A Systematic Review about Imaging and Histopathological Findings for Detecting and Evaluating Electroporation Based Treatments Response
Abstract
1. Introduction
2. Methods
Search Criteria
3. Results
3.1. Radiological Response Criteria
3.2. Radiological Tools and Functional Imaging Features
3.3. Radiological Findings on Therapeutic Responses
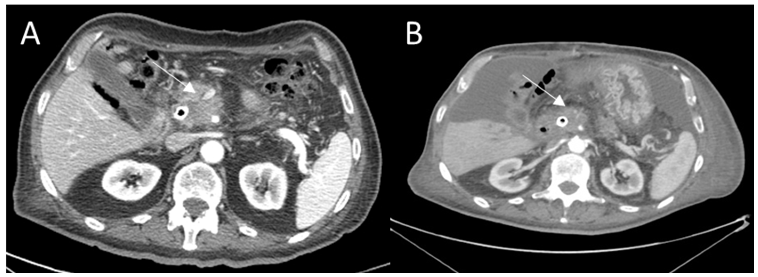
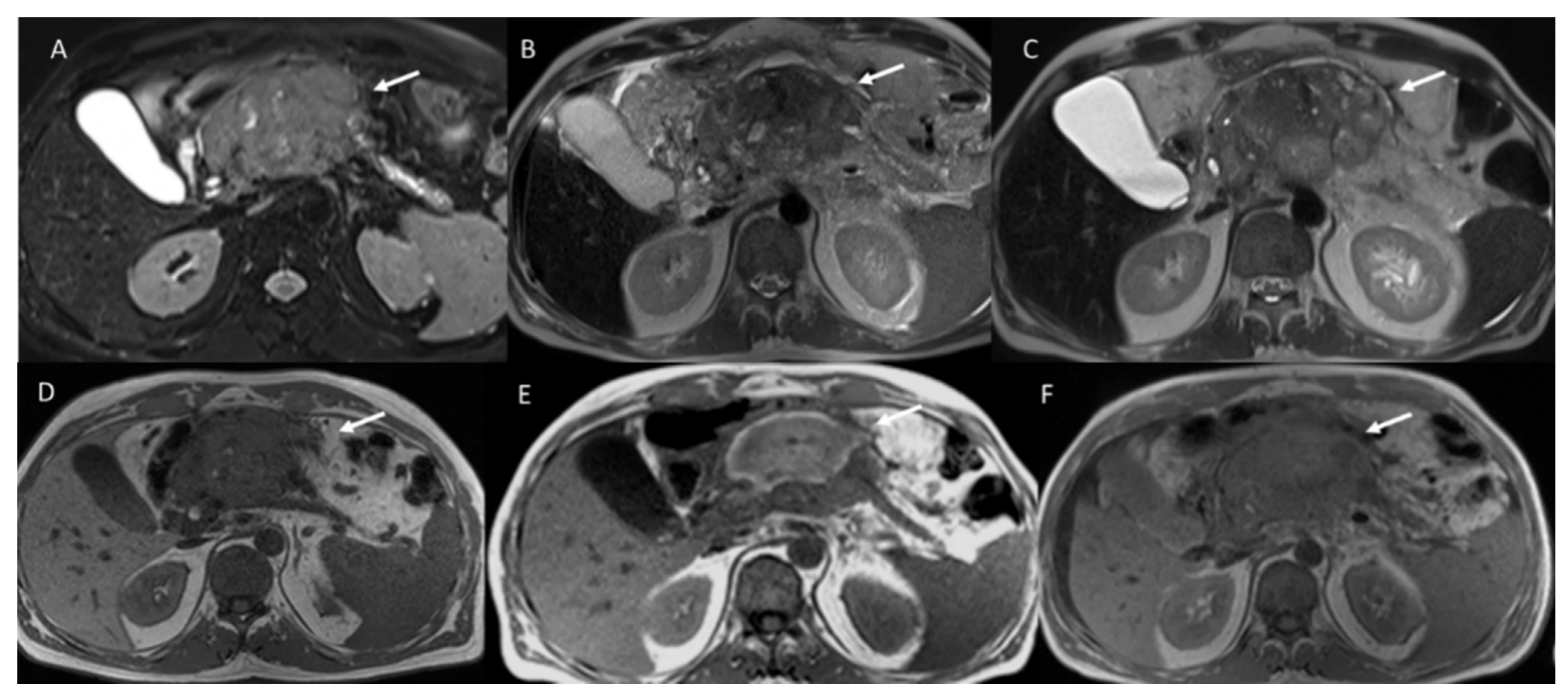
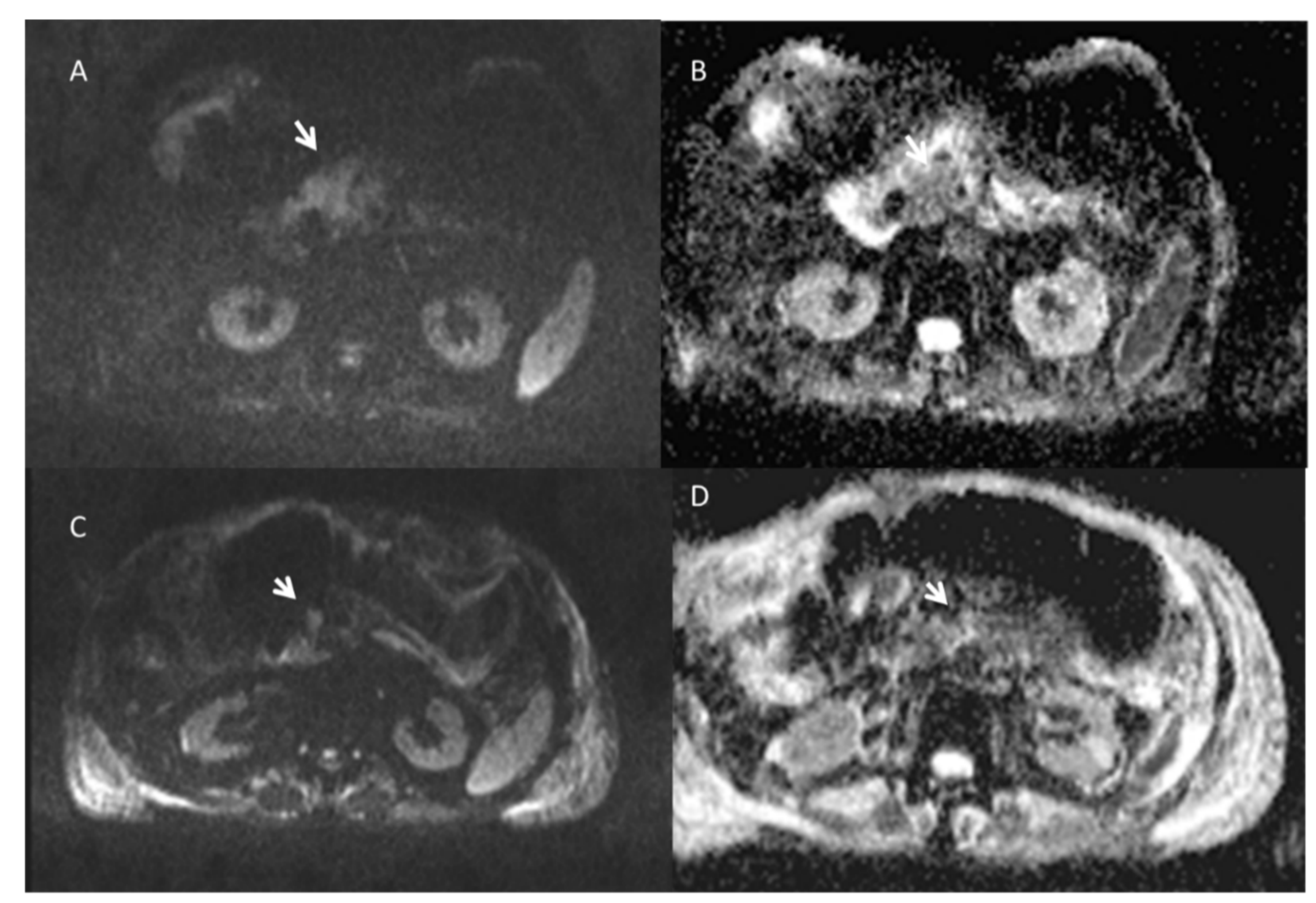
3.3.1. Pancreatic Treated Lesions
3.3.2. Hepatic Treated Lesions
| Imaging Modality | Cancer Type | ECT | IRE | RFA | References |
|---|---|---|---|---|---|
| Ultrasound | pancreatic | Around the tumor and in the normal tissue, a hypoechogenic rim is formed. | Immediately after the treatment, a hypoechoic area with well-demarcated margins appeared. The rim is possibly attributable to evolving hemorrhagic infiltration via widened sinusoids. | CEUS cannot substitute CT or MRI in post-ablation RFA follow-up | [22,26,47] |
| Hyperechoic foci can be indicators of the electroporated tissue and when their area coincides with the whole tumor mass a complete lesion coverage can be considered. | |||||
| Magnetic Resonance Imaging | No significant difference was observed after ECT in signal intensity of T1-weighted images and T2-weighted images and in equilibrium-phase of contrast study. | Hypointense regions on T1-weighted images and hyperintense regions on T2-weighted images are visible. Small areas of diffuse hyperintensity representing blood residues were detected in all ablated areas on precontrast T1-weighted images. | At the best of our knowledge no papers in literature reported imaging features on efficacy of ablation by RFA using MRI functional approaches. | [22,26,62,65,79,84] | |
| Electrodes were visualized as signal voids on gradient recalled echo images, resulting in larger signal voids than those depicted on Turbo Spin Echo images. | Electrodes were visualized as signal voids on gradient recalled echo images, resulting in larger signal voids than those depicted on Turbo Spin Echo images. | ||||
| Perfusion fraction fp by DWI showed a significant reduction after ECT. | In the portal venous phase, 1 day and 2 weeks post-IRE, hyperintense rim surrounding the ablation zone. At 2- and 6-week follow-up, tumor intensity remained low for the arterial phase and portal venous phase | ||||
| The MD derived by DKI showed a significant increase between pre and post treatment and a significant statistically difference for percentage change between responders and not responders. | Post-IRE DW-MRI signal intensities notably decreased accompanied by a subsequent ADC increase. | ||||
| Computed Tomography | No significant difference was observed after ECT in CT equilibrium-phase of contrast study. | Immediately after IRE, intralesional and periablational gas pockets | One week after RFA, the ablation zone was visible as partially sharply defined and heterogeneous area | [22,26,78,79,84] | |
| Reduction of HU density was observed on treated area. | Post-IRE the ablation zones were primarily hypodense in the arterial phase after 6 weeks and 3 and 6 months. In the portal venous phase, the ablated areas were slightly hypodense immediately post-IRE; at 6 weeks and 3- and 6-month follow-up | hypointense area and inhomogeneous enhancement are observed as result of the treatment. | |||
| PET/CT | A reduction of FDG uptake in the lesion after ablation is indicator of response while an increase or inadequate decrease of FDG uptake in the lesion after ablation, as well as focal or multifocal FDG uptake in the margins of the ablation zone, is highly indicative of residual or recurrent disease. | [22,26,83] | |||
| Ultrasound | liver | Hyperechoic microbubbles were observed along the electrode tracks. Then 10–15 min, microbubbles were distributed throughout the treated tumor, and the tumor became hyperechoic and surrounded by a hypoechoic zone. The hyperechoic foci can be appropriate indicators of the electroporated tissue and when their area coincides with the whole tumor mass, they indicated adequate tumor coverage with sufficiently strong electric field. CEUS showed that the perfusion of the treated area was significantly decreased or that there was a complete absence of enhancement for responsive area. Responsive area 5 months after the treatment is observed as fibrotic residuum without the hypoechoic rim. | The ablation zones gradually changed from hypo-echogenicity to hyper-echogenicity on conventional US and showed non-enhancement on CEUS. On CEUS treated responsive areas are visible as devascularized areas with or without an ablative margin or linear enhancement within the lesion. Continuous real-time observation of hemodynamic changes in ablated lesions is possible with CEUS because microbubbles are pure intravascular tracers that remain in the blood pool. | Post RFA treatment the ablated responsive lesion is heterogeneous hypoechoic on US study with no enhancement during arterial phase in CEUS. CEUS may miss a transiently hyperperfused lesion just because not exploring that given liver area. | [2,3,47,48,49,51,87,88,89,90,92] |
| Magnetic Resonance Imaging | Persistent enhancement of the peritumoral liver parenchyma is observed within the IRE ablation zone. | On T1-weighted images, treated responsive lesions showed a nonhomogeneous signal, with a hyperintense central core and a hypointense peripheral rim. On T2-weighted sequences, the signal from the necrotic ablation zone was heterogeneously hypointense. The residual tumor tissue appeared as a peripheral portion that was hypointense on the T1-weighted images and hyperintense on the T2-weighted images. Three distinct layers on MRI in the irreversible electroporation ablation zone are visible: an inner layer of coagulative necrosis (hyperintense at T1- and T2-weighted imaging and non-enhancing), a middle layer of congestion and hemorrhage (hypointense at T1-weighted imaging, hyperintense at T2-weighted imaging, and progressively enhancing but hypointense at the hepatobiliary phase), and a peripheral layer of inflammation (hyperintense at the arterial phase but isointense at all other sequences). | On ceMRI spherical, oval or oblong area dependent to the number and type of electrodes used are visible. Treated lesion is heterogeneously or peripherally hyperintense on T1-weighted images and heterogeneous or hypointense on T2-weighted because of coagulative necrosis, hemorrhagic products and dehydration. The ablation zone is well demarcated, and no enhancement suggests a lack of viable tumor | [68,85,87,88,89,90,91] | |
| Responsive area 5 months after the treatment is observed as fibrotic residuum without the hypointense peripheral rim. | On ceMRI treated responsive area are visible as devascularized areas with or without an ablative margin or linear enhancement within the lesion. The ablation zones containing residual viable tumor showed contrast enhancement during the arterial phase and portal phase washout. The residual tumor tissue appeared as hypointense, although to a lesser degree than the necrotic portion, in the hepatobiliary phase | ||||
| On ceMRI, no intravascular or perivascular enhancement was observed in responsive area. | On DWI, treated lesions showed restricted diffusion. | ||||
| Computed Tomography | ceCT showed subtle hypoattenuating electrode tracks in the pre-contrast and arterial phases, while in the 3 subsequent phases, hypoenhancing areas of treated hepatic parenchyma were noted. No intravascular or perivascular enhancement was observed in responsive area. | On ceCT treated responsive area are visible as devascularized areas with or without an ablative margin or linear enhancement within the lesion | Periablation enhancement occurs as a result of inflammation in the surrounding parenchyma. Hypoattenuating or heterogeneously hyperattenuating is visible as coagulative necrosis and hemorrhagic indicators. | [2,3,85,87,88,89,90,92] | |
| Responsive area 5 months after the treatment is observed as fibrotic residuum without the hypointense peripheral rim. | Persistent enhancement of peritumoral liver parenchyma within the ablation zone; the tumor itself was clearly demarcated by a devascularized area in comparison to surrounding unablated or ablated liver parenchyma | On ceCT the ablation zone is well demarcated, and no enhancement suggests a lack of viable tumor. Spherical, oval or oblong area dependent to the number and type of electrodes used are visible | |||
| PET/CT | A reduction of FDG uptake in the lesion after ablation is indicator of response while an increase or inadequate decrease FDG uptake in the lesion after ablation, as well as focal or multifocal FDG uptake in the margins of the ablation zone, is highly indicative of residual or recurrent disease. | [83] | |||
3.4. Histopathological Findings after Electroporation Based Treatments
4. Discussion
5. Conclusions
Author Contributions
Funding
Institutional Review Board Statement
Informed Consent Statement
Data Availability Statement
Conflicts of Interest
References
- Edhemovic, I.; Brecelj, E.; Gasljevic, G.; Music, M.M.; Gorjup, V.; Mali, B.; Jarm, T.; Kos, B.; Pavliha, D.; Kuzmanov, B.G.; et al. Intraoperative electrochemotherapy of colorectal liver metastases. J. Surg. Oncol. 2014, 110, 320–327. [Google Scholar] [CrossRef]
- Tarantino, L.; Busto, G.; Nasto, A.; Fristachi, R.; Cacace, L.; Talamo, M.; Accardo, C.; Bortone, S.; Gallo, P.; Tarantino, P.; et al. Percutaneous electrochemotherapy in the treatment of portal vein tumour thrombosis at hepatic hilum in patients with hepatocellular carcinoma in cirrhosis: A feasibility Study. World J. Gastroenterol. 2017, 23, 906–918. [Google Scholar] [CrossRef] [PubMed]
- Tarantino, L.; Busto, G.; Nasto, A.; Nasto, R.A.; Tarantino, P.; Fristachi, R.; Cacace, L.; Bortone, S. Electrochemotherapy of cholangi-ocellular carcinoma at hepatic hilum: A feasibility study. Eur. J. Surg. Oncol. 2018, 44, 1603–1609. [Google Scholar] [CrossRef] [PubMed]
- Miklavcic, D.; Davalos, R.V. Electrochemotherapy (ECT) and irreversible electroporation (IRE)—Advanced techniques for treating deep-seated tumours based on electroporation. Biomed. Eng. Online 2015, 14, I1. [Google Scholar] [CrossRef]
- Izzo, F.; Granata, V.; Grassi, R.; Fusco, R.; Palaia, R.; DelRio, P.; Carrafiello, G.; Azoulay, D.; Petrillo, A.; Curley, S.A. Radiofrequency Ablation and Microwave Ablation in Liver Tumors: An Update. Oncologist 2019, 24, e990–e1005. [Google Scholar] [CrossRef] [PubMed]
- Pillai, K.; Akhter, J.; Chua, T.C.; Shehata, M.; Alzahrani, N.; Al-Alem, I.; Morris, D.L. Heat sink effect on tumor ablation characteris-tics as observed in monopolar radiofrequency, bipolar radiofrequency, and microwave, using ex vivo calf liver model. Medicine 2015, 94, e580. [Google Scholar] [CrossRef]
- Brace, C.L. Radiofrequency and Microwave Ablation of the Liver, Lung, Kidney, and Bone: What Are the Differences? Curr. Probl. Diagn. Radiol. 2009, 38, 135–143. [Google Scholar] [CrossRef] [PubMed]
- Sun, Y.; Wang, Y.; Ni, X.; Gao, Y.; Shao, Q.; Liu, L.; Liang, P. Comparison of Ablation Zone Between 915- and 2450-MHz Cooled-Shaft Microwave Antenna: Results in In Vivo Porcine Livers. Am. J. Roentgenol. 2009, 192, 511–514. [Google Scholar] [CrossRef]
- Revel-Mouroz, P.; Otal, P.; Jaffro, M.; Petermann, A.; Meyrignac, O.; Rabinel, P.; Mokrane, F.-Z. Other non-surgical treatments for liver cancer. Rep. Pract. Oncol. Radiother. 2017, 22, 181–192. [Google Scholar] [CrossRef] [PubMed][Green Version]
- Yu, N.C.; Raman, S.S.; Kim, Y.J.; Lassman, C.; Chang, X.; Lu, D.S. Microwave Liver Ablation: Influence of Hepatic Vein Size on Heat-sink Effect in a Porcine Model. J. Vasc. Interv. Radiol. 2008, 19, 1087–1092. [Google Scholar] [CrossRef]
- Lu, D.S.K.; Raman, S.S.; Vodopich, D.J.; Wang, M.; Sayre, J.; Lassman, C. Effect of Vessel Size on Creation of Hepatic Radiofrequency Lesions in Pigs. Am. J. Roentgenol. 2002, 178, 47–51. [Google Scholar] [CrossRef] [PubMed]
- Neumann, E.; Rosenheck, K. Permeability changes induced by electric impulses in vesicular membranes. J. Membr. Biol. 1972, 10, 279–290. [Google Scholar] [CrossRef]
- Rubinsky, B.; Onik, G.; Mikus, P. Irreversible Electroporation: A New Ablation Modality—Clinical Implications. Technol. Cancer Res. Treat. 2007, 6, 37–48. [Google Scholar] [CrossRef] [PubMed]
- Edd, J.F.; Horowitz, L.; Dávalos, R.; Mir, L.; Rubinsky, B. In Vivo Results of a New Focal Tissue Ablation Technique: Irreversible Electroporation. IEEE Trans. Biomed. Eng. 2006, 53, 1409–1415. [Google Scholar] [CrossRef] [PubMed]
- Onik, G.; Mikus, P.; Rubinsky, B. Irreversible Electroporation: Implications for Prostate Ablation. Technol. Cancer Res. Treat. 2007, 6, 295–300. [Google Scholar] [CrossRef] [PubMed]
- Tozon, N.; Sersa, G.; Cemazar, M. Electrochemotherapy: Potentiation of local antitumour effectiveness of cisplatin in dogs and cats. Anticancer Res. 2001, 21, 2483–2488. [Google Scholar] [PubMed]
- Jaroszeski, M.J.; Dang, V.; Pottinger, C.; Hickey, J.; Gilbert, R.; Heller, R. Toxicity of anticancer agents mediated by electroporation in vitro. Anti Cancer Drugs 2000, 11, 201–208. [Google Scholar] [CrossRef]
- Orlowski, S.; Belehradek, J.; Paoletti, C.; Mir, L.M. Transient electropermeabilization of cells in culture: Increase of the cytotoxicity of anticancer drugs. Biochem. Pharmacol. 1988, 37, 4727–4733. [Google Scholar] [CrossRef]
- Sersa, G.; Cemazar, M.; Miklavcic, D. Antitumour effectiveness of electrochemotherapy with cis-diamminedichloroplatinum (II) in mice. Cancer Res. 1995, 55, 3450–3455. [Google Scholar] [PubMed]
- Esmaeili, N.; Friebe, M. Electrochemotherapy: A Review of Current Status, Alternative IGP Approaches, and Future Perspectives. J. Healthc. Eng. 2019, 2019, 2784516. [Google Scholar] [CrossRef] [PubMed]
- Ii, R.E.N.; Davalos, R.V. The Feasibility of Irreversible Electroporation for the Treatment of Breast Cancer and Other Heterogeneous Systems. Ann. Biomed. Eng. 2009, 37, 2615–2625. [Google Scholar] [CrossRef]
- Granata, V.; Fusco, R.; Piccirillo, M.; Palaia, R.; Petrillo, A.; Lastoria, S.; Izzo, F. Electrochemotherapy in locally advanced pancreatic cancer: Preliminary results. Int. J. Surg. 2015, 18. [Google Scholar] [CrossRef] [PubMed]
- Djokic, M.; Cemazar, M.; Popovic, P.; Kos, B.; Dezman, R.; Bosnjak, M.; Zakelj, M.N.; Miklavcic, D.; Potrc, S.; Stabuc, B.; et al. Electrochemotherapy as treatment option for hepatocellular carcinoma, a prospective pilot study. Eur. J. Surg. Oncol. EJSO 2018, 44, 651–657. [Google Scholar] [CrossRef] [PubMed]
- Granata, V.; Fusco, R.; Palaia, R.; Belli, A.; Petrillo, A.; Izzo, F. Comments on Electrochemotherapy with Irreversible Electroporation and FOLFIRINOX Improves Survival in Murine Models of Pancreatic Adenocarcinoma. Ann. Surg. Oncol. 2020, 27, 954–955. [Google Scholar] [CrossRef]
- Izzo, F.; Granata, V.; Fusco, R.; D’Alessio, V.; Petrillo, A.; Lastoria, S.; Piccirillo, M.; Albino, V.; Belli, A.; Tafuto, S.; et al. Clinical Phase I/II Study: Local Disease Control and Survival in Locally Advanced Pancreatic Cancer Treated with Electrochemotherapy. J. Clin. Med. 2021, 10, 1305. [Google Scholar] [CrossRef] [PubMed]
- Granata, V.; Fusco, R.; Setola, S.V.; Piccirillo, M.; Leongito, M.; Palaia, R.; Granata, F.; Lastoria, S.; Izzo, F.; Petrillo, A. Early radiological assessment of locally advanced pancreatic cancer treated with electrochemotherapy. World J. Gastroenterol. 2017, 23, 4767–4778. [Google Scholar] [CrossRef] [PubMed]
- Eisenhauer, E.A.; Therasse, P.; Bogaerts, J.; Schwartz, L.H.; Sargent, D.; Ford, R.; Dancey, J.; Arbuck, S.; Gwyther, S.; Mooney, M.; et al. New response evaluation criteria in solid tumours: Revised RECIST guideline (version 1.1). Eur. J. Cancer 2009, 45, 228–247. [Google Scholar] [CrossRef] [PubMed]
- Erasmus, J.J.; Gladish, G.W.; Broemeling, L.; Sabloff, B.S.; Truong, M.T.; Herbst, R.S.; Munden, R. Interobserver and Intraobserver Variability in Measurement of Non–Small-Cell Carcinoma Lung Lesions: Implications for Assessment of Tumor Response. J. Clin. Oncol. 2003, 21, 2574–2582. [Google Scholar] [CrossRef]
- Salvaggio, G.; Furlan, A.; Agnello, F.; Cabibbo, G.; Marin, D.; Giannitrapani, L.; Genco, C.; Midiri, M.; Lagalla, R.; Brancatelli, G. Hepatocellular carcinoma enhancement on contrast-enhanced CT and MR imaging: Response assessment after treatment with sorafenib: Preliminary results. Radiol. Med. 2013, 119, 215–221. [Google Scholar] [CrossRef] [PubMed]
- Bellomi, M.; Preda, L. Evaluation of the response to therapy of neoplastic lesions. Radiol. Med. 2004, 107, 450–458. [Google Scholar] [PubMed]
- Tirkes, T.; Hollar, M.A.; Tann, M.; Kohli, M.D.; Akisik, F.; Sandrasegaran, K. Response Criteria in Oncologic Imaging: Review of Traditional and New Criteria. Radiographics 2013, 33, 1323–1341. [Google Scholar] [CrossRef] [PubMed]
- Choi, H.; Charnsangavej, C.; Faria, S.C.; Macapinlac, H.A.; Burgess, M.A.; Patel, S.R.; Chen, L.L.; Podoloff, D.A.; Benjamin, R.S. Correlation of Computed Tomography and Positron Emission Tomography in Patients with Metastatic Gastrointestinal Stromal Tumor Treated at a Single Institution with Imatinib Mesylate: Proposal of New Computed Tomography Response Criteria. J. Clin. Oncol. 2007, 25, 1753–1759. [Google Scholar] [CrossRef]
- Park, S.H.; Kim, Y.S.; Choi, J. Dosimetric analysis of the effects of a temporary tissue expander on the radiotherapy technique. Radiol. Med. 2021, 126, 437–444. [Google Scholar] [CrossRef] [PubMed]
- Lencioni, R.; Llovet, J.M. Modified RECIST (mRECIST) assessment for hepatocellular carcinoma. Semin. Liver Dis. 2010, 30, 52–60. [Google Scholar] [CrossRef] [PubMed]
- Bozkurt, M.; Eldem, G.; Bozbulut, U.B.; Bozkurt, M.F.; Kılıçkap, S.; Peynircioğlu, B.; Çil, B.; Ergün, E.L.; Volkan-Salanci, B. Factors affecting the response to Y-90 microsphere therapy in the cholangiocarcinoma patients. Radiol. Med. 2021, 126, 323–333. [Google Scholar] [CrossRef]
- Pietragalla, M.; Nardi, C.; Bonasera, L.; Mungai, F.; Taverna, C.; Novelli, L.; De Renzis, A.G.D.; Calistri, L.; Tomei, M.; Occhipinti, M.; et al. The role of diffusion-weighted and dynamic contrast enhancement perfusion-weighted imaging in the evaluation of salivary glands neoplasms. Radiol. Med. 2020, 125, 851–863. [Google Scholar] [CrossRef]
- Ravanelli, M.; Agazzi, G.M.; Tononcelli, E.; Roca, E.; Cabassa, P.; Baiocchi, G.; Berruti, A.; Maroldi, R.; Farina, D. Texture features of colorectal liver metastases on pretreatment contrast-enhanced CT may predict response and prognosis in patients treated with bevacizumab-containing chemotherapy: A pilot study including comparison with standard chemotherapy. Radiol. Med. 2019, 124, 877–886. [Google Scholar] [CrossRef]
- Ciolina, M.; Caruso, D.; De Santis, D.; Zerunian, M.; Rengo, M.; Alfieri, N.; Musio, D.; De Felice, F.; Ciardi, A.; Tombolini, V.; et al. Dynamic contrast-enhanced magnetic resonance imaging in locally advanced rectal cancer: Role of perfusion parameters in the assessment of response to treatment. Radiol. Med. 2018, 124, 331–338. [Google Scholar] [CrossRef]
- Masselli, G.; De Vincentiis, C.; Aloi, M.; Guida, M.; Cao, R.; Cartocci, G.; Miele, V.; Grassi, R. Detection of Crohn’s disease with diffusion images versus contrast-enhanced images in pediatric using MR enterography with histopathological correlation. Radiol. Med. 2019, 124, 1306–1314. [Google Scholar] [CrossRef]
- Wojtaszek, M.; Lamparski, K.; Wnuk, E.; Ostrowski, T.; Maciąg, R.; Rix, T.; Maj, E.; Milczarek, K.; Korzeniowski, K.; Rowiński, O. Selective occlusion of splenic artery aneurysms with the coil packing technique: The impact of packing density on aneurysm reperfusion correlated between contrast-enhanced MR angiography and digital subtraction angiography. Radiol. Med. 2019, 124, 450–459. [Google Scholar] [CrossRef]
- Alessi, A.; Lorenzoni, A.; Cavallo, A.; Padovano, B.; Iacovelli, N.A.; Bossi, P.; Alfieri, S.; Serafini, G.; Colombo, C.B.; Cicchetti, A.; et al. Role of pretreatment 18F-FDG PET/CT parameters in predicting outcome of non-endemic EBV DNA-related nasopharyngeal cancer (NPC) patients treated with IMRT and chemotherapy. Radiol. Med. 2018, 124, 414–421. [Google Scholar] [CrossRef] [PubMed]
- D’Angelillo, R.M.; Fiore, M.; Trodella, L.E.; Sciuto, R.; Ippolito, E.; Carnevale, A.; Iurato, A.; Miele, M.; Trecca, P.; Trodella, L.; et al. 18F-choline PET/CT driven salvage radiotherapy in prostate cancer patients: Up-date analysis with 5-year median follow-up. Radiol. Med. 2020, 125, 668–673. [Google Scholar] [CrossRef]
- Danti, G.; Berti, V.; Abenavoli, E.; Briganti, V.; Linguanti, F.; Mungai, F.; Pradella, S.; Miele, V. Diagnostic imaging of typical lung carcinoids: Relationship between MDCT, 111In-Octreoscan and 18F-FDG-PET imaging features with Ki-67 index. Radiol. Med. 2020, 125, 715–729. [Google Scholar] [CrossRef] [PubMed]
- Wahl, R.L.; Jacene, H.; Kasamon, Y.; Lodge, M.A. From RECIST to PERCIST: Evolving Considerations for PET Response Criteria in Solid Tumors. J. Nucl. Med. 2009, 50, 122S–150S. [Google Scholar] [CrossRef]
- Wade, A.A.; Scott, J.A.; Kuter, I.; Fischman, A.J. Flare Response in 18F-Fluoride Ion PET Bone Scanning. Am. J. Roentgenol. 2006, 186, 1783–1786. [Google Scholar] [CrossRef] [PubMed]
- Harisankar, C.N.B.; Preethi, R.; John, J. Metabolic flare phenomenon on 18 fluoride-fluorodeoxy glucose positron emission tomography-computed tomography scans in a patient with bilateral breast cancer treated with second-line chemotherapy and bevacizumab. Indian J. Nucl. Med. 2015, 30, 145–147. [Google Scholar] [CrossRef] [PubMed]
- Appelbaum, L.; Ben-David, E.; Sosna, J.; Nissenbaum, Y.; Goldberg, S.N. US Findings after Irreversible Electroporation Ablation: Radiologic-Pathologic Correlation. Radiology 2012, 262, 117–125. [Google Scholar] [CrossRef] [PubMed]
- Calandri, M.; Ruggeri, V.; Carucci, P.; Mirabella, S.; Veltri, A.; Fonio, P.; Gazzera, C. Thermal ablation with fusion imaging guidance of hepatocellular carcinoma without conspicuity on conventional or contrast-enhanced US: Surrounding anatomical landmarks matter. Radiol. Med. 2019, 124, 1043–1048. [Google Scholar] [CrossRef]
- Boc, N.; Edhemovic, I.; Kos, B.; Music, M.M.; Brecelj, E.; Trotovsek, B.; Bosnjak, M.; Djokic, M.; Miklavcic, D.; Cemazar, M.; et al. Ultrasonographic changes in the liver tumours as indicators of adequate tumour coverage with electric field for effective electrochemotherapy. Radiol. Oncol. 2018, 52, 383–391. [Google Scholar] [CrossRef]
- Jarm, T.; Cemazar, M.; Miklavcic, D.; Sersa, G. Antivascular effects of electrochemotherapy: Implications in treatment of bleeding metastases. Expert Rev. Anticancer. Ther. 2010, 10, 729–746. [Google Scholar] [CrossRef]
- Zhou, L.; Yin, S.; Chai, W.; Zhao, Q.; Tian, G.; Xu, D.; Jiang, T. Irreversible electroporation in patients with liver tumours: Treated-area patterns with contrast-enhanced ultrasound. World J. Surg. Oncol. 2020, 18, 1–6. [Google Scholar] [CrossRef] [PubMed]
- Thoeny, H.C.; Ross, B.D. Predicting and monitoring cancer treatment response with diffusion-weighted MRI. J. Magn. Reson. Imaging 2010, 32, 2–16. [Google Scholar] [CrossRef]
- Rezai, P.; Pisaneschi, M.J.; Feng, C.; Yaghmai, V. A Radiologist’s Guide to Treatment Response Criteria in Oncologic Imaging: Functional, Molecular, and Disease-Specific Imaging Biomarkers. Am. J. Roentgenol. 2013, 201, 246–256. [Google Scholar] [CrossRef]
- Subbiah, V.; Chuang, H.H.; Gambhire, D.; Kairemo, K. Defining Clinical Response Criteria and Early Response Criteria for Precision Oncology: Current State-of-the-Art and Future Perspectives. Diagnostics 2017, 7, 10. [Google Scholar] [CrossRef] [PubMed]
- Granata, V.; Grassi, R.; Fusco, R.; Setola, S.V.; Palaia, R.; Belli, A.; Miele, V.; Brunese, L.; Petrillo, A.; Izzo, F. Assessment of Ablation Therapy in Pancreatic Cancer: The Radiologist’s Challenge. Front. Oncol. 2020, 10. [Google Scholar] [CrossRef] [PubMed]
- Padia, S.A.; Johnson, G.E.; Yeung, R.S.; Park, J.O.; Hippe, D.S.; Kogut, M.J. Irreversible Electroporation in Patients with Hepatocellular Carcinoma: Immediate versus Delayed Findings at MR Imaging. Radiology 2016, 278, 285–294. [Google Scholar] [CrossRef]
- Lee, Y.J.; Lu, D.S.; Osuagwu, F.; Lassman, C. Irreversible Electroporation in Porcine Liver. J. Comput. Assist. Tomogr. 2013, 37, 154–158. [Google Scholar] [CrossRef] [PubMed]
- Zhang, Y.; Guo, Y.; Ragin, A.B.; Lewandowski, R.J.; Yang, G.Y.; Nijm, G.M.; Sahakian, A.V.; Omary, R.A.; Larson, A.C. MR imaging to as-sess immediate response to irreversible electroporation for targeted ablation of liver tissues: Preclinical feasibility studies in a rodent model. Radiology 2010, 256, 424–432. [Google Scholar] [CrossRef]
- Guo, Y.; Zhang, Y.; Nijm, G.M.; Sahakian, A.V.; Yang, G.-Y.; Omary, R.A.; Larson, A.C. Irreversible Electroporation in the Liver: Contrast-enhanced Inversion-Recovery MR Imaging Approaches to Differentiate Reversibly Electroporated Penumbra from Irreversibly Electroporated Ablation Zones. Radiology 2011, 258, 461–468. [Google Scholar] [CrossRef] [PubMed]
- Figini, M.; Wang, X.; Lyu, T.; Su, Z.; Procissi, D.; Yaghmai, V.; Larson, A.C.; Zhang, Z. Preclinical and clinical evaluation of the liver tumor irreversible electroporation by magnetic resonance imaging. Am. J. Transl. Res. 2017, 9, 580–590. [Google Scholar]
- Felker, E.R.; Dregely, I.; Chung, D.J.; Sung, K.; Osuagwu, F.C.; Lassman, C.; Sayre, J.; Wu, H.; Lu, D.S. Irreversible Electroporation: Defining the MRI Appearance of the Ablation Zone with Histopathologic Correlation in a Porcine Liver Model. Am. J. Roentgenol. 2017, 208, 1141–1146. [Google Scholar] [CrossRef]
- Granata, V.; Fusco, R.; Setola, S.V.; Palaia, R.; Albino, V.; Piccirillo, M.; Grimm, R.; Petrillo, A.; Izzo, F. Diffusion kurtosis imaging and conventional diffusion weighted imaging to assess electrochemotherapy response in locally advanced pancreatic cancer. Radiol. Oncol. 2019, 53, 15–24. [Google Scholar] [CrossRef]
- Granata, V.; Fusco, R.; Catalano, O.; Setola, S.V.; Castelguidone, E.D.L.D.; Piccirillo, M.; Palaia, R.; Grassi, R.; Granata, F.; Izzo, F.; et al. Multidetector computer tomography in the pancreatic adenocarcinoma assessment: An update. Infect. Agents Cancer 2016, 11, 1–7. [Google Scholar] [CrossRef]
- De Simone, M.; Muccio, C.F.; Pagnotta, S.M.; Esposito, G.; Cianfoni, A. Comparison between CT and MR in perfusion imaging assessment of high-grade gliomas. Radiol. Med. 2012, 118, 140–151. [Google Scholar] [CrossRef] [PubMed]
- Granata, V.; Fusco, R.; Sansone, M.; Grassi, R.; Maio, F.; Palaia, R.; Tatangelo, F.; Botti, G.; Grimm, R.; Curley, S.; et al. Magnetic resonance imaging in the assessment of pancreatic cancer with quantitative parameter extraction by means of dynamic contrast-enhanced magnetic resonance imaging, diffusion kurtosis imaging and intravoxel incoherent motion diffusion-weighted imaging. Ther. Adv. Gastroenterol. 2020, 13. [Google Scholar] [CrossRef]
- Mahmood, F.; Hansen, R.H.; Agerholm-Larsen, B.; Gissel, H.; Ibsen, P.; Gehl, J. Detection of electroporation-induced membrane permeabilization states in the brain using diffusion-weighted MRI. Acta Oncol. 2015, 54, 289–297. [Google Scholar] [CrossRef] [PubMed]
- Zhang, Z.; Li, W.; Procissi, D.; Tyler, P.; Omary, R.A.; Larson, A.C. Rapid dramatic alterations to the tumor microstructure in pancreatic cancer following irreversible electroporation ablation. Nanomedicine 2014, 9, 1181–1192. [Google Scholar] [CrossRef] [PubMed]
- Fogante, M.; Tagliati, C.; De Lisa, M.; Berardi, R.; Giuseppetti, G.M.; Giovagnoni, A. Correlation between apparent diffusion coefficient of magnetic resonance imaging and tumor-infiltrating lymphocytes in breast cancer. Radiol. Med. 2019, 124, 581–587. [Google Scholar] [CrossRef] [PubMed]
- Fornell-Perez, R.; Vivas-Escalona, V.; Aranda-Sanchez, J.; Gonzalez-Dominguez, M.C.; Rubio-Garcia, J.; Aleman-Flores, P.; Lozano-Rodriguez, A.; Porcel-De-Peralta, G.; Loro-Ferrer, J.F. Primary and post-chemoradiotherapy MRI detection of extramural venous invasion in rectal cancer: The role of diffusion-weighted imaging. Radiol. Med. 2020, 125, 522–530. [Google Scholar] [CrossRef] [PubMed]
- Berardo, S.; Sukhovei, L.; Andorno, S.; Carriero, A.; Stecco, A. Quantitative bone marrow magnetic resonance imaging through apparent diffusion coefficient and fat fraction in multiple myeloma patients. Radiol. Med. 2021, 126, 445–452. [Google Scholar] [CrossRef] [PubMed]
- Zhang, A.; Song, J.; Ma, Z.; Chen, T. Combined dynamic contrast-enhanced magnetic resonance imaging and diffusion-weighted imaging to predict neoadjuvant chemotherapy effect in FIGO stage IB2–IIA2 cervical cancers. Radiol. Med. 2020, 125, 1233–1242. [Google Scholar] [CrossRef] [PubMed]
- Song, T.J.; Seo, D.W.; Lakhtakia, S.; Reddy, N.; Oh, D.W.; Park, D.H.; Lee, S.S.; Lee, S.K.; Kim, M.-H. Initial experience of EUS-guided radiofrequency ablation of unresectable pancreatic cancer. Gastrointest. Endosc. 2016, 83, 440–443. [Google Scholar] [CrossRef] [PubMed]
- Spiliotis, J.D.; Datsis, A.C.; Michalopoulos, N.V.; Kekelos, S.P.; Vaxevanidou, A.; Rogdakis, A.G.; Christopoulou, A.N. Radiofrequency ablation combined with palliative surgery may prolong survival of patients with advanced cancer of the pancreas. Langenbecks Arch. Surg. 2006, 392, 55–60. [Google Scholar] [CrossRef]
- Varshney, S.; Sewkani, A.; Sharma, S.; Kapoor, S.; Naik, S.; Sharma, A.; Patel, K. Radiofrequency ablation of unresectable pancreatic carcinoma: Feasibility, efficacy and safety. JOP 2006, 7, 74–78. [Google Scholar] [PubMed]
- Waung, J.A.; Todd, J.F.; Keane, M.G.; Pereira, S.P. Successful management of a sporadic pancreatic insulinoma by endoscopic ultrasound-guided radiofrequency ablation. Endoscopy 2016, 48, E144–E145. [Google Scholar] [CrossRef] [PubMed]
- Zou, Y.-P. Intraoperative radiofrequency ablation combined with125iodine seed implantation for unresectable pancreatic cancer. World J. Gastroenterol. 2010, 16, 5104–5110. [Google Scholar] [CrossRef] [PubMed]
- Rossi, S.; Viera, F.T.; Ghittoni, G.; Cobianchi, L.; Rosa, L.L.; Siciliani, L.; Bortolotto, C.; Veronese, L.; Vercelli, A.; Gallotti, A.; et al. Radiofrequency Ablation of Pancreatic Neuroendocrine Tumors. Pancreas 2014, 43, 938–945. [Google Scholar] [CrossRef] [PubMed]
- Rombouts, S.J.E.; Derksen, T.C.; Nio, C.Y.; Van Hillegersberg, R.; Van Santvoort, H.C.; Walma, M.S.; Molenaar, I.Q.; Van Leeuwen, M.S. Computed tomography findings after radiofrequency ablation in locally advanced pancreatic cancer. Abdom. Radiol. 2018, 43, 2702–2711. [Google Scholar] [CrossRef] [PubMed]
- Paiella, S.; Salvia, R.; Ramera, M.; Girelli, R.; Frigerio, I.; Giardino, A.; Allegrini, V.; Bassi, C. Local Ablative Strategies for Ductal Pancreatic Cancer (Radiofrequency Ablation, Irreversible Electroporation): A Review. Gastroenterol. Res. Pract. 2016, 2016, 1–10. [Google Scholar] [CrossRef]
- Vogl, T.J.; Farshid, P.; Naguib, N.N.; Darvishi, A.; Bazrafshan, B.; Mbalisike, E.; Burkhard, T.; Zangos, S. Thermal ablation of liver me-tastases from colorectal cancer: Radiofrequency, microwave and laser ablation therapies. Radiol. Med. 2014, 119, 451–461. [Google Scholar] [CrossRef]
- Cornalba, G.; Melchiorre, F. Interventional oncology: State of the art. Radiol. Med. 2014, 119, 449–450. [Google Scholar] [CrossRef] [PubMed]
- Garetto, I.; Busso, M.; Sardo, D.; Filippini, C.; Solitro, F.; Grognardi, M.L.; Veltri, A. Radiofrequency ablation of thoracic tumours: Lessons learned with ablation of 100 lesions. Radiol. Med. 2013, 119, 33–40. [Google Scholar] [CrossRef] [PubMed]
- Aarntzen, E.H.; Heijmen, L.; Oyen, W.J. 18F-FDG PET/CT in Local Ablative Therapies: A Systematic Review. J. Nucl. Med. 2018, 59, 551–556. [Google Scholar] [CrossRef] [PubMed]
- Vroomen, L.G.P.H.; Scheffer, H.J.; Melenhorst, M.C.A.M.; de Jong, M.C.; van den Bergh, J.E.; van Kuijk, C.; van Delft, F.; Kazemier, G.; Meijerink, M.R. MR and CT imaging characteristics and ablation zone volumetry of locally advanced pancreatic cancer treat-ed with irreversible electroporation. Eur. Radiol. 2017, 27, 2521–2531. [Google Scholar] [CrossRef] [PubMed]
- Sainani, N.I.; Gervais, D.A.; Mueller, P.R.; Arellano, R.S. Imaging After Percutaneous Radiofrequency Ablation of Hepatic Tumors: Part 1, Normal Findings. Am. J. Roentgenol. 2013, 200, 184–193. [Google Scholar] [CrossRef] [PubMed]
- Yuan, H.; Liu, F.; Li, X.; Guan, Y.; Wang, M. Transcatheter arterial chemoembolization combined with simultaneous DynaCT-guided radiofrequency ablation in the treatment of solitary large hepatocellular carcinoma. Radiol. Med. 2019, 124, 1–7. [Google Scholar] [CrossRef] [PubMed]
- Catalano, O.; Izzo, F.; Vallone, P.; Sandomenico, F.; Albino, V.; Nunziata, A.; Fusco, R.; Petrillo, A. Integrating contrast-enhanced sonography in the follow-up algorithm of hepatocellular carcinoma treated with radiofrequency ablation: Single cancer center experience. Acta Radiol. 2015, 56, 133–142. [Google Scholar] [CrossRef] [PubMed]
- Zheng, S.-G. Role of contrast-enhanced ultrasound in follow-up assessment after ablation for hepatocellular carcinoma. World J. Gastroenterol. 2013, 19, 855–865. [Google Scholar] [CrossRef] [PubMed]
- Sugimoto, K.; Moriyasu, F.; Saito, K.; Kobayashi, Y.; Itoi, T. Multimodality imaging to assess immediate response following irreversible electroporation in patients with malignant hepatic tumors. J. Med. Ultrason. 2016, 44, 247–254. [Google Scholar] [CrossRef] [PubMed]
- Sugimoto, K.; Moriyasu, F.; Kobayashi, Y.; Saito, K.; Takeuchi, H.; Ogawa, S.; Ando, M.; Sano, T.; Mori, T.; Furuichi, Y.; et al. Irreversible electroporation for nonthermal tumor ablation in patients with hepatocellular carcinoma: Initial clinical experience in Japan. Jpn. J. Radiol. 2015, 33, 424–432. [Google Scholar] [CrossRef] [PubMed]
- Granata, V.; Fusco, R.; Catalano, O.; Piccirillo, M.; De Bellis, M.; Izzo, F.; Petrillo, A. Percutaneous Ablation Therapy of Hepatocellular Carcinoma with Irreversible Electroporation: MRI Findings. Am. J. Roentgenol. 2015, 204, 1000–1007. [Google Scholar] [CrossRef]
- Brloznik, M.; Boc, N.; Sersa, G.; Zmuc, J.; Gasljevic, G.; Seliskar, A.; Dezman, R.; Edhemovic, I.; Milevoj, N.; Plavec, T.; et al. Radiological findings of porcine liver after electrochemotherapy with bleomycin. Radiol. Oncol. 2019, 53, 415–426. [Google Scholar] [CrossRef] [PubMed]
- Gasljevic, G.; Edhemović, I.; Čemažar, M.; Brecelj, E.; Gadzijev, E.M.; Music, M.M.; Sersa, G. Histopathological findings in colorectal liver metastases after electrochemotherapy. PLoS ONE 2017, 12, e0180709. [Google Scholar] [CrossRef] [PubMed]
- Goldberg, S.N.; Gazelle, G.S.; Mueller, P.R. Thermal ablation therapy for focal malignancy: A unified approach to underlying principles, techniques, and diagnostic imaging guidance. Am. J. Roentgenol. 2000, 174, 323–331. [Google Scholar] [CrossRef] [PubMed]
- Ng, K.K.; Lam, C.M.; Poon, R.T.; Shek, T.W.; Yu, W.C.; To, J.Y.; Wo, Y.H.; Lau, C.P.; Tang, T.C.; Ho, D.W.; et al. Porcine Liver: Morphologic Characteristics and Cell Viability at Experimental Radiofrequency Ablation with Internally Cooled Electrodes1. Radiology 2005, 235, 478–486. [Google Scholar] [CrossRef]
- Kuromatsu, R.; Tanaka, M.; Shimauchi, Y.; Harada, R.; Ando, E.; Itano, S.; Kumashiro, R.; Fukuda, S.; Okuda, K.; Sata, M. Light and electron microscopic analyses of immediate and late tissue damage caused by radiofrequency ablation in porcine liver. Int. J. Mol. Med. 2003, 11, 199–204. [Google Scholar] [CrossRef] [PubMed]
- Martin, A.P.; Goldstein, R.M.; Dempster, J.; Netto, G.J.; Katabi, N.; Derrick, H.C.; Altrabulsi, B.; Jennings, L.W.; Ueno, T.; Chinnakotla, S.; et al. Radiofrequency thermal ablation of hepatocellular carcinoma before liver transplantation? A clinical and histological examination. Clin. Transplant. 2006, 20, 695–705. [Google Scholar] [CrossRef] [PubMed]
- Morimoto, M.; Sugimori, K.; Shirato, K.; Kokawa, A.; Tomita, N.; Saito, T.; Tanaka, N.; Nozawa, A.; Hara, M.; Sekihara, H.; et al. Treatment of hepatocellular carcinoma with radiofrequency ablation: Radiologic-histologic correlation during follow-up periods. Hepatology 2002, 35, 1467–1475. [Google Scholar] [CrossRef]
- Kim, Y.-S.; Rhim, H.; Lim, H.K.; Choi, D.; Lee, M.W.; Park, M.J. Coagulation Necrosis Induced by Radiofrequency Ablation in the Liver: Histopathologic and Radiologic Review of Usual to Extremely Rare Changes. Radiographics 2011, 31, 377–390. [Google Scholar] [CrossRef]
- Bigi, L.; Galdo, G.; Cesinaro, A.M.; Vaschieri, C.; Marconi, A.; Pincelli, C.; Fantini, F. Electrochemotherapy induces apoptotic death in melanoma metastases: A histologic and immunohistochemical investigation. Clin. Cosmet. Investig. Dermatol. 2016, 9, 451–459. [Google Scholar] [CrossRef] [PubMed]
- Denzi, A.; Strigari, L.; Di Filippo, F.; Botti, C.; Di Filippo, S.; Perracchio, L.; Ronchetti, M.; Cadossi, R.; Liberti, M. Modeling the positioning of single needle electrodes for the treatment of breast cancer in a clinical case. Biomed. Eng. Online 2015, 14, S1. [Google Scholar] [CrossRef] [PubMed]
- Kis, E.G.; Baltás, E.; Ócsai, H.; Vass, A.; Németh, I.B.; Varga, E.; Oláh, J.; Kemény, L.; Tóth-Molnár, E. Electrochemotherapy in the treatment of locally advanced or recurrent eyelid-periocular basal cell carcinomas. Sci. Rep. 2019, 9, 1–7. [Google Scholar] [CrossRef]
- Gasbarrini, A.; Campos, W.K.; Campanacci, L.; Boriani, S. Electrochemotherapy to Metastatic Spinal Melanoma. Spine 2015, 40, E1340–E1346. [Google Scholar] [CrossRef]
- Tschon, M.; Salamanna, F.; Ronchetti, M.; Cavani, F.; Gasbarrini, A.; Boriani, S.; Fini, M. Feasibility of Electroporation in Bone and in the Surrounding Clinically Relevant Structures. Technol. Cancer Res. Treat. 2016, 15, 737–748. [Google Scholar] [CrossRef] [PubMed]
- Fini, M.; Tschon, M.; Ronchetti, M.; Cavani, F.; Bianchi, G.; Mercuri, M.; Alberghini, M.; Cadossi, R. Ablation of bone cells by electroporation. J. Bone Jt. Surgery. Br. Vol. 2010, 92, 1614–1620. [Google Scholar] [CrossRef] [PubMed]
- Fini, M.; Salamanna, F.; Parrilli, A.; Martini, L.; Cadossi, M.; Maglio, M.; Borsari, V. Electrochemotherapy is effective in the treatment of rat bone metastases. Clin. Exp. Metastasis 2013, 30, 1033–1045. [Google Scholar] [CrossRef] [PubMed]
- Zmuc, J.; Gasljevic, G.; Sersa, G.; Edhemovic, I.; Boc, N.; Seliskar, A.; Plavec, T.; Brloznik, M.; Milevoj, N.; Brecelj, E.; et al. Large Liver Blood Vessels and Bile Ducts Are Not Damaged by Electrochemotherapy with Bleomycin in Pigs. Sci. Rep. 2019, 9, 1–11. [Google Scholar] [CrossRef] [PubMed]
- Edhemovic, I.; Brecelj, E.; Cemazar, M.; Boc, N.; Trotovsek, B.; Djokic, M.; Dezman, R.; Ivanecz, A.; Potrc, S.; Bosnjak, M.; et al. Intraoperative electrochemotherapy of colorectal liver metastases: A prospective phase II study. Eur. J. Surg. Oncol. 2020, 46, 1628–1633. [Google Scholar] [CrossRef]
- Mali, B.; Jarm, T.; Snoj, M.; Sersa, G.; Miklavcic, D. Antitumour effectiveness of electrochemotherapy: A systematic review and meta-analysis. Eur. J. Surg. Oncol. 2013, 39, 4–16. [Google Scholar] [CrossRef]
- Sersa, G.; Ursic, K.; Cemazar, M.; Heller, R.; Bosnjak, M.; Campana, L.G. Biological factors of the tumour response to electrochemotherapy: Review of the evidence and a research roadmap. Eur. J. Surg. Oncol. 2021. [Google Scholar] [CrossRef]
- Campana, L.; Testori, A.; Curatolo, P.; Quaglino, P.; Mocellin, S.; Framarini, M.; Borgognoni, L.; Ascierto, P.; Mozzillo, N.; Guida, M.; et al. Treatment efficacy with electrochemotherapy: A multi-institutional prospective observational study on 376 patients with superficial tumors. Eur. J. Surg. Oncol. 2016, 42, 1914–1923. [Google Scholar] [CrossRef] [PubMed]
- Clover, A.; de Terlizzi, F.; Bertino, G.; Curatolo, P.; Odili, J.; Campana, L.; Kunte, C.; Muir, T.; Brizio, M.; Sersa, G.; et al. Electrochemotherapy in the treatment of cutaneous malignancy: Outcomes and subgroup analysis from the cumulative results from the pan-European International Network for Sharing Practice in Electrochemotherapy database for 2482 lesions in 987 patients (2008–2019). Eur. J. Cancer 2020, 138, 30–40. [Google Scholar] [CrossRef] [PubMed]








| Response | WHO | RECIST 1.1 | CHOI | mRECIST | PERCIST |
|---|---|---|---|---|---|
| Complete response | No lesions detected for at least 4 weeks | Disappearance of all target lesions or lymph nodes < 10 mm in the short axis | Disappearance of all target lesions | Disappearance of arterial phase enhancement in all target lesions | Disappearance of all metabolically active tumors |
| Partial response | ≥50% decrease in SPD (confirmed at 4 weeks) | >30% decrease in SLD of target lesions | ≥10% decrease in tumor size or ≥15% decrease in tumor attenuation at CT; no new lesions | >30% decrease in SLD of “viable” target lesion (arterial phase enhancement) | >30% (0.8-unit) decline in SUL peak between the most intense lesion before treatment and the most intense lesion after treatment |
| Progressive disease | ≥25% increase in SPD in one or more lesions; new lesions | >20% increase in SLD of target lesions with an absolute increase of ≥5 mm; new lesions | ≥10% increase in SLD of lesions; does not meet the criteria for partial response by virtue of tumor attenuation, new intratumoral nodules or an increase in the size of the existing intratumoral nodules | >20% increase in SLD of “viable” target lesion (arterialphase enhancement) | >30% (0.8-unit) increase in SUL peak or confirmed new lesions |
| Stable disease | None of the above | None of the above | None of the above | None of the above | None of the above |
| ECT | IRE | RFA/MWA | Reference | |
|---|---|---|---|---|
| Inflammatory infiltrate | ✓ | ✓ | [100,101] | |
| Fibrosis | ✓ | ✓ | ✓ | [94,98,100,101,103] |
| Necrosis | ✓ | ✓ | ✓ | [100,101,102,103] |
| Tissue Regeneration | ✓ | ✓ | [93,107] | |
| Apoptosis | ✓ | ✓ | [100] | |
| New tissue formation | ✓ | ✓ | [105,106] | |
| Preservation of collagen matrix | ✓ | ✓ | [57,107] | |
| Preservation of blood vessels larger than 5 mm | ✓ | ✓ | [93,107] | |
| Preservation of biliary structures | ✓ | ✓ | [93,107] | |
| Damage to small vessels (limited to endothelial cells) | ✓ | ✓ | [93,100] | |
| Carbonization | ✓ | [94] | ||
| Destroyed nuclei and mitochondria | ✓ | [96] | ||
| Viability markers | Reduced | Absent | Absent | [93,96,107] |
Publisher’s Note: MDPI stays neutral with regard to jurisdictional claims in published maps and institutional affiliations. |
© 2021 by the authors. Licensee MDPI, Basel, Switzerland. This article is an open access article distributed under the terms and conditions of the Creative Commons Attribution (CC BY) license (https://creativecommons.org/licenses/by/4.0/).
Share and Cite
Granata, V.; Fusco, R.; Salati, S.; Petrillo, A.; Di Bernardo, E.; Grassi, R.; Palaia, R.; Danti, G.; La Porta, M.; Cadossi, M.; et al. A Systematic Review about Imaging and Histopathological Findings for Detecting and Evaluating Electroporation Based Treatments Response. Int. J. Environ. Res. Public Health 2021, 18, 5592. https://doi.org/10.3390/ijerph18115592
Granata V, Fusco R, Salati S, Petrillo A, Di Bernardo E, Grassi R, Palaia R, Danti G, La Porta M, Cadossi M, et al. A Systematic Review about Imaging and Histopathological Findings for Detecting and Evaluating Electroporation Based Treatments Response. International Journal of Environmental Research and Public Health. 2021; 18(11):5592. https://doi.org/10.3390/ijerph18115592
Chicago/Turabian StyleGranata, Vincenza, Roberta Fusco, Simona Salati, Antonella Petrillo, Elio Di Bernardo, Roberta Grassi, Raffaele Palaia, Ginevra Danti, Michelearcangelo La Porta, Matteo Cadossi, and et al. 2021. "A Systematic Review about Imaging and Histopathological Findings for Detecting and Evaluating Electroporation Based Treatments Response" International Journal of Environmental Research and Public Health 18, no. 11: 5592. https://doi.org/10.3390/ijerph18115592
APA StyleGranata, V., Fusco, R., Salati, S., Petrillo, A., Di Bernardo, E., Grassi, R., Palaia, R., Danti, G., La Porta, M., Cadossi, M., Gašljević, G., Sersa, G., & Izzo, F. (2021). A Systematic Review about Imaging and Histopathological Findings for Detecting and Evaluating Electroporation Based Treatments Response. International Journal of Environmental Research and Public Health, 18(11), 5592. https://doi.org/10.3390/ijerph18115592

