MRI-Derived Apparent Diffusion Coefficient of Peri-Prostatic Adipose Tissue Is a Potential Determinant of Prostate Cancer Aggressiveness in Preoperative Setting: A Preliminary Report
Abstract
1. Introduction
2. Materials and Methods
2.1. Study Population
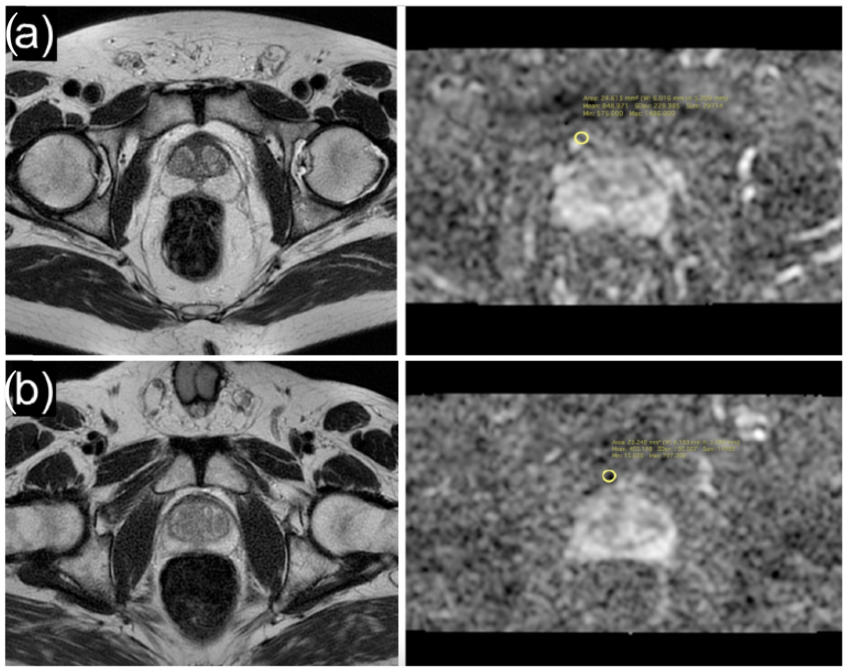
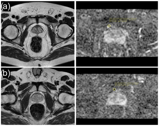
2.2. MRI Acquisition
2.3. MRI/TRUS Fusion Biopsy
2.4. Statistical Analyses
3. Results
3.1. Descriptive Characteristics of the Study Population
3.2. Association between PPAT-ADC and PCa Clinical and Pathological Biopsy Features
4. Discussion
5. Conclusions
Author Contributions
Funding
Institutional Review Board Statement
Informed Consent Statement
Data Availability Statement
Conflicts of Interest
References
- Siegel, R.L.; Miller, K.D.; Jemal, A. Cancer statistics, 2020. CA Cancer J. Clin. 2020, 70, 7–30. [Google Scholar] [CrossRef] [PubMed]
- Mottet, N.; van den Bergh, R.C.; Briers, E.; Van den Broeck, T.; Cumberbatch, M.G.; De Santis, M.; Fanti, S.; Fossati, N.; Gandaglia, G.; Gillessen, S. EAU-EANM-ESTRO-ESUR-SIOG guidelines on prostate cancer—2020 update. Part 1: Screening, diagnosis, and local treatment with curative intent. Eur. Urol. 2021, 79, 243–262. [Google Scholar] [CrossRef] [PubMed]
- García-Perdomo, H.A.; Gómez-Ospina, J.C.; Chaves-Medina, M.J.; Sierra, J.M.; Gómez, A.M.A.; Rivas, J.G. Impact of lifestyle in prostate cancer patients. What should we do? Int. Braz. J. Urol. 2022, 48, 244–262. [Google Scholar] [CrossRef] [PubMed]
- Epstein, J.I.; Egevad, L.; Amin, M.B.; Delahunt, B.; Srigley, J.R.; Humphrey, P.A. The 2014 International Society of Urological Pathology (ISUP) consensus conference on Gleason grading of prostatic carcinoma. Am. J. Surg. Pathol. 2016, 40, 244–252. [Google Scholar] [CrossRef] [PubMed]
- Mottet, N.; Bellmunt, J.; Bolla, M.; Briers, E.; Cumberbatch, M.G.; De Santis, M.; Fossati, N.; Gross, T.; Henry, A.M.; Joniau, S. EAU-ESTRO-SIOG guidelines on prostate cancer. Part 1: Screening, diagnosis, and local treatment with curative intent. Eur. Urol. 2017, 71, 618–629. [Google Scholar] [CrossRef] [PubMed]
- Kasivisvanathan, V.; Rannikko, A.S.; Borghi, M.; Panebianco, V.; Mynderse, L.A.; Vaarala, M.H.; Briganti, A.; Budäus, L.; Hellawell, G.; Hindley, R.G. MRI-targeted or standard biopsy for prostate-cancer diagnosis. N. Engl. J. Med. 2018, 378, 1767–1777. [Google Scholar] [CrossRef]
- Weinreb, J.C.; Barentsz, J.O.; Choyke, P.L.; Cornud, F.; Haider, M.A.; Macura, K.J.; Margolis, D.; Schnall, M.D.; Shtern, F.; Tempany, C.M. PI-RADS prostate imaging–reporting and data system: 2015, version 2. Eur. Urol. 2016, 69, 16–40. [Google Scholar] [CrossRef]
- Sener, R. Diffusion MRI: Apparent diffusion coefficient (ADC) values in the normal brain and a classification of brain disorders based on ADC values. Comput. Med. Imaging Graph. 2001, 25, 299–326. [Google Scholar] [CrossRef]
- El Kady, R.M.; Choudhary, A.K.; Tappouni, R. Accuracy of apparent diffusion coefficient value measurement on PACS workstation: A comparative analysis. Am. J. Roentgenol. 2011, 196, W280–W284. [Google Scholar] [CrossRef]
- Barrett, T.; Rajesh, A.; Rosenkrantz, A.B.; Choyke, P.L.; Turkbey, B. PI-RADS version 2.1: One small step for prostate MRI. Clin. Radiol. 2019, 74, 841–852. [Google Scholar] [CrossRef]
- Tafuri, A.; Porcaro, A.B.; Shakir, A.; Migliorini, F.; Verratti, V.; Brunelli, M.; Cerruto, M.A.; Antonelli, A. Serum testosterone and obesity in prostate cancer biology: A call for health promotion in the ageing male. Aging Clin. Exp. Res. 2021, 33, 1399–1401. [Google Scholar] [CrossRef] [PubMed]
- Nassar, Z.D.; Aref, A.T.; Miladinovic, D.; Mah, C.Y.; Raj, G.V.; Hoy, A.J.; Butler, L.M. Peri-prostatic adipose tissue: The metabolic microenvironment of prostate cancer. BJU Int. 2018, 121 (Suppl. S3), 9–21. [Google Scholar] [CrossRef] [PubMed]
- Arnold, M.; Leitzmann, M.; Freisling, H.; Bray, F.; Romieu, I.; Renehan, A.; Soerjomataram, I. Obesity and cancer: An update of the global impact. Cancer Epidemiol. 2016, 41, 8–15. [Google Scholar] [CrossRef] [PubMed]
- Arnold, M.; Karim-Kos, H.E.; Coebergh, J.W.; Byrnes, G.; Antilla, A.; Ferlay, J.; Renehan, A.G.; Forman, D.; Soerjomataram, I. Recent trends in incidence of five common cancers in 26 European countries since 1988: Analysis of the European Cancer Observatory. Eur. J. Cancer 2015, 51, 1164–1187. [Google Scholar] [CrossRef]
- De Nunzio, C.; Albisinni, S.; Freedland, S.J.; Miano, L.; Cindolo, L.; Finazzi Agro, E.; Autorino, R.; De Sio, M.; Schips, L.; Tubaro, A. Abdominal obesity as risk factor for prostate cancer diagnosis and high grade disease: A prospective multicenter Italian cohort study. Urol. Oncol. 2013, 31, 997–1002. [Google Scholar] [CrossRef]
- Kelly, S.P.; Graubard, B.I.; Andreotti, G.; Younes, N.; Cleary, S.D.; Cook, M.B. Prediagnostic Body Mass Index Trajectories in Relation to Prostate Cancer Incidence and Mortality in the PLCO Cancer Screening Trial. J. Natl. Cancer Inst. 2017, 109, djw225. [Google Scholar] [CrossRef]
- Freedland, S.J.; Branche, B.L.; Howard, L.E.; Hamilton, R.J.; Aronson, W.J.; Terris, M.K.; Cooperberg, M.R.; Amling, C.L.; Kane, C.J. Obesity, risk of biochemical recurrence, and prostate-specific antigen doubling time after radical prostatectomy: Results from the SEARCH database. BJU Int. 2018, 124, 69–75. [Google Scholar] [CrossRef]
- Gacci, M.; Russo, G.I.; De Nunzio, C.; Sebastianelli, A.; Salvi, M.; Vignozzi, L.; Tubaro, A.; Morgia, G.; Serni, S. Meta-analysis of metabolic syndrome and prostate cancer. Prostate Cancer Prostatic Dis. 2017, 20, 146–155. [Google Scholar] [CrossRef]
- Porcaro, A.B.; Tafuri, A.; Sebben, M.; Processali, T.; Pirozzi, M.; Amigoni, N.; Rizzetto, R.; Shakir, A.; Cacciamani, G.E.; Brunelli, M.; et al. Body Mass Index and prostatic-specific antigen are predictors of prostate cancer metastases in patients undergoing robot-assisted radical prostatectomy and extended pelvic lymph node dissection. Minerva Urol. Nefrol. 2019, 71, 516–523. [Google Scholar] [CrossRef]
- Porcaro, A.B.; Tafuri, A.; Sebben, M.; Processali, T.; Pirozzi, M.; Amigoni, N.; Rizzetto, R.; Shakir, A.; Cerruto, M.A.; Brunelli, M.; et al. High body mass index predicts multiple prostate cancer lymph node metastases after radical prostatectomy and extended pelvic lymph node dissection. Asian J. 2020, 22, 323–329. [Google Scholar] [CrossRef]
- Tafuri, A.; Amigoni, N.; Rizzetto, R.; Sebben, M.; Shakir, A.; Gozzo, A.; Odorizzi, K.; De Michele, M.; Gallina, S.; Bianchi, A.; et al. Obesity strongly predicts clinically undetected multiple lymph node metastases in intermediate- and high-risk prostate cancer patients who underwent robot assisted radical prostatectomy and extended lymph node dissection. Int. Urol. Nephrol. 2020, 52, 2097–2105. [Google Scholar] [CrossRef] [PubMed]
- Tafuri, A.; Rizzetto, R.; Amigoni, N.; Sebben, M.; Shakir, A.; Gozzo, A.; Odorizzi, K.; Gallina, S.; Bianchi, A.; Ornaghi, P.; et al. Predictors of Lymph Node Invasion in Patients with Clinically Localized Prostate Cancer Who Undergo Radical Prostatectomy and Extended Pelvic Lymph Node Dissection: The Role of Obesity. Urol. Int. 2021, 105, 362–369. [Google Scholar] [CrossRef] [PubMed]
- Porcaro, A.B.; Sebben, M.; Tafuri, A.; de Luyk, N.; Corsi, P.; Processali, T.; Pirozzi, M.; Rizzetto, R.; Amigoni, N.; Mattevi, D.; et al. Body mass index is an independent predictor of Clavien-Dindo grade 3 complications in patients undergoing robot assisted radical prostatectomy with extensive pelvic lymph node dissection. J. Robot. Surg. 2018, 13, 83–89. [Google Scholar] [CrossRef] [PubMed]
- Porcaro, A.B.; Tafuri, A.; Sebben, M.; Corsi, P.; Processali, T.; Pirozzi, M.; Amigoni, N.; Rizzetto, R.; Shakir, A.; Cacciamani, G.; et al. Surgeon volume and body mass index influence positive surgical margin risk after robot-assisted radical prostatectomy: Results in 732 cases. Arab. J. Urol. 2019, 17, 234–242. [Google Scholar] [CrossRef]
- Moreira, A.; Pereira, S.S.; Costa, M.; Morais, T.; Pinto, A.; Fernandes, R.; Monteiro, M.P. Adipocyte secreted factors enhance aggressiveness of prostate carcinoma cells. PLoS ONE 2015, 10, e0123217. [Google Scholar] [CrossRef]
- Sacca, P.A.; Creydt, V.P.; Choi, H.; Mazza, O.N.; Fletcher, S.J.; Vallone, V.B.F.; Scorticati, C.; Chasseing, N.A.; Calvo, J.C. Human periprostatic adipose tissue: Its influence on prostate cancer cells. Cell. Physiol. Biochem. 2012, 30, 113–122. [Google Scholar] [CrossRef]
- Onuma, M.; Bub, J.D.; Rummel, T.L.; Iwamoto, Y. Prostate cancer cell-adipocyte interaction: Leptin mediates androgen-independent prostate cancer cell proliferation through c-Jun NH2-terminal kinase. J. Biol. Chem. 2003, 278, 42660–42667. [Google Scholar] [CrossRef]
- Oberlin, D.T.; Casalino, D.D.; Miller, F.H.; Meeks, J.J. Dramatic increase in the utilization of multiparametric magnetic resonance imaging for detection and management of prostate cancer. Abdom. Radiol. 2017, 42, 1255–1258. [Google Scholar] [CrossRef]
- Siddiqui, M.M.; Rais-Bahrami, S.; Turkbey, B.; George, A.K.; Rothwax, J.; Shakir, N.; Okoro, C.; Raskolnikov, D.; Parnes, H.L.; Linehan, W.M.; et al. Comparison of MR/ultrasound fusion-guided biopsy with ultrasound-guided biopsy for the diagnosis of prostate cancer. JAMA 2015, 313, 390–397. [Google Scholar] [CrossRef]
- Rouviere, O.; Puech, P.; Renard-Penna, R.; Claudon, M.; Roy, C.; Mege-Lechevallier, F.; Decaussin-Petrucci, M.; Dubreuil-Chambardel, M.; Magaud, L.; Remontet, L.; et al. Use of prostate systematic and targeted biopsy on the basis of multiparametric MRI in biopsy-naive patients (MRI-FIRST): A prospective, multicentre, paired diagnostic study. Lancet. Oncol. 2019, 20, 100–109. [Google Scholar] [CrossRef]
- Oishi, M.; Shin, T.; Ohe, C.; Nassiri, N.; Palmer, S.L.; Aron, M.; Ashrafi, A.N.; Cacciamani, G.E.; Chen, F.; Duddalwar, V. Which patients with negative magnetic resonance imaging can safely avoid biopsy for prostate cancer? J. Urol. 2019, 201, 268–277. [Google Scholar] [CrossRef]
- Tafuri, A.; Iwata, A.; Shakir, A.; Iwata, T.; Gupta, C.; Sali, A.; Sugano, D.; Mahdi, A.S.; Cacciamani, G.E.; Kaneko, M. Systematic Biopsy of the Prostate can Be Omitted in Men with PI-RADS™ 5 and Prostate Specific Antigen Density Greater than 15%. J. Urol. 2021, 206, 289–297. [Google Scholar] [CrossRef] [PubMed]
- Lee, A.Y.; Yang, X.Y.; Lee, H.J.; Law, Y.M.; Huang, H.H.; Lau, W.K.; Lee, L.S.; Ho, H.S.; Tay, K.J.; Cheng, C.W. Multiparametric MRI-ultrasonography software fusion prostate biopsy: Initial results using a stereotactic robotic-assisted transperineal prostate biopsy platform comparing systematic vs targeted biopsy. BJU Int. 2020, 126, 568–576. [Google Scholar] [CrossRef] [PubMed]
- van Roermund, J.G.; Hinnen, K.A.; Tolman, C.J.; Bol, G.H.; Witjes, J.A.; Bosch, J.L.; Kiemeney, L.A.; van Vulpen, M. Periprostatic fat correlates with tumour aggressiveness in prostate cancer patients. BJU Int. 2011, 107, 1775–1779. [Google Scholar] [CrossRef]
- Allott, E.H.; Howard, L.E.; Song, H.J.; Sourbeer, K.N.; Koontz, B.F.; Salama, J.K.; Freedland, S.J. Racial differences in adipose tissue distribution and risk of aggressive prostate cancer among men undergoing radiotherapy. Cancer Epidemiol. Biomark. Prev. 2014, 23, 2404–2412. [Google Scholar] [CrossRef]
- Tan, W.P.; Lin, C.; Chen, M.; Deane, L.A. Periprostatic Fat: A Risk Factor for Prostate Cancer? Urology 2016, 98, 107–112. [Google Scholar] [CrossRef] [PubMed]
- Zhang, Q.; Sun, L.J.; Qi, J.; Yang, Z.G.; Huang, T.; Huo, R.C. Periprostatic adiposity measured on magnetic resonance imaging correlates with prostate cancer aggressiveness. Urol. J. 2014, 11, 1793–1799. [Google Scholar] [PubMed]
- Verma, S.K.; Nagashima, K.; Yaligar, J.; Michael, N.; Lee, S.S.; Xianfeng, T.; Gopalan, V.; Sadananthan, S.A.; Anantharaj, R.; Velan, S.S. Differentiating brown and white adipose tissues by high-resolution diffusion NMR spectroscopy. J. Lipid Res. 2017, 58, 289–298. [Google Scholar] [CrossRef]
- Steidle, G.; Eibofner, F.; Schick, F. Quantitative diffusion imaging of adipose tissue in the human lower leg at 1.5 T. Magn. Reson. Med. 2011, 65, 1118–1124. [Google Scholar] [CrossRef]


| Characteristic | Overall n = 132 1 | Negative PBx n = 56 (42%) 1 | ISUP Grade Group 1 PCa n = 46 (35%) 1 | ISUP Grade Group > 1 PCa n = 30 (23%) 1 | p-Value 2 |
|---|---|---|---|---|---|
| Age (years) | 72 (65, 76) | 68 (61, 75) | 72 (66, 76) | 74 (71, 78) | 0.002 |
| BMI (Kg/m2) | 26.2 (23.9, 28.0) | 26.4 (24.3, 29.0) | 25.9 (23.9, 27.4) | 25.4 (23.9, 28.5) | 0.4 |
| Positive DRE | 57 (44%) | 14 (25%) | 22 (50%) | 21 (70%) | <0.001 |
| PSA (ng/mL) | 7.2 (5.1, 10.0) | 7.0 (5.0, 9.9) | 7.0 (5.3, 10.0) | 8.4 (6.0, 12.0) | 0.2 |
| Prostate volume (ml) | 45 (33, 68) | 58 (43, 84) | 38 (31, 53) | 42 (26, 60) | <0.001 |
| PSA density (ng/mL2) | 0.15 (0.09, 0.25) | 0.11 (0.06, 0.15) | 0.18 (0.08, 0.28) | 0.22 (0.12, 0.50) | <0.001 |
| Number of lesions | 0.9 | ||||
| 1 | 74 (56%) | 32 (57%) | 25 (54%) | 17 (57%) | |
| >1 | 58 (44%) | 24 (43%) | 21 (46%) | 13 (43%) | |
| PIRADS | <0.001 | ||||
| 3 | 33 (25%) | 27 (49%) | 3 (6%) | 3 (10%) | |
| 4 | 58 (44%) | 18 (33%) | 32 (70%) | 8 (27%) | |
| 5 | 40 (31%) | 10 (18%) | 11 (24%) | 19 (63%) | |
| Periprostatic adipose tissue ADC | 876 (654, 1112) | 1003 (773, 1299) | 972 (559, 1103) | 656 (455, 952) | <0.001 |
| Percentage of positive core | 9 (0, 41) | - | 28 (13, 47) | 50 (34, 72) | <0.001 |
| D’Amico risk group | <0.001 | ||||
| Low | 36 (48%) | - | 36 (82%) | 0 (0%) | |
| Intermediate | 28 (38%) | - | 8 (18%) | 20 (67%) | |
| High | 10 (14%) | - | 0 (0%) | 10 (33%) |
| Characteristic | PPAT-ADC ≤ 876 n = 66 (50%) 1 | PPAT-ADC > 876 n = 66 (50%) 1 | p-Value 2 |
|---|---|---|---|
| Age (years) | 72 (62, 77) | 72 (65, 76) | 0.9 |
| BMI (Kg/m2) | 26.00 (24.20, 27.70) | 26.20 (23.90, 28.33) | 0.6 |
| Positive DRE | 33 (51%) | 24 (37%) | 0.11 |
| PSA (ng/mL) | 8.0 (5.2, 11.8) | 6.9 (5.2, 9.5) | 0.3 |
| Prostate volume (mL) | 41 (31, 66) | 45 (36, 70) | 0.3 |
| PSA density (ng/mL2) | 0.18 (0.11, 0.33) | 0.12 (0.08, 0.18) | 0.053 |
| PIRADS | 0.032 | ||
| 3 | 15 (23%) | 18 (25%) | |
| 4 | 24 (36%) | 34 (52%) | |
| 5 | 27 (41%) | 13 (23%) | |
| ISUP grade group | 0.048 | ||
| 1 | 20 (50%) | 26 (72%) | |
| >1 | 20 (50%) | 18 (28%) | |
| Percentage of positive core | 0.25 (0.00, 0.50) | 0.06 (0.00, 0.30) | 0.049 |
| Characteristic | Beta | 95% CI 1 | p-Value |
|---|---|---|---|
| PSA | −3.17 | −5.70, −0.64 | 0.014 |
| PSA density | −131.12 | −242.63, −19.60 | 0.022 |
| Prostate volume | 1.01 | −1.35, 3.55 | 0.4 |
| PIRADS | |||
| 3 | Ref | - | |
| 4 | −49.18 | −214.24, 115.88 | 0.6 |
| 5 | −180.54 | −358.56, −2.52 | 0.047 |
| ISUP grade group | |||
| Negative PBx | Ref | - | |
| 1 | −158.79 | −300.36, −17.22 | 0.028 |
| 2 | −294.68 | −538.92, −50.43 | 0.018 |
| 3 | −351.28 | −595.52, −107.03 | 0.005 |
| 4–5 | −506.08 | −750.32, −261.83 | <0.001 |
| Percentage positive cores | −570.54 | −789.64, −351.44 | <0.001 |
| Univariable | Multivariable | |||
|---|---|---|---|---|
| OR (95% CI) 1 | p-Value | OR (95% CI) 1 | p-Value | |
| PPAT-ADC | ||||
| >876 | Ref | — | Ref | — |
| ≤876 | 3.02 (1.19, 7.99) | 0.022 | 3.24 (1.17, 9.46) | 0.026 |
| Age (years) | 1.05 (0.99, 1.13) | 0.1 | 1.04 (0.97, 1.12) | 0.3 |
| BMI (Kg/m2) | 1.02 (0.87, 1.21) | 0.8 | 1.03 (0.87, 1.24) | 0.7 |
Publisher’s Note: MDPI stays neutral with regard to jurisdictional claims in published maps and institutional affiliations. |
© 2022 by the authors. Licensee MDPI, Basel, Switzerland. This article is an open access article distributed under the terms and conditions of the Creative Commons Attribution (CC BY) license (https://creativecommons.org/licenses/by/4.0/).
Share and Cite
Tafuri, A.; Panunzio, A.; Greco, F.; Maglietta, A.; De Carlo, F.; Di Cosmo, F.; Luperto, E.; Rizzo, M.; Cavaliere, A.; De Mitri, R.; et al. MRI-Derived Apparent Diffusion Coefficient of Peri-Prostatic Adipose Tissue Is a Potential Determinant of Prostate Cancer Aggressiveness in Preoperative Setting: A Preliminary Report. Int. J. Environ. Res. Public Health 2022, 19, 15996. https://doi.org/10.3390/ijerph192315996
Tafuri A, Panunzio A, Greco F, Maglietta A, De Carlo F, Di Cosmo F, Luperto E, Rizzo M, Cavaliere A, De Mitri R, et al. MRI-Derived Apparent Diffusion Coefficient of Peri-Prostatic Adipose Tissue Is a Potential Determinant of Prostate Cancer Aggressiveness in Preoperative Setting: A Preliminary Report. International Journal of Environmental Research and Public Health. 2022; 19(23):15996. https://doi.org/10.3390/ijerph192315996
Chicago/Turabian StyleTafuri, Alessandro, Andrea Panunzio, Federico Greco, Antonella Maglietta, Francesco De Carlo, Federica Di Cosmo, Elia Luperto, Mino Rizzo, Arturo Cavaliere, Rita De Mitri, and et al. 2022. "MRI-Derived Apparent Diffusion Coefficient of Peri-Prostatic Adipose Tissue Is a Potential Determinant of Prostate Cancer Aggressiveness in Preoperative Setting: A Preliminary Report" International Journal of Environmental Research and Public Health 19, no. 23: 15996. https://doi.org/10.3390/ijerph192315996
APA StyleTafuri, A., Panunzio, A., Greco, F., Maglietta, A., De Carlo, F., Di Cosmo, F., Luperto, E., Rizzo, M., Cavaliere, A., De Mitri, R., Zacheo, F., Baviello, M., Cimino, A., Pisino, M., Giordano, L., Accettura, C., Porcaro, A. B., Antonelli, A., Cerruto, M. A., ... Pagliarulo, V., on behalf of Uro-Oncology Multidisciplinary Team “Vito Fazzi” Hospital Lecce Italy. (2022). MRI-Derived Apparent Diffusion Coefficient of Peri-Prostatic Adipose Tissue Is a Potential Determinant of Prostate Cancer Aggressiveness in Preoperative Setting: A Preliminary Report. International Journal of Environmental Research and Public Health, 19(23), 15996. https://doi.org/10.3390/ijerph192315996

