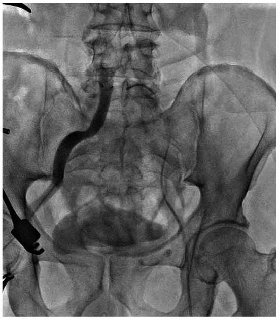
Endovascular Treatment of a Complex Type B Aortic Dissection
by Wen-Dong Li, Qing-You Meng, Li-Wei Zhu, Wen-Bin Wang, Ye-Qing Zhang, Cheng-Long Li and Xiao-Qiang Li
Cardiovasc. Med. 2013, 16(10), 267; https://doi.org/10.4414/cvm.2013.00187 - 23 Oct 2013
Viewed by 63
Abstract
Aortic dissection is a rare disease with high morbidity and mortality, especially when involving multiorgan malperfusion such as lower extremity and visceral ischaemia. Revascularisation should be performed to restore perfusion immediately. We report a case of acute Stanford type B aortic dissection complicated [...] Read more.
Aortic dissection is a rare disease with high morbidity and mortality, especially when involving multiorgan malperfusion such as lower extremity and visceral ischaemia. Revascularisation should be performed to restore perfusion immediately. We report a case of acute Stanford type B aortic dissection complicated by lower extremity, renal and superior mesenteric ischaemia. The right iliac artery was occluded because of compression of the false lumen, resulting in thrombosis. The patient was successfully treated with endovascular treatments, including thrombus extraction and iliac artery, superior mesentic artery and aortic stenting combined with fenestration. Full article
Show Figures

Figure 1

4 pages, 119 KB  
Article
Changes in Ejection Fraction After an Ablate and Pace Procedure in Patients with Atrial Fibrillation
by Beat Schaer, Christian Sticherling, Heidi Abbühl, Michael Kühne and Stefan Osswald
Cardiovasc. Med. 2013, 16(10), 263; https://doi.org/10.4414/cvm.2013.00186 - 23 Oct 2013
Viewed by 83
Abstract
Backround: “Ablate-and-pace” is an established procedure for selected patients with drug-refractory atrial fibrillation (AF). As consecutive right-ventricular pacing might have deleterious effects on left ventricular ejection fraction (LVEF), cardiac resynchronisation therapy (CRT) has been proposed as an alternative. Our aim was to evaluate [...] Read more.
Backround: “Ablate-and-pace” is an established procedure for selected patients with drug-refractory atrial fibrillation (AF). As consecutive right-ventricular pacing might have deleterious effects on left ventricular ejection fraction (LVEF), cardiac resynchronisation therapy (CRT) has been proposed as an alternative. Our aim was to evaluate the long-term follow-up of LVEF of such patients, to determine the rate of severe decline of LVEF and to find predictors. Methods: We included 27 patients with follow-up of >12 months and sufficient echocardiographic data for 65 ± 32 months. Last echocardiographic follow-up was performed after 61 ± 30 months. Main focuses were a decrease of LVEF to <35% and a decrease by >10%. Results: Mean LVEF at implant was 53% ± 9%. A LVEF of ≤40% (30%, 35% and 38%) was seen in three patients. At last follow-up, mean LVEF was 52% ± 8%. The three patients with a LVEF initially ≤40% improved (30% to 72%; 35% to 40%; 38% to 40%). LVEF changes in the three patients who at last follow-up had a LVEF of ≤40% were: 38% to 40%; 55% to 40%; 52% to 38%. In five patients (18%), LVEF decreased by ≥10%, though never to below 38%. The only predictors for a decrease in LVEF of ≥10% were lack of beta-blocker or angiotensin converting-enzyme inhibitor therapy at implant (p-values 0.02 and 0.003). Upgrade to CRT was performed in the patient with a LVEF of 38%. Conclusions: During long-term follow- up after “ablate-and-pace”, most patients with preserved or mildly impaired LVEF at implant do not exhibit a relevant decline in LVEF necessitating CRT upgrade. Full article
Show Figures

Figure 1

4 pages, 415 KB  
Editorial
Cardiac Contractility Modulation for Treatment of Heart Failure
by Haran Burri and Pierre Bordachar
Cardiovasc. Med. 2013, 16(10), 259; https://doi.org/10.4414/cvm.2013.00184 - 23 Oct 2013
Cited by 2 | Viewed by 91
Abstract
Cardiac contractility modulation has been studied for over a decade to treat heart failure. This article provided an overview of the suggested mechanisms of action and current evidence of efficacy, and discusses the clinical perspectives of this therapy. Full article
Show Figures

Figure 1

Previous Issue
Next Issue
Back to TopTop