Lower Limb Ischemia as Acute Onset of Primary Aortic Occlusion: CTA Imaging and Management
Abstract
1. Introduction
2. Materials and Methods
2.1. Patients
2.2. CT Imaging
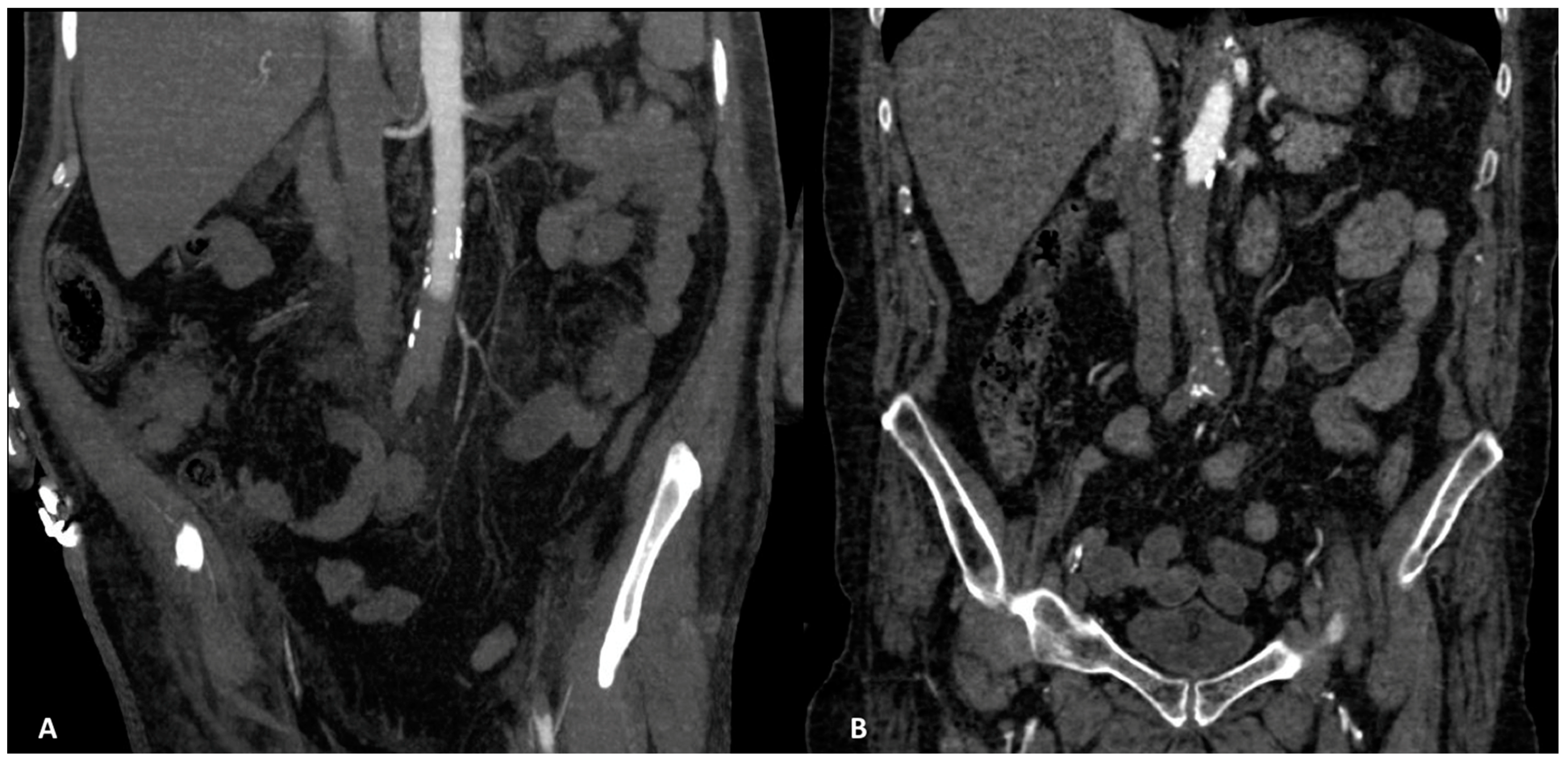
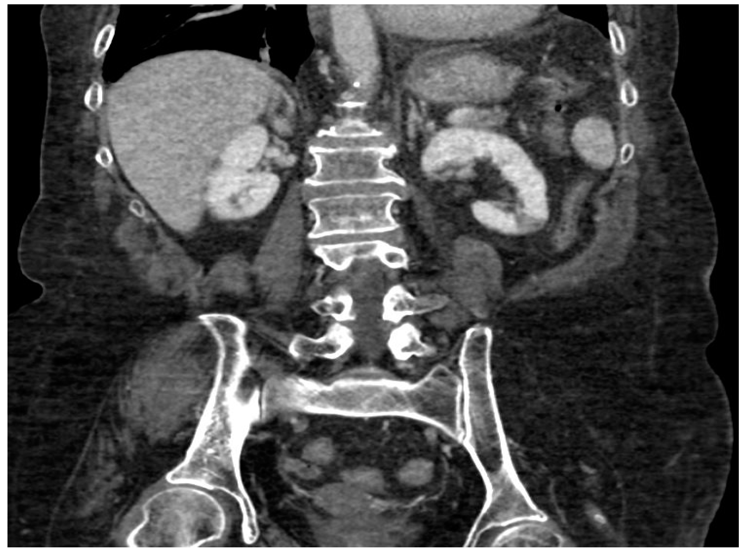
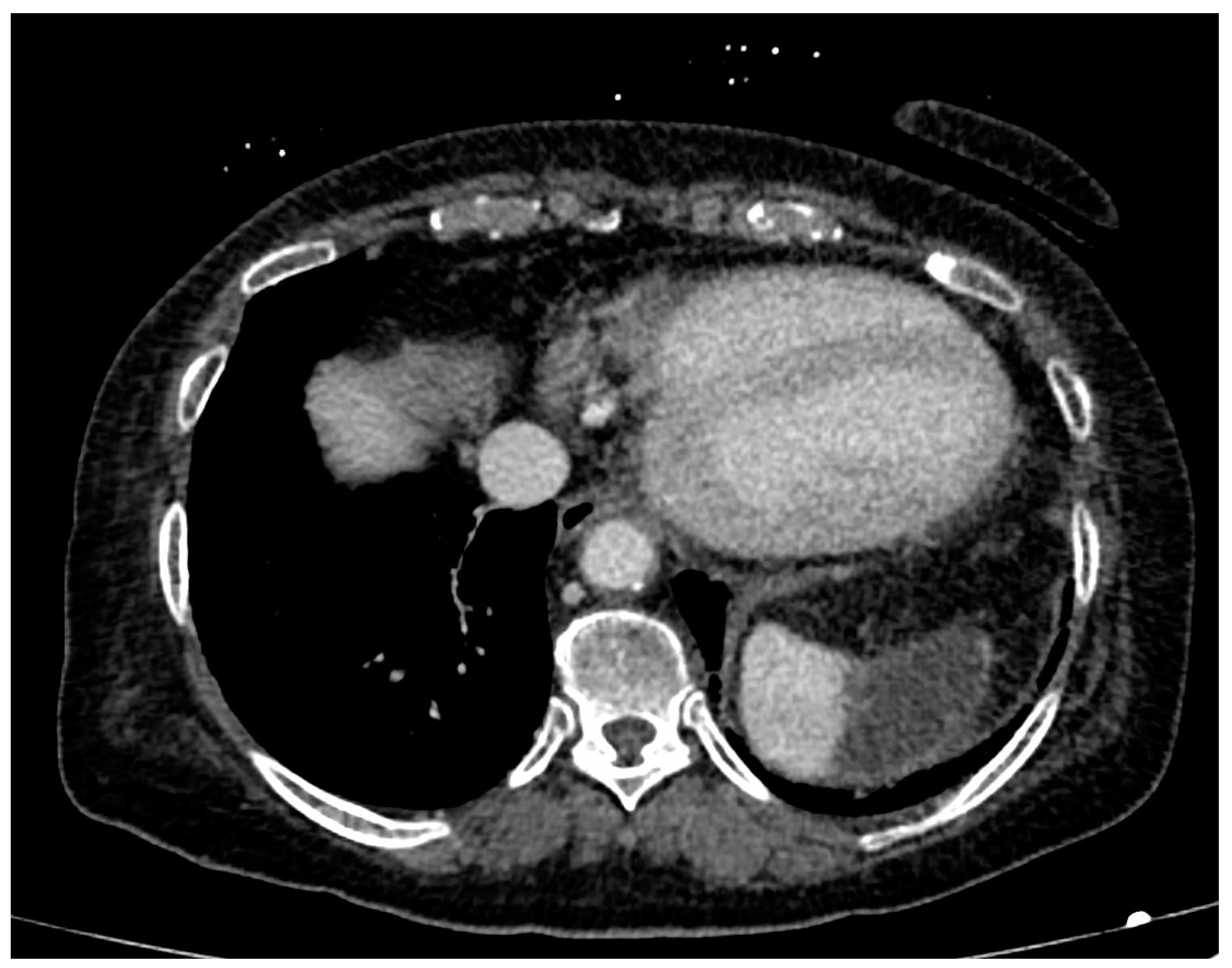
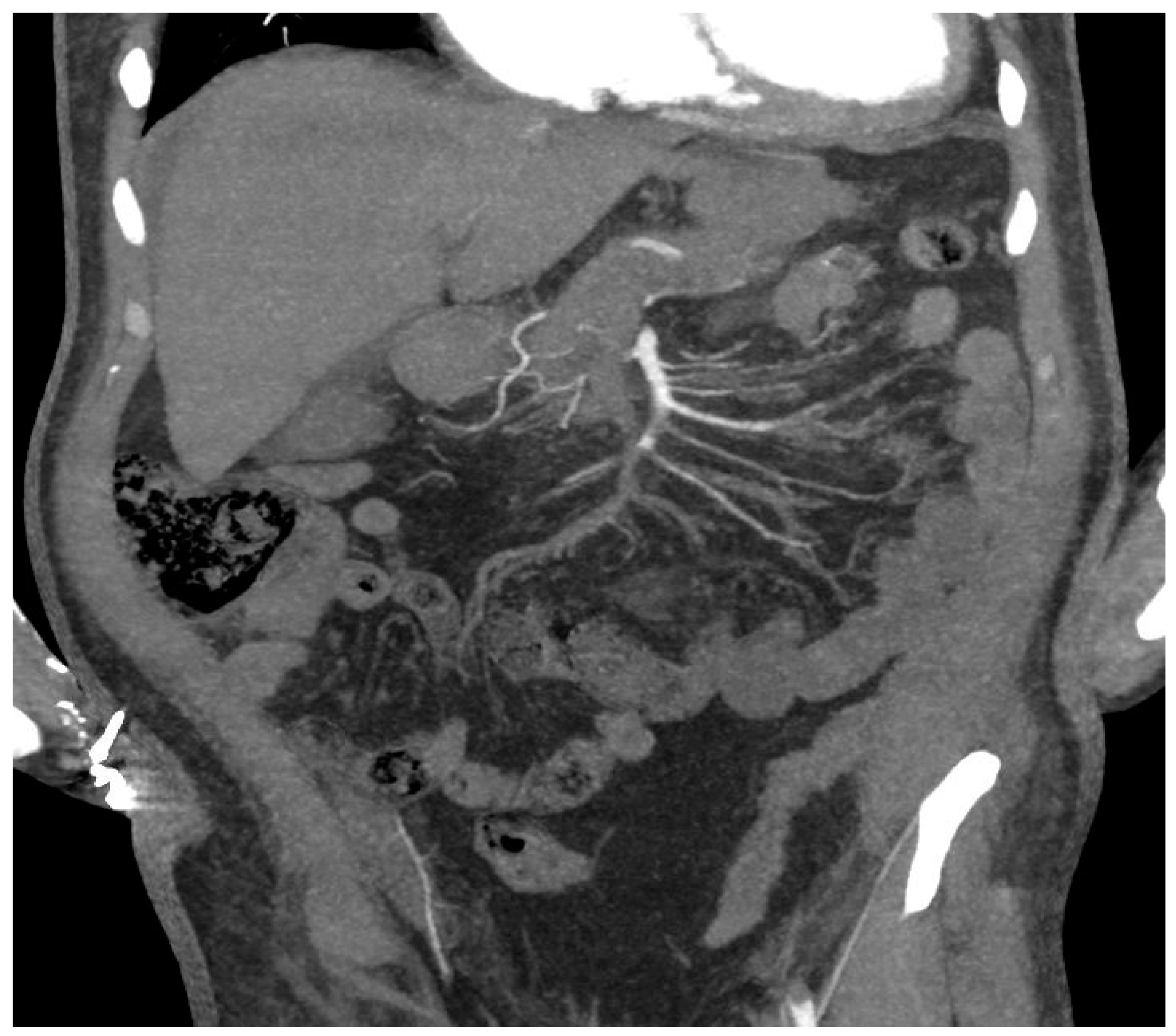
3. Results
- -
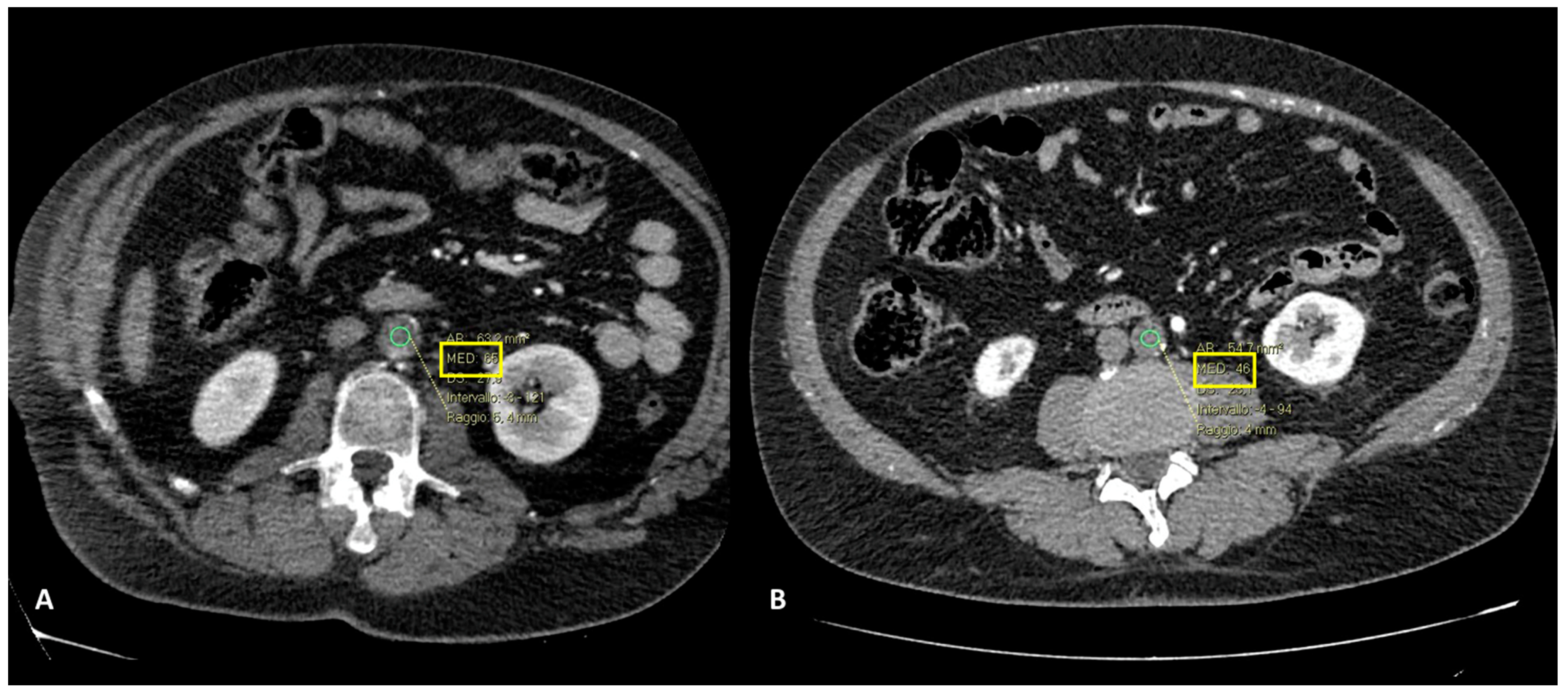
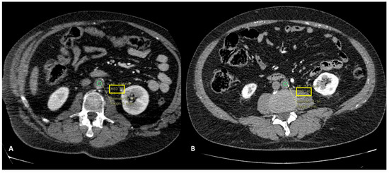
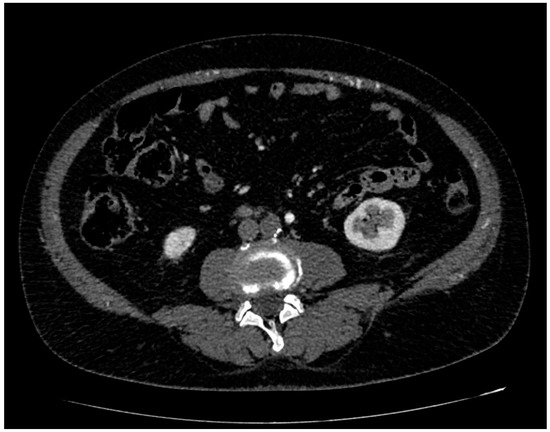
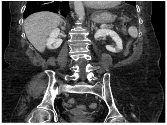
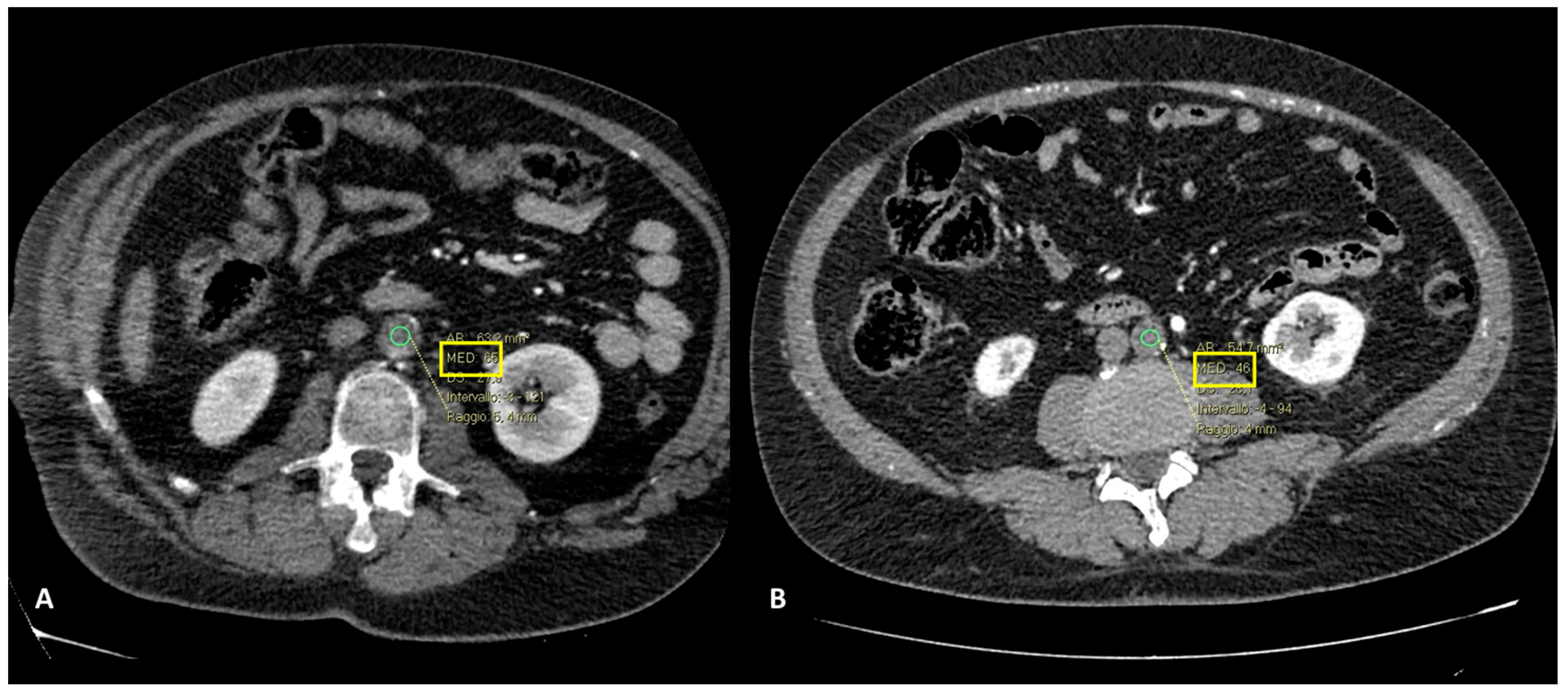
- Focal ischemia of the left renal parenchyma in four patients (36.4%) (Figure 3);
- -
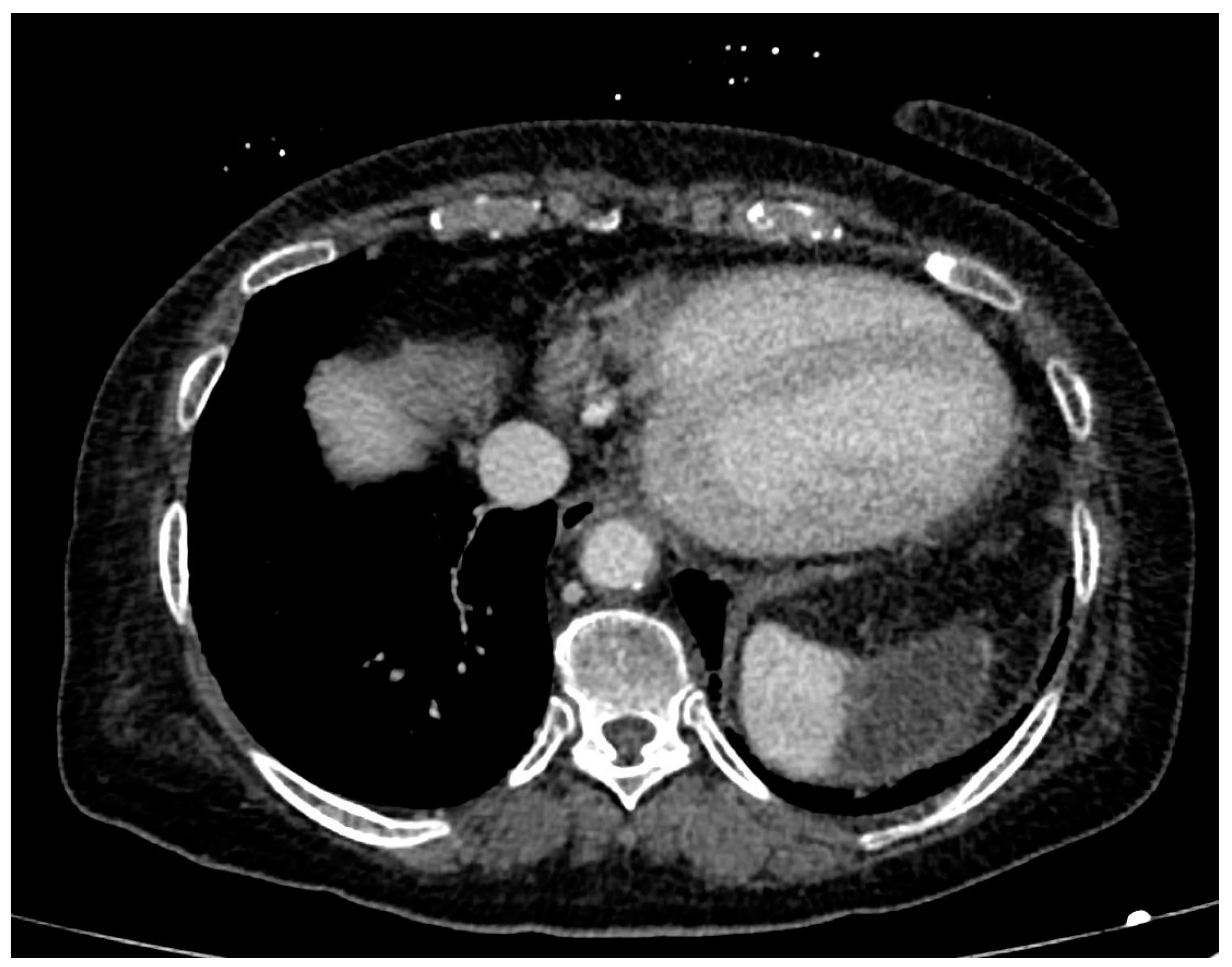
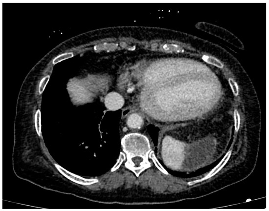
- Focal ischemia of the splenic parenchyma in two patients (18.2%) (Figure 4);
- -
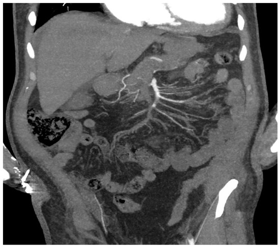
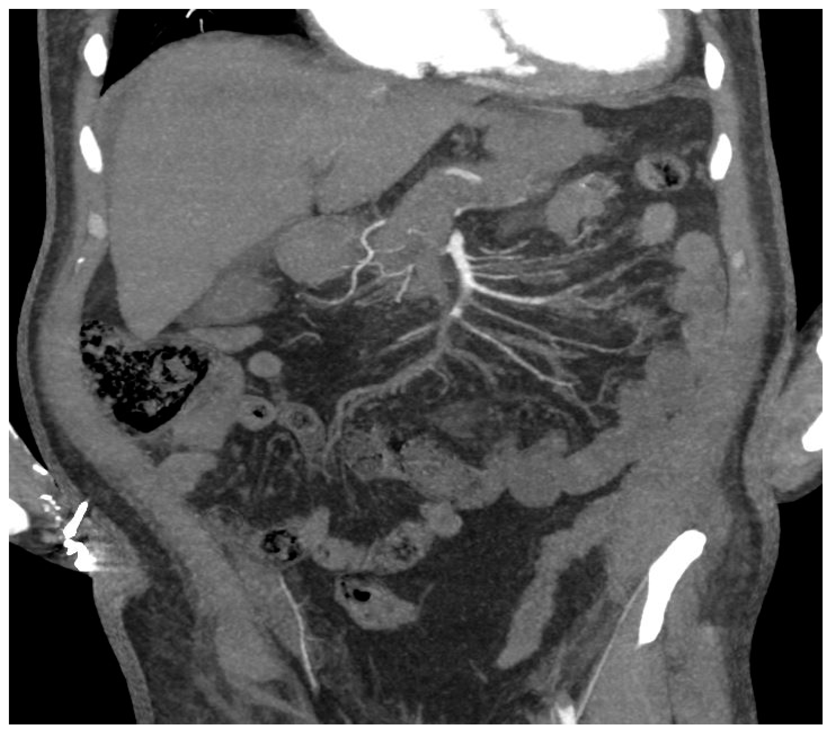
- In one case (9.1%), hypoperfusion of the intestinal loops was evidenced due to extensive thrombosis of the superior mesenteric artery (Figure 5); this patient was the one with predominant abdominal pain symptoms.
4. Discussion
- -
- Type I: mural thrombus in the ascending and arch of the aorta (up to the origin of the left subclavian artery; Type Ia: limited to the ascending aorta, Type Ib: ascending aortic thrombus extending into the arch or aortic arch thrombus);
- -
- Type II: mural thrombus in the descending thoracic aorta (distal to the left subclavian artery up to the coeliac artery); Type IIa: descending thoracic aorta thrombus above T8, Type IIb: descending thoracic aorta thrombus + supracoeliac aorta thrombus (T8-L1);
- -
- Type III: mural thrombus in the aortic segment between the coeliac artery and the lower renal artery;
- -
- Type IV: thrombus between the lower renal artery and the aortic bifurcation.
5. Conclusions
Author Contributions
Funding
Institutional Review Board Statement
Informed Consent Statement
Data Availability Statement
Conflicts of Interest
References
- Kaschwich, M.; Behrendt, C.A.; Tsilimparis, N.; Kolbel, T.; Wipper, S.H.; Debus, E.S. Management of acute aortic thrombosis. J Cardiovasc. Surg. 2017, 58, 313–320. [Google Scholar] [CrossRef]
- Settembrini, P.; Settembrini, A.M. Acute Aortic Occlusion Remains a Challenge for the Vascular Surgeon: Is Experience the Key to Success? Eur. J. Vasc. Endovasc. Surg. 2019, 58, 697. [Google Scholar] [CrossRef]
- Grip, O.; Wanhainen, A.; Bjorck, M. Acute Aortic Occlusion. Circulation 2019, 139, 292–294. [Google Scholar] [CrossRef]
- Crawford, J.D.; Perrone, K.H.; Wong, V.W.; Mitchell, E.L.; Azarbal, A.F.; Liem, T.K.; Landry, G.J.; Moneta, G.L. A modern series of acute aortic occlusion. J. Vasc. Surg. 2014, 59, 1044–1050. [Google Scholar] [CrossRef]
- Matarneh, A.S.; Sadiq, A.; Ahmad Khan, A.; Eltahir, A.I.; Alansari, M.; Mohammed, A. A rare case of spontaneous abdominal aorta thrombosis. Clin. Case Rep. 2021, 9, e04571. [Google Scholar] [CrossRef]
- Yang, S.; Yu, J.; Zeng, W.; Yang, L.; Teng, L.; Cui, Y.; Shi, H. Aortic floating thrombus detected by computed tomography angiography incidentally: Five cases and a literature review. J. Thorac. Cardiovasc. Surg. 2017, 153, 791–803. [Google Scholar] [CrossRef]
- Robinson, W.P.; Patel, R.K.; Columbo, J.A.; Flahive, J.; Aiello, F.A.; Baril, D.T.; Schanzer, A.; Messina, L.M. Contemporary Management of Acute Aortic Occlusion Has Evolved but Outcomes Have Not Significantly Improved. Ann. Vasc. Surg. 2016, 34, 178–186. [Google Scholar] [CrossRef]
- Delay, C.; Schwein, A.; Lejay, A.; Gaertner, S.; Aleil, B.; Thaveau, F.; Georg, Y.; Chakfe, N. Aortitis and aortic occlusion in Crohn disease. Ann. Vasc. Surg. 2015, 29, 365.e5–365.e9. [Google Scholar] [CrossRef]
- Kim, J.H.; Jeon, Y.S.; Cho, S.G. Successful management of four unusual cases of acute aortic thrombus induced by chemotherapy. Clin. Imaging 2016, 40, 224–227. [Google Scholar] [CrossRef]
- Lee, R.; Hsu, R. Acute aortic occlusion associated with COVID-19: A rare complication of a not so rare disease. J. Am. Coll. Emerg. Physicians Open 2022, 3, e12730. [Google Scholar] [CrossRef]
- Caudron, C.; Ben Abdallah, I.; Detriche, G.; Cherkaoui, R.; Julia, P.; Alsac, J.M.; Mirault, T.; El Batti, S. Aortic thrombosis as a dramatic vascular complication in COVID-19 disease. J. Med. Vasc. 2022, 47, 169–174. [Google Scholar] [CrossRef]
- Dossa, C.D.; Shepard, A.D.; Reddy, D.J.; Jones, C.M.; Elliott, J.P.; Smith, R.F.; Ernst, C.B. Acute aortic occlusion. A 40-year experience. Arch. Surg. 1994, 129, 603–608. [Google Scholar] [CrossRef]
- Busuttil, R.W.; Keehn, G.; Milliken, J.; Paredero, V.M.; Baker, J.D.; Machleder, H.I.; Moore, W.S.; Barker, W.F. Aortic saddle embolus. A twenty-year experience. Ann. Surg. 1983, 197, 698–706. [Google Scholar] [CrossRef]
- Littooy, F.N.; Baker, W.H. Acute aortic occlusion—A multifaceted catastrophe. J. Vasc. Surg. 1986, 4, 211–216. [Google Scholar] [CrossRef]
- Wolberg, A.S.; Aleman, M.M.; Leiderman, K.; Machlus, K.R. Procoagulant activity in hemostasis and thrombosis: Virchow’s triad revisited. Anesth. Analg. 2012, 114, 275–285. [Google Scholar] [CrossRef]
- Taglietti, L.; Pontoglio, S.; Di Flumeri, G.; R, E.P.; Vettoretto, N.; Ghilardi, G.; Barozzi, G.; Poiatti, R.; Giovanetti, M. Acute thrombosis of abdominal aorta and hypercoagulable disorders. Int. Angiol. 2008, 27, 157–165. [Google Scholar]
- Ding, X.; Liu, Y.; Su, Q.; Hu, S.; Jiang, J. Diagnosis and Treatment of Aortic Saddle Embolism. Ann. Vasc. Surg. 2019, 56, 124–131. [Google Scholar] [CrossRef]
- Battocchio, C.; Dezi, T.; D’Andrea, A.; Taurino, M.; Rizzo, L. Acute Occlusion of Descending Thoracic Aorta. Ann. Vasc. Surg. 2019, 60, 477.e15–477.e19. [Google Scholar] [CrossRef]
- Olearchyk, A.S. Saddle embolism of the aorta with sudden paraplegia. Can. J. Surg. 2004, 47, 472–473. [Google Scholar]
- Bossone, E.; LaBounty, T.M.; Eagle, K.A. Acute aortic syndromes: Diagnosis and management, an update. Eur. Heart J. 2018, 39, 739–749d. [Google Scholar] [CrossRef]
- Mellnick, V.M.; Heiken, J.P. The Acute Abdominal Aorta. Radiol. Clin. N. Am. 2015, 53, 1209–1224. [Google Scholar] [CrossRef]
- Liguori, C.; Tamburrini, S.; Ferrandino, G.; Leboffe, S.; Rosano, N.; Marano, I. Role of CT and MRI in Cardiac Emergencies. Tomography 2022, 8, 1386–1400. [Google Scholar] [CrossRef]
- Fayad, Z.Y.; Semaan, E.; Fahoum, B.; Briggs, M.; Tortolani, A.; D’Ayala, M. Aortic mural thrombus in the normal or minimally atherosclerotic aorta. Ann. Vasc. Surg. 2013, 27, 282–290. [Google Scholar] [CrossRef]
- Refinetti, P.; Legay, L.; Fontaine, J.P.; Peyrony, O. Abdominal aortic occlusion due to acute thrombosis. Intern. Emerg. Med. 2019, 14, 1003–1004. [Google Scholar] [CrossRef]
- Surowiec, S.M.; Isiklar, H.; Sreeram, S.; Weiss, V.J.; Lumsden, A.B. Acute occlusion of the abdominal aorta. Am. J. Surg. 1998, 176, 193–197. [Google Scholar] [CrossRef]
- Verma, H.; Meda, N.; Vora, S.; George, R.K.; Tripathi, R.K. Contemporary management of symptomatic primary aortic mural thrombus. J. Vasc. Surg. 2014, 60, 1524–1534. [Google Scholar] [CrossRef]
- Hahn, T.L.; Dalsing, M.C.; Sawchuk, A.P.; Cikrit, D.F.; Lalka, S.G. Primary aortic mural thrombus: Presentation and treatment. Ann. Vasc. Surg. 1999, 13, 52–59. [Google Scholar] [CrossRef]
- Mando, R.; Gemayel, R.; Chaddha, A.; Barbat, J.J.; Cami, E. Peripherally Embolizing Aortic Thrombus: The Work-Up, Management, and Outcome of Primary Aortic Thrombus. Case Rep. Cardiol. 2019, 2019, 8132578. [Google Scholar] [CrossRef]
- Patricio, C.; Silva, M.M.; Silva, P.E.; Oliveira, J.; Bagulho, L. Massive organ embolization from primary aortic thrombosis. Rev. Port. Cardiol. 2018, 37, 447.e1–447.e6. [Google Scholar] [CrossRef]
- Delarue, A.; Guedon, A.F.; Boutigny, A.; Mohamedi, N.; Magnan, B.; Vovelle, A.; Amah, G.; Bonnin, P. Failing to palpate femoral pulses in adult hypertensive patients may lead to diagnostic wandering and major cerebrovascular events in cases of undetected aortic coarctation. J. Hum. Hypertens. 2022, 36, 689–692. [Google Scholar] [CrossRef]






| Patient | Sex | Age |
|---|---|---|
| 1 | M | 49 |
| 2 | M | 54 |
| 3 | M | 55 |
| 4 | M | 63 |
| 5 | F | 65 |
| 6 | F | 68 |
| 7 | M | 68 |
| 8 | F | 69 |
| 9 | M | 74 |
| 10 | M | 74 |
| 11 | M | 79 |
| Patients n. | Prevalent Clinical Findings | % |
|---|---|---|
| 9/11 | Local pain, claudication, signs of limb ischemia | 81.8% |
| 1/11 | Lower limb paraplegia | 9.1% |
| 1/11 | Abdominal pain | 9.1% |
| Patients n. | Occlusive Thrombus Location | % |
|---|---|---|
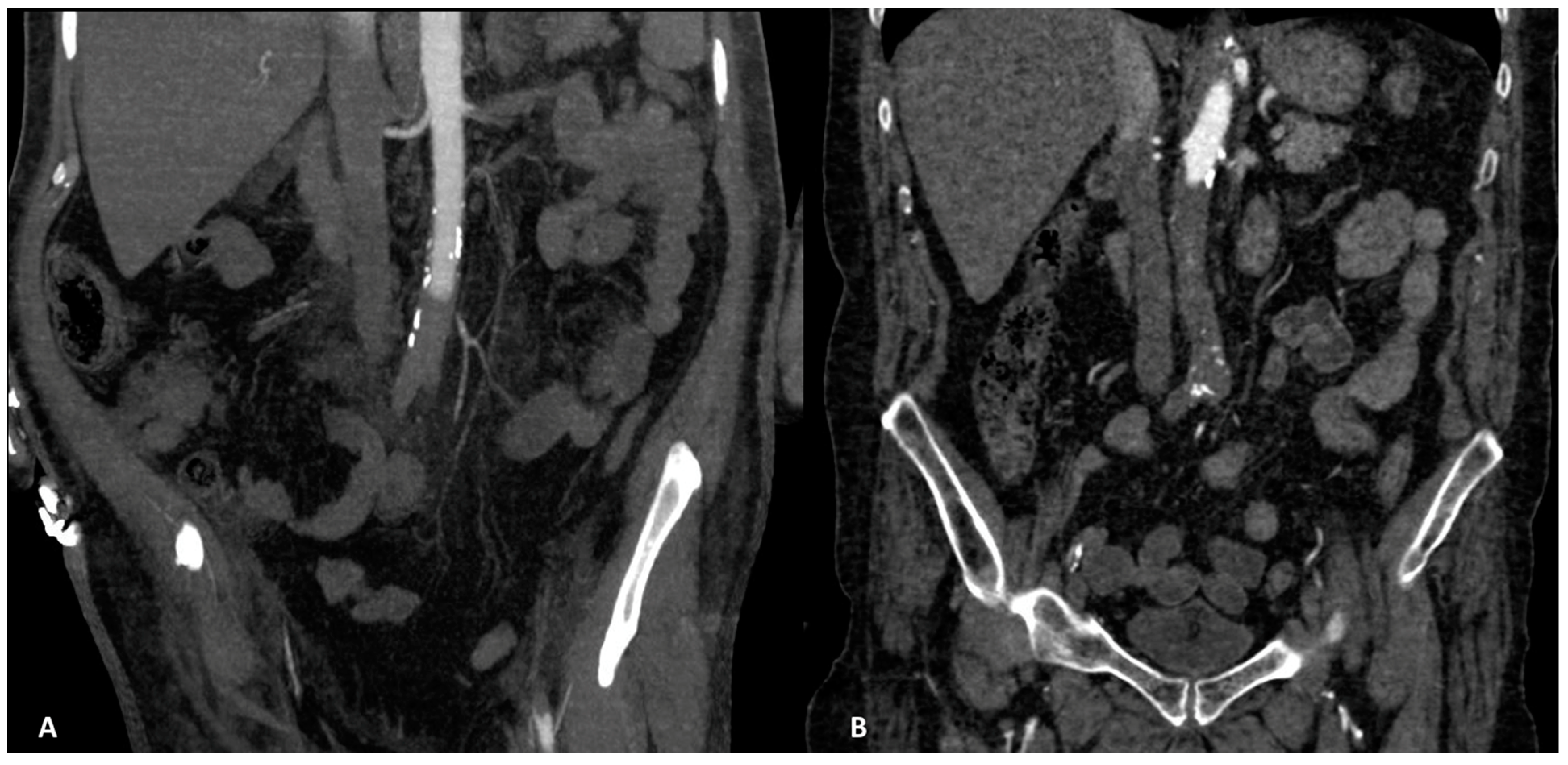
| 9/11 | Subrenal aorta to common iliac arteries bilaterally | 81.8% |
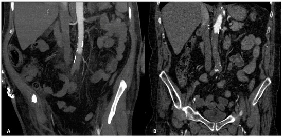
| 2/11 | Infrarenal aorta to common iliac arteries bilaterally | 18.2% |
Disclaimer/Publisher’s Note: The statements, opinions and data contained in all publications are solely those of the individual author(s) and contributor(s) and not of MDPI and/or the editor(s). MDPI and/or the editor(s) disclaim responsibility for any injury to people or property resulting from any ideas, methods, instructions or products referred to in the content. |
© 2023 by the authors. Licensee MDPI, Basel, Switzerland. This article is an open access article distributed under the terms and conditions of the Creative Commons Attribution (CC BY) license (https://creativecommons.org/licenses/by/4.0/).
Share and Cite
Lassandro, G.; Tamburrini, S.; Liguori, C.; Picchi, S.G.; Pezzullo, F.; Ferrandino, G.; Spinetti, F.; Vigliotti, G.; Marano, I.; Scaglione, M. Lower Limb Ischemia as Acute Onset of Primary Aortic Occlusion: CTA Imaging and Management. Int. J. Environ. Res. Public Health 2023, 20, 3868. https://doi.org/10.3390/ijerph20053868
Lassandro G, Tamburrini S, Liguori C, Picchi SG, Pezzullo F, Ferrandino G, Spinetti F, Vigliotti G, Marano I, Scaglione M. Lower Limb Ischemia as Acute Onset of Primary Aortic Occlusion: CTA Imaging and Management. International Journal of Environmental Research and Public Health. 2023; 20(5):3868. https://doi.org/10.3390/ijerph20053868
Chicago/Turabian StyleLassandro, Giulia, Stefania Tamburrini, Carlo Liguori, Stefano Giusto Picchi, Filomena Pezzullo, Giovanni Ferrandino, Fabio Spinetti, Gennaro Vigliotti, Ines Marano, and Mariano Scaglione. 2023. "Lower Limb Ischemia as Acute Onset of Primary Aortic Occlusion: CTA Imaging and Management" International Journal of Environmental Research and Public Health 20, no. 5: 3868. https://doi.org/10.3390/ijerph20053868
APA StyleLassandro, G., Tamburrini, S., Liguori, C., Picchi, S. G., Pezzullo, F., Ferrandino, G., Spinetti, F., Vigliotti, G., Marano, I., & Scaglione, M. (2023). Lower Limb Ischemia as Acute Onset of Primary Aortic Occlusion: CTA Imaging and Management. International Journal of Environmental Research and Public Health, 20(5), 3868. https://doi.org/10.3390/ijerph20053868

