Distribution and Polarization of Caries in Adolescent Populations
Abstract
1. Introduction
2. Materials and Methods
2.1. Study Populations and Ethical Approval
2.2. Dental Examinations
2.3. Calibration
2.4. Statistical Analysis
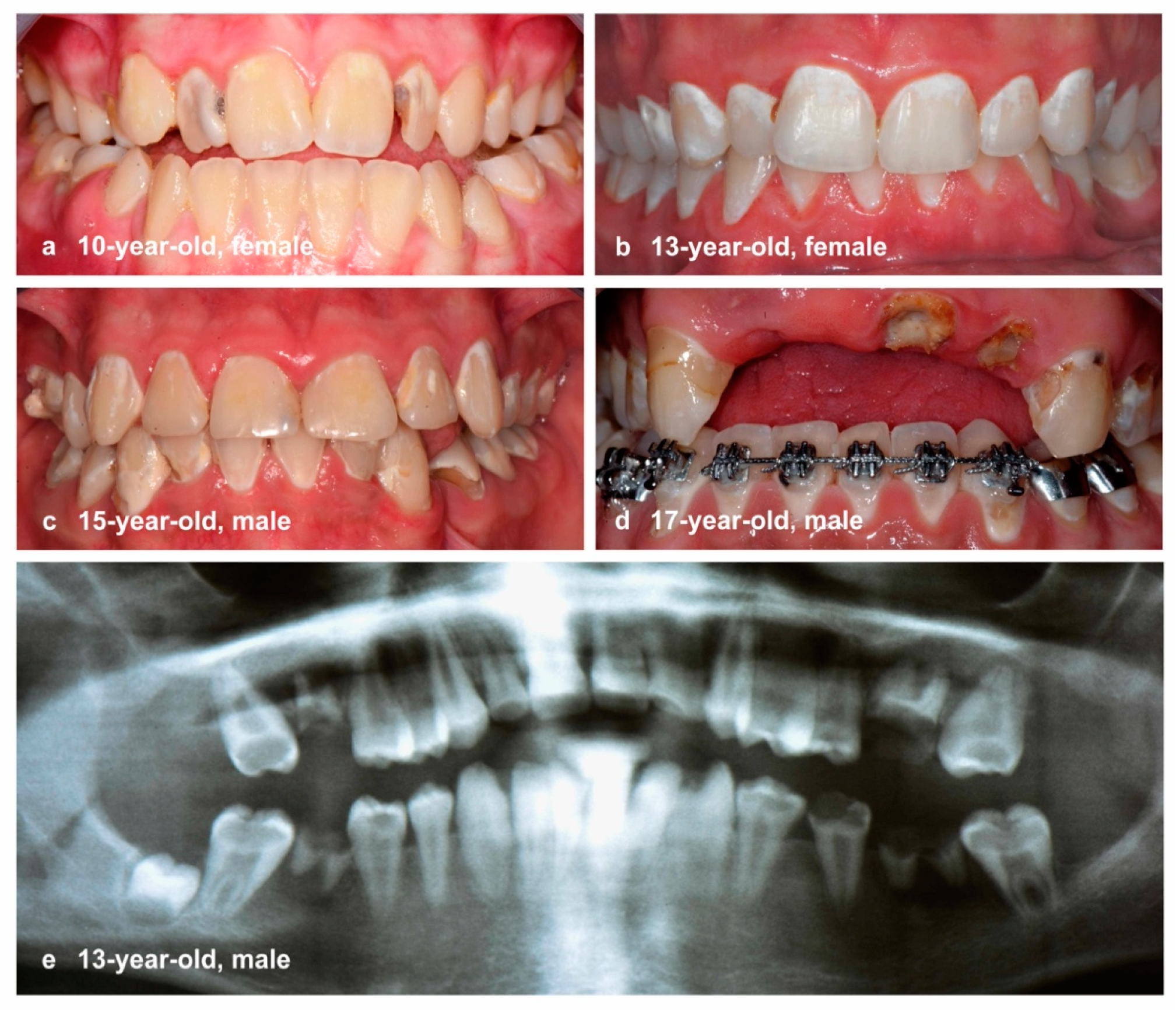
3. Results
4. Discussion
5. Conclusions
Author Contributions
Funding
Institutional Review Board Statement
Informed Consent Statement
Data Availability Statement
Acknowledgments
Conflicts of Interest
References
- Marthaler, T.M. Changes in dental caries 1953–2003. Caries Res. 2004, 38, 173–181. [Google Scholar] [CrossRef] [PubMed]
- Whelton, H. Overview of the impact of changing global patterns of dental caries experience on caries clinical trials. J. Dent. Res. 2004, 83, 29–34. [Google Scholar] [CrossRef] [PubMed]
- Glass, R.L. The first international conference on the declining prevalence of dental caries. J. Dent. Res. 1982, 61, 1301–1383. [Google Scholar]
- Schwendicke, F.; Giannobile, W. Research for prevention of oral/dental diseases: How far have we come? J. Dent. Res. 2019, 99, 5–7. [Google Scholar] [CrossRef] [PubMed]
- Kassebaum, N.J.; Bernabé, E.; Dahiya, M.; Bhandari, B.; Murray, C.J.; Marcenes, W. Global burden of untreated caries: A systematic review and metaregression. J. Dent. Res. 2015, 94, 650–658. [Google Scholar] [CrossRef]
- Jordan, R.A.; The DMS V Surveillance Investigators’ Group; Bodechtel, C.; Hertrampf, K.; Hoffmann, T.J.; Kocher, T.; Nitschke, I.; Schiffner, U.; Stark, H.; Zimmer, S.; et al. The Fifth German Oral Health Study (Fünfte Deutsche Mundgesundheitsstudie, DMS V)—Rationale, design, and methods. BMC Oral Health 2014, 14, 1–12. [Google Scholar] [CrossRef]
- Goddon, I. Klinisches Erscheinungsbild erster bleibender Molaren bei 8- bis 12-jährigen Kindern. Oralprophylaxe Kinderzahnheilkd. 2007, 29, 118–123. (In German) [Google Scholar]
- Pecci-Lloret, M.P.; Guerrero-Gironés, J.; López-González, B.; Rodríguez-Lozano, F.J.; Oñate-Cabrerizo, D.; Oñate-Sánchez, R.E.; Pecci-Lloret, M.R. Dental treatments under general anesthesia on children with special health care needs enrolled in the Spanish dental care program. J. Clin. Med. 2021, 10, 182. [Google Scholar] [CrossRef]
- Jordan, R.A.; Krois, J.; Schiffner, U.; Micheelis, W.; Schwendicke, F. Trends in caries experience in the permanent dentition in Germany 1997–2014, and projection to 2030: Morbidity shifts in an aging society. Sci. Rep. 2019, 9, 1–7. [Google Scholar] [CrossRef]
- Splieth, C.H.; Santamaria, R.M.; Basner, R.; Schüler, E.; Schmoeckel, J. 40-year longitudinal caries development in German adolescents in the light of new caries measures. Caries Res. 2019, 53, 609–616. [Google Scholar] [CrossRef]
- Dye, B.A.; Hsu, K.-L.C.; Afful, J. Prevalence and measurement of dental caries in young children. Pediatr. Dent. 2015, 37, 200–216. [Google Scholar] [PubMed]
- Uebereck, C.; Kühnisch, J.; Michel, R.; Taschner, M.; Frankenberger, R.; Krämer, N. Oral health of Bavarian schoolchildren 2015/16. Oralprophylaxe Kinderzahnheilkd. 2017, 39, 161–171. [Google Scholar]
- Heinrich, J.; Brüske, I.; Schnappinger, M.; Standl, M.; Flexeder, C.; Thiering, E.; Tischer, C.; Tiesler, C.M.T.; Kohlböck, G.; Wenig, C.M.; et al. Two German Birth Cohorts: GINIplus and LISAplus. Bundesgesundheitsblatt Gesundh. Gesundh. 2012, 55, 864–874. [Google Scholar] [CrossRef] [PubMed]
- General Assembly of the World Medical Association. World Medical Association Declaration of Helsinki: Ethical principles for medical research involving human subjects. J. Am. Coll. Dent. 2014, 81, 14–18. [Google Scholar]
- von Elm, E.; Altman, D.G.; Egger, M.; Pocock, S.J.; Gotzsche, P.C.; Vandenbroucke, J.P. The Strengthening the Reporting of Observational Studies in Epidemiology (STROBE) Statement: Guidelines for reporting observational studies. Int. J. Surg. 2014, 12, 1495–1499. [Google Scholar] [CrossRef]
- Petersen, P.E.; Baez, R.J. Oral Health Surveys: Basic Methods, 5th ed.; World Health Organization: Geneva, Switzerland, 2013. [Google Scholar]
- Heitmüller, D.; Thiering, E.; Hoffmann, U.; Heinrich, J.; Manton, D.; Kühnisch, J.; Neumann, C.; Bauer, C.P.; Heinrich-Weltzien, R.; Hickel, R.; et al. Is there a positive relationship between molar incisor hypomineralisations and the presence of dental caries? Int. J. Paediatr. Dent. 2012, 23, 116–124. [Google Scholar] [CrossRef]
- Kühnisch, J.; Mach, D.; Thiering, E.; Brockow, I.; Hoffmann, U.; Neumann, C.; Heinrich-Weltzien, R.; Bauer, C.-P.; Berdel, D.; Von Berg, A.; et al. Respiratory diseases are associated with molar-incisor hypomineralizations. Swiss Dent. J. 2014, 124, 286–293. [Google Scholar] [PubMed]
- Kühnisch, J.; Thiering, E.; Heitmüller, D.; Tiesler, C.M.T.; Grallert, H.; Heinrich-Weltzien, R.; Hickel, R.; Heinrich, J. The LISA-10 Plus Study Group Genome-Wide Association Study (GWAS) for Molar-Incisor Hypomineralization (MIH). Clin. Oral Investig. 2013, 18, 677–682. [Google Scholar] [CrossRef]
- Kühnisch, J.; Kabary, L.; Malyk, Y.; Rothmaier, K.; Metz, I.; Hickel, R.; Heinrich, J.; Manton, D.; Standl, M. Relationship between caries experience and demarcated hypomineralised lesions (including MIH) in the permanent dentition of 15-year-olds. Clin. Oral Investig. 2017, 22, 2013–2019. [Google Scholar] [CrossRef]
- Lorenz, M.O. Methods of measuring the concentration of wealth. Publ. Am. Stat. Assoc. 1905, 9, 209. [Google Scholar] [CrossRef]
- Bratthall, D. Introducing the significant caries index together with a proposal for a new global oral health goal for 12-year-olds. Int. Dent. J. 2000, 50, 378–384. [Google Scholar] [CrossRef] [PubMed]
- Schmoeckel, J.; Santamaría, R.M.; Basner, R.; Schüler, E.; Splieth, C.H. Introducing a specific term to present caries experience in populations with low caries prevalence: Specific affected Caries Index (SaC). Caries Res. 2019, 53, 527–531. [Google Scholar] [CrossRef]
- Hobdell, M.; Petersen, P.E.; Clarkson, J.; Johnson, N. Global goals for oral health 2020. Int. Dent. J. 2003, 53, 285–288. [Google Scholar] [CrossRef]
- Ziller, S.; Micheelis, W.; Oesterreich, D.; Reich, E. Goals for oral health in Germany 2020. Int. Dent. J. 2006, 56, 29–32. [Google Scholar] [CrossRef] [PubMed]
- Pieper, K.; Lange, J.; Jablonski-Momeni, A.; Schulte, A.G. Caries prevalence in 12-year-old children from Germany: Results of the 2009 national survey. Community Dent. Health 2013, 30, 138–142. [Google Scholar] [PubMed]
- Schiffner, U.; Hoffmann, T.; Kerschbaum, T.; Micheelis, W. Oral health in German children, adolescents, adults and senior citizens in 2005. Community Dent. Health 2009, 26, 18. [Google Scholar]
- Splieth, C.; Treuner, A.; Berndt, C. Orale Gesundheit im Kleinkindalter. Prävention Gesundh. 2009, 4, 119–124. [Google Scholar] [CrossRef]
- Tinanoff, N.; Baez, R.J.; Guillory, C.D.; Donly, K.J.; Feldens, C.A.; McGrath, C.; Phantumvanit, P.; Pitts, N.B.; Seow, W.K.; Sharkov, N.; et al. Early childhood caries epidemiology, aetiology, risk assessment, societal burden, management, education, and policy: Global perspective. Int. J. Paediatr. Dent. 2019, 29, 238–248. [Google Scholar] [CrossRef]
- Bissar, A.; Schiller, P.; Wolff, A.; Niekusch, U.; Schulte, A.G. Factors contributing to severe early childhood caries in south-west Germany. Clin. Oral Investig. 2013, 18, 1411–1418. [Google Scholar] [CrossRef]
- Halvari, A.E.M.; Halvari, H.; Deci, E.L. Dental anxiety, oral health-related quality of life, and general well-being: A self-determination theory perspective. J. Appl. Soc. Psychol. 2019, 49, 295–306. [Google Scholar] [CrossRef]
- Ng, S.K.S.; Leung, W.K. A community study on the relationship of dental anxiety with oral health status and oral health-related quality of life. Community Dent. Oral Epidemiol. 2008, 36, 347–356. [Google Scholar] [CrossRef]
- Coxon, J.D.; Hosey, M.-T.; Newton, J.T. The oral health of dentally phobic 12- and 15-year-olds: A descriptive analysis of the 2013 Child Dental Health Survey. Br. Dent. J. 2019, 226, 595–599. [Google Scholar] [CrossRef]
- Jürgensen, N.; Petersen, P.E. Promoting oral health of children through schools—Results from a WHO global survey 2012. Community Dent. Health 2013, 30, 204–218. [Google Scholar] [PubMed]
- Pereira, S.M.; Tagliaferro, E.P.D.S.; Ambrosano, G.M.B.; Cortelazzi, K.L.; Meneghim, M.D.C.; Pereira, A.C. Dental caries in 12-year-old schoolchildren and its relationship with socioeconomic and behavioural variables. Oral Health Prev. Dent. 2007, 5, 299–306. [Google Scholar]
- Zemaitiene, M.; Grigalauskiene, R.; Andruskeviciene, V.; Matulaitiene, Z.K.; Zubiene, J.; Narbutaite, J.; Slabsinskiene, E. Dental caries risk indicators in early childhood and their association with caries polarization in adolescence: A cross-sectional study. BMC Oral Health 2016, 17, 2. [Google Scholar] [CrossRef] [PubMed]
- Skeie, M.S.; Klock, K.S. Scandinavian systems monitoring the oral health in children and adolescents; an evaluation of their quality and utility in the light of modern perspectives of caries management. BMC Oral Health 2014, 14, 43. [Google Scholar] [CrossRef] [PubMed][Green Version]


| 10-Year-Olds | 12-Year-Olds | 15-Year-Olds | |
|---|---|---|---|
| Study | GINIplus + LISA | LAGZ | GINIplus + LISA |
| Study type | Cohort study | Survey study | Cohort study |
| Years | 2005–2009 | 2016 | 2010–2014 |
| Location | Munich | Bavaria | Munich |
| Number (N) | 1158 | 416 | 1301 |
| Mean (SD) age | 10.2 (0.2) | 12.1 (0.6) | 15.2 (0.3) |
| N (%) male | 523 (45.2%) | 250 (60.0%) | 652 (50.1%) |
| N (%) female | 635 (54.8%) | 166 (40.0%) | 650 (50.0%) |
| Dentition | 10-Year-Olds (N = 1158) | 12-Year-Olds (N = 416) | 15-Year-Olds (N = 1301) | |||||
|---|---|---|---|---|---|---|---|---|
| Primary | Permanent | Permanent | Permanent | |||||
| Caries prevalence | N | % | N | % | N | % | N | % |
| Caries-free (dmft/DMFT = 0) | 679 | 58.6 | 972 | 83.9 | 256 | 61.5 | 841 | 64.6 |
| dmft/DMFT > 0 | 479 | 41.4 | 186 | 16.1 | 160 | 38.5 | 460 | 35.4 |
| dmft/DMFT ≥ 4 | 155 | 13.4 | 23 | 2.0 | 39 | 9.4 | 108 | 8.3 |
| dmft/DMFT ≥ 8 | 12 | 1.0 | 0 | 0 | 1 | 0.2 | 8 | 0.6 |
| Caries-affected, without restorations (dmft/DMFT > 0 AND ft/FT = 0) | 75 | 6.5 | 13 | 1.1 | 21 | 5.0 | 40 | 3.1 |
| Caries experience | Mean (SD) | Mean (SD) | Mean (SD) | Mean (SD) | ||||
| dmft/DMFT | 1.2 (1.9) | 0.3 (0.8) | 1.0 (1.6) | 1.0 (1.6) | ||||
| dt/DT | 0.3 (0.8) | 0.0 (0.2) | 0.2 (0.6) | 0.1 (0.6) | ||||
| mt/MT | 0.0 (0.1) | 0.0 (0.0) | 0.0 (0.2) | 0.0 (0.1) | ||||
| ft/FT | 0.9 (1.6) | 0.3 (0.7) | 0.8 (1.5) | 0.9 (1.6) | ||||
| Caries polarization | N | Mean (SD) | N | Mean (SD) | N | Mean (SD) | N | Mean (SD) |
| Caries experience in subjects with dmft/DMFT > 0 (SaC) | 479 | 2.9 (1.9) | 186 | 1.8 (1.1) | 160 | 2.6 (1.7) | 460 | 2.5 (1.8) |
| dmft/DMFT of upper 33% (SiC) | 382 | 3.4 (1.8) | 386 | 0.9 (1.2) | 137 | 2.8 (1.7) | 434 | 2.5 (1.8) |
| dmft/DMFT of upper 20% | 232 | 4.4 (1.5) | 232 | 1.4 (1.2) | 83 | 3.7 (1.7) | 260 | 3.5 (1.8) |
| dmft/DMFT of upper 10% | 116 | 5.5 (1.4) | 116 | 2.3 (1.1) | 42 | 4.7 (1.8) | 130 | 4.8 (1.7) |
| dmft/DMFT of upper 5% | 58 | 6.6 (1.2) | 58 | 3.1 (0.9) | 21 | 5.7 (2.3) | 65 | 6.0 (1.7) |
| dmft/DMFT of upper 2% | 23 | 7.7 (1.1) | 23 | 4.1 (0.3) | 8 | 7.1 (3.0) | 26 | 7.5 (1.8) |
| dmft/DMFT of upper 1% | 12 | 8.5 (1.0) | 12 | 4.2 (0.4) | 4 | 8.5 (3.8) | 13 | 8.5 (2.0) |
| Mean Values for the Components of the dmft/DMFT Index for the SiC and Other Thresholds | ||||||||||||
|---|---|---|---|---|---|---|---|---|---|---|---|---|
| Upper 33% (SiC) | Upper 20% | Upper 10% | Upper 5% | Upper 2% | Upper 1% | |||||||
| N 10-year-olds | 382 | 232 | 116 | 58 | 23 | 12 | ||||||
| Mean dt (SD)/% | 0.9 (1.2) | 26.6 | 1.1 (1.4) | 24.1 | 1.5 (1.6) | 27.1 | 1.6 (1.9) | 24.9 | 1.5 (2.0) | 19.7 | 1.5 (2.2) | 17.6 |
| Mean mt (SD)/% | 0.0 (0.1) | 0.4 | 0.0 (0.2) | 0.5 | 0.0 (0.2) | 0.6 | 0.0 (0.2) | 0.5 | 0.0 (0.0) | 0.0 | 0.0 (0.0) | 0.0 |
| Mean ft (SD)/% | 2.5 (1.9) | 73.0 | 3.3 (1.9) | 75.4 | 4.0 (2.2) | 72.2 | 4.9 (2.4) | 74.6 | 6.2 (2.3) | 80.3 | 7.0 (2.2) | 82.4 |
| Mean DT (SD)/% | 0.1 (0.3) | 8.0 | 0.1 (0.3) | 8.0 | 0.2 (0.4) | 7.1 | 0.2 (0.4) | 5.6 | 0.2 (0.4) | 5.3 | 0.2 (0.4) | 4.2 |
| Mean MT (SD)/% | 0.0 (0.1) | 0.3 | 0.0 (0.1) | 0.3 | 0.0 (0.1) | 0.3 | 0.0 (0.0) | 0.0 | 0.0 (0.0) | 0.0 | 0.0 (0.0) | 0.0 |
| Mean FT (SD)/% | 0.8 (1.1) | 91.7 | 1.3 (1.2) | 91.7 | 2.1 (1.1) | 92.5 | 2.9 (0.9) | 94.4 | 3.9 (0.3) | 94.7 | 4.0 (0.0) | 96.0 |
| N 12-year-olds | 137 | 83 | 42 | 21 | 8 | 4 | ||||||
| Mean DT (SD)/% | 0.4 (0.9) | 14.9 | 0.5 (1.0) | 13.4 | 0.6 (1.3) | 13.7 | 0.7 (1.4) | 12.8 | 1.0 (1.8) | 14.0 | 0.8 (1.3) | 8.8 |
| Mean MT (SD)/% | 0.1 (0.4) | 1.8 | 0.1 (0.5) | 2.0 | 0.1 (0.6) | 2.0 | 0.2 (0.9) | 3.4 | 0.0 (0.0) | 0.0 | 0.0 (0.0) | 0.0 |
| Mean FT (SD)/% | 2.2 (1.5) | 79.6 | 2.3 (1.9) | 84.6 | 4.0 (2.3) | 84.3 | 4.7 (2.9) | 98.0 | 6.1 (3.8) | 86.0 | 7.8 (4.4) | 91.2 |
| N 15-year-olds | 434 | 260 | 130 | 65 | 26 | 13 | ||||||
| Mean DT (SD)/% | 0.3 (0.9) | 11.1 | 0.4 (1.1) | 11.1 | 0.5 (1.4) | 11.0 | 0.6 (1.7) | 9.3 | 1.0 (2.4) | 12.8 | 1.2 (2.8) | 13.5 |
| Mean MT (SD)/% | 0.0 (0.1) | 0.3 | 0.0 (0.1) | 0.3 | 0.0 (0.2) | 0.5 | 0.0 (0.1) | 0.3 | 0.0 (0.0) | 0.0 | 0.0 (0.0) | 0.0 |
| Mean FT (SD)/% | 2.3 (1.8) | 88.6 | 3.1 (1.9) | 88.6 | 4.3 (2.0) | 88.5 | 5.4 (2.5) | 90.5 | 6.5 (2.5) | 87.2 | 7.4 (2.7) | 86.5 |
Publisher’s Note: MDPI stays neutral with regard to jurisdictional claims in published maps and institutional affiliations. |
© 2021 by the authors. Licensee MDPI, Basel, Switzerland. This article is an open access article distributed under the terms and conditions of the Creative Commons Attribution (CC BY) license (https://creativecommons.org/licenses/by/4.0/).
Share and Cite
Schill, H.; Wölfle, U.C.; Hickel, R.; Krämer, N.; Standl, M.; Heinrich, J.; Kühnisch, J. Distribution and Polarization of Caries in Adolescent Populations. Int. J. Environ. Res. Public Health 2021, 18, 4878. https://doi.org/10.3390/ijerph18094878
Schill H, Wölfle UC, Hickel R, Krämer N, Standl M, Heinrich J, Kühnisch J. Distribution and Polarization of Caries in Adolescent Populations. International Journal of Environmental Research and Public Health. 2021; 18(9):4878. https://doi.org/10.3390/ijerph18094878
Chicago/Turabian StyleSchill, Helen, Uta Christine Wölfle, Reinhard Hickel, Norbert Krämer, Marie Standl, Joachim Heinrich, and Jan Kühnisch. 2021. "Distribution and Polarization of Caries in Adolescent Populations" International Journal of Environmental Research and Public Health 18, no. 9: 4878. https://doi.org/10.3390/ijerph18094878
APA StyleSchill, H., Wölfle, U. C., Hickel, R., Krämer, N., Standl, M., Heinrich, J., & Kühnisch, J. (2021). Distribution and Polarization of Caries in Adolescent Populations. International Journal of Environmental Research and Public Health, 18(9), 4878. https://doi.org/10.3390/ijerph18094878

