Next Issue
Volume 13, 06
Previous Issue
Volume 13, 04
 
 
cardiovascmed-logo

Journal Browser

Journal Browser
Cardiovascular Medicine is published by MDPI from Volume 28 Issue 1 (2025). Previous articles were published by another publisher in Open Access under a CC-BY (or CC-BY-NC-ND) licence, and they are hosted by MDPI on mdpi.com as a courtesy and upon agreement with Editores Medicorum Helveticorum (EMH).

Cardiovasc. Med., Volume 13, Issue 5 (05 2010) – 8 articles

  • Issues are regarded as officially published after their release is announced to the table of contents alert mailing list.
  • You may sign up for e-mail alerts to receive table of contents of newly released issues.
  • PDF is the official format for papers published in both, html and pdf forms. To view the papers in pdf format, click on the "PDF Full-text" link, and use the free Adobe Reader to open them.
Order results
Result details
Select all
Export citation of selected articles as:
6 pages, 191 KB  
Communication
Checkliste für das perioperative Management von Schrittmacher- und ICD-Patienten
by Peter Zwicky, Haran Burri, Beat Schär, Nicola Schwick, Urs Bauersfeld, Istvan Babotai, Jürg Fuhrer, Hans O. Gloor, Jürg Schläpfer and Christian Sticherling
Cardiovasc. Med. 2010, 13(5), 177; https://doi.org/10.4414/cvm.2010.01498 - 26 May 2010
Viewed by 90
Abstract
A considerable number of patients with implanted pacemakers or ICDs (implantable cardioverter-defibrillators) undergo surgical procedures, which exposes them to different mechanical and electromagnetic threats [...] Full article
1 pages, 92 KB  
Communication
Research Prize of the Swiss Heart Foundation
by Swiss Heart Foundation
Cardiovasc. Med. 2010, 13(5), 176; https://doi.org/10.4414/cvm.2010.01499 - 26 May 2010
Viewed by 103
Abstract
The Swiss Heart Foundation (SHF) awards an annual prize of 20 000 Swiss francs for one or more outstanding scientific research publications/accepted manuscripts in the field of prevention [...] Full article
2 pages, 383 KB  
Interesting Images
Intramyocardial Haemorrhage
by Stephan Schneiter and Andrew J. Taylor
Cardiovasc. Med. 2010, 13(5), 174; https://doi.org/10.4414/cvm.2010.01504 - 26 May 2010
Viewed by 97
Abstract
A 59-year-old male patient presented with chest pain and electrocardiographic features of an acute inferolateral myocardial infarction [...] Full article
Show Figures

Figure 1

3 pages, 250 KB  
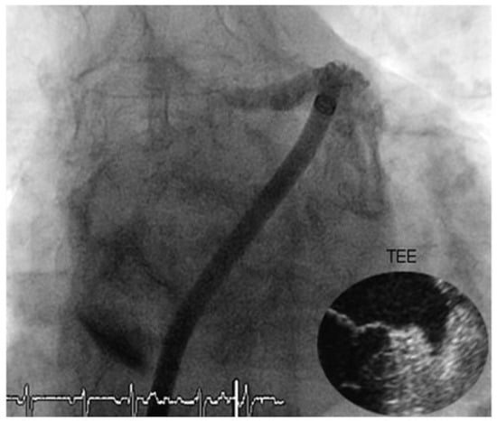
Case Report
Comprehensive “One Stop-Shop” Percutaneous Cardiac Intervention
by Thomas Pilgrim, Peter Wenaweser, Stephan Windecker and Bernhard Meier
Cardiovasc. Med. 2010, 13(5), 171; https://doi.org/10.4414/cvm.2010.01497 - 26 May 2010
Viewed by 94
Abstract
A 78-year-old male retired mathematician with severe aortic stenosis, persistant atrial fibrillation, reluctance to accept oral anticoagulation, and with suspected coronary artery disease was referred for further management [...] Full article
Show Figures

Figure 1

4 pages, 888 KB  
Article
Muscular Ventricular Septal Defect After Mitral and Aortic Valve Replacement
by Augusto Aragão, Dorothea Vogel and Christoph Schmidt
Cardiovasc. Med. 2010, 13(5), 167; https://doi.org/10.4414/cvm.2010.01500 - 26 May 2010
Viewed by 117
Abstract
We describe a case series of five patients who were referred to our cardiac rehabilitation department after mitral or aortic valve replacement, and whose transthoracic echocardiographic studies showed postoperative muscular septal defects. Full article
Show Figures

Figure 1

5 pages, 140 KB  
Article
Effects of the Implementation of a Multifaceted Cardiac Rehabilitation Programme
by Elisa Stoira, Mauro Capoferri, Antonello Molteni, Lucas M. Bachmann and Tiziano Moccetti
Cardiovasc. Med. 2010, 13(5), 162; https://doi.org/10.4414/cvm.2010.01501 - 26 May 2010
Viewed by 94
Abstract
Background: Various studies show that multidisciplinary rehabilitation programmes including physical training, nutritional counselling and risk factor management for patients with cardiac disease result in behavioural change and improve both quality of life and physical performance. To what extent these results can be translated [...] Read more.
Background: Various studies show that multidisciplinary rehabilitation programmes including physical training, nutritional counselling and risk factor management for patients with cardiac disease result in behavioural change and improve both quality of life and physical performance. To what extent these results can be translated into clinical practice is less well understood. Purpose: To measure changes in nutrition habits, smoking habits, wellbeing, self-perceived physical fitness and physical performance of patients with various cardiac diseases attending a multidisciplinary cardiac rehabilitation programme in a regional outpatient cardiological rehabilitation centre in Switzerland. To study variability of effects in female and elderly patients. Methods: 139 consenting patients (mean age: 61.9 years [±10.1], 119 [85.6%] male) attending a cardiac rehabilitation programme were asked to complete a questionnaire before and after a 3-month outpatient cardiac rehabilitation programme of 36 sessions. We also assessed physical performance before and after rehabilitation. We tested changes from baseline statistically and investigated whether the patients’ age and gender had an influence on the rehabilitation effects. Results: Patients reduced the intake of fatty food by 1.70 score points (95%CI: −2.06 to −1.28; p < 0.001) and increased their intake of healthy food by 2.23 score points (1.88 to 2.58, p < 0.001). We observed a significant reduction in the number of smokers (p < 0.001). Wellbeing increased by 1.39 score points (1.11 to 1.67, p < 0.001) and self-perceived physical fitness increased by 2.97 score points (2.45 to 3.49, p < 0.001). The 6-minute walking test increased by 118.82 metres (105.46 to 132.20, p < 0.001) and exercise capacity increased by 0.28 watt/bodyweight (kg) (0.22 to 0.34, p < 0.001). Elderly patients tended to be less willing to change nutritional behaviour. Gender had no influence on changes in the five domains investigated. Conclusions: Our multidisciplinary rehabilitation programme can be successfully implemented in clinical practice and has similar beneficial effects to those reported in clinical trials. Our results encourage broad implementation of such programmes in clinical practice. Full article
7 pages, 158 KB  
Article
Impact of Comorbidities on Clinical Presentation, Management and Outcome of Patients with Acute Coronary Syndrome
by Amir-Ali Fassa, Philip Urban, Dragana Radovanovic, Franz Eberli, Ralf Polikar, Jean-Christophe Stauffer, Osmund Bertel and Paul Erne
Cardiovasc. Med. 2010, 13(5), 155; https://doi.org/10.4414/cvm.2010.01502 - 26 May 2010
Cited by 1 | Viewed by 124
Abstract
Background: Most randomised controlled trials (RCT) for acute coronary syndrome (ACS) exclude patients with significant comorbidities. This may lead to misconceptions regarding applicable treatment modalities and hospital outcomes. The objective of the present analysis was to assess the importance of major comorbidities in [...] Read more.
Background: Most randomised controlled trials (RCT) for acute coronary syndrome (ACS) exclude patients with significant comorbidities. This may lead to misconceptions regarding applicable treatment modalities and hospital outcomes. The objective of the present analysis was to assess the importance of major comorbidities in patients admitted with ACS. Methods and results: We used the Charlson comorbidity Index (CCI) to evaluate the impact of chronic comorbidities in 19 496 patients included in the AMIS Plus registry following admission for ACS to 63 Swiss hospitals between 2002 and 2008. Among the studied population, 3881 (19.9%) had at least one comorbidity which would exclude them from most RCT for ACS. When compared to patients with a CCI score of 0, those with higher CCI scores were older, more frequently females, and had higher rates of hypertension, dyslipidaemia and obesity. They were less often treated with guideline-recommended drugs and eligible patients underwent acute reperfusion therapy less frequently. The CCI was associated with an increased rate of in-hospital mortality (3.0%, 5.6%, 8.1% and 13.7% respectively for a CCI score of 0, 1, 2, and 3 or more, p <0.001), and remained a powerful predictor of hospital mortality by multivariate analysis. For 3323 patients with long term follow-up, mortality 1 year after discharge was similarly correlated with the CCI (1.6%, 2.7%, 8.4%, and 16.0% respectively for a CCI score of 0, 1, 2, and 3 or more, p <0.001). Conclusions: Comorbidities have a major impact on clinical presentation, management and outcome of patients admitted to hospital for ACS. This should be taken into account when transposing results obtained from RCT into the “real world”. Full article
8 pages, 173 KB  
Review
Cardiovascular Drug Interactions with Tyrosine Kinase Inhibitors
by Amina Haouala, Nicolas Widmer, Michael Montemurro, Thierry Buclin and Laurent Decosterd
Cardiovasc. Med. 2010, 13(5), 147; https://doi.org/10.4414/cvm.2010.01503 - 26 May 2010
Viewed by 161
Abstract
Imatinib mesylate, a selective inhibitor of tyrosine kinases, has excellent efficacy in the treatment of chronic myeloid leukaemia (CML) and gastrointestinal stromal tumour (GIST). Inducing durable responses and achieving prolonged survival, it has become the standard of care for the treatment of these [...] Read more.
Imatinib mesylate, a selective inhibitor of tyrosine kinases, has excellent efficacy in the treatment of chronic myeloid leukaemia (CML) and gastrointestinal stromal tumour (GIST). Inducing durable responses and achieving prolonged survival, it has become the standard of care for the treatment of these diseases. It has opened the way to the development of additional tyrosine kinase inhibitors (TKIs), including sunitinib, nilotinib, dasatinib and sorafenib, all indicated for the treatment of various haematological malignancies and solid tumours. TKIs are prescribed for prolonged periods and are often taken by patients with–notably cardiovascular–comorbidities. Hence TKIs are regularly co-administered with cardiovascular drugs, with a considerable risk of potentially harmful drug-drug interactions due to the large number of agents used in combination. However, this aspect has received limited attention so far, and a comprehensive review of the published data on this important topic has been lacking. We review here the available data and pharmacological mechanisms of interactions between commonly prescribed cardiovascular drugs and the TKIs marketed at present. Regular updating of the literature on this topic will be mandatory, as will the prospective reporting of unexpected clinical observations, given the fact that these drugs have been only recently marketed. Full article
Previous Issue
Next Issue
Back to TopTop